medigraphic.com
SPANISH

Cirujano General

ISSN 2594-1518 (Electronic)
ISSN 1405-0099 (Print)
  • Contents
  • View Archive
  • Information
    • General Information        
    • Directory
  • Publish
    • Instructions for authors        
    • Send manuscript
  • medigraphic.com
    • Home
    • Journals index            
    • Register / Login
  • Mi perfil

2023, Number 4

<< Back Next >>

Cir Gen 2023; 45 (4)

Mucinous tumor of the appendix

Lizárraga-Castro, Jesús Alberto1; Mejía-Picasso, Carlos Alberto2; García-Garrido, Edwin3; Fernández-García, Jorge Eduardo1; Torres-Ramírez, Pedro Ángel4
Full text How to cite this article 10.35366/115850

DOI

DOI: 10.35366/115850
URL: https://dx.doi.org/10.35366/115850

Language: English/Spanish [Versi?n en espa?ol]
References: 10
Page: 234-238
PDF size: 376.03 Kb.


Key words:

cecal appendix, mucinous tumor of the appendix, appendectomy, appendix tumor, surgery.

ABSTRACT

The mucinous tumor is a tumor with a very low incidence which is reported in 0.2% of appendectomies performed. We present the case of a 44-year-old female who was admitted to the emergency department due to abdominal pain in the right iliac fossa with suspicion of acute appendicitis, labs were reported with leukocytosis with neutrophilia at 71%, ultrasound reporting a complex mass in the right iliac fossa and tomography simple and contrasted abdomen that reports sub and retrocecal collection. A laparotomy was performed obtaining a tumor dependent on the middle third and distal appendiceal, primary resection was performed and the piece was sent to pathology. A mucinous neoplasm of the cecal appendix and immunohistochemistry were reported by histopathological study with CKAE1/AE3 negative, CK20 negative, CK7 negative, MUC 5 negative.



INTRODUCTION

The mucinous tumor of the appendix was first described by Rokitansky in 1842. The literature reports an incidence of 0.2-0.4% of all appendectomies performed,1 and a frequency of less than 0.5% of all gastrointestinal tumors.2 Considering its low incidence, incidental findings during surgery are the most common form of its appearance. It predominates 4:1 in women and has a higher frequency above 50 years of age.1

The form of presentation can be variable. In most cases, the most common symptom is abdominal pain in the right iliac fossa, which can be confused with acute appendicitis, this being the most common differential diagnosis.3

The diagnosis is usually made during surgery or incidentally in the analysis of histologic specimens. Mucinous tumors represent about 8% of appendiceal neoplasms and can cause cystic dilatation of the appendix due to the accumulation of gelatinous material.4

According to the Pai and Longacre classification, mucinous tumors of the appendix are divided into mucinous cystadenoma, mucinous neoplasm of uncertain malignant potential, mucinous neoplasm of low malignant potential, and mucinous adenocarcinoma. Mucinous ascites, known as pseudomyxoma peritonei, is found in more than 50% of these patients, and its presence indicates a more advanced stage and worse prognosis. It can present as low-grade (diffuse peritoneal adenomucinosis) or high-grade (diffuse peritoneal carcinomatosis).5

Treatment of this entity is based on stage and histology. Low-grade tumors can be managed surgically with resection of the primary tumor at an early stage, or, in some cases, radical right hemicolectomy may be considered depending on the involvement.6

The main objective of this study is to present the clinical presentation of the mucinous tumor of the appendix through the report of a clinical case study in our hospital environment and a brief review of the literature on this pathological entity.



PRESENTATION OF THE CASE

This is the case of a 44-year-old female patient with a history of type 2 diabetes of 15 years of evolution in treatment with metformin and glibenclamide, and systemic arterial hypertension of 20 years of evolution in treatment with atenolol and amlodipine. She had a laparoscopic cholecystectomy on 10/01/2022, which subsequently required a Roux-en-Y biliodigestive bypass secondary to anatomical disruption of the bile duct of Bismuth 3 on 13/03/22.



CURRENT CONDITION

She started with abdominal pain of 36 hours of evolution after ingestion of copious food, predominantly in the right iliac fossa, without irradiation, accompanied by nausea and oral intolerance. She was managed with antispasmodic by private means, without improvement of symptomatology.

