medigraphic.com
ENGLISH

Medicina Crítica

  • Mostrar índice
  • Números disponibles
  • Información
    • Información general        
    • Directorio
  • Publicar
    • Instrucciones para autores        
  • Políticas
  • Lineamientos
  • medigraphic.com
    • Inicio
    • Índice de revistas            
    • Registro / Acceso
  • Mi perfil

2025, Número 1

<< Anterior Siguiente >>

Med Crit 2025; 39 (1)


Presentación atípica de las complicaciones de la hemorragia subaracnoidea en la Unidad de Cuidados Intensivos. Resangrado por rotura aneurismática

Velázquez Crespo, Abraham1; Morales Ramírez, Jonathan David1; González Martínez, Karen Itzel1; Alonso Martínez, Daniel1; Peña Pérez, Carlos Alberto1
Texto completo Cómo citar este artículo 10.35366/121123

DOI

DOI: 10.35366/121123
URL: https://dx.doi.org/10.35366/121123
Artículos similares

Idioma: Español
Referencias bibliográficas: 28
Paginas: 67-73
Archivo PDF: 297.12 Kb.


PALABRAS CLAVE

hemorragia subaracnoidea, complicaciones de la hemorragia subaracnoidea, vasoespasmo, resangrado, neuromonitoreo, ultrasonido Doppler transcraneal.

RESUMEN

La hemorragia subaracnoidea (HSA) es una emergencia neurovascular; alcanza su punto máximo entre los 50 y 60 años de edad y es más común en mujeres que en hombres. La ruptura espontánea de un aneurisma intracraneal es la causa más común de HSA y este mecanismo activa una serie de procesos fisiopatológicos que culminan en afección sistémica y falla orgánica. Después del ictus y el desarrollo de las complicaciones se presentan necesidades multidisciplinarias de atención a la salud en este grupo de pacientes, lo cual impacta de forma directa en la funcionalidad. Es por eso que consideramos importante el neuromonitoreo, la detección oportuna de las complicaciones y el seguimiento de los pacientes con esta patología dentro de la unidad de cuidados intensivos. Presentamos el caso de una mujer con múltiples factores de riesgo para desarrollar enfermedades cerebrovasculares, en este caso la paciente fue diagnosticada con hemorragia subaracnoidea que requirió tratamiento dentro de la unidad de cuidados intensivos y en la cual el neuromonitoreo fue dirigido a través de ultrasonido con Doppler transcraneal; desarrolló complicaciones tempranas a las 48 horas de iniciado el cuadro clínico con presencia de vasoespasmo leve a pesar del tratamiento con nimodipino, además de la presencia de resangrado documentado con angiorresonancia; ameritó tratamiento quirúrgico con aparente mejoría y nuevamente presentó un episodio más de vasoespasmo que requirió tratamiento con intervencionismo.



ABREVIATURAS:

  • ATC [CTA] = angiografía por tomografía computarizada [Computed Tomography Angiography]
  • HSA = hemorragia subaracnoidea
  • ICH = hemorragia intracerebral (IntraCerebral Hemorrhage)
  • TC = tomografía computarizada



INTRODUCCIóN

Dentro del grupo de los accidentes cerebrovasculares que ocurren anualmente, la hemorragia subaracnoidea de origen aneurismático representa 5% en el mundo, por lo cual continúa siendo una emergencia neurovascular. En países desarrollados, presenta una incidencia anual de 8 por cada 100,000 habitantes, en un rango de edad máximo de 50-60 años, siendo predominante en el sexo femenino. Después del ictus y el desarrollo de las complicaciones que se desarrollan, estos pacientes presentan requerimientos de atención a la salud multidisciplinarios que gestione el adecuado manejo de este grupo de pacientes.1,2

En la última década el pronóstico en cuanto a supervivencia de estos pacientes ha mejorado debido a la implementación de técnicas de diagnóstico que se desarrollan a la par de la tecnología aplicada al diagnóstico médico; entre éstas se encuentran estudios de neuroimagen y el Doppler transcraneal (DTC) que otorgan la capacidad de realizar el monitoreo de estos enfermos de forma continua y que se encuentran con mayor disponibilidad en áreas de atención crítica. Las técnicas y modalidades de tratamiento del aneurisma de forma organizada de acuerdo con flujogramas de trabajo optimizados permiten prevenir el desarrollo de complicaciones graves en este grupo de pacientes.3-5

