medigraphic.com
SPANISH

Cirujano General

ISSN 2594-1518 (Electronic)
ISSN 1405-0099 (Print)
  • Contents
  • View Archive
  • Information
    • General Information        
    • Directory
  • Publish
    • Instructions for authors        
    • Send manuscript
  • medigraphic.com
    • Home
    • Journals index            
    • Register / Login
  • Mi perfil

2023, Number 4

<< Back Next >>

Cir Gen 2023; 45 (4)

Buschke-Lowenstein tumor

López Romero, César Alejandro1; Florián López, Jaime Alejandro2; Torres Ortiz Ocampo, Christian J3; Flores Becerra, Elvis4
Full text How to cite this article 10.35366/115849

DOI

DOI: 10.35366/115849
URL: https://dx.doi.org/10.35366/115849

Language: English/Spanish [Versi?n en espa?ol]
References: 11
Page: 229-233
PDF size: 389.74 Kb.


Key words:

Buschke-Lowenstein tumor, condyloma acuminata, human papilloma virus, squamous cell carcinoma, giant wart.

ABSTRACT

Giant condyloma acuminata or Buschke-Lowenstein tumor is considered a sexually transmitted disease, associated with the human papilloma virus and specifically serotypes 6 and 11. Its incidence worldwide reaches 0.1% of the population with sexual activity and especially in patients carriers of some state of immunosuppression such as the human immunodeficiency virus. It behaves like a locally aggressive tumor. The standard treatment continues to be surgery. The following case is presented, which was managed with electrofulguration with wide resection of healthy margins and postoperative follow-up.



INTRODUCTION

In 1925, German dermatologists Abraham Buschke and Ludwig Lowenstein analyzed patients with penile lesions that they described as condylomas with carcinoma-like features. These lesions are now eponymously attributed to these two men as Buschke-Lowenstein tumors or giant condylomas. Gradually, reports involving other areas of the anogenital region appeared.1 Giant Buschke-Lowenstein condyloma acuminatum occurs most frequently in men and is transmitted by sexual contact, with an incidence of about 0.1% in the general population.

The incidence of this tumor is higher in homosexual or bisexual men. Low-risk human papillomavirus (HPV) types 6 and 11 are said to be associated with this tumor. It is well known that viral warts become larger and more resistant to treatment when there is altered host immunity, as in acquired disorders such as human immunodeficiency virus (HIV) infection.

This resistance is explained by the fact that the genome of HPV 6 and 11 encodes DNA sequences translated to produce E6 and E7, tumor suppressors that inactivate p53, resulting in uncontrolled replication of epithelial cells, ultimately leading to abnormal growth.2

Because of this, condylomas are initially benign and can later develop severe dysplasia and undergo transformation to squamous cell carcinoma.3 The transformation rate to malignancy is estimated at 56%, but no metastases are reported.4

Some authors consider it a low-grade epidermoid carcinoma, while others consider it a transitional form between epidermoid carcinoma and condyloma acuminata.5

The gold standard treatment remains surgery with healthy excision margins; spontaneous regression is exceptional, and recurrence after incomplete excision is frequent.6 However, there is no general agreement on treatment options for this tumor because it is an infrequent entity.7,8

Surgical management remains the first line of treatment and is recommended by wide local excision, with 1-2 cm margins, and complete evaluation of circumferential, peripheral, and deep margins, if possible.9

Local treatments (podophyllin, cryotherapy, electrocoagulation, fluorouracil, CO2 laser, and even radiotherapy) or the adjuvant use of chemotherapy (bleomycin, methotrexate) have also been described. However, these approaches have yet to reduce the lesion's recurrence successfully.10

Follow-up should be the cornerstone after surgery due to its high recurrence rate. Follow-up is recommended every six months after wound healing for the first two years.11



PRESENTATION OF THE CASE

We present the case of a 29-year-old male patient with a history of HIV (+) of 12 years of evolution with antiretroviral therapy, no CD4 T-lymphocyte count, and no viral load. He came for consultation due to a mass in the anal region of 12 months of evolution accompanied, during the last month, by proctalgia and proctorrhagia. Physical examination revealed a giant cauliflower-like tumor located in the anoderm and up to 6 cm outside the anal margin, with a warty surface and bloody discharge. Laboratory studies were taken on admission: hemoglobin 10.80 g/dl, hematocrit 34.60%, platelets 359 × 103/ml, leukocytes 15.13 × 103/ml, with neutrophils 70.56 × 103/ml, lymphocytes 1.44 × 103/ml, creatinine 1.0 mg/dl, urea nitrogen 8.6 mg/dl, urea 18.5 mg/dl, sodium 138 mEq/l, potassium 3.3 mEq/l and chlorine 104 mEq/l. The diagnosis of giant condyloma was established, and surgery was scheduled to perform a wide resection. In the operating room, after the anesthetic block, the anal region and perianal margins were cleaned with iodo povidone (Figure 1).

