medigraphic.com
ENGLISH

Acta Médica Grupo Ángeles

Órgano Oficial del Hospital Ángeles Health System
  • Mostrar índice
  • Números disponibles
  • Información
    • Información general        
    • Directorio
  • Publicar
    • Instrucciones para autores        
    • Envío de artículos
    • Políticas
    • Nombre y afiliación del Comité Editorial
  • Nosotros
    • Plan de gestión e intercambio de datos
    • Objetivos declarados y alcance
  • medigraphic.com
    • Inicio
    • Índice de revistas            
    • Registro / Acceso
  • Mi perfil

2025, Número 5

<< Anterior Siguiente >>

Acta Med 2025; 23 (5)


Linfoma plasmablástico del canal anal simulando absceso rectal

Álvarez López, Óscar1; Hernández López, Korel Antonio2; Zambrano Ayala, Miriam Margarita3; Zaragoza Mendieta, Miguel Ángel4
Texto completo Cómo citar este artículo 10.35366/121187

DOI

DOI: 10.35366/121187
URL: https://dx.doi.org/10.35366/121187
Artículos similares

Idioma: Español
Referencias bibliográficas: 5
Paginas: 467-469
Archivo PDF: 275.24 Kb.


PALABRAS CLAVE

linfoma plasmablástico, VIH, absceso anorrectal.

RESUMEN

El linfoma plasmablástico es una variante poco común de los linfomas de células B grandes, se presenta en pacientes con infección por virus de inmunodeficiencia humana (VIH). Reportamos un caso poco común de linfoma plasmablástico anorrectal en un paciente de 36 años de edad con reciente diagnóstico de VIH, presentándose clínicamente como un absceso anorrectal.



INTRODUCCIóN

El linfoma plasmablástico es una variante poco común de los linfomas de células B grandes, de naturaleza agresiva.1,2 Presenta una incidencia reportada en algunas series en 2.6% de todos los linfomas,1 la clasificación actual de la Organización Mundial de la Salud (OMS) del linfoma plasmablástico lo enlista como linfoma de la cavidad oral, sin embargo, se han reportado diversos casos con afectación extraoral, dentro de éstos, la presentación anorrectal continúa siendo poco común.1-4



PRESENTACIóN DEL CASO

Se presenta un paciente masculino de 36 años con reciente diagnóstico por VIH, que acude por dolor en la región perianal de un mes de evolución.

A la exploración física se encuentra una tumoración anal de 15 × 9 cm eritematosa, ulcerada e indurada, con edema isquiorrectal, perineal y de la región escrotal. Con salida de material purulento isquiorrectal derecho y perineal (Figura 1), se complementa exploración con tacto rectal y posterior proctosigmoidoscopia hasta 12 cm después del margen anal en donde se observan plexos hemorroidales internos congestivos, trayecto fistuloso anterior y lateral en el radio de las 11 a dos centímetros del margen anal.

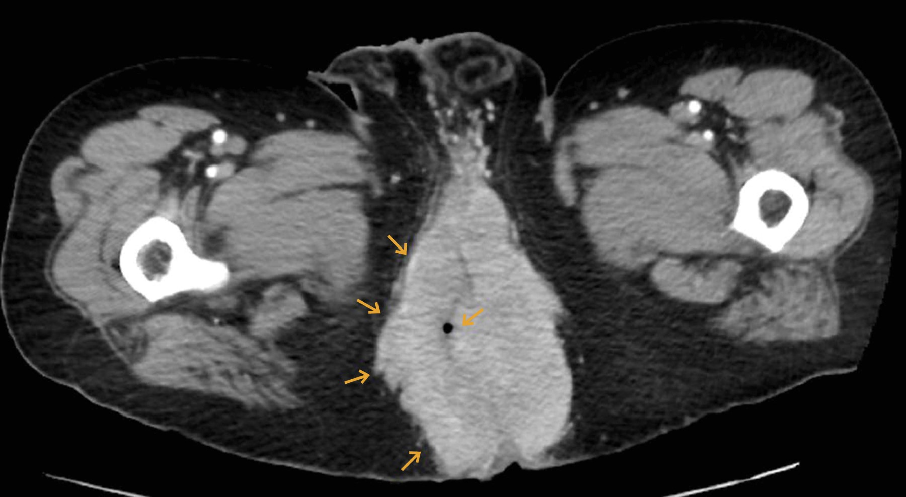
Para complementar la exploración, se solicitó una tomografía abdominopélvica (Figura 2) que evidenció infiltración a nivel de la región perineal con medidas de 15.3 × 9.3 × 11.6 cm de bordes lobulados y mal definidos, así como una colección extensa que afecta el piso pélvico, región perianal y el margen escrotal posterior.

