medigraphic.com
ENGLISH

Cirujano General

ISSN 2594-1518 (Digital)
ISSN 1405-0099 (Impreso)
  • Mostrar índice
  • Números disponibles
  • Información
    • Información general        
    • Directorio
  • Publicar
    • Instrucciones para autores        
    • Envío de artículos
  • medigraphic.com
    • Inicio
    • Índice de revistas            
    • Registro / Acceso
  • Mi perfil

2023, Número 4

<< Anterior Siguiente >>

Cir Gen 2023; 45 (4)


Tumor mucinoso del apéndice

Lizárraga-Castro, Jesús Alberto1; Mejía-Picasso, Carlos Alberto2; García-Garrido, Edwin3; Fernández-García, Jorge Eduardo1; Torres-Ramírez, Pedro Ángel4
Texto completo Cómo citar este artículo 10.35366/115850

DOI

DOI: 10.35366/115850
URL: https://dx.doi.org/10.35366/115850
Artículos similares

Idioma: Español/Inglés [English version]
Referencias bibliográficas: 10
Paginas: 234-238
Archivo PDF: 258.40 Kb.


PALABRAS CLAVE

apéndice cecal, tumor mucinoso, apendicetomía, tumor de apéndice, cirugía.

RESUMEN

El tumor mucinoso es un tumor con muy baja incidencia, la cual se reporta en el 0.2% de apendicectomías realizadas. Se presenta caso de una mujer de 44 años de edad que ingresa a urgencias por dolor abdominal en fosa iliaca derecha con sospecha de apendicitis aguda. Se reportan laboratorios con leucocitosis con neutrofilia al 71%; ultrasonido que evidencia masa compleja en fosa iliaca derecha y tomografía simple y contrastada de abdomen que muestra colección sub y retrocecal. Se realiza laparotomía exploradora obteniendo tumor dependiente de tercio medio y distal apendicular. Se realiza resección primaria y se envía pieza a patología. El estudio histopatológico reporta neoplasia mucinosa de apéndice cecal; la inmunohistoquímica señala CKAE1/AE3 negativo, CK20 negativo, CK7 negativo, MUC 5 negativo.



INTRODUCCIÓN

El tumor mucinoso del apéndice fue descrito por primera vez por Rokitansky en 1842. La literatura reporta una incidencia de 0.2-0.4% de todas las apendicetomías realizadas1 y una frecuencia menor a 0.5% de todos los tumores gastrointestinales.2 Tomando en cuenta su baja incidencia, el hallazgo incidental durante la cirugía es la forma más común de su aparición. Tiene predominancia en las mujeres de 4:1 y con mayor frecuencia por arriba de los 50 años.1

La forma de presentación puede ser variable. En la gran mayoría de casos, el síntoma más común es el dolor abdominal en fosa iliaca derecha, por lo que puede hacer que se confunda con un cuadro de apendicitis aguda, siendo este el diagnóstico diferencial más habitual.3

El diagnóstico suele realizarse durante la cirugía o de forma incidental en el análisis de las piezas histológicas. Los tumores mucinosos representan alrededor de 8% de las neoplasias apendiculares y pueden originar dilatación quística del apéndice debido a la acumulación de material gelatinoso.4

Según la clasificación de Pai y Longacre, los tumores mucinosos del apéndice se dividen en cistoadenoma mucinoso, neoplasia mucinosa de potencial incierto maligno, neoplasia mucinosa de bajo potencial maligno y adenocarcinoma mucinoso. La ascitis mucinosa, conocida como pseudomixoma peritoneal, se encuentra en más de 50% de estos pacientes y su presencia indica un estadio más avanzado y un peor pronóstico. Puede presentarse como de bajo grado (adenomucinosis peritoneal difusa), o de alto grado (carcinomatosis peritoneal difusa).5

El tratamiento de esta entidad se basa en el estadio y la histología. Los tumores de bajo grado se pueden manejar quirúrgicamente con resección del tumor primario en etapa temprana o, en algunos casos, valorar la hemicolectomía radical derecha según la afectación.6

El objetivo principal de este estudio es exponer la presentación clínica del tumor mucinoso del apéndice mediante el informe de un caso clínico estudiado en nuestro medio hospitalario y una revisión breve de la literatura sobre esta entidad patológica.



