medigraphic.com
ENGLISH

Acta Médica Grupo Ángeles

Órgano Oficial del Hospital Ángeles Health System
  • Mostrar índice
  • Números disponibles
  • Información
    • Información general        
    • Directorio
  • Publicar
    • Instrucciones para autores        
    • Envío de artículos
    • Políticas
    • Nombre y afiliación del Comité Editorial
  • Nosotros
    • Plan de gestión e intercambio de datos
    • Objetivos declarados y alcance
  • medigraphic.com
    • Inicio
    • Índice de revistas            
    • Registro / Acceso
  • Mi perfil

2024, Número 4

<< Anterior Siguiente >>

Acta Med 2024; 22 (4)


Biomodelantes por resonancia magnética

Lomas Guim, Andrea Lusitania1,2; Orbe Montenegro, Viviana Elizabeth1,3; Gómez Pérez, María de Guadalupe1,4
Texto completo Cómo citar este artículo 10.35366/117527

DOI

DOI: 10.35366/117527
URL: https://dx.doi.org/10.35366/117527
Artículos similares

Idioma: Español
Referencias bibliográficas: 5
Paginas: 326-328
Archivo PDF: 421.91 Kb.


PALABRAS CLAVE

biomodelantes, resonancia magnética, patrones de infiltración, complicaciones.

RESUMEN

La enfermedad por biomodelantes se ha convertido en un problema de salud actual debido a que los nuevos estándares de belleza promueven su uso indiscriminadamente por personal que no está debidamente capacitado. Las secuelas a largo plazo requieren del apoyo de un equipo médico altamente capacitado para brindar el tratamiento más adecuado al paciente sin descuidar su implicación psicoemocional. La resonancia magnética nos permite realizar una adecuada valoración, su localización e identificación de complicaciones a partir del material utilizado, contribuyendo de manera integral y oportuna a la salud del paciente.



INTRODUCCIóN

Los biomodelantes son sustancias que se introducen en el cuerpo humano con fines estéticos, difieren en calidad, lo que produce daños a los tejidos dependiendo del tipo de material utilizado y su localización. La mayoría de los pacientes cuando acuden al hospital ya tienen un compromiso muy avanzado de los tejidos, por lo cual, su tratamiento es más complejo. Generalmente, las aplicaciones son realizadas por personal que no está capacitado, que conlleva un mayor riesgo de complicaciones.1



CASO CLíNICO

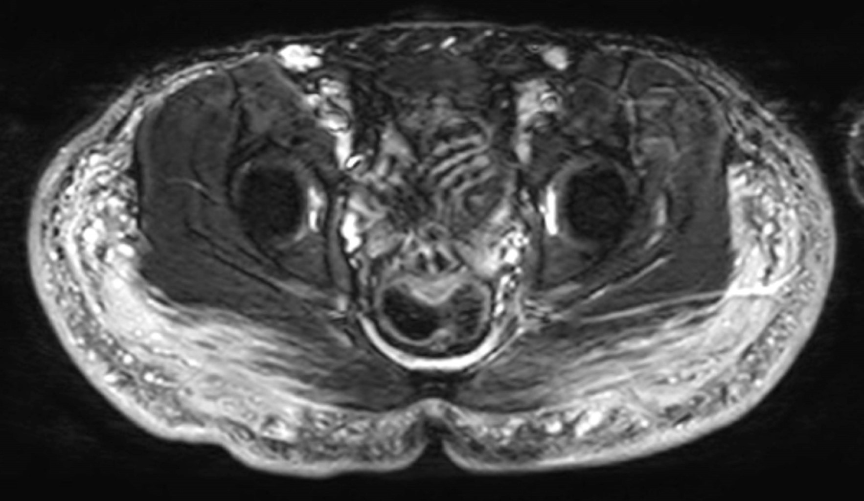
Paciente de 30 años con antecedentes de aplicación de modelantes en las regiones glúteas hace 10 años. Desde hace tres años presenta dolor en ambas piernas, con zonas induradas y cambios de coloración. Se le realizó resonancia magnética de las regiones glúteas y piernas identificando imágenes globulares y lineales irregulares de comportamiento isointenso en el T1, hiperintenso en el T2, hiperintenso en las secuencias de saturación grasa (Fat-Sat) y en STIR (Short Inversion Time Inversion Recovery) con compromiso de los tejidos blandos superficiales y de los planos musculares que afectan a los glúteos mayor y medio (Figuras 1 y 2).

En el estudio de resonancia magnética (RM) de piernas se identificó edema de tejidos blandos superficiales de ambas piernas con depósitos de material modelante en la porción superior del músculo gemelo medial de la pierna derecha y en la pierna izquierda se observa material modelante en toda su longitud sin compromiso de los planos musculares (Figura 3).



