medigraphic.com
ENGLISH

Revista Mexicana de Pediatría

ISSN 0035-0052 (Impreso)
  • Mostrar índice
  • Números disponibles
  • Información
    • Información general        
    • Directorio
  • Publicar
    • Instrucciones para autores        
    • Envío de artículos
  • medigraphic.com
    • Inicio
    • Índice de revistas            
    • Registro / Acceso
  • Mi perfil

2025, Número 1

<< Anterior Siguiente >>

Rev Mex Pediatr 2025; 92 (1)


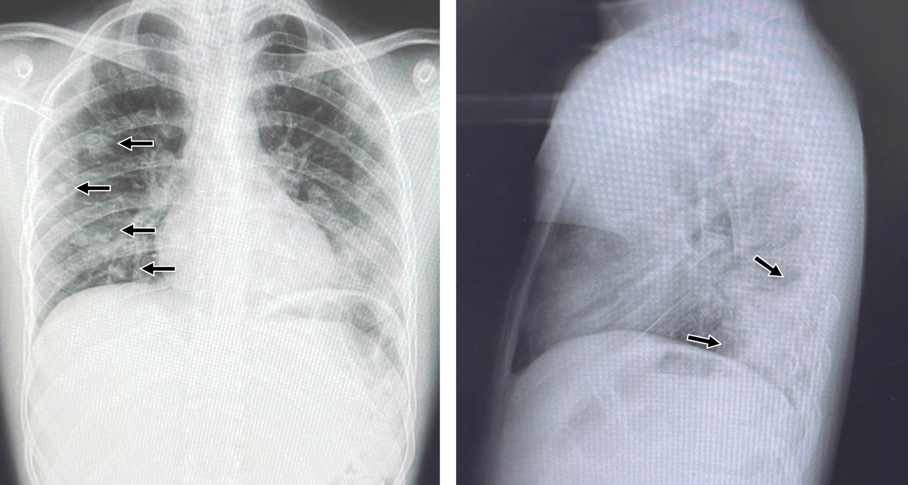
De una lesión leve de piel a una infección invasiva por Staphylococcus aureus en un adolescente

Camacho-Cruz, Jhon1,2; Cogua, José Luis2; Lozano-Triana, Carlos Javier2; Mesa, Paola1; Beltrán, María Luisa1; Restrepo-Gualteros, Sonia M2
Texto completo Cómo citar este artículo 10.35366/120766

DOI

DOI: 10.35366/120766
URL: https://dx.doi.org/10.35366/120766
Artículos similares

Idioma: Español/Inglés [English version]
Referencias bibliográficas: 20
Paginas: 25-29
Archivo PDF: 350.45 Kb.


PALABRAS CLAVE

Staphylococcus aureus, infecciones en pediatría, resistencia bacteriana, Staphylococcus aureus meticilino resistente.

RESUMEN

Introducción: Staphylococcus aureus es un agente causal común de infecciones de piel y tejidos blandos en la población pediátrica. Sin embargo, puede provocar enfermedades invasivas como infecciones osteoarticulares, neumonía y bacteriemia. Este caso clínico describe la progresión de una infección cutánea superficial en un adolescente que evolucionó a una afección invasiva grave. Presentación del caso: paciente de 16 años, previamente sano, quien presentó una lesión cutánea en la región cervical. En cuestión de días, la infección progresó rápidamente, provocando fiebre, malestar general y síntomas sistémicos. Los hemocultivos confirmaron la presencia de S. aureus resistente a la meticilina, y los estudios de imagen revelaron émbolos pulmonares. Se inició tratamiento con antibióticos de amplio espectro, ajustados según las pruebas de sensibilidad. Se observó mejoría clínica y el paciente fue dado de alta sin complicaciones. Conclusión: este caso destaca la posibilidad de que en pacientes pediátricos con infección cutánea por S. aureus progresen a una enfermedad invasiva potencialmente mortal. Por lo que es importante su reconocimiento y el tratamiento apropiados para prevenir complicaciones graves.



