2025, Número 3
Meningioma espinal torácico: un caso inusual en edad pediátrica
Idioma: Español
Referencias bibliográficas: 24
Paginas: 219-224
Archivo PDF: 222.77 Kb.
RESUMEN
Los meningiomas espinales son una patología rara en la población pediátrica, su incidencia en diferentes series va del 1 al 5%, siendo su localización más frecuente la columna torácica, esta tumoración está asociada con enfermedades genéticas, así como alteraciones genéticas esporádicas, su aparición intradural extramedular es la más frecuente pero no la única. Los tumores intradurales extramedulares se presentan con síntomas de compresión medular, pueden abarcar desde un dolor referido hasta un síndrome medular, dependiendo del nivel y grado de afección. La resonancia magnética es el estudio de elección para determinar la localización y extensión de estas lesiones. El tratamiento a través de laminectomía y resección es el procedimiento habitual para lesiones ocupativas que se encuentran posteriores en el canal medular. Presentamos el caso de un paciente masculino de 15 años con meningioma espinal torácico que presenta dolor dorsal y alteración en los cordones posteriores manifestando alteración para la marcha. La imagen por resonancia magnética demostró una lesión que realza a la aplicación de medio de contraste a nivel de T2-T3 siendo clasificada como lesión intradural extramedular. Se realizó un abordaje posterior sobre los niveles de T2-T3, laminectomía de T2-T3 y resección microquirúrgica total de lesión. El reporte de histología fue concluyente para meningioma grado 1. La alteración en la marcha mejoró en el postquirúrgico inmediato y su función neurológica fue total en el seguimiento. En este reporte, los autores informan de un caso de meningioma espinal y proporcionan una revisión exhaustiva de la literatura sobre esta enfermedad.INTRODUCCIóN
Los tumores espinales son relativamente raros, representan aproximadamente 5 a 10% de los tumores del sistema nervioso central; entre ellos encontramos los meningiomas, tumores de la vaina nerviosa y ependimomas que en conjunto representan 90% de los tumores espinales. De acuerdo con la clasificación de los tumores espinales con base en su relación dentro del canal raquídeo se encuentran: tumores extradurales generalmente relacionados con enfermedad metastásica, e intradurales que, a su vez, se subdividen en intramedulares y extramedulares, siendo estos últimos aproximadamente el 70% de ellos.1,2 Alrededor de dos tercios de los tumores espinales son reportados benignos. Los procesos expansivos intrarraquídeos suelen tener evolución insidiosa por su crecimiento lento, el diagnóstico suele ser tardío hasta causar un déficit neurológico.
Los meningiomas son tumores derivados de las células meningoteliales en la aracnoides y se presentan con mayor frecuencia en las meninges craneales; la presencia de un meningioma espinal representa entre 7.5 y 12.7% de todos los meningiomas en la población adulta, en general son más frecuentes en las mujeres, teniendo un pico entre la quinta y la sexta décadas de la vida. Los meningiomas en la edad pediátrica hacen sospechar la presencia de enfermedades como neurofibromatosis, o de otras alteraciones genéticas. Los meningiomas espinales son de crecimiento lento y predominantemente se presentan en el adulto, en la población pediátrica su incidencia en diferentes series va de 1 a 5%, siendo su localización más frecuente la columna torácica.3,4 Después de su diagnóstico por imagen, los pacientes son clasificados de acuerdo con sus síntomas clínicos y funcionalidad para realizar sus actividades. La mayoría de las veces, la cirugía proporciona buenos resultados funcionales, la resección completa de la lesión es importante para alcanzar una curación completa. Con la revisión de la literatura presentamos el caso de un paciente masculino de 15 años de edad, con meningioma espinal torácico.
PRESENTACIóN DEL CASO
Paciente masculino de 15 años de edad admitido al Servicio de Neurocirugía en agosto de 2024 por presentar dolor en región dorsal de 10 meses de evolución. En un principio fue manejado por diferentes servicios con analgesia, sin presentar mejoría del dolor; también informó debilidad subjetiva en las extremidades inferiores. Días previos a su internamiento presenta marcha atáxica y aumento del dolor en región dorsal.