The giant condylomas were tractioned with Allis forceps, and their resection was started with monopolar energy electrocautery with a margin of 20 mm of macroscopically healthy skin (Figure 2), with subsequent verification of hemostasis. Subsequently, a Pratt anoscope was introduced to evaluate the anal canal; small condylomatous lesions were found, and they were electrofulgurated, ending the surgical procedure.

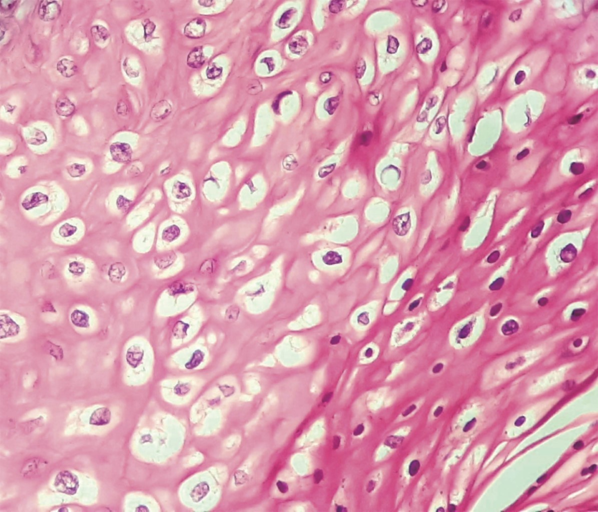
The specimens were sent for histopathologic study (Figure 3), identifying an exophytic growth pattern in microscopic sections with stratified flat epithelium with significant acanthosis-basal cells with mild hyperchromasia and atypia. The basal layer was intact (Figure 4). In the superficial thirds were cells with vesicular nuclei, clear vascular cytoplasm (koilocytes), and a few mitosis figures (Figure 5). The superficial layer demonstrated a slight increase in keratin lamellae. The fibrous stroma had multiple congestive vessels. According to these findings, the diagnosis of Buschke-Lowenstein disease with low-grade squamous intraepithelial anal lesion AIN 1 was established. The patient was referred to the outpatient clinic two months after the surgical procedure; the perianal region was adequately healed, with no evidence of new condylomatous lesions or fistulas (Figure 6).



DISCUSSION

Buschke-Lowenstein tumor or giant condyloma acuminatum is a rare, slow-growing verrucous tumor of the anogenital region.1 It is caused by infection with human papillomavirus, especially serotypes 6 and 11. It has been described that this tumor can progress to severe dysplasia and even undergo transformation to squamous cell carcinoma, especially in patients seropositive for human immunodeficiency virus.3

Due to the high risk that this pathological entity has of becoming an intraepithelial neoplasia with evolution to squamous cell carcinoma, in this case, the decision was made to perform a complete resection of the lesions that included anoderm and gluteal skin outside the anal margin, with healthy borders up to 20 mm outside the lesion, which is currently considered the gold standard according to the literature reviewed.6,9 However, recurrence after surgical management has been reported to vary between 60 and 66%; because of this, some authors have proposed chemotherapy or radiotherapy as adjuvant treatment to surgical management. However, their efficacy has yet to be established.7 Follow-up after surgical management should be considered the cornerstone, and it has been recommended that a follow-up visit every six months for two years after completing wound healing be performed.11 This is to detect early recurrences, avoiding more complex medical-surgical treatments.



CONCLUSIONS

The Buschke-Lowenstein tumor or giant condyloma acuminatum is still a rare pathology but with a high risk of transformation to severe dysplasia and even squamous cell carcinoma. In the last review on the subject, it was mentioned that until 2020, only 97 cases of patients published in 55 articles had been reported, so our purpose is to report a new case of Buschke-Lowenstein tumor in order to add one more to the epidemiological report, as well as the surgical management that was implemented of surgical resection of wide margins of healthy skin in order to avoid recurrence.



ACKNOWLEDGMENTS

To Dr. Christian J. Torres-Ortiz Ocampo for making this article possible.


