medigraphic.com
ENGLISH

Revista del Centro Dermatológico Pascua

ISSN 1405-1710 (Impreso)
  • Mostrar índice
  • Números disponibles
  • Información
    • Información general        
    • Directorio
  • Publicar
    • Instrucciones para autores        
  • medigraphic.com
    • Inicio
    • Índice de revistas            
    • Registro / Acceso
  • Mi perfil

2023, Número 3

<< Anterior Siguiente >>

Rev Cent Dermatol Pascua 2023; 32 (3)


Nevo de Spitz

Alcalá-Pérez, Daniel1; González-González, Maribet2; Angulo-Rodríguez, Alejandra3; Alvarado-Benítez, Ariadna Miranda4
Texto completo Cómo citar este artículo 10.35366/117100

DOI

DOI: 10.35366/117100
URL: https://dx.doi.org/10.35366/117100
Artículos similares

Idioma: Español
Referencias bibliográficas: 13
Paginas: 100-104
Archivo PDF: 291.70 Kb.


PALABRAS CLAVE

nevo de Spitz, melanocitos, neoplasia, potencial maligno.

RESUMEN

El nevo de Spitz es una neoformación melanocítica derivada de melanocitos epitelioides o fusiformes que suele desarrollarse durante la infancia. Aunque se considera una neoplasia benigna, su potencial maligno es incierto, por lo que se deben realizar diagnóstico y tratamiento oportunos. Presentamos el caso de un paciente del sexo masculino, de nueve años, que acudió a la consulta por neoformación en tercio proximal de antebrazo derecho, de fácil sangrado tras ser traumatizado. Se rasuró y se envió al Servicio de Dermatopatología con sospecha diagnóstica de granuloma piógeno. El reporte histopatológico fue el de nevo de Spitz, ameritando reintervención quirúrgica para su extirpación completa.



INTRODUCCIÓN

El nevo de Spitz es una neoformación melanocítica que deriva de melanocitos epitelioides o fusiformes que suele desarrollarse durante la infancia. Fue descrito por primera vez en 1910 por Darier y Civatte, denominado con el nombre de "melanoma juvenil" por Sophie Spitz en 1948 por su semejanza clínica e histopatológica con dicha neoplasia maligna.1

Existen tres tipos de neoplasias de Spitz que suelen confundirse entre ellas: el nevo de Spitz típico o convencional, el tumor de Spitz atípico y el melanoma spitzoide. Aunque el nevo de Spitz se considera una neoplasia benigna, su potencial maligno es incierto, por lo que se debe clasificar adecuadamente para llevar a cabo el diagnóstico y tratamiento oportunos.2



EPIDEMIOLOGÍA

El nevo de Spitz representa menos de 1% de los nevos melanocíticos diagnosticados en la infancia. Su incidencia disminuye conforme aumenta la edad, siendo infrecuente en mayores de 30 años.

En general se presenta durante las primeras dos décadas de la vida, con media de 22 años. Tiene ligera predilección por las mujeres con relación 3:1 respecto a los hombres y predomina en población caucásica. Su incidencia se calcula en 1.4-7 casos por cada 100,000 personas por año.3,4



PATOGÉNESIS

La etiología del nevo de Spitz se desconoce; sin embargo, se han evidenciado mutaciones genéticas que contribuyen a la proliferación melanocítica y parecen estar relacionadas con su desarrollo, principalmente las fusiones de cinasas, que son resultado de reordenamientos genómicos.

Éstas incluyen ALK, presentes en 10 a 20% de los nevos de Spitz; BRAF, que codifica una serina/treonina cinasa en la vía MAPK y se encuentra en 5% de los casos; NTRK, que codifica la familia de receptores de tirosina quinasa, los cuales regulan la proliferación y migración de los melanocitos y HRAS presente en 20% de los nevos de Spitz típicos y atípicos. Otras mutaciones incluyen MET, RET, ROS y BRAF.5-7



CUADRO CLÍNICO

El nevo de Spitz tiene predilección por la cabeza, el cuello y las extremidades superiores e inferiores. Se manifiesta como neoformación solitaria, bien circunscrita, de consistencia firme, eritematosa, rojiza o marrón, plana o cupuliforme, generalmente menor de 1 cm de diámetro. Con menor frecuencia afecta mucosas y presenta una variedad diseminada. Aunque suele ser asintomática, puede ulcerarse y sangrar, ocasionando prurito o dolor.8

Cuenta con una fase de crecimiento rápido, con duración aproximada de 3 a 6 meses, alcanzando un tamaño promedio de 5 a 6 mm de diámetro, el cual es precedido por una fase estática en donde se mantiene estable durante años.