ABREVIATURAS:

  • CAD = cetoacidosis diabética
  • ECG = electrocardiograma
  • IAM = infarto agudo al miocardio
  • ISPAD = International Society for Pediatric and Adolescent Diabetes



INTRODUCCIóN

Se ha descrito que los pacientes con cetoacidosis diabética (CAD) pueden presentar problemas cardiacos secundarios a la acidosis, hiperglicemia y a trastornos electrolíticos de sodio, potasio, calcio, fósforo o magnesio. Estos problemas pueden ser detectados en el electrocardiograma (ECG).1 Sin embargo, Atabek y colaboradores estudiaron el daño miocárdico en población con CAD grave, demostrando incremento en la troponina, pero sin manifestaciones en el ECG.2

En adultos se ha reportado la asociación entre CAD e infarto agudo al miocardio (IAM); señalando que la cetoacidosis conduce a un estado proinflamatorio –semejante a sepsis o trauma–, generando radicales libres, estado protrombótico e inflamación coronaria, con el subsecuente aumento del riesgo de muerte.3 En este contexto, existen casos publicados de pacientes con CAD que presentaron elevación del segmento ST en el ECG y aumento de troponinas, pero sin haber demostrado lesiones en arterias coronarias por angiografía.4-6

En población adulta, los criterios para el diagnóstico de IAM incluyen al menos dos de los siguientes:7

1) Aumento característico y disminución progresiva de troponina I, o aumento y disminución más rápida de CK y CK-MB por arriba del percentil 99. 2) Aparición de nuevas ondas Q de necrosis en el ECG, elevación o depresión del segmento ST. 3) Hallazgos anatomopatológicos de IAM.8

En contraste, el IAM en niños y adolescentes se considera una entidad rara. Pero puede ocurrir en las siguientes entidades: enfermedad de Kawasaki, anomalías congénitas de arterias coronarias, asfixia perinatal, complicaciones tras cirugía de cardiopatía congénita, cardiomiopatía, miocarditis y abuso de sustancias tóxicas.9-11 En una revisión de 37 casos en menores de 21 años, publicada en 1992, se describió que la causa de IAM en el 24% fue por enfermedad congénita cardiovascular seguido de enfermedad de Kawasaki en el 19%.12 A partir de esta publicación, en el 2019 Bicili y colaboradores10 señalan los criterios por ECG para establecer diagnóstico de IAM en población pediátrica:

  • 1. Aparición de ondas Q de novo con duración > 35 ms.
  • 2. Incremento de la amplitud o duración (> 35 ms) de ondas Q preexistentes.
  • 3. Ondas Q de novo en trazos seriados.
  • 4. Muescas en ondas Q.
  • 5. Elevación > 2 mm del segmento ST, y prolongación del intervalo QT corregido por frecuencia cardiaca (> 440 ms).

Por otro lado, se ha documentado que pacientes adultos que cursan con CAD grave pueden presentar una condición denominada pseudoinfarto, en la cual se muestran cambios electrocardiográficos que simulan un infarto, pero sin comprobar su existencia mediante estudios de imagen, como ecocardiograma o angiografía.3-5 El pseudoinfarto se identifica cuando en el ECG se detecta elevación del segmento ST, la cual ocurre por cambios en niveles séricos de potasio, principalmente hipokalemia.3,4,13 La depleción de potasio es una complicación frecuente en CAD por diferentes factores, como pérdidas urinarias y gastrointestinales, pero sobre todo durante el tratamiento, ya que la insulina promueve el desplazamiento del potasio del espacio extracelular al intracelular. Pero en estos pacientes, la elevación del segmento ST también se ha reportado con niveles séricos de potasio normales o altos.5,14

Después de revisar la literatura y al no identificar casos en edad pediátrica, se decidió presentar a una paciente adolescente con CAD en quien se documentó elevación del segmento ST, pero sin ser IAM.



