medigraphic.com
ENGLISH

Acta Médica Grupo Ángeles

Órgano Oficial del Hospital Ángeles Health System
  • Mostrar índice
  • Números disponibles
  • Información
    • Información general        
    • Directorio
  • Publicar
    • Instrucciones para autores        
    • Envío de artículos
    • Políticas
    • Nombre y afiliación del Comité Editorial
  • Nosotros
    • Plan de gestión e intercambio de datos
    • Objetivos declarados y alcance
  • medigraphic.com
    • Inicio
    • Índice de revistas            
    • Registro / Acceso
  • Mi perfil

2024, Número 4

<< Anterior Siguiente >>

Acta Med 2024; 22 (4)


Resonancia magnética en el síndrome piramidal

Lomas Guim, Andrea Lusitania1,2; Orbe Montenegro, Viviana Elizabeth1,3; Bravo Valle, Jaime1,4; Penagos Medina, Jessica1,5; Gómez Pérez, María de Guadalupe1,6
Texto completo Cómo citar este artículo 10.35366/117529

DOI

DOI: 10.35366/117529
URL: https://dx.doi.org/10.35366/117529
Artículos similares

Idioma: Español
Referencias bibliográficas: 5
Paginas: 332-334
Archivo PDF: 269.25 Kb.


PALABRAS CLAVE

síndrome piramidal, anatomía, hallazgos en resonancia magnética, ciatalgia.

RESUMEN

El síndrome piramidal o del piriforme es una patología poco conocida que se sospecha en pacientes con dolor crónico en el trayecto del nervio ciático con o sin irradiación hacia miembros inferiores o región lumbar. Se puede relacionar con alteraciones del músculo piramidal con compresión del nervio ciático y tener varios orígenes: desde alteraciones anatómicas y sus variantes hasta aquéllas secundarias a la actividad física y traumatismos. La resonancia magnética permite la visualización del nervio ciático y de las estructuras adyacentes mediante varias técnicas con cortes finos y/o secuencias con neurografía en alta definición, lo que propicia una adecuada valoración.



INTRODUCCIóN

El músculo piriforme tiene forma piramidal y su origen se da en las crestas iliacas del sacro, sale de la pelvis a través del foramen ciático mayor, pasa por la región anterosuperior de la articulación coxofemoral y se inserta en el borde superior del trocánter mayor del fémur.1

El síndrome piramidal se describe como un desorden neuromuscular que se manifiesta de la compresión del nervio ciático por el músculo piriforme en pacientes con síntomas de ciatalgia secundario a la hipertrofia, inflamación o variantes anatómicas. Existe poca literatura al respecto de esta patología, lo que resulta en un problema diagnóstico debido a su baja frecuencia y síntomas inespecíficos.2 La importancia de la resonancia magnética en el diagnóstico de este síndrome radica en el reconocimiento adecuado de las estructuras anatómicas y las alteraciones imagenológicas en las diferentes secuencias.3



CASO CLíNICO

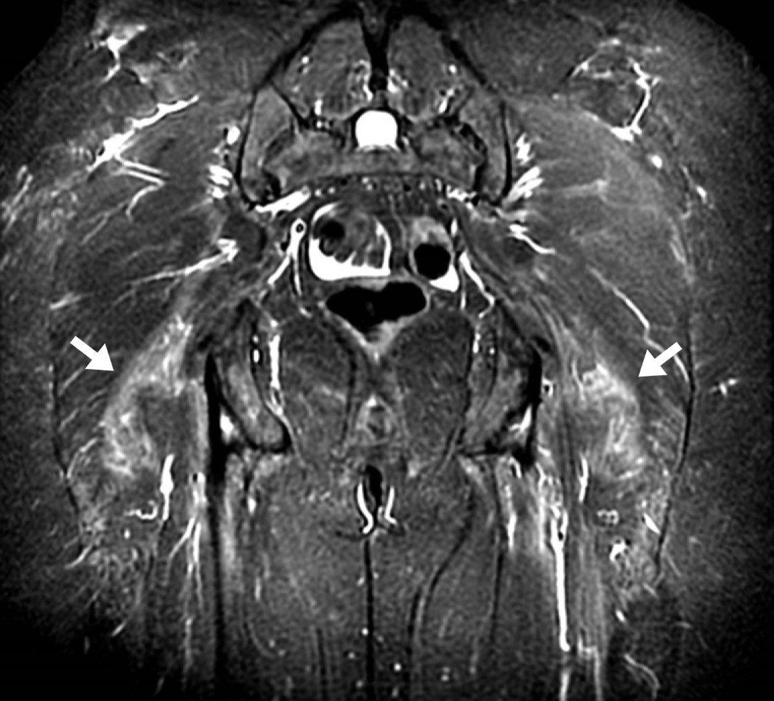
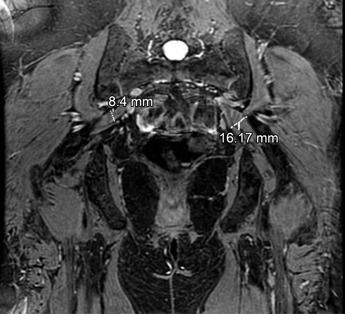
Mujer de 56 años, peso 58 kg, estatura 1.54 m, a quien se le solicitó resonancia magnética del nervio ciático por presentar síntomas de dolor en la pierna izquierda de dos meses de evolución, en estudio previo de resonancia magnética de columna lumbar no se demostró patología discal. En el estudio se identificó asimetría de los músculos piriformes, en las imágenes axiales del lado izquierdo el músculo piriforme mide hasta 12.7 mm de grosor y en el lado derecho 6 mm (Figura 1), en imágenes coronales mide en el lado derecho 8.4 mm y en el lado izquierdo hasta 16 mm (Figura 2), con incremento de la señal del músculo piriforme en el lado izquierdo y datos de compresión del nervio ciático a este nivel. Como otros hallazgos, la paciente presentó cambios de coxartrosis incipiente, bursitis trocantérica bilateral y edema leve por proceso inflamatorio bilateral de los músculos glúteo mayor y medio (Figura 3).



