medigraphic.com
ENGLISH

Latin American Journal of Oral and Maxillofacial Surgery

ISSN 2992-7757 (Digital)
Órgano de difusión de la Asociación Latinoamericana de Cirugía y Traumatología Bucomaxilofacial (ALACIBU)
  • Mostrar índice
  • Números disponibles
  • Información
    • Información general        
    • Directorio
  • Publicar
    • Instrucciones para autores        
  • medigraphic.com
    • Inicio
    • Índice de revistas            
    • Registro / Acceso
  • Mi perfil

2024, Número 3

<< Anterior Siguiente >>

Lat Am J Oral Maxillofac Surg 2024; 4 (3)


Fractura del tercio medio facial compleja en niños. Reporte de un caso

Avendaño Quevedo, L Fernando1,2; Ferrufino O, Jhoselin1,3; Franco M, Mariana1,3; Aillón López, Huáscar1,4; Flores, Dante5
Texto completo Cómo citar este artículo 10.35366/118372

DOI

DOI: 10.35366/118372
URL: https://dx.doi.org/10.35366/118372
Artículos similares

Idioma: Español
Referencias bibliográficas: 10
Paginas: 113-118
Archivo PDF: 336.43 Kb.


PALABRAS CLAVE

traumatismos faciales, fractura compleja del tercio medio, fijación esquelética interna.

RESUMEN

Los traumatismos faciales son causa frecuente de consulta en los servicios de urgencias. Las heridas se asocian con fracturas del esqueleto facial y lesiones sistémicas que retardan la atención primaria; sin embargo, para evitar secuelas deben atenderse lo antes posible y cuando las condiciones del paciente lo permitan. Se presenta el caso de un paciente de siete años, nueve meses de edad en el Hospital del Niño "Sor Teresa Huarte Tama", de la ciudad de Sucre. Fue intervenido quirúrgicamente por un equipo multidisciplinario. El diagnóstico y el tratamiento exitoso dependen del conocimiento de la anatomía facial, de los principios básicos de cicatrización y de un manejo adecuado de las lesiones en las estructuras anatómicas involucradas.



INTRODUCCIóN

Las fracturas faciales en niños son generalmente menos desplazadas que en los adultos, esto debido a la elasticidad del hueso, líneas de sutura flexible y la falta de neumatización de los senos paranasales.1

Las principales causas de fracturas en niños son:

  • 1. Los accidentes de tránsito.
  • 2. Los accidentes en bicicleta.
  • 3. Las caídas de propia altura.
  • 4. Los accidentes deportivos.

Estas lesiones se asocian con fracturas del esqueleto facial y lesiones sistemáticas que retardan la atención primaria; sin embargo, deben atenderse lo más antes posible y cuando las condiciones del paciente lo permitan.1

La existencia de un traumatismo facial, en el contexto de un politraumatizado, debe establecer un orden de prioridades en su atención, denominado el ABC de la reanimación. El primer objetivo lo constituye valorar y controlar la permeabilidad de la vía aérea (A: Airway); seguido de controlar la hemorragia (B: Blood) y, por último, proceder al control del estado cardiocirculatorio o shock (C: Circulation). Una vez controlada la vía aérea, la hemorragia, el shock y la posibilidad de broncoaspiración, se prestará atención a las lesiones asociadas antes de proceder al tratamiento.2

La evaluación primaria tiene como objetivo identificar las lesiones y condiciones del paciente, de manera sistemática, permitiendo la identificación de acciones tiempo dependientes. La idea es identificar la mayor amenaza para la vida y realizar precozmente las maniobras necesarias para reanimar al paciente. El enfoque se basa en los principios fundamentales del manejo del trauma, dentro de los que se destacan aquellos descritos por la ATLS: ABCDE (protección de la vía aérea/columna cervical, ventilación, circulación/control de la hemorragia, discapacidad, estado neurológico y exposición/amenazas del medio ambiente). Tratamiento de lesiones que amenazan la vida dentro de la "hora de oro". Revaluación constante. Considerar la importancia del mecanismo de la lesión para anticipar qué lesiones pueden estar presentes.3

En atención de pacientes con traumatismos faciales múltiples se requiere no sólo el conocimiento de los principios y las técnicas básicas de osteosíntesis, sino un protocolo de actuación reglado antes del acto quirúrgico y adaptado a cada paciente.4