En la actualidad, el empleo del Doppler transcraneal en la unidad de cuidados intensivos forma parte habitual de la evaluación y el manejo de las complicaciones en los pacientes críticos, ya que es una técnica que tiene la ventaja de realizarse a la cabecera del paciente, no invasiva para el monitoreo y visualización de las principales estructuras del cerebro y el análisis de la hemodinámica cerebral a través de parámetros de velocidad de flujo sanguíneo de los vasos intracerebrales. De la adecuada insonación de los vasos intracraneales, podemos obtener una onda de pulso donde determinar velocidades de flujo: velocidad sistólica (Vs), velocidad diastólica (Vd) y velocidad media (Vm) y calcular los índices de pulsatilidad (IP), resistencia (IR) y Lindegaard. De estos parámetros, el IP de Gosling ha sido posiblemente el parámetro cerebral más utilizado y se obtiene de la fórmula (Vs − Vd) / Vm.6

Ciertas comorbilidades y características clínicas predisponen a los pacientes a generar rupturas aneurismáticas −cuya incidencia anual es de 1% en los pacientes diagnosticados con defectos aneurismáticos−: el descontrol hipertensivo, el tabaquismo, el consumo de drogas como la cocaína y el consumo de alcohol. El riesgo incrementa aún más cuando a esto se le suman factores que caracterizan a los defectos aneurismáticos como lo son el tamaño (> 7 mm), la irregularidad de la formación y la ubicación, siendo los aneurismas anteriores los de mayor riesgo de ruptura.7-9

Es por eso que consideramos importante el neuromonitoreo, la detección oportuna de las complicaciones y el seguimiento de los pacientes con esta patología dentro de la unidad de cuidados intensivos.



PRESENTACIóN DEL CASO

Se presenta el caso de una mujer de 58 años la cual es atendida por cefalea holocraneal, referida en la escala visual analógica para el dolor en 10/10, la cual exacerbaba ante los cambios de posición y se acompañaba de náuseas y vomito. La paciente contaba con antecedentes de hipertensión arterial sistémica, tabaquismo positivo (índice tabáquico de riesgo moderado) y obesidad.

En su atención inicial, mediante angiotomografía se documentó la presencia de hemorragia subaracnoidea aneurismática en la arteria comunicante anterior derecha, clasificada como Fisher III y Hunt y Hess III; se hospitalizó en la unidad de cuidados intensivos y se iniciaron medidas de neuroprotección además de profilaxis farmacológica con nimodipino, con la finalidad de prevenir el desarrollo de vasoespasmo.

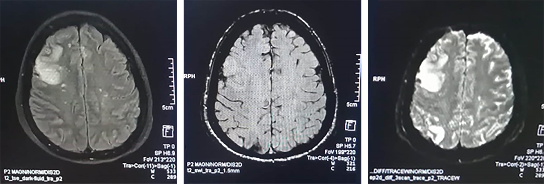
Durante las primeras 48 horas de estancia la paciente presenta deterioro neurológico con descenso de dos puntos en la escala de Glasgow. Además, en la vigilancia y neuromonitoreo con ultrasonido Doppler transcraneal se evidenció, a nivel de la arteria cerebral media de lado derecho: velocidad sistólica 169 cm/s, diastólica 78 cm/s con índice de pulsatilidad (IP) de 0.7 cm/seg, diámetro de la vaina del nervio óptico de lado derecho 0.6 mm; y en arteria cerebral media de lado izquierdo: velocidad sistólica de 212 cm/s, diastólica 96 cm/s con IP 0.7 mm y vaina del nervio óptico de lado izquierdo 0.36 mm. Se integra el diagnóstico probable de vasoespasmo leve con velocidad media de la arteria cerebral de lado izquierdo de 131 cm/seg. Se ajusta tratamiento con nimodipino (Figura 1).

Además, como parte del protocolo diagnóstico, se realizó angiorresonancia cerebral, en la cual se evidenció la presencia de un hematoma fronto-basal derecho de 52.4 × 23.8 × 29.9 mm y un volumen estimado de 20 mililitros en fase aguda temprana con edema perilesional, sangrado subaracnoideo, espasmo de la arteria cerebral media de lado izquierdo y un aneurisma en la arteria comunicante anterior (Figura 2).

Con base en lo anterior, el servicio de neurocirugía decidió realizar craniectomía fronto-parieto-temporal derecha y clipaje del aneurisma. En el procedimiento quirúrgico se evidenció la presencia de un aneurisma lobulado de la arteria comunicante anterior de 6 × 6 mm asociado a la arteria recurrente de Heubner de lado derecho.