PRESENTACIÓN DEL CASO

Paciente femenino de 44 años con antecedentes de diabetes tipo 2 de 15 años de evolución en tratamiento con metformina y glibenclamida. Hipertensión arterial sistémica de 20 años de evolución en tratamiento con atenolol y amlodipino. Colecistectomía laparoscópica 10/01/2022, que posteriormente requirió derivación biliodigestiva en Y de Roux secundaria a disrupción anatómica de vía biliar de Bismuth 3 13/03/22.



PADECIMIENTO ACTUAL

Inicia con dolor abdominal de 36 horas de evolución posterior a ingesta de comida copiosa, de predominio en fosa iliaca derecha, sin irradiaciones, acompañado de náusea e intolerancia de vía oral. Es manejada con antiespasmódico por medio privado, sin mejoría de sintomatología.

A la exploración física se encuentra con signos vitales con tensión arterial en 130/70 mmHg, frecuencia respiratoria en 20 ventilaciones por minuto, frecuencia cardiaca de 85 latidos por minuto, temperatura de 37 grados centígrados. Consciente, alerta, reactiva, Glasgow 15 puntos, normocéfala, cuello corto sin adenomegalias, tórax simétrico con adecuada entrada y salida aire, campos pulmonares sin estertores, ruidos cardiacos rítmicos, de buen tono sin ruidos agregados, abdomen globoso a expensas de panículo adiposo, cicatriz subcostal en hipocondrio derecho y epigastrio, peristalsis presente, dolor abdominal generalizado a la palpación profunda, de predominio en fosa iliaca derecha, maniobra de McBurney positivo, Dunphy positivo, signo de Lanz negativo, Talo percusión negativo, obturador negativo, genitales diferidos, extremidades eutróficas, íntegras.



PREQUIRÚRGICOS

Laboratorios de ingreso a hospitalización (02/11/22): hemoglobina 12.9 g/dl, hematocrito 39%, leucocitos 13.2 × 109/l, neutrófilos 71%, plaquetas 275 × 109/l, glucosa 117 mg/dl, BUN 7.4 mg/dl, urea 15.8 mg/dl, creatinina 0.47 mg/dl, proteínas totales 8 g/dl, albúmina 3.8 g/dl, bilirrubina total 0.8 mg/dl, AST 21 IU/l, ALT 47 IU/l, LDH 135 IU/l, sodio 137 mmol/dl, potasio 3.62 mmol/dl, cloro 99 mmol/dl, amilasa 90 U/l, lipasa 21 U/l, proteína C reactiva 10 mg/dl.

Se realizan estudios de gabinete para complementar abordaje diagnóstico. Reportan lo siguiente:

USG abdominal 02/11/22: masa compleja en fosa iliaca derecha, morfología ovoide, con bordes definidos, aspecto heterogéneo predominantemente hipoecoico con áreas mal definidas internas de menor ecogenicidad y zonas focales ecogénicas, avascular al Doppler color, con dimensiones de 58 × 38 × 48 mm, no se descarta apendicitis complicada vs proceso neoplásico, quiste hemorrágico en ovario izquierdo O-RADS 2 (riesgo de malignidad menor del 1%), quiste simple en ovario derecho.

