medigraphic.com
ENGLISH

Revista Mexicana de Cirugía Bucal y Maxilofacial

ISSN 2007-3178 (Impreso)
Asociación Mexicana de Cirugía Bucal y Maxilofacial, Colegio Mexicano de Cirugía Bucal y Maxilofacial, A.C.
  • Mostrar índice
  • Números disponibles
  • Información
    • Información general        
    • Directorio
  • Publicar
    • Instrucciones para autores        
    • Envío de artículos
  • medigraphic.com
    • Inicio
    • Índice de revistas            
    • Registro / Acceso
  • Mi perfil

2024, Número 3

<< Anterior Siguiente >>

Rev Mex Cir Bucal Maxilofac 2024; 20 (3)


Identificación de VPH subtipos 16 y 18 en carcinoma de células escamosas de cavidad bucal en el Servicio de Cirugía Maxilofacial del Hospital Roosevelt

García Vásquez, Ángel Michel1; Hurtado Castillo, Ileana2; Matta Ríos, Jaime3
Texto completo Cómo citar este artículo 10.35366/118182

DOI

DOI: 10.35366/118182
URL: https://dx.doi.org/10.35366/118182
Artículos similares

Idioma: Español
Referencias bibliográficas: 26
Paginas: 97-104
Archivo PDF: 421.25 Kb.


PALABRAS CLAVE

carcinoma de células escamosas en cavidad bucal, virus del papiloma humano, inmunohistoquímica, epidemiología del cáncer.

RESUMEN

Introducción: estudios demuestran que algunos tipos de virus de papiloma humano (VPH) pueden influir en el desarrollo de carcinoma de células escamosas de la cavidad bucal, principalmente los virus catalogados de alto riesgo, VPH 16 y VPH 18. Objetivo: determinar si existe o no presencia del VPH en subtipos 16 y 18 presentes en los pacientes diagnosticados con carcinoma de células escamosas de la cavidad bucal. Material y métodos: diseño transversal, descriptivo. Se contó con una muestra no probabilística de casos consecutivos de 20 pacientes con carcinoma de células escamosas en cavidad bucal, mayores de 18 años de edad, de ambos sexos. Se realizaron tinciones inmunohistoquímicas (IHC) VPH16 E6 y 20 para IHC VPH18 E6. Los resultados fueron analizados con estadística descriptiva en cuadros de Excel. Resultados: los pacientes de sexo masculino fueron 11 pacientes (61.1%), la edad promedio osciló entre 51-60 años (50%), y la mayoría de los pacientes provenían de la ciudad de Guatemala (44.4%). El sitio anatómico de predilección fue el de los bordes laterales de la lengua (44.4%). Se reportaron dos pacientes con consumo de alcohol. Se observó presencia de VPH en 18 muestras de pacientes (90%). El VPH 16 se presentó de manera aislada en 13 casos (65%) y acompañado con VPH 18 en 5 casos más (25%). El VPH 18 no se encontró de manera aislada. Conclusión: el virus de papiloma humano en subtipos de alto riesgo 16 y 18 se encontró presente en 90% de los pacientes con carcinoma de células escamosas de la cavidad bucal del departamento de estomatología del Hospital Roosevelt.



ABREVIATURAS:

  • ADA = Asociación Dental Americana.
  • IHC = inmunohistoquímicas.
  • VPH = virus de papiloma humano.



INTRODUCCIóN

En 1983, Syrjänen y colaboradores, propusieron al virus de papiloma humano (VPH) como factor de riesgo en el cáncer de cabeza y cuello, siendo relacionado con la carcinogénesis en este tipo de tejidos, que comparten características histológicas de mucosa de cuello uterino. En el año 2010, la Asociación Dental Americana (ADA) reconoce al VPH como factor de riesgo del cáncer orofaríngeo.1

