medigraphic.com
ENGLISH

Revista del Centro Dermatológico Pascua

ISSN 1405-1710 (Impreso)
  • Mostrar índice
  • Números disponibles
  • Información
    • Información general        
    • Directorio
  • Publicar
    • Instrucciones para autores        
  • medigraphic.com
    • Inicio
    • Índice de revistas            
    • Registro / Acceso
  • Mi perfil

2023, Número 3

<< Anterior Siguiente >>

Rev Cent Dermatol Pascua 2023; 32 (3)


Lipoma en mucosa labial

Fernández-Cuevas, Laura1; Enríquez-Merino, Julio2; González-González, Maribet3; García-Alonso, María José4; Esquivel-Pedraza, Lilly5
Texto completo Cómo citar este artículo 10.35366/117099

DOI

DOI: 10.35366/117099
URL: https://dx.doi.org/10.35366/117099
Artículos similares

Idioma: Español
Referencias bibliográficas: 10
Paginas: 96-99
Archivo PDF: 374.63 Kb.


PALABRAS CLAVE

lipoma, mucosa oral, enfermedades bucales, tumores benignos.

RESUMEN

El lipoma es una de las neoplasias benignas más comunes de tejidos blandos, en cavidad bucal es poco frecuente. Clínicamente se caracteriza por ser una neoformación bien circunscrita, amarillenta, de consistencia blanda, de larga evolución, asintomática. La extirpación quirúrgica es el tratamiento de elección, no suele presentar recurrencias y es de buen pronóstico. En este artículo se presenta el caso de un hombre de 49 años de edad con un lipoma en labio inferior.



INTRODUCCIÓN

El lipoma es un tumor común de los tejidos blandos, se presenta clínicamente como una neoformación bien delimitada, de color amarillento, consistencia blanda. Es de naturaleza benigna, en general su evolución es larga y por lo común asintomática. Su localización en boca es poco frecuente, por lo que el presente manuscrito ilustra un caso clínico de esta patología, con afectación en labio inferior.



CASO CLÍNICO

Paciente de sexo masculino, de 49 años, originario y residente de la Ciudad de México, sin antecedentes de importancia para su padecimiento actual, acude en agosto de 2020 a la Clínica de Patología Bucal del Centro Dermatológico "Dr. Ladislao de la Pascua" por presentar neoformación de aspecto tumoral en el labio inferior. Al interrogatorio dirigido el paciente refiere como motivo de consulta la presencia de "mucocele" en labio inferior, de nueve meses de evolución, con crecimiento gradual hasta interferir con la masticación.

A la exploración física se observa estomatitis localizada en mucosa del labio inferior, en tercio lateral derecho, constituida por una neoformación bilobulada, de 1.0 × 1.5 cm, de color amarillento, con bordes bien definidos, blanda a la palpación, de evolución crónica y asintomática (Figura 1).

