medigraphic.com
ENGLISH

Acta Médica Grupo Ángeles

Órgano Oficial del Hospital Ángeles Health System
  • Mostrar índice
  • Números disponibles
  • Información
    • Información general        
    • Directorio
  • Publicar
    • Instrucciones para autores        
    • Envío de artículos
    • Políticas
    • Nombre y afiliación del Comité Editorial
  • Nosotros
    • Plan de gestión e intercambio de datos
    • Objetivos declarados y alcance
  • medigraphic.com
    • Inicio
    • Índice de revistas            
    • Registro / Acceso
  • Mi perfil

2025, Número 5

<< Anterior Siguiente >>

Acta Med 2025; 23 (5)


Isquemia medular y enfermedad aortoiliaca

Mendoza Romo Ramírez, Miguel Ángel1; Hernández Rivera, Luisa Fernanda2; Hernández Hurtado, Omar Antonio2; Villanueva López, José Alfredo3
Texto completo Cómo citar este artículo 10.35366/121186

DOI

DOI: 10.35366/121186
URL: https://dx.doi.org/10.35366/121186
Artículos similares

Idioma: Español
Referencias bibliográficas: 4
Paginas: 463-466
Archivo PDF: 260.28 Kb.


PALABRAS CLAVE

isquemia, médula espinal, enfermedad aortoiliaca, paraplejia.

RESUMEN

La isquemia de la médula espinal es una rara complicación, la cual se observa en 0.3 a 6.5% posterior al manejo de la aorta abdominal por patología aneurismática o enfermedad aortoiliaca por aterosclerosis, posterior a su intervención quirúrgica de bypass aortobifemoral. La médula espinal se encuentra irrigada en diferentes niveles desde cervical, torácica, lumbar y sacra; en algunos casos, la irrigación lumbar y sacra dependen de la arteria del cono o Desproges-Gotteron, como se presenta en este caso.



INTRODUCCIóN

La isquemia medular se presenta posterior a un déficit de irrigación por sus arterias principales en la médula espinal, entre algunos otros factores. Su presentación habitual es debilidad de miembros inferiores, asociada a pérdida sensitiva. La sospecha diagnóstica es clínica, confirmándose mediante tomografía computarizada (TAC) o resonancia magnética (RM). El riesgo de isquemia medular es de 0.3 a 6.5% en el manejo de enfermedad aortoiliaca por aterosclerosis.1,2



PRESENTACIóN DEL CASO

Se trata de paciente masculino de 70 años, con tres semanas de claudicación acompañado de eritema interdigital entre el segundo y tercer ortejo. Con antecedente de hipertensión arterial sistémica sin tratamiento y tabaquismo crónico desde los 23 años a razón de 30 cigarros al día. Antecedente quirúrgico de apendicectomía a los 13 años.

Al examen físico: miembro pélvico izquierdo sin lesiones isquémicas, sin embargo, no presenta pulsos desde región femoral hasta región pedia. Miembro pélvico derecho con presencia de poiquilotermia, atrófico, necrosis seca interdigital entre el segundo y tercer ortejo sin presencia de pulsos desde región femoral hasta región pedia (Figura 1A y B). TAC mostró evidencia de enfermedad aortoiliaca según la clasificación Trans-Atlantic Inter-Society Consensus (TASC) D (Figura 1C y D).

Mediante abordaje retroperitoneal se realizó bypass aortobifemoral con injerto protésico y bypass femoropoplíteo derecho con injerto protésico. Pinzamiento aórtico infrarrenal de 30 minutos, manteniendo tensión arterial media entre 80 y 90 mmHg. Al término de la cirugía, se evidenció isquemia arterial aguda en miembro pélvico izquierdo, por lo que se realizó trombectomía proximal y distal, así como bypass femoropoplíteo izquierdo con injerto protésico. Se recuperó flujo y, posteriormente, se corroboró paso de contraste con angiografía transoperatoria y TAC (Figura 2A y B). A las tres horas, posterior al procedimiento, las extremidades inferiores se encontraron eutérmicas y con adecuada coloración. Miembro pélvico derecho con pulso femoral G2, pulso poplíteo G1, no se palpó pulso tibial posterior ni pulso pedio; miembro pélvico izquierdo con pulso femoral G2, pulso poplíteo G1, no se palpó pulso tibial posterior ni pulso pedio; sin embargo, se evidenció flujo distal mediante Doppler lineal. En todo el periodo postquirúrgico, el paciente se encontró con tensión arterial media entre 80 y 90 mmHg.

