medigraphic.com
ENGLISH

Medicina Crítica

  • Mostrar índice
  • Números disponibles
  • Información
    • Información general        
    • Directorio
  • Publicar
    • Instrucciones para autores        
  • Políticas
  • Lineamientos
  • medigraphic.com
    • Inicio
    • Índice de revistas            
    • Registro / Acceso
  • Mi perfil

2025, Número 1

<< Anterior Siguiente >>

Med Crit 2025; 39 (1)


Insuflación de gas traqueal por hipoxemia refractaria en paciente con embolia pulmonar secundaria a deficiencia de proteína S

Giraldo Sánchez, Javier Mauricio1
Texto completo Cómo citar este artículo 10.35366/121125

DOI

DOI: 10.35366/121125
URL: https://dx.doi.org/10.35366/121125
Artículos similares

Idioma: Español
Referencias bibliográficas: 26
Paginas: 80-84
Archivo PDF: 249.29 Kb.


PALABRAS CLAVE

hipoxemia refractaria, ventilación mecánica, deficiencia de proteína S, embolia pulmonar, insuflación de gas traqueal.

RESUMEN

La enfermedad pulmonar trombo embolica se manifiesta de diversas maneras durante su presentación clínica, dando como resultado serias implicaciones fisiológicas que alteran gravemente el corto circuito, la relación ventilación perfusión y posteriormente las propiedades pulmonares mecánicas dinámicas y estáticas. Sin embargo, la gravedad de su curso clínico está en relación directa con la causa generadora de la trombosis, pues de ella dependerá el grado de disfunción endotelial e inflamación con la que se acompañe. La deficiencia de glicoproteína endógena presentada por nuestro paciente se acompañó de serios disturbios alveolocapilares generadores de lesión pulmonar severa, lo cual requiere estrategias de rescate para normalizar rápidamente el intercambio gaseoso con miras a evitar daños pulmonares relacionados con el uso del ventilador. Presentamos estrategia médica de rescate frente a hipoxemia refractaria.



ABREVIATURAS:

  • BURP = Backward, Upward, Rightward Pressure (presión hacia atrás, arriba y a la derecha
  • PEEP = presión positiva al final de espiración
  • PRE-DELIRIC = PREdiction of DELIRium in Intensive Care unit patients (predicción de delirio en pacientes de la unidad de cuidados intensivos)
  • SDRA = síndrome de dificultad respiratoria aguda
  • UCI = Unidad de Cuidados Intensivos



INTRODUCCIóN

La hipoxemia refractaria es un problema común en pacientes con ventilación mecánica por insuficiencia respiratoria aguda. El síndrome de dificultad respiratoria aguda (SDRA) es la causa más común de hipoxemia refractaria en pacientes con insuficiencia respiratoria aguda. La hipoxemia refractaria inmanejable sigue siendo una de las afecciones más temidas por los médicos de cuidados intensivos, ya que muchas de las estrategias propuestas para su tratamiento pueden mejorar la oxigenación sin un beneficio real en la mortalidad. La hipoxemia refractaria a consecuencia del daño pulmonar es una condición clínica producida por varias causas que pueden estar dentro del espectro de las infecciones, pasando por las diferentes formas de trauma y de disfunción orgánica hasta el mismo uso de la ventilación mecánica. Su identificación perentoria radica en la importancia de revertir su presencia pues el pulmón es considerado el principal órgano generador de disfunción orgánica múltiple, condición clínica que aumenta la morbimortalidad al interior de las unidades de cuidados intensivos. Mentzelopoulos y colaboradores documentaron que durante el uso de la insuflación de gas traqueal optimizaban el movimiento de los gases en los diferentes compartimentos pulmonares de la vía aérea. Vargas y asociados validaron cambios gasométricos relevantes en términos de oxigenación y de ventilación, así como mejoría dramática en la mecánica ventilatoria a partir del ahorro de volumen y de presión positiva, limitando así la progresión del daño pulmonar en los pacientes tratados con insuflación de gas traqueal.1-3