Derivado de la amplia variedad fenotípica, el nevo de Spitz se confunde clínicamente con otras entidades. Las lesiones eritematosas o hipopigmentadas simulan granuloma piógeno, hemangioma, mastocitoma o dermatofibroma, mientras que las lesiones pigmentadas pueden parecer melanoma u otros nevos adquiridos, congénitos o intradérmicos.9



DIAGNÓSTICO

La dermatoscopía se ha convertido en una herramienta útil para la evaluación del nevo de Spitz, con sensibilidad de 96%. No obstante, el diagnóstico definitivo se realiza mediante biopsia y estudio histopatológico (Figura 1).

A la dermatoscopía, el nevo de Spitz tiene patrones distintos acordes a sus variedades no pigmentado y pigmentado, con patrón vascular puntiforme, glomerular, vasos en horquilla o rosado homogéneo, así como patrón en estallido de estrellas, globular, multicomponente o reticular, respectivamente10 (Tabla 1).

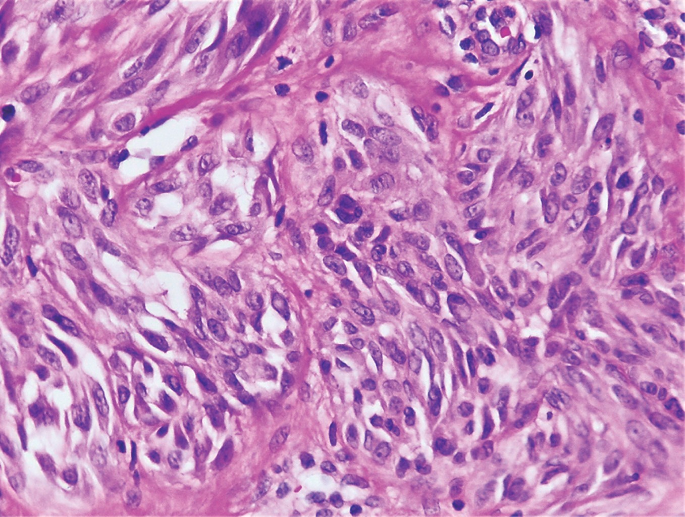
En la histopatología se encuentra un nevo de unión, intradérmico o compuesto, con la presencia de melanocitos epitelioides o fusiformes dispuestos en nidos en la base de crestas alargadas y epidermis hiperplásica. Los melanocitos dentro de los nidos tienen orientación vertical, con mitosis mínima o ausente en la dermis profunda.

El uso de marcadores inmunohistoquímicos facilita la distinción entre nevos de Spitz atípicos y melanoma spitzoide, incluyendo S-100A, Melan-A/Mart-1, HMB-45, Ki-67, Ciclina D1, p16 y p21, entre otros. Por otra parte, los estudios genéticos moleculares parecen ser una herramienta diagnóstica prometedora, pues se han detectado mutaciones HRAS predominantemente en nevos de Spitz, mientras que las mutaciones BRAF y NRAS están presentes con mayor frecuencia en el melanoma.11



TRATAMIENTO Y PRONÓSTICO

Tras la sospecha de un nevo de Spitz, se sugiere normar la conducta terapéutica de acuerdo con las características clínicas y la edad del paciente. En niños menores de 12 años, se puede optar por manejo conservador con vigilancia estrecha cada tres a seis meses por los primeros tres años, el cual debe prolongarse de forma anual si no se observan cambios de color, forma o tamaño, por la baja incidencia de melanoma en el grupo etario.