En la cavidad bucal el cáncer de mayor frecuencia es el carcinoma de células escamosas, representando 5% de todas las neoplasias. Según la Organización Mundial de la Salud, el carcinoma de células escamosas en cavidad oral es una neoplasia epitelial invasiva, que tiene diferentes grados de diferenciación escamosa.2 El cáncer oral se logra diagnosticar de manera temprana en menos de 34% de los casos a nivel mundial, diagnosticándose en estadios tardíos en 66% de los casos. La supervivencia a cinco años, al ser detectado en estadios III y IV, no supera 25%.3 Se ha observado que el nivel socioeconómico y los grados de escolaridad bajos, son factores de riesgo para el desarrollo cáncer de cabeza y cuello.4 Dentro de los principales factores de riesgo que la literatura reporta se encuentran el consumo tabaco y alcohol, su combinación forma un efecto de sinergismo.1 Se ha reportado que algunos VPH de alto riesgo (subtipo 16 y 18), virus Epstein-Barr, son capaces de generar inestabilidad genética, pudiendo ocasionar, en determinados pacientes, lesiones que pueden transformarse en futuras neoplasias malignas como carcinoma de células escamosas.3,5,6

Actualmente, se reporta aumento significativo de la asociación del VPH al carcinoma bucal en pacientes jóvenes, clasificados en grupo de no fumadores, que presentan comportamientos sexuales modificados como el sexo oral. Pudiendo asociarse a la infección oral.7

Los carcinomas de células escamosas VPH positivos, han mostrado presentar una reducción del riesgo de muerte de hasta 90%, además que, dado a sus características de menor hipoxia y radiosensibilidad, responden mejor a las terapias de este cáncer, aumentando la supervivencia de los pacientes.3 Los subtipos asociados son 16 y 18, siendo el 16 el de mayor potencial de malignidad.8 La presencia de subtipos de VPH 16 y 18 en la región de cabeza y cuello es de alrededor de 84.9%, y colectivamente en los subtipos catalogados de alto riesgo en 89.7%.9 En una investigación publicada en 2016 "Virus del papiloma humano en carcinomas de células escamosas de amígdalas de Guatemala y Brasil", realizaron estudios inmunohistoquímicos para encontrar VPH en carcinoma de células escamosas en orofaringe. Los casos de Guatemala, tenían VPH integrado de alto riesgo, mientras que los casos brasileños, no presentaban asociación con el VPH. Dicho estudio menciona la falta de información o investigaciones relacionadas con el VPH en Guatemala, a pesar de la alta prevalencia de lesiones malignas en cavidad oral y orofaringe,10 actualmente no hay más datos o información sobre la presencia de este virus en los pacientes con cáncer oral en Guatemala. Con esta amplia variedad de posibilidades, se vuelve factible estudiar las relaciones entre estos virus y las patologías oncogénicas en la sociedad guatemalteca.

El objetivo de este estudio fue ampliar el conocimiento sobre la relación del VPH con esta población, específicamente determinando la prevalencia de los subtipos 16 y 18 en pacientes diagnosticados con carcinoma de células escamosas en la cavidad bucal que recibieron atención en el servicio de cirugía oral y maxilofacial del Hospital Roosevelt. Además, se buscó analizar las características sociodemográficas, la frecuencia de vacunación contra el VPH y los lugares anatómicos más comúnmente asociados al carcinoma de células escamosas en la cavidad bucal en relación con el VPH.



MATERIAL Y MéTODOS

Al revisar los expedientes clínicos, se recopilaron los datos correspondientes, los cuales no fueron publicados ni compartidos con individuos ajenos al estudio, preservando así la confidencialidad de los nombres y cualquier otro identificador personal. Ningún dato fue alterado durante el proceso. En este estudio, no se expuso a ningún paciente a procedimientos que pudieran comprometer su integridad; únicamente se utilizaron muestras (bloques y laminillas) previamente obtenidas durante tratamientos clínicos. Se garantizó el cumplimiento de los principios éticos establecidos en la Declaración de Helsinki. El estudio se llevó a cabo con un diseño transversal y descriptivo, utilizando como unidad de análisis los archivos médicos del Hospital Roosevelt, así como los bloques y laminillas de pacientes diagnosticados con carcinoma de células escamosas en la cavidad bucal. La muestra se obtuvo de manera no probabilística por conveniencia e incluyó a todos los pacientes que cumplían con los criterios de selección establecidos para el estudio.



