medigraphic.com
ENGLISH

Cirugía Cardiaca en México

ISSN 2448-5640 (Impreso)
Diario Oficial de la Sociedad Mexicana de Cirugía Cardiaca, A.C., y del Colegio Mexicano de Cirugía Cardiovascular y Torácica, A.C.
  • Mostrar índice
  • Números disponibles
  • Información
    • Información general        
    • Directorio
  • Publicar
    • Instrucciones para autores        
    • Envío de artículos
  • medigraphic.com
    • Inicio
    • Índice de revistas            
    • Registro / Acceso
  • Mi perfil

2025, Número 1

<< Anterior Siguiente >>

Cir Card Mex 2025; 10 (1)


Síndrome de Ortner secundario a úlcera penetrante aórtica. Reporte de un caso y revisión de la literatura

Baraldi C, Cassese M, Castillo-Romero C, Leyva-Villegas JI, Puente U, Alvarado-Gómez JA, Rendón-Elías FG
Texto completo Cómo citar este artículo 10.35366/118936

DOI

DOI: 10.35366/118936
URL: https://dx.doi.org/10.35366/118936
Artículos similares

Idioma: Ingles.
Referencias bibliográficas: 71
Paginas: 14-21
Archivo PDF: 739.87 Kb.


PALABRAS CLAVE

síndrome aórtico agudo, síndrome de Ortner, úlcera aórtica penetrante.

