medigraphic.com
ENGLISH

Revista Mexicana de Trasplantes

ISSN 3122-3893 (Digital)
  • Mostrar índice
  • Números disponibles
  • Información
    • Información general        
    • Directorio
  • Publicar
    • Instrucciones para autores        
    • Envío de artículos
  • Políticas
  • medigraphic.com
    • Inicio
    • Índice de revistas            
    • Registro / Acceso
  • Mi perfil

2025, Número 2

<< Anterior Siguiente >>

Rev Mex Traspl 2025; 14 (2)


Distinguiendo lo indistinguible: nefropatía diabética en no diabéticos

Thomas-Fonseca, Gandhi1; Almeida-Borjon, Omar2; Carmona-Escamilla, Marco Antonio2; Soto-Abraham, Virgilia3; Cano-Cervantes, Horacio4; Matias-Carmona, Mayra4; Canade-Hernández, Regina5
Texto completo Cómo citar este artículo 10.35366/120822

DOI

DOI: 10.35366/120822
URL: https://dx.doi.org/10.35366/120822
Artículos similares

Idioma: Español
Referencias bibliográficas: 12
Paginas: 82-87
Archivo PDF: 1811.65 Kb.


PALABRAS CLAVE

nefropatía nodular, trasplante renal, síndrome nefrótico.

RESUMEN

Conocida como nefropatía diabética en pacientes no diabéticos, se denomina así a un grupo de glomerulopatías histológicamente indistinguibles de la nefropatía diabética que ocurre en pacientes sin diabetes (con o sin alteraciones en el metabolismo de la glucosa). Histológicamente, se caracteriza por presentar expansión mesangial, esclerosis nodular en más del 95% de los casos, fibrosis intersticial y atrofia tubular en 25% de los casos, así como hialinosis con esclerosis arteriolar en hasta 86% de los casos. El objetivo de esta investigación es reportar una serie de casos con nefropatía diabética en pacientes sin diabetes y realizar una revisión del tema. Se presentan tres casos de pacientes sin diagnóstico de diabetes que en sus hallazgos histopatológicos en biopsias renales se reporta nefropatía nodular diabética, así como su evolución clínica, abordaje terapéutico y revisión bibliográfica. Esta entidad cobra cada vez más fuerza como una enfermedad histopatológica a considerar en pacientes con síndrome nefrótico. En nuestros pacientes, la función se mantuvo deteriorada pero estable, y hubo buena respuesta al tratamiento farmacológico; los antecedentes de riesgo observados coinciden con los descritos en la literatura, siendo fundamental realizar una adecuada determinación de los marcadores de función metabólica.



INTRODUCCIóN

Desde 1934, MacCallum reportó cambios en el tejido conectivo intercapilar, que denominó glomerulonefritis intercapilar.1 Posteriormente, en 1936, los doctores Paul Kimmelstiel y Clifford Wilson publicaron los primeros ocho casos de lesiones glomerulares asociadas a diabetes mellitus, en los que se observaban lesiones con deposición de material hialino intercapilar.2

En 1989, Alpers y Biava reportaron por primera vez una nueva entidad patológica denominada "Esclerosis nodular mesangial" y, 10 años después, Herzenberg documentó por primera vez dos casos de glomeruloesclerosis nodular en pacientes sin diabetes.3

Conocida como nefropatía diabética en pacientes no diabéticos, se denomina así a un grupo de glomerulopatías histológicamente indistinguibles de la nefropatía diabética que ocurre en pacientes sin diabetes (con o sin alteraciones en el metabolismo de la glucosa). Histológicamente, se caracteriza por presentar expansión mesangial, esclerosis nodular en más del 95% de los casos, fibrosis intersticial y atrofia tubular en 25% de los casos, así como hialinosis con esclerosis arteriolar en hasta 86% de los casos.4

El objetivo de esta investigación es reportar una serie de casos con nefropatía diabética en pacientes sin diabetes y realizar una revisión del tema.



PRESENTACIÓN DE LOS CASOS



CASO CLÍNICO 1

Mujer mexicana de 55 años, enviada a nefrología por proteinuria. Refería tabaquismo pasivo por 30 años (esposo fumador) y exposición al humo de leña por 31 años. Sin antecedente de embarazos ni historia de diabetes mellitus, hipertensión arterial u otra enfermedad.