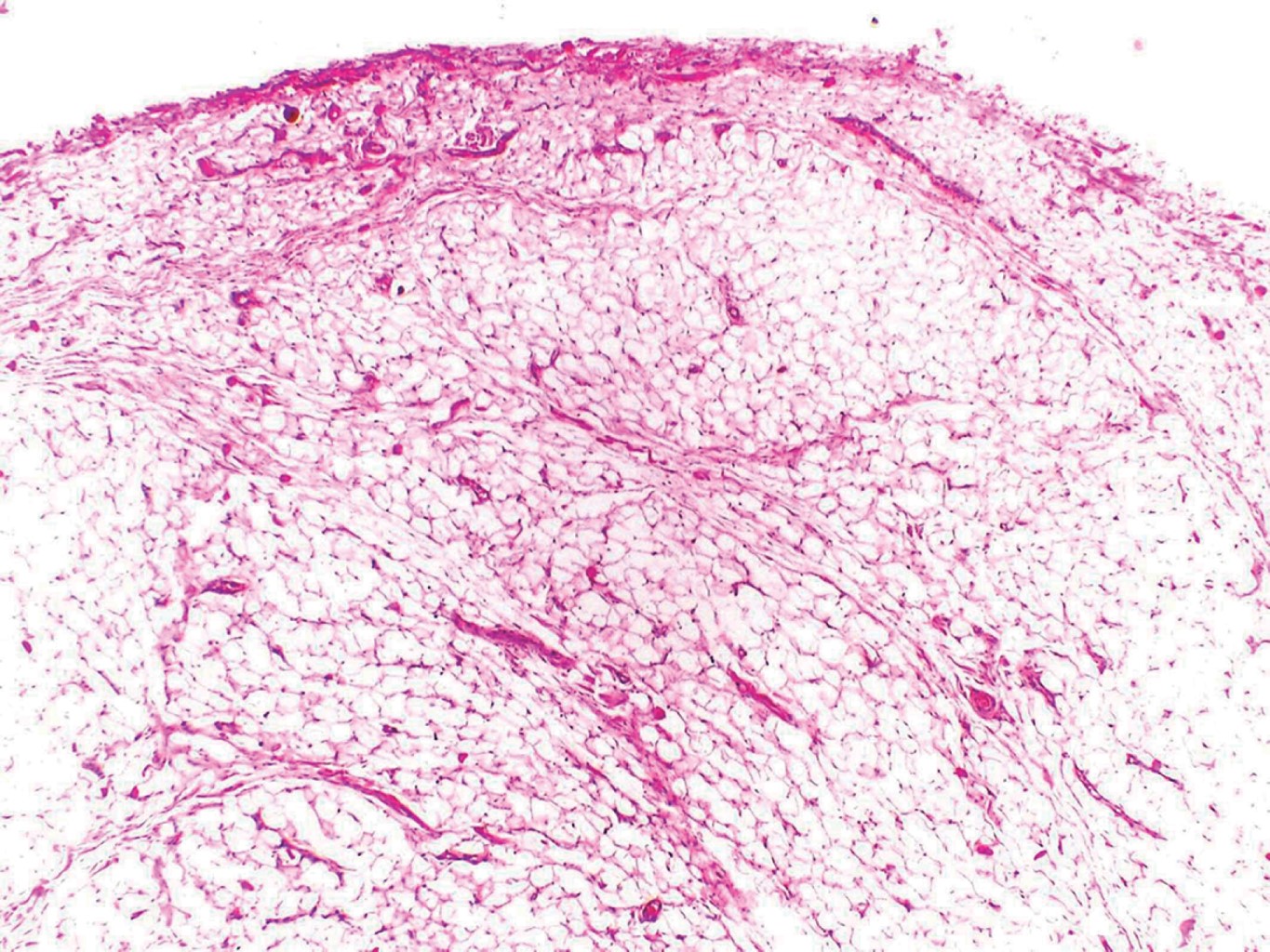
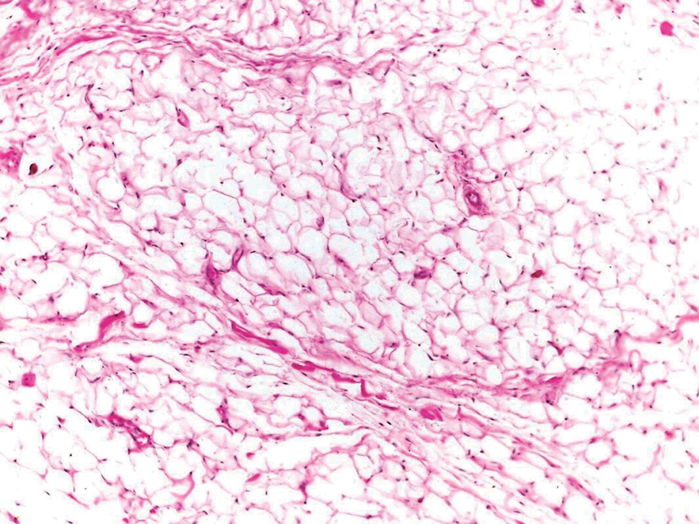
Con el diagnóstico presuntivo de lipoma en mucosa labial inferior, el paciente es referido al Servicio de Cirugía Dermatológica, en donde se realiza extirpación de la lesión con cierre directo (Figuras 2 y 3). El estudio histopatológico describe al corte la presencia de una neoformación bien circunscrita, constituida por numerosos adipocitos maduros de características normales, con algunos vasos dilatados y congestionados (Figuras 4, 5 y 6) confirmando con estos hallazgos el diagnóstico de lipoma. En el seguimiento postoperatorio del paciente únicamente se presenta cicatriz eutrófica; dos meses posteriores a la cirugía se da de alta.



