medigraphic.com
ENGLISH

Latin American Journal of Oral and Maxillofacial Surgery

ISSN 2992-7757 (Digital)
Órgano de difusión de la Asociación Latinoamericana de Cirugía y Traumatología Bucomaxilofacial (ALACIBU)
  • Mostrar índice
  • Números disponibles
  • Información
    • Información general        
    • Directorio
  • Publicar
    • Instrucciones para autores        
  • medigraphic.com
    • Inicio
    • Índice de revistas            
    • Registro / Acceso
  • Mi perfil

2025, Número 2

<< Anterior Siguiente >>

Lat Am J Oral Maxillofac Surg 2025; 5 (2)


Rehabilitación con implantes cigomáticos de un defecto maxilar inducido por arma de fuego: reporte de caso

Esquivel-Martín, Sergio1,2; Hernández-Alfaro, Federico3; Martínez-Garza, Alejandro1; Gallardo-Caudillo, Josué4; Vivero-Alcívar, Freddy5
Texto completo Cómo citar este artículo 10.35366/121108

DOI

DOI: 10.35366/121108
URL: https://dx.doi.org/10.35366/121108
Artículos similares

Idioma: Español
Referencias bibliográficas: 13
Paginas: 48-53
Archivo PDF: 384.39 Kb.


PALABRAS CLAVE

implante cigomático, heridas por arma de fuego, maxilar, prótesis dental soportada por implantes.

RESUMEN

Introducción: las heridas faciales por arma de fuego suelen causar graves traumatismos maxilofaciales con pérdida de tejido. La rehabilitación de defectos maxilares postraumáticos o quirúrgicos es un desafío, requiriendo a menudo soluciones complejas como las prótesis soportadas por implantes cigomáticos. Descripción del caso: este reporte describe la rehabilitación exitosa de un paciente de 45 años con ausencia de los dientes 14 a 17 y un defecto maxilar por herida de arma de fuego, mediante una prótesis soportada por implante cigomático planificada virtualmente. El objetivo principal de cualquier procedimiento reconstructivo es restaurar a los pacientes a su forma y función premórbida e, idealmente, esto debería hacerse de la manera menos invasiva que le brinde al paciente un resultado exitoso. Introducidos por Branemark, los implantes cigomáticos se anclan en el hueso cigomático, eliminando a menudo la necesidad de aumento óseo. Los implantes cigomáticos ofrecen altas tasas de éxito, tiempo de tratamiento y morbilidad reducidos en comparación con el injerto óseo, y proporcionan un soporte estable para varias prótesis. Conclusión: los implantes cigomáticos ofrecen una opción de tratamiento viable para pacientes con pérdida ósea maxilar extensa secundaria a heridas por arma de fuego, mejorando la calidad de vida en pacientes con defectos maxilofaciales complejos.



INTRODUCCIóN

Las heridas faciales por arma de fuego típicamente causan heridas punzantes contusas y lesiones avulsivas de los segmentos maxilofaciales, lo que lleva al tipo más devastador de traumatismo facial.1 La reconstrucción de defectos maxilares posteriores a lesiones avulsivas y cirugía ablativa presenta una tarea desafiante debido a la complejidad inherente de esta región.1,2

La reconstrucción de los defectos maxilares depende del tejido afectado, el tamaño y la ubicación, pero también puede incluir la reparación compleja del tercio medio facial, la rehabilitación dental y el soporte orbitario.2 La transferencia de tejido libre blando u osteocutáneo se selecciona como la opción de reconstrucción óptima. La microcirugía requiere un cirujano con entrenamiento especializado, importantes recursos hospitalarios y, lo más importante, un paciente que se considere apropiado para procedimientos quirúrgicos complejos. Los pacientes con comorbilidades significativas o falta de sitios donantes apropiados pueden tener opciones reconstructivas limitadas.2

Los implantes cigomáticos fueron introducidos por primera vez por Branemark en 1988 como un tratamiento alternativo para pacientes con defectos extensos del maxilar causados por resecciones tumorales, traumatismos y defectos congénitos.3,4

El objetivo de este reporte de caso es presentar la rehabilitación exitosa con prótesis soportadas por implantes cigomáticos en un paciente con un defecto maxilar resultante de una herida previa por arma de fuego. Este caso se reporta bajo las directrices CARE.5