DISCUSIóN

El síndrome piramidal es una condición rara, se describe una incidencia aproximada de 6% en pacientes con síntomas persistentes de ciatalgia y parestesias de miembros inferiores que puede manifestarse de forma uni o bilateral, con o sin irradiación hacia el segmento distal. Casi en la mitad de los casos los pacientes presentan antecedentes de trauma, con posterior inflamación del músculo piriforme y la consecuente compresión del nervio ciático. Estos hallazgos se observan mejor en los estudios de resonancia magnética. Las secuencias potenciadas en T1 y T2-FAT SAT permiten valorar el detalle anatómico de la pelvis, estructuras vasculares, la compresión neural y edema, así como la hipertrofia o variantes anatómicas del músculo piriforme.4 La neurografía por resonancia magnética obtiene imágenes en alta resolución que proporcionan una mayor visualización y valoración de la anatomía de las estructuras nerviosas, en este caso, del trayecto del nervio ciático, así como de los tejidos adyacentes. No existe mucha literatura respecto a esta patología, únicamente se han publicado casos aislados. Según Filler,5 existe 93% de especificidad y 64% de sensibilidad para visualizar los hallazgos que permiten diagnosticar síndrome piramidal y discernir de aquéllos que no lo tienen y presentan cuadro clínico similar.



CUMPLIMIENTO DE LAS DIRECTRICES ÉTICAS

Conflicto de intereses: Andrea Lomas, Viviana Orbe, Jaime Bravo Valle y María de Guadalupe Gómez Pérez declaran que no tienen ningún conflicto de intereses.

Este artículo no contiene ningún estudio con sujetos humanos o animales realizado por ninguno de los autores.


REFERENCIAS (EN ESTE ARTÍCULO)

  1. Trigésimo sexto Congreso Nacional Colegio Interamericano de Radiología. Palacio de Ferias y Congresos de Málaga, 25 - 28 Mayo 2022. Sociedad Española de Radiología Médica, SERAM; 2022.

  2. Haladag Robert, Pingot Mariusz, Polgut Michal, Wysiadecki Grzegor, Topol Miroslaw. Anthropometric Study of the Pirifomis Muscle and Sciatic Nerve: A Morphological Analysis in a Polish Population. Med Sci Monit. 2015; 21: 3760-3768.

  3. Lee Edward, Margherita Anthony, Gierada David, Narra Vamsi. MRI of piriformis syndrome. AJR. 2004; 183: 63-64.

  4. Koh E, Webster D, Boyle J. Case report and review of the potential role of the Type A piriformis muscle in dynamic sciatic nerve entrapment variant of piriformis syndrome. Surg Radiol Anat. 2020; 42 (10): 1237-1242.

  5. Filler AG, Haynes J, Jordan SE, Prager J, Villablanca JP, Farahani K, et al Sciatica of nondisc origin and piriformis syndrome: diagnosis by magnetic resonance neurography and interventional magnetic resonance imaging with outcome study of resulting treatment. J Neurosurg Spine. 2005; 2 (2): 99-115.



AFILIACIONES

1 Hospital Angeles Pedregal. Ciudad de México, México.

2 Médico residente de Alta Especialidad en Resonancia Magnética de Cuerpo Completo.

3 Médico residente de Alta Especialidad en Resonancia Magnética del Sistema Musculoesquelético.

4 Médico neurorradiólogo. Profesor adjunto del curso de Alta Especialidad de Resonancia Magnética de Cuerpo Completo.

5 Médico radiólogo especialista en Resonancia Magnética de Cuerpo Completo. Profesor adjunto del curso de Alta Especialidad de Resonancia Magnética de Cuerpo Completo.

6 Médico radiólogo especialista en Resonancia Magnética. Profesor titular de los cursos de Alta Especialidad de Resonancia Magnética de Cuerpo Completo y Sistema Musculoesquelético.



CORRESPONDENCIA

Dra. Andrea Lusitania Lomas Guim. Correo electrónico: andrealomas13@gmail.com




Aceptado: 24-11-2023.

Figura 1
Figura 2
Figura 3

2020     |     www.medigraphic.com

Mi perfil

C?MO CITAR (Vancouver)

Acta Med. 2024;22

ARTíCULOS SIMILARES

CARGANDO ...