medigraphic.com
ENGLISH

Revista Mexicana de Pediatría

ISSN 0035-0052 (Impreso)
  • Mostrar índice
  • Números disponibles
  • Información
    • Información general        
    • Directorio
  • Publicar
    • Instrucciones para autores        
    • Envío de artículos
  • medigraphic.com
    • Inicio
    • Índice de revistas            
    • Registro / Acceso
  • Mi perfil

2025, Número 1

<< Anterior Siguiente >>

Rev Mex Pediatr 2025; 92 (1)


Cefalea y ptosis palpebral como manifestación inicial de linfoma de Burkitt

Martínez-Álvarez, Francisco José1; Calleja-Gero, María Lourdes2; Sirvent-Cerdá, Sara Inmaculada3; Colmenero-Blanco, Isabel4; Gutiérrez-Partida, Belén5; Quintero-García, Diannet6; Romero-Salazar, Azucena Lloris7
Texto completo Cómo citar este artículo 10.35366/120765

DOI

DOI: 10.35366/120765
URL: https://dx.doi.org/10.35366/120765
Artículos similares

Idioma: Español
Referencias bibliográficas: 8
Paginas: 20-24
Archivo PDF: 337.92 Kb.


PALABRAS CLAVE

cefalea, oftalmoplejía, ptosis, linfoma de Burkitt, pediatría.

RESUMEN

Introducción: la cefalea es un síntoma común en múltiples enfermedades, pero un buen análisis puede identificar de manera oportuna condiciones graves. Objetivo: presentar el caso de un niño que acudió a urgencias por cefalea y al que finalmente se diagnosticó linfoma de Burkitt en sistema nervioso central. Presentación del caso: paciente de sexo masculino de tres años 11 meses que requirió ingreso hospitalario por un cuadro de cefalea de siete días de evolución, al cual se agregó ptosis palpebral derecha más recientemente. En una tomografía de cráneo y órbitas se mostró una lesión ósea esfenoidal, por lo que se realizó biopsia, llegando al diagnóstico de linfoma de Burkitt. Se inició tratamiento, pero el paciente falleció por complicaciones infecciosas. Conclusión: este caso ilustra la necesidad de llevar a cabo una buena semiología y exploración neurológica para identificar datos clínicos clave, como parte del escrutinio de todo paciente pediátrico cuyo motivo principal de consulta es la cefalea.



ABREVIATURAS:

  • RM = resonancia magnética.
  • SNC = sistema nervioso central.
  • VEB = virus Epstein-Barr.



INTRODUCCIóN

La cefalea constituye uno de los motivos de consulta más frecuentes en niños y adolescentes, aumentando su incidencia con la edad. Antes de la pubertad suele predominar en el sexo masculino, pero posteriormente es más frecuente en mujeres.1

La etiología de la cefalea en la mayoría de las ocasiones es idiopática o forma parte de condiciones comunes (sinusitis, faringitis, etcétera). No obstante, puede ser la primera manifestación de enfermedades graves como los tumores. En particular, la cefalea relacionada a tumores del sistema nervioso central (SNC) es secundaria a la infiltración tumoral o al aumento de presión intracraneal, y sus manifestaciones son más evidentes cuanto mayor es la edad del paciente. Por este motivo resulta fundamental conocer los síntomas y signos de alarma en pacientes con cefalea, así como llevar a cabo una adecuada exploración física.

Con el objetivo de ayudar en el proceso diagnóstico de esta entidad u otras de comportamiento similar, presentamos a un paciente cuyo síntoma cardinal fue cefalea, pero que finalmente se diagnosticó con linfoma de Burkitt en SNC. Este paciente tuvo un comportamiento similar a otros casos publicados.2,3



PRESENTACIóN DEL CASO

Niño de tres años y 11 meses de edad que es traído a Urgencias por presentar cefalea de localización frontal y retro-ocular derecha de seis días de evolución, asociada a fotofobia. Los padres refieren que cede de manera parcial con la analgesia, pero que el síntoma es tan importante que interrumpe su actividad habitual y le despierta por la noche. Además, señalan alteración palpebral derecha, de reciente aparición. Su peso era de 18 kg (percentil 59) y su estatura de 105 cm (percentil 60). Tiene dos hermanos sanos, y no se identificaron otros antecedentes personales o familiares de interés.

A su llegada, el paciente se encuentra con buen estado general, afebril y signos vitales normales. En la exploración física destaca únicamente edema palpebral leve derecho. En la exploración neurológica, escala de Glasgow de 15 puntos, motilidad ocular normal con pupilas isocóricas y normorreactivas. Pares craneales, fuerza, marcha y tono fueron normales; la sensibilidad y reflejos osteotendinosos normales. Signos meníngeos negativos.

