medigraphic.com
ENGLISH

Cirujano General

ISSN 2594-1518 (Digital)
ISSN 1405-0099 (Impreso)
  • Mostrar índice
  • Números disponibles
  • Información
    • Información general        
    • Directorio
  • Publicar
    • Instrucciones para autores        
    • Envío de artículos
  • medigraphic.com
    • Inicio
    • Índice de revistas            
    • Registro / Acceso
  • Mi perfil

2023, Número 4

<< Anterior Siguiente >>

Cir Gen 2023; 45 (4)


Tumor de Buschke-Lowenstein

López Romero, César Alejandro1; Florián López, Jaime Alejandro2; Torres Ortiz Ocampo, Christian J3; Flores Becerra, Elvis4
Texto completo Cómo citar este artículo 10.35366/115849

DOI

DOI: 10.35366/115849
URL: https://dx.doi.org/10.35366/115849
Artículos similares

Idioma: Español/Inglés [English version]
Referencias bibliográficas: 11
Paginas: 229-233
Archivo PDF: 278.65 Kb.


PALABRAS CLAVE

tumor de Buschke-Lowenstein, condiloma acuminado, virus del papiloma humano, carcinoma de células escamosas, condiloma gigante.

RESUMEN

El condiloma gigante acuminado o tumor de Buschke-Lowenstein se considera una enfermedad de transmisión sexual, asociado al virus del papiloma humano y específicamente a los serotipos 6 y 11. Su incidencia a nivel mundial alcanza el 0.1% de la población con actividad sexual y especialmente en pacientes portadores de algún estado de inmunosupresión como el virus de inmunodeficiencia humana. Se comporta como un tumor localmente agresivo. El tratamiento de referencia sigue siendo la cirugía. Se presenta un caso que fue manejado con electrofulguración con resección amplia de márgenes sanos y seguimiento postoperatorio.



INTRODUCCIÓN

En 1925, los dermatólogos alemanes Abraham Buschke y Ludwig Lowenstein analizaron pacientes con lesiones en el pene que describieron como condilomas con características similares al carcinoma, y estas lesiones ahora se atribuyen epónimamente a estos dos hombres como tumores de Buschke-Lowenstein o condilomas gigantes. Poco a poco, aparecieron informes que involucraban otras áreas de la región anogenital.1 El condiloma acuminado gigante de Buschke-Lowenstein ocurre con mayor frecuencia en hombres y se transmite por contacto sexual con incidencia de alrededor del 0.1% en la población general.

La incidencia de este tumor es mayor en hombres homosexuales o bisexuales. Se dice que los tipos 6 y 11 del virus del papiloma humano (VPH) de bajo riesgo están relacionados con este tumor. Es bien sabido que las verrugas virales se vuelven más grandes y resistentes al tratamiento cuando existe una inmunidad alterada en el huésped como en trastornos adquiridos como es la infección por virus de la inmunodeficiencia humana (VIH).

Esto se explica debido a que el genoma de los VPH 6 y 11 codifica secuencias de ADN que se traducen para producir E6 y E7, que son supresores de tumores e inactivan p53, lo cual da como resultado una replicación descontrolada de las células epiteliales, que finalmente conduce a un crecimiento anormal.2

Debido a esto, inicialmente los condilomas son benignos y posteriormente pueden desarrollar una displasia severa y sufrir una transformación a carcinoma de células escamosas.3 Se estima que la tasa de transformación a malignidad es de 56%, pero sin reportar metástasis.4

Algunos autores lo consideran un carcinoma epidermoide de bajo grado, mientras que otros lo consideran una forma de transición entre el carcinoma epidermoide y los condilomas acuminados.5

El tratamiento de referencia sigue siendo la cirugía con márgenes de escisión sanos; la regresión espontánea es excepcional y la recurrencia tras la escisión incompleta es frecuente.6 Sin embargo, no existe un acuerdo general en cuanto a las opciones de tratamiento para este tumor debido a ser una entidad extremadamente rara.7,8

El manejo quirúrgico sigue siendo la primera línea de tratamiento y se recomienda mediante una escisión local amplia, con márgenes de 1-2 cm, y evaluación completa de los márgenes circunferencial, periférico y profundo, si es posible.9

También se han descrito tratamientos locales (podofilina, crioterapia, electrocoagulación, fluorouracilo, láser CO2 e incluso radioterapia), o el uso coadyuvante de quimioterapia (bleomicina, metotrexato). Pero ninguna de estas conductas ha logrado disminuir la recurrencia de la lesión.10

El seguimiento debe ser la piedra angular después de la cirugía debido a su alta tasa de recurrencia. Se recomienda un seguimiento cada seis meses tras la cicatrización completa de la herida durante los dos primeros años.11