RESUMEN

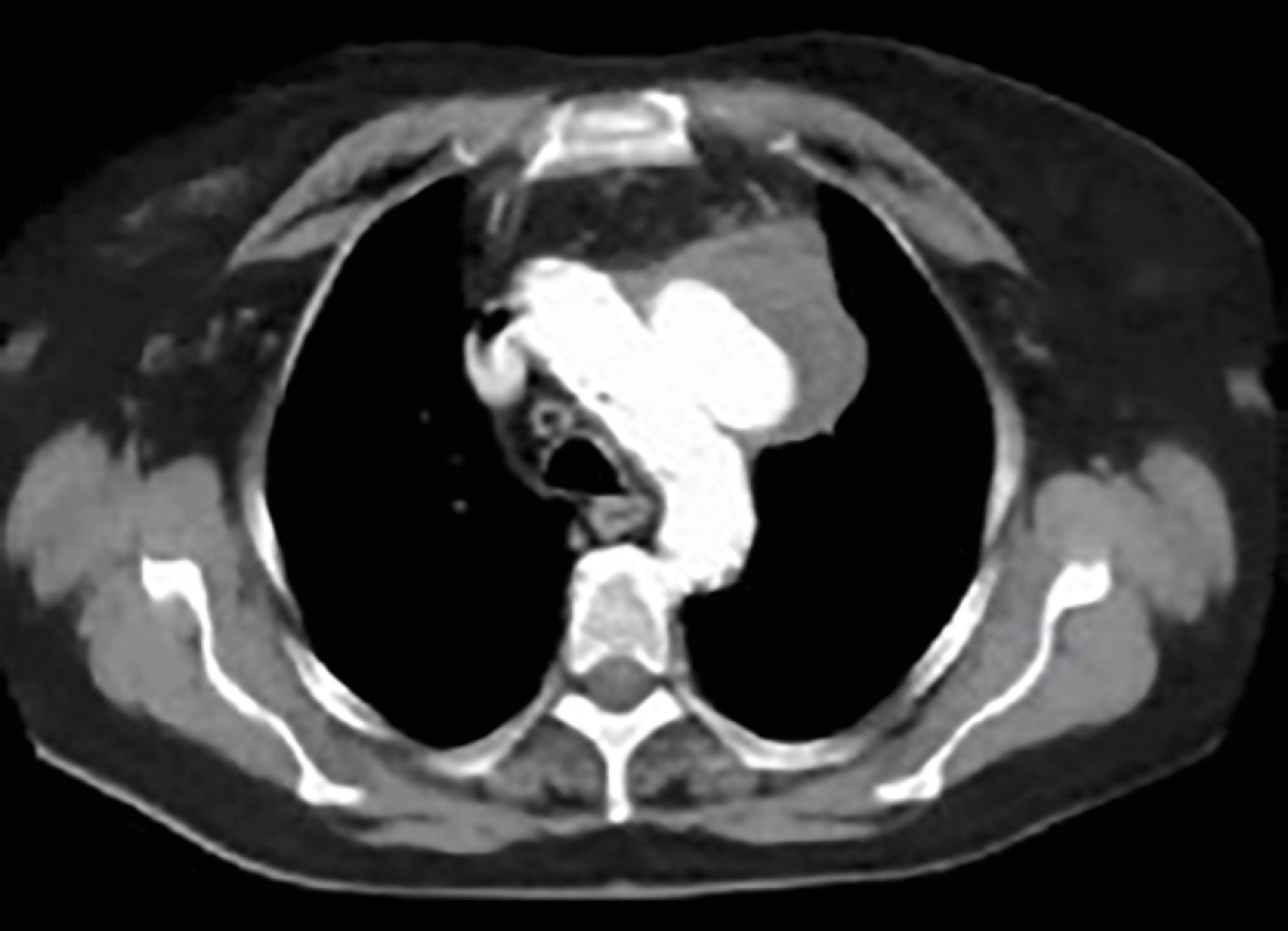
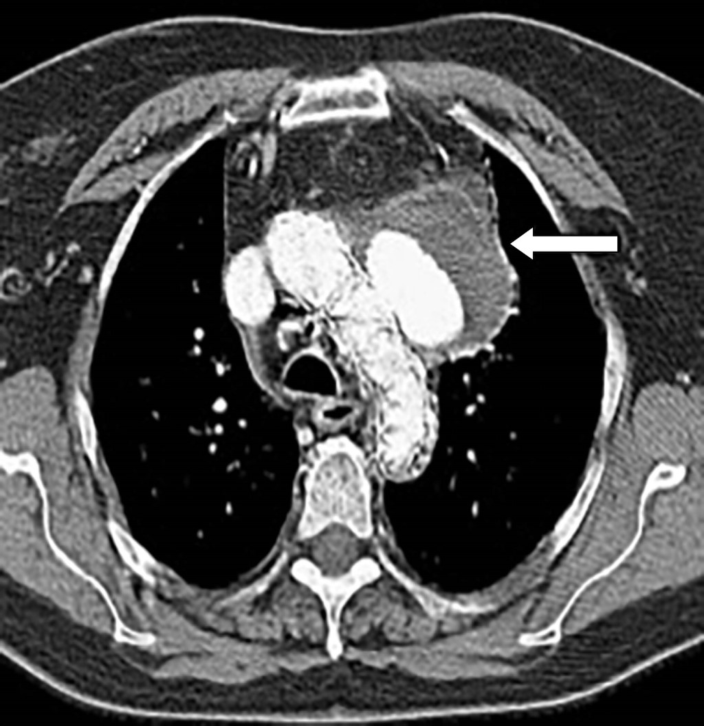
El síndrome aórtico agudo se define como un proceso agudo en la pared aórtica causado por la ruptura de la capa medial en mayor o menor grado, con riesgo de rotura aórtica y otras complicaciones. La úlcera aórtica penetrante se incluye en el síndrome aórtico agudo y representa 2-7% de las presentaciones de este síndrome. La úlcera aórtica penetrante puede ocasionar una hemorragia intramural, la formación de pseudoaneurisma, lo que conlleva a un gran riesgo de ruptura. Presentamos el caso de un paciente de 65 años con una presentación atípica de úlcera aórtica penetrante en el arco aórtico asociada a hematoma intramural, pseudoaneurisma y síndrome de Ortner que requirió reparación aórtica endovascular torácica, la cual presentó como complicación una endofuga tipo IA que se manejó con las estrategias "ver y esperar".