PRESENTACIóN DE CASO

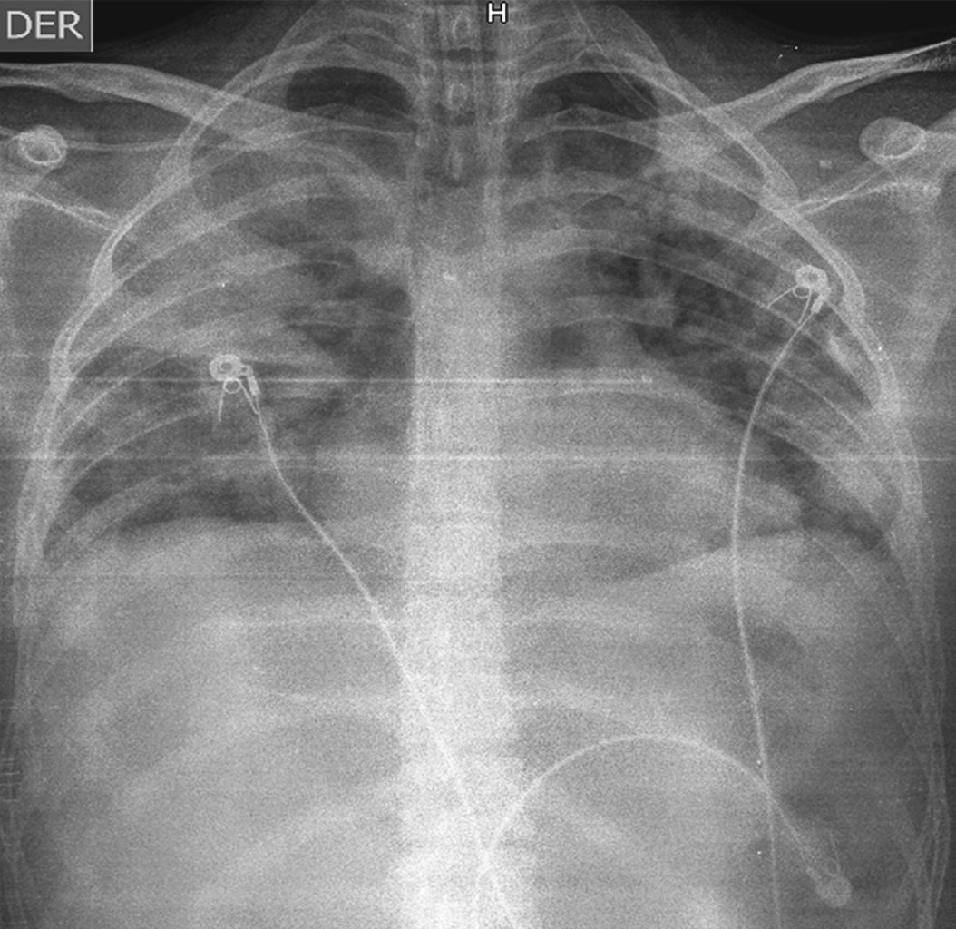
Paciente de 19 años de edad quien sufre accidente de tránsito en calidad de conductor de motocicleta por colisión contra una tractomula, lo que le ocasiona fractura diafisaria de fémur tibia y peroné en extremidad inferior derecha; se descarta etilismo en el sitio del accidente. Es llevado a centro de referencia donde presenta deterioro de la oxigenación por lo que requiere atención en Unidad de Cuidados Intensivos (UCI). Sin antecedentes de importancia familiares o personales, ingresa a UCI con índices de oxigenación alterados saturando 85% con mascara de no reinhalación, frecuencia respiratoria de 38 por minuto, frecuencia cardiaca de 100 por minuto, tensión arterial 90/55 mmHg, sin deterioro neurológico, Glasgow 15/15, temperatura de 38.5 oC. Al examen físico se documentan ruidos cardiacos taquicárdicos, ruidos respiratorios con crépitos bibasales y hematoma en región proximal del muslo con deformidad en tercio distal y exposición de material óseo. Se plantea la impresión diagnóstica de insuficiencia respiratoria aguda, embolismo graso y politraumatismo con múltiples fracturas en extremidad inferior derecha. Se realiza inducción de secuencia rápida con sedación analgesia y relajación, laringoscopía directa, Cormack-Lehane IV; se avanza tubo orotraqueal 7 con guía, previa BURP, sin registrar eventualidades.4,5 Mecánica ventilatoria seriamente afectada con distensibilidad estática de 18 cm, dinámica de 13 cm, presión meseta de 25 cm con presión de conducción de 18 cm y lesión pulmonar severa con PaO2/FiO2 de 85, por lo que se inicia protección pulmonar y titulación de presión positiva al final de espiración (PEEP) por bucle cuasiestático de presión y de volumen a partir de puntos de inflexión direccionado por EXPRESS.6,7 Se avanza línea central subclavia derecha, documentándose perfil distributivo, con predictores de bajo gasto por elevación del gradiente venoarterial de dióxido de carbono en 14 mmHg y predictores de hipoperfusión tisular por elevación del cociente metabólico anaeróbico de 2; adicionalmente acidemia metabólica profusa, consumo de base exceso severo e hiperlactatemia de 4,8,9 sin modificación de la masa globular. Ante evolución clínica, se inician terapias tempranas dirigidas por objetivos.10 Una radiografía de tórax de ingreso documenta infiltrados en los cuatro campos pulmonares con imagen sugestiva de joroba de Hampton sobre la cisura mayor (Figura 1); se presume enfermedad pulmonar tromboembólica y síndrome de dificultad respiratoria del adulto de origen pulmonar por criterios de redefinición de Berlín ante distensibilidades menores a 40 cmH2O; requerimiento de PEEP de 15 cmH2O, hallazgos radiológicos y volumen corregido espirado mayor a 10, por lo que continua protección pulmonar.11,12 Los estudios de laboratorio de ingreso se presentan resumidos en la Tabla 1. Se realiza ecocardiograma Doppler dúplex color transtorácico con el que se