POBLACIÓN

La población estudio fueron todos los pacientes que asistieron al Servicio de Cirugía Oral y Maxilofacial del Hospital Roosevelt de Guatemala a quienes se les diagnosticó con carcinoma de células escamosas en cavidad bucal, en el periodo de enero de 2019 a marzo de 2022.

Para la selección de los sujetos del estudio se utilizaron como criterios de inclusión: pacientes de ambos sexos con edades de entre 18 y 90 años que fueron diagnosticados con carcinoma de células escamosas en cavidad bucal. Y como criterios de exclusión: pacientes diagnosticados con carcinoma de células escamosas cuya muestra patológica no se pudo recuperar.



INVESTIGADORES

El equipo de investigación estuvo compuesto por: investigadora principal quien fue responsable de recolectar los expedientes clínicos, clasificar los casos de carcinoma de células escamosas de la cavidad bucal, recolectar los bloques y laminillas para el estudio, y trasladarlos al laboratorio de patología para que se realizaran las tinciones inmunohistoquímicas. También estuvo encargada de la tabulación de datos, análisis y resultados del estudio, así como de la compilación bibliográfica y el análisis de resultados. La asesora del estudio y patóloga, quien fue la única patóloga oral y maxilofacial a cargo de estudiar bajo microscopio las laminillas con las tinciones correspondientes, revisora principal de la investigación. Y un asesor hospitalario, encargado de entregar las cartas solicitando acceso a los expedientes clínicos, así como bloques y laminillas que pertenecían al departamento de patología del hospital, los cuales fueron utilizados y devueltos cunado se concluyó la investigación.



INTERVENCIÓN

Se revisó la base de datos de pacientes con patologías en cavidad bucal del Servicio de Cirugía Oral y Maxilofacial del Hospital Roosevelt de Guatemala desde 2019 hasta marzo de 2022, seleccionando 20 expedientes clínicos del departamento de archivo. Se recopilaron datos epidemiológicos y factores de riesgo, garantizando el anonimato mediante números de muestra histopatológica. Se contrató un laboratorio histopatológico para pruebas de inmunohistoquímica y se importaron anticuerpos compatibles para VPH 16 E6 y VPH 18 E6. Se prepararon cortes de cuatro micrómetros de espesor de biopsias de carcinoma de células escamosas de cavidad bucal, fijados en formalina y embebidos en parafina. Los cortes se montaron en láminas adhesivas para IHC, con recuperación antigénica e inactivación de peroxidasa endógena. Se incubaron anticuerpos anti HPV 18 E6 (NovusBio®) y anti HPV 16 E6 (LSBio®) a diluciones de 1:35 y 1:120, respectivamente, a temperatura ambiente por 60 y 40 minutos. Se utilizó el kit de detección ABCAM® (ab236466), con tinción de contraste en hematoxilina y montaje en Entellan (Merck®). El histotecnólogo produjo 40 laminillas: 20 para IHC VHP 16 E6 y 20 para IHC VPH 18 E6. La inmunoexpresión se clasificó como negativa o positiva según criterios establecidos. Los resultados se evaluaron en un microscopio PRIMOSTAR 3® en colaboración con la patóloga del estudio. En la misma laminilla donde se colocaban las muestras se colocaron tejidos control de tejido de cérvix uterino que habían sido diagnosticados con VPH 16 y VHP18 para brindarle soporte al estudio.



MEDICIÓN DE LAS VARIABLES

La información se obtuvo a través de un instrumento recolector de datos, el cual incluyó datos epidemiológicos y clínicos. Las variables se operacionalizaron de la siguiente forma: características sociodemográficas (sexo, edad, procedencia, escolaridad, ocupación y vacuna contra VPH). Factores de riesgo asociados (tabaquismo y alcoholismo). Sitio anatómico de lesión (piso de boca, bordes laterales de lengua, surco yugal superior, surco yugal inferior y otros como cuerpo mandibular, labio inferior y mucosa de carrillo) y virus del papiloma humano subtipo 16, virus del papiloma humano subtipo 18. Para la variable de VPH subtipo 16 y 18, los resultados fueron dictados por una única patóloga que analizó el total de las laminillas.