REFERENCIAS (EN ESTE ARTÍCULO)

  1. Vilacosta I, San Roman JA. Acute aortic syndrome. Heart. 2001;85:365-368. doi: 10.1136/heart.85.4.365.

  2. Nienaber CA, Siever HH. Intramural hematoma in acute aortic syndrome-more than one variant of dissections? Circulation. 2002;106:284-285. doi: 10.1161/01.cir.000002353. 90533.82.

  3. Coady MA, Rizzo JA, Elefteriades JA. Pathological variants of thoracic aortic dissections: penetrating atherosclerotic ulcers and intramural hematoma. Cardiol Clin. 1999;17:637-657. doi: 10.1016/s0733-865(05)70106-5.

  4. Shennan T. Dissecting aneurysms (Medical Research Council Special Report Series. No. 193). London: HMSO; 1934.

  5. Shumacker Jr HB, King H. Surgical management of rapidly expanding intrathoracic pulsating hematomas. Surg Gynecol Obstet. 1959;109:155-164.

  6. Stanson AW, Kazmier FJ, Hollier LH, et al. Penetrating atherosclerotic ulcers of the thoracic aorta: natural history and clinicopathologic correlations. Ann Vasc Surg. 1986;1(1):15-23. doi: 10.1016/S0890-5096(06)60697-3.

  7. Svensson LG, Labib SB, Eisenhauer AC, Butterly JR. Intimal tear without hematoma: an important variant of aortic dissection that can elude current imaging techniques. Circulation. 1999;99(10):1331-1336. doi: 10.1161/01.cir.99.10.1331.

  8. Brinster DR, Wheatley GH 3rd, Williams J, Ramaiah VG, Diethrich EB, Rodriguez-Lopez JA. Are penetrating aortic ulcers best treated using an endovascular approach? Ann Thorac Surg. 2006;82(5):1688-1691. doi: 10.1016/j.athoracsur.2006.05.043.

  9. Dalainas I, Nano G, Medda M, et al. Endovascular treatment of penetrating aortic ulcers: mid-term results. Eur J Vasc Endovasc Surg. 2007;34(1):74-78. doi: 10.1016/j.ejvs.2007.02.025.

  10. Verma S, Talwar A, Talwar A, Khan S, Krishnasastry KV, Talwar A. Ortner's syndrome: a systematic review of presentation, diagnosis and management. Intractable Rare Dis Res. 2023;12(3):141-147. doi: 10.5582/irdr.2023.01047.

  11. Abdel-Gawad EA, Housseini AM, Ailawadi G, Maged IM, Hagspiel KD. Hemopericardium caused by penetrating ulcer of the ascending aorta diagnosed by computed tomography angiography. J Trauma. 2010;68(6):1512. doi: 10.1097/TA.0b013e3181ad67f1.

  12. Avlonitis VS, Bury RW, Duncan AJ, Zacharias J. Penetrating ulcer of the aortic arch presenting with hemoptysis. J Thorac Cardiovasc Surg. 2009;137(1):e10-e12. doi: 10.1016/j.jtcvs.2008.03.031.

  13. Fukushima M, Seino Y, Yoshikawa M, Ueda Y, Takano T. A case of penetrating aortic atherosclerotic ulcer with hemoptysis. Jpn Heart J. 2000;41(6):781-785. doi: 10.1536/jhj.41.781.

  14. Nienaber CA, Clough RE. Management of acute aortic dissection. Lancet. 2015;385(9970):800-811. doi: 10.1016/S0140-6736(14)61005-9.

  15. Oderich GS, Karkkainen JM, Reed NR, Tenorio ER, Sandri GA. Penetrating aortic ulcer and intramural hematoma. Cardiovasc Intervent Radiol. 2019;42(3):321-334. doi: 10.1007/s00270-018-2114-x.

  16. Flohr TR, Hagspiel KD, Jain A, et al. The history of incidentally discovered penetrating aortic ulcers of the abdominal aorta. Ann Vasc Surg. 2016;31:8-17. doi: 10.1016/j.avsg.2015.08.028.