documenta hipertensión pulmonar moderada con 50 mmHg, fracción de eyección de 60% sin trastornos de la contractilidad. Marcadores de actividad fibrinolítica > 3,000 mg/dL, que confirman síndrome de dificultad respiratorio del adulto severo de origen pulmonar; reporte de sudan en orina descarta embolia grasa. Es llevado a cirugía para reducción y estabilización de la fractura sin eventualidad. Ante los hallazgos radiológicos, se realiza estudio de perfusión en medicina nuclear con el que se evidencian cuatro defectos segmentarios de distribución vascular en el pulmón derecho y tres en el pulmón izquierdo (Figura 2). Por lo que continua anticoagulación formal. Ante tórpida evolución con lesión pulmonar severa, PaO2/FiO2 de 65, deterioro de la ventilación minuto alveolar con capnografías que indican hipoventilación alveolar con registros hasta de 75 mmHg de dióxido de carbono al final de la espiración y mayor compromiso de la impedancia pulmonar con presión de conducción de 19 cmH2O y cálculo de poder mecánico en 15 julios, se decide iniciar estrategia de rescate con insuflación de gas traqueal a partir de fuente adicional de oxígeno con dispositivo médico CONCOA 305260 más protección pulmonar extrema ante el riesgo elevado de lesión pulmonar inducida por el respirador.13-16 La Tabla 2 muestra los datos de la evolución gasométrica. Se reciben reportes de cultivos de vigilancia; se documentan enterobacterias con resistencias extendidas inductoras de anhidromuropéptidos en hisopado y pandrogorresistencias en lavado broncoalveolar, lo cual genera la necesidad de descartar alguna inmunodeficiencia por lo que se realiza serología para virus de la inmunodeficiencia humana (VIH) la cual fue negativa.17 Se realizan estudios de hipercoagulabilidad ante la complejidad clínica, cuyos resultados se muestran en la Tabla 3. Presenta alteración mental, pensamiento desorganizado, inatención y conciencia fluctuante con PRE-DELIRIC > 40, por lo que requiere protocolo institucional de sedación, dolor y delirio.18 Evoluciona favorablemente con adecuada respuesta a terapias tempranas dirigidas por objetivos. Adicionalmente, se observa mejoría de la oxigenación y de la ventilación, así como de la mecánica ventilatoria, además de cálculo de índice de oxigenación menor a 10, por lo que se inicia ventilación mecánica protectora y se suspende insuflación de gas traqueal. Se realiza monitoria en asa cerrada en modo ventilación con asistencia proporcional; se documenta distensibilidad de 58 cmH2O, resistencias de 4.8 cmH2O, PEEP intrínseco de 1.2 cmH2O, elastasia de 16 cmH2O, relación frecuencia volumen de 25 con trabajo respiratorio de 0.8 J/L.19 Se realiza prueba única diaria con tubo en T sin predictores de falla de extubación, se libera de manera direccionada con cánula de alto flujo para generación de inertancia por presión y temperatura.20,21 Evoluciona favorablemente, por lo que se traslada a pisos para continuar manejo por medicina interna.