Inició su padecimiento con disminución de clase funcional, edema de miembros, además de pérdida progresiva de agudeza visual y enrojecimiento ocular. Se encontró albuminuria de 711 mg/día, creatinina de 0.9 mg/dL, glucosa 77 mg/dL, hemoglobina glucosilada (HbA1c) de 5.3% y curva de tolerancia a la glucosa con 86 mg/dL (0 minutos) y 117 mg/dL (120 min). Fue enviada a oftalmólogo, quien en fondo de ojo reportó neovascularización que cubría tres cuartos del campo y hemorragias en dos cuadrantes.

A los tres meses fue reevaluada, encontrándose asintomática y con disminución de la albuminuria a 234 mg/día. Doce meses después presentó mayor deterioro visual, edema de extremidades, aumento de creatinina a 2.2 mg/dL, glucosa 80 mg/dL, albúmina 2.3 g/dL, colesterol total 317 mg/dL, triglicéridos 381 mg/dL, albuminuria de 4.7 g/día. Se encontró el complemento normal con niveles de C3 128 mg/dL (referencia 90-180), C4 24 mg/dL (referencia 10-40). Los anticuerpos anti-SSA y anti-SSB se encontraron dentro de rangos de normalidad. Ultrasonido renal con morfología conservada.

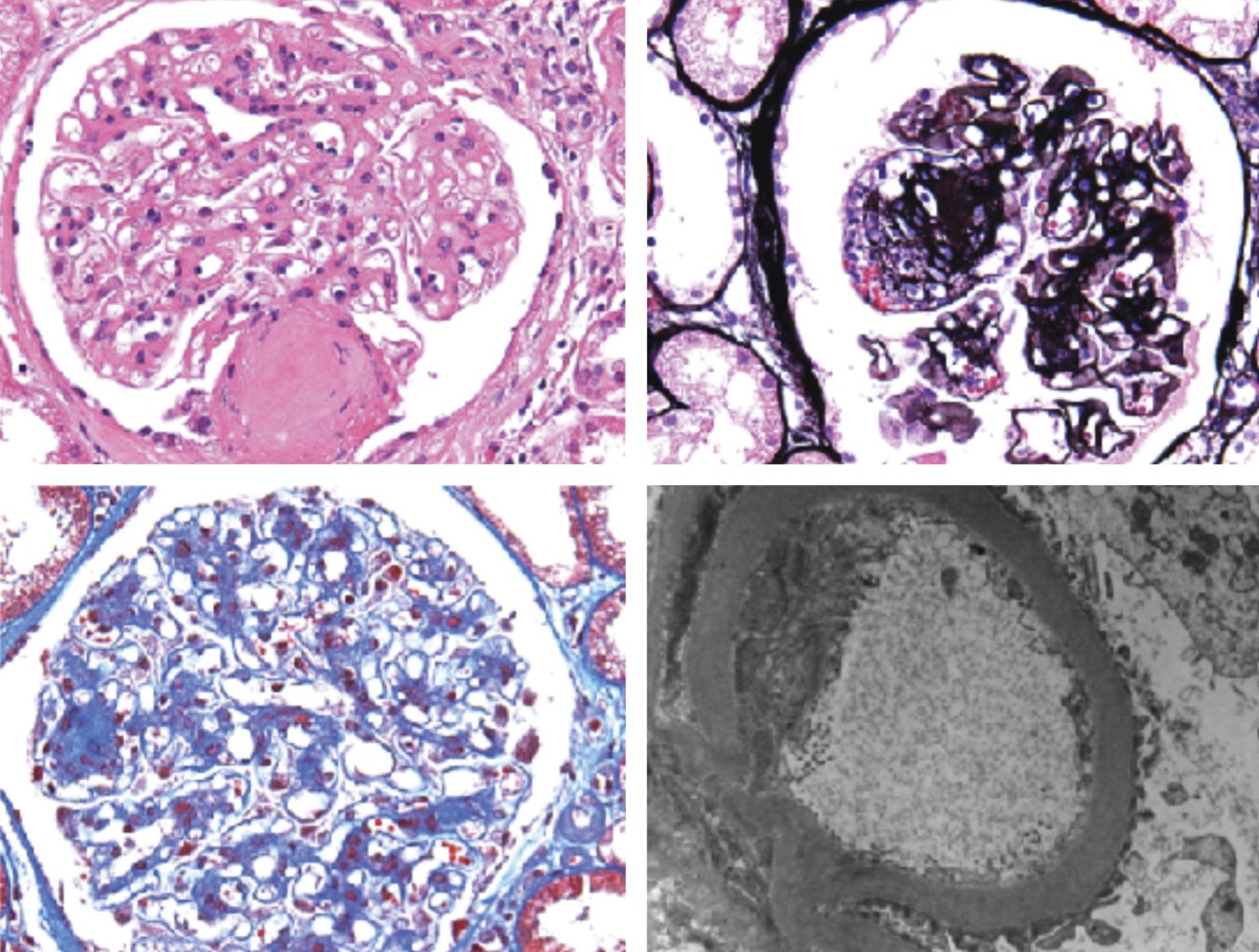
Se realizó biopsia renal, que reportó en la microscopia de luz glomérulos con ensanchamiento de la matriz mesangial, membranas basales glomerulares con engrosamiento heterogéneo con plegamiento y en algunos segmentos de asas capilares, células endoteliales espumosas. Presencia de nódulos acelulares periféricos, argirófilos, positivos para PAS y Masson, algunos con microaneurismas residuales. Con daño insudativo en la cápsula de Bowman (gota subcapsular) y capuchones fibrosos. En un glomérulo se identificó una lesión segmentaria de tipo punta. La tinción de rojo Congo resultó negativa en los nódulos periféricos, intersticio y vasos. La inmunofluorescencia fue positiva lineal por hiperfiltración para IgG, y negativa para todos los demás inmunorreactantes. El estudio de microscopia electrónica mostró borramiento podocitario difuso, concluyendo en glomerulopatía nodular idiopática (Figura 1).

