medigraphic.com
ENGLISH

Cirugía Cardiaca en México

ISSN 2448-5640 (Impreso)
Diario Oficial de la Sociedad Mexicana de Cirugía Cardiaca, A.C., y del Colegio Mexicano de Cirugía Cardiovascular y Torácica, A.C.
  • Mostrar índice
  • Números disponibles
  • Información
    • Información general        
    • Directorio
  • Publicar
    • Instrucciones para autores        
    • Envío de artículos
  • medigraphic.com
    • Inicio
    • Índice de revistas            
    • Registro / Acceso
  • Mi perfil

2025, Número 4

<< Anterior Siguiente >>

Cir Card Mex 2025; 10 (4)


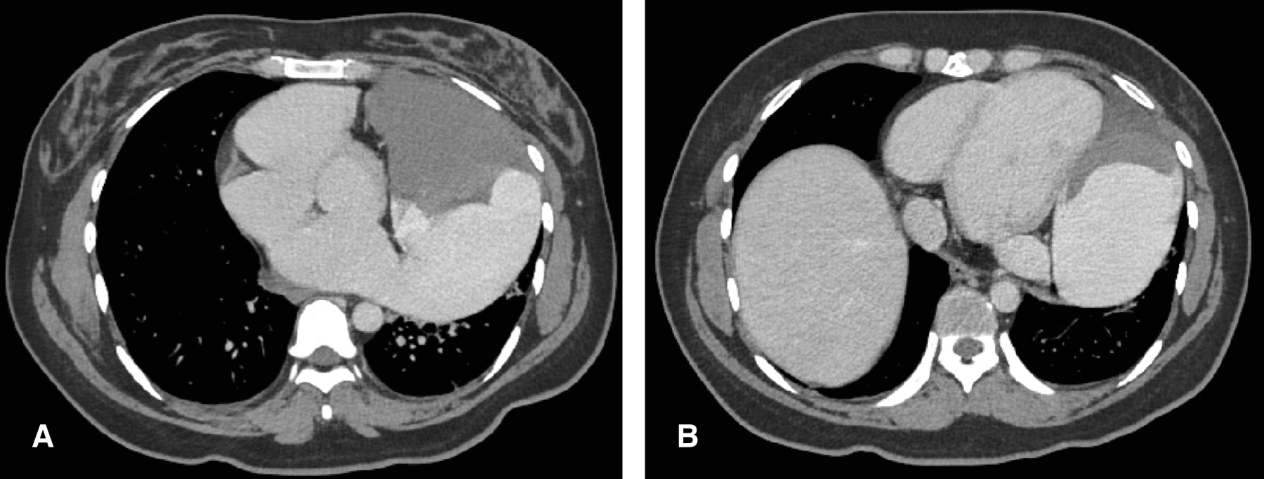
Aneurisma de la orejuela izquierda como causa de evento vascular isquémico: reporte de caso y revisión de la literatura

Martínez-Hernández HJ, Morales-Flores C, You-Guo A, Villegas-García LM, Reyes-Quan JA, García-Buendía LJ
Texto completo Cómo citar este artículo 10.35366/121360

DOI

DOI: 10.35366/121360
URL: https://dx.doi.org/10.35366/121360
Artículos similares

Idioma: Ingles.
Referencias bibliográficas: 8
Paginas: 131-133
Archivo PDF: 1710.14 Kb.


PALABRAS CLAVE

accidente vascular cerebral, embolismo, orejuela izquierda, aneurisma de orejuela izquierda, exclusión de orejuela izquierda.

RESUMEN

El aneurisma de la orejuela izquierda es una entidad rara, con pocos casos reportados en la literatura, pero con potenciales implicaciones clínicas significativas. Presentamos el caso de una paciente que debutó con evento vascular isquémico. La evaluación con estudios de imagen evidenció un aneurisma de la orejuela izquierda. Dado el alto riesgo embólico, se decidió el manejo quirúrgico mediante exclusión de la orejuela izquierda. La evolución postoperatoria fue favorable.


REFERENCIAS (EN ESTE ARTÍCULO)

  1. Daralammouri Y, Odeh A, Abuzahra S, Azamtta M, Shawahna R. Left atrial appendage aneurysm: a descriptive systematic review of 177 cases. BMC Cardiovasc Disord. 2024;24(1):633. doi: 10.1186/s12872-024-04323-x.

  2. Aryal MR, Hakim FA, Ghimire S, et al. Left atrial appendage aneurysm: a systematic review of 82 cases. Echocardiography. 2014;31(10):1312-1318. doi: 10.1111/echo.12667.

  3. Belov DV, Moskalev VI, Garbuzenko DV, Arefyev NO. Left atrial appendage aneurysm: A case report. World J Clin Cases. 2020;8(19):4443-4449. doi: 10.12998/wjcc.v8.i19.4443.

  4. Wang B, Li H, Zhang L, et al. Congenital left atrial appendage aneurysm: A rare case report and literature review. Medicine (Baltimore). 2018;97(2):e9344. doi: 10.1097/MD.0000000000009344.

  5. Jiang B, Wang X, Liu F, Song L. Left atrial appendage aneurysm. Interact Cardiovasc Thorac Surg. 2020;30(3):495-496. doi: 10.1093/icvts/ivz283.

  6. Nezafati MH, Nazari Hayanou H, Kahrom M, Khooei A, Nezafati P. Five chambered heart: case of a huge left atrial appendage aneurysm. Cardiovasc Pathol. 2018;34:43-45. doi: 10.1016/j.carpath.2018.02.004.

  7. Choi YJ, Kim JS, Cha YK, Han KM. Left atrial appendage aneurysm: a case report. J Korean Soc Radiol. 2022;83(6):1400-1405. doi: 10.3348/jksr.2021.0149.

  8. Dimond EG, Kittle CF, Seigel DG. Aneurysm of the left auricle: report of a case and review of the literature. Circulation. 1960;22:173-179.




Figura 1
Figura 2
Figura 3

2020     |     www.medigraphic.com

Mi perfil

C?MO CITAR (Vancouver)

Cir Card Mex. 2025;10

ARTíCULOS SIMILARES

CARGANDO ...