MÉTODOS ESTADÍSTICOS

Se calcularon frecuencias para las medidas de estadística descriptiva y porcentajes para las variables de naturaleza cualitativa, de esta manera, se calcularon media y mediana para la variable edad. La medida de frecuencia se calculó a través de una prevalencia utilizando la siguiente fórmula:

(Número de pacientes diagnosticados con VPH 16 y 18/ Total de pacientes diagnosticados con carcinoma de células escamosas en cavidad bucal) × (10n)



RESULTADOS

Para los resultados obtenidos de características sociodemográficas, factores de riesgo asociados y sitio anatómico de lesión, se tomaron únicamente en cuenta los pacientes positivos para VPH, siguiendo los objetivos del estudio. Por ello el número total estudiado en estos casos fue de 18 pacientes. En cuanto a los resultados de prevalencia del VPH se tomaron en cuenta todos los sujetos del estudio por lo que el total estudiado fue de 20 pacientes. Los archivos clínicos de los pacientes incluidos en el estudio no contienen información de seguimiento, como tasas de supervivencia o respuestas a tratamientos, por lo que estos datos no fueron considerados en los resultados. Sin embargo, a partir de las historias médicas se pudieron identificar las características sociodemográficas, factores de riesgo, frecuencia de vacunación y el sitio anatómico más frecuente, todos relacionados con la presencia o ausencia de VPH 16 y/o 18 en las muestras. Sólo se analizaron muestras de pacientes del departamento de estomatología, ya que no se disponía de información sobre la orofaringe o laringe. Por lo tanto, los resultados son aplicables únicamente a las lesiones de la cavidad bucal. En cuanto a las características sociodemográficas de pacientes positivos a VPH (Tabla 1), el sexo predominante fue el masculino con 11 pacientes (61.1%), la edad preponderante entre 51-60 años (50%), siendo la media de edad de ± 59 años, [mediana 58 años]. La mayoría de los pacientes provenían de la ciudad de Guatemala (44.4%). Se identificó que, en el grado de escolaridad, la mayoría se encuentran distribuidos en primaria y diversificado con el mismo porcentaje cada uno (38.9%). La ocupación que predominó es de ama de casa (33.3%).

Los resultados de la presencia de VPH se clasificaron en 4 grupos:

  • 1. VPH 16 aislado positivo: 13 muestras.
  • 2. VPH 18 aislado positivo: 0 muestras.
  • 3. VPH 16 y 18 positivos: 5 muestras.
  • 4. VPH negativo: 2 muestras.

El VPH 16 aislado positivo se encontró en 13 pacientes (65%) y se localizó VPH 16 en conjunto con VPH 18 en cinco casos más (25%), obteniendo un total de 18 pacientes positivos a VPH (90%) (Tabla 2). La prevalencia a positividad de VPH en subtipos 16 y 18 en los pacientes del Servicio de Cirugía Maxilofacial del Hospital Roosevelt fue de 0.9. Respecto a factores de riesgo relacionados, dentro de los pacientes estudiados ninguno indicó consumo de tabaco de manera pasiva o activa. La mayoría de pacientes refirieron no haber consumido ninguno de los dos (88.9%). Dos pacientes refirieron consumo de alcohol de manera crónica (11.1%), ambos pacientes indicaron haber bebido por más de 20-30 años, por lo menos dos veces a la semana. Cesando el consumo hace 5-10 años.

El sitio anatómico de lesión más predominante fueron los bordes laterales de la lengua (44.4%) (Tabla 3). En la categoría de "otros" se observaron dos pacientes con lesión en mucosa de carillo y uno en cuerpo mandibular.



DISCUSIÓN

La literatura evidencia que el virus del papiloma humano (VPH) no sólo está asociado a cánceres en la región genito-anal, sino también a ciertos cánceres de cabeza y cuello, en particular el carcinoma de células escamosas de la cavidad bucal.11,12 En Guatemala, el cáncer cervicouterino es el segundo en incidencia entre los cánceres ginecológicos, con el VPH de alto riesgo como factor etiológico principal. No obstante, la relación entre VPH y carcinoma oral en pacientes guatemaltecos aún no ha sido explorada.13 Por ello, este estudio se propuso investigar la presencia del VPH en pacientes con carcinoma de células escamosas de cavidad bucal atendidos en el Servicio de Cirugía Maxilofacial del Hospital Roosevelt, un centro de referencia nacional, durante el periodo de enero de 2019 a marzo de 2022. Además, se buscó determinar la prevalencia de los subtipos de alto riesgo, 16 y 18.

