medigraphic.com
ENGLISH

Acta Médica Grupo Ángeles

Órgano Oficial del Hospital Ángeles Health System
  • Mostrar índice
  • Números disponibles
  • Información
    • Información general        
    • Directorio
  • Publicar
    • Instrucciones para autores        
    • Envío de artículos
    • Políticas
    • Nombre y afiliación del Comité Editorial
  • Nosotros
    • Plan de gestión e intercambio de datos
    • Objetivos declarados y alcance
  • medigraphic.com
    • Inicio
    • Índice de revistas            
    • Registro / Acceso
  • Mi perfil

2024, Número 4

<< Anterior Siguiente >>

Acta Med 2024; 22 (4)


Endocarditis infecciosa mural de aurícula derecha por Pseudomonas aeruginosa en un paciente en hemodiálisis

Hernández Patiño, Eleazar de Jesús1,2; Gallardo Rivera, Carlos Eduardo1,2; Alanís Naranjo, José Martín1,3; Rivera Hermosillo, Julio César1,4
Texto completo Cómo citar este artículo 10.35366/117528

DOI

DOI: 10.35366/117528
URL: https://dx.doi.org/10.35366/117528
Artículos similares

Idioma: Español
Referencias bibliográficas: 5
Paginas: 329-331
Archivo PDF: 315.05 Kb.


PALABRAS CLAVE

endocarditis infecciosa mural, endocarditis infecciosa, endocarditis no valvular, hemodiálisis, Pseudomonas aeruginosa.

RESUMEN

Introducción: la endocarditis infecciosa mural (EIM) es un tipo raro de endocarditis infecciosa (EI) y no existen casos reportados asociados a Pseudomonas aeruginosa. Caso clínico: paciente femenino en hemodiálisis con EIM de la aurícula derecha causada por Pseudomonas aeruginosa. El tratamiento incluyó retiro del catéter de hemodiálisis y cambio a diálisis peritoneal. Tras completar la terapia antibiótica, la paciente fue dada de alta en condición estable y asintomática. Conclusión: los desenlaces clínicos de EI de cavidades derechas, incluida la EIM, suelen ser mejores que los de EI de cavidades izquierdas, con una tasa de mortalidad de < 5 a 10%.



INTRODUCCIóN

La endocarditis infecciosa mural (EIM) es una infección endovascular poco frecuente que afecta al endocardio no valvular.1 Pseudomonas aeruginosa es una causa poco común de endocarditis infecciosa (EI) de cavidades derechas, pero su prevalencia ha aumentado en los últimos años.2 Los pacientes sometidos a hemodiálisis tienen más probabilidades de desarrollar EI, y su prevalencia debería aumentar a medida que crece la población de personas con enfermedad renal terminal.3

Con respecto a EIM, no se han reportado en la literatura casos asociados a Pseudomonas aeruginosa. Describimos el caso de una paciente en hemodiálisis con EIM aislada de la aurícula derecha causado por Pseudomonas aeruginosa.



DESCRIPCIÓN DEL CASO

Paciente femenino de 54 años con enfermedad renal terminal que ingresó al servicio de nefrología tras presentar fiebre persistente de una semana de evolución, que empeoró durante la sesión de hemodiálisis.

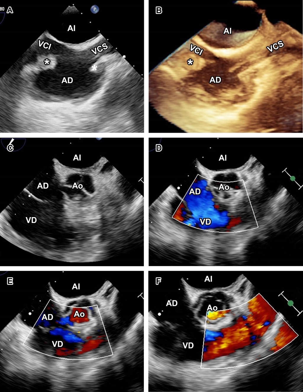
A la exploración física, ruidos cardiacos y respiratorios se auscultaron sin alteraciones. Laboratorios solo reportaron anemia (hemoglobina 8.7 g/dL). Ante sospecha de EI se tomaron hemocultivos y se inició tratamiento con vancomicina más ceftazidima. El ecocardiograma transtorácico (ECOTT) con mala ventana acústica mostró catéter de hemodiálisis engrosado con vegetación en la aurícula derecha (Figura 1), y se realizó ecocardiograma transesofágico (ECOTE), observándose vegetación en el catéter de hemodiálisis así como en aurícula derecha y sin compromiso valvular (Figura 2).