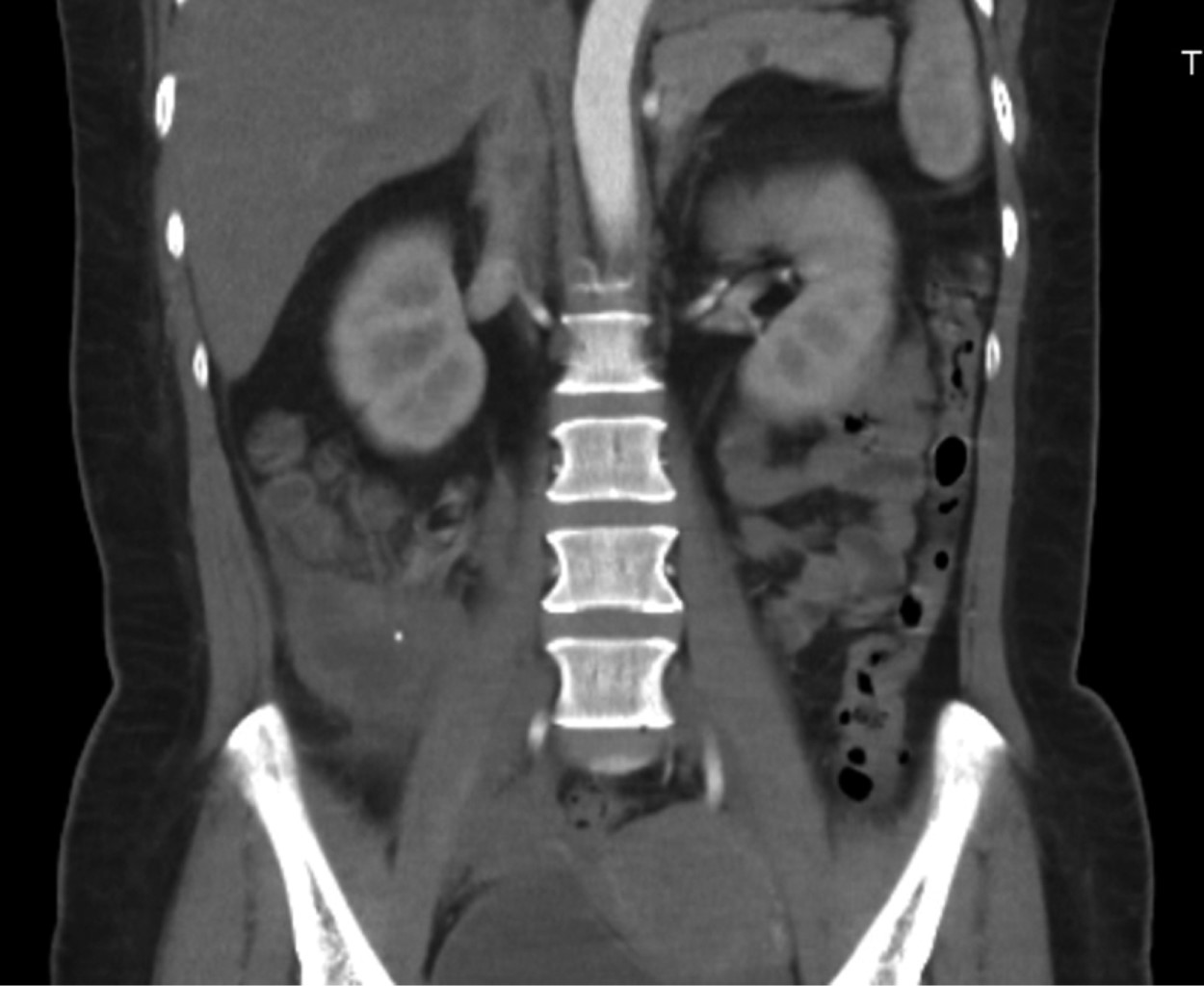
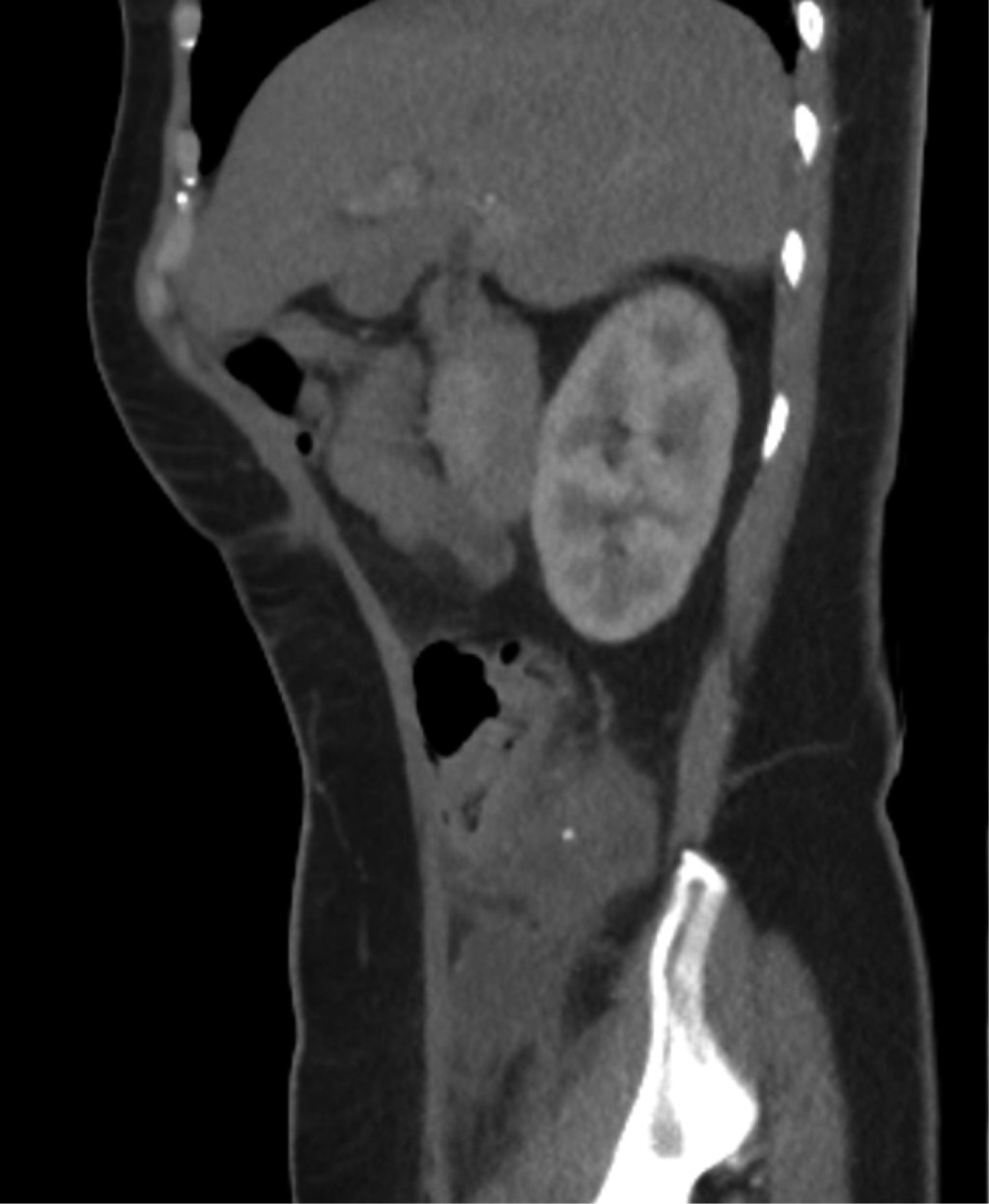
Tomografía simple y contrastada abdominopélvica 03/11/22: colección sub y retrocecal de 50 cm3 con proceso inflamatorio periférico, lo cual sugiere proceso apendicular complicado (Figuras 1 y 2).