Posterior al procedimiento quirúrgico se continuó con el tratamiento y neuromonitoreo a través de ultrasonido Doppler transcraneal, el cual evidencia descenso de las velocidades de flujo en ambas arterias cerebrales medias. Al cuarto día desde su ingreso, se inicia prueba de despertar espontáneo, lográndose el retiro de la ventilación mecánica. Sin embargo, al quinto día de estancia, la paciente presentó nueva sintomatología neurológica caracterizada por ataxia en la extremidad torácica derecha a nivel de la mano y hemiparesia facial izquierda; el Doppler transcraneal muestra, a nivel de la arteria cerebral media de lado derecho, incremento de velocidad media hasta 125 cm/s, cambios sugestivos de nuevo episodio de vasoespasmo en la circulación de lado derecho.

Se decidió intervención neurológica urgente con angioplastia química e infusiones continuas de nimodipino en arterias carótidas izquierda y derecha, con lo que se logra remisión del cuadro clínico de vasoespasmo; se continúa con el seguimiento y tratamiento hospitalario. Después de 15 días de estancia en la unidad de cuidados intensivos, se decidió su egreso por mejoría en la funcionalidad valorada en 2 puntos con la escala de RANKIN, y con secuelas motoras caracterizadas por hemiparesia de extremidades izquierdas y disartria.



DISCUSIóN

La hemorragia subaracnoidea es considerada una urgencia neurológica, debido a que las complicaciones que pueden presentarse ponen en peligro la vida y requieren un tratamiento multidisciplinario además de estrategias preventivas.

El curso clínico de la hemorragia subaracnoidea se puede dividir en tres grupos clínicos: recuperación, complicaciones y muerte. De acuerdo con el momento en que se desarrollan las complicaciones en comparación con la ruptura inicial de aneurisma, estas se pueden clasificar por tiempo de la siguiente manera: agudas entre los días 0-3, subagudas entre los días 3-30, y tardías después del día 30.10 En el caso presentado se observaron complicaciones poco frecuentes durante las primeras 24 horas, al documentarse con mayor frecuencia el vasoespasmo en pacientes con hemorragia subaracnoidea (HSA) al quinto día de iniciado del cuadro clínico.9,10

Dentro del grupo de las complicaciones agudas, el resangrado es la complicación más grave, tiene frecuencia estimada de 10-20% durante las primeras seis horas hasta los primeros tres días después del sangrado inicial. En el caso de nuestra paciente, el desarrollo de un episodio de resangrado se documentó durante las primeras 48 horas de inicio. Esta complicación, en relación con la mortalidad estimada a través de la escala de Fisher, aporta en grado alto un peor pronóstico de mortalidad. Por lo tanto, la oclusión de un aneurisma intracraneal roto es el tratamiento inicial de urgencia, el cual se debe de realizar dentro de las primeras 12 a 24 horas con la finalidad de reducir el mayor riesgo de resangrado.11

El resangrado es una de las complicaciones que se encuentra relacionada directamente con la supervivencia de los pacientes con HSA. De forma independiente, las tasas de mortalidad acumulada después de la HSA son de 25 a 30% en el primer día, pero la cifra se incrementa en relación con la progresión del tiempo en los pacientes en los que no se diagnostica y se trata de forma oportuna. En la presentación clínica que se complica con cualquiera de las formas comentadas, este porcentaje presenta incremento significativo, influyendo en la mortalidad de los pacientes de forma directa.12

En el caso presentado, se optó por implementar una estrategia terapéutica conservadora al establecerse el tratamiento con medidas de neuroprotección e iniciarse el tratamiento farmacológico con nimodipino; sin embargo, a pesar de esto, la paciente desarrolló vasoespasmo en dos ocasiones, lo que condicionó mayor riesgo de generar secuelas funcionales. Presentaciones atípicas respecto a las complicaciones en HSA, deben de ser revaloradas continuamente con la finalidad de establecer el mejor momento para realizar intervenciones encaminadas a evitar el desarrollo de estas mismas.13

El vasoespasmo representa la complicación más frecuente que se desarrolla después de la hemorragia subaracnoidea. El riesgo de vasoespasmo predomina en periodos subagudos desde el desarrollo de la hemorragia subaracnoidea, clásicamente entre los días tres al 21;14 sin embargo, se han descrito diferentes casos de presentación fuera de este periodo de tiempo, como lo es el caso presentado en el que el desarrollo de vasoespasmo fue documentado a las 48 hora. Al igual que otras complicaciones el desarrollo del vasoespasmo se encuentra relacionado con el grado de sangrado presente desde el inicio.15 Una de las características clínicas iniciales ante la presencia del vasoespasmo es el déficit neurológico focal, predominantemente la agitación y la desorientación que dura más de una hora y ninguna otra causa. Se informa que ocurre en aproximadamente 30% de los pacientes con HSA y es una causa importante de mortalidad y discapacidad.14