On physical examination, she had vital signs with a blood pressure of 130/70 mmHg, respiratory rate of 20 breaths per minute, heart rate of 85 beats per minute, and temperature of 37° Celsius. She was conscious, alert, reactive, Glasgow 15 points, regular head, short neck without adenomegaly, symmetrical thorax with adequate air inlet and outlet, lung fields without rales, rhythmic heart sounds, good tone without added noises, abdomen globose at the expense of adipose panniculus, subcostal scar in the right hypochondrium and epigastrium, peristalsis present, generalized abdominal pain on deep palpation, predominantly in the right iliac fossa, positive McBurney maneuver, positive Dunphy, negative Lanz sign, negative Thalus percussion, negative obturator, deferred genitalia, eutrophic extremities, intact.



PRE OPERATIVE

Hospital admission labs (02/11/22): hemoglobin 12.9 g/dL, hematocrit 39%, leukocytes 13.2 × 109/L, neutrophils 71%, platelets 275 × 109/L, glucose 117 mg/dL, BUN 7.4 mg/dL, urea 15.8 mg/dL, creatinine 0.47 mg/dL, total protein 8 g/dL, albumin 3.8 g/dL, total bilirubin 0.8 mg/dL, AST 21 IU/L, ALT 47 IU/L, LDH 135 IU/L, sodium 137 mmol/dL, potassium 3.62 mmol/dL, chloride 99 mmol/dL, amylase 90 U/L, lipase 21 U/L, C-reactive protein 10 mg/dL.

Imaging studies were performed to complement the diagnostic approach. They reported the following: an abdominal USG on 02/11/22 showed a complex mass in the right iliac fossa, ovoid morphology with defined borders, of heterogeneous aspect predominantly hypoechoic with poorly defined internal areas of lower echogenicity and echogenic focal areas, avascular on color Doppler, with dimensions of 58 × 38 × 48 mm; complicated appendicitis vs. neoplastic process not ruled out was concluded. A hemorrhagic cyst in the left ovary O-RADS 2 (risk of malignancy less than 1%), and a simple cyst in the right ovary were also seen.

