medigraphic.com
ENGLISH

Latin American Journal of Oral and Maxillofacial Surgery

ISSN 2992-7757 (Digital)
Órgano de difusión de la Asociación Latinoamericana de Cirugía y Traumatología Bucomaxilofacial (ALACIBU)
  • Mostrar índice
  • Números disponibles
  • Información
    • Información general        
    • Directorio
  • Publicar
    • Instrucciones para autores        
  • medigraphic.com
    • Inicio
    • Índice de revistas            
    • Registro / Acceso
  • Mi perfil

2025, Número 2

<< Anterior

Lat Am J Oral Maxillofac Surg 2025; 5 (2)


Tratamiento de fibroma ameloblástico mediante mandibulectomía y reconstrucción con prótesis customizada

Morales, Karen1; Sotelo, Arturo2; Candelas, Sergio3
Texto completo Cómo citar este artículo 10.35366/121111

DOI

DOI: 10.35366/121111
URL: https://dx.doi.org/10.35366/121111
Artículos similares

Idioma: Español
Referencias bibliográficas: 16
Paginas: 65-70
Archivo PDF: 443.26 Kb.


PALABRAS CLAVE

fibroma ameloblástico, tumor odontogénico, mandíbula.

RESUMEN

El fibroma ameloblástico es un tumor odontogénico benigno, el cual se presenta en la primera y segunda década de la vida con mayor prevalencia en la región posterior de la mandíbula. Representa 2% de todos los tumores odontogénicos. El objetivo de este artículo es describir el manejo de una paciente con diagnóstico de fibroma ameloblástico afectando el cuerpo, rama y cóndilo mandibular del lado izquierdo, la cual acudió al servicio de cirugía maxilofacial de la Unidad Médica de Alta Especialidad (UMAE) No. 1, León, Guanajuato, México y fue tratada de manera interdisciplinaria con el servicio de oncología de cabeza y cuello por medio de hemimandibulectomía y reconstrucción mandibular con prótesis customizada con reemplazo de cóndilo y cavidad glenoidea.



ABREVIATURAS:

  • FA = fibroma ameloblástico
  • OMS = Organización Mundial de la Salud
  • UMAE = Unidad Médica de Alta Especialidad



INTRODUCCIóN

El fibroma ameloblástico (FA) es un tumor odontogénico benigno mixto que incluye un componente mesenquimatoso y otro epitelial, simulando estadios del desarrollo dental. Según la Clasificación de Tumores de Cabeza y Cuello de la Organización Mundial de la Salud (OMS) 2022, esta lesión constituye aproximadamente 2% de todos los tumores odontogénicos, diagnosticándose principalmente en las primeras dos décadas de vida, con mayor frecuencia en pacientes de 15 años.1-3

Ochenta por ciento de los casos se encuentra en pacientes menores de 22 años; sin embargo, algunos autores indican que 25% ocurre en mayores de esa edad, con una proporción de 1.4:1 hombres por cada mujer.1,4,5

Se presenta tres veces más comúnmente en la mandíbula que en el maxilar, predominando en la región posterior mandibular con 69%, seguida de 23% en la región posterior maxilar y 4% en las regiones anteriores de maxilar o mandíbula. Alrededor de 10% compromete todo el cuadrante.4,6,7

Clínicamente, se manifiesta como una lesión sólida de crecimiento lento, asintomática, de consistencia firme y superficie suave. Se observa expansión cortical en 80% y perforación cortical en 22.6%.8-10

Radiográficamente, las lesiones suelen ser radiolúcidas con bordes definidos, de hasta 50 mm de diámetro, unilocular en 60%, aunque las de mayor tamaño pueden ser multiloculares. Se asocian a dientes no erupcionados, generalmente el primer o segundo molar permanente, en 75 a 80% de los casos, con reabsorción radicular en 22%.7,11,12

Histológicamente, presentan un componente mesenquimatoso mixoide hipercelular desorganizado, similar a la papila dental, y un componente epitelial, parecido a la lámina dental, compuesto por cordones largos y estrechos y filamentos compuestos de células en empalizada con zonas de engrosamiento. También puede observarse tejido semejante al retículo estrellado presente en la etapa folicular del órgano del esmalte. Esta lesión se asocia a la mutación V600E en el gen BRAF en 46%, generalmente en el componente mesenquimatoso.1,13,14

