medigraphic.com
ENGLISH

Revista Mexicana de Periodontología

ISSN 2007-4360 (Impreso)
Asociación Mexicana de Periodontología, Colegio de Periodoncistas A.C
  • Mostrar índice
  • Números disponibles
  • Información
    • Información general        
    • Directorio
  • Publicar
    • Instrucciones para autores        
  • medigraphic.com
    • Inicio
    • Índice de revistas            
    • Registro / Acceso
  • Mi perfil

2024, Número 1-3

<< Anterior Siguiente >>

Rev Mex Periodontol 2024; 15 (1-3)


Corticotomías para ortodoncia osteogénica acelerada periodontalmente y recontorneo gingival: reporte de caso

Enríquez Herrera, Jaime Antonio1; Gómez Thomas, David1
Texto completo Cómo citar este artículo 10.35366/121228

DOI

DOI: 10.35366/121228
URL: https://dx.doi.org/10.35366/121228
Artículos similares

Idioma: Español
Referencias bibliográficas: 20
Paginas: 36-41
Archivo PDF: 448.43 Kb.


PALABRAS CLAVE

corticotomía, ortodoncia, fenómeno de aceleración regional, sonrisa gingival, ortodoncia osteogénica acelerada periodontalmente.

RESUMEN

El tratamiento de ortodoncia tradicional representa dolor y tiempo prolongado, lo que provoca que algunos pacientes rechacen o interrumpan el tratamiento. Los pacientes clase II esqueletal y dental de Angle, suponen un mayor reto al tratar de conseguir armonía facial sin someterse a cirugía ortognática. La ortodoncia osteogénica acelerada periodontalmente (PAOO, por sus siglas en inglés) mediante corticotomías es una alternativa que utiliza como base biológica el fenómeno de aceleración regional (RAP, por sus siglas en inglés). El RAP, descrito por Frost como la correlación entre el grado de daño al tejido óseo y la intensidad de su respuesta al cicatrizar, es una reacción tisular a distintos estímulos nocivos, tales como infecciones, traumatismos, fracturas e intervenciones quirúrgicas, se produce un estallido temporal de remodelación localizada de tejidos duros y blandos (regeneración) que reconstruye el hueso a su estado normal. Por otra parte, mejora las distintas etapas de cicatrización fisiológica normal, que ocurre de 2 a 10 veces más rápido, esto resulta en mayor movimiento ortodóncico, reduce el dolor, reabsorción radicular, pérdida de estructura ósea y tiempo de tratamiento. El RAP empieza después de algunos días postrauma, con picos altos en los primeros dos a cuatro meses y dura hasta los 24 meses. El uso del piezoeléctrico para realizar este tratamiento reduce daño a los tejidos, produce osteopenia que eleva el contenido mineral óseo. El objetivo del presente trabajo es detallar la técnica utilizada en un paciente con estas características acompañadas de sonrisa gingival y los beneficios del uso de corticotomías para el rápido movimiento dental.



ABREVIATURAS:

  • PAOO = ortodoncia osteogénica acelerada periodontalmente (Periodontally accelerated osteogenic orthodontics)
  • RAP = fenómeno de aceleración regional (regional acceleration phenomenon)
  • UBM = unidades multicelulares óseas



INTRODUCCIóN

La sonrisa gingival se define como la exposición excesiva de tejido gingival (> 2 mm), este padecimiento cuenta con una etiología multifactorial y una prevalencia del 10% en pacientes de 20-30 años. Puede estar asociada con la presencia de un labio corto o hipermóvil, sobrecrecimiento maxilar vertical, erupción pasiva alterada y también por factores causantes de un crecimiento gingival excesivo como biofilm, abundante en pacientes con aparatología ortodóntica. Los pacientes con una diferencia mayor a 8 mm entre labio superior en reposo y sonrisa máxima, se consideran con labio hipomóvil, mientras que el labio superior debe contar con una medida mayor a los 18 mm.1-3

La erupción pasiva es el movimiento apical continuo del margen gingival, el epitelio de unión y la inserción del tejido conectivo que ocurre después de que el diente llega a su oclusión funcional. Por otro lado, la erupción pasiva alterada sucede cuando, al momento de la erupción del diente, el margen gingival no consigue colocarse a un nivel apical a la convexidad cervical de la corona del diente.2,3