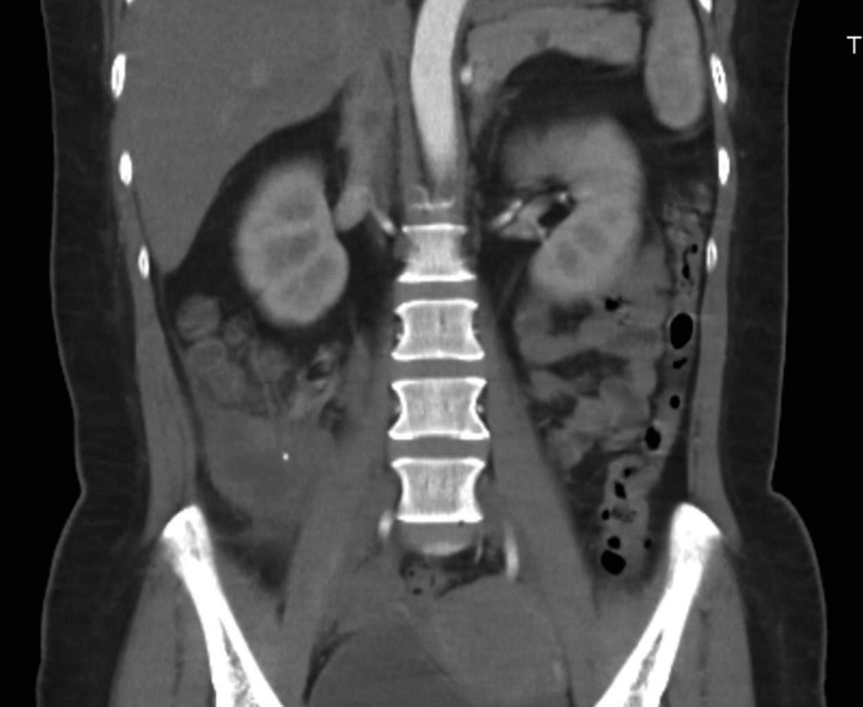
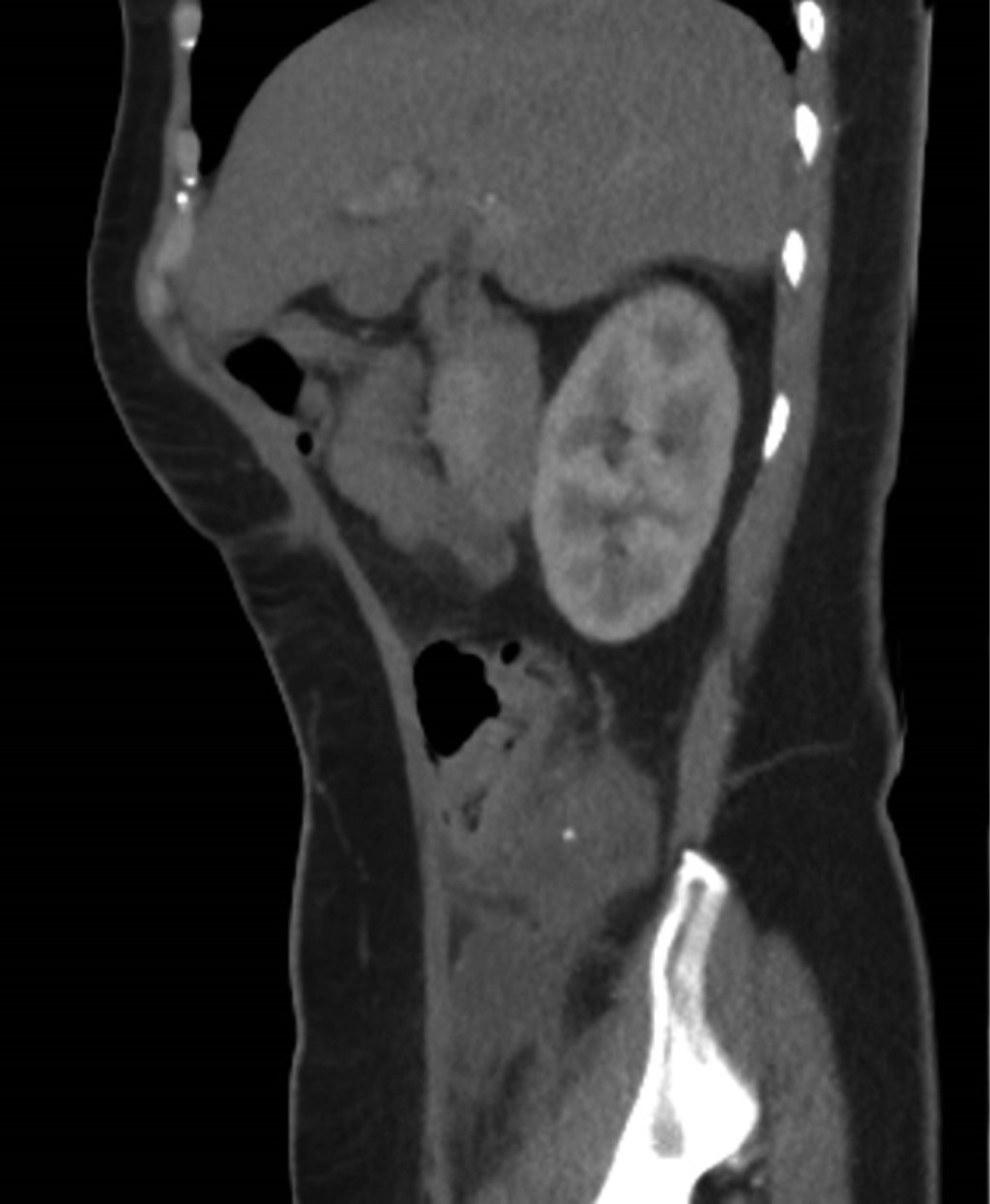
A simple and contrasted abdominopelvic CT scan on 03/11/22 showed a sub and retrocecal collection of 50 cm3 with a peripheral inflammatory process, suggesting a complicated appendicular process (Figures 1 and 2).