No obstante, la extirpación quirúrgica completa disminuye el riesgo de recurrencia y se considera de elección en niños mayores de 12 años y adultos con lesiones mayores de 1 cm, nodulares, ulcerados, de rápido crecimiento o clínicamente atípicos, por el mayor riesgo de transformación maligna. De igual forma, está indicado cuando se reportan lesiones con extirpación incompleta, ambos casos con margen quirúrgico que varía de 3 a 5 mm, requiriendo vigilancia posterior.

El pronóstico es más favorable en pacientes menores de 10 años, con lesiones pequeñas, ausencia de ulceración y actividad mitótica mínima.12,13



CASO CLÍNICO

El caso corresponde a un paciente masculino de nueve años, originario y residente de la Ciudad de México, sin antecedentes médicos de importancia, quien acudió por dermatosis localizada a extremidad superior derecha, de la que afectaba tercio proximal de antebrazo, en forma unilateral. Dicha dermatosis estaba constituida por una neoformación lobulada, de base eritematosa y costra hemática en su superficie, de siete meses de evolución y a decir de la madre, de fácil sangrado tras ser traumatizado.

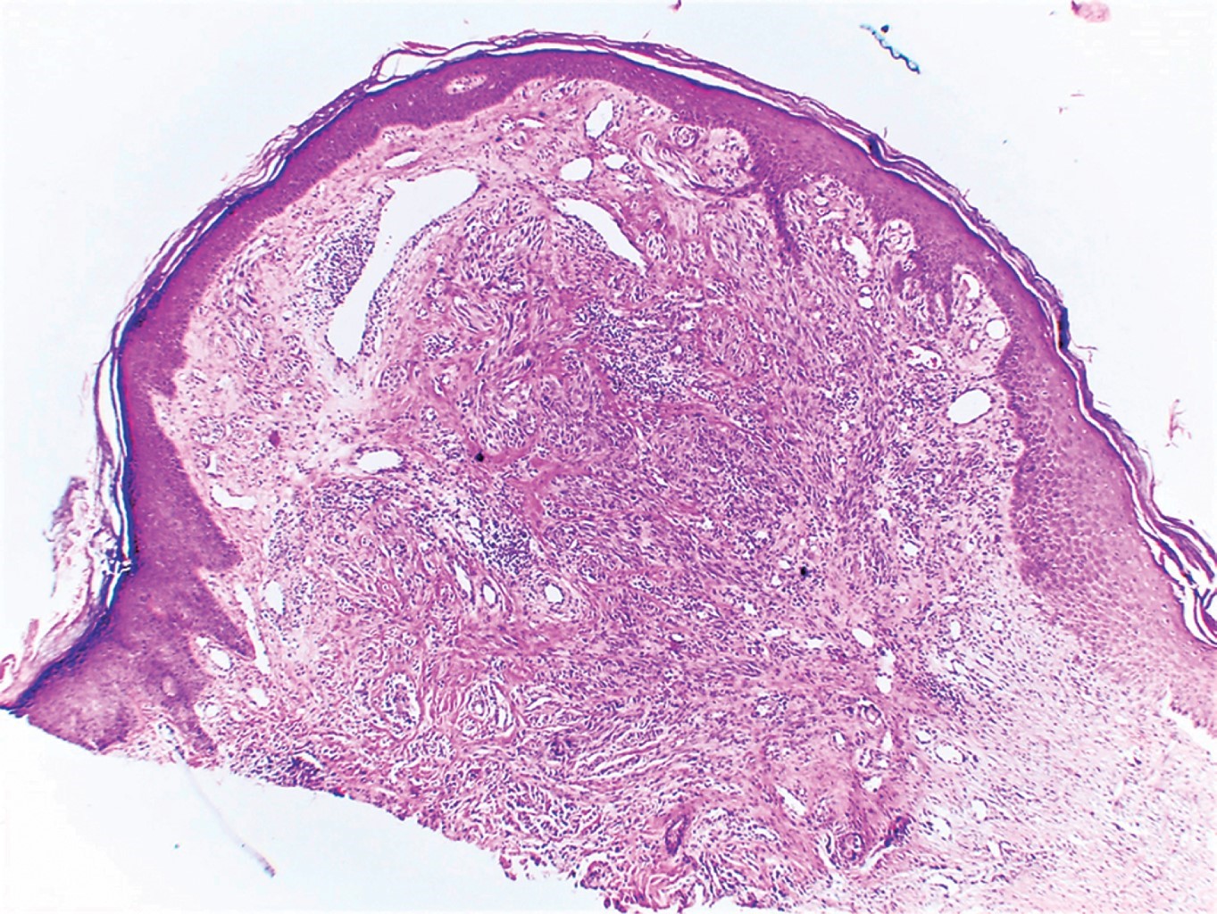
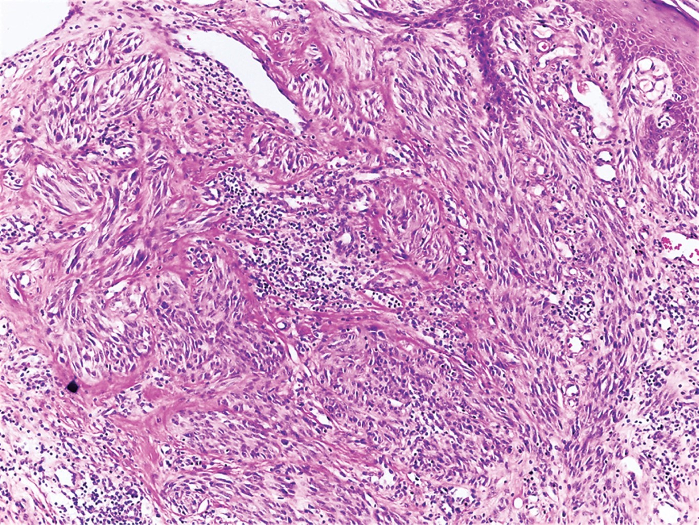
Con los datos anteriores se diagnostica granuloma piógeno, por lo que se efectúa rasurado de la lesión y se envía al Servicio de Dermatopatología, en donde se reporta nevo de Spitz con extirpación incompleta, con la siguiente descripción histopatológica: los cortes muestran neoformación exofítica cuya epidermis presenta hiperqueratosis, grandes tapones córneos y zonas con aplanamiento de los procesos interpapilares. En el espesor de la dermis se observan melanocitos de aspecto epitelioide y fusiformes que tienden a formar nidos y están inmersos en un estroma fibroso (Figuras 2, 3 y 4).