PRESENTACIÓN DEL CASO

Paciente masculino de 29 años que cuenta con antecedentes de importancia de VIH (+) de 12 años de evolución con terapia antirretroviral, no posee recuento de linfocitos T CD4, tampoco carga viral. Acude a consulta por masa en la región anal de 12 meses de evolución acompañada, durante este último mes, por proctalgia y proctorragia. A la exploración física se observa una tumoración gigante de aspecto en "coliflor", localizado en anodermo y hasta 6 cm por fuera del margen anal, de superficie verrugosa, con secreción sanguinolenta. Se toman estudios de laboratorio a su ingreso: hemoglobina 10.80 g/dl, hematocrito 34.60%, plaquetas 359 × 103/ml, leucocitos 15.13 × 103/ml, con neutrófilos 70.56 × 103/ml, linfocitos 1.44 × 103/ml, creatinina 1.0 mg/dl, nitrógeno ureico 8.6 mg/dl, urea 18.5 mg/dl, sodio 138 mEq/l, potasio 3.3 mEq/l y cloro 104 mEq/l. Se establece el diagnóstico de condiloma gigante y se programa intervención quirúrgica para realizar resección amplia. En sala de quirófano, previo bloqueo anestésico, se realizó aseo de región anal y márgenes perianales con iodopovidona (Figura 1).

Se traccionan los condilomas gigantes con pinzas de Allis y se inicia resección de los mismos con electrocauterio de energía monopolar con un margen de 20 mm de piel macroscópicamente sana (Figura 2), con posterior verificación de hemostasia. Posteriormente se introdujo anoscopio de Pratt para evaluación de conducto anal; se encuentran lesiones condilomatosas pequeñas, se procede a electrofulgurarlas, dándose por terminado el acto quirúrgico.

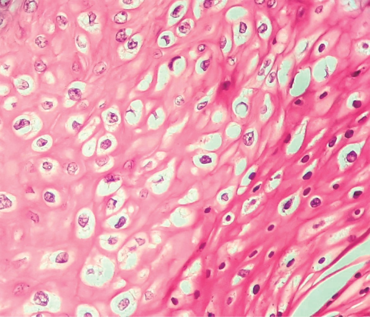
Se envían piezas a estudio histopatológico (Figura 3), identificando en cortes microscópicos patrón de crecimiento exofítico, con epitelio plano estratificado con acantosis importante. Las células basales con leve hipercromasia y atipia. La capa basal íntegra (Figura 4). En los tercios superficiales se identifican células con núcleos vesiculosos y citoplasma claro vascular (coilocitos) y escasas figuras de mitosis (Figura 5). La capa superficial demuestra un leve incremento de láminas de queratina. El estroma fibroso con múltiples vasos congestivos. De acuerdo con estos hallazgos se establece el diagnóstico de enfermedad de Buschke-Lowenstein con lesión escamosa intraepitelial anal de bajo grado NIA 1. El paciente fue citado en consulta externa dos meses posteriores al procedimiento quirúrgico; la región perianal se encuentra con una adecuada cicatrización, sin evidencia de nuevas lesiones condilomatosas o presencia de fístulas (Figura 6).



DISCUSIÓN

El tumor de Buschke-Lowenstein o condiloma acuminado gigante es un tumor verrucoso poco común de crecimiento lento de la región anogenital.1 Es causado por infección del virus del papiloma humano, especialmente los serotipos 6 y 11. Se ha descrito que pueden evolucionar a una displasia grave y sufrir incluso una transformación a carcinoma de células escamosas, especialmente en pacientes seropositivos al virus de la inmunodeficiencia humana.3

Debido al alto riesgo que tiene esta entidad patológica de convertirse en una neoplasia intraepitelial con evolución a carcinoma de células escamosas, en este caso se tomó la decisión de realizar una resección completa de las lesiones que incluyó anodermo y piel glútea por fuera del margen anal, con bordes sanos de hasta 20 mm por fuera de la lesión, lo cual es considerado actualmente el estándar de oro de acuerdo con la literatura revisada.6,9 Sin embargo, la recurrencia después del manejo quirúrgico se ha señalado que varía entre 60 a 66%; debido a esto, algunos autores han propuesto como tratamiento coadyuvante al manejo quirúrgico, la quimioterapia o radioterapia, sin embargo, la eficacia de los mismos no ha sido establecida.7 El seguimiento posterior al manejo quirúrgico debe considerarse como la piedra angular y se ha recomendado un seguimiento cada seis meses, durante dos años tras la cicatrización completa de la herida,11 esto con la finalidad de detectar recurrencias tempranas, evitando tratamientos médico quirúrgicos más complejos.



CONCLUSIONES

El tumor de Buschke-Lowenstein o condiloma acuminado gigante hasta el día de hoy sigue siendo una patología de presentación rara, pero con alto riesgo de transformación a una displasia severa e incluso a un carcinoma de células escamosas. En la última revisión sobre el tema se menciona que hasta el 2020 únicamente se habían reportado 97 casos de pacientes publicados en 55 artículos, por lo que nuestro propósito es informar de un nuevo caso de tumor de Buschke-Lowenstein con la finalidad registrar uno más al informe epidemiológico, así como el manejo quirúrgico que se implementó de resección quirúrgica de márgenes amplios de piel sana con la finalidad de evitar la recurrencia.