El diagnóstico diferencial incluye ameloblastoma, mixoma odontogénico, queratoquiste, tumor de células centrales o histiocitoma.14,15

El tratamiento del FA suele ser la enucleación quirúrgica, con una recurrencia aproximada de 19%. No obstante, lesiones más extensas o recurrentes requieren tratamientos radicales debido al riesgo de transformación maligna, reportada hasta en 24 a 26%. En pacientes menores de 22 años, el riesgo es de 3.3%, incrementándose a 26.1% en mayores de esa edad.10,11

Las resecciones segmentarias reducen el riesgo de recurrencia en 70.5% comparadas con las marginales. La reconstrucción mandibular lateral se realiza idealmente con injertos óseos vascularizados o no vascularizados, permitiendo restauración dental. Lesiones que afectan la articulación temporomandibular requieren reconstrucción más compleja mediante injertos de cresta iliaca, costocondrales, microvascularizados, placas metálicas o prótesis aloplásticas.16



PRESENTACIóN DEL CASO

Paciente femenino de 17 años, acudió al Servicio de Cirugía Maxilofacial de la UMAE No. 1, IMSS, León, Guanajuato, en octubre de 2023 por una tumoración mandibular izquierda de ocho años de evolución. Previamente diagnosticada como fibroma ameloblástico, había sido tratada mediante enucleación y marsupialización en múltiples ocasiones.

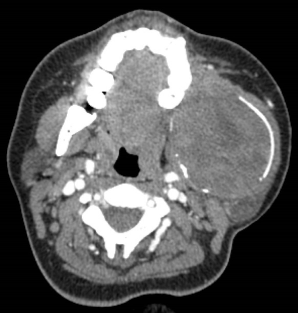
Durante la exploración clínica, se evidenció una tumoración en la hemicara izquierda de 15 × 20 cm, de consistencia firme y no dolorosa a la palpación (Figura 1). Intraoralmente, se observó un aumento de volumen en la mucosa del carrillo y reborde alveolar inferior izquierdo, con pérdida del segundo premolar y los dos primeros molares, además de desplazamiento medial de la arcada superior debido a la compresión de la tumoración mandibular.