La paciente fue reevaluada en búsqueda de alteraciones del metabolismo de la glucosa, encontrando glucosa en ayuno de 73 mg/dL, curva de tolerancia a la glucosa normal, HbA1c de 5.8% y fondo de ojo nuevamente negativo para retinopatía diabética. Se realizó Homeostasis Model Assessment of Insulin-Resistance (HOMA-IR) de 4.4.

Se inició tratamiento con estatina, atorvastatina y diurético de asa, con esta intervención se consiguió descenso de creatinina a 1.7 mg/dL, proteinuria a 2.1 gramos/día y desaparición del edema. Se realizaron medidas de intervención nutricional y se mantuvo a la paciente estable, con tasas de filtrado que rondaron los 34 a 40 mL/min/m2 durante los siguientes 24 meses de observación.



CASO CLÍNICO 2

Hombre de 29 años, con enfermedad renal crónica de tres años secundaria a nefritis tubulointersticial por antiinflamatorios no esteroideos e hipertensión arterial sistémica. Antecedente de tabaquismo con índice tabáquico de cinco paquetes/año. A los 31 años recibió un trasplante renal de donador fallecido con normoevolución, egresando con creatinina postrasplante de 1.2 mg/dL, con terapia de mantenimiento con micofenolato mofetil, ciclosporina y prednisona. Los niveles de ciclosporina se mantenían entre 130 a 160 ng/mL, con biopsias de injerto protocolarias normales al tercer mes y al año postrasplante.

Inició su padecimiento a los dos años postrasplante con albuminuria de 1.9 g/día, así como aumento progresivo de creatinina hasta 1.57 mg/dL. Se realizó abordaje de disfunción encontrando ausencia de anticuerpos donante específico, el ultrasonido de injerto fue normal. Se inició ARA-2 para manejo de la albuminuria, sin respuesta a las cuatro semanas de tratamiento.