TRANS OPERATIVE

She was admitted to the operating room, where an exploratory laparotomy was performed (04/10/2022). An infraumbilical midline incision was made; the abdominal cavity was accessed, and peritonitis was observed in the right iliac fossa. A retrocecal appendix was located, with a plastron dependent on the appendicular tumor in the middle and distal thirds measuring 4 cm in diameter with an appendicular base respected. A simple appendectomy with U-stitch and invagination technique was performed. A Penrose-type drainage was placed, directing it towards the right iliac fossa. A surgical specimen was taken and sent to pathology (Figure 3).



POSTOPERATIVE

The patient had an adequate clinical evolution post-surgery. She was kept under surveillance for four days in the hospital, presenting serous Penrose discharge of approximately 5 mL every 24 hours; she was managed with antibiotic therapy based on ceftriaxone and metronidazole for three days and was subsequently discharged for further study and to obtain the pathology report from the outpatient department.

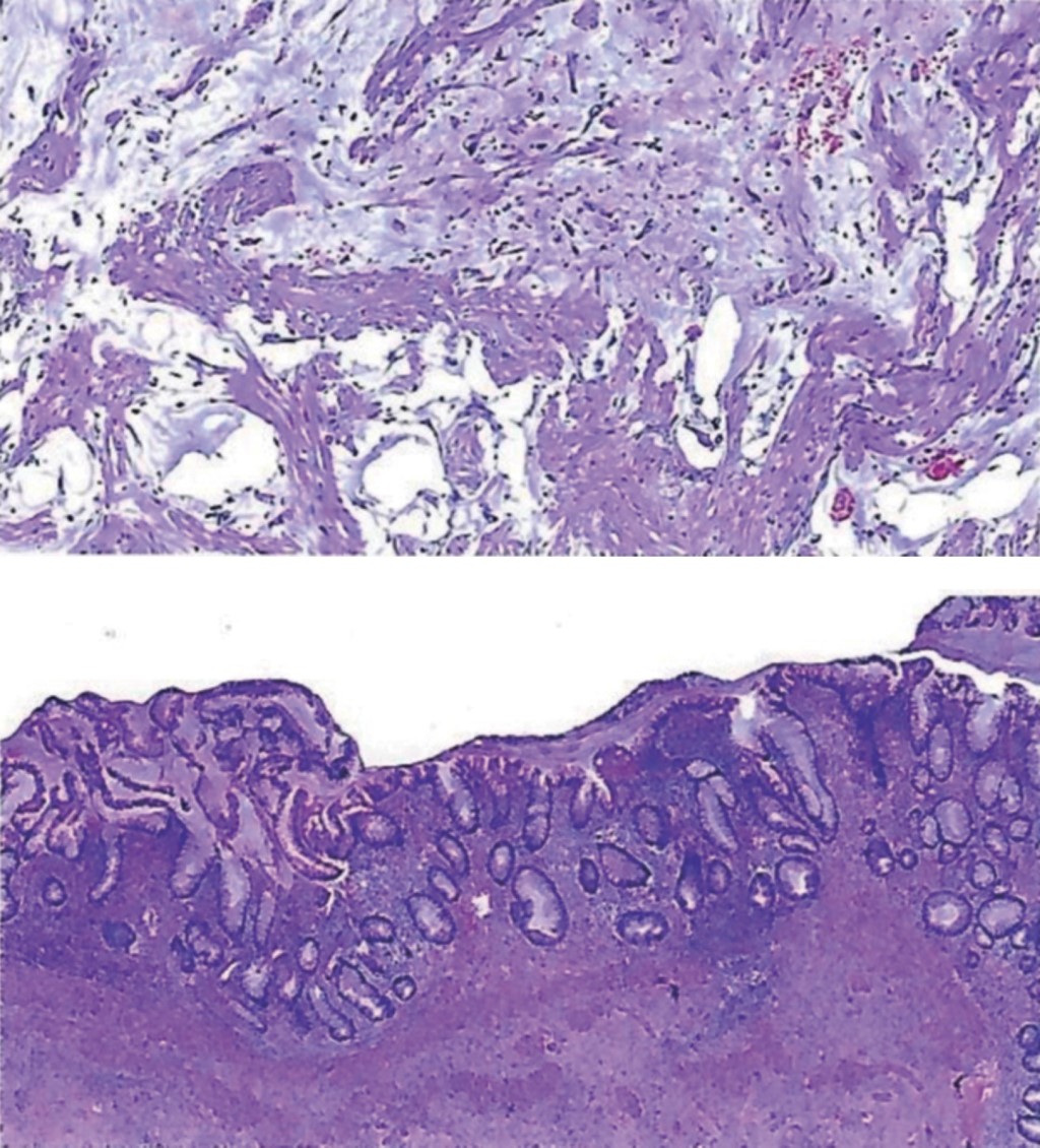
The pathology report on 06/12/22 was of a mucinous neoplasm of the ruptured cecal appendix and acute intense inflammation secondary pseudomyxoma peritoneum. The report recommended an immunohistochemical study to confirm the diagnosis and rule out malignancy (Figure 4).