REFERENCES

  1. Davis KG, Barton JS, Orangio G, Bivin W, Krane S. Buschke-Lowenstein tumors: a review and proposed classification system. Sex Transm Dis [Internet]. 2021; 48: e263-e268. Available in: https://pubmed.ncbi.nlm.nih.gov/33833150/

  2. Kuruvila S, Singh Y, Phansalkar M. Buschke-Lowenstein tumor: an intermediate between condyloma acuminata and verrucous carcinoma. Indian J Sex Transm Dis AIDS [Internet]. 2022; 43: 222-223. Available in: https://doi.org/10.4103/ijstd.ijstd_72_22

  3. Ates M, Akbulut S, Tuncer A, Sahin E, Karabulut E, Sarici KB. Squamous cell carcinoma arising from perianal Buschke-Lowenstein tumor (giant condyloma acuminatum): comprehensive literature review. J Gastrointest Cancer [Internet]. 2022; 53: 1083-1092. Available in: https://doi.org/10.1007/s12029-021-00713-y

  4. Purzycka-Bohdan D, Nowicki RJ, Herms F, Casanova JL, Fouéré S, Béziat V. The pathogenesis of giant condyloma acuminatum (Buschke-Lowenstein tumor): An overview. Int J Mol Sci [Internet]. 2022; 23: 4547. Available in: https://pubmed.ncbi.nlm.nih.gov/35562936/

  5. Solá-Truyols A, Mir-Bonafé JF. Perianal Buschke-Lowenstein tumor. J Cutan Med Surg [Internet]. 2021; 25: 560. Available in: https://pubmed.ncbi.nlm.nih.gov/32915062/

  6. Ben Kridis W, Werda I, Charfi S, Toumi N, Boudawara T, Mzali R, et al. Buschke-Lowenstein anal tumor: an ambiguous entity. Exp Oncol [Internet]. 2019; 41: 182-184. Available in: https://pubmed.ncbi.nlm.nih.gov/31262155/

  7. Cuenca Marín C, Álvarez-Palencia Rueda C, Ojeda Paredes D, Martínez Díez M, Luna Ordóñez S, Martínez Martínez C. Condiloma acuminado gigante (tumor de Buschke-Lowenstein). Prog Obstet Ginecol [Internet]. 2010; 53: 315-319. Disponible en: https://www.elsevier.es/es-revista-revista-mexicana-urologia-302-pdf-X2007408510905574

  8. Bertram P, Treutner KH, Rübben A, Hauptmann S, Schumpelick V. Invasive squamous-cell carcinoma in giant anorectal condyloma (Buschke-Lowenstein tumor). Langenbecks Arch Chir [Internet]. 1995; 380: 115-118. Available in: https://pubmed.ncbi.nlm.nih.gov/7760649/

  9. Fawaz B, Vieira C, Decker A, Lawrence N. Surgical treatment of verrucous carcinoma: a review. J Dermatol Treat [Internet]. 2022; 33: 1811-1815. Available in: https://doi.org/10.1080/09546634.2021.1914312

  10. Montaña CN, Labra WA, Schiappacasse FG. Condiloma acuminado gigante (tumor de Buschke Lowenstein): serie de 7 casos clínicos y revisión de la literatura. Rev Chil Radiol [Internet]. 2014; 20: 57-63. Disponible en: http://www.scielo.cl/scielo.php?script=sci_arttext&pid=S0717-93082014000200005&lng=es

  11. Sandoval I, Hernández R, Torres E, Yanque O. Giant condylomata acuminata of Buschke-Lowenstein. J Obstet Gynaecol [Internet]. 2020; 40: 582-583. Available in: https://doi.org/10.1080/01443615.2019.1607834



AFFILIATIONS

1 Second-year resident of General Surgery.

2 Fourth-year resident of General Surgery.

3 Attending physician. Coloproctologist Surgeon. President of the College of Surgeons of the State of Colima.

4 Attending physician. Coloproctologist Surgeon.
Regional University Hospital of Colima. Mexico.



CORRESPONDENCE

César Alejandro López Romero. E-mail: cesar.lopez95@outlook.com




Received: 05/22/2023. Accepted: 11/03/2023

Figure 1
Figure 2
Figure 3
Figure 4
Figure 5
Figure 6

2020     |     www.medigraphic.com

Mi perfil

C?MO CITAR (Vancouver)

Cir Gen. 2023;45