TRANSQUIRÚRGICO

Es ingresada a quirófano donde se efectúa laparotomía exploratoria (04/10/2022). Se realiza incisión en línea media infraumbilical; se accede a cavidad abdominal, se observa peritonitis ubicada en fosa iliaca derecha, se localiza apéndice retrocecal, con plastrón dependiente de tumor apendicular en tercio medio y distal de 4 cm de diámetro con base apendicular respetada. Se realiza apendicetomía simple con punto en U y técnica de invaginación. Se coloca drenaje tipo Penrose, dirigiéndolo hacia fosa iliaca derecha.

Se toma pieza quirúrgica y se envía a patología (Figura 3).



POSTQUIRÚRGICO

Paciente con adecuada evolución clínica postquirúrgica. Se mantuvo en vigilancia por cuatro días en hospitalización, presentando gasto de Penrose tipo seroso de aproximadamente 5 ml cada 24 horas; se manejó con antibioticoterapia a base de ceftriaxona y metronidazol por tres días y posteriormente es egresada para continuar estudio y obtener respuesta de patología por consulta externa.

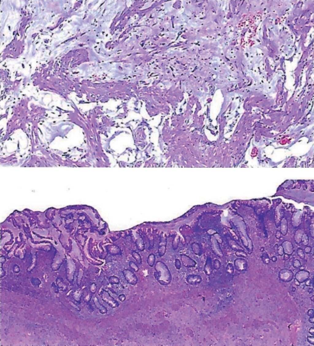
Reporte de patología 06/12/22: neoplasia mucinosa del apéndice cecal rota e inflamación aguda intensa pseudomixoma peritoneal secundario. El reporte recomienda estudio de inmunohistoquímica para confirmar diagnóstico y descartar malignidad (Figura 4).

Reporte de inmunohistoquímica 13/12/22: CKAE1/AE3 negativo, CK20 negativo, CK7 negativo, MUC5 negativo. Diagnóstico: tumor mucinoso con apendicitis aguda y adenomucinosis, probable cistoadenoma mucinoso.

Marcadores tumorales 19/12/22: antígeno carcinoembrionario: 1.0 ng/ml. Antígeno CA-125: 6.75 U/ml.

