medigraphic.com
ENGLISH

Acta Médica Grupo Ángeles

Órgano Oficial del Hospital Ángeles Health System
  • Mostrar índice
  • Números disponibles
  • Información
    • Información general        
    • Directorio
  • Publicar
    • Instrucciones para autores        
    • Envío de artículos
    • Políticas
    • Nombre y afiliación del Comité Editorial
  • Nosotros
    • Plan de gestión e intercambio de datos
    • Objetivos declarados y alcance
  • medigraphic.com
    • Inicio
    • Índice de revistas            
    • Registro / Acceso
  • Mi perfil

2025, Número 4

<< Anterior Siguiente >>

Acta Med 2025; 23 (4)


Tromboflebitis de venas paraumbilicales y del ligamento Teres: asociación inusual de infección a distancia

Mora Constantino, Jorge1,2; Lázaro Madrigal, Flor de María3; Díaz Beltrán, Wendy4; Morán López, Moisés Aarón1,5; Montiel Castro, Miriam Estela1,6
Texto completo Cómo citar este artículo 10.35366/120534

DOI

DOI: 10.35366/120534
URL: https://dx.doi.org/10.35366/120534
Artículos similares

Idioma: Español
Referencias bibliográficas: 5
Paginas: 378-380
Archivo PDF: 290.91 Kb.


PALABRAS CLAVE

tromboflebitis, ligamento de Teres, diverticulitis, vena para umbilical.

RESUMEN

Los ligamentos perihepáticos son elementos de sostén de la glándula hepática que forman espacios potenciales, permitiendo la propagación directa de inflamación o enfermedades malignas. El ligamento falciforme del hígado es un remanente fibroso de la vena umbilical. Entre sus capas contiene la vena umbilical obliterada, que se denomina ligamento Teres acompañándose de pequeñas venas paraumbilicales. El conocimiento de la apariencia normal y patológica de los ligamentos es necesario para diagnosticar la difusión de procesos patológicos a lo largo de ellos.



INTRODUCCIóN

El ligamento falciforme del hígado es un remanente fibroso de la vena umbilical (VU) obliterada.1 Al nacimiento, la VU colapsa y permanece el ligamento falciforme, el borde libre contiene a la vena umbilical obliterada, que en este segmento se denomina ligamento Teres, acompañándose de venas paraumbilicales. El ligamento falciforme divide los compartimentos subfrénicos izquierdo y derecho embriológicamente, la vena umbilical izquierda mantiene comunicación directa con el seno venoso a través del conducto venoso. Las venas vitelinas derecha e izquierda se convierten en la vena porta. La vena y arteria umbilical desempeñan un papel vital durante la etapa fetal. El conocimiento de la apariencia normal y patológica de los ligamentos en imagenología es necesario para diagnosticar la difusión de procesos patológicos a lo largo de ellos.2



CASO CLíNICO

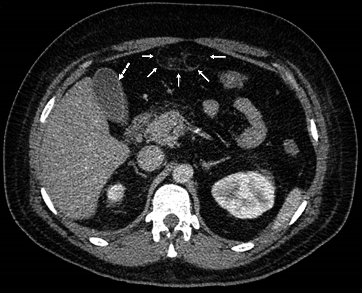
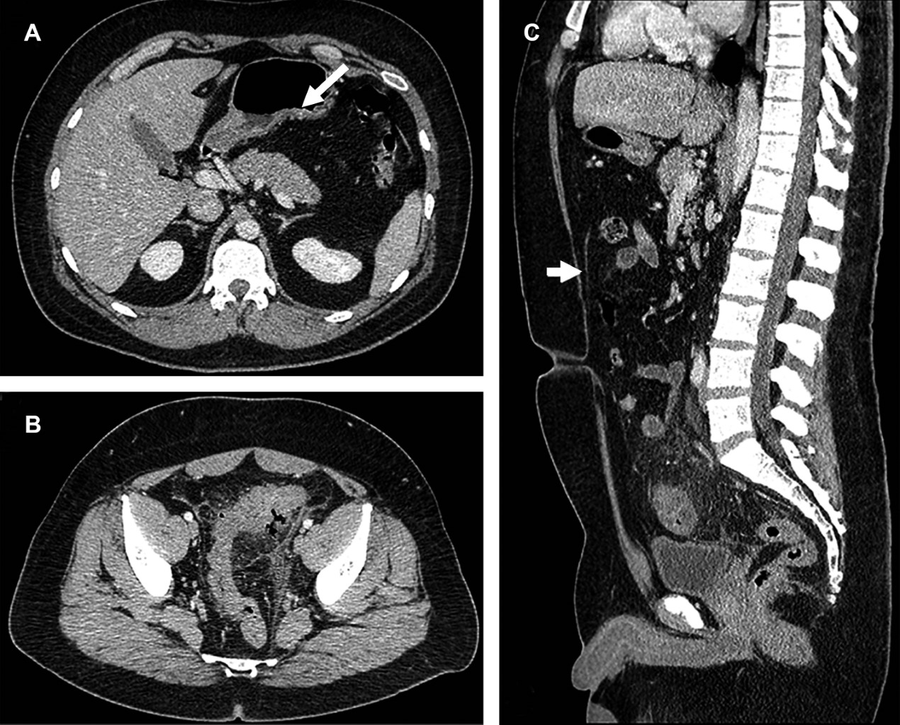
Se trata de paciente masculino de 34 años, inicia cinco días previo a su ingreso con dolor en fosa iliaca izquierda y dolor inguinal bilateral, acompañado de fiebre, escalofríos y diaforesis. A la exploración física a su ingreso presenta peristalsis disminuida, rigidez abdominal a la palpación y signo de Blumberg positivo. El laboratorio reportó: leucocitos de 15 × 109/L, hemoglobina de 15.6 g/dL, neutrófilos segmentados 11.54%, neutrófilos en banda 61%; examen general de orina (EGO): proteínas y cuerpos cetónicos presentes, leucocitos 2 × campo, bacterias escasas y sangre ausente. La tomografía computarizada abdominopélvica simple y con contraste IV mostró diverticulitis sigmoidea, Hinchey 1a (Figura 1). Cuatro días después manifiesta dolor abdominal irradiado a epigastrio, la tomografía de control simple y contraste IV (Figuras 2 y 3) mostró cambios inflamatorios en el recorrido completo del ligamento Teres, altamente sugestivos de trombosis, así como vesícula biliar reactiva (pared gruesa) y adenitis mesentérica, discreto líquido libre abdominal y derrame pleural bilateral. El paciente recibió tratamiento conservador y fue dado de alta al séptimo día.