CASO CLíNICO

Paciente femenino de 13 años con peso de 67 kilogramos (percentil 95), talla 157 cm (percentil 25-50), índice de masa corporal 27.9 (percentil > 95), perímetro abdominal de 90 cm (percentil > 90) quien arribó al servicio de Urgencias, con padecimiento de 20 días de evolución el cual se caracterizó por polidipsia, poliuria y nicturia; seis días previos se agregó dolor abdominal tipo cólico en epigastrio, así como astenia y adinamia. A su ingreso, la paciente tenía datos de deshidratación grave, respiración de Kussmaul, tejido adiposo abundante, y tensión arterial 108/62 mmHg (tensión arterial media de 75 mmHg). En la exploración de área genital se encontró eritema vulvar y flujo vaginal blanquecino y grumoso.

En estudios de laboratorio se documentó CAD grave: pH 6.89 y HCO3 3.6 mmol/L, glucosa 510 mg/dL, potasio 1.70 mEq/L, con anión gap de 12.5 mEq/L y osmolaridad de 328.8 mOsm/kg. En examen de orina, cuerpos cetónicos de 60 mg/dL. Lípidos: colesterol total 267 mg/dL, HDL 23.3 mg/dL, LDL 52.3 mg/dL y triglicéridos de 1,585 mg/dL. CK 681 UI/L, CK-MB 33.8 UI/L, dímero D 974 ng/mL DDU, fibrinógeno 101 mg/dL.

Se procedió a dar tratamiento específico, de acuerdo con el protocolo de ISPAD (International Society for Pediatric and Adolescent Diabetes) 2022, con lo cual hubo remisión de la cetoacidosis.15

En el ECG inicial, obtenido después de la administración de potasio para su corrección, se observó taquicardia sinusal (166 latidos por minuto), eje cardiaco normal, RR 0.36 segundos, QT 0.24 segundos, QTc 0.430 segundos, onda T alta y acuminada, con base estrecha de ramas simétricas (Figura 1). En un nuevo ECG a las 24 horas de su ingreso se identificó supradesnivel del segmento ST, en DI, DII, AvF, V4-V6, QTc alargado (0.500 ms), onda U, en DII onda Q (< 0.035 segundos y < 3.5 mVol). Estos datos podían sugerir IAM; sin embargo, la paciente no tenía dolor precordial o angina, y tampoco se cumplían los criterios relacionados a la onda Q,10 descartando el infarto y considerando que los cambios en el ECG se relacionaban con la hipokalemia.

Al siguiente día se toma otro ECG (Figura 2) observando supradesnivel del segmento ST en DI, DII, AvF y de V2 a V6; onda Q de 0.5 mm en DII, con alargamiento del QTc y onda U, pero los niveles séricos de potasio eran de 1.68 mEq/L. Al tercer día, se inició dieta y el potasio sérico ya era 4.69 mEq/L, pero el ECG no mostró cambios con respecto al previo, mostrando persistencia del desnivel en el segmento ST.



DISCUSIóN

Presentamos el caso de una adolescente con diabetes, quien debutó con CAD grave e hipokalemia de 1.7 mEq/L manejada de acuerdo con las guías ISPAD. De manera interesante, en un trazo electrocardiográfico (Figura 1) se observaron ondas T altas de predominio en derivaciones precordiales. Esto último hizo considerar la posibilidad de un IAM, ya que la paciente contaba con factores de riesgo cardiovascular, tales como obesidad, sedentarismo y dislipidemia;16-18 sin embargo, clínicamente no presentaba datos de angina coronaria y tampoco se cumplieron los criterios de IAM en el ECG.10 Este caso parece relevante ya que, después de revisar la literatura, no identificamos reportes similares en pacientes en edad pediátrica. Hasta el momento, en la mayoría de las publicaciones se describen pacientes en edad adulta con CAD, hiperkalemia y elevación de segmento ST,3,14,19 pero también se ha descrito con niveles normales de potasio.5,20

Este hallazgo electrocardiográfico que sugiere IAM, ya ha sido descrito en pacientes con y sin CAD, en quienes se ha demostrado que no tienen afección vascular coronaria en estudios de imagen, por lo que se ha denominado como pseudoinfarto, y se ha asociado con alteración en niveles de potasio, pero hay autores que cuestionan este término.6,21