En las últimas décadas, la accesibilidad a las tecnologías de neuromonitoreo permiten el seguimiento de estos pacientes durante su estancia en las unidades de cuidados intensivos, lo que facilita el abordaje diagnóstico y la atención medica de este grupo de pacientes.13

Este caso clínico es representativo de los principales escenarios en los cuales se plantea el uso del ultrasonido Doppler transcraneal como primera línea diagnóstica para documentar complicaciones de la HSA, con el cual se puede obtener información específica del aumento de las velocidades arteriales sistólicas y medias circulatorias en la arteria espástica. El aumento de las velocidades de circulación de la arteria cerebral media es proporcional a la gravedad del vasoespasmo. Una velocidad media de entre 80 y 120 cm/s puede representar un vasoespasmo leve y con velocidades medias de hasta 130 cm/s, la arteriografía generalmente muestra un vasoespasmo moderado. Utilizando un corte de 130 cm/s, la especificidad de la ecografía Doppler transcraneal para detectar espasmos es de 96%, con un valor predictivo positivo de 87%. Una velocidad media de más de 200 cm/s sugiere un vasoespasmo grave que puede causar isquemia cerebral.6,7 Esto podría ser un diagnóstico diferencial a considerar en este tipo de patrones ultrasonográficos como lo es el caso de nuestra paciente. Sin embargo, ante el aumento rápido de las velocidades en lugar del valor absoluto del pico sistólico, que es el indicador de mal pronóstico, también se utiliza una relación de velocidad sistólica de la arteria carótida interna sistólica/extracraneal de la arteria cerebral media (el índice de Lindegaard) de más de tres para evaluar el vasoespasmo. Un aumento en la velocidad debido al vasoespasmo puede estar enmascarado por un aumento concomitante de la presión intracraneal.8

Es de considerar que el ultrasonido Doppler transcraneal tiene ciertas limitaciones: los vasos en los que se ven las velocidades más altas no están necesariamente ubicados en territorios que corresponden a los síntomas de la lesión, la isquemia sintomática no siempre se manifiesta en las arterias ubicadas cerca de las áreas donde se ha producido el mayor sangrado y las arterias cerebrales distales son difíciles de examinar. En vista de estas limitaciones, la resonancia magnética cerebral o la angiografía por tomografía computarizada (ATC) cerebral con imágenes ponderadas por perfusión pueden confirmar el diagnóstico real y excluir los diagnósticos diferenciales, que incluyen hidrocefalia aguda,13,14 como fue utilizada en el abordaje diagnóstico de nuestra paciente en la que, al encontrase cambios clínicos agudos, se decidió realizar una angiorresonancia con la finalidad de evidenciar diagnósticos diferenciales.

La evidencia de cuáles son los factores asociados a presentar complicaciones en los pacientes con HSA aún es un objetivo de investigación. Un estudio prospectivo realizado en centros de atención para pacientes neurocríticos recabó la información de 1,205 pacientes con HSA documentando factores de riesgo para los episodios de resangrado como complicación, informó que los principales factores de riesgo son el sexo con predominio en mujeres de 67%, la edad media de 55 años, el mal estado clínico evaluado a través de la escala WFNS (4/5) en el momento del ingreso, así como el grado del sangrado estimado con la escala de Fisher modificada (3 o 4) en la tomografía computarizada inicial; es decir, una hemorragia subaracnoidea gruesa con o sin sangre en ambos ventrículos laterales, se identificó como un fuerte predictor independiente de resangrado ≤ 24 horas.16 Todos estos factores presentes en las manifestaciones clínicas de la paciente, aunque, a pesar de contar con múltiples factores de riesgo, la evolución de los pacientes no sigue siempre la misma línea de evolución, y no en todos es posible predecir el riesgo de desarrollo de complicaciones.15,17 Otra característica importante es la localización anatómica de los aneurismas de las arterias cerebrales anteriores seguidas de la arteria cerebral media, la cual se observa con mayor frecuencia, así como el tamaño del aneurisma inicial, especialmente aquellos con diámetro ≥ 20 mm, tienen mayores complicaciones.15

Es importante considerar que, dentro de las complicaciones esperadas, el resangrado llega a presentar 57% de mortalidad como resultado per se, y que la mortalidad es un factor independiente del tiempo de presentación después del inicio de la HSA.18,19

Estos resultados deberían conducir a la reconsideración de la práctica clínica actual; los pacientes con un alto grado de Fisher podrían beneficiarse de la reparación inmediata del aneurisma las 24 horas del día, como en el caso de nuestra paciente en la que el tratamiento con intervención quirúrgica fue establecido después de presentar complicaciones. Algunos pacientes se benefician de realizar intervenciones tempranas; sin embargo, aún se necesitas ensayos controlados aleatorios que comparen el tratamiento ultra temprano con el tratamiento convencional.

