medigraphic.com
ENGLISH

Acta Médica Grupo Ángeles

Órgano Oficial del Hospital Ángeles Health System
  • Mostrar índice
  • Números disponibles
  • Información
    • Información general        
    • Directorio
  • Publicar
    • Instrucciones para autores        
    • Envío de artículos
    • Políticas
    • Nombre y afiliación del Comité Editorial
  • Nosotros
    • Plan de gestión e intercambio de datos
    • Objetivos declarados y alcance
  • medigraphic.com
    • Inicio
    • Índice de revistas            
    • Registro / Acceso
  • Mi perfil

2024, Número 5

<< Anterior Siguiente >>

Acta Med 2024; 22 (5)


Gliosarcoma primario, una rara variante de glioblastoma isocitrato deshidrogenasa de tipo salvaje

Hernández Juárez, Roberto1,2; Mora Constantino, Jorge1,3; Hasslacher Arellano, Juan Francisco1,4; Aguirre Trigueros, José1,5
Texto completo Cómo citar este artículo 10.35366/118827

DOI

DOI: 10.35366/118827
URL: https://dx.doi.org/10.35366/118827
Artículos similares

Idioma: Español
Referencias bibliográficas: 5
Paginas: 424-426
Archivo PDF: 301.81 Kb.


PALABRAS CLAVE

gliosarcoma, gliosarcoma primario, glioblastoma, resonancia magnética.

RESUMEN

Introducción: el gliosarcoma, una variante rara del glioblastoma con componentes gliales y mesenquimales, presenta síntomas e imágenes inespecíficos, y su diagnóstico se realiza a través de un examen histopatológico. Caso clínico: paciente masculino de 57 años con cefalea persistente durante un mes, la resonancia magnética revela lesión temporal derecha. Tras manejo quirúrgico, el análisis histopatológico confirmó gliosarcoma grado 4. Conclusión: dada su rareza, el gliosarcoma debe considerarse en el diagnóstico diferencial de tumores cerebrales. A pesar del tratamiento, su pronóstico es desfavorable, subrayando la necesidad de documentar hallazgos clínicos, radiológicos e inmunohistoquímicos para mejorar la atención futura.



INTRODUCCIóN

De acuerdo con la clasificación de la Organización Mundial de la Salud para tumores del sistema nervioso central en 2021, el gliosarcoma es una variante rara y agresiva del glioblastoma isocitrato deshidrogenasa (IDH), caracterizada por componentes mesenquimales metaplásicos y gliales bifásicos. Su incidencia oscila entre 0.59 y 0.76% de todos los tumores cerebrales en adultos, y afecta de manera predominante a hombres de la quinta y séptima décadas de la vida.1,2

Las manifestaciones clínicas incluyen cefalea, mareos, náuseas, vómitos, debilidad en las extremidades que induce una marcha inestable, cambios en la agudeza visual y en el estado mental.2,3 En las imágenes de resonancia magnética se observa como una masa supratentorial con periferia heterogénea irregular en T1 y T2, principalmente en el lóbulo temporal. No obstante, el diagnóstico definitivo depende del resultado histopatológico.2-4 El tratamiento comprende resección quirúrgica, radioterapia y quimioterapia, con un pronóstico desfavorable y una supervivencia media de 16.8 meses tras el diagnóstico.4,5



CASO CLíNICO

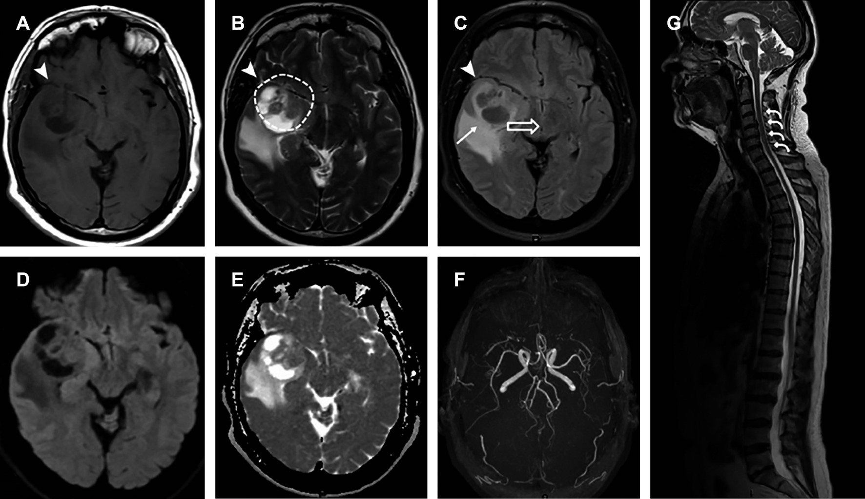
Paciente masculino de 57 años consulta a neurocirugía por cefalea persistente de intensidad 10/10 según la escala verbal numérica del dolor, sin déficit en funciones neurocognitivas y con escasa mejoría tras el uso de analgésicos. La resonancia magnética (Figuras 1 y 2) revela una lesión temporal derecha de 5.6 cm, sugiriendo glioblastoma como diagnóstico principal. Se realiza craniectomía temporal derecha con durotomía, disección subpial y exéresis del tumor en bloque, seguido de hemostasia y cierre. Los estudios histopatológicos e inmunohistoquímicos confirman gliosarcoma grado 4 (Figura 3).