DISCUSIóN

Una realidad que actualmente enfrentamos con mayor frecuencia es la enfermedad por biomodelantes. El desconocimiento de las repercusiones en la salud y del agente empleado ha llevado al su uso indiscriminado con fines estéticos y personal poco entrenado.2

La resonancia magnética es el método de diagnóstico de elección, permite la localización del material modelante, su distribución, extensión y profundidad a los tejidos adyacentes. La mayoría de estas sustancias están compuestas por agua, con comportamiento hipointenso en T1, hiperintenso en T2 y T2 con supresión grasa (STIR, Fat-Sat, SPAIR) y por su alto peso molecular, son hiperintensos en secuencias T2 con supresión de grasa y agua (silicon-only o FSE T2 IR), el tejido inflamado realza con el contraste (gadolinio). Estas características permite identificarlas, pero no ayuda a determinar el material utilizado.3 Los patrones de distribución son: globulares, lineales o pseudonodulares. Pueden existir adenomegalias. Las aplicaciones más frecuentes se dan en las regiones glúteas con repercusión hacia los músculos glúteo mayor y medio.1

Según la calidad del material modelante y su lugar de aplicación, la aparición de las complicaciones es variable, la clínica fluctúa entre siete a 12 años de la aplicación con sustancias inertes como el silicón, a diferencia de los aceites minerales, el cual se presenta entre tres a cinco años.1 La aparición de infecciones se ha documentado en estudios realizados en México y Cali en 11.7 y 2.7% respectivamente, cuyos gérmenes aislados fueron Mycobacterium fortuitum y E. coli productora de beta-lactamasa (BLEE).4,5

La profundidad de infiltración y extensión de las sustancias modelantes requieren un tratamiento multidisciplinario, su complejidad determina el tipo de abordaje terapéutico a utilizar.4


REFERENCIAS (EN ESTE ARTÍCULO)

  1. Juárez-Duarte E, Amezcua-Herrera M, Zea-Arévalo F, Guerrero-Avendaño G. Hallazgos en resonancia magnética y asociación entre el inicio de los síntomas de pacientes con enfermedad por modelantes en región glútea y el agente químico empleado. Anales de Radiología México. 2013; 4: 223-230. Disponible en: https://www.analesderadiologiamexico.com/temp/2013/Radiolog%C3%ADa%204.pdf

  2. Domínguez-Zambrano A, Haddad-Tame JL, Torres-Baltazar I, Jiménez-Muñoz G, Satré-Ortíz N, Espinosa-Maceda S. Enfermedad por modelantes: problemática actual en México y presentación de casos. Cir Plást Iberolatinoam. 2013; 39 (4): 399-405. Disponible en: http://scielo.isciii.es/scielo.php?script=sci_arttext&pid=S0376-78922013000400010&lng=es. https://dx.doi.org/10.4321/S0376-78922013000400010

  3. Oliveros C, Pérez-Rivera F, Betti-Kraemer G, Cordero-de Oliveros M, Fernández-Romero J, Medrano-Ramírez G et al. Enfermedad por inyección de rellenos sintéticos permanentes (EIRSP). Recomendaciones del grupo de expertos del Capítulo de Biomateriales de la FILACP. Cir Plást Iberolatinoam. 2022; 48 (3): 287-304. Disponible en: http://scielo.isciii.es/scielo.php?script=sci_arttext&pid=S0376-78922022000300006&lng=es

  4. Gordillo-Hernández J, Alegre-Tamez E, Torres-Baltazar I, Mendieta-Espinosa M, Sastré-Ortiz N. Abordaje multidisciplinario de la enfermedad humana por infiltración de sustancias modelantes. Cir Plást Iberolatinoam. 2013; 39 (3): 269-277. Disponible en: https://dx.doi.org/10.4321/S0376-78922013000300009

  5. Castro M, Ríos C, López C, Ospina M, Ortiz Y. Adverse effects of modeling substances in Cali, Colombia. Biomédica. 2021; 41 (1): 123-130. Available in: https://revistabiomedica.org/index.php/biomedica/article/view/5707



AFILIACIONES

1 Hospital Angeles Pedregal.

2 Médico residente de Alta Especialidad en Resonancia Magnética de Cuerpo Completo.

3 Médico residente de Alta Especialidad en Resonancia Magnética del Sistema Musculoesquelético.

4 Médico radiólogo especialista en Resonancia Magnética. Profesor titular de los cursos de Alta Especialidad de Resonancia Magnética de Cuerpo Completo y Sistema Musculoesquelético.



Conflicto de intereses: Andrea Lomas, Viviana Orbe y María de Guadalupe Gómez declaran que no tienen ningún conflicto de intereses.
Este artículo no contiene ningún estudio con sujetos humanos o animales realizado por ninguno de los autores.



CORRESPONDENCIA

Dra. Andrea Lusitania Lomas Guim. Correo electrónico: andrealomas13@gmail.com




Aceptado: 10-11-2023.

Figura 1
Figura 2
Figura 3

2020     |     www.medigraphic.com

Mi perfil

C?MO CITAR (Vancouver)

Acta Med. 2024;22

ARTíCULOS SIMILARES

CARGANDO ...