DISCUSIóN

La proteína S es una glicoproteína obtenida a partir de la degradación del factor VIII y del factor V, adicionalmente es un cofactor no enzimático de la proteína C, razones que le confieren profundas propiedades anticoagulantes.22,23 Esta glicoproteína está inmersa en procesos bioquímicos encaminados al control de la formación de los cuerpos apoptóticos mediante la estimulación del fagosoma natural, evitando la formación de especies reactantes de oxígeno. A partir de señales intracelulares mediados por una tirosina Mer cinasa, la proteína S modula el tool like receptor, la molécula MYD88, el factor de transcripción nucleolar y el factor nuclear kappa beta. Además, junto con la vitamina K son los únicos dos ligandos de funcionalidad de la interleucina 1.24-26 La proteína S, además de configurarse como un potente anticoagulante, también tiene funciones antinflamatorias y antiapoptóticas mediante los mecanismos anteriormente mencionados. Esto explica porque su deficiencia, además de episodios trombóticos serios y graves, puede desencadenar fenómenos de disfunción orgánica múltiple de presentación expedita como los observados en nuestro paciente.

La presentación clínica de enfermedad pulmonar tromboembólica por deficiencia de proteína S merece atención particular, pues la lesión generada más allá del proceso trombótico está acompañada de un profundo y severo daño funcional asociado muy frecuentemente a infecciones bacterianas emergentes, virulentas y de difícil erradicación a la luz de la perdida de la competencia inmunológica anteriormente mencionada; infecciones manifestadas cuyos asilamientos se documentaron en nuestro paciente. Existen dos puntos de inflexión que determinarán la supervivencia de los pacientes en escenarios clínicos específicos. La hipoxemia refractaria generada, desencadena un serio trastorno de la oxigenación y de la ventilación. Las alteraciones cardiovasculares de la embolia pulmonar ocasionan pérdida de la impedancia corazón/pulmón a causa del aumento del doble producto, los equivalentes arritmogénicos mencionados, la tricuspidización, la hipertensión pulmonar y la falla global son limitantes para la titulación de la presión positiva, lo que impacta negativamente en el intercambio de gases. La insuflación de gas traqueal asociado a ventilación mecánica protectora se constituye como una estrategia de rescate en paciente con pulmón inhomogéneo cuyas capacidades de reclutamiento están limitadas por condiciones cardiovasculares y ventilatorias como las presentadas en pacientes con enfermedad pulmonar tromboembólica. Es importante conocer los componentes de la impedancia pulmonar en términos de distensibilidades, resistencias e inertancia pues del perfecto entendimiento de ellos dependerá la comprensión en la aplicación del gas traqueal y los movimientos de los gases en la vía aérea. La inertancia como componente de la impedancia pulmonar merece toda nuestra atención para el entendimiento de la estrategia de rescate, pues con la comprensión de su fórmula entenderemos porque al someter el oxígeno bajo condiciones de presión y temperatura aumenta su difusión por unidad de tiempo a partir de la modificación en su densidad, generando cambios importantes en los diferentes compartimentos pulmonares de la vía aérea. Es así como en los compartimentos pulmonares de la vía aérea proximal se genera un volumen de convección que evita la atelectasia. En los compartimentos pulmonares de la vía aérea intermedia, fundamentado en el principio de dispersión de Taylor se llevan a cabo fenómenos de arremolinamiento, freno espiratorio lo que ocasiona un peep no mecánico sin las implicaciones derivadas a nivel cardiovascular. Y en los compartimentos pulmonares de la vía aérea distal, bajo el principio de Pendelluft el gas discurre lejos de la resistencia adherido al epitelio con el valor agregado en lavado de vía aérea ya que el gradiente generado entre el volumen aportado y el volumen exhalado impacta favorablemente en la disminución del espacio alveolar muerto, optimizando la ecuación del volumen minuto alveolar en sus tres variables; adicionalmente refuerza el reclutamiento a partir del gradiente mencionado, pues por cada 100 mL puede llegar aumentar la presión de la vía aérea hasta 1.8 cmH2O de acuerdo a las observaciones al lado de la cama del paciente en estudios realizados.26 La protección pulmonar generada y el ahorro de presión positiva al final de la espiración cuando se administra insuflación de gas traqueal mejora los índices de oxigenación y los índices de ventilación, lo que evita el riesgo exponencialmente elevado de lesión pulmonar relacionada con la ventilación mecánica.