En la región facial se pueden producir lesiones en los componentes del esqueleto, los dientes, así como en los tejidos blandos.5

El diagnóstico se basa en la historia del trauma, el examen clínico y la confirmación mediante estudios de imagen.1 Los signos y síntomas son similares a los de las fracturas en adultos, como asimetría facial, edema en mucosas, limitación de los movimientos mandibulares, alteraciones en la oclusión, hematoma o equimosis, parestesia o anestesia del nervio infraorbitario, entre otros.1

Entre los estudios de imagen, existen proyecciones que pueden ser útiles como las radiografías simples posteroanteriores de cráneo o lateral oblicua de mandíbula. Adicionalmente pueden utilizarse estudios más complejos como la tomografía axial computarizada, idealmente con reconstrucción 3D. En cuanto a la localización de las fracturas, los huesos nasales suelen ser los más afectados, seguido por la región los huesos cigomáticos y la mandíbula. Existen diversos factores que condicionaran el tratamiento de estas fracturas.1

En los niños, la fractura facial representa una patología traumática observada por el cirujano oral y maxilofacial. Sin embargo, estas fracturas son poco comunes en infantes, se presentan tres veces más en hombres que en mujeres.1

La mandíbula y el maxilar infantil están sometidos a una serie de particularidades: hueso en crecimiento, presencia de gérmenes dentarios, dentición temporal o mixta, anatomía de los dientes deciduos y finalmente los factores más importantes son el gran potencial osteogénico y la rápida tasa de cicatrización ósea.1

Kaban establece que los huesos en los niños son elásticos, de tal manera que un gran porcentaje de las fracturas en niños no son desplazadas. Esta característica, sumada a la presencia de gérmenes dentarios, dan resistencia a los fragmentos óseos, lo que contribuye a que las fracturas tiendan a ser menos desplazadas y raramente conminutas.6

Existen diversas opciones terapéuticas que van desde las más conservadoras como la dieta blanda con seguimiento, férulas, fijación maxilomandibular por periodos cortos (2-3 semanas) hasta reducción abierta y osteosíntesis.1 El tratamiento de elección se decidirá con base en las condiciones del paciente, otras lesiones asociadas y el grado de desplazamiento de la fractura.1

El tratamiento de las fracturas maxilares, tiende a corregir la disoclusión dental y la apertognatia, así como la reconstrucción de las heridas faciales para devolverle al paciente las funciones de masticación, apertura y cierre bucal y sobre todo la oclusión dentaria correcta, así como la simetría y armonía facial y mandibular.7

Posnik y colaboradores plantean que las fracturas faciales pediátricas más frecuentes son las fracturas de tercio medio, seguidas por las fracturas mandibulares y por último las del tercio superior.8

El desarrollo de microplacas, miniplacas de titanio y posteriormente el advenimiento de sistemas de fijación reabsorbibles, hicieron posible la aplicación de estos dispositivos para tratar con éxito los traumatismos maxilofaciales en niños.9

No obstante, la cirugía del macizo facial, en general, difiere de varias maneras de la cirugía ortopédica. El primer factor al hacer la incisión, no es la conveniencia quirúrgica, si no, la estética facial. Como es evidente, la cara es visible a todo el mundo y una cicatriz llamativa puede producir tal deformidad estética que moleste al paciente.10



CASO CLÍNICO

Paciente masculino, de siete años y nueve meses de edad, que ingresa al Servicio de Emergencia del Hospital del Niño "Sor Teresa Huarte Tama" de la ciudad de Sucre el día 28 de mayo de 2024, por el cuadro clínico de dos días de evolución, con el antecedente de haber sufrido un traumatismo por impacto de la lavandería sobre la cara, lo que produjo lesiones importantes en la región facial.

Se estableció un orden de prioridades en su atención, denominado el ABC de la reanimación; luego se le trasladó a la unidad (UTIP) para manejo específico.