Se realizó biopsia renal que reportó cambios regenerativos acentuados del epitelio tubular, fibrosis intersticial grado II (25-30%), atrofia tubular y C4d negativo. Arteriopatía hialina nodular y circunferencial avanzada y arteriopatía crónica, concluyendo en glomerulopatía nodular idiopática (Figura 2). Se continuaron medidas farmacológicas con ARA-2 y estatina. A las ocho semanas de control se observó mejoría en proteinuria a 450 mg/día y descenso de creatinina a 1.3 mg/dL. Se realizó curva de tolerancia a la glucosa normal, la HbA1c en 5.5% y la glucosa en ayuno en 83 mg/dL. A pesar de continuar con ciclosporina durante los siguientes 12 meses de observación sin desarrollo de diabetes mellitus ni alteraciones de la glucosa, el paciente falleció por COVID-19 con injerto funcional.



CASO CLÍNICO 3

Mujer de 65 años, con exposición a humo de leña por 13 años. A los 50 años es diagnosticada con enfermedad renal crónica secundaria a reflujo vesicoureteral y nefrocalcinosis, con hipertensión arterial sistémica tratada con tres antihipertensivos desde los 50 años. Ingresa a diálisis peritoneal a los 55 años y es incluida en lista de espera de donador fallecido tipo O. A los 63 años recibe trasplante renal dual de donador fallecido por hemorragia cerebral, hombre de 49 años, con hipertensión arterial sistémica y diabetes mellitus. Se consideró con riesgo inmunológico alto, riesgo para citomegalovirus intermedio, tuvo inducción con basiliximab y triple terapia de mantenimiento con tacrolimus, ácido micofenólico y prednisona. A los tres meses postrasplante presentó creatinina 0.89 mg/dL, nitrógeno ureico en sangre 16 mg/dL, glucosa 76 mg/dL, HbA1c 4.2%, tacrolimus 11.6 ng/mL y albuminuria 34 mg/día.

Se realizó biopsia renal a los 12 meses por disfunción, con elevación de creatinina a 1.3 mg/dL y proteinuria de 531 mg/día, glucosa en 81, HbA1c 5.1%, la cual reporta ensanchamiento mesangial (mm3), algunos nódulos en la periferia acelulares, concluyendo en nefropatía nodular con microcalcificaciones intratubulares, FIAT grado I. Aunque la paciente no padecía diabetes, su donador sí tuvo antecedente de diabetes mellitus, llama la atención que es hasta la biopsia de los 12 meses que se evidencia nefropatía nodular.

Se realizó curva de tolerancia oral a la glucosa con 82 mg/dL al minuto 0, 138 mg/dL a las dos horas, HbA1c 5.6%, glucosa 84 mg/dL, insulina < 2, HOMA 0.4. Se inició losartán como medida antiproteinúrica con lo que disminuyó a 268 mg/día, sin embargo, tuvo aumento de creatinina a 1.5 mg/dL. A los seis meses, presentó mayor elevación de creatinina a 2.3 mg/dL, por lo que se realizó biopsia por disfunción encontrando rechazo agudo humoral activo. Fue sometida a terapia de plasmaféresis, inmunoglobulina y rituximab. La paciente desarrolló aplasia medular secundaria a fármacos que posteriormente se complicó con infección por citomegalovirus y después por infección por virus SARS-CoV-2 falleciendo en 2023 a los 67 años. La paciente tuvo injerto funcional durante 36 meses, los últimos meses requirió hemodiálisis por falla de injerto (Tabla 1).



DISCUSIóN

La glomeruloesclerosis nodular idiopática comprende el 0.45% de las biopsias de riñón nativo.5 Esta entidad se asociaba en las primeras publicaciones a la exposición al humo del tabaco y a hipertensión arterial.6 En los últimos años algunos artículos han reportado el rol de la resistencia a la insulina en el desarrollo de esta afección. Filippone y colaboradores informaron el caso de una mujer normoglucémica con HOMA de 2.3 y presencia de nefropatía diabética en su biopsia renal.7

La asociación entre la resistencia a insulina y la enfermedad renal crónica es conocida y de importancia. Los podocitos expresan en su superficie receptores de insulina que requieren una señalización normal de insulina para mantener su viabilidad.8 Se ha observado que los podocitos responden a la insulina en niveles fisiológicos translocando los transportadores de glucosa GLUT1 y GLUT4 a la membrana celular, mejorando la captación de glucosa al doble.8,9