Se realizó tomografía de cráneo sin contraste, la cual no mostró hallazgos anormales. En exámenes de laboratorio el hemograma y bioquímica fueron normales; serología de virus Epstein-Barr (VEB) negativa.

Dado su buen estado general y que las pruebas complementarias llevadas a cabo no mostraron alteraciones se decidió su alta, con medidas de soporte.

Al día siguiente vuelve a consultar por persistencia de la cefalea y empeoramiento de la alteración palpebral. Como único dato anormal a la exploración fue la presencia de una clara ptosis palpebral del ojo derecho, pero con motilidad ocular normal en ambos ojos. Se decide hospitalización para su estudio. Radiografía de tórax fue normal.

Al día siguiente, la ptosis palpebral persiste. Al elevar el párpado para explorar la motilidad ocular llama la atención una alteración global en el ojo derecho, ya que cuando se solicita al paciente que siga con la mirada un objeto, se aprecia cómo el ojo izquierdo lleva a cabo todos los movimientos oculares (aducción, abducción, elevación, depresión), pero el ojo derecho permanece fijo por imposibilidad de completar los movimientos.

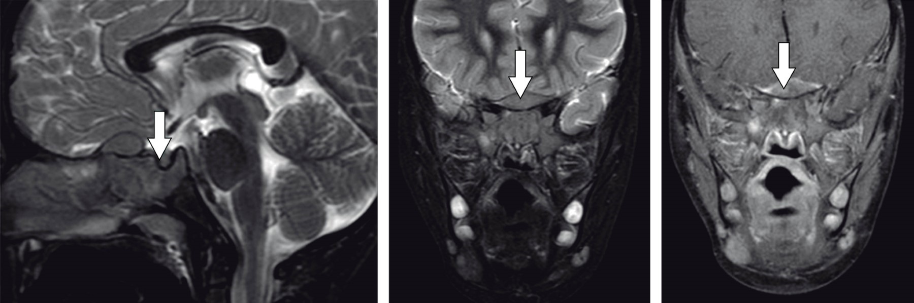
El servicio de oftalmología confirma oftalmoplejía completa del ojo derecho, con probable alteración de los pares craneales III, IV y VI. Pero la agudeza visual y fondo de ojo se consideraron normales. Por lo anterior, se decide realización de tomografía de cráneo y órbitas con medio de contraste, la cual mostró una lesión ósea esfenoidal con componente de partes blandas intracraneal. Se consideró diagnóstico de linfoma, pero se tenían que descartar otros diagnósticos como rabdomiosarcoma, histiocitosis de células de Langerhans o metástasis de neuroblastoma. Tres días después se efectúa resonancia magnética (RM) de cráneo, que apunta hacia la misma hipótesis diagnóstica (Figura 1). Por los hallazgos en estudios de imagen de una lesión muy probablemente de origen tumoral en seno esfenoidal se realizó biopsia, mediante abordaje endoscópico transetmoidal.

En el estudio por patología de la biopsia se observó una sábana de células redondas y atípicas, con alta relación núcleo-citoplasma. Macrófagos entremezclados con cuerpos tingibles, ofreciendo una imagen en "cielo estrellado". También se identificaron numerosas figuras de mitosis y cariorexis (Figura 2). Por inmunohistoquímica, la muestra resultó positiva para CD45, CD20, Bcl-6, CD10, c-Myc. El índice de proliferación estimado con Ki67 fue de 99%, y la prueba EBER-ISH negativa. Con todos estos datos se llegó al diagnóstico de linfoma de Burkitt VEB negativo.

Posteriormente se realizaron estudios de extensión, descartando afectación a nivel distal o ganglionar, y médula ósea sin signos de infiltración.

De acuerdo con toda la información, se concluyó se trataba de linfoma de Burkitt estadio IV (por afectación de SNC), iniciando tratamiento con el protocolo internacional Inter-B-NHL Ritux 2010 para grupo C1, con regímenes de quimioterapia que incluyen ciclofosfamida, citarabina, metotrexato, vincristina, doxorrubicina, etopósido, corticoides y rituximab.4 Tras siete días de tratamiento, en nueva RM se demostró menor efecto expansivo de la lesión tumoral, y disminución mayor a 20% del componente de partes blandas. Sin embargo, el paciente tuvo complicaciones y falleció por falla multiorgánica secundaria a pancolitis grave y choque séptico, con infección fúngica sistémica por Magnusiomyces capitatus.