La cetoacidosis es una entidad que puede ser letal, y también conlleva afección a nivel cerebral, respiratorio y cardiaco; no obstante, en niños y adolescentes los estudios sobre daño miocárdico son limitados. En el 2022, Egil y colaboradores al evaluar el ECG de 39 pacientes pediátricos con CAD, antes y después del tratamiento, encontraron que la mayoría tenía alteraciones en la onda P, así como en los segmentos QT, Tp-e y Tp-e/QT, concluyendo que era importante tener en cuenta estos cambios ya que aumentaba el riesgo de arritmias.22 Por su parte, Atabek y colaboradores encontraron incremento de troponina I, CPK-MB y mioglobina en 19 pacientes pediátricos con CAD, al comparar con 19 niños sanos, pero no hubo correlación con datos en el ECG.23

Los cambios electrocardiográficos clásicos de hipokalemia son depresión del segmento ST, disminución del voltaje de la onda T, aparición de onda U de mayor voltaje que la onda T. En contraste, la elevación del segmento ST es más frecuente con niveles séricos de potasio elevados. Sobre esto último, aunque se desconoce el mecanismo fisiopatológico exacto, se propone que puede relacionarse con el acortamiento de la fase de repolarización del miocardio, que ocurre por el incremento del flujo de potasio en las membranas celulares de los miocitos, cuando el potasio extracelular es alto, acortando las fases de los potenciales de acción cardíacos.19



AGRADECIMIENTO

A Verónica Rocío Morales Pérez, por su apoyo en la elaboración del manuscrito.


REFERENCIAS (EN ESTE ARTÍCULO)

  1. Gutiérrez-Tobar IF, Palacios-Ariza MA, Luna-Solarte DA, Niño-Uribe WH, González-Garzón AC, Beltrán-Higuera SJ et al. Guía de práctica clínica colombiana para el tratamiento de infecciones bacterianas de piel y tejidos blandos superficiales en población pediátrica. Infectio. 2023; 27(2): 114-131.

  2. Liu C, Bayer A, Cosgrove SE, Daum RS, Fridkin SK, Gorwitz RJ et al. Clinical practice guidelines by the Infectious Diseases Society of America for the treatment of methicillin-resistant Staphylococcus aureus infections in adults and children. Clin Infect Dis. 2011; 52(3): e18-e55. doi: 10.1093/cid/ciq146.

  3. Padilla ME, Deschutter EV, Reijtman V, Mastroianni A, García ME, Bologna R et al. Shock séptico en niños con bacteriemia por Staphylococcus aureus de la comunidad en un hospital pediátrico de alta complejidad. Rev Chil Infectol. 2023; 40(3): 251-256.

  4. Thabet FC, Alhejaili AS, Alodayani AN, Chehab MS. Septic pulmonary embolism secondary to Staphylococcus aureus septic thrombophlebitis in a pediatric patient. Saudi Med J. 2013; 34(10): 1080-1082.

  5. Dai C, Ji W, Zhang Y, Huang W, Wang H, Wang X. Molecular characteristics, risk factors, and clinical outcomes of methicillin-resistant Staphylococcus aureus infections among critically ill pediatric patients in Shanghai, 2016-2021. Front Pediatr. 2024; 12: 1457645. doi: 10.3389/fped.2024.1457645.

  6. Otto M. Community-associated MRSA: what makes them special? Int J Med Microbiol. 2013; 303(6-7): 324-330.

  7. Camacho-Cruz J, Gutiérrez IF, Brand-López K, Sosa-Rodríguez YA, Vásquez-Hoyos P, Gómez-Cortés LC et al. Differences between methicillin-susceptible versus methicillin-resistant Staphylococcus aureus infections in pediatrics: multicenter cohort study conducted in Bogotá, Colombia, 2014-2018. Pediatr Infect Dis J. 2022; 41(1): 12-19. doi: 10.1097/INF.0000000000003349.

  8. Shilo N, Quach C. Pulmonary infections and community associated methicillin resistant Staphylococcus aureus: a dangerous mix? Paediatr Respir Rev. 2011; 12(3): 182-189. doi: 10.1016/j.prrv.2010.10.007.

  9. Ahmad-Mansour N, Loubet P, Pouget C, Dunyach-Remy C, Sotto A, Lavigne JP et al. Staphylococcus aureus toxins: an update on their pathogenic properties and potential treatments. Toxins (Basel). 2021; 13(10): 677. doi: 10.3390/toxins13100677.

