medigraphic.com
ENGLISH

Acta Médica Grupo Ángeles

Órgano Oficial del Hospital Ángeles Health System
  • Mostrar índice
  • Números disponibles
  • Información
    • Información general        
    • Directorio
  • Publicar
    • Instrucciones para autores        
    • Envío de artículos
    • Políticas
    • Nombre y afiliación del Comité Editorial
  • Nosotros
    • Plan de gestión e intercambio de datos
    • Objetivos declarados y alcance
  • medigraphic.com
    • Inicio
    • Índice de revistas            
    • Registro / Acceso
  • Mi perfil

2025, Número 5

<< Anterior Siguiente >>

Acta Med 2025; 23 (5)


Malrotación intestinal y vólvulo de ciego. Causa poco frecuente de oclusión intestinal en adulto

Gallo Arriaga, Benjamín1,2,4; Roa Pantoja, Pamela H2; Gallo Chico, Benjamín1; Ibarra Rodríguez, Jesús3; Hidalgo Valadez, Carlos1,2
Texto completo Cómo citar este artículo 10.35366/121185

DOI

DOI: 10.35366/121185
URL: https://dx.doi.org/10.35366/121185
Artículos similares

Idioma: Español
Referencias bibliográficas: 5
Paginas: 460-462
Archivo PDF: 266.73 Kb.


PALABRAS CLAVE

malrotación intestinal en adulto, vólvulos, procedimiento quirúrgico de Ladd.

RESUMEN

La malrotación intestinal se define como una desviación de la rotación normal de 270° en sentido antihorario del intestino medio alrededor del eje de la arteria mesentérica superior durante el desarrollo embriológico. Afecta al 1% de la población, se diagnostica con más frecuencia en el periodo neonatal e incidentalmente en los adultos, con incidencia de 0.2%. La intervención quirúrgica con procedimiento de Ladd es necesario cuando es sintomática. Se presenta un caso de malrotación intestinal en adulto.



INTRODUCCIóN

La malrotación intestinal se define como una desviación de la rotación normal de 270° en sentido antihorario del intestino medio alrededor del eje de la arteria mesentérica superior durante el desarrollo embriológico.1,2 Afecta al 1% de la población,1 se diagnostica incidentalmente en adultos, con incidencia de 0.2%.2 La intervención quirúrgica con procedimiento de Ladd es necesario cuando es sintomática.



PRESENTACIóN DEL CASO

Se trata de paciente masculino de 32 años, con antecedente de plastia inguinal bilateral que inicia su padecimiento seis horas antes de su ingreso a Urgencias con dolor abdominal, agudo, intenso y continuo en la región periumbilical. A la exploración, frecuencia cardiaca de 120 latidos por minuto, frecuencia respiratoria de 22 respiraciones por minuto; paciente con facies de dolor en posición antálgica, tórax normal, abdomen con rigidez, ruidos peristálticos abolidos, distensión abdominal y datos de irritación peritoneal.

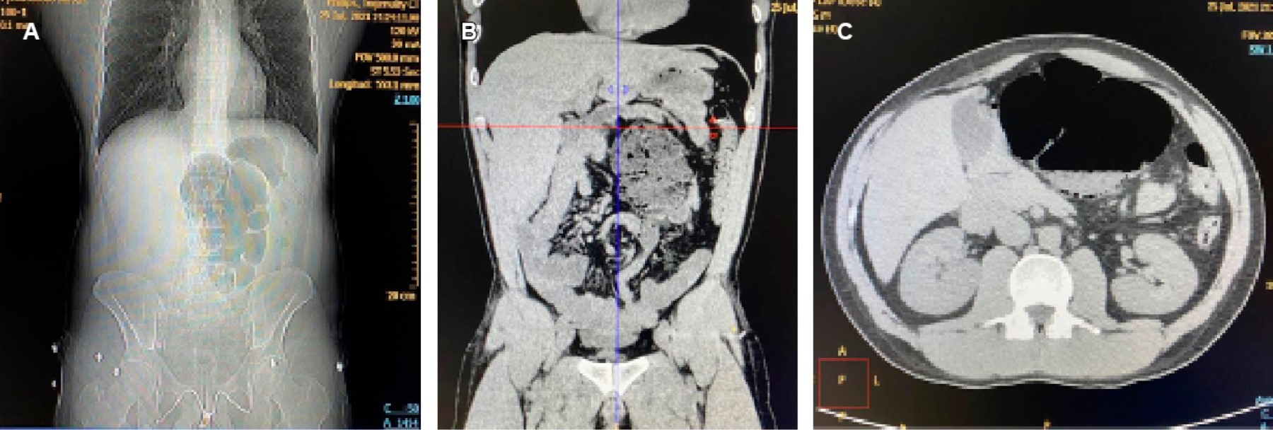
El laboratorio mostró leucocitos 12,000 × 103/μL con neutrofilia sin bandas. En la tomografía computarizada (TC) simple de abdomen (Figura 1) se observó imagen sugestiva de vólvulo del ciego con neumatosis de su pared y datos de malrotación intestinal. Se realizó laparotomía exploradora, encontrando colon con el ciego volvulado con gran dilatación sin datos de isquemia severa, el ciego en la línea media a nivel del ángulo de Treitz, el intestino delgado totalmente del lado derecho del abdomen; el colon derecho se encontró fijo por brida hacia la región del ángulo de Treitz. Se devolvuló el ciego recuperando su vascularidad, reparando dos desgarros seromusculares producidos por la dilatación; se descomprimió el colon de manera anterógrada; se realizó procedimiento de Ladd con sección de las bandas de adherencias hacia ángulo de Treitz y pared abdominal (Figura 2), ya liberado el colon se colocó del lado izquierdo del abdomen y el intestino delgado del lado derecho. Se realizó TC de control postoperatoria (Figura 3). La evolución fue satisfactoria y sin complicaciones.



