medigraphic.com
ENGLISH

Acta Médica Grupo Ángeles

Órgano Oficial del Hospital Ángeles Health System
  • Mostrar índice
  • Números disponibles
  • Información
    • Información general        
    • Directorio
  • Publicar
    • Instrucciones para autores        
    • Envío de artículos
    • Políticas
    • Nombre y afiliación del Comité Editorial
  • Nosotros
    • Plan de gestión e intercambio de datos
    • Objetivos declarados y alcance
  • medigraphic.com
    • Inicio
    • Índice de revistas            
    • Registro / Acceso
  • Mi perfil

2024, Número 4

<< Anterior Siguiente >>

Acta Med 2024; 22 (4)


Fractura avulsión de la tuberosidad anterior tibial tipo III

Domínguez Gasca, Luis Gerardo1; Domínguez Carrillo, Luis Gerardo2
Texto completo Cómo citar este artículo 10.35366/117526

DOI

DOI: 10.35366/117526
URL: https://dx.doi.org/10.35366/117526
Artículos similares

Idioma: Español
Referencias bibliográficas: 3
Paginas: 323-325
Archivo PDF: 238.24 Kb.


PALABRAS CLAVE

tuberosidad tibial, avulsión, fractura tibial, enfermedades ortopédicas del desarrollo.

RESUMEN

La fractura por avulsión de la tuberosidad anterior tibial (TAT) es una lesión rara, con incidencia que varía entre 0.4 y 2.5% de todas las lesiones epifisiarias; descrita en 1853 y en 1898 por De Morgan y Poland respectivamente. Se caracteriza por separación traumática de la fisis en el plano profundo al núcleo de osificación de la TAT; se presenta en adolescentes varones con actividad física por contracción violenta del cuádriceps; inicialmente se relacionó con la enfermedad de Osgood Schlatter, actualmente se consideran enfermedades distintas, anotando que las enfermedades ortopédicas del desarrollo (EOD) predisponen a la avulsión.



INTRODUCCIóN

La fractura avulsión de la tuberosidad anterior tibial (TAT) es una lesión rara, con incidencia que varía entre 0.4 y 2.5% de todas las lesiones epifisiarias; se caracteriza por separación traumática de la fisis en el plano profundo al núcleo de osificación de la TAT; se presenta en adolescentes varones con actividad física por contracción violenta del cuádriceps; inicialmente se relacionó con la enfermedad de Osgood Schlatter, actualmente se consideran enfermedades distintas. Clínicamente existe dolor y tumefacción agudos, aunado a deformidad de rodilla en flexión y pérdida de función. Las radiografías en proyección anteroposterior y lateral de rodilla son suficientes para el diagnóstico; la tomografía o resonancia magnética se indica ante sospecha de lesiones asociadas.1



CASO CLíNICO

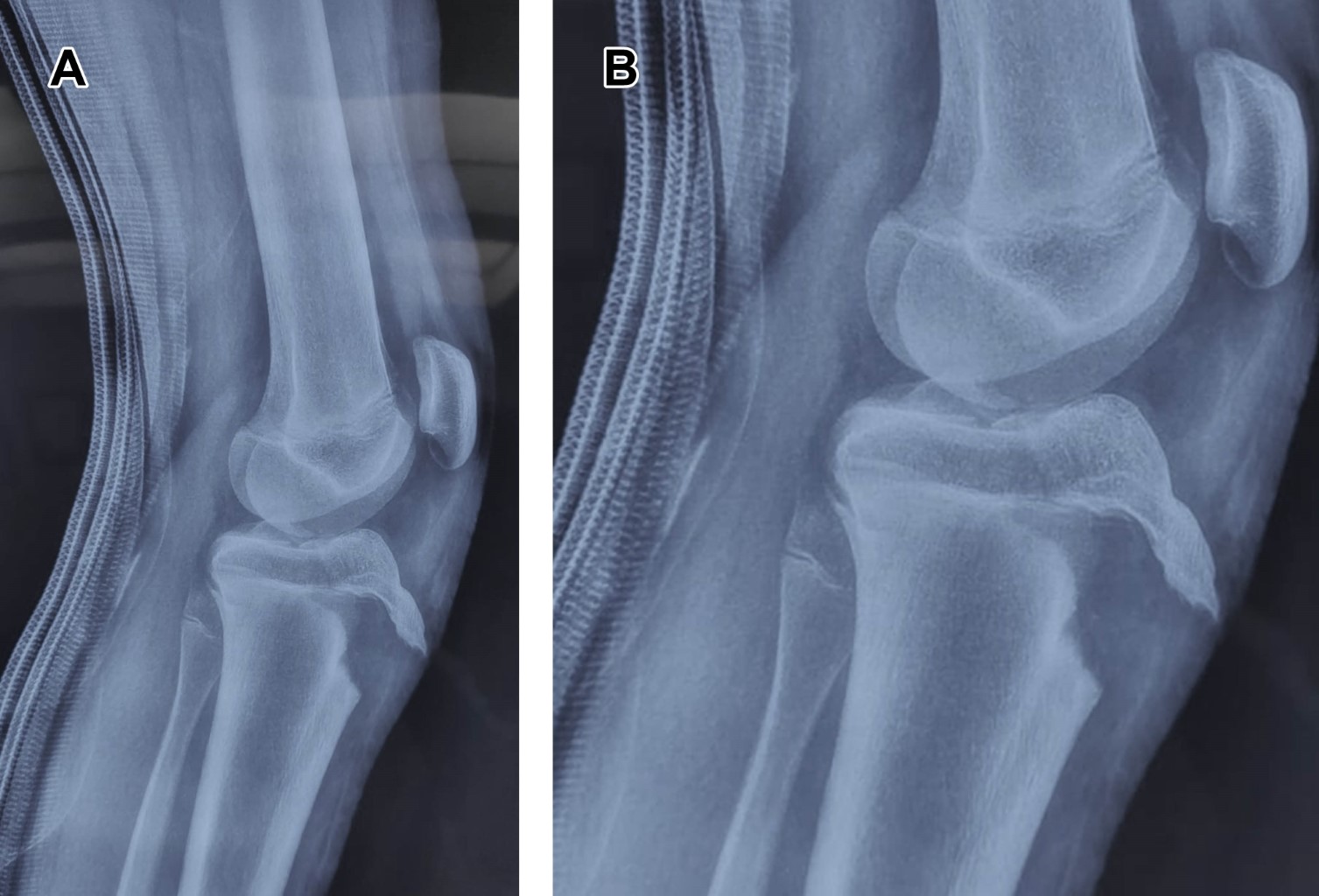
Masculino de 12 años, con estatura de 178 cm, jugador de baloncesto desde los ocho años; quien, realizando ejercicios de marcha en cuclillas, en el momento de cambiar a posición de pie, refiere dolor intenso en rodilla izquierda, acompañado de chasquido, deformidad, e imposibilidad para la función. Es trasladado a urgencias, efectuando diagnóstico de fractura avulsión de tuberosidad anterior de la tibia, corroborando ATT tipo III de Watson y Jones (Figuras 1 y 2), se realizó reducción y osteosíntesis (Figura 3).