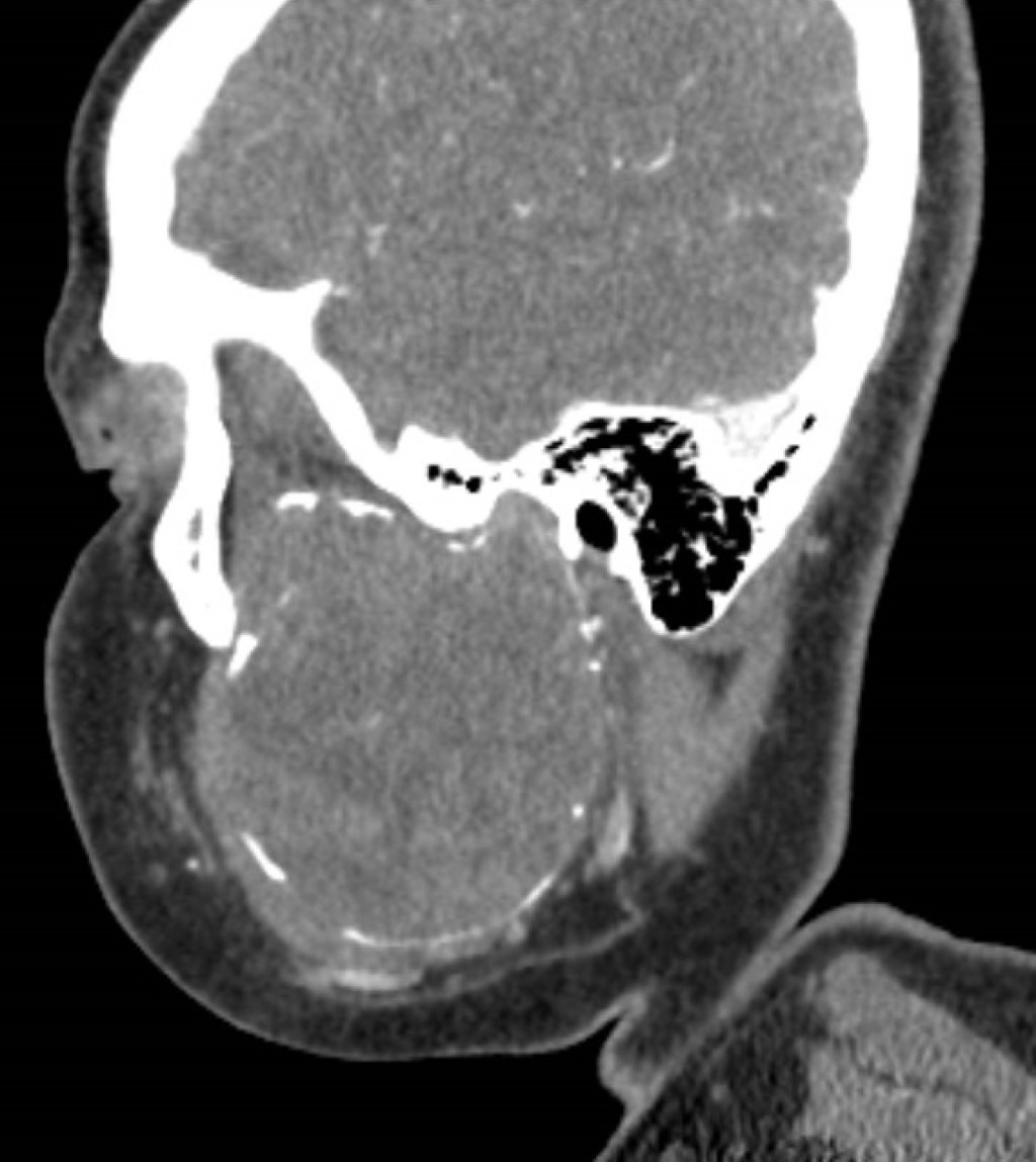
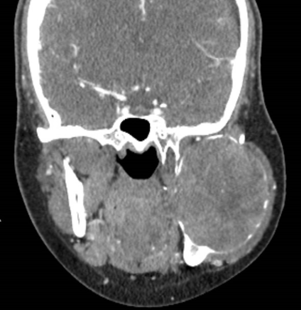
La tomografía contrastada mostró una lesión osteolítica bien delimitada con bordes escleróticos, afectando cóndilo, rama y cuerpo mandibular izquierdo posterior al primer premolar; la lesión medía 56 × 70 × 66 mm, con erosión del maxilar izquierdo y desplazamiento de arteria carótida externa y vena yugular interna (Figuras 2, 3, 4, 5 y 6).

La planificación virtual permitió diseñar guías de corte para realizar la excisión de la lesión mediante mandibulectomía segmentaria dejando un margen de 1.5 cm (Figuras 7 y 8). Simultáneamente, se realizó la reconstrucción con prótesis personalizada, incluyendo la rama mandibular, cóndilo y cavidad glenoidea. La fijación se logró con tornillos del sistema 2.4 y 2.0.

Durante el procedimiento quirúrgico, posterior a la fijación de la parte anterior de la prótesis con el cuerpo mandibular remanente, se observó una discrepancia en el ajuste del cóndilo de la placa mandibular con la cavidad glenoidea, quedando éste en una posición posterior al centro de la cavidad metálica.

Se envió la muestra al servicio de patología donde se reportó una lesión sólida, multilobulada, café amarillento con áreas quísticas de consistencia blanda de 11.5 × 8 × 5 cm (Figura 9), microscópicamente se observa una lesión con áreas mesenquimales hipercelulares con fondo mixoide alternando con hileras de células epiteliales en doble capa con polaridad inversa con un centro con tejido similar al retículo estrellado compatible con un diagnóstico de fibroma ameloblástico.

Después del procedimiento quirúrgico, se solicitó un estudio tomográfico control, observando el retiro completo de la lesión; sin embargo, el cóndilo de la prótesis mandibular se encontraba posterior a la cavidad glenoidea como se presentó durante el procedimiento quirúrgico (Figuras 10 y 11). A pesar de una discrepancia en la posición del cóndilo, la paciente presentó adecuada evolución funcional, sin recurrencia a ocho meses del procedimiento presentando movimientos de apertura y cierre mandibular adecuados y oclusión estable.



DISCUSIóN

El fibroma ameloblástico presenta múltiples retos debido a su naturaleza infrecuente y características específicas, como su asociación frecuente con dientes no erupcionados o desplazados, aunque en este caso particular se observó pérdida dental sin órganos retenidos.