DISCUSIóN

El gliosarcoma, variante extraordinariamente rara del glioblastoma (IDH) de tipo agresivo,1,2 se caracteriza por la coexistencia de componentes gliales y mesenquimales, por lo general ubicados en la región supratentorial y lóbulo temporal.2,3 La resonancia magnética muestra un patrón heterogéneo con imágenes hipo-hiperintensas de contornos regulares. En la espectroscopia, los valores máximos de N-acetilaspartato (NAA), colina (Cho) y creatina (Cr) aumentan significativamente; sin embargo, el diagnóstico basado únicamente en características de la imagen sigue siendo un desafío.2-4 Dada la escasa cantidad de casos reportados, el tratamiento se asemeja al del glioblastoma multifocal (resección quirúrgica, radioterapia y quimioterapia adyuvante), pero el pronóstico sigue siendo desalentador, con una supervivencia media de 16.8 meses tras el diagnóstico.3-5



CONCLUSIóN

El gliosarcoma se clasifica como una variante del glioblastoma de tipo salvaje IDH, destacando su patrón histológico bifásico glial y sarcomatoso. El examen radiológico representa un desafío en la evaluación de tumores poco frecuentes del sistema nervioso central. Dada su rareza, aún no se disponen de recomendaciones precisas de tratamiento, subrayando la necesidad de ampliar el conocimiento radiológico para identificar nuevas modalidades diagnósticas y mejorar el pronóstico de los pacientes.


REFERENCIAS (EN ESTE ARTÍCULO)

  1. Louis DN, Perry A, Wesseling P, Brat DJ, Cree IA, Figarella-Branger D, Hawkins C et al. The 2021 WHO classification of tumors of the central nervous system: a summary. Neuro Oncol. 2021; 23 (8): 1231-1251.

  2. García-Lezama M, Carrillo-Ruíz JD, Moreno-Jiménez S, Roldán-Valadez E. WHO CNS5 2021 incluye mutaciones específicas en gliomas que pueden ser identificadas con biomarcadores cuantitativos de resonancia magnética. Gac Méd Méx. 2023; 159 (2): 164-171.

  3. Mirchia K, Mahoney MT, Christie O, Fuller CE, Mirchia K. A rare tumor in a rare location: radiology and pathology findings with a literature review on intraventricular gliosarcoma. Cureus. 2023; 15 (2): e34622.

  4. Tuan HX, Hung ND, Minh ND, Van Anh NT, Vi NH, Duy NQ, et al. Primary intraventricular gliosarcoma on MRI: a challenging diagnosis. Radiology Case Rep. 2022; 17 (3): 685-689.

  5. Amer A, Khose S, Alhasan H, Pokhylevych H, Fuller GN, Chasen N, et al. Clinical and survival characteristics of primary and secondary gliosarcoma patients. Clin Neurol Neurosurg. 2022; 214: 107146.



AFILIACIONES

1 Hospital Angeles León, León Guanajuato. México.

2 Médico residente. Departamento de Radiología e Imagen.

3 Radiólogo. Jefe del Departamento de Radiología e Imagen.

4 Neurocirujano. División de Cirugía.

5 Patólogo.



CORRESPONDENCIA

Dr. Roberto Hernández Juárez. Correo electrónico: dr.robertto2021@gmail.com




Aceptado: 24-01-2024.

Figura 1
Figura 2
Figura 3

2020     |     www.medigraphic.com

Mi perfil

C?MO CITAR (Vancouver)

Acta Med. 2024;22

ARTíCULOS SIMILARES

CARGANDO ...