Ocho meses después, el paciente acude otra vez a consulta por reaparición de la lesión.

A la exploración presentaba una neoformación, multilobulada, del color de la piel en unas áreas, eritematosa en otras, sobre una cicatriz eutrófica, de bordes bien definidos, con dimensiones de 0.9 × 0.8 cm (Figura 5). La dermatoscopía demostró un patrón vascular puntiforme y color rosa homogéneo (Figura 6) motivo por el cual fue enviado al Servicio de Dermatooncología y Cirugía Dermatológica, en donde le realizaron extirpación de la neoformación con margen de 5 mm. Sin recidivas hasta el momento.



COMENTARIO

El nevo de Spitz es una neoformación melanocítica frecuente en niños. Suele ser una lesión con comportamiento clínico variable, que puede involucionar de forma espontánea hasta en 80% de los casos. Si bien, las características clínicas y microscópicas son similares a las del melanoma, por lo que resulta indispensable realizar un diagnóstico preciso y oportuno, pues a pesar de su baja incidencia en edad pediátrica, su potencial maligno continúa siendo incierto.

Las características clínicas que presenta este caso son poco frecuentes y de ahí la importancia de reportarlo.


REFERENCIAS (EN ESTE ARTÍCULO)

  1. Sainz-Gaspar L, Sánchez-Bernal J, Noguera-Morel L, Hernández-Martín A, Colmenero I, Torrelo A. Spitz nevus and other spitzoid tumors in children - Part 1: clinical, histopathologic, and immunohistochemical features. Actas Dermosifiliogr (Engl Ed). 2020; 111: 7-19. doi: 10.1016/j.ad.2019.02.011.