  17. Patel HJ, Williams DM, Upchurch GR Jr, Dasika NL, Deeb GM. The challenge of associated intramural hematoma with endovascular repair for penetrating ulcers of the descending thoracic aorta. J Vasc Surg. 2010;51(4):829-35. doi: 10.1016/j.jvs.2009.11.050.

  18. Bonaca MP, O'Gara PT. Diagnosis and management of acute aortic syndromes: dissection, intramural hematoma, and penetrating aortic ulcer. Curr Cardiol Rep. 2014;16:536. doi: 10.1007/s11886-014-0536-x.

  19. Georgiadis GS, Antoniou GA, Georgakarakos EI, et al. Surgical or endovascular therapy of abdominal penetrating aortic ulcers and their natural history: a systematic review. J Vasc Interv Radiol. 2013;24(10):1437-49.e3. doi: 10.1016/j.jvir.2013.05.067.

  20. Mody PS, Wang Y, Geirsson A, et al. Trends in aortic dissection hospitalizations, interventions, and outcomes among medicare beneficiaries in the United States, 2000-2011. Circ Cardiovasc Qual Outcomes. 2014;7(6):920-928. doi: 10.1161/CIRCOUTCOMES.114.001140.

  21. DeBakey ME, Beall AC Jr, Cooley DA, et al. Dissecting aneurysms of the aorta. Surg Clin North Am. 1966;46(4):1045-1055. doi: 10.1016/s0039-6109(16)37946-4.

  22. Erbel R, Aboyans V, Boileau C, et al. 2014 ESC Guidelines on the diagnosis and treatment of aortic diseases: Document covering acute and chronic aortic diseases of the thoracic and abdominal aorta of the adult. The Task Force for the Diagnosis and Treatment of Aortic Diseases of the European Society of Cardiology (ESC). Eur Heart J. 2014;35(41):2873-2926. doi: 10.1093/eurheartj/ehu281.

  23. Svensson LG, Kouchoukos NT, Miller DC, et al; Society of Thoracic Surgeons Endovascular Surgery Task Force. Expert consensus document on the treatment of descending thoracic aortic disease using endovascular stent-grafts. Ann Thorac Surg. 2008;85(1 Suppl):S1-41. doi: 10.1016/j.athoracsur.2007.10.099.

  24. Murillo H, Lane MJ, Punn R, Fleischmann D, Restrepo CS. Imaging of the aorta: embryology and anatomy. Semin Ultrasound CT MR. 2012;33(3):169-190. doi: 10.1053/j.sult.2012.01.013.

  25. Chin AS, Fleischmann D. State-of-the-art computed tomography angiography of acute aortic syndrome. Semin Ultrasound CT MR. 2012;33(3):222-234. doi: 10.1053/j.sult.2012.01.003.

  26. Hayashi H, Matsuoka Y, Sakamoto I, et al. Penetrating atherosclerotic ulcer of the aorta: imaging features and disease concept. Radiographics. 2000;20(4):995-1005. doi: 10.1148/radiographics.20.4.g00jl01995.

  27. Ganaha F, Miller DC, Sugimoto K, et al. Prognosis of aortic intramural hematoma with and without penetrating atherosclerotic ulcer: a clinical and radiological analysis. Circulation. 2002;106(3):342-348. doi: 10.1161/01.cir.0000022164.26075.5a.

  28. Dev R, Gitanjali K, Anshuman D. Demystifying penetrating atherosclerotic ulcer of aorta: unrealised tyrant of senile aortic changes. J Cardiovasc Thorac Res. 2021;13(1):1-14. doi: 10.34172/jcvtr.2021.15.

  29. Tittle SL, Lynch RJ, Cole PE, et al. Midterm follow-up of penetrating ulcer and intramural hematoma of the aorta. J Thorac Cardiovasc Surg. 2002;123:1051-1059. doi: 10.1067/mtc.2002.121681.