  10. Hodille E, Rose W, Diep BA, Goutelle S, Lina G, Dumitrescu O. The role of antibiotics in modulating virulence in Staphylococcus aureus. Clin Microbiol Rev. 2017; 30(4): 887-917. doi: 10.1128/CMR.00120-16.

  11. Singh V, Phukan UJ. Interaction of host and Staphylococcus aureus protease-system regulates virulence and pathogenicity. Med Microbiol Immunol. 2019; 208(5): 585-607. doi: 10.1007/s00430-018-0573-y.

  12. Li X, Fang F, Zhao J, Lou N, Li C, Huang T et al. Molecular characteristics and virulence gene profiles of Staphylococcus aureus causing bloodstream infection. Braz J Infect Dis. 2018; 22(6): 487-494. doi: 10.1016/j.bjid.2018.12.001.

  13. Thurlow LR, Joshi GS, Richardson AR. Virulence strategies of the dominant USA300 lineage of community-associated methicillin-resistant Staphylococcus aureus (CA-MRSA). FEMS Immunol Med Microbiol. 2012; 65(1): 5-22. doi: 10.1111/j.1574-695X.2012.00937.x.

  14. Montes O, Hernández J, Correa O, Reyes J, Pinzon H, Reyes N. Clonal distribution and antibiotic susceptibility of Staphylococcus aureus from pediatric patients: 8-year trends in a Children's Hospital in Colombia. J Trop Pediatr. 2021; 67(6): fmab105. doi: 10.1093/tropej/fmab105.

  15. Portillo BC, Moreno JE, Yomayusa N, Alvarez CA, Cardozo BE, Pérez JA et al. Molecular epidemiology and characterization of virulence genes of community-acquired and hospital-acquired methicillin-resistant Staphylococcus aureus isolates in Colombia. Int J Infect Dis. 2013; 17(9): e744-e749. doi: 10.1016/j.ijid.2013.02.029.

  16. Bouiller K, David MZ. Staphylococcus aureus genomic analysis and outcomes in patients with bone and joint infections: a systematic review. Int J Mol Sci. 2023; 24(4): 3234. doi: 10.3390/ijms24043234.

  17. Liang Y, Li J, Hou L, Zhang X, Hou G, Zhang W. Changes of Staphylococcus aureus infection in children before and after the COVID-19 pandemic, Henan, China. J Infect. 2023; 86(3): e70-e71. doi: 10.1016/j.jinf.2022.12.024.

  18. Wang X, Shen Y, Huang W, Zhou Y. Characterisation of community-acquired Staphylococcus aureus causing skin and soft tissue infections in a children's hospital in Shanghai, China. Epidemiol Infect. 2019; 147: e323. doi: 10.1017/S0950268819002127.

  19. Karli A, Yanik K, Paksu M et al. Infección diseminada por Staphylococcus aureus positivo para leucocidina de Panton-Valentine en un niño. Arch Argent Pediatr. 2016; 114(2): e75-e77/e75.

  20. Zúñiga M. Passalacqua S. Benadof D, Conca N, Acuña M. Staphylococcus aureus sensible a meticilina, productor de leucocidina de Panton-Valentine. A propósito de dos casos pediátricos de infección osteoarticular. Rev Chil Infectol. 2021; 38(2): 300-302.



AFILIACIONES

1 Urgencias, Hospital Materno Pediátrico Xochimilco, IMSS Bienestar

2 Residente, Hospital General de Zona "Vicente Guerrero", Instituto Mexicano del Seguro Social. Ciudad de México, México.



Conflicto de intereses: los autores declaran que no tienen.



CORRESPONDENCIA

Eduardo Quintero-Aguirre, E-mail: quinteroaguirreeduardo1@gmail.com




Recibido: 10/03/2025. Aceptado: 15/04/2025

Figura 1
Figura 2

2020     |     www.medigraphic.com

Mi perfil

C?MO CITAR (Vancouver)

Rev Mex Pediatr. 2025;92

ARTíCULOS SIMILARES

CARGANDO ...