Immunohistochemistry report 12/13/22: CKAE1/AE3 negative, CK20 negative, CK7 negative, MUC5 negative. The definitive diagnosis was a mucinous tumor with acute appendicitis and adenomucinosis, probable mucinous cystadenoma.

Tumor markers 19/12/22 indicated a 1.0 ng/mL carcinoembryonic antigen and a CA-125 antigen of 6.75 U/mL.

The Oncologic Surgery Service evaluated the patient in the postoperative period, using a complete protocol of post-surgical studies. It was determined that, since it was a low-grade mucinous neoplasm, it only required outpatient follow-up with any other type of treatment.

She was evaluated at the general surgery outpatient clinic two months after surgery; she was doing well and had no gastrointestinal symptoms.



DISCUSSION

The term mucocele was created in 1842 by Rokitansky; however, it is currently only used for macroscopic or imaging description and as a clinical term, never as a definitive diagnosis.5

As previously mentioned, the presentation of mucinous tumors of the appendix is rare and non-specific. It varies from totally asymptomatic forms to abdominal pain in the right iliac fossa, like acute appendicitis, palpable mass, digestive hemorrhage, or urological symptoms as in the case presented. In our patient, the clinical presentation began with abdominal pain in the right iliac fossa, which simulated a picture of acute appendicitis, so the main objective of surgical treatment was to perform an appendectomy. However, during the trans surgical period, there were findings suggestive of a neoplasm, which was later confirmed by pathology as a mucinous tumor of the appendix.

Tumors of the appendix are infrequent clinical conditions, and the non-specificity of the symptoms means that in most cases, they are diagnosed as a trans surgical finding or by the postoperative histopathological report.5,6

The literature reports a female predominance and a peak presentation between the fifth and sixth decade of life on average, as in our patient. There is no established test for diagnosis. However, in ultrasonography studies, a hypoechoic lesion can be observed, while in tomography, the images are hypodense and homogeneous, like "onion layers", sometimes with cystic areas inside or with calcified walls many times adjacent to the cecum.7 If the appendix measures ≥ 15 mm in its transverse diameter, a mucocele should be suspected with a sensitivity of 83% and specificity of 92%.8

The imaging test of choice is computed tomography, which is diagnostic in less than 50% of the cases.1 Although, in the first instance, the diagnostic suspicion in our patient was acute appendicitis and not a mucinous tumor of the appendix, computed tomography -which is considered the best imaging study in both pathologic entities- was an essential diagnostic complement in the approach; however, it was not conclusive. The irregularity in the appendiceal wall and increased soft tissue thickness may predict tumor malignancy.8

As a complement to the patient's evaluation, the tumor tissue was subjected to CK20 and CK7 immunohistochemistry. CK20 is a cytokeratin and a marker of intestinal tumors, and CK7 is a cytokeratin and a marker of gynecologic malignancies,9 reported as an adjuvant in diagnosing this entity. The immunohistochemistry result was negative.

Tumor markers such as CEA, CA 19-9, and CA-125 also have diagnostic and prognostic value for mucinous neoplasms and can be used in postoperative follow-up.10 The patient was evaluated with CEA and CA-125, which were found to be in the normal range. Considering the results of the immunohistochemistry and tumor marker tests, the case was considered not conclusive for neoplasia with any degree of malignancy. Therefore, the patient was managed with follow-up, and there was no need to perform another surgical intervention.