REPORTE DE CASO

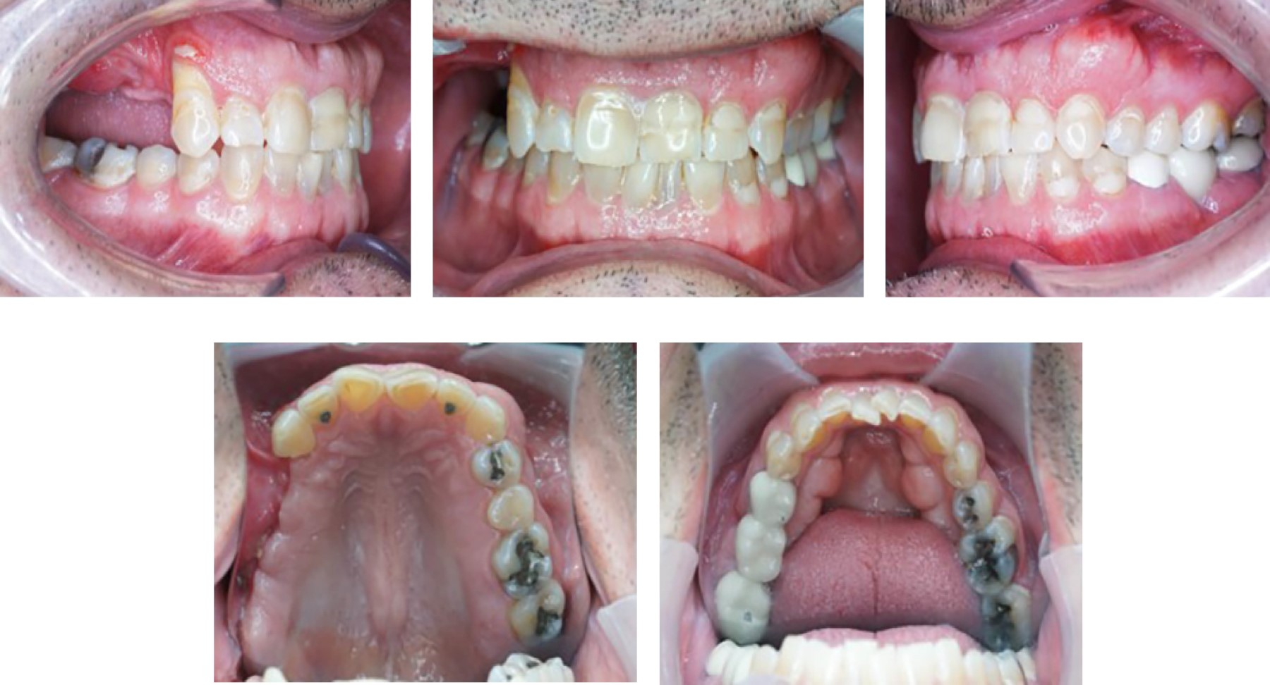
Presentamos el caso de un hombre de 45 años con un defecto en el maxilar posterior derecho resultante de un ataque con arma de fuego. El paciente fue tratado previamente por la reducción de fracturas faciales. Deseaba "reemplazar los dientes perdidos", por lo que fue remitido a nuestra consulta para la reconstrucción del segmento posterior del maxilar derecho. El examen clínico reveló simetría facial con una cicatriz de un abordaje submandibular previo utilizado para la reconstrucción de una fractura mandibular. El examen intraoral reveló la ausencia de los dientes 14 a 17, pérdida de encía queratinizada, espacio interoclusal adecuado, buena apertura bucal y ausencia de dolor en la articulación temporomandibular (Figura 1).