La exploración física reveló hipotrofia de extremidades pélvicas en musculatura proximal y distal, marcha atáxica, reflejos tendinosos rotuliano y aquíleo con hiperreflexia, no hubo alteraciones en la fuerza muscular ni en la sensibilidad.
La resonancia magnética contrastada reveló una lesión intradural extramedular a nivel de la columna torácica en los niveles T2-T3, isointensa en T1, hiperintensa en T2 y con realce al gadolinio (Figura 1).
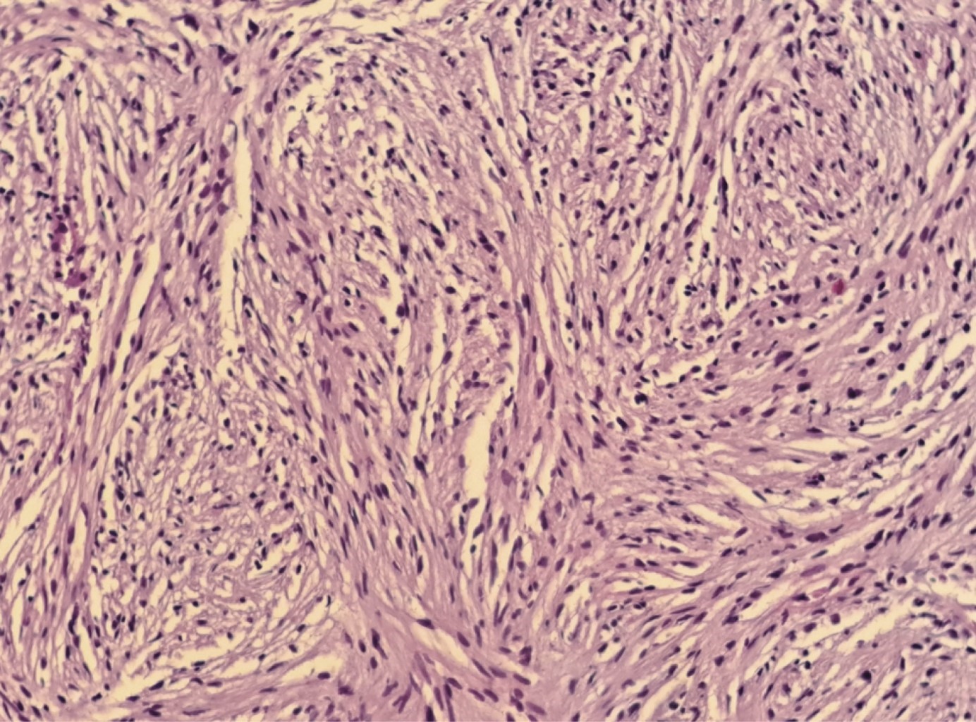
Se realizó laminectomía de T2 y T3 más resección total de lesión intradural extramedular (Figura 2). En el postoperatorio no se presentó déficit motor ni sensitivo, hubo mejoría de la marcha y su función neurológica fue completa una semana después de la cirugía. La evaluación histológica del tumor evidenció que se trataba de un meningioma meningotelial (Figura 3).
DISCUSIóN
Los tumores intradurales extramedulares son un grupo de lesiones que se delimitan en el espacio intradural sin afección a la médula espinal; dichas lesiones abarcan diferentes neoplasias que en su gran mayoría tienen características benignas. Los más comunes son meningiomas, schwannomas, neurofibromas y ependimomas; lesiones intradurales como quistes aracnoideos, quistes desmoldes, hemangiopericitomas y metástasis también han sido reportados.