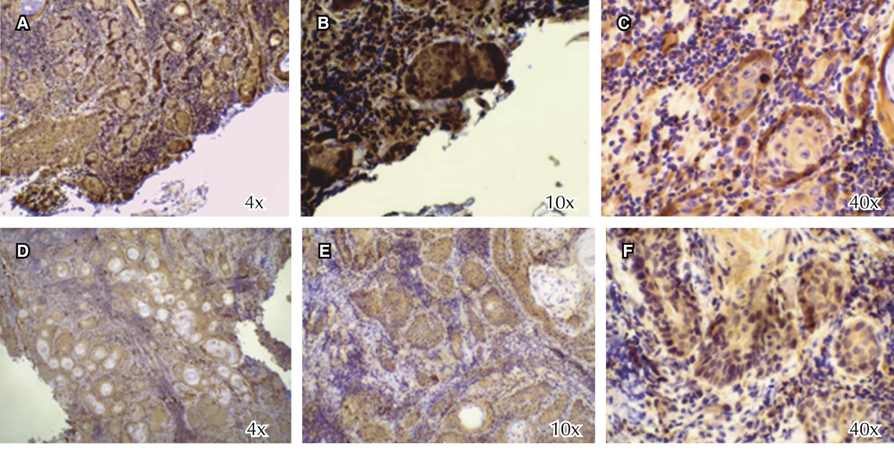
De los 20 pacientes incluidos, 18 resultaron positivos para VPH (90%), siendo el subtipo 16 el predominante, detectado en 100% de las muestras positivas. El VPH 16 se presentó de forma aislada en 65% de los casos, mientras que 25% mostró coinfección con el subtipo 18, sin que este último se encontrara de forma aislada (Figura 1). Estos resultados coinciden con los estudios de Howard, Miller y Gillison, donde identifican al VPH 16 como responsable de más de 90% de los casos de carcinoma de células escamosas de cabeza y cuello relacionados con VPH, mientras que el VPH 18 se encuentra en una pequeña proporción de casos (alrededor de 2%).14-16 La presencia de otros subtipos oncogénicos del VPH, distintos al 16 y 18, es rara.17

Durante la caracterización de los pacientes con resultados positivos para VPH 16 y/o 18 se determinó que la mayoría eran de sexo masculino (61.1%), con una edad media de aproximadamente ± 59 años. En cuanto a la relación entre sexo y edad, 45.5% de los hombres se encontraban en el rango de edad de 51 a 60 años, mientras que 42.8% de las mujeres se ubicaban en ese mismo rango. Estos hallazgos concuerdan con los resultados de otros estudios que también señalan una mayor predilección por el cáncer oral en hombres.15,18-20 Algunas investigaciones incluso sugieren una predilección masculina de hasta 70%.19,21 En cuanto a la edad media, nuestros resultados están en línea con los estudios de Ringström y Li, quienes reportaron una edad media de alrededor de ± 59 y ± 60.5 años, respectivamente.16,19,20

Se observó que los pacientes en este estudio no recibieron la vacuna contra el VPH. En la literatura revisada, no se encontraron registros que vinculen la vacunación contra el VPH con el cáncer oral. En Guatemala, se han autorizado tres vacunas contra el VPH, que principalmente protegen contra los tipos de alto riesgo VPH 16 y 18. Estas incluyen la vacuna bivalente, que protege contra los tipos 16 y 18, la vacuna tetravalente, que protege contra los tipos 16, 18, 6 y 11, y la vacuna nonavalente, que protege contra los tipos 16, 18, 31, 33, 45, 52, 53, así como los tipos 6 y 11 adicionales. Según la Guía de Atención Integral para la Prevención, Detección y Tratamiento de Lesiones Precursoras de Cáncer Cérvico Uterino, publicada en 2020, se espera alcanzar una cobertura de vacunación del 90% para el año 2030, siguiendo las recomendaciones de la Organización Mundial de la Salud (OMS) y la Organización Panamericana de la Salud (OPS).13