DISCUSIóN

La cefalea constituye uno de los motivos de consulta más frecuentes en pacientes pediátricos que acuden a servicios de urgencias pediátricas.5 En la gran mayoría de ocasiones responde a trastornos primarios, como migraña o cefalea tensional, o bien es parte de la sintomatología de cuadros infecciosos de vías áreas superiores. Sin embargo, en una pequeña proporción puede ser la primera manifestación de patologías potencialmente graves como tumores, infección del SNC, ictus o trombosis.

Una historia clínica minuciosa resulta fundamental para orientar el diagnóstico, realizando una anamnesis dirigida que incluya aspectos como el tiempo de evolución, frecuencia de los episodios, localización, intensidad y síntomas acompañantes. Asimismo, es importante explorar la presencia de síntomas previos al dolor, así como la respuesta a analgésicos.

Con el análisis de esta información se pueden identificar puntos clave para determinar que el paciente tiene mayor probabilidad de presentar un proceso grave; por ejemplo, para sospechar la presencia de un proceso intracraneal se puede considerar a la cefalea que ocurre en niños menores de cinco años, dolor intenso de aparición súbita, dolor localizado, que despierta al paciente por la noche o que no cede con la analgesia, dolor que se desencadena con el esfuerzo físico, así como cefalea progresiva o cambios en las características de una cefalea recurrente. En este contexto, el paciente que presentamos tenía algunas de estas características: casi cuatro años de edad, cefalea localizada a nivel frontal y en región retro-ocular derecha, que cedía parcialmente con analgesia y que había llegado a despertarlo por la noche.

Además, es importante una exploración neurológica completa. Los signos de alarma a los que se debe prestar atención son: alteraciones en el nivel de conciencia, afectación de pares craneales, disminución de fuerza o sensibilidad, presencia de signos meníngeos, ataxia o alteraciones de la marcha o signos de focalización.6 Con respecto a los datos neurológicos anormales, nuestro paciente tenía problemas de motilidad ocular y ptosis palpebral, que parecía traducir alteración de los pares craneales III, IV y VI (nervios oculomotores).

Los nervios oculomotores tienen su origen en núcleos del tronco del encéfalo y cada uno discurre por el espacio subaracnoideo hasta perforar la duramadre, dirigiéndose hacia delante y relacionándose con el seno cavernoso. A este nivel, existen patologías que pueden producir alteraciones, tales como los tumores primarios (e.g. meningioma), tumores secundarios que por extensión pueden invadir el seno cavernoso (adenomas hipofisarios, carcinomas nasofaríngeos, linfomas, metástasis), lesiones vasculares (fístula carótido-cavernosa, trombosis del seno cavernoso), o procesos inflamatorios (e.g. síndrome de Tolosa-Hunt).

Asimismo, los nervios oculomotores atraviesan la hendidura esfenoidal o fisura orbitaria superior para entrar en la cavidad orbitaria e inervar a los músculos del ojo. En la hendidura esfenoidal pueden existir procesos tumorales, como linfomas, rabdomiosarcomas, metástasis del neuroblastoma o histiocitosis de células de Langerhans. Por otro lado, es necesario considerar patologías en la cavidad orbitaria que pueden tener cuadros similares, entre las se incluyen tumores, traumatismos y fracturas.7

De manera similar al paciente que se presenta, en un artículo publicado en 2021, se expone el caso de un paciente de cinco años que comenzó súbitamente con anisocoria, ptosis palpebral unilateral y oftalmoplejía. Se realizó tomografía de cráneo que fue interpretada como normal. Semanas después el paciente presentó aumento indoloro del tamaño testicular, llegando finalmente al diagnóstico de linfoma de Burkitt con afectación de seno cavernoso.8 Estos dos casos invitan a reflexionar sobre la necesidad de llevar a cabo una reevaluación continua de los pacientes, a fin de identificar cambios significativos, o bien, la aparición de nuevos signos o síntomas, a pesar de que en los estudios de imagen no se haya identificado alguna anormalidad. Pero es importante señalar que cuando se sospeche alteración de los pares oculomotores es necesario realizar análisis de ambas cavidades orbitarias. En nuestro caso, por oftalmoplejía derecha se solicitó tomografía de cráneo y órbitas con contraste, lo cual condujo a la sospecha diagnóstica de lesión tumoral a nivel esfenoidal.