Dentro de las medidas utilizadas para mejorar el pronóstico de los pacientes se encuentran algunos pilares en el tratamiento del enfermo neurocrítico en relación con el control de mecanismos de lesión secundaria que se pueden agrupar en tres rubros importantes debido a que se encuentran directamente asociados al pronóstico funcional y a la mortalidad. Los cuales son el control de la presión arterial, el control de la coagulopatía y el tratamiento quirúrgico oportuno.18

Control de la presión arterial. La hipertensión es un hallazgo común en la fase aguda de cualquier tipo de hemorragia intracraneal, por lo que su control es una acción mecanicista plausible que podría aliviar el riesgo expansión de las lesiones y mejorar los resultados funcionales. Dos grandes ensayos clínicos aleatorios investigaron el efecto de la reducción intensiva temprana de la presión arterial en el resultado clínico.

En el estudio INTERACT-2,19 la reducción intensiva de la presión arterial sistólica < 140 mmHg dentro de las seis horas del inicio se asoció con un resultado funcional marginalmente mejor, registrándose mejoras significativas en un rango de resultados secundarios.

El ensayo posterior ATACH-II20 (Antihypertensive Treatment of Acute Cerebral Hemorrhage: Tratamiento Antihipertensivo de la Hemorragia Cerebral Aguda) encontró que la reducción intensiva de la presión arterial sistólica < 140 mmHg dentro de las 4.5 horas posteriores al inicio no mejoró el resultado ni redujo la expansión de la lesión en comparación con el manejo estándar de 140-179 mm; sin embargo, estableció la viabilidad, el potencial y la seguridad de la reducción intensiva de la presión arterial sistólica como tratamiento. En los análisis posteriores surgieron recomendaciones en relación con el tratamiento más temprano para reducir un mal rendimiento funcional.

El control de la presión arterial sistólica temprana y estable a niveles tan bajos como 120 a 130 mmHg se asoció con resultados favorables, mientras que las caídas dentro de la primera hora > 60 mmHg fueron perjudiciales.16

Control de la coagulopatía. Una de las terapias hemostáticas recomendadas, como lo es la aplicación de factor VIIa activado para prevenir la expansión de la lesión activa el factor X y genera trombina, lo que resulta en hemostasia local después de unirse a factores tisulares expuestos o plaquetas activadas. Siendo importante destacar que el efecto hemostásico se obtiene en pacientes que son tratados dentro de las tres horas del inicio.21

Varios ensayos han investigado el efecto del ácido tranexámico. El ensayo TICH-2 (Tranexamic acid for hyperacute primary IntraCerebral Haemorrhage: Ácido Tranexámico para la Hemorragia Intracerebral Primaria Hiperaguda) inscribió a 2,325 pacientes con hemorragia intracerebral (ICH) dentro de las ocho horas posteriores al inicio de los síntomas.22 El ensayo no mostró evidencia de mejora significativa en el resultado funcional de tres meses y encontró sólo una modesta disminución de 1.4 mL en la hemorragia encefálica (HE) en el grupo de tratamiento activo frente al placebo. Una razón plausible para la falta observada de eficacia del ácido tranexámico en TICH-2 es que el intervalo de tiempo desde el inicio hasta el tratamiento (< 8 horas) fue mucho más largo que la ventana de tiempo de HE. El STOP-AUST23 (Spot Sign and Tranexamic Acid on Preventing ICH Growth-Aus-tralasia Trial) seleccionó a los pacientes con alto riesgo de expansión de la lesión, utilizando el signo puntual (spot sign) de Computed Tomography/Angiography (CT/A) para su aleatorización a ácido tranexámico o placebo dentro de las 4.5 horas posteriores al inicio. Más recientemente, el ensayo TRAIGE24 (Tranexamic acid for acute intracerebral haemorrhage growth based on imaging assessment: ácido tranexámico para el crecimiento de la hemorragia intracerebral aguda basado en la evaluación por imágenes) aleatorizó a 171 pacientes con marcadores de imágenes de TC de HE (es decir, signo puntual, signo de agujero negro o signo de mezcla) dentro de las ocho horas posteriores al inicio de los síntomas.