DISCUSIóN

La malrotación intestinal está determinada por una alteración total o parcial del intestino medio, rotando 270° en sentido antihorario alrededor el eje de la arteria mesentérica superior durante el desarrollo embrionario.1,2 La presentación típica en el adulto es el vólvulo del intestino medio con obstrucción del intestino delgado. La TC es de elección3 tanto en malrotación con oclusión como de apendicitis.4 Los hallazgos típicos son una relación inversa de la arteria mesentérica superior y vena mesentérica superior, apariencia arremolinada de la vasculatura entrando en el vólvulo (signo del remolino), asas del intestino delgado en la parte superior derecha, falta de visualización del ciego en fosa iliaca derecha, dilatación de asas duodenales y ángulo duodenoyeyunal a la derecha (signo de sacacorchos) (Figura 1).

Todos los pacientes, independientemente de la edad, deben someterse a cirugía; el procedimiento de Ladd es de elección por vía laparoscópica o laparotomía.5 Para los pacientes con isquemia intestinal, el tratamiento adecuado es la laparotomía urgente con resección intestinal.



CONCLUSIóN

La malrotación intestinal en el adulto es rara, sin embargo, debe estar presente en el diagnóstico diferencial en oclusión intestinal. La resolución temprana proporciona rápida recuperación.


REFERENCIAS (EN ESTE ARTÍCULO)

  1. Neville JJ, Gallagher J, Mitra A, Sheth H. Adult presentations of congenital midgut malrotation: a systematic review. World J Surg. 2020; 44 (6): 1771-1778.

  2. Neville JJ, Sharma E, Al-Muzrakchi A, Sheth H. Congenital intestinal malrotation presenting in octogenarians: a report of two cases. Ann R Coll Surg Engl. 2020; 102 (1): e12-e14.

  3. Perez AA, Pickhardt PJ. Intestinal malrotation in adults: prevalence and findings based on CT colonography. Abdom Radiol (NY). 2021; 46 (7): 3002-3010.

  4. Gallo Arriaga B, Mora Constantino J, Valles Pérez OJ, Chamberlin Varela OC, Álvarez Rodríguez M, Andrade Aguilar JB. Mal rotación intestinal y apendicitis aguda. Acta Méd Grupo Ángeles. 2018; 16 (4): 371-373.

  5. Gallarín Salamanca I, Espin Jaime M, Moreno Puertas AE, Salas Martínez J. Malrotación intestinal inusual en paciente adulto. Cir Esp. 2016; 94 (1): e21-e23.



AFILIACIONES

1 Servicio de Cirugía Gastrointestinal, Hospital Angeles León. México.

2 Departamento de Medicina y Nutrición, Universidad de Guanajuato. México.

3 Servicio de Gastroenterología, Hospital Angeles León. México.

4 ORCID: 0009-0009-8889-3678



Si desea consultar los datos complementarios de este artículo, favor de dirigirse a editorial.actamedica@saludangeles.mx



CORRESPONDENCIA

Dr. Benjamín Gallo Arriaga. Correo electrónico: benjasgallo@gmail.com




Recibido: 24-07-2024. Aceptado: 08-09-2024.

Figura 1
Figura 2
Figura 3

2020     |     www.medigraphic.com

Mi perfil

C?MO CITAR (Vancouver)

Acta Med. 2025;23

ARTíCULOS SIMILARES

CARGANDO ...