medigraphic.com
ENGLISH

Acta Médica Grupo Ángeles

Órgano Oficial del Hospital Ángeles Health System
  • Mostrar índice
  • Números disponibles
  • Información
    • Información general        
    • Directorio
  • Publicar
    • Instrucciones para autores        
    • Envío de artículos
    • Políticas
    • Nombre y afiliación del Comité Editorial
  • Nosotros
    • Plan de gestión e intercambio de datos
    • Objetivos declarados y alcance
  • medigraphic.com
    • Inicio
    • Índice de revistas            
    • Registro / Acceso
  • Mi perfil

2024, Número 5

<< Anterior Siguiente >>

Acta Med 2024; 22 (5)


Arco aórtico derecho como variante anatómica (patrón en espejo)

Monroy Chaparro, Diego Cesar1; Meza Chapa, Jorge Emilio2; Martínez Rentería, Dalia Araceli3; Argüello Ramírez, Verónica4
Texto completo Cómo citar este artículo 10.35366/118828

DOI

DOI: 10.35366/118828
URL: https://dx.doi.org/10.35366/118828
Artículos similares

Idioma: Español
Referencias bibliográficas: 2
Paginas: 427-428
Archivo PDF: 201.29 Kb.


PALABRAS CLAVE

arco aórtico derecho, hipertensión, patrón en espejo.

RESUMEN

Se trata de paciente femenino de 64 años, con diagnósticos previos de hipertensión arterial sistémica, diabetes mellitus tipo 2 y enfermedad renal crónica G3, así como procesos neumónicos recurrentes. Se le realiza tomografía de tórax en alta resolución encontrando como hallazgo arco aórtico derecho de tipo I (patrón en espejo) como variante anatómica, se corrobora variante a través de angiotomografía de aorta.



INTRODUCCIóN

Las anomalías anatómicas del arco aórtico constituyen un hallazgo poco frecuente en la población general (0.5-3%), de éstas, el arco aórtico derecho tiene una prevalencia menor de 1%. Se origina a partir de la persistencia del cuarto arco aórtico embriológico del lado derecho. Existen varios subtipos, el tipo I (imagen en espejo) es el que se reporta en el presente caso, incluye un tronco braquiocefálico izquierdo, arteria carótida común y subclavia derechas. La mayoría de las ocasiones se encuentra relacionada con alguna cardiopatía congénita de tipo cianógena como la tetralogía de Fallot.1

Como variante anatómica aislada regularmente no presenta sintomatología, aunque en algunos casos pueden reportarse síntomas obstructivos parciales, en relación con la desviación de la tráquea y el esófago.



CASO CLíNICO

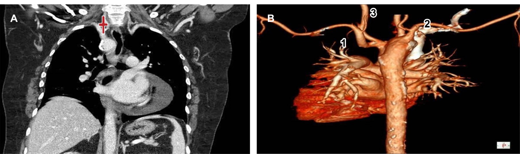
Paciente femenino de 64 años de edad a la que se le solicitó tomografía de tórax en alta resolución por parte del Servicio de Neumología debido a infecciones de vías respiratorias superiores recurrentes; sin embargo, como hallazgo, se visualizó arco aórtico derecho (Figura 1) con patrón de ramificación en espejo (arteria subclavia derecha y arteria carótida común derechos que se originan directamente del cayado aórtico y tronco braquiocefálico izquierdo) (Figura 2).



DISCUSIóN

El arco aórtico derecho es una variación anatómica que en muchas ocasiones se encuentra relacionada con cardiopatías congénitas; sin embargo, en este caso, la paciente cuenta con un ecocardiograma que no reporta ninguna alteración morfológica1 y representa un acontecimiento poco frecuente, ya que sólo 2% de los casos reportados con esta variación anatómica no presentan cardiopatía congénita asociada.2

El tipo I o con patrón de ramificación en espejo es la variación en este caso y representa la categoría más frecuente, consiste en la presencia de un tronco braquiocefálico del lado izquierdo de donde emergen la arteria carótida común y subclavia izquierdas, además de arteria carótida común y subclavia derechas que emergen directamente del arco aórtico y no del tronco braquiocefálico (Figura 2) como ocurre en condiciones normales.1

La paciente no presentó datos de compromiso cardiovascular o síntomas compresivos relacionados con la variación anatómica. El tratamiento quirúrgico sólo se reserva a aquellos casos en los que existe sintomatología compresiva importante tanto a nivel esofágico o incluso respiratorio.



CONCLUSIóN

El arco aórtico derecho como variante anatómica es poco frecuente, por lo general está relacionado con sintomatología de bajo gasto cardiaco o compresiva a nivel de tórax superior. Debe ser reportado por el médico radiólogo en cuanto sea visualizado, ya que puede requerir tratamiento farmacológico y quirúrgico oportuno, además de la importancia que tiene en la colocación de catéteres, vías centrales y en el abordaje de procesos quirúrgicos a nivel de esófago, tráquea y regiones superiores del pulmón derecho.


REFERENCIAS (EN ESTE ARTÍCULO)

  1. Ruiz Guerrero C, Ocete Pérez RF, Serrano Gotarredona MP, Rodríguez Rodríguez AJ. Anomalías congénitas del arco aórtico. 2012. Disponible en: https://dx.doi.org/10.1594/seram2012/S-1182

  2. Tamayo-Espinosa T, Erdmenger-Orellana J, Becerra-Becerra R, Balderrabano-Saucedo N, Segura-Standford B. Arco aórtico derecho con subclavia izquierda aberrante y divertículo de Kommerell. Una causa de anillo vascular. Arch Cardiol Mex. 2017; 87 (4): 345-348. doi: 10.1016/j.acmx.2017.03.006.



AFILIACIONES

1 Residente del primer año de la especialidad en Imagenología Diagnóstica y Terapéutica.

2 Residente del cuarto año de la especialidad en Imagenología Diagnóstica y Terapéutica.

3 Jefe del Servicio de Radiología e Imagen, Hospital Central Norte PEMEX.

4 Médico adscrito del Hospital Central Norte PEMEX.



CORRESPONDENCIA

Dr. Diego Cesar Monroy Chaparro. Correo electrónico: diegocmonroy12@gmail.com




Aceptado: 24-01-2024.

Figura 1
Figura 2

2020     |     www.medigraphic.com

Mi perfil

C?MO CITAR (Vancouver)

Acta Med. 2024;22

ARTíCULOS SIMILARES

CARGANDO ...