Las manifestaciones clínicas de los tumores que se localizan en SNC son variables, pudiendo derivarse de la hipertensión intracraneal o de la infiltración/compresión que pueden provocar. Además, dependen de la edad, localización del tumor y de la velocidad de crecimiento del niño. La tomografía proporciona de manera rápida datos sobre el tamaño y forma del tumor, localización, presencia de calcificaciones, entre otros. La RM permite un mejor estudio de las características de la lesión. Ambas pruebas son la base del diagnóstico, tratamiento, planificación quirúrgica y seguimiento.

Finalmente sobre los linfomas debemos señalar que corresponden al tercer cáncer más frecuente en la edad pediátrica, solo por detrás de la leucemia y tumores primarios del SNC. Los linfomas no Hodgkin suponen 2/3 de los casos de linfoma diagnosticados, constituyendo el grupo más frecuente hasta los 15 años de edad; entre ellos, el linfoma de Burkitt es el más frecuente. Existen dos subtipos, el esporádico, que suele tener localización abdominal, en cabeza y cuello o afectación amigdalar; mientras que el endémico se presenta como tumor en la mandíbula o huesos de la cara, se asocia al VEB y es característico de países africanos.4 A pesar de presentarse como una masa agresiva y de muy rápido crecimiento, habitualmente tiene rápida respuesta al tratamiento quimioterápico y buen pronóstico. Lamentablemente, las complicaciones infecciosas siguen siendo una de las principales causas de morbilidad y mortalidad en pacientes oncológicos, como ocurrió en el caso que hemos presentado.


REFERENCIAS (EN ESTE ARTÍCULO)

  1. Jeong YJ, Lee YT, Lee IG, Han JY. Primary headaches in children and adolescents - experiences at a single headache center in Korea. BMC Neurol. 2018; 18(1): 70. doi: 10.1186/s12883-018-1073-9.

  2. Hong X, Khalife S, Bouhabel S, Bernard C, Daniel SJ, Manoukian JJ et al. Rhinologic manifestations of Burkitt Lymphoma in a pediatric population: case series and systematic review. Int J Pediatr Otorhinolaryngol. 2019; 121: 127-136. doi: 10.1016/j.ijporl.2019.03.013.

  3. Zhao J, Hassani MA, Song J, Sun X. Primary central nervous system Burkitt's lymphoma in a pediatric patient: a case report and literature review. J Pediatr Hematol Oncol. 2024; 46(7): 375-379. doi: 10.1097/MPH.0000000000002944.

  4. Guerra GP, Plaza LSD. Linfomas de Hodgkin y no Hodgkin. Pediatr Integral. 2021; 25(6): 308-319. Disponible en: https://www.pediatriaintegral.es/publicacion-2021-09/linfomas-de-hodgkin-y-no-hodgkin-2021/

  5. Lateef TM, Merikangas KR, He J, Kalaydjian A, Khoromi S, Knight E et al. Headache in a national sample of American children: prevalence and comorbidity. J Child Neurol. 2009; 24(5): 536-543. doi: 10.1177/0883073808327831.

  6. Roser T, Bonfert M, Ebinger F, Blankenburg M, Ertl-Wagner B, Heinen F. Primary versus secondary headache in children: a frequent diagnostic challenge in clinical routine. Neuropediatrics. 2013; 44(1): 34-39. doi: 10.1055/s-0032-1332743.

  7. Rebolleda FG, Muñoz NFJ. Protocolos en neuro-oftalmología, CAO Biblioteca On Line [Internet]. 2010 [Consulta 17 julio 2025], Disponible en: https://www.oftalmologos.org.ar/catalogo/items/show/5483

  8. Jakubowska W, Chorfi S, Bélanger C, Décarie JC, Ospina LH. Childhood Burkitt lymphoma manifesting as cavernous sinus syndrome. Can J Ophthalmol. 2022; 57(1): e22-e24. doi: 10.1016/j.jcjo.2021.06.003.



AFILIACIONES

1 Residente de Pediatría

2 Servicio de Pediatría General

3 Radiología

4 Anatomía Patológica

5 Oftalmología

6 Oncología

7 Otorrinolaringología. Hospital Infantil Universitario Niño Jesús. Madrid, España.



Conflicto de intereses: los autores declaran que no tienen.



CORRESPONDENCIA

Francisco José Martínez-Álvarez, E-mail: fmartinezalvarez@salud.madrid.org




Recibido: 30/05/2024. Aceptado: 08/04/2025

Figura 1
Figura 2

2020     |     www.medigraphic.com

Mi perfil

C?MO CITAR (Vancouver)

Rev Mex Pediatr. 2025;92

ARTíCULOS SIMILARES

CARGANDO ...