Por otro lado, se observó que, de los pacientes positivos para VPH, sólo dos reportaron antecedentes de alcoholismo (11%) y ninguno de tabaquismo. Se ha encontrado una correlación significativa entre la infección por VPH y una exposición reducida o ausente a los factores de riesgo, ya que la presencia del VPH predice una menor tasa de consumo de alcohol y tabaco. Se ha observado que los pacientes fumadores desarrollan hiperqueratosis en las mucosas, lo que dificulta la entrada del VPH en los tejidos; por lo tanto, se cree que los no fumadores tienen una mayor probabilidad de desarrollar tumores relacionados con el VPH que aquellos que fuman.4,16,20,22 Debido al tamaño de nuestra muestra, no podemos determinar si el alcohol y el tabaco fueron factores de riesgo predisponentes o no.

Un estudio de casos y controles realizado por Madani investigó la relación entre factores sociodemográficos y el cáncer de cavidad oral, encontrando que los niveles bajos de educación y las ocupaciones relacionadas con la agricultura y el trabajo manual de bajos ingresos eran los principales factores de riesgo independientes.23 Estos resultados son consistentes con los hallazgos de nuestro estudio, en el que la mayoría de los pacientes positivos para los subtipos de VPH 16 y 18 presentaban niveles educativos bajos, como educación primaria o diversificado, y ocupaciones predominantes como amas de casa (33.3%) y comerciantes (22.2%). La combinación más frecuente fue la de amas de casa con educación primaria (71.4%). Según investigaciones previas, las personas con niveles socioeconómicos y educativos más bajos tienden a presentar una mayor incidencia y mortalidad por cáncer oral, así como una menor calidad de vida y menores tasas de supervivencia.4,24

En cuanto al sitio anatómico de la lesión, este estudio reveló que, entre las muestras positivas para VPH, el lugar predominante de la lesión fue en los bordes laterales de la lengua (44.4%). Coincidiendo con nuestros hallazgos, otros autores han observado una mayor predilección por sitios anatómicos como la lengua (50%) y el piso de la boca (35%).25 En estudios como el de Hansson, se ha informado que sitios anatómicos como la orofaringe y la base de la lengua tienen una proporción atribuida a la relación con el VPH de alto riesgo de 54%.26

Una limitación del estudio es el tamaño reducido de la muestra, lo que restringe la generalización de los resultados. Se recomienda continuar investigando la asociación entre el VPH y el carcinoma oral en poblaciones más amplias para profundizar en la comprensión de la susceptibilidad en pacientes guatemaltecos, así como explorar el conocimiento de estos sobre la salud sexual y los riesgos asociados a prácticas sin protección.



CONCLUSIóN

En conclusión, los hallazgos de este estudio han evidenciado una posible asociación significativa entre el virus del papiloma humano (VPH), específicamente los tipos 16 y 18, y el cáncer oral en Guatemala, con una mayor susceptibilidad observada en hombres mayores de 50 años. Se observó que la relación socioeconómica podría desempeñar un papel importante en el desarrollo del VPH y el cáncer oral, y que los bordes laterales de la lengua podrían ser los sitios más comunes para encontrar la presencia del VPH en pacientes con carcinoma de células escamosas. Se ha destacado la falta de medidas preventivas al constatar la ausencia de vacunación contra el VPH en los pacientes atendidos en el Servicio de Cirugía Maxilofacial del Hospital Roosevelt de Guatemala. Como se mencionó anteriormente, debido al número limitado de casos, los resultados obtenidos sólo pueden aplicarse a la población estudiada en esta investigación.



AGRADECIMIENTOS

Al personal del Hospital Roosevelt y la USAC, y a los sobrevivientes contra el cáncer.


REFERENCIAS (EN ESTE ARTÍCULO)

  1. Cárcamo M. Epidemiología y generalidades del tumor de cabeza y cuello. Revista Médica Clínica Las Condes. 2018; 29 (4): 388-396. Disponible en: https://doi.org/10.1016/j.rmclc.2018.06.009

  2. De la Fuente J, Ramirez M de los A, Muñoz Mujica P, Patron C, Acosta L. Aumento de la incidencia de carcinoma oral de células escamosas. Salud(i)Ciencia. 2014; 20: 636-642.