En las pruebas de laboratorio destacó la carga viral de 142,000 copias y CD4 de 198 células/mm3. Se realizó intervención quirúrgica con drenaje y colocación de setón en el trayecto fistuloso y toma de biopsias. El estudio histopatológico y la inmunohistoquímica demostraron positividad para CD-138, Múltiple Myeloma Oncogene 1 (MUM-1) y Epstein-Barr Virus encoded RNA (EBER-ISH), así como CD20(-), CD 30(-) y Ki67 > 90%, diagnosticándose así linfoma plasmablástico del canal anal (Figura 3).

Se inició tratamiento antirretroviral con darunavir/cobicistat y dolutegravir y quimioterapia DA-EPOCH. Tras cuatro meses de seguimiento se logró reducción de la masa tumoral en un 70%. El paciente falleció al año de seguimiento por neumonía atípica.



DISCUSIóN

El linfoma plasmablástico fue descrito en 1997 y se incluyó en la clasificación de la OMS en 20085 como una variante del linfoma difuso de células B grandes, diferenciándose por la no expresión de CD-20 y por la expresión de marcadores de células plasmáticas como CD-138 y MUM-1.1,5 El diagnóstico, en este caso, se realizó de forma definitiva mediante inmunohistoquímica.

La afectación extraoral es rara y se presenta en el 30-50% de los casos,4 mientras que la afectación anal es una presentación aún más rara con 11 casos reportados en la literatura.2 El pronóstico es malo a largo plazo, con una supervivencia menor a 12 meses.5 En la actualidad no existe consenso del tratamiento estándar, opciones terapéuticas incluyen esquemas de quimioterapia como CHOP, DA-EPOCH, hiper-CVAD y CODOX-M/IVAC.1,5



CONCLUSIóN

El hallazgo de una masa en la región anal en pacientes con VIH debe despertar la sospecha de malignidad y ésta debe incluirse como diagnóstico diferencial, por lo que la toma de biopsia debe ser una práctica común en estos escenarios clínicos.


REFERENCIAS (EN ESTE ARTÍCULO)

  1. Castillo JJ, Reagan JL. Plasmablastic lymphoma: a systematic review. ScientificWorldJournal. 2011; 11: 687-696. doi: 10.1100/tsw.2011.59.

  2. Tavora F, Gonzalez-Cuyar LF, Sun CC, Burke A, Zhao XF. Extra-oral plasmablastic lymphoma: report of a case and review of literature. Hum Pathol. 2006; 37 (9): 1233-1236. doi: 10.1016/j.humpath.2006.04.009.

  3. Lopez-Iniguez A, Llamas-Covarrubias MA, Navarro-Blackaller G, Velez-Gomez E, Gonzalez-Hernandez LA, Campos-Loza AE et al. Rectal plasmablastic lymphoma in HIV/AIDS: two cases. World J Oncol. 2013; 4 (1): 54-57. doi: 10.4021/wjon627w.

  4. Bricman L, Yengue P, Miscu C, Junius S, Waignein F, Vandenbulcke JM. Rectal plasmablastic lymphoma in Ebstein Barr virus positive and human immunodeficiency virus negative subject after external radiation therapy for prostatic cancer. Acta Gastroenterol Belg. 2021; 84 (4): 663-665. doi: 10.51821/84.4.018.

  5. Mai B, Wang W, Lin M, Hu S, Wang XI, Chen L et al. HIV-associated plasmablastic lymphoma in the era of HAART: a single-center experience of 21 patients. AIDS. 2020; 34 (12): 1735-1743. doi: 10.1097/QAD.0000000000002590.



AFILIACIONES

1 Médico residente de cirugía general, Hospital General de Occidente. Zapopan, Jalisco. ORCID: 0000-0002-4665-6190

2 Médico residente de cirugía general, Hospital General de Occidente. Zapopan, Jalisco. ORCID: 0000-0001-9069-2175

3 Cirujana general y coloproctóloga, Hospital Angeles Del Carmen. Zapopan, Jalisco.

4 Cirujano general y laparoscopista, Hospital Angeles Del Carmen. Zapopan, Jalisco.



Si desea consultar los datos complementarios de este artículo, favor de dirigirse a editorial.actamedica@saludangeles.mx



CORRESPONDENCIA

Dr. Óscar Álvarez López. Correo electrónico: alvarez.lopez.o13@gmail.com




Recibido: 30-07-2024. Aceptado: 28-10-2024.

Figura 1
Figura 2
Figura 3

2020     |     www.medigraphic.com

Mi perfil

C?MO CITAR (Vancouver)

Acta Med. 2025;23

ARTíCULOS SIMILARES

CARGANDO ...