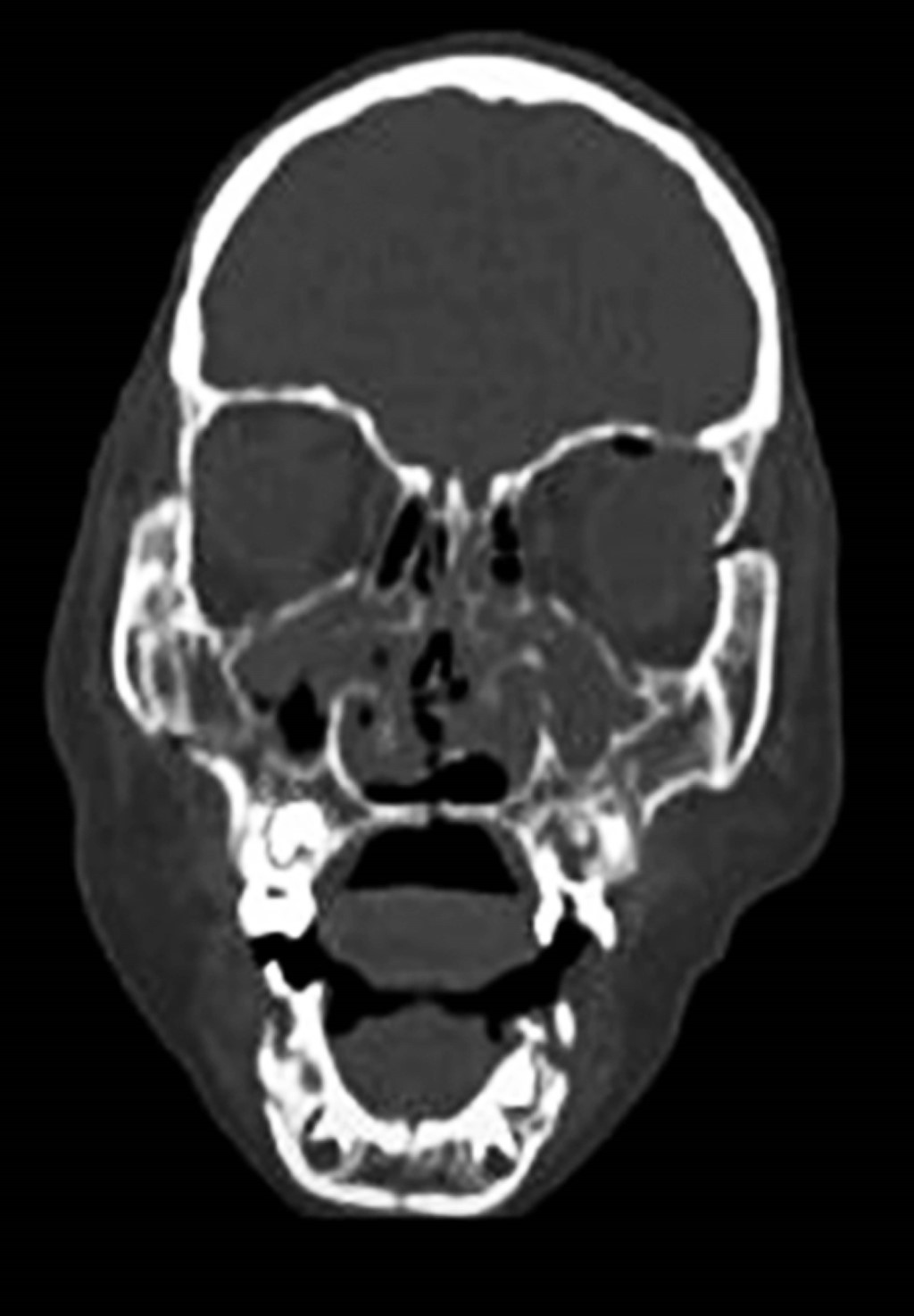
Entre sus antecedentes médicos no se refieren datos de importancia, el paciente inicia su padecimiento aproximadamente a los minutos de impactar con la lavandería sobre la región facial, niega pérdida de conocimiento, vómito o convulsiones. Se descarta compromiso neurológico y se solicita valoración por cirugía maxilofacial. A la exploración física observamos paciente consciente, bien ubicado en sus tres esferas neurológicas de la conciencia, levemente irritado, cráneo sin alteraciones, hundimiento de tercio medio con presencia de equimosis bipalpebral superior, ligera limitación de apertura bucal; a la exploración intrabucal se observa, ausencia de dientes (avulsiones y fracturas de piezas dentarias), paladar con solución de continuidad y mordida abierta (Figura 1). En la tomografía axial computarizada (cortes coronales), con reconstrucción 3D (Figuras 2 y 3), se observan lesiones óseas con solución de continuidad a nivel del tercio medio e inferior y se descarta alguna otra alteración a nivel de tercio superior.