Paciente que fue valorada por el Servicio de Cirugía Oncológica en el postquirúrgico y con protocolo completo de estudios postquirúrgicos, donde se determinó que, al deberse de una neoplasia mucinosa de bajo grado, requiere sólo seguimiento por consulta externa y no amerita algún otro tipo de tratamiento.

Fue valorada en consulta externa de cirugía general a los dos meses postquirúrgicos; se encuentra con adecuada evolución, sin referir síntomas gastrointestinales.



DISCUSIÓN

El termino mucocele fue creado en 1842 por Rokitansky; sin embargo, en la actualidad sólo se usa para la descripción macroscópica o por imágenes y como término clínico, nunca como diagnóstico definitivo.5

Como mencionamos con anterioridad, la forma de presentación de los tumores mucinosos del apéndice es rara e inespecífica: varía desde formas totalmente asintomáticas a cuadros de dolor abdominal en fosa iliaca derecha similares a una apendicitis aguda, masa palpable, hemorragia digestiva o síntomas urológicos tal como fue en el caso presentado. En nuestra paciente, la presentación clínica inició por un dolor abdominal en fosa iliaca derecha, que simulaba un cuadro de apendicitis aguda, por lo que el objetivo principal del tratamiento quirúrgico era realizar una apendicetomía; pero durante el transquirúrgico, se presentaron hallazgos sugestivos de una neoplasia, la cual fue confirmada posteriormente por patología como un tumor mucinoso del apéndice.

Los tumores del apéndice son condiciones clínicas infrecuentes, además que la inespecificidad de los síntomas condiciona que en la mayoría de los casos sean diagnosticados como un hallazgo transoperatorio o bien por el reporte histopatológico postoperatorio.5,6

La literatura refiere predominio en el sexo femenino y un pico de presentación entre la quinta y sexta década de la vida en promedio, tal y como sucede en nuestra paciente. No existe una prueba establecida para el diagnóstico. Sin embargo, en estudios de ultrasonografía se puede observar una lesión hipoecoica; mientras que en tomografía las imágenes son hipodensas y homogéneas, similares a "capas de cebolla" en ocasiones con zonas quísticas en el interior o con paredes calcificadas muchas veces adyacentes al ciego.7 Si el apéndice mide ≥ 15 mm en su diámetro transverso, se sospecha mucocele con una sensibilidad de 83% y especificidad de 92%.8

La prueba de imagen considerada de elección es la tomografía computarizada, que resulta diagnóstica en menos de 50% de los casos.1 Si bien, de primera instancia la sospecha diagnóstica de nuestro paciente era un cuadro de apendicitis aguda y no un tumor mucinoso de apéndice, la tomografía computarizada −que es considerada el mejor estudio de imagen en ambas entidades patológicas− fue un complemento diagnóstico importante en el abordaje; sin embargo, no fue concluyente. La presencia de irregularidad en la pared del apéndice y el aumento de grosor de los tejidos blandos pueden predecir la malignidad del tumor.8

Para complementar la evaluación del paciente, el tejido tumoral fue sometido a inmunohistoquímica de CK20 y CK7. CK20 es una citoqueratina y un marcador de tumores intestinales, CK7 es una citoqueratina y marcador de neoplasias malignas ginecológicas,9 reportados como coadyuvantes en el diagnóstico de esta entidad. El resultado de la inmunohistoquímica resultó ser negativo.

Los marcadores tumorales como ACE, CA 19-9 y CA-125 tienen también un valor diagnóstico y pronóstico para las neoplasias mucinosas y pueden ser utilizados en el seguimiento postoperatorio.10 La paciente fue evaluada con ACE y CA-125, los cuales fueron cuantificados en parámetros normales. Teniendo en consideración los resultados de las pruebas de inmunohistoquímica y marcadores tumorales, el caso no fue considerado concluyente para neoplasia con algún grado de malignidad, motivo por el cual la paciente fue manejada con seguimiento y no hubo necesidad de realizar otra intervención quirúrgica.

