medigraphic.com
ENGLISH

Acta Médica Grupo Ángeles

Órgano Oficial del Hospital Ángeles Health System
  • Mostrar índice
  • Números disponibles
  • Información
    • Información general        
    • Directorio
  • Publicar
    • Instrucciones para autores        
    • Envío de artículos
    • Políticas
    • Nombre y afiliación del Comité Editorial
  • Nosotros
    • Plan de gestión e intercambio de datos
    • Objetivos declarados y alcance
  • medigraphic.com
    • Inicio
    • Índice de revistas            
    • Registro / Acceso
  • Mi perfil

2025, Número 5

<< Anterior Siguiente >>

Acta Med 2025; 23 (5)


Rotura-avulsión completa de la porción larga del bíceps hallazgos en resonancia magnética

Rebolledo Casas, Joana Andrea1,2,5; Jaramillo Arriaga, Fernando1,2,6; Enríquez Muñoz, Eduardo Alfredo1,2,7; Martínez Ovis, Carolina1,3,8; González Ramírez, Cynthia Nalleli1,3,9; Gómez Pérez, María de Guadalupe1,4,10
Texto completo Cómo citar este artículo 10.35366/121191

DOI

DOI: 10.35366/121191
URL: https://dx.doi.org/10.35366/121191
Artículos similares

Idioma: Español
Referencias bibliográficas: 4
Paginas: 479-481
Archivo PDF: 684.53 Kb.


PALABRAS CLAVE

resonancia magnética, hombre, porción larga del bíceps, rotura.

RESUMEN

La rotura de la porción larga del bíceps es una lesión común en el hombro, especialmente en personas mayores o en deportistas que realizan movimientos repetitivos de elevación o fuerza. El bíceps braquial tiene dos porciones o cabezas: la porción corta y la porción larga. La porción larga se inserta en la parte superior de la cavidad glenoidea del omóplato (escápula) y es más susceptible a lesiones debido a su recorrido y tensión constante. Las lesiones que afectan al tendón de la porción larga del bíceps son causas frecuentes de dolor y discapacidad en el hombro. La tenotomía y la tenodesis del bíceps han ganado una amplia aceptación como procedimientos efectivos para tratar tanto la patología aislada como las lesiones combinadas del manguito rotador y el complejo bicipitolabral.



INTRODUCCIóN

El bíceps braquial tiene como función principal la supinación del antebrazo cuando está en pronación y el codo en flexión, de forma secundaria también se encarga de la flexión del codo. Este músculo está compuesto por sus dos vientres musculares con sus respectivos tendones largo y corto, se considera que contribuye con un 37-44% en la supinación y entre 10-40% en la flexión del antebrazo.1

La porción larga del tendón del bíceps es una estructura que discurre por la articulación glenohumeral, la cual es intraarticular, pero extrasinovial, se origina desde el tubérculo supraglenoideo y se encuentra íntimamente relacionada con el labrum, este corre a través de la corredera bicipital hasta salir de la articulación.2

La rotura del tendón del bíceps, por lo general, afecta a personas de 40 a 60 años, y a varones más a menudo que a mujeres. La incidencia y prevalencia de las roturas del tendón del bíceps (90 a 97%) ocurre en la parte proximal del bíceps y afecta la porción larga del tendón del bíceps.3 La mayor parte de las roturas se relacionan con una agresión traumática única, asociada a una fuerza igual o superior a 40 kg que hace resistencia contra el codo a unos 90 grados de flexoextensión. Los cambios degenerativos preexistentes predisponen a la rotura y se relacionan con déficit de vascularización cerca de la inserción o el pinzamiento originado durante la flexión y supinación forzadas.4



PRESENTACIóN DEL CASO

Se trata de paciente masculino de 48 años, quien ingresa por presentar dolor, limitación funcional para la flexión del brazo y sensación de masa en el tercio medio del brazo, iniciados el día previo a la realización del estudio, después de levantar y apilar unas maletas en su hogar.