El tratamiento consiste en un recontorneo gingival, que se define como un procedimiento quirúrgico diseñado para incrementar la estructura supragingival por motivos estéticos o restaurativos por medio de la colocación apical del margen gingival y remoción de estructura ósea, blanda o ambas.4-9

La mayoría de los tratamientos convencionales de ortodoncia requieren más de un año para completarse, lo que provoca que algunos pacientes no terminen el tratamiento; por lo que se han realizado una serie de avances en la ortodoncia para acelerar el movimiento dental sin necesidad de utilizar fuerzas excesivas.10,11

La corticotomía es una alternativa quirúrgica con la finalidad de acelerar el movimiento dental introducida por Kole en 1959. El procedimiento descrito por Kole consiste en elevación de colgajo de espesor total, seguido por cortes interdentales en hueso cortical y penetrando en hueso medular; lo que suponía una menor reabsorción radicular al desplazar las piezas fácilmente con menor presión, así como minimizar el tiempo de tratamiento.10,11

En 1995, los doctores Wilcko, patentaron una terapia ortodóntica-quirúrgica denominada: ortodoncia osteogénica acelerada periodontalmente (PAOO, por sus siglas en inglés). La PAOO consiste en utilizar aparatos ortodóncicos, colgajos de espesor total y corticotomías alrededor de los dientes que se desea mover. Es la combinación de una decorticalización selectiva, técnica de ortodoncia facilitada y aumento de cresta alveolar. Con esta técnica se logra un movimiento dental tres veces mayor en 1/4 del tiempo que el requerido en la ortodoncia tradicional. Se concluyó que esta técnica es segura, efectiva, muy predecible, asociada con menor reabsorción radicular, menor tiempo de tratamiento y, en algunos casos, reduce la necesidad de cirugía ortognática.12-15

El movimiento dental por corticotomía no es el movimiento óseo en bloque, sino es el facilitar el movimiento dental de manera mecánica gracias al proceso de mineralización y desmineralización. La base biológica que utiliza este tratamiento es el fenómeno de aceleración regional (RAP, por sus siglas en inglés) introducido por Frost en 1989.10,11,16

El RAP es una reacción tisular a distintos estímulos nocivos, tales como infecciones, traumatismos, fracturas, intervenciones quirúrgicas, se caracteriza por una aceleración de los procesos tisulares normales y envuelve tejidos blandos y duros generalmente presente postrauma, denervación periférica aguda y parálisis aguda de origen central, así como procesos inflamatorios no infecciosos.

Durante este proceso, los mecanismos vitales se aceleran por encima de los valores normales. El metabolismo y las actividades de las células diferenciadas, las actividades de las células precursoras, la diferenciación de las células, el crecimiento longitudinal y transversal del hueso y del cartílago, junto con la remodelación del hueso laminar basada en unidades multicelulares óseas (UBM) son actividades que se ven afectados por el RAP en los tejidos óseos, como el hueso tejido, el hueso lamelar, el esponjoso y el compacto.10,11,15,16

Al mejorar las distintas etapas de cicatrización, ésta ocurre de 2 a 10 veces más rápido que en la cicatrización fisiológica normal. El RAP comienza después de algunos días postrauma con sus picos más altos en los primeros dos meses, usualmente dura hasta los cuatro meses y disminuye desde los seis hasta los 24 meses. Los tratamientos que utilizan este principio son la corticisión, piezocisión y microosteoperforación.17-19

El uso del piezoeléctrico para realizar la PAOO fue introducido por Vercellotti 2007 con la finalidad de lograr un movimiento dental acelerado, mismo que reduce daño a tejidos, produce osteopenia que eleva el contenido mineral óseo, se liberan ricos depósitos de calcio y se mineraliza el hueso nuevo de los 20 a los 55 días, lo que produce una menor resistencia dental ante la activación aparatológica.20 Después de la intervención, el nuevo tejido óseo se encuentra más fuerte que antes, lo que mejora la estética facial. El procedimiento consiste en realizar cortes desde hueso cortical hasta medular en dos sentidos: uno vertical de 2 a 3 mm alejado de la raíz y uno horizontal a una distancia de 3-5 mm del ápice. El tratamiento ortodóncico de la mano con corticotomías representa un alto nivel de disminución en tiempo de tratamiento, principalmente en pacientes clase II de Angle de tres a nueve meses.10,12,19



PRESENTACIóN DEL CASO

Paciente femenino de 25 años, ASA I; acude a Clínica de Periodoncia e Implantología de la Universidad AME por gingivectomía referida por su ortodoncista. Al interrogatorio, refiere llevar más de un año de tratamiento sin cambios evidentes, así como inconformidad con la forma de sus dientes y exposición de encía al sonreír.