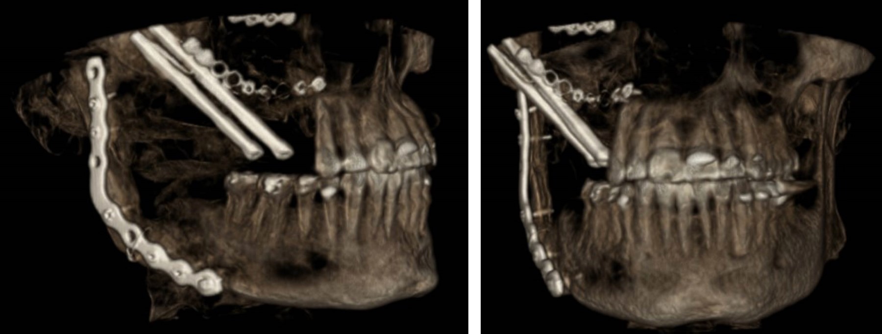
Se realizó una tomografía computarizada de haz cónico que reveló una destrucción severa de las zonas II y III de Bedrossian. Nuestro plan de tratamiento propuesto fue la colocación de implantes cigomáticos. La planificación de los implantes se realizó mediante planificación virtual con BlueSky Plan (Blue Sky Bio, Libertyville, EE. UU.) con el objetivo de reconstruir los dientes 14 a 16 (Figura 2).

Una guía quirúrgica aseguró una colocación adecuada del implante dentro del hueso cigomático debido al defecto específico del paciente que requería un abordaje extrasinusal (Figura 3).

La colocación del implante cigomático se realizó bajo anestesia general con infiltración de lidocaína al 2% con epinefrina 1:100,000 para una vasoconstricción adecuada. Se realizó una incisión crestal a lo largo del arco edéntulo con incisiones verticales liberadoras sobre las tuberosidades maxilares. Se elevó un colgajo mucoperióstico de espesor total para proporcionar una visualización directa de la trayectoria del implante desde la región premolar del hueso alveolar hasta el cuerpo del cigoma. Luego, la disección se continuó desde la pared lateral del maxilar hacia el hueso cigomático para permitir una mayor visibilidad de la región cigomática y el nervio infraorbitario (Figura 4A).

Se utilizó la guía quirúrgica para mejorar el resultado protésico (Figura 4B). Se realizaron osteotomías secuenciales siguiendo las recomendaciones del fabricante. Luego, el ancho se aumentó progresivamente utilizando dos fresas helicoidales (2.9 y 3.5 mm). Fue necesaria una irrigación abundante. La inserción del implante cigomático se puede realizar con la pieza de mano para cigoma a 20 a 50 Ncm o con la llave en "Z" hasta que alcance la profundidad adecuada. La posición del tornillo del pilar del implante marca con precisión la futura posición del tornillo del aditamento, que debe ser perpendicular al plano oclusal (Figura 4C).

Se colocaron tapas de cierre de implantes y el sitio quirúrgico se suturó con ácido poliglicólico 4/0 (Figura 4D). Una tomografía computarizada de haz cónico postoperatoria reveló una colocación exitosa dentro de la zona de anclaje y una buena distribución del implante cigomático (Figura 5).

Un mes después de la cirugía, comenzó la fase de rehabilitación con la colocación de restauraciones temporales multiunitarias y la toma de impresiones para las prótesis definitivas con una superestructura de metal-porcelana (Figura 6). El paciente expresó satisfacción con una sonrisa muy natural e informó un rendimiento masticatorio adecuado. Un año de seguimiento con exámenes clínicos y tomografías computarizadas de haz cónico confirmó buenos resultados estéticos y funcionales.



DISCUSIóN

El objetivo principal de cualquier procedimiento reconstructivo es restaurar a los pacientes a su forma y función premórbida e, idealmente, esto debería hacerse de la manera menos invasiva que le brinde al paciente un resultado exitoso.2 Frecuentemente, se selecciona la transferencia de tejido libre blando u osteocutáneo como la opción óptima. La microcirugía requiere un cirujano con entrenamiento especializado, importantes recursos hospitalarios y, lo más importante, un paciente que se considere apropiado para procedimientos quirúrgicos complejos. Los pacientes con comorbilidades significativas o falta de sitios donantes apropiados pueden tener opciones reconstructivas limitadas.2 La rehabilitación de maxilares extremadamente reabsorbidos plantea un desafío difícil con serias limitaciones para la colocación de implantes convencionales y complicaciones frecuentes, morbilidad y una alta tasa de reabsorción con el tiempo para la reconstrucción con injertos óseos extensos.6