DISCUSIóN

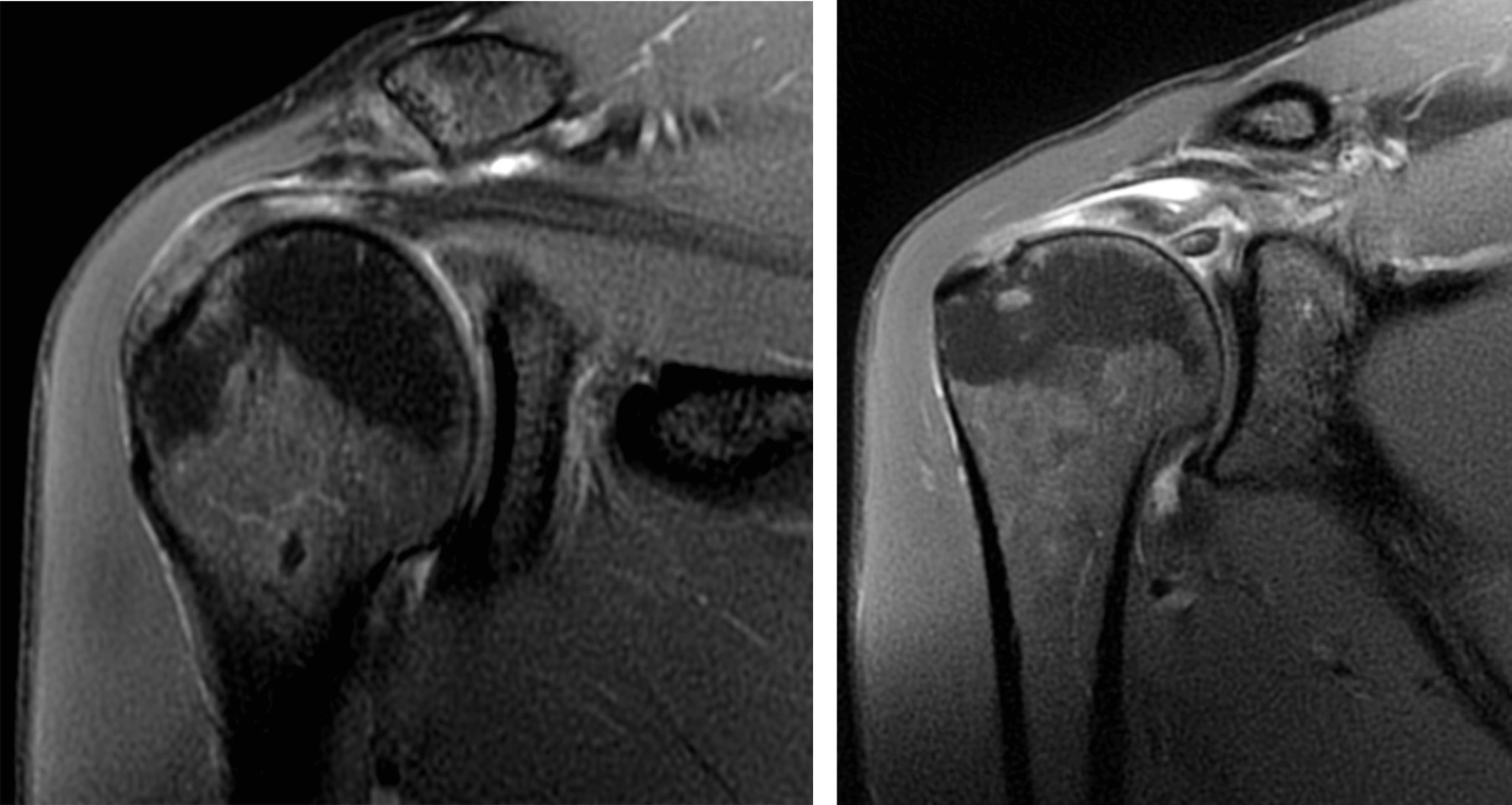
La resonancia magnética evidencia, como diagnóstico principal, una ruptura-avulsión completa de la porción larga del bíceps en su sitio de origen en el tubérculo supraglenoideo, con retracción distal de sus fibras (corredera bicipital vacía) (Figuras 1 y 2). Como hallazgo secundario, se observa tendinitis con ruptura parcial intrasustancia y de la unión miotendinosa del supraespinoso (Figura 3). Estos hallazgos explican de forma precisa la correlación clínica e imagenológica descrita en la solicitud, y demuestran la alta sensibilidad y especificidad de la resonancia magnética de hombro para la detección detallada de lesiones musculoesqueléticas.



CONCLUSIONES

Se corrobora el importante impacto de la correlación clínica con los hallazgos por resonancia magnética para confirmación de lesiones musculotendinosas, así como la utilidad del reporte minucioso de los hallazgos obtenidos de la interpretación del estudio, los cuales son de gran utilidad en la orientación del tratamiento definitivo para los médicos tratantes.


REFERENCIAS (EN ESTE ARTÍCULO)

  1. Bretón-Espinosa LC, Martínez-Estupiñan LM, Morales-Piñeiro SV. Rotura del tendón largo del bíceps braquial: resultado tras 15 años de evolución. Medicentro Electrónica. 2021; 25 (4): 762-770. Disponible en: http://scielo.sld.cu/scielo.php?script=sci_arttext&pid=S1029-30432021000400762&lng=es

  2. Popp D, Schoffl V. Superior labral anterior posterior lesions of the shoulder: current diagnostic and therapeutic standards. World J Orthop. 2015; 6 (9): 660-671. doi: 10.5312/wjo.v6.i9.660

  3. Alvarado-Chávez TS, Benavides-Naranjo RA, Pezo-Maposa GH, Cevallos-Melo DO. Reparación de la rotura de la porción larga del tendón bíceps: técnica modificada del ojo de la cerradura. RECIAMUC. 2019; 3 (2): 395-416. Disponible en: https://reciamuc.com/index.php/RECIAMUC/article/view/346

  4. Mellano CR, Shin JJ, Yanke AB, Verma NN. Disorders of the long head of the biceps tendon. Instr Course Lect. 2015; 64: 567-576.



AFILIACIONES

1 Hospital Angeles del Pedregal. Ciudad de México, México.

2 Médico residente de Alta Especialidad en Resonancia Magnética del Sistema Musculoesquelético.

3 Médico residente de Alta Especialidad en Resonancia Magnética de Cuerpo Completo.

4 Médico radiólogo, especialista en Resonancia Magnética. Profesor titular de los cursos de Alta Especialidad de Resonancia Magnética de Cuerpo Completo y Sistema Musculoesquelético.
ORCID:

5 0000-0002-9697-2167

6 0009-0008-3014-0078

7 0009-0004-4033-0183

8 0000-0001-6793-0171

9 0000-0002-9767-900X

10 0009-0005-3498-5594



Si desea consultar los datos complementarios de este artículo, favor de dirigirse a editorial.actamedica@saludangeles.mx



CORRESPONDENCIA

Joana Andrea Rebolledo Casas. Correo electrónico: jhoanacasas@gmail.com




Recibido: 20-08-2024. Aceptado: 19-09-2024.

Figura 1
Figura 2
Figura 3

2020     |     www.medigraphic.com

Mi perfil

C?MO CITAR (Vancouver)

Acta Med. 2025;23

ARTíCULOS SIMILARES

CARGANDO ...