El tratamiento de elección es quirúrgico y pueden ir desde apendicetomía con márgenes libres para las lesiones pequeñas sin rotura y que no tengan aspecto neoplásico, hasta hemicolectomía radical derecha en los casos que tengan riesgo de presentar cistoadenocarcinomas, para las lesiones grandes o perforadas. Si el hallazgo es incidental durante la cirugía, se recomienda la conversión de laparoscopia a laparotomía por el riesgo de diseminación de mucina y la necesidad de explorar áreas como el colon o los ovarios.8



CONCLUSIONES

Los tumores mucinosos del apéndice son un grupo heterogéneo de neoplasias con baja incidencia y de presentación clínica insidiosa, por lo que son un reto diagnóstico para el cirujano. El abordaje diagnóstico con los estudios de laboratorio e imagen son de suma importancia en estos pacientes; la tomografía computarizada es el estudio de elección. Ya que por lo general se considera un diagnóstico transquirúrgico, la cirugía de primera instancia es fundamental y puede ser definitiva para los pacientes, por lo que el cirujano debe ser consciente de esta entidad y tomar las decisiones correctas cuando se enfrente a ella para que de esta forma elija la mejor conducta quirúrgica y se eviten complicaciones.


REFERENCIAS (EN ESTE ARTÍCULO)

  1. Asenov Y, Korukov B, Penkov N, Sedloev T, Tihtchev V, Hadzhiysca V, et al. Appendiceal mucocele - Case report and review of the literature. Chirurgia (Bucur). 2015; 110: 565-569.

  2. Benedix F, Reimer A, Gastinger I, Mroczkowski P, Lippert H, Kube R, et al. Primary appendiceal carcinoma-epidemiology, surgery and survival: results of a German multi-center study. Eur J Surg Oncol. 2010; 36: 763-771.

  3. Arias Moreno R, Treviño Taboada EP, García Bravo LM. Tumores apendiculares, cistoadenoma mucinoso. Rev Sal Jal. 2021; 8: 119-123.

  4. Shaib WL, Assi R, Shamseddine A, Alese OB, Staley C III, Memis B, et al. Appendiceal mucinous neoplasms: Diagnosis and management. Oncologist. 2017; 22: 1107-1116.

  5. Nutu OA, Marcacuzco Quinto AA, Manrique Municio A, Justo Alonso I, Calvo Pulido J, García-Conde M, et al. Tumores mucinosos del apéndice: incidencia, diagnóstico y tratamiento quirúrgico. Cir Esp. 2017; 95: 321-327.

  6. Pilco P, Beltrán-Flores S, López-Burga M. Cistoadenocarcinoma mucinoso de apéndice cecal. Rev Chil Cir. 2016; 68: 319-322.

  7. Shankar S, Ledakis P, El Halabi H, Gushchin V, Sardi A. Neoplasms of the appendix: current treatment guidelines. Hematol Oncol Clin North Am. 2012; 26: 1261-1290.

  8. Zuluaga Santamaría A, Sarmiento Serrano JR, Cock Botero AM, Uribe González R, Osorio Castrillón LM, Isaza Zapata S, et al. Neoplasias mucinosas del apéndice. Rev Colomb Radiol. 2015; 26: 4252-4259.

  9. Ronnett BM, Shmookler BM, Diener-West M, Sugarbaker PH, Kurman RJ. Immunohistochemical evidence supporting the appendiceal origin of pseudomyxoma peritonei in women. Int J Gynecol Pathol. 1997; 16: 1-9.

  10. Zhong Y, Deng M, Xu R, Kokudo N, Tang W. Pseudomyxoma peritonei as an intractable disease and its preoperative assessment to help improve prognosis after surgery: A review of the literature. Intractable Rare Dis Res. 2012; 1: 115-121.



AFILIACIONES

1 Residente de primer año. Servicio de Cirugía General, Hospital de Alta Especialidad "Dr. Gustavo A. Rovirosa Pérez". México.

2 Médico adscrito del Servicio de Cirugía General. Servicio de Cirugía General, Hospital de Alta Especialidad "Dr. Gustavo A. Rovirosa Pérez". México.

3 Residente de segundo año. Servicio de Cirugía General, Hospital de Alta Especialidad "Dr. Gustavo A. Rovirosa Pérez". México.

4 Residente de tercer año. Servicio de Cirugía General, Hospital de Alta Especialidad "Dr. Gustavo A. Rovirosa Pérez". México.



CORRESPONDENCIA

Jesús Alberto Lizárraga-Castro. E-mail: jeesus08@hotmail.com




Recibido: 10/02/2023. Aceptado: 24/11/2023.

Figura 1
Figura 2
Figura 3
Figura 4

2020     |     www.medigraphic.com

Mi perfil

C?MO CITAR (Vancouver)

Cir Gen. 2023;45

ARTíCULOS SIMILARES

CARGANDO ...