  30. Coady MA, Rizzo JA, Hammond GL, Pierce JG, Kopf GS, Elefteriades JA. Penetrating ulcer of the thoracic aorta: what is it? How do we recognize it? How do we manage it? J Vasc Surg. 1998;27(6):1006-1015; discussion 1015-1016. doi: 10.1016/s0741-5214(98)70003-5.

  31. D'Annoville T, Ozdemir BA, Alric P, Marty-Ané CH, Canaud L. Thoracic endovascular aortic repair for penetrating aortic ulcer: literature review. Ann Thorac Surg. 2016;101(6):2272-2278. doi: 10.1016/j.athoracsur.2015.12.036.

  32. Kyaw H, Sadiq S, Chowdhury A, Gholamrezaee R, Yoe L. An uncommon cause of chest pain - penetrating atherosclerotic aortic ulcer. J Community Hosp Intern Med Perspect. 2016;6(3):31506. doi: 10.3402/jchimp.v6.31506.

  33. Troxler M, Mavor AI, Homer-Vanniasinkam S. Penetrating atherosclerotic ulcers of the aorta. Br J Surg. 2001;88(9):1169-1177. doi: 10.1046/j.0007-1323.2001.01837.x.

  34. Harris JA, Bis KG, Glover JL, Bendick PJ, Shetty A, Brown OW. Penetrating atherosclerotic ulcers of the aorta. J Vasc Surg. 1994;19(1):90-98; discussion 98-99. doi: 10.1016/s0741-5214(94)70124-5.

  35. Cho KR, Stanson AW, Potter DD, Cherry KJ, Schaff HV, Sundt TM 3rd. Penetrating atherosclerotic ulcer of the descending thoracic aorta and arch. J Thorac Cardiovasc Surg. 2004;127(5):1393-1399; discussion 1399-1401. doi: 10.1016/j.jtcvs.2003.11.050.

  36. Loughran S, Alves C, MacGregor FB. Current aetiology of unilateral vocal fold paralysis in a teaching hospital in the West of Scotland. J Laryngol Otol. 2002;116:907-910. doi: 10.1258/00222150260369426.

  37. Coen M, Leuchter I, Sussetto M, Banfi C, Giraud R, Bendjelid K. Progressive dysphonia: Ortner syndrome. Am J Med. 2018;131(12):e494-e495. doi: 10.1016/j.amjmed.2018.08.004.

  38. Ismazizi Z, Zainal AA. Thoracic aortic aneurysm as a cause of Ortner's syndrome - a case series. Med J Malaysia. 2016;71(3):139-141.

  39. Shankar O, Lohiya BV. Cardiovocal syndrome-a rare presentation of primary pulmonary hypertension. Indian Heart J. 2014;66:375-377. doi: 10.1016/j.ihj.2013.12.055.

  40. Arifputera A, Loo G, Chang P, Kojodjojo P. An unusual case of dysphonia and dysphagia. Singapore Med J. 2014;55:e31-e33. doi: 10.11622/smedj.2013212.

  41. Subramaniam V, Herle A, Mohammed N, Thahir M. Ortner's syndrome: case series and literature review. Braz J Otorhinolaryngol. 2011;77(5):559-562. doi: 10.1590/s1808-86942011000500004.

  42. Evangelista A, Maldonado G, Moral S et al. Intramural hematoma and penetrating ulcer in the descending aorta: differences and similarities. Ann Cardiothorac Surg. 2019;8(4):456-470. doi: 10.21037/acs.2019.07.05.

  43. Kazerooni EA, Bree RL, Williams DM. Penetrating atherosclerotic ulcers of the descending thoracic aorta: evaluation with CT and distinction from aortic dissection. Radiology. 1992;183(3):759-765. doi: 10.1148/radiology.183.3.1584933.

  44. Sueyoshi E, Matsuoka Y, Imada T, Okimoto T, Sakamoto I, Hayashi K. New development of an ulcer like projection in aortic intramural hematoma: CT evaluation. Radiology. 2002;224(2):536-541. doi: 10.1148/radiol.2242011009.