Los hemocultivos fueron positivos para Pseudomonas aeruginosa y se ajustó manejo a piperacilina/tazobactam. Además de retirar el catéter de hemodiálisis, se cambió la terapia de reemplazo renal a diálisis peritoneal. Tras completar el esquema de antibiótico, la paciente fue dada de alta en condición estable y asintomática. En el seguimiento a seis meses, la paciente se mantenía asintomática, afebril y el ECOTT de control no mostró vegetaciones ni compromiso valvular.



DISCUSIóN

La EIM representa de 0.7 a 5.6% de los casos de EI.1,4 Los microorganismos implicados con mayor frecuencia son los estafilococos.1 La localización más frecuente es el ventrículo izquierdo (30.8%), seguido de la aurícula derecha (25.6%) (Tabla 1).1,4 La fiebre es el síntoma más común (86%), acompañada de escalofríos.5 Las vegetaciones murales producen menos compromiso hemodinámico en comparación a la EI valvular.4

El mecanismo de EIM en cavidades derechas no está claro; las posibles razones incluyen un gradiente de baja presión en cavidades derechas, niveles bajos de oxígeno en la sangre venosa, una menor prevalencia de malformaciones congénitas de cavidades derechas y diferencias en la vascularización del endotelio.2,5 Es causada comúnmente por el uso de catéteres en pacientes inmunocomprometidos; el trasplante subyacente, la neoplasia y la hemodiálisis son prevalentes en EIM.1

Las herramientas de diagnóstico más eficaces son ECOTT y los hemocultivos;5 sin embargo, estos pacientes requerirán un ECOTE para evaluación de la extensión de la infección.4 Los desenlaces clínicos de EI de cavidades derechas, incluida la EIM, generalmente son mejores en comparación con la EI de cavidades izquierdas; hay menor embolismo sistémico y formación de abscesos. Responde al tratamiento antibiótico sin complicaciones por extensión extravalvular y la tasa de mortalidad es de < 5 a 10%.2


REFERENCIAS (EN ESTE ARTÍCULO)

  1. Gutiérrez-Villanueva A, Muñoz P, Delgado-Montero A, Olmedo-Samperio M, de Alarcón A, Gutiérrez-Carretero E et al. Mural Endocarditis: The GAMES registry series and review of the literature. Infect Dis Ther. 2021; 10 (4): 2749-2764.

  2. Shmueli H, Thomas F, Flint N, Setia G, Janjic A, Siegel RJ. Right-sided infective endocarditis 2020: challenges and updates in diagnosis and treatment. J Am Heart Assoc. 2020; 9 (15): e017293.

  3. Pericàs JM, Llopis J, Jiménez-Exposito MJ, Kourany WM, Almirante B, Carosi G et al. Infective endocarditis in patients on chronic hemodialysis. J Am Coll Cardiol. 2021; 77 (13): 1629-1640.

  4. Rajesh GN, Vellani H, Vadasseril JJ, Mohanan S, Sajeev CG. Clinical profile and one-year outcomes of patients with mural infective endocarditis: – a tertiary care centre study based on data from a seven-year registry. Indian Heart J. 2022; 74 (3): 163-169.

  5. Wu W, Ye S, Chen GH. Right-sided infective mural endocarditis complicated by septic pulmonary embolism and cardiac tamponade caused by MSSA. Heart Lung. 2018; 47 (4): 366-370.



AFILIACIONES

1 Hospital Regional 1o de Octubre, ISSSTE. Ciudad de México, México.

2 Departamento de Nefrología.

3 Departamento de Cardiología, ORCID: 0000-0001-6631-7228

4 Departamento de Ecocardiografía.



Conflicto de intereses: los autores declaran que no tienen ningún conflicto de intereses.

Protección de sujetos humanos o animales: este artículo no contiene ningún estudio con sujetos humanos o animales realizado por ninguno de los autores.



CORRESPONDENCIA

José Martín Alanís Naranjo. Correo electrónico: martin.alanis.n@gmail.com




Aceptado: 10-11-2023.

Figura 1
Figura 2
Tabla 1

2020     |     www.medigraphic.com

Mi perfil

C?MO CITAR (Vancouver)

Acta Med. 2024;22

ARTíCULOS SIMILARES

CARGANDO ...