DISCUSIóN

El ligamento Teres (margen libre del ligamento falciforme) es una estructura anatómica que conecta al hígado con la pared abdominal anterior. La recanalización de las venas paraumbilicales se ha descrito principalmente en pacientes con enfermedad hepática crónica e hipertensión portal. Contrariamente a la idea preconcebida, la vena umbilical no se recanaliza, existe aumento en el calibre y número de venas paraumbilicales. Este caso reporta una presentación clínica poco común de tromboflebitis de las venas paraumbilicales como consecuencia de un proceso infeccioso-inflamatorio a distancia, el cual puede favorecer eventos trombóticos.3,4 La diverticulitis aguda, es un proceso inflamatorio infeccioso intestinal, que se extendió a través del drenaje venoso mesentérico, activándose la cascada inflamatoria a través de la interacción entre el agente infeccioso y el endotelio, lo que precipitó tromboflebitis séptica,5 diagnóstico respaldado por los hallazgos radiológicos Eventos de esta naturaleza se resuelven espontáneamente después del control y tratamiento de la enfermedad inflamatoria de base.



CONCLUSIONES

La tromboflebitis de las venas paraumbilicales es un evento muy raro, el diagnóstico depende en gran medida de los métodos de imagen, en particular la tomografía computarizada. En este contexto, es importante incluir la tromboflebitis de venas paraumbilicales como diagnóstico diferencial en un paciente con dolor abdominal continuo a pesar de tratamiento adecuado.


REFERENCIAS (EN ESTE ARTÍCULO)

  1. Arenas AP, Sanchez LV, Albillos JM, Borruel SN, Roldán JR, Lozano FO. Direct dissemination of pathologic abdominal processes through perihepatic ligaments: identification with CT. Radiographics. 1994; 14 (3): 515-528. doi: 10.1148/radiographics.14.3.8066267.

  2. Ryan S, McNicholas M, Eustace SJ. Anatomía para el diagnóstico radiológico. Madrid: Marbán; 2011.

  3. Lim EYT, Taneja R. Thrombophlebitis of abdominal veins as an unusual cause for acute abdomen: avoiding the diagnostic pitfalls. Emerg Radiol. 2021; 28 (1): 187-192. doi: 10.1007/s10140-020-01811-3.

  4. Lim HQC, Lee XWJ, Mathias N. A rare finding of falciform ligament thrombosis as a sequel of acute pancreatitis. Case Rep Radiol. 2017; 2017: 2879568. doi: 10.1155/2017/2879568.

  5. Torres Domínguez A, Lozano Calero C, Rivera Irigoin R, Méndez Sánchez IM. Trombosis del ligamento falciforme y necrosis grasa intraabdominal como complicaciones infrecuentes en paciente con pancreatitis aguda de repetición. Rev Andal Patol Dig. 2023; 46 (2): 91-94. Disponible en: https://www.sapd.es/revista/2023/46/2/04



AFILIACIONES

1 Hospital Angeles León. León, Guanajuato, México.

2 Jefe de Servicio del Departamento de Imagen. ORCID: 0009-0001-8999-1693

3 Residente de cuarto año en Radiología e Imagen del Hospital General León. León, Guanajuato, México.

4 Residente de tercer año en Radiología e Imagen del Hospital General Regional No. 58, IMSS. León, Guanajuato, México.

5 Residente de segundo año en Radiología e Imagen.

6 Residente de primer año en Radiología e Imagen.



Si desea consultar los datos complementarios de este artículo, favor de dirigirse a editorial.actamedica@saludangeles.mx



CORRESPONDENCIA

Dr. Jorge Mora Constantino. Correo electrónico: moratony57@hotmail.com




Recibido: 31-03-2024. Aceptado: 17-04-2024.

Figura 1
Figura 2
Figura 3

2020     |     www.medigraphic.com

Mi perfil

C?MO CITAR (Vancouver)

Acta Med. 2025;23

ARTíCULOS SIMILARES

CARGANDO ...