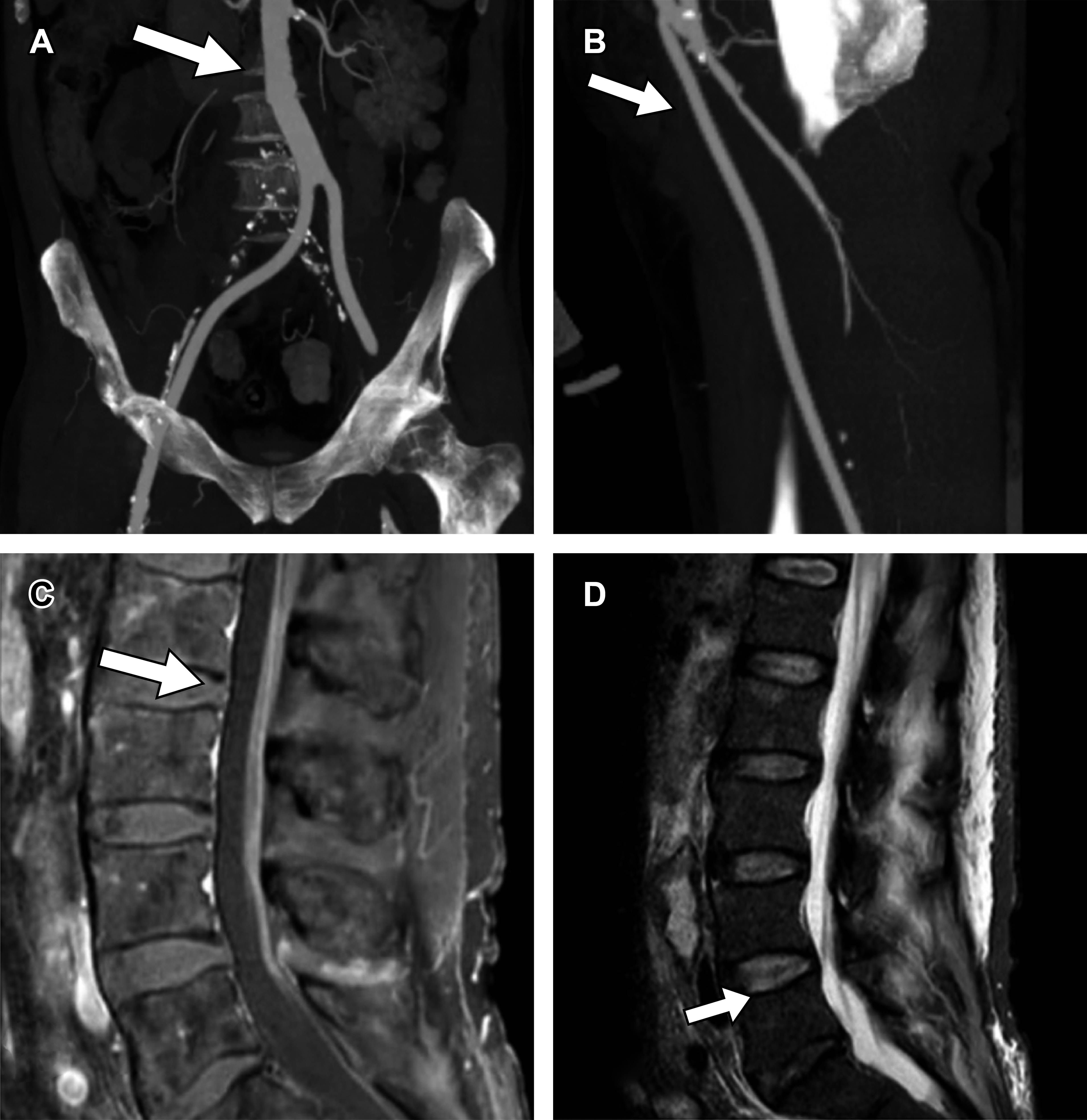
A las seis horas postquirúrgicas, al terminar el efecto de la anestesia, se evidenció disminución de la movilidad y sensibilidad en las extremidades inferiores hasta un deterioro progresivo con pérdida de sensación de tacto, sensación de temperatura, dolor y propiocepción desde región genital e inferior a cresta iliaca hasta pie, por lo que se sospechó isquemia medular. Se solicitó angiorresonancia, la cual mostró cambio de intensidad de señal intrasustancia de médula, sugestivo de isquemia raquimedular. El diagnóstico fue confirmado por neurocirugía (Figura 2C y D); finalmente, se decidió manejo conservador con esteroides.