  3. Rebolledo Cobos M, Arango Fernández H, Rebolledo Cobos R, Alonso Brujes I. Rol del virus del papiloma humano en el desarrollo de carcinoma oral: una revisión. Av Odontoestomatol. 2016; 32 (3): 135-144.

  4. Vargas-Ferreira F, Nedel F, Etges A, Gomez A, Furuse C, Chaves S. Etiologic factors associated with oral squamous cell carcinoma in non-smokers and non-alcoholic drinkers: a brief approach. Braz Dent J. 2012; 23 (5): 586-590.

  5. García-Cuellar CM, González-Ramírez IDC, Granados-García M. VPH y los carcinomas de cavidad bucal y bucofaringe. cancerología. Cancerología. 2009; 30 (22): 181-191. Disponible en: http://www.incan.org.mx/revistaincan/elementos/documentosportada/1272302362.pdf

  6. Ragin CCR, Taioli E. Survival of squamous cell carcinoma of the head and neck in relation to human papillomavirus infection: review and meta-analysis. Int J Cancer. 2007; 121 (8): 1813-1820.

  7. Smith JS, Melendy A, Rana RK, Pimenta JM. Age-specific prevalence of infection with human papillomavirus in females: a global review. vol. 43, Journal of Adolescent Health. Elsevier USA; 2008. p. S5.e1-S5.e62.

  8. González DM, Motta VLA, Moreno TA, Chala GAI, Tupaz EHA, García RDA. La infección por virus del papiloma humano afecta el pronóstico del cáncer orofaríngeo escamocelular. Revisión de la literatura / Human Papillomavirus Infection Affects Squamous Oropharyngeal Cancer Prognosis. Literature Review. Universitas Odontologica. 2015; 33 (71): 67-75.

  9. Aggarwal N, Yadav J, Thakur K, Bibban R, Chhokar A, Tripathi T et al. Human papillomavirus infection in head and neck squamous cell carcinomas: transcriptional triggers and changed disease patterns. Front Cell Infect Microbiol. 2020; 10: 537650.

  10. Piña AR, Jimenez LS, Mariano FV, De Andrade BAB, Carlos R, Altemani A, et al. Human papillomavirus in tonsillar squamous cell carcinomas from Guatemala and Brazil. Oral Surg Oral Med Oral Pathol Oral Radiol. 2016; 121 (4): 412-418. Available in: http://dx.doi.org/10.1016/j.oooo.2015.12.002

  11. Pennacchiotti G, Sáez R, Martínez MJ, Cárcamo M, Montes R. Prevalencia del virus papiloma humano en pacientes con diagnóstico de carcinoma escamoso de la cavidad oral. Rev Chil Cir. 2016; 68 (2): 137-142.

  12. Termine N, Panzarella V, Falaschini S, Russo A, Matranga D, Lo Muzio L, Campisi G. HPV in oral squamous cell carcinoma vs head and neck squamous cell carcinoma biopsies: a meta-analysis (1988-2007). Ann Oncol. 2008; 19 (10): 1681-1690.

  13. Ministerio de Salud Pública y Asistencia Social. Guía de atención integral para la prevención, detección y tratamientos de lesiones precursoras de Cáncer Cérvico Uterino. Vol. 2, Programa Nacional De Salud Reproductiva. Guatemala; 2020. Report No.: 2.

  14. Howard M. El cáncer bucal y su asociación con el virus del papiloma humano. Revista Científica Odontológica. 2010; 6 (2): 73-81.

  15. Miller CS, White DK. Human papillomavirus expression in oral mucosa, premalignant conditions, and squamous cell carcinoma. A retrospective review of the literature. Oral Surgery Oral Medicine Pathology. 1996; 82 (1): 57-68.