Como diagnósticos:

  • 1. Fractura naso-orbito-etmoidal bilateral (NOE)
  • 2. Fractura orbitomalar unilateral
  • 3. Fractura Le Fort I
  • 4. Fractura palatina con disyunción

El tratamiento quirúrgico se realiza bajo anestesia general e intubación submentoniana (reducción cruenta y osteosíntesis), se realiza incisión en cola de ceja (Figura 4), diéresis por planos hasta llegar a plano óseo, reducción y fijación con material de osteosíntesis, incisión subtarsal y diéresis hasta llegar al plano óseo, reducción y fijación con miniplacas (Figura 5), incisión en fondo de surco vestibular bilateral, desprendimiento de colgajo mucoperióstico e identificación del trazo de fractura a nivel del hueso malar y maxilar superior. Con la ayuda del elevador de Palomeque (Figura 6) se desimpacta el tercio medio y se reducen las fracturas del tercio medio facial instalando placas rectas y en L: 1,5 y 1,3. Finalmente se reduce la fractura del paladar, desprendiendo la fibromucosa palatina y fijada con placa tipo X (Figura 7). La fractura NOE se reduce y se realiza cantopexia con aplicación de férulas artesanales. El procedimiento duro cinco horas sin complicaciones.

Egresa intubado a la UTIP Pediátrica permaneciendo en su postoperatorio inmediato con parámetros bajos de ventilador sin compromiso de oxigenación y ventilación, se maneja vía aérea, se realiza gasometría y alimentación a través de sonda orogástrica (Figura 8).

A los dos días, con una evolución favorable, se procede a retirar el tubo al paciente, a los cuatro días de su postoperatorio (Figura 9) se toma una tomografía axial computarizada con reconstrucción 3D de macizo facial para control, observando adecuada alineación de los segmentos óseos.

Se da de alta hospitalaria el 10 de mayo y se mantiene la inmovilización nasal con férulas por dos semanas. El paciente acude a su primer control postquirúrgico a los cuatro días de su postoperatorio inmediato, con adecuada respiración con fosas nasales permeables, digestión favorable, oclusión y movimientos mandibulares, se retiran puntos de sutura y férula a los 21 días postoperatorios bajo sedación consciente en quirófano (Figura 10).



DISCUSIóN

En relación al tratamiento quirúrgico del trauma facial pediátrico, autores como Posnik y colaboradores, en el año 1993, demostraron que la fijación rígida mediante placas y tornillos era especialmente beneficiosa ya que permite la reducción anatómica de la fractura, el restablecimiento precoz de la alimentación, disminuye la necesidad de traqueotomías en pacientes politraumatizados y permite la movilización temprana de la articulación temporomandibular (ATM) disminuyendo de manera considerable los riesgos de anquilosis postrauma. El desarrollo de microplacas y miniplacas metálicas y absorbibles hicieron posible la aplicación de estos dispositivos para tratar con éxito los traumatismos maxilofaciales en niños.

Según Martínez no existe evidencia científica que establezca una relación causal entre la presencia de una placa de titanio y una alteración de crecimiento de un hueso facial, esto no justifica la no utilización de estos sistemas en niños cuando sea necesario

Para Bos, los materiales reabsorbibles aún no reúnen todas las características necesarias para hacerlos materiales de primera elección, debido principalmente a dos factores: su prolongada biodegradación en el organismo y difícil manipulación.

Los sistemas de osteosíntesis reabsorbibles necesitan, en cambio, de un proceso de esterilización mucho más complejo y su reesterilización no es posible. Esto eleva los costos de estos materiales.



CONCLUSIONES

En el tratamiento de las fracturas maxilofaciales pediátricas, es importante mencionar que el manejo del paciente pediátrico con trauma facial debe ser multidisciplinario, con la participación de diferentes especialistas como el pediatra, el cirujano maxilofacial, otorrinolaringólogo, cirujano plástico, oftalmólogo, odontopediatra y anestesiólogo.

Se deben considerar diferentes factores en el niño que el adulto no presenta y por tanto tener un abordaje terapéutico diferente. Los niños tienen un alto potencial osteogénico y de cicatrización rápida, requieren de tratamientos estandarizados para cada etapa del desarrollo que sea adecuado para cada grupo etario, respetando las características específicas de cada etapa del crecimiento.