  45. Vardhanabhuti V, Nicol E, Morgan-Hughes G, et al. Recommendations for accurate CT diagnosis of suspected acute aortic syndrome (AAS)--on behalf of the British Society of Cardiovascular Imaging (BSCI)/British Society of Cardiovascular CT (BSCCT). Br J Radiol. 2016;89(1061):20150705. doi: 10.1259/bjr.20150705.

  46. Sundt TM. Intramural hematoma and penetrating atherosclerotic ulcer of the aorta. Ann Thorac Surg. 2007;83(2):S835-S841; discussion S846-S850. doi: 10.1016/j.athoracsur.2006.11.019.

  47. Batt M, Haudebourg P, Planchard PF, Ferrari E, Hassen-Khodja R, Bouillanne PJ. Penetrating atherosclerotic ulcers of the infrarenal aorta: life-threatening lesions. Eur J Vasc Endovasc Surg. 2005;29(1):35-42. doi: 10.1016/j.ejvs.2004.09.025.

  48. Kang EJ, Lee KN, Lee J. Acute aortic syndrome. recent trends in imaging assessment using computed tomography angiography. CVIA 2017;1(4):211-221. doi: 10.22468/cvia.2017.00108.

  49. Korepta LM, Aulivola B. Aortic intramural hematomas and penetrating aortic ulcerations: indications for treatment versus surveillance. Endovascular Today. 2020;19:78-82. Available in: https://evtoday.com/articles/2020-nov/aortic-intramural-hematomas-and-penetrating-aortic-ulcerations-indications-for-treatment-versus-surveillance

  50. Shao T, Bornak A, Kang N. Penetrating aortic ulcer and aortic intramural hematoma: Treatment strategy. Vascular. 2023;31(6):1086-1093. doi: 10.1177/17085381221102785.

  51. Eggebrecht H, Plicht B, Kahlert P, Erbel R. Intramural hematoma and penetrating ulcers: indications to endovascular treatment. Eur J Vasc Endovasc Surg. 2009;38(6):659-665. doi: 10.1016/j.ejvs.2009.09.001.

  52. Jánosi RA, Gorla R, Tsagakis K, et al. Thoracic endovascular repair of complicated penetrating aortic ulcer: an 11-year single-center experience. J Endovasc Ther. 2016;23(1):150-159. doi: 10.1177/1526602815613790.

  53. Chou AS, Ziganshin BA, Charilaou P, Tranquilli M, Rizzo JA, Elefteriades JA. Long-term behavior of aortic intramural hematomas and penetrating ulcers. J Thorac Cardiovasc Surg. 2016;151(2):361-72, 373.e1. doi: 10.1016/j.jtcvs.2015.09.012.

  54. Riambau V, Bockler D, Brunkwall J, et al. Editor's choice - management of descending thoracic aorta diseases: Clinical Practice Guidelines of the European Society for Vascular Surgery (ESVS). Eur J Vasc Endovasc Surg. 2017;53(1):4-52. doi: 10.1016/j.ejvs.2016.06.005.

  55. Botta L, Buttazzi K, Russo V, et al. Endovascular repair for penetrating atherosclerotic ulcers of the descending thoracic aorta: early and mid-term results. Ann Thorac Surg. 2008;85(3):987-92. doi: 10.1016/j.athoracsur.2007.10.079.

  56. Fiorucci B, Kolbel T, Rohlffs F, et al. The role of thoracic endovascular repair in elective, symptomatic and ruptured thoracic aortic diseases. Eur J Cardiothorac Surg. 2019;56(1):197-203. doi: 10.1093/ejcts/ezy482.

  57. Gottardi R, Zimpfer D, Funovics M, et al. Mid-term results after endovascular stent-graft placement due to penetrating atherosclerotic ulcers of the thoracic aorta. Eur J Cardiothorac Surg. 2008;33(6):1019-1024. doi: 10.1016/j.ejcts.2007.12.054.