Los meningiomas típicamente derivan de las células aracnoideas de las meninges, constituyen el tumor más común del sistema nervioso central, su incidencia aumenta con la edad, siendo las mujeres la población más afectada en la sexta y séptima década de la vida.5,6
Los meningiomas pediátricos se comportan diferente a su contraparte en la población adulta. En relación con su incidencia, los meningiomas pediátricos son extremadamente raros, representando 1 a 4% del total de los tumores del sistema nervioso central en esta población, siendo la relación 20:1 para los meningiomas intracraneales respectó a los espinales; afectan a niños y niñas en una proporción igual; la edad media de presentación es 13 años.7 Los factores de riesgo generales que han demostrado relación estadística son: exposición de radiación ionizante, uso de terapia hormonal de sustitución y alteraciones cromosómicas; los meningiomas pediátricos también han sido descritos en mutaciones genéticas familiares de los genes NF2, SMARCE1, BAP1 y SUFU y con antecedentes familiares de meningioma o meningiomatosis. Dentro de las anormalidades cromosómicas encontradas en los meningiomas espinales, la deleción del cromosoma 23q parece ser la más importante. De los mecanismos oncogénicos, la hiperplasia se considera las más importante. En los meningiomas una expresión del marcador inmunohistoquímicos Ki67/MIB/1 está asociada a peor pronóstico. A su vez, los meningiomas espinales presentan mayor número de receptores androgénicos y estrogénicos en comparación con los intracraneales.8-11 Histológicamente, la literatura reporta sobre el meningioma espinal pediátrico patrones psamomatosos y meningoteliomatosos como los más comunes.12 La presentación clínica de los meningiomas espinales está en relación con su patrón de crecimiento lento, la presentación asintomática ocurre en una minoría de los casos, el comportamiento insidioso y progresivo lleva a desarrollar lesiones que comprometen los elementos espinales, resultando en déficit neurológicos, síntomas y signos asociados con la compresión. La ubicación más frecuente del meningioma espinal es la región torácica en los espacios intradurales-extramedulares. El paciente presentado aquí es un masculino de 15 años de edad, con un meningioma espinal a nivel de la columna torácica en los segmentos de T2-T3 con extensión intradural-extramedular. La presentación clínica más frecuente es el dolor, pudiendo manifestarse como un dolor tipo local o radicular; además de éste, los pacientes reportan síntomas sensitivos como hipoestesias, parestesias y disestesias; las alteraciones motoras inician desde una debilidad leve hasta un déficit motor completo. La presentación de síntomas depende del grado de compresión medular, del lado más afectado, de su localización anterior o posterior y del nivel espinal afectado; las alteraciones de la marcha, equilibrio y control de los esfínteres son menos comunes. La mayoría de los pacientes muestran un cuadro clínico que comienza con dolor de diferentes características, en última instancia conduce a una mielopatía progresiva. Algunos casos con deterioro agudo de la función neurológica guardan relación con la presencia de una hemorragia intratumoral.13-15 En el caso presentado, nuestro paciente manifestaba dolor en la región dorsal alta como principal afección, posteriormente se acompañó de marcha atáxica y alteración en el equilibrio. Los pacientes con meningioma espinal pueden ser clasificados por su déficit neurológico al momento del diagnóstico utilizando la escala McCormick para categorizar la movilidad y estados sensoriales del paciente, los parámetros clínicos también pronostican su resultado postoperatorio.16-18
La resonancia magnética es el estudio de elección para el diagnóstico de las lesiones espinales intradurales, siendo la resonancia magnética contrastada el estudio de elección para estos tumores. Los meningiomas, schwannomas y ependimomas presentan características similares en la resonancia magnética, lo que hace difícil el diferenciarlos basándose sólo en las imágenes. Las imágenes ponderadas en T1 son isointensas, las ponderadas en T2 son hiperintensas y con la aplicación de medio de contraste presentan un realce homogéneo. Aunque los meningiomas suelen mostrar una "cola dural" como dato imagenológico característico, esto no se ve de manera consistente.19