CONCLUSIONES

La insuflación de gas traqueal da respuesta a las necesidades de nuestros usuarios en condiciones clínicas específicas, disminuyendo la morbilidad a través de la mejoría en la relación ventilación/perfusión sobre la base del movimiento de los gases en los diferentes compartimentos pulmonares de la vía aérea, validado con cambios gasométricos relevantes y mejoría de la mecánica ventilatoria. Puede considerarse una herramienta muy útil en sitios con recursos limitados donde no se cuenta con oxigenación a través de membrana de circulación extracorpórea.



AGRADECIMIENTOS

Agradecemos la oportunidad de publicación como aporte a la academia y gestión del conocimiento.


REFERENCIAS (EN ESTE ARTÍCULO)

  1. Giraldo SJM, Vargas F, Cantillo GA. Hipoxemia refractaria bajo ventilación mecánica protectora en paciente con SDRA por aspiración líquida ácida. Acta Colomb Cuid Intensiv. 2010;10(2):121-124.

  2. Mentzelopoulos SD, Roussos C, Koutsoukou A, Sourlas S, Malachias S, Lachana A, et al. Acute effects of combined highfrequency oscillation and tracheal gas insufflation in severe acute respiratory distress syndrome. Crit Care Med. 2007;35(6):1500-1508.

  3. Giraldo SJM, Vargas F, Cantillo GA. Protective mechanical ventilation plus tracheal gas insufflation in a patient with massive pulmonary embolism due to combined deficiency of proteins C and S and antithrombin III. Acta Colomb Cuid Intensiv. 2009;10(2):136-142.

  4. Mosier JM, Sakles JC, Law JA, Brown CA, Brindley PG. Tracheal intubation in the critically ill. Where we came from and where we should go. Am J Respir Crit Care Med. 2020;201(7):775-788.

  5. Schroeder RA, Pollard R, Dhakal I, Cooter M, Aronson S, Grichnik K, et al. Temporal trends in difficult and failed tracheal intubation in a regional community anesthetic practice. Anesthesiology. 2018;128(3):502-510.

  6. Gattinoni L, Quintel M. Fifty years of research in ARDS why is acute respiratory distress syndrome so important for critical care? Am J Respir Crit Care Med. 2016;194(9):1051-1052.

  7. Gattinoni L, Collino F, Maiolo G, Rapetti F, Romitti F, Tonetti T, et al. Positive end-expiratory pressure: how to set it at the individual level. Ann Transl Med. 2017;5(14):288.

  8. Castelain V, Teboul J-L. Veno-Arterial PCO2 Gradient. En: The Sepsis Text. Boston: Kluwer Academic Publishers; 2005. p. 339–52.

  9. Vincent JL, Teboul JL, Monnet X. Clinical use of veno arterial Pco2 difference in septic shock. Year book in intensive care and emergency medicine. Springer Verlag. 2003:574-582.

  10. Dellinger RP, Levy M, Rhodes A, Annane D, Gerlach H, Opal SM, et al. Surviving sepsis campaign. International guidelines for management of severe sepsis and septic shock. 2012 Critical Care Medicine. 2013;(41):580-637.

  11. ARDS. Definition Task Force. Acute respiratory distress syndrome. The Berlin Definition. JAMA. 2012;307(23):2526-33.

  12. Costa EL, Amato MB. The new definition for acute lung injury and acute respiratory distress syndrome: is there room for improvement? Curr Opin Crit Care. 2013;19(1):16-23.