  16. Gillison ML, Koch WM, Capone RB, Spafford M, Westra WH, Wu L et al. Evidence for a causal association between human papillomavirus and a subset of head and neck cancers. J Natl Cancer Inst. 2000; 92 (9): 709-720. Available in: http://jnci.oxfordjournals.org/

  17. Kreimer AR, Clifford GM, Boyle P, Franceschi S. Human papillomavirus types in head and neck squamous cell carcinomas worldwide: a systematic review. Cancer Epidemiol Biomarkers Prev. 2005; 14 (2): 467-475. Available in: http://cebp.aacrjournals.org/content/14/2/467 / https://doi.org/10.1158/1055-9965.EPI-04-0551

  18. Contreras W, Venegas B. Virus papiloma humano en cáncer oral y orofaríngeo. revisión de la literatura / Human papilloma virus in oral and oropharyngeal cancer. Review of the literature. Int J Odontostomat. 2015; 9 (3): 427-435.

  19. Li G, Sturgis EM. The role of human papillomavirus in squamous carcinoma of the head and neck. Curr Oncol Rep. 2006; 8: 130-139.

  20. Ringstrom E, Peters E, Hasegawa M, Posner M, Liu M, Kelsey KT. Human papillomavirus type 16 and squamous cell carcinoma of the head and neck. Clinical Cancer Research. 2002; 8: 3187-3192. Available in: http://aacrjournals.org/clincancerres/articlepdf/8/10/3187/2081541/df1002003187.pdf

  21. Villagómez-Ortíz VJ, Paz-Delgadillo DE, Marino-Martínez I, Ceseñas-Falcón LÁ, Sandoval-de la Fuente A, Reyes-Escobedo A. Prevalencia de infección por virus del papiloma humano en carcinoma espinocelular de cavidad oral, orofaringe y laringe. Cir. 2016; 84 (5): 363-368.

  22. Portugal L, Goldenberg J, Wenig B, Ferrer K, Nodzenski E, Sabnani J et al. Human papillomavirus expression and p53 gene mutations in squamous cell carcinoma. Arch Otolaryngol Head Neck Surg. 1997; 123: 1230-1234.

  23. Madani AH, Dikshit M, Bhaduri D, Jahromi AS, Aghamolaei T. Relationship between selected socio-demographic factors and cancer of oral cavity-a case control study. Cancer Inform. 2010; 9: 163-168. Available in: https://doi.org/10.4137/cin.s4774

  24. Boing A, Ferreira J. Condicoes socioeconomicas e cancer de cabeca e pescoco: uma revisao sistemática de literatura. Cien Saude Colet. 2011; 16 (2): 615-622.

  25. National Cancer Institute José Alencar Gomes da Silva (INCA). Cancer in Brazil Cancer in Brazil. Data from the Population-Based registries executive SUMMARY [Internet]. 4.a ed. Vol. 4, Ministry of Health. Rio de Janeiro: Ministerio de Salud; 2013. 8-200 p. Available in: www.inca.gov.br

  26. Hansson BG, Rosenquist K, Antonsson A, Wennerberg J, Schildt EB, Bladstrom A, et al. Strong association between infection with human papillomavirus and oral and oropharyngeal squamous cell carcinoma: A population-based case-control study in southern Sweden. Acta Otolaryngol. 2005; 125 (12): 1337-1344.



AFILIACIONES

1 Jefa de Residentes servicio de Cirugía Oral y Maxilofacial, Hospital Roosevelt de Guatemala Maestría en Cirugía Oral y Maxilofacial, Universidad San Carlos de Guatemala.

2 Catedrática titular Curso de Patología Oral, Facultad de Odontología Universidad San Carlos de Guatemala; Patóloga Oral y Maxilofacial, Universidad Autónoma de México.

3 Director técnico del Hospital Roosevelt de Guatemala. Cirujano Oral y Maxilofacial.



Conflicto de intereses: no se declara ningún conflicto de intereses.



CORRESPONDENCIA

Ángel Michel García Vásquez. E-mail: mishigv@gmail.com




Recibido: Marzo 2024. Aceptado: Octubre 2024.

Tabla 1
Tabla 2
Tabla 3
Figura 1

2020     |     www.medigraphic.com

Mi perfil

C?MO CITAR (Vancouver)

Rev Mex Cir Bucal Maxilofac. 2024;20

ARTíCULOS SIMILARES

CARGANDO ...