Los implantes cigomáticos se anclan en el hueso basal cigomático,3,4 introducidos por primera vez por Branemark en 1988 como un tratamiento alternativo para pacientes con defectos extensos del maxilar causados por resecciones tumorales, traumatismos y defectos congénitos.3,7-10

Clásicamente, la colocación de implantes cigomáticos puede seguir un abordaje intrasinusal o extrasinusal.3,9 El abordaje intrasinusal, si bien ofrece potencial para una estabilidad superior del implante, a menudo compromete los resultados protésicos debido al perfil de emergencia palatino de los implantes.3,9 Por el contrario, el abordaje extrasinusal prioriza el posicionamiento protésico óptimo y reduce el riesgo de complicaciones relacionadas con los senos paranasales.3

Los implantes cigomáticos están indicados en pacientes que presentan atrofia maxilar severa, específicamente en las zonas II y III de Bedrossian, donde la colocación de implantes convencionales está contraindicada debido a un volumen óseo insuficiente.7 Esta condición a menudo resulta de etiologías traumáticas, oncológicas o congénitas. Si bien se puede considerar el aumento óseo, los implantes cigomáticos ofrecen una alternativa confiable para pacientes con comorbilidades, fallas de injertos o aquellos no elegibles para procedimientos debido a una vasculatura comprometida o incluso a la aversión cultural/religiosa al material óseo extraño.7,10-12

Las ventajas que ofrecen los implantes cigomáticos para pacientes con atrofia maxilar severa en comparación con las técnicas tradicionales de injerto óseo eliminan la necesidad de procedimientos quirúrgicos adicionales, lo que reduce el tiempo de tratamiento y la morbilidad del paciente.2 Estos implantes se caracterizan por altas tasas de éxito y proporcionan una base estable para diversas opciones protésicas, incluidas las prótesis fijas y removibles.3,8 Además, los implantes cigomáticos evitan la necesidad de aumento óseo, simplificando el protocolo quirúrgico y mejorando la predictibilidad.2 Si bien se requiere experiencia quirúrgica avanzada, la literatura respalda consistentemente la eficacia y confiabilidad de esta modalidad de tratamiento para lograr la rehabilitación maxilar de arcada completa2,7 o de defectos unilaterales edéntulos y volumen óseo inadecuado para la colocación de implantes convencionales.13

Las tasas de complicaciones después de la colocación de implantes cigomáticos varían en la literatura, pero los problemas comúnmente reportados incluyen sinusitis, inflamación orofacial y falla del implante.6,7,10 Las complicaciones tardías, como las fístulas oroantrales, se asocian frecuentemente con la posición del implante y el diseño de la prótesis, lo que enfatiza la importancia de una planificación y ejecución quirúrgica precisas.4,10



CONCLUSIóN

Este reporte de caso presenta una rehabilitación exitosa de un paciente con un defecto maxilar severo secundario a una herida por arma de fuego utilizando implantes cigomáticos. Los resultados funcionales y estéticos del paciente mejoraron significativamente después de la colocación del implante y la restauración protésica.

Los implantes cigomáticos ofrecen una opción de tratamiento viable para pacientes con pérdida ósea maxilar extensa al evitar la necesidad de injertos óseos y proporcionar una base estable para las prótesis. Estos implantes pueden mejorar significativamente la calidad de vida de las personas con defectos maxilofaciales complejos.


REFERENCIAS (EN ESTE ARTÍCULO)

  1. Maia ABP, Assis SG, Ribeiro FML, Pinto LW. The marks of gunshot wounds to the face. Braz J Otorhinolaryngol. 2021; 87 (2): 145-151.

  2. Weyh A, Quimby A, Salman S. Zygomatic implants in avulsive and ablative defects. Vol. 29. Atlas of the Oral and Maxillofacial Surgery Clinics of North America. W.B. Saunders; 2021. p. 271-276.

  3. Alterman M, Fleissig Y, Casap N. Zygomatic implants: placement considerations in implant-supported maxillary prosthesis. Vol. 29. Atlas of the Oral and Maxillofacial Surgery Clinics of North America. W.B. Saunders; 2021. p. 173-183.