Control e intervención quirúrgica temprana. Un determinante importante del resangrado es si el aneurisma está completamente excluido de la circulación a través de un tratamiento microquirúrgico o endovascular. El estudio ISAT25 (International Subarachnoid Aneurysm Trial: Ensayo Internacional sobre Aneurisma Subaracnoideo) evaluó la incidencia de resangrado temprano y a largo plazo en pacientes que recibieron colocación de coils de forma endovascular frente a recorte microquirúrgico. Si bien hubo una pequeña diferencia en las tasas de resangrado temprano y tardío, con la exclusión quirúrgica que resultó en menos resangrado, esta diferencia fue pequeña y el efecto en el resultado general fue menor.

Los retrasos marcados (promedio 0.6 días) del aseguramiento del aneurisma se relacionaron con un aumento esperado en el resangrado. Cada estudio de seguimiento posterior de la cohorte ISAT deja cada vez más claro que el seguimiento en serie de aneurismas en pacientes jóvenes es crítico y que la mejor reparación esperada de la microcirugía continúa impidiendo que se presenten episodios nuevos de resangrado, incluso años después. Más recientemente, las investigaciones han evaluado el uso de stents intracraneales como tratamiento alternativo para pacientes que no pueden ser tratados con bobinado o recorte a lo largo. Actualmente hay resultados largos limitados de estas terapias alternativas, y generalmente se recomiendan sólo como una técnica de rescate después de un tratamiento primario fallido o en pacientes cuya morfología del aneurisma no permite el recorte o el bobinado.26-28



CONCLUSIóN

La hemorragia subaracnoidea continúa siendo una entidad critica, la cual requiere de múltiples intervenciones dentro de las unidades de cuidados intensivos debido al potencial riesgo de desarrollar complicaciones letales y con esto deteriorar el pronóstico funcional y de vida. Es por eso que la importancia de realizar un diagnóstico oportuno, así como un adecuado tratamiento, es un área de oportunidad para desarrollar e implementar protocolos estandarizados. En el caso expuesto, la evolución clínica de la paciente fue atípica, llegando a desarrollar múltiples complicaciones las cuales fueron evidenciadas a través del monitoreo ultrasonográfico transcraneal, una herramienta útil que aporta información confiable para la detección de complicaciones como fue expuesto en el caso clínico de nuestra paciente.

Si bien en la actualidad no existe una herramienta específica en relación con el riesgo de desarrollar complicaciones secundarias a la HSA, diferentes factores clínicos se encuentran asociados con un peor pronóstico, incluyéndose a los pacientes con hemorragia de alto grado, gran volumen de sangre intracraneal y pérdida prolongada del estado de conciencia, mecanismos precipitantes para el desarrollo de hipoperfusión cerebral temprana. Es por esto que el manejo inicial de la hemorragia subaracnoidea debe centrarse en prevenir el desarrollo de lesión cerebral temprana, proporcionando un suministro adecuado de oxígeno y cumpliendo con las demandas metabólicas del cerebro.

En la actualidad, la hemorragia subaracnoidea continúa siendo una entidad patológica que es representativa de las unidades de cuidados intensivos, que por sí misma no debe de ser menospreciada ya que los riesgos potenciales de desarrollar complicaciones, y ser compleja de diagnosticar y tratar repercuten directamente en el pronóstico de los pacientes.

Las medidas actuales de tratamiento incluyen el aseguramiento temprano del aneurisma, el evitar cambios considerables en la presión arterial, el tratamiento de la hidrocefalia, las convulsiones y las complicaciones cardiopulmonares, así como la optimización de la presión de perfusión cerebral individualizada en cada paciente, mayor 70 mmHg pero menor a 95 mmHg al principio del tratamiento de acuerdo a la evidencia científica actual, ya que los datos recientes sugieren mejorar los resultados al mejorar la perfusión y reducir el estrés metabólico cerebral; tratar de forma oportuna la coagulopatía para mantener un suministro adecuado de oxígeno y controlar los factores modificables para reducir la demanda metabólica en el cerebro. El monitoreo avanzado de la multimodalidad puede ayudar a individualizar las estrategias de tratamiento.