DISCUSIóN

El mecanismo de lesión de la ATT es la flexión forzada de la rodilla contra la resistencia del cuádriceps y/o la contracción súbita en extensión de éste, se observa en actividades deportivas que implican salto; se puede asociar a ruptura del tendón patelar, lesión meniscal, de ligamentos cruzados y colaterales. La clasificación de Watson y Jones indica tres tipos: tipo I. Fractura-separación en el centro de osificación secundario del tubérculo; tipo II. Fractura-separación en la unión de los centros de osificación primaria y secundaria entre el tubérculo y la epífisis y; tipo III. Lesión tipo III de Salter y Harris. La línea de separación sigue un trayecto ascendente por el centro de osificación primario de la epífisis tibial proximal, afectando la articulación.2

El tratamiento es: reducción anatómica del fragmento, la restitución de la superficie articular tibial y la restauración del mecanismo extensor; la reducción cerrada e inmovilización en avulsiones completas sin desprendimiento de la epífisis con desplazamiento mínimo (< 2 mm), y reducción abierta y fijación interna en el resto de los casos. La fractura que se extiende hacia la superficie articular de la rodilla debe ser tratada mediante reducción abierta con restauración anatómica de la superficie tibial articular.3


REFERENCIAS (EN ESTE ARTÍCULO)

  1. Orihuela FV, Fernández PL, Peláez DP Avulsión de la tuberosidad tibial: reporte de un caso y revisión de la literatura. Rev Fac Med (Mex). 2015; 58 (6): 18-23.

  2. Bauer T, Milet A, Odent T, Padovani JP, Glorion C. Fracture-avulsion de la tubérosité tibiale antérieure chez l'adolescent: à propos de 22 cas et revue de la littérature. Rev Chir Orthop Reparatrice Appar Mot. 2005; 91 (8): 758-767. doi: 10.1016/s0035-1040(05)84487-3.

  3. Bombah FM, Nana T, Ekani BY, Biwolé D, Handy E. Fracture-avulsion of tibial tubercle apophyseal in two Cameroonian adolescents. Trauma Case Rep. 2021; 35: 100525. doi: 10.1016/j.tcr.2021.100525.



AFILIACIONES

1 Ortopedista. División de Cirugía del Hospital Angeles León, León, Guanajuato. México

2 Especialista en Medicina de Rehabilitación. Catedrático de la Facultad de Medicina de León, Universidad de Guanajuato. México.



CORRESPONDENCIA

Dr. Luis Gerardo Domínguez Carrillo. Correo electrónico: lgdominguez@hotmail.com




Aceptado: 13-10-2023.

Figura 1
Figura 2
Figura 3

2020     |     www.medigraphic.com

Mi perfil

C?MO CITAR (Vancouver)

Acta Med. 2024;22

ARTíCULOS SIMILARES

CARGANDO ...