  4. Aparicio C, Polido WD, Zarrinkelk HM. The zygoma anatomy-guided approach for placement of zygomatic implants. Vol. 29. Atlas of the Oral and Maxillofacial Surgery Clinics of North America. W.B. Saunders; 2021. p. 203-231.

  5. Riley DS, Barber MS, Kienle GS, Aronson JK, von Schoen-Angerer T, Tugwell P, et al. CARE guidelines for case reports: explanation and elaboration document. J Clin Epidemiol. 2017; 89: 218-235. Disponible en: https://pubmed.ncbi.nlm.nih.gov/28529185/

  6. Davó R, Fan S, Wang F, Wu Y. Long-term survival and complications of Quad Zygoma Protocol with Anatomy-Guided Approach in severely atrophic maxilla: A retrospective follow-up analysis of up to 17 years. Clin Implant Dent Relat Res. 2024; 26 (2): 343-355.

  7. Andre A, Dym H. Zygomatic implants: a review of a treatment alternative for the severely atrophic maxilla. Vol. 29. Atlas of the Oral and Maxillofacial Surgery Clinics of North America. W.B. Saunders; 2021. p. 163-172.

  8. Goiato MC, Pellizzer EP, Moreno A, Gennari-Filho H, Dos Santos DM, Santiago JF, et al. Implants in the zygomatic bone for maxillary prosthetic rehabilitation: a systematic review. Int J Oral Maxillofac Surg. 2014; 43 (6): 748-757.

  9. Agliardi EL, Romeo D, Panigatti S, de Araújo Nobre M, Maló P. Immediate full-arch rehabilitation of the severely atrophic maxilla supported by zygomatic implants: a prospective clinical study with minimum follow-up of 6 years. Int J Oral Maxillofac Surg. 2017; 46 (12): 1592-1599.

  10. Rosenstein J, Dym H. Zygomatic implants: a solution for the atrophic maxilla. Vol. 64. Dental Clinics of North America. W.B. Saunders; 2020. p. 401-409.

  11. Bedrossian E. Zygomatic implants operative consideration to minimize technical errors, complications, and their management. Vol. 29. Atlas of the Oral and Maxillofacial Surgery Clinics of North America. W.B. Saunders; 2021. p. 277-289.

  12. Bedrossian E. Rehabilitation of the edentulous maxilla with the zygoma concept: a 7-year prospective study. Int J Oral Maxillofac Implants. 2010; 25 (6): 1213-1221. Disponible en: https://pubmed-ncbi-nlm-nih-gov.pbidi.unam.mx:2443/21197500/

  13. Vega LG, Border M. Zygomatic implants in combination with dental implants. Vol. 29. Atlas of the Oral and Maxillofacial Surgery Clinics of North America. W.B. Saunders; 2021. p. 233-241.



AFILIACIONES

1 Cirujano oral y maxilofacial. San Pedro Garza, Nuevo León, México.

2 ORCID: 0000-0001-5603-0768

3 Cirujano oral y maxilofacial. Centro Médico Teknon, Barcelona, España. ORCID: 0000-0002-2754-1056

4 Cirujano oral y maxilofacial. Ciudad de México, México. ORCID: 0000-0002-9677-3109

5 Residente de cuarto año de Cirugía Oral y Maxilofacial, Especialidad de Cirugía Oral y Maxilofacial. Departamento de Estudios de Postgrado e Investigación, Universidad Nacional Autónoma de México. Ciudad de México, México. ORCID: 0000-0003-1573-1319



Conflicto de intereses: los autores declaran no presentar conflicto de intereses.

Financiamiento: autofinanciado por los autores.

Consentimiento informado: se obtuvo el consentimiento informado por escrito del paciente para la publicación y cualquier imagen adjunta. Una copia del consentimiento escrito está disponible para su revisión por el Editor en Jefe de esta revista a solicitud.



CORRESPONDENCIA

Sergio Esquivel-Martín. E-mail: sergioesquivelmartin@gmail.com




Recibido: 03/04/2025. Aceptado: 28/04/2025.

Figura 1
Figura 2
Figura 3
Figura 4
Figura 5
Figura 6

2020     |     www.medigraphic.com

Mi perfil

C?MO CITAR (Vancouver)

Lat Am J Oral Maxillofac Surg. 2025;5

ARTíCULOS SIMILARES

CARGANDO ...