A la evaluación clínica inicial, presentó labio corto de 19 mm en reposo, labio hipermóvil con diferencia mayor de 8 mm entre reposo y sonrisa máxima, biopelícula generalizada, sobremordida horizontal de 12 mm y vertical que cubre 3/3 de la cara vestibular de dientes inferiores, así como exostosis en vestibular y un fenotipo periodontal grueso (Figura 1).

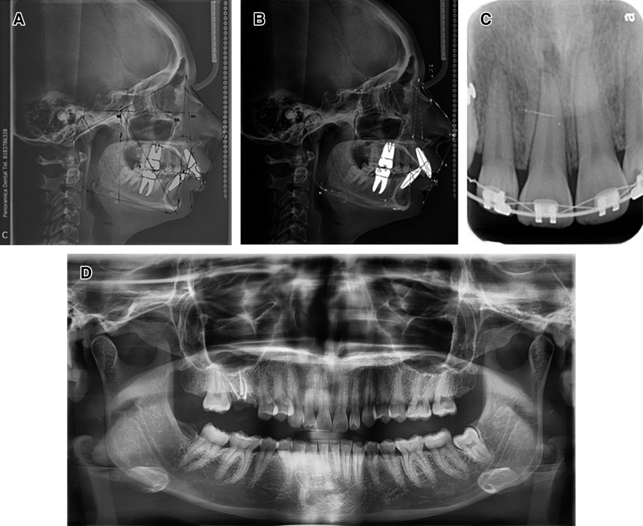
Con los estudios de imagen, se otorga el diagnóstico de erupción pasiva alterada tipo 1 subgrupo B, patrón de crecimiento vertical maxilar, clase II esqueletal (Figura 2).

Se indican corticotomías con piezoeléctrico para PAOO y recontorneo gingival para tratar la erupción pasiva alterada y permitir posicionar aparatología correctamente.

Bajo anestesia local en la arcada superior, se realizó la remoción de tejido de inserción supracrestal de órganos dentarios 1.5 a 2.5, posteriormente se realizaron incisiones sulculares y se elevó colgajo de espesor total para exponer la cortical ósea vestibular. Con el piezoeléctrico, se realizaron corticotomías en sentido vertical en el área interradicular, del largo de la raíz. Posteriormente, se eliminaron exostosis y se realizó recontorneo gingival, así como la desinserción del frenillo labial. Se suturó con puntos en 8 por palatino con Vicryl 5-0. Se retiraron puntos a los siete días (Figura 3).

Se realizó seguimiento tres meses posteriores donde se observa el antes y después en la cicatrización de los tejidos periodontales y el avance satisfactorio del tratamiento ortodóncico (Figura 4).



DISCUSIóN

Desde 1959, año en el que Kole introdujo la técnica de corticotomías, aunque la base biológica es la misma, han ocurrido una serie de avances y modificaciones en la técnica. La ortodoncia osteogénica acelerada periodontalmente resulta ser una técnica segura, efectiva y predecible asociada con un menor daño a los tejidos dentales, disminuye el tiempo de tratamiento y en algunos casos reduce la necesidad de cirugías de mayor invasión. El uso del piezoeléctrico20 para corticotomías reduce aún más el daño tisular y el dolor postoperatorio.



CONCLUSIONES

La PAOO genera una serie de procesos inflamatorios, los cuales reducen el tiempo de tratamiento de tres a nueve meses en pacientes clase II de Angle, el procedimiento descrito minimiza de manera significativa el tiempo de tratamiento de ortodoncia y aminora los efectos adversos sobre el diente, su raíz y los tejidos de soporte. Al realizar dos procedimientos en una sola intervención quirúrgica se redujo el número de citas, manipulación de tejidos, recuperación y comodidad al paciente.