  2. Brown A, Sawyer JD, Neumeister MW. Spitz nevus: review and update. Clin Plast Surg. 2021; 48: 677-686. doi: 10.1016/j.cps.2021.06.002.

  3. Dika E, Ravaioli GM, Fanti PA, Neri I, Patrizi A. Spitz nevi and other spitzoid neoplasms in children: overview of incidence data and diagnostic criteria. Pediatr Dermatol. 2017; 34: 25-32. doi: 10.1111/pde.13025.

  4. Neri I, Dika E, Ravaioli GM, Patrizi A. Spitz nevi: defining features and management in children. G Ital Dermatol Venereol. 2014; 149: 675-682.

  5. Quan VL, Panah E, Zhang B, Shi K, Mohan LS, Gerami P. The role of gene fusions in melanocytic neoplasms. J Cutan Pathol. 2019; 46: 878-887. doi: 10.1111/cup.13521.

  6. Wiesner T, Kutzner H, Cerroni L, Mihm MC Jr, Busam KJ, Murali R. Genomic aberrations in spitzoid melanocytic tumours and their implications for diagnosis, prognosis and therapy. Pathology. 2016; 48: 113-131. doi: 10.1016/j.pathol.2015.12.007.

  7. Dal Pozzo CA, Cappellesso R. The morpho-molecular landscape of Spitz neoplasms. Int J Mol Sci. 2022; 23: 4211. doi: 10.3390/ijms23084211.

  8. Menezes FD, Mooi WJ. Spitz tumors of the skin. Surg Pathol Clin. 2017; 10: 281-298. doi: 10.1016/j.path.2017.01.004.

  9. Stefanaki C, Stefanaki K, Chardalias L, Soura E, Stratigos A. Differential diagnosis of Spitzoid melanocytic neoplasms. J Eur Acad Dermatol Venereol. 2016; 30: 1269-1277. doi: 10.1111/jdv.13665.

  10. Lallas A, Apalla Z, Ioannides D, Lazaridou E, Kyrgidis A, Broganelli P et al. Update on dermoscopy of Spitz/Reed naevi and management guidelines by the International Dermoscopy Society. Br J Dermatol. 2017; 177: 645-655. doi: 10.1111/bjd.15339.

  11. Calonje E, Brenn T, Lazar A, McKee PH. McKee's pathology of the skin: with clinical correlations. 4th ed. ed. Elsevier/Saunders; 2012; pp. 1178-1185.

  12. Sainz-Gaspar L, Sánchez-Bernal J, Noguera-Morel L, Hernández-Martín A, Colmenero I, Torrelo A. Spitz nevus and other spitzoid tumors in children. Part 2: cytogenetic and molecular features. Prognosis and treatment. Actas Dermosifiliogr (Engl Ed). 2020; 111: 20-25. doi: 10.1016/j.ad.2019.02.010.

  13. Ferrara G, Gianotti R, Cavicchini S, Salviato T, Zalaudek I, Argenziano G. Spitz nevus, Spitz tumor, and spitzoid melanoma: a comprehensive clinicopathologic overview. Dermatol Clin. 2013; 31: 589-598. doi: 10.1016/j.det.2013.06.012.



AFILIACIONES

1 Jefe del Servicio de Dermatooncología y Cirugía Dermatológica.;

2 Dermatopatólogo.;

3 Residente del tercer año de Dermatología.;

4 Residente del segundo año de Dermatología.
Centro Dermatológico "Dr. Ladislao de la Pascua", SSCDMX.



CORRESPONDENCIA

Dr. Daniel Alcalá-Pérez. E-mail: dermadanielalcala@gmail.com


Figura 1
Figura 2
Figura 3
Figura 4
Figura 5
Figura 6
Tabla 1

2020     |     www.medigraphic.com

Mi perfil

C?MO CITAR (Vancouver)

Rev Cent Dermatol Pascua. 2023;32

ARTíCULOS SIMILARES

CARGANDO ...