  58. Czerny M, Funovics M, Sodeck G, et al. Results after thoracic endovascular aortic repair in penetrating atherosclerotic ulcers. Ann Thorac Surg. 2011;92(2):562-566; discussion 566-567. doi: 10.1016/j.athoracsur.2011.02.087.

  59. Baumgart D, Eggebrecht H, Herold U, et al. Underlying aortic pathology and clinical health status determine success of endovascular stent-grafting for descending thoracic aortic disease. Catheter Cardiovasc Interv. 2006;67(4):527-534. doi: 10.1002/ccd.20647.

  60. Fairman AS, Beck AW, Malas, et al. Reinterventions in the modern era of thoracic endovascular aortic repair. J Vasc Surg. 2020;71(2):408-422. doi: 10.1016/j.jvs.2019.04.484.

  61. Daye D, Walker TG. Complications of endovascular aneurysm repair of the thoracic and abdominal aorta: evaluation and management. Cardiovasc Diagn Ther. 2018;8(Suppl 1):S138-S156. doi: 10.21037/cdt.2017.09.17.

  62. Nation DA, Wang GJ. TEVAR: endovascular repair of the thoracic aorta. Semin Intervent Radiol. 2015;32:265-271. doi: 10.1055/s-0035-1558824.

  63. Ochiumi Y, Suzuki Y, Oba Y. Type III endoleak of a disconnected stent-graft limb. Intern Med. 2017;56(18):2441-2443. doi: 10.2169/internalmedicine.8675-16.

  64. Zhang L, Zhao Z, Chen Y, et al. Reintervention after endovascular repair for aortic dissection: A systematic review and meta-analysis. J Thorac Cardiovasc Surg. 2016;152(5):1279-1288.e3. doi: 10.1016/j.jtcvs.2016.06.027.

  65. Verhoeven EL, Katsargyris A, Bekkema F, et al. Editor's Choice - Ten-year experience with endovascular repair of thoracoabdominal aortic aneurysms: results from 166 consecutive patients. Eur J Vasc Endovasc Surg. 2015;49(5):524-531. doi: 10.1016/j.ejvs.2014.11.018.

  66. Kostun Z, Mehta M. TEVAR and reintervention: how to manage endoleaks and false lumen perfusion . Endovasc Today. 2017;16:60-62. Available in: https://evtoday.com/articles/2017-nov/tevar-and-reintervention-how-to-manage-endoleaks-and-false-lumen-perfusion

  67. Golzarian J, Struyven J, Abada HT, et al. Endovascular aortic stent-grafts: transcatheter embolization of persistent perigraft leaks. Radiology. 1997;202(3):731-734. doi: 10.1148/radiology.202.3.9051026.

  68. Amesur NB, Zajko AB, Orons PD, Makaroun MS. Embolotherapy of persistent endoleaks after endovascular repair of abdominal aortic aneurysm with the ancure-endovascular technologies endograft system. J Vasc Interv Radiol. 1999;10(9):1175-1182. doi: 10.1016/s1051-0443(99)70217-4.

  69. Gorich J, Rilinger N, Sokiranski R, et al. Treatment of leaks after endovascular repair of aortic aneurysms. Radiology. 2000;215(2):414-420. doi: 10.1148/radiology.215.2.r00ma22414.

  70. Sheehan MK, Barbato J, Compton CN, Zajko A, Rhee R, Makaroun MS. Effectiveness of coiling in the treatment of endoleaks after endovascular repair. J Vasc Surg. 2004;40(3):430-434. doi: 10.1016/j.jvs.2004.06.034.

  71. Golzarian J, Maes EB, Sun S. Endoleak: treatment options. Tech Vasc Interv Radiol. 2005;8(1):41-49. doi: 10.1053/j.tvir.2005.06.001.




Figura 1
Figura 2
Figura 3

2020     |     www.medigraphic.com

Mi perfil

C?MO CITAR (Vancouver)

Cir Card Mex. 2025;10

ARTíCULOS SIMILARES

CARGANDO ...