REFERENCIAS (EN ESTE ARTÍCULO)

  1. Thilak S, Brown P, Whitehouse T, Gautam N, Lawrence E, Ahmed Z, et al. Diagnosis and management of subarachnoid haemorrhage. Nat Commun. 2024;15(1):1850. doi: 10.1038/s41467-024-46015-2

  2. Maher M, Schweizer TA, Macdonald RL. Treatment of spontaneous subarachnoid hemorrhage: guidelines and gaps. Stroke. 2020;51(4):1326-1332. doi: 10.1161/STROKEAHA.119.025997

  3. Leblanc R. Familial cerebral aneurysms. Can J Neurol Sci. 1997;24(3):191-199. doi: 10.1017/s031716710002179x

  4. Ronkainen A, Hernesniemi J, Puranen M, Niemitukia L, Vanninen R, Ryynanen M, et al. Familial intracranial aneurysms. Lancet. 1997;349(9049):380-384. doi: 10.1016/S0140-6736(97)80009-8

  5. Lauzier DC, Jayaraman K, Yuan JY, Diwan D, Vellimana AK, Osbun JW, et al. Early brain injury after subarachnoid hemorrhage: incidence and mechanisms. Stroke. 2023;54(5):1426-1440. doi: 10.1161/STROKEAHA.122.040072

  6. Robba C, Goffi A, Geeraerts T, Cardim D, Via G, Czosnyka M, et al. Brain ultrasonography: methodology, basic and advanced principles and clinical applications. A narrative review. Intensive Care Med. 2019;45(7):913-927. doi: 10.1007/s00134-019-05610-4

  7. Tominari S, Morita A, Ishibashi T, Yamazaki T, Takao H, Murayama Y, et al. Prediction model for 3-year rupture risk of unruptured cerebral aneurysms in Japanese patients. Ann Neurol. 2015;77(6):1050-1059. doi: 10.1002/ana.24400

  8. Lindgren AE, Koivisto T, Bjorkman J, von Und Zu Fraunberg M, Helin K, Jaaskelainen JE, et al. Irregular shape of intracranial aneurysm indicates rupture risk irrespective of size in a population-based cohort. Stroke. 2016;47(5):1219-1226. doi: 10.1161/STROKEAHA.115.012404

  9. Klass A, Sánchez-Porras R, Santos E. Systematic review of the pharmacological agents that have been tested against spreading depolarizations. J Cereb Blood Flow Metab. 2018;38(7):1149-1179. doi: 10.1177/0271678X18771440

  10. Cahill J, Calvert JW, Zhang JH. Mechanisms of early brain injury after subarachnoid hemorrhage. J Cereb Blood Flow Metab. 2006;26(11):1341-1353. doi: 10.1038/sj.jcbfm.9600283

  11. Danière F, Gascou G, Menjot de Champfleur N, Machi P, Leboucq N, Riquelme C, et al. Complications and follow up of subarachnoid hemorrhages. Diagn Interv Imaging. 2015;96(7-8):677-686. doi: 10.1016/j.diii.2015.05.006

  12. Starke RM, Connolly ES Jr; Participants in the International Multi-Disciplinary Consensus Conference on the Critical Care Management of Subarachnoid Hemorrhage. Rebleeding after aneurysmal subarachnoid hemorrhage. Neurocrit Care. 2011;15(2):241-246. doi: 10.1007/s12028-011-9581-0

  13. Woernle CM, Winkler KM, Burkhardt JK, Haile SR, Bellut D, Neidert MC, et al. Hydrocephalus in 389 patients with aneurysm-associated subarachnoid hemorrhage. J Clin Neurosci. 2013;20(6):824-826. doi: 10.1016/j.jocn.2012.07.015

  14. Tung P, Kopelnik A, Banki N, Ong K, Ko N, Lawton MT, et al. Predictors of neurocardiogenic injury after subarachnoid hemorrhage. Stroke. 2004;35(2):548-551. doi: 10.1161/01.STR.0000114874.96688.54

  15. Claassen J, Albers D, Schmidt JM, De Marchis GM, Pugin D, Falo CM, et al. Nonconvulsive seizures in subarachnoid hemorrhage link inflammation and outcome. Ann Neurol. 2014;75(5):771-781. doi: 10.1002/ana.24166

  16. Hammer A, Ranaie G, Erbguth F, Hohenhaus M, Wenzl M, Killer-Oberpfalzer M, et al. Impact of complications and comorbidities on the intensive care length of stay after aneurysmal subarachnoid haemorrhage. Sci Rep. 2020;10(1):6228. doi: 10.1038/s41598-020-63298-9