DISCUSIóN

Se observa pérdida de la sensibilidad táctil, térmica, dolorosa y de la propiocepción del paciente, desde debajo de la cresta iliaca y la región genital hasta el pie, correspondiente al segmento L1-S1. Los hallazgos por imagen coinciden con una isquemia que se extiende desde el nacimiento del cono medular, a nivel de L1. La arteria del cono medular presenta un origen variable, pudiendo derivar de la arteria iliaca interna o de alguna de sus ramas, comúnmente la arteria iliolumbar. Esta arteria asciende a lo largo de las raíces nerviosas L5 o S1 y forma una anastomosis con la red perimedular.

A pesar del pinzamiento aórtico breve y del manejo transoperatorio óptimo, el injerto colocado en el segmento infrarrenal L2-L3, junto con la variante anatómica de emergencia ectópica de la arteria del cono o Desproges-Gotteron —dependiente de la rama iliolumbar de la arteria iliaca interna—, podría resultar insuficiente para garantizar la irrigación medular ante cualquier alteración en la perfusión. Al igual que en el flujo sanguíneo cerebral, la vasorregulación de la médula espinal depende del pH y de la pCO2. La isquemia desencadena una respuesta inflamatoria y excitotoxicidad, predominantemente mediante apoptosis controlada (Figura 3A).3

Asimismo, el paciente presentó una importante colateralidad de predominio sistémico por medio de arterias hipogástricas, iliolumbares y sacras como origen de las arterias radiculares que no compensan en el segmento inferior (Figura 3B). Está descrito el drenaje de líquido cefalorraquídeo como un método de protección para la isquemia medular; Bertoni y colaboradores mencionan una serie de protección medular solo en pacientes donde se cubrió toda la aorta torácica, y en caso de abordar la aorta abdominal solo si la aorta torácica había sido intervenida previamente, por lo que como medida profiláctica está fuera de escenario.4



CONCLUSIONES

En todo paciente sometido a cirugía de aorta, la profilaxis debe centrarse en mantener la perfusión de al menos una arteria hipogástrica y en evitar la hipotensión perioperatoria. Asimismo, es fundamental realizar una exploración neurológica dirigida tras el procedimiento, con el fin de detectar tempranamente una posible alteración y brindar atención oportuna. En este caso particular, puede inferirse que, debido a la historia natural de la enfermedad aterosclerótica difusa, cualquier episodio de hipoperfusión podría desencadenar isquemia medular.


REFERENCIAS (EN ESTE ARTÍCULO)

  1. Geldmacher DS, Bowen BC. Enfermedad vascular de la médula espinal. En: Bradley WG, Daroff RB, Fenichel GM, Jankovic J, editores. Neurología clínica. 5ª ed. Vol. 2. España: Elsevier; 2010. p. 1293-1302.

  2. Rouco I, Barredo J, Zarranz JJ. Enfermedades de la médula espinal. En: Zarranz JJ, editor. Neurología. 5ª ed. España: Elsevier; 2018. p. 423-450.

  3. Pigna F, Lana S, Bellini C, Bonfanti L, Creta M, Cervellin G. Spinal cord infarction. A case report and narrative review. Acta Biomed. 2021; 92 (S1): e2021080. doi: 10.23750/abm.v92iS1.8395.

  4. Bertoni H, Girela G. Incidencia y factores que influyen en la isquemia medular durante el tratamiento endovascular de la aorta torácica. Rev Argent Cardiol. 2016; 84 (4): 372-373.



AFILIACIONES

1 Residente de Cirugía Vascular, Hospital Central de Chihuahua, Facultad de Medicina de la Universidad Autónoma de Chihuahua. México. ORCID: 0000-0001-7595-9265

2 Adscrito de Cirugía Vascular, Hospital Central de Chihuahua, Facultad de Medicina de la Universidad Autónoma de Chihuahua. México.

3 Cirugía General, Hospital General de Cancún, Facultad de Medicina de la Universidad Autónoma de Yucatán. México. ORCID: 0000-0003-0605-9495



Si desea consultar los datos complementarios de este artículo, favor de dirigirse a editorial.actamedica@saludangeles.mx



CORRESPONDENCIA

Miguel Ángel Mendoza Romo Ramírez. Correo electrónico: miguelmerz575@gmail.com




Recibido: 17-08-2024. Aceptado: 28-10-2024.

Figura 1
Figura 2
Figura 3

2020     |     www.medigraphic.com

Mi perfil

C?MO CITAR (Vancouver)

Acta Med. 2025;23

ARTíCULOS SIMILARES

CARGANDO ...