  13. Giraldo SJM. Tracheal gas insufflation plus lung protect in critical ill SARS-CoV-2 patient. Med Crit. 2023;37(2):150-153.

  14. Mentzelopoulos SD, Malachias S, Kokkoris S, Roussos C, Zakynthinos SG. Comparison of high-frequency oscillation and tracheal gas insufflation versus standard high-frequency oscillation at two levels of tracheal pressure. Intensive Care Med. 2010;36(5):810-816. doi: 10.1007/s00134-010-1822-8.

  15. Giraldo SJM, Badillo E, Pacheco J, Beltran E, Barranco E, Giraldo R, et al. Tracheal gas insufflation as a rescue strategy for refractory hypoxaemia due to multifactorial pulmonary edema in a patient with subarachnoid haemorrhage. Acta Colomb Care Crit. 2015;15(3):220-226.

  16. Giraldo J. Purpura fulminans related with antithrombin III deficiency in critical ill patient with enterococcus faecalis isolation. Med. Crit. 2022. 36. 6 387-392.

  17. Aliberti S, Di Pasquale M, Zanaboni AM, Cosentini R, Brambilla AM, Seghezzi S, et al. Stratifying risk factors for multidrug-resistant pathogens in hospitalized patients coming from the community with pneumonia. Clin Infect Dis. 2012;54(4):470-478.

  18. van den Boogaard M, Pickkers P, Slooter AJ, Kuiper MA, Spronk PE, van der Voort PH, et al. Development and validation of PRE-DELIRIC (PREdiction of DELIRium in ICu patients) delirium prediction model for intensive care patients: observational multicentre study. BMJ. 2012;344:e420.

  19. Giraldo SJM, et al. Mechanical ventilation weaning managed by close loop systems in proportional assistance ventilation in acute respiratory distress syndrome in a patient with pulmonary tuberculosis and acquired immune deficiency syndrome. Acta Colomb Cuid Intensiv. 2017;17(2):139-144.

  20. Esteban A, Frutos F, Tobin MJ, Alía I, Solsona JF, Valverdú I, et al. A comparison of four methods of weaning patients from mechanical ventilation. Spanish Lung Failure Collaborative Group. N Engl J Med. 1995;332(6):345-350.

  21. Frutos-Vivar F, Esteban A. Weaning from mechanical ventilation: why are we still looking for alternative methods? Med Intensiva. 2013;37(9):605-617.

  22. Fernández GA, Villanueva-Lamas J, Cambra FJ, Toll MT, Palomeque-Rico A. Púrpura fulminans postvaricela con déficit transitorio de proteína C y proteína S. An Esp Pediatr. 1998;49:412-414.

  23. Giraldo J, Rojas L. Incremento del inhibidor de la actividad del plasminógeno como biomarcador en la desregulación de la fibrinólisis en paciente críticamente enfermo con sepsis severa por enterobacterias con betalactamasas de espectro extendido. Acta Colomb Cuid Intensivo. 2018;18(1):62-65.

  24. Ortiz-Ruiz G. Cap. 1. Sepsis. Ortiz-Ruiz G, Perafan MA, Faist E, Castell CD, editores. Nueva York, NY, Estados Unidos de América: Springer; 2004. p. 1-13.

  25. Weiler H. Regulation of inflammation by protein C system. Crit Care Med. 2010;38(2 Suppl):S18-S25.

  26. Roshal M, Reyes-Gil M. Protein S deficiency evaluation. In: Transfusion Medicine and Hemostasis. Elsevier; 2019. p. 893-897.



AFILIACIONES

1 Medicina Intensiva del Tolima UCI Honda. Tolima, Colombia.



CORRESPONDENCIA

Dr. Javier Mauricio Giraldo Sánchez. E-mail: dircientifico@ucihonda.com.co




Recibido: 18/03/2025. Aceptado: 07/08/2025.







Figura 1
Figura 2
Tabla 1
Tabla 2
Tabla 3

2020     |     www.medigraphic.com

Mi perfil

C?MO CITAR (Vancouver)

Med Crit. 2025;39

ARTíCULOS SIMILARES

CARGANDO ...