REFERENCIAS (EN ESTE ARTÍCULO)

  1. Cetin MB, Sezgin Y, Akinci S, Bak?rarar B. Evaluating the impacts of some etiologically relevant factors on excessive gingival display. Int J Periodontics Restorative Dent. 2021; 41 (3): e73-e80.

  2. Levine RA, McGuire M. The diagnosis and treatment of the gummy smile. Compend Contin Educ Dent. 1997; 18 (8): 757-762, 764; quiz 766.

  3. Robbins JW. Differential diagnosis and treatment of excess gingival display. Pract Periodontics Aesthet Dent. 1999; 11 (2): 265-272; quiz 273.

  4. Sonick M. Esthetic crown lengthening for maxillary anterior teeth. Compend Contin Educ Dent. 1997; 18 (8): 807-812, 814-816, 818-819.

  5. Lee EA. Aesthetic crown lengthening: classification, biologic rationale, and treatment planning considerations. Pract Proced Aesthet Dent. 2004; 16 (10): 769-778; quiz 780.

  6. Gargiulo AW, Wentz FM, Orban B. Dimensions and relations of the dentogingival junction in humans. J Periodontol. 1961; 32 (3): 261-267.

  7. Coslet JG, Vanarsdall R, Weisgold A. Diagnosis and classification of delayed passive eruption of the dentogingival junction in the adult. Alpha Omegan. 1977; 70 (3): 24-28.

  8. Dolt AH 3rd, Robbins JW. Altered passive eruption: an etiology of short clinical crowns. Quintessence Int. 1997; 28 (6): 363-372.

  9. Goldman HM, Cohen DW. Periodontal therapy. St. Louis: C. V. Mosby Company; 1968. pp. 80-82.

  10. Lee W. Corticotomy for orthodontic tooth movement. J Korean Assoc Oral Maxillofac Surg. 2018; 44 (6): 251-258.

  11. Frost HM. The biology of fracture healing. An overview for clinicians. Part I. Clin Orthop Relat Res. 1989; (248): 283-293.

  12. Pathak TS. Wilckodontics: periodontally accelerated osteogenic orthodontics. In: New horizons in medicine and medical research. Vol 2. Bhopal, India: Book Publisher International; 2022. pp. 167-174.

  13. Ricketts RM. A foundation for cephalometric communication. Am J Orthod. 1960; 46 (5): 330-357.

  14. Doyle DJ, Hendrix JM, Garmon EH. American Society of Anesthesiologists Classification. In: StatPearls. Treasure Island (FL): StatPearls Publishing; 2024.

  15. Sebaoun JD, Kantarci A, Turner JW, Carvalho RS, Van Dyke TE, Ferguson DJ. Modeling of trabecular bone and lamina dura following selective alveolar decortication in rats. J Periodontol. 2008; 79 (9): 1679-1688.

  16. Alghamdi AS. Corticotomy facilitated orthodontics: Review of a technique. Saudi Dent J. 2010; 22 (1): 1-5.

  17. Park YG. Corticision: a flapless procedure to accelerate tooth movement. Front Oral Biol. 2016; 18: 109-117.

  18. Prasad S, Ravindran S. Effect of micro-osteoperforations. Am J Orthod Dentofacial Orthop. 2014; 145 (3): 273.

  19. Gao J, Nguyen T, Oberoi S, Oh H, Kapila S, Kao RT et al. The significance of utilizing a corticotomy on periodontal and orthodontic outcomes: a systematic review and meta-analysis. Biology (Basel). 2021; 10 (8): 803.

  20. Vercellotti T, Dellepiane M, Mora R, Salami A. Piezoelectric bone surgery in otosclerosis. Acta Otolaryngol. 2007;127(9):932-937. doi:10.1080/00016480601110154.



AFILIACIONES

1 Especialidad en Periodoncia e Implantología, Universidad AME. Monterrey, Nuevo León, México.



CORRESPONDENCIA

Jaime Antonio Enríquez Herrera. E-mail: jaimenriquezh@gmail.com




Recibido: 22 de noviembre de 2024. Aceptado: 15 de julio de 2025.

Figura 1
Figura 2
Figura 3
Figura 4

2020     |     www.medigraphic.com

Mi perfil

C?MO CITAR (Vancouver)

Rev Mex Periodontol. 2024;15

ARTíCULOS SIMILARES

CARGANDO ...