DISCUSIÓN

Los lipomas son tumores benignos de tejidos blandos conformados por tejido adiposo maduro. Se consideran las neoformaciones de origen mesenquimal más frecuentes;1 suelen aparecer después de la cuarta década de la vida con prevalencia de 2.1 casos por cada 1,000 personas.2 El 13% de los lipomas se localizan en cabeza y cuello y sólo 0.5 a 5% son intrabucales.1,3 En general, los lipomas muestran marcada predilección por el sexo masculino, pero en cavidad bucal esta diferencia suele ser más sutil, con algunos estudios que han demostrado distribución similar entre ambos sexos.3,4

Intrabucalmente, se han descrito lipomas afectando la mucosa yugal, lingual y del piso de la boca, paladar, encía, área retromolar y labial,3 siendo esta última localización la segunda más frecuente en la mayoría de los reportes.5,6 Clínicamente se presentan como neoformaciones aisladas o lobuladas, sésil o pediculada, de color amarillento, con vasos sanguíneos en la superficie, en general de consistencia blanda, asintomáticos y de crecimiento lento.4 Estos tumores suelen tener un tamaño entre 2.0 y 2.2 cm de diámetro al momento del diagnóstico,5,7 pero existen casos en los que pueden desarrollar mayor tamaño.4

A pesar de que la etiología precisa de estos tumores no se comprende por completo, se han propuesto diversas teorías sobre su causa, incluyendo factores hereditarios, alteraciones hormonales, degeneración grasa, traumatismos, metaplasia de células musculares, inflamación crónica, radiación, infecciones e inducción de células mesenquimales indiferenciadas, entre otros.4

Debido al lento crecimiento y evolución asintomática de estas neoformaciones, el diagnóstico suele retrasarse hasta que el tumor causa problemas funcionales o estéticos en los pacientes. Se calcula que el promedio de tiempo al momento de ser diagnosticado es de 2.6 años.5,7,8 El diagnóstico definitivo se establece mediante estudio histopatológico con tinción de rutina (hematoxilina y eosina), el cual muestra proliferación bien circunscrita de adipocitos maduros idénticos al tejido adiposo normal, aunque se ha reportado en algunos casos metaplasia cartilaginosa y ósea. En los lipomas intramusculares se pueden observar fibras de músculo estriado.9 Los lipomas, a diferencia del tejido adiposo normal, suelen estar bien circunscritos, en ocasiones encapsulados, pero sin vascularidad. Por otra parte, el tamaño de los adipocitos suele ser mayor en los lipomas, no obstante, la mayoría de las veces no es posible distinguir entre ambas entidades.10 En algunos casos puede haber hallazgos asociados a traumatismo o sobreinfección, como la presencia de infiltrado inflamatorio, necrosis o licuefacción grasa.4

El diagnóstico diferencial principal es con tumor lipomatoso atípico que suele presentarse en adultos; con frecuencia afecta la lengua y representa una variante del liposarcoma. Sin embargo, dependiendo de la topografía, otros diagnósticos diferenciales deben ser considerados como abscesos, linfadenitis, sialoadenitis, mucocele, quiste dermoide, linfangioma y neoplasias como rabdomioma, neurofibroma y algunos tipos de linfoma.4,9

El tratamiento de los lipomas intrabucales depende principalmente de su localización y tamaño, la escisión quirúrgica es el manejo de elección. En casos de extirpación incompleta de la lesión inicial, puede haber recurrencia; pero en general, ésta es muy rara y el pronóstico de los pacientes es bueno.4



CONCLUSIÓN

Este caso corresponde a una dermatosis relativamente común, pero con topografía infrecuente. Las características de este paciente son semejantes a los pocos casos reportados en la literatura, tratándose de un hombre en la cuarta década de la vida, con una neoformación compatible en sus características morfológicas, cuya topografía es la segunda más frecuente dentro de la cavidad oral. A pesar de que el diagnóstico se realiza generalmente de forma más o menos sencilla a través del cuadro clínico y el estudio histopatológico, es importante describir y reportar este caso por su baja frecuencia en esta localización.

