medigraphic.com
ENGLISH

Acta Médica Grupo Ángeles

Órgano Oficial del Hospital Ángeles Health System
  • Mostrar índice
  • Números disponibles
  • Información
    • Información general        
    • Directorio
  • Publicar
    • Instrucciones para autores        
    • Envío de artículos
    • Políticas
    • Nombre y afiliación del Comité Editorial
  • Nosotros
    • Plan de gestión e intercambio de datos
    • Objetivos declarados y alcance
  • medigraphic.com
    • Inicio
    • Índice de revistas            
    • Registro / Acceso
  • Mi perfil

2025, Número 3

<< Anterior Siguiente >>

Acta Med 2025; 23 (3)


Tenting ocular como signo de síndrome compartimental orbitario

Raymúndez Valhondo, Javier1,2; López Negredo, David1; y Cajal Calvo, Juan Ramón1
Texto completo Cómo citar este artículo 10.35366/119968

DOI

DOI: 10.35366/119968
URL: https://dx.doi.org/10.35366/119968

Idioma: Español
Referencias bibliográficas: 0
Paginas: 306-307
Archivo PDF: 209.48 Kb.


PALABRAS CLAVE

Sin palabras Clave



Varón de 49 años que acudió al servicio de urgencias refiriendo cefalea hemicraneal, fotofobia y dolor periocular derecho de varios días de evolución. A la exploración física presentaba una importante proptosis del ojo derecho con signos de celulitis orbitaria (Figura 1), limitación funcional a los movimientos oculares y parálisis del VI par craneal derecho.

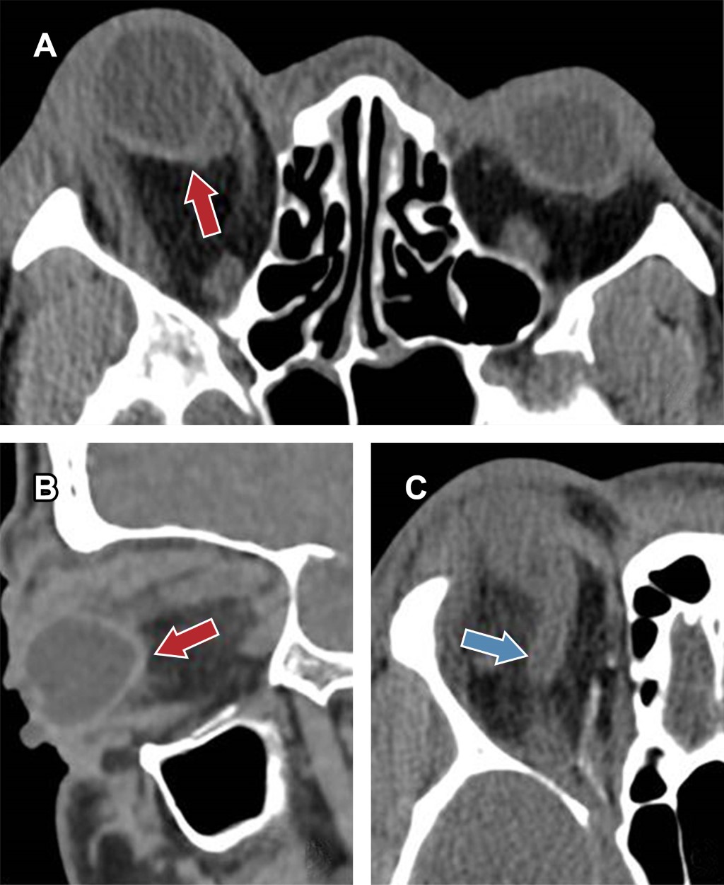
Se le realizó una tomografía computarizada (TC) que mostró una vena oftálmica superior derecha aumentada de tamaño, con hiperdensidad en su interior, sugestiva de trombosis (Figura 2C). También presentaba trabeculación de la grasa postseptal de la órbita derecha con importante proptosis asociada del globo ocular y celulitis orbitaria. Por último, se objetivó tanto en el plano axial como en el sagital el signo del "tenting posterior" del globo ocular derecho (Figura 2A y B), siendo los hallazgos en conjunto indicativos de un síndrome compartimental orbitario.

Posteriormente, al paciente se le realizó una cantotomía lateral junto con una cantolisis inferior del ojo derecho con el fin de disminuir la presión intraorbitaria y preservar la visión, presentando una evolución favorable tras el procedimiento.




AFILIACIONES

1 Servicio de Radiodiagno?stico. Hospital Cli?nico Universitario Lozano Blesa. Zaragoza, Espan?a.

2 ORCID: 0009-0009-6926-4788



CORRESPONDENCIA

Dr. Javier Raymúndez Valhondo. Correo electrónico: jraymundezv@gmail.com




Recibido: 19-05-2024. Aceptado: 10-06-2024.

Figura 1
Figura 2

2020     |     www.medigraphic.com

Mi perfil

C?MO CITAR (Vancouver)

Acta Med. 2025;23

ARTíCULOS SIMILARES

CARGANDO ...