El tratamiento quirúrgico es curativo, con pocas complicaciones y una rápida recuperación funcional. Los avances en los estudios de imagen, como la resonancia magnética y las nuevas tecnologías para la técnica quirúrgica (neuromonitorización, ecografía intraoperatoria, microcirugía y aspirador quirúrgico ultrasónico), permiten obtener diagnósticos más tempranos, una resección total de la lesión y resultados favorables; sin embrago, el resultado individual depende del tamaño, la ubicación del tumor y del estado neurológico preoperatorio del paciente. Aunque originalmente la clasificación de Simpson se utiliza en los meningiomas intracraneales para definir el alcance de la resección, su aplicación en los meningiomas espinales está aceptada.20,21 El tratamiento para los meningiomas espinales incluye la escisión quirúrgica para confirmar el diagnóstico histológico y lograr la descompresión de los elementos neurales; los tumores sintomáticos constituyen la principal indicación quirúrgica para su resección. El monitoreo neurofisiológico intraoperatorio de las vías sensoriales y motoras se utiliza de forma rutinaria. El procedimiento quirúrgico realizado con mayor frecuencia es una laminectomía posterior para acceder al espacio intradural; sin embargo, la laminoplastía es otra alternativa; al realizar una laminectomía multinivel se valorará la opción de realizar o no una fusión espinal. El objetivo de la cirugía de resección es minimizar el desplazamiento y la manipulación de la médula espinal; después de abrir el plano aracnoideo para acceder al tumor, se realiza la resección del tumor, se extrae usando electrocauterio bipolar, succión gentil, aspirador quirúrgico ultrasónico, disectores y tijeras microquirúrgicas; después de que se completa la resección del tumor, se realiza la duroplastía; es necesario reparar los defectos durales en los bordes de la incisión cuando no pueden ser aproximados. En nuestro caso, se realizó un abordaje posterior, dada la localización del tumor, con laminectomía de T2-T3 y resección total; el tumor de nuestro paciente era un meningioma meningoteliomatoso con aumento de la celularidad y número de mitosis. La radioterapia se puede utilizar como tratamiento adyuvante a la resección subtotal o la recurrencia. En los casos que no pueden tolerar la intervención quirúrgica, la radiocirugía puede ser una alternativa, lo cual sucede en sujetos de edad avanzada o pacientes con tumores recurrentes sin compresión de la médula espinal que no son candidatos quirúrgicos.22-24
CONCLUSIONES
Las lesiones intrarraquídeas suelen tener una evolución clínica insidiosa, se presentan al inicio con dolores no característicos y trastornos subjetivos de la sensibilidad que dificultan su diagnóstico precoz. Los meningiomas espinales aislados en la edad pediátrica son muy infrecuentes, pero deben ser incluidos en todo paciente pediátrico que presente una lesión intradural extramedular espinal; se caracterizan por un crecimiento tumoral lento, el dolor de espalda es un síntoma inicial más común, posteriormente los déficits neurológicos aumentan gradualmente. La resonancia magnética es el estudio diagnóstico de elección y la resección quirúrgica conduce a una recuperación total en la mayoría de los casos. Debido a que el pronóstico está relacionado con el alcance de la resección, creemos que sería mejor extirpar completamente la lesión, siempre que se considere segura. Los pacientes requieren un largo periodo de seguimiento y control con resonancia magnética. El grado histológico sigue siendo predictor independiente identificable de la supervivencia. Los meningiomas espinales pediátricos son poco comunes, por lo que es importante distinguirlos claramente de otros tipos de tumores, ya que un diagnóstico erróneo puede conducir a un plan de tratamiento incorrecto. Como el tumor de nuestro paciente presentó manifestaciones neurológicas leves y al lograrse una resección completa de la lesión, la recuperación neurológica fue completa en el seguimiento postquirúrgico.
REFERENCIAS (EN ESTE ARTÍCULO)
AFILIACIONES
1 Hospital Regional de Alta Especialidad ISSSTE Morelia. Michoacán, México.
2 Jefe del Servicio de Neurocirugía. ORCID: 0009-0001-0533-980X
3 Residente de Neurocirugía. ORCID: 0009-0004-7222-5740
4 Médico Interno de Pregrado. ORCID: 0009-0001-9397-9013
5 Residente de Neurocirugía. ORCID: 0009-0002-9519-2393
6 Residente de Cirugía General. ORCID: 0009-0004-5296-0166
7 Residente de Neurocirugía. ORCID: 0009-0000-3880-749X
Conflicto de intereses: los autores declaran no tener conflicto de intereses para la publicación de este trabajo.
CORRESPONDENCIA
Jorge Luis Hernández Bello. E-mail: jor.lhb@gmail.comRecibido: 20 de Septiembre de 2024. Aceptado: 30 de Septiembre de 2024.