  17. Naidech AM, Kreiter KT, Janjua N, Ostapkovich N, Parra A, Commichau C, et al. Phenytoin exposure is associated with functional and cognitive disability after subarachnoid hemorrhage. Stroke. 2005;36(3):583-587. doi: 10.1161/01.STR.0000141936.36596.1e

  18. Diringer MN, Bleck TP, Claude Hemphill J 3rd, Menon D, Shutter L, Vespa P, et al. Critical care management of patients following aneurysmal subarachnoid hemorrhage: recommendations from the Neurocritical Care Society's Multidisciplinary Consensus Conference. Neurocrit Care. 2011;15(2):211-240. doi: 10.1007/s12028-011-9605-9

  19. Delcourt C, Sato S, Zhang S, Sandset EC, Zheng D, Chen X, et al. Intracerebral hemorrhage location and outcome among INTERACT2 participants. Neurology. 2017;88(15):1408-1414. doi: 10.1212/WNL.0000000000003771.

  20. Qureshi AI, Palesch YY, Barsan WG, Hanley DF, Hsu CY, Martin RL, et al. Intensive blood-pressure lowering in patients with acute cerebral hemorrhage. N Engl J Med. 2016;375(11):1033-1043. doi: 10.1056/NEJMoa1603460

  21. de Oliveira Manoel AL, Goffi A, Marotta TR, Schweizer TA, Abrahamson S, Macdonald RL. The critical care management of poor-grade subarachnoid haemorrhage. Crit Care. 2016;20:21. doi: 10.1186/s13054-016-1193-9

  22. Sprigg N, Flaherty K, Appleton JP, Al-Shahi Salman R, Bereczki D, Beridze M, et al. Tranexamic acid for hyperacute primary IntraCerebral Haemorrhage (TICH-2): an international randomised, placebo-controlled, phase 3 superiority trial. Lancet. 2018;391(10135):2107-2115. doi: 10.1016/S0140-6736(18)31033-X

  23. Meretoja A, Churilov L, Campbell BC, Aviv RI, Yassi N, Barras C, et al. The spot sign and tranexamic acid on preventing ICH growth--AUStralasia Trial (STOP-AUST): protocol of a phase II randomized, placebo-controlled, double-blind, multicenter trial. Int J Stroke. 2014;9(4):519-524. doi: 10.1111/ijs.12132

  24. Liu J, Nie X, Gu H, Zhou Q, Sun H, Tan Y, et al. Tranexamic acid for acute intracerebral haemorrhage growth based on imaging assessment (TRAIGE): a multicentre, randomised, placebo-controlled trial. Stroke Vasc Neurol. 2021;6(2):160-169. doi: 10.1136/svn-2021-000942

  25. Molyneux AJ, Kerr RS, Yu LM, Clarke M, Sneade M, Yarnold JA, et al. International subarachnoid aneurysm trial (ISAT) of neurosurgical clipping versus endovascular coiling in 2,143 patients with ruptured intracranial aneurysms: a randomised comparison of effects on survival, dependency, seizures, rebleeding, subgroups, and aneurysm occlusion. Lancet. 2005;366(9488):809-817. doi: 10.1016/S0140-6736(05)67214-5

  26. van Donkelaar CE, Bakker NA, Veeger NJ, Uyttenboogaart M, Metzemaekers JD, Luijckx GJ, et al. Predictive factors for rebleeding after aneurysmal subarachnoid hemorrhage: rebleeding aneurysmal subarachnoid hemorrhage study. Stroke. 2015;46(8):2100-2106. doi: 10.1161/STROKEAHA.115.010037

  27. Tang C, Zhang TS, Zhou LF. Risk factors for rebleeding of aneurysmal subarachnoid hemorrhage: a meta-analysis. PLoS One. 2014;9(6):e99536. doi: 10.1371/journal.pone.0099536

  28. Li Q, Yakhkind A, Alexandrov AW, Alexandrov AV, Anderson CS, Dowlatshahi D, et al. Code ICH: a call to action. Stroke. 2024;55(2):494-505. doi: 10.1161/STROKEAHA.123.043033



AFILIACIONES

1 Centro Médico Naval, Secretaría de Marina. Ciudad de México, México.



CORRESPONDENCIA

Abraham Velázquez Crespo. E-mail: warpaint@hotmail.com




Recibido: 04/11/2024. Aceptado: 07/04/2025.







Figura 1
Figura 2

2020     |     www.medigraphic.com

Mi perfil

C?MO CITAR (Vancouver)

Med Crit. 2025;39

ARTíCULOS SIMILARES

CARGANDO ...