El paciente recibió el tratamiento de primera línea, que fue la escisión quirúrgica con recuperación favorable y resolución del caso. Es importante la vigilancia a largo plazo para detectar recidivas, aunque éstas sean raras. Si bien, es una neoformación de curso benigno, se recomienda informar al paciente sobre el pronóstico y naturaleza de esta patología, dado el importante impacto que puede generar en los pacientes, ante la incomodidad que puede causar tanto estética, como funcional, en especial al alcanzar grandes dimensiones, por lo que deben considerarse y ofrecerse las opciones terapéuticas pertinentes.


REFERENCIAS (EN ESTE ARTÍCULO)

  1. Derin AT, Yaprak N. Lipomas: review and evaluation of the literature. Clin Surg. 2017; 2: 1615.

  2. Kumari K, Babu P, Kumar S. Giant intermuscular lipoma of neck and chest: a case report with review of literature. Int J Res Med Sci. 2015; 3: 1521-1523. doi: 10.18203/2320-6012.ijrms20150180.

  3. Manor E, Sion-Vardy N, Joshua BZ, Bodner L. Oral lipoma: analysis of 58 new cases and review of the literature. Ann Diagn Pathol. 2011; 15: 257-261. doi: 10.1016/j.anndiagpath.2011.01.003.

  4. Priya-Jeyaraj C, Sumeet-Sehga LC. Lipomas of the oral cavity: importance of meticulous clinical evaluation, imaging and histopathological examination for precise treatment planning. Dent Oral Craniofac Res. 2017; 3. doi: 10.15761/docr.1000228.

  5. Furlong MA, Fanburg-Smith JC, Childers EL. Lipoma of the oral and maxillofacial region: site and subclassification of 125 cases. Oral Surg Oral Med Oral Pathol Oral Radiol Endod. 2004; 98: 441-450. doi: 10.1016/j.tripleo.2004.02.071.

  6. Said-Al-Naief N, Zahurullah FR, Sciubba JJ. Oral spindle cell lipoma. Ann Diagn Pathol. 2001; 5: 207-215. doi: 10.1053/adpa.2001.26973.

  7. Fregnani ER, Pires FR, Falzoni R, Lopes MA, Vargas PA. Lipomas of the oral cavity: clinical findings, histological classification and proliferative activity of 46 cases. Int J Oral Maxillofac Surg. 2003; 32: 49-53. doi: 10.1054/ijom.2002.0317.

  8. Guillou L, Dehon A, Charlin B, Madarnas P. Pleomorphic lipoma of the tongue: case report and literature review. J Otolaryngol. 1986; 15: 313-316.

  9. Calonje E, McKee PH. "Diseases of the Oral Mucosa." Essay. In: McKee's Pathology of the Skin. Edinburgh: Elsevier, Saunders. 2012; pp 387-388.

  10. Solvonuk PF, Taylor GP, Hancock R, Wood WS, Frohlich J. Correlation of morphologic and biochemical observations in human lipomas. Lab Invest. 1984; 51: 469-474.



AFILIACIONES

1 Jefe del Servicio de Patología Bucal.

2 Jefe del Servicio de Cirugía Dermatológica.

3 Dermatopatóloga.

4 Residente del cuarto año de Dermatología.

5 Patóloga bucal. Departamento de Dermatología, Instituto Nacional de Ciencias Médicas y Nutrición "Salvador Zubirán", INCMNSZ.
Centro Dermatológico "Dr. Ladislao de la Pascua", SSCDMX.



CORRESPONDENCIA

Dra. Laura Fernández-Cuevas. E-mail: laurafercuevas@yahoo.com


Figura 1
Figura 2
Figura 3
Figura 4
Figura 5
Figura 6

2020     |     www.medigraphic.com

Mi perfil

C?MO CITAR (Vancouver)

Rev Cent Dermatol Pascua. 2023;32

ARTíCULOS SIMILARES

CARGANDO ...