Las fracturas no desplazadas pueden ser tratadas de forma conservadora mediante observación e indicaciones como una dieta blanda y liquida, inmovilización con férulas y administración de analgésicos.

Las fracturas desplazadas se pueden tratar a través de la reducción abierta y osteosíntesis con placas y tornillos, se elegirá un tratamiento quirúrgico abierto cuando existan múltiples fracturas como en el presente caso. Con respecto al uso de miniplacas y la probable afección de centros de crecimiento, este es un punto importante a considerar; sin embargo, hoy en día se podrían utilizar en ciertos casos el uso de materiales reabsorbibles, pero se imposibilita su uso debido al costo elevado.

Este manejo debe ser conservador, respetar el crecimiento y desarrollo de los niños, considerar la presencia de piezas dentarias, gérmenes en los maxilares y privilegiar los objetivos funcionales y estéticos.


REFERENCIAS (EN ESTE ARTÍCULO)

  1. Brener IV, Zavala-Cornejo K, Fragoso-Ríos R. Fracturas mandibulares en el paciente pediátrico. Rev Acad Mex Odon Ped. 2010; 22 (1): 15-19.

  2. Morales MR, Domínguez ÁJA, Rodríguez GCS, Flores GRA, Briceño AMS, Nachón GMG. Manejo de paciente con Traumatismo facial; presentación de caso. Rev Med UV. 2016; 16 (1): 31-43.

  3. Campolo AG, Mix AV, Foncea CR, Ramírez HS, Vargas AD, Goñi IE. Manejo del trauma maxilofacial en la atención de urgencia por no especialistas. Rev Med Chil. 2017; 145 (8): 1038-1046. doi: 10.4067/s0034-98872017000801038.

  4. Jardón-Caballero J, Mestre-Cabello JR, Leyet-Martínez MR. Procedimiento quirúrgico en un paciente con múltiples fracturas faciales. MEDISAN. 2016; 20 (11): 2367-2372. Disponible en: http://scielo.sld.cu/scielo.php?script=sci_arttext&pid=S1029-30192016001100006&lng=es.

  5. Morales ND. Atención inicial del trauma maxilofacial grave: el trauma en la región maxilofacial. 1a ed. Vedado: Ecimed; 2020.

  6. Kaban LB. Cirugía Oral y Maxilofacian en Niños. México: Editorial McGraw Hill; 1992

  7. Kimura. FT. Atlas de cirugía ortognática maxilofacial pediátrica: Traumatología. 1ª ed. Caracas: Amolca: 1995.

  8. Castellón ZML, Fariña SR, Uribe FF, Laissle CG. Manejo quirúrgico del trauma facial en niños. Rev Chil Pediatr. 2007; 78 (1). doi: 10.4067/s0370-41062007000100009.

  9. Muñante-Cárdenas J, Olate S, Jaimes M, Gonzales-del Castillo E, De Albergaria-Barbosa JR. Tratamiento quirúrgico de fracturas mandibulares en pacientes pediátricos: revisión bibliográfica. Acta Odontol Venez. 2009; 47 (4): 249-255. Disponible en: https://ve.scielo.org/scielo.php?script=sci_arttext&pid=S0001-63652009000400022.

  10. Ellis E. III. Abordajes quirúrgicos del macizo facial. 2a ed. Venezuela: Amolca; 2008.



AFILIACIONES

1 Hospital de Niño "Sor Teresa Huarte Tama".

2 Interno Voluntario Especialidad Cirugía Maxilofacial.

3 Interna en Odontología.

4 Cirujano Maxilofacial.

5 Docente de Asignatura de Cara y Cuello. Facultad de Medicina UMRPSFXCh.



CORRESPONDENCIA

Huáscar Aillón López. E-mail: draillon.cmf@gmail.com




Recibido: 05/09/2024. Aceptado: 20/09/2024.

Figura 1
Figura 2
Figura 3
Figura 4
Figura 5
Figura 6
Figura 7
Figura 8
Figura 9
Figura 10

2020     |     www.medigraphic.com

Mi perfil

C?MO CITAR (Vancouver)

Lat Am J Oral Maxillofac Surg. 2024;4

ARTíCULOS SIMILARES

CARGANDO ...