Histológicamente presenta un componente epitelial similar a la lámina dental durante el periodo embrionario y un componente mesenquimatoso parecido a la papila dental, no se encuentran rastros de esmalte o dentina en la lesión.1,9

La elección de tratamiento depende en gran medida de la extensión y recurrencia de la lesión. Si bien en casos iniciales puede optarse por un manejo conservador, como la enucleación y curetaje, las lesiones más avanzadas o recurrentes, como la aquí descrita, demandan abordajes radicales que incluyan resección segmentaria y reconstrucción inmediata.1,4,6

La reconstrucción mandibular mediante prótesis personalizada constituye una opción terapéutica moderna y efectiva, especialmente en casos complejos que involucran la articulación temporomandibular. La planeación virtual ha demostrado ser una herramienta clave para el diseño preciso de prótesis, mejorando los resultados quirúrgicos y funcionales. No obstante, persisten desafíos relacionados con la biomecánica y la adaptación de la prótesis, como se evidenció en la discrepancia del ajuste entre el cóndilo y la cavidad glenoidea en este caso.10,11,16

Las dificultades con el ajuste de las prótesis presentadas durante el procedimiento quirúrgico se deben posiblemente a la diferencia de densidades entre la parte anterior de la prótesis y el cuerpo mandibular; sin embargo, no hubo necesidad de realizar fijación intermaxilar y la paciente ha presentado adecuada oclusión y movimientos de apertura y cierre mandibular conservados en los siguientes ocho meses. Este tipo de complicaciones resalta la necesidad de un seguimiento cercano y multidisciplinario para garantizar una recuperación funcional y estética óptima.16

Además, el riesgo de transformación maligna subraya la importancia de un diagnóstico temprano y un manejo adecuado. Aunque el fibroma ameloblástico tiene una baja tasa de transformación, ésta aumenta significativamente en pacientes mayores de 22 años o en lesiones de gran tamaño y recurrencia. Por ello, el seguimiento a largo plazo es esencial para detectar recidivas o transformaciones malignas de manera oportuna.1,7



CONCLUSIóN

El fibroma ameloblástico es una patología benigna rara de crecimiento lento que afecta mayormente a pacientes jóvenes. Su tratamiento varía según el tamaño y extensión, desde abordajes conservadores hasta resecciones radicales con reconstrucción compleja. Si bien inicialmente se piensa en un manejo conservador como la enucleación y el curetaje, su alta tasa de recidiva, la cual es de hasta 19%, hace que sea necesario el uso de abordajes más radicales.

Asimismo, es crucial un seguimiento a largo plazo debido a su potencial malignización, reportada hasta en 24%. Este caso ejemplifica la complejidad y los desafíos del manejo de un paciente con diagnóstico de fibroma ameloblástico con recidiva en múltiples ocasiones, donde se tuvo que llevar a cabo un manejo radical, destacando la relevancia de un enfoque interdisciplinario, planeación quirúrgica precisa y seguimiento prolongado para lograr resultados satisfactorios tanto funcionales como estéticos.


REFERENCIAS (EN ESTE ARTÍCULO)

  1. Consejo Editorial de la Clasificación de Tumores de la OMS. Tumores de cabeza y cuello. Lyon (Francia): Agencia Internacional para la Investigación del Cáncer; 2022. (Serie de clasificación de tumores de la OMS, 5ª ed.; vol. 9).

  2. Neville BW, Damm DD, Allen CM, et al. Oral and maxilofacial pathology. 5th ed. Missouri: Elsevier; 2024, pp. 652-653.

  3. Chrcanovic BR, Brennan PA, Rahimi S, Gomez RS. Ameloblastic fibroma and ameloblastic fibrosarcoma: a systematic review. J Oral Pathol Med. 2018; 47 (4): 315-325. doi: 10.1111/jop.12622.

  4. Nasir A, Khare A, Ali I, Khan MI. Ameloblastic fibroma: a case report. J Oral Maxillofac Pathol. 2023; 27 (Suppl 1): S60-S63. doi: 10.4103/jomfp.jomfp_337_22.

  5. De Campos WG, Esteves CV, Paiva GA, Zambon CE, Rocha AC, Lemos CA. Successful management of a gigantic ameloblastic fibroma: a 12-year follow-up. Ann Maxillofac Surg. 2019; 9 (1): 197-200. doi: 10.4103/ams.ams_268_18.