The treatment of choice is surgical and can range from appendectomy with free margins for small lesions without rupture and neoplastic aspect to radical right hemicolectomy in cases at risk of presenting a cystadenocarcinoma for large or perforated lesions. If the finding is incidental during surgery, conversion from laparoscopy to laparotomy is recommended because of the risk of mucin dissemination and the need to explore areas such as the colon or ovaries.8



CONCLUSIONS

Mucinous tumors of the appendix are a heterogeneous group of neoplasms with low incidence and insidious clinical presentation, making them a diagnostic challenge for the surgeon. The diagnostic approach with laboratory and imaging studies is of utmost importance in these patients; computed tomography is the study of choice. Since it is generally considered a trans operative diagnosis, surgery in the first instance is fundamental. It can be definitive for patients, so the surgeon must be aware of this entity and make the right decisions when faced with it so that he/she can choose the best surgical conduct and avoid complications.


REFERENCES

  1. Asenov Y, Korukov B, Penkov N, Sedloev T, Tihtchev V, Hadzhiysca V, et al. Appendiceal mucocele - Case report and review of the literature. Chirurgia (Bucur). 2015; 110: 565-569.

  2. Benedix F, Reimer A, Gastinger I, Mroczkowski P, Lippert H, Kube R, et al. Primary appendiceal carcinoma-epidemiology, surgery and survival: results of a German multi-center study. Eur J Surg Oncol. 2010; 36: 763-771.

  3. Arias Moreno R, Treviño Taboada EP, García Bravo LM. Tumores apendiculares, cistoadenoma mucinoso. Rev Sal Jal. 2021; 8: 119-123.

  4. Shaib WL, Assi R, Shamseddine A, Alese OB, Staley C III, Memis B, et al. Appendiceal mucinous neoplasms: Diagnosis and management. Oncologist. 2017; 22: 1107-1116.

  5. Nutu OA, Marcacuzco Quinto AA, Manrique Municio A, Justo Alonso I, Calvo Pulido J, García-Conde M, et al. Tumores mucinosos del apéndice: incidencia, diagnóstico y tratamiento quirúrgico. Cir Esp. 2017; 95: 321-327.

  6. Pilco P, Beltrán-Flores S, López-Burga M. Cistoadenocarcinoma mucinoso de apéndice cecal. Rev Chil Cir. 2016; 68: 319-322.

  7. Shankar S, Ledakis P, El Halabi H, Gushchin V, Sardi A. Neoplasms of the appendix: current treatment guidelines. Hematol Oncol Clin North Am. 2012; 26: 1261-1290.

  8. Zuluaga Santamaría A, Sarmiento Serrano JR, Cock Botero AM, Uribe González R, Osorio Castrillón LM, Isaza Zapata S, et al. Neoplasias mucinosas del apéndice. Rev Colomb Radiol. 2015; 26: 4252-4259.

  9. Ronnett BM, Shmookler BM, Diener-West M, Sugarbaker PH, Kurman RJ. Immunohistochemical evidence supporting the appendiceal origin of pseudomyxoma peritonei in women. Int J Gynecol Pathol. 1997; 16: 1-9.

  10. Zhong Y, Deng M, Xu R, Kokudo N, Tang W. Pseudomyxoma peritonei as an intractable disease and its preoperative assessment to help improve prognosis after surgery: A review of the literature. Intractable Rare Dis Res. 2012; 1: 115-121.



AFFILIATIONS

1 First-year resident.

2 Physician attached to the General Surgery Service.

3 Second-year resident.

4 Third-year resident.
General Surgery Service, Hospital de Alta Especialidad "Dr. Gustavo A. Rovirosa Pérez". Mexico.



CORRESPONDENCE

Jesús Alberto Lizárraga-Castro. E-mail: jeesus08@hotmail.com




Received: 02/10/2023. Accepted: 11/24/2023

Figure 1
Figure 2
Figure 3
Figure 4

2020     |     www.medigraphic.com

Mi perfil

C?MO CITAR (Vancouver)

Cir Gen. 2023;45