AGRADECIMIENTOS

Al Dr. Christian J. Torres Ortiz Ocampo por hacer posible la realización de este artículo.


REFERENCIAS (EN ESTE ARTÍCULO)

  1. Davis KG, Barton JS, Orangio G, Bivin W, Krane S. Buschke-Lowenstein tumors: a review and proposed classification system. Sex Transm Dis [Internet]. 2021; 48: e263-e268. Available in: https://pubmed.ncbi.nlm.nih.gov/33833150/

  2. Kuruvila S, Singh Y, Phansalkar M. Buschke-Lowenstein tumor: an intermediate between condyloma acuminata and verrucous carcinoma. Indian J Sex Transm Dis AIDS [Internet]. 2022; 43: 222-223. Available in: https://doi.org/10.4103/ijstd.ijstd_72_22

  3. Ates M, Akbulut S, Tuncer A, Sahin E, Karabulut E, Sarici KB. Squamous cell carcinoma arising from perianal Buschke-Lowenstein tumor (giant condyloma acuminatum): comprehensive literature review. J Gastrointest Cancer [Internet]. 2022; 53: 1083-1092. Available in: https://doi.org/10.1007/s12029-021-00713-y

  4. Purzycka-Bohdan D, Nowicki RJ, Herms F, Casanova JL, Fouéré S, Béziat V. The pathogenesis of giant condyloma acuminatum (Buschke-Lowenstein tumor): An overview. Int J Mol Sci [Internet]. 2022; 23: 4547. Available in: https://pubmed.ncbi.nlm.nih.gov/35562936/

  5. Solá-Truyols A, Mir-Bonafé JF. Perianal Buschke-Lowenstein tumor. J Cutan Med Surg [Internet]. 2021; 25: 560. Available in: https://pubmed.ncbi.nlm.nih.gov/32915062/

  6. Ben Kridis W, Werda I, Charfi S, Toumi N, Boudawara T, Mzali R, et al. Buschke-Lowenstein anal tumor: an ambiguous entity. Exp Oncol [Internet]. 2019; 41: 182-184. Available in: https://pubmed.ncbi.nlm.nih.gov/31262155/

  7. Cuenca Marín C, Álvarez-Palencia Rueda C, Ojeda Paredes D, Martínez Díez M, Luna Ordóñez S, Martínez Martínez C. Condiloma acuminado gigante (tumor de Buschke-Lowenstein). Prog Obstet Ginecol [Internet]. 2010; 53: 315-319. Disponible en: https://www.elsevier.es/es-revista-revista-mexicana-urologia-302-pdf-X2007408510905574

  8. Bertram P, Treutner KH, Rübben A, Hauptmann S, Schumpelick V. Invasive squamous-cell carcinoma in giant anorectal condyloma (Buschke-Lowenstein tumor). Langenbecks Arch Chir [Internet]. 1995; 380: 115-118. Available in: https://pubmed.ncbi.nlm.nih.gov/7760649/

  9. Fawaz B, Vieira C, Decker A, Lawrence N. Surgical treatment of verrucous carcinoma: a review. J Dermatol Treat [Internet]. 2022; 33: 1811-1815. Available in: https://doi.org/10.1080/09546634.2021.1914312

  10. Montaña CN, Labra WA, Schiappacasse FG. Condiloma acuminado gigante (tumor de Buschke Lowenstein): serie de 7 casos clínicos y revisión de la literatura. Rev Chil Radiol [Internet]. 2014; 20: 57-63. Disponible en: http://www.scielo.cl/scielo.php?script=sci_arttext&pid=S0717-93082014000200005&lng=es

  11. Sandoval I, Hernández R, Torres E, Yanque O. Giant condylomata acuminata of Buschke-Lowenstein. J Obstet Gynaecol [Internet]. 2020; 40: 582-583. Available in: https://doi.org/10.1080/01443615.2019.1607834



AFILIACIONES

1 Residente de segundo año de Cirugía General.

2 Residente de cuarto año de Cirugía General. Hospital Regional Universitario de Colima. México.

3 Médico adscrito. Cirujano coloproctólogo. Presidente del Colegio de Cirujanos del Estado de Colima. Hospital Regional Universitario de Colima. México.

4 Médico adscrito. Cirujano coloproctólogo. Hospital Regional Universitario de Colima. México.



CORRESPONDENCIA

César Alejandro López Romero. E-mail: cesar.lopez95@outlook.com




Recibido: 22/05/2023. Aceptado: 03/11/2023

Figura 1
Figura 2
Figura 3
Figura 4
Figura 5
Figura 6

2020     |     www.medigraphic.com

Mi perfil

C?MO CITAR (Vancouver)

Cir Gen. 2023;45

ARTíCULOS SIMILARES

CARGANDO ...