La nefrina es una molécula primordial en conjunto con la actina del citoesqueleto para dicha función. En pacientes con nefropatía diabética la expresión de nefrina se encuentra reducida. La activación del receptor de insulina se realiza a través de la fosforilación de la proteína cinasa B, una proteína involucrada en la sobrevida celular a través de la inhibición de procesos apoptóticos.8 En un estudio por Tejada y su equipo, desarrollaron en ratones un modelo de diabetes mellitus tipo 2, in vivo la fosforilación de la cinasa B era menor en los glomérulos de los ratones con resistencia a la insulina, además in vitro sus podocitos tenían proteína cinasa B disminuida y aumento en la apoptosis.9

El tabaquismo, otro de los factores de riesgo, se ha encontrado hasta en 91.3% de los casos, con índices tabáquicos por encima de 50 paquetes/año entre aquellos con esta glomerulopatía.5 En un metaanálisis, se encontró una prevalencia de uso de tabaco de 76% (IC95%: 57-92%, I2 = 62%).4

Nasr y colegas reportaron como posible mecanismo de daño la formación de productos avanzados de la glicosilación que inducen estrés oxidativo, angiogénesis y alteración hemodinámica intraglomerular.6

En 2014, se reportaron tres casos de pacientes usuarios de tabaco sin diabetes, encontrando hallazgos en la biopsia renal de glomeruloesclerosis nodular, lesión de células endoteliales, inmunofluorescencia lineal anti-GBM y formación de semilunas en algunos glomérulos.10 Estos hallazgos resaltaron la importante asociación del tabaquismo con el daño endotelial, la expansión mesangial glomerular y la formación de semilunas. Este estudio destacó la importancia de una búsqueda prudente de semilunas celulares cuando se observa IgG linear intensa a lo largo de la membrana basal glomerular.10

Entre las características clínicas de presentación, la edad media de presentación ronda entre los 68 años, con alta prevalencia de hipertensión (95%) con duración media de 15.1 años. La mayor parte de los pacientes presentan enfermedad renal crónica avanzada (creatinina media 2.4 mg/dL) y proteinuria en rangos nefróticos (69%).5 El tiempo medio desde la biopsia hasta la enfermedad renal terminal es de aproximadamente 26 meses, siendo la gravedad de la fibrosis intersticial/atrofia tubular y la arteriosclerosis de los principales factores de progresión.5

En trasplante renal es importante destacar que existen factores de riesgo asociados a la glomeruloesclerosis nodular asociada a diabetes de novo postrasplante, como lo es el uso de inmunosupresores (corticosteroides e inhibidores de calcineurina),11 que en el caso número 2 nunca se documentó su presencia y en el caso 3 se consideró que probablemente los cambios histológicos nodulares provenían del donante diabético en una paciente no diabética, además, es de señalar que a pesar de haber recibido un injerto con afección histológica por diabetes, éste presentó una adecuada función por 36 meses y la pérdida del injerto se debió a causas infecciosas sistémicas.

Una de las interposiciones de la nefropatía nodular y la toxicidad por inhibidores de calcineurina son los mecanismos fisiopatológicos que incluyen isquemia a nivel glomerular y un ambiente profibrótico; sin embargo, en nuestro caso reportado, los niveles de dicho medicamento siempre se encontraron dentro del rango de seguridad, aunque no se descarta del todo la contribución a dicho padecimiento.

Son pocos los casos reportados en la literatura sobre la asociación entre la glomeruloesclerosis nodular idiopática en trasplante renal, el primero publicado en 1997,12 con algunas similitudes con nuestro caso presentado; no obstante, son necesarios más estudios para categorizar el riesgo intrínseco del trasplante renal para presentar esta entidad, así como definir su curso y potenciales intervenciones terapéuticas.



CONCLUSIONES

La nefropatía del paciente diabético en no diabético o nefropatía nodular idiopática cobra cada vez más fuerza como una entidad histopatológica a considerar en pacientes con síndrome nefrótico sin una causa definida debido al alto índice de progresión a enfermedad renal crónica. En nuestros pacientes la función se mantuvo deteriorada pero estable y hubo buena respuesta al tratamiento farmacológico, sus antecedentes de riesgo coinciden con los reportados en la literatura, aunque es de vital importancia realizar una adecuada determinación de los marcadores de función metabólica como lo es el HOMA e incidir en el cese de la exposición al humo de tabaco una vez realizado el diagnóstico.