  6. Vasconcelos BC, Andrade ES, Rocha NS, Morais HH, Carvalho RW. Treatment of large ameloblastic fibroma: a case report. J Oral Sci. 2009; 51 (2): 293-296. doi: 10.2334/josnusd.51.293.

  7. Carroll C, Gill M, Bowden E, O'Connell JE, Shukla R, Sweet C. Ameloblastic fibroma of the mandible reconstructed with autogenous parietal bone: report of a case and literature review. Case Rep Dent. 2019; 2019: 5149219. doi: 10.1155/2019/5149219.

  8. Tozoglu S, Hatipoglu M, Aytekin Z, Gurer EI. Extensive ameloblastic fibroma of the mandibula in a female adult patient: a case report with a follow-up of 3 years. Eur J Dent. 2016; 10 (1): 139-143. doi: 10.4103/1305-7456.175700.

  9. Sanadi A, Shah SJ, Golgire S, Shetti S. Highly proliferative ameloblastic fibroma: a rare entity. Contemp Clin Dent. 2018; 9 (4): 656-658. doi: 10.4103/ccd.ccd_637_18.

  10. Haroun F, Benmoussa N, Bidault F, et al. Outcomes of mandibular reconstruction using three-dimensional custom-made porous titanium prostheses. J Stomatol Oral Maxillofac Surg. 2023; 124 (1S): 101281. doi: 10.1016/j.jormas.2022.09.002.

  11. Lu T, Shao Z, Liu B, Wu T. Recent advance in patient-specific 3D printing templates in mandibular reconstruction. J Mech Behav Biomed Mater. 2020; 106: 103725. doi: 10.1016/j.jmbbm.2020.103725.

  12. Pyne JM, Davis CM, Kelm R, Bussolaro C, Dobrovolsky W, Seikaly H. Advanced mandibular reconstruction with fibular free flap and alloplastic TMJ prosthesis with digital planning. J Otolaryngol Head Neck Surg. 2023; 52 (1): 44. doi: 10.1186/s40463-023-00639-4.

  13. Shnayder Y, Lin D, Desai SC, Nussenbaum B, Sand JP, Wax MK. Reconstruction of the lateral mandibular defect: a review and treatment algorithm. JAMA Facial Plast Surg. 2015; 17 (5): 367-373. doi: 10.1001/jamafacial.2015.0825.

  14. Kumar RM, Bavle R, Srinath N, Umashankar DN. Ameloblastic fibroma in a young adult. J Oral Maxillofac Pathol. 2019; 23 (Suppl 1): 63-65. doi: 10.4103/jomfp.JOMFP_37_16.

  15. Cieliszka C, Galmiche-Rolland L, Khonsari RH. Early presentation in ameloblastic fibroma. J Stomatol Oral Maxillofac Surg. 2020; 121 (1): 95-97. doi: 10.1016/j.jormas.2019.04.015.

  16. Sarlabous M, Psutka DJ. Treatment of mandibular ameloblastoma involving the mandibular condyle: resection and concomitant reconstruction with a custom hybrid total joint prosthesis and iliac bone graft. J Craniofac Surg. 2018; 29 (3): e307-e314. doi: 10.1097/SCS.0000000000004362.



AFILIACIONES

1Residente de Cirugía Maxilofacial, Hospital Regional General Ignacio Zaragoza, Instituto de Seguridad y Servicios Sociales de los Trabajadores del Estado (ISSSTE), Ciudad de México. ORCID: 0009-0009-0556-903X

2Adscrito al Servicio de Cirugía Oncológica. Unidad Médica de Alta Especialidad (UMAE) No. 1, Instituto Mexicano del Seguro Social (IMSS), León Guanajuato. ORCID: 0009-0006-3440-2958

3Adscrito al Servicio de Cirugía Maxilofacial. UMAE No. 1, IMSS, León Guanajuato. ORCID: 0009-0007-8473-4384



Conflicto de intereses: ninguno.



CORRESPONDENCIA

C.D. Karen Lilian Morales Martínez. E-mail: cd.karenmorales@outlook.com




Recibido: 16/07/2025. Aceptado: 15/08/2025

Figura 1
Figura 2
Figura 3
Figura 4
Figura 5
Figura 6
Figura 7
Figura 8
Figura 9
Figura 10
Figura 11

2020     |     www.medigraphic.com

Mi perfil

C?MO CITAR (Vancouver)

Lat Am J Oral Maxillofac Surg. 2025;5

ARTíCULOS SIMILARES

CARGANDO ...