AGRADECIMIENTOS

A todos los residentes, nefropatólogos y nefrólogos que ayudaron al diagnóstico de estos casos.


REFERENCIAS (EN ESTE ARTÍCULO)

  1. MacCallum WG. Glomerular changes in nephritis. Bull Johns Hopkins Hosp. 1934; 55: 416-432.

  2. Kimmelstiel P, Wilson C. Intercapillary lesions in the glomeruli of the kidney. Am J Pathol. 1936; 12 (1): 83-98.

  3. Herzenberg AM, Holden JK, Singh S, Magil AB. Idiopathic nodular glomerulosclerosis. Am J Kidney. 1999; 34 (3): 560-564.

  4. López RK, Méndez AA, Gerrero MC, Stanescu R, Martínez MM, Pérez FE. Diabetic nephropathy without diabetes. J Clin Med. 2015; 4 (7): 1403-1427.

  5. Markowitz GS, Lin J, Valeri AM, Avila C, Nasr SH, D'Agati VD. Idiopathic nodular glomerulosclerosis is a distinct clinico pathologic entity linked to hypertension and smoking. Hum Pathol. 2002; 33 (8): 826-835.

  6. Nasr SH, D'Agati VD. Nodular glomerulosclerosis in the nondiabetic smoker. J Am Soc Nephrol. 2007; 18 (7): 2032-2036.

  7. Filippone EJ, Gupta A, Farber J. Normoglycemic diabetic nephropathy: the role of insulin resistance. Case Rep Nephrol Urol. 2014; 4 (2): 137-143.

  8. Coward RJ, Welsh GL, Yang J, Tasman C, Lennon R, Koziell A et al. The human glomerular podocyte is a novel target for insulin action. Diabetes. 2005; 54 (11): 3095-3102.

  9. Tejada T, Catanuto P, Ijaz A, Santos JV, Xia X, Sanchez P et al. Failure to phosphorylate AKT in podocytes from mice with early diabetic nephropathy promotes cell death. Kidney Int. 2008; 73 (12): 1385-1393.

  10. Batal I, Reyes DB, Popham S, Bijol V. Nodular glomerulosclerosis with anti-glomerular basement membrane-like glomerulonephritis; a distinct pattern of kidney injury observed in smokers. Clin Kidney J. 2014; 7 (4): 361-366.

  11. Shivaswamy V, Boerner B, Larsen J. Post-transplant diabetes mellitus: causes, treatment, and impact on outcomes. Endocr Rev. 2016; 37 (1): 37-61.

  12. Rivera M, Marcen R, Mampaso F, Arranz M, Ortuño J. Nodular glomerulosclerosis after renal trasplantation without diabetes mellitus. Nephrol Dial Transplant. 1997; 12 (1): 219-220.



AFILIACIONES

1 Servicio de Nefrología del Trasplante. Hospital Regional Valentín Gómez Farías, ISSSTE. Zapopan, Jalisco.

2 Servicio de Nefrología. Hospital Central Sur Petróleos Mexicanos. Ciudad de México, México.

3 Servicio de Patología. Instituto Nacional de Cardiología Ignacio Chávez. Ciudad de México, México.

4 Servicio de Nefrología del Trasplante. Centro Médico Nacional 20 de Noviembre. Ciudad de México, México.

5 Servicio de Patología. Centro Médico Nacional 20 de Noviembre. Ciudad de México, México.



CORRESPONDENCIA

Dr. Gandhi Thomas Fonseca. E-mail: thom_fons@hotmail.com




Recibido: 14-Dic-2023. Aceptado: 18-Feb-2025

Figura 1
Figura 2
Tabla 1

2020     |     www.medigraphic.com

Mi perfil

C?MO CITAR (Vancouver)

Rev Mex Traspl. 2025;14

ARTíCULOS SIMILARES

CARGANDO ...