medigraphic.com
ENGLISH

Revista Mexicana de Anestesiología

ISSN 3061-8142 (Digital)
ISSN 0484-7903 (Impreso)
  • Mostrar índice
  • Números disponibles
  • Información
    • Información general        
    • Directorio
  • Publicar
    • Instrucciones para autores        
  • medigraphic.com
    • Inicio
    • Índice de revistas            
    • Registro / Acceso
  • Mi perfil

2025, Número 4

<< Anterior Siguiente >>

Rev Mex Anest 2025; 48 (4)


Ecografía pulmonar: ¿el fin del fonendoscopio?

Roca-Viéitez, Óscar1,2; Carballeira-Anca, Iván1,2; Subirán-Rodríguez, Paula1,2; Díaz-Mosquera, Laura1,2; Porto-Fuentes, Óscar1,3
Texto completo Cómo citar este artículo 10.35366/121400

DOI

DOI: 10.35366/121400
URL: https://dx.doi.org/10.35366/121400
Artículos similares

Idioma: Español
Referencias bibliográficas: 19
Paginas: 242-247
Archivo PDF: 1079.00 Kb.


PALABRAS CLAVE

pulmón, ecografía, POCUS, perioperatorio.

RESUMEN

La ecografía clínica es una herramienta cada vez más empleada por múltiples especialidades médicas (cuidados intensivos, familiar, cardiología, neumología…). Dentro del concepto de ecografía clínica se incluye la ecocardiografía, la ecografía gástrica y abdominal, la ecografía de accesos vasculares y la ecografía pulmonar. La ecografía pulmonar es una técnica sencilla que permite el diagnóstico y seguimiento de múltiples patologías. Desde hace unos años se considera una competencia básica que todo anestesiólogo debe tener. En este artículo de revisión nuestro objetivo es realizar un breve resumen de ecografía pulmonar que nos anime a iniciar al estudio más detallado.



INTRODUCCIóN

La ecografía clínica es una herramienta cada vez más empleada por múltiples especialidades médicas (cuidados intensivos, familiar, cardiología, neumología…). Dentro del concepto de ecografía clínica se incluye la ecocardiografía, la ecografía gástrica y abdominal, la ecografía de accesos vasculares y la ecografía pulmonar. Esta última ha entrado de lleno en el arsenal diagnóstico de las unidades de reanimación, pero su uso no se circunscribe exclusivamente a ellas, siendo útil en todo el período perioperatorio y mejorando la precisión diagnóstica de patologías o complicaciones respiratorias que nuestros pacientes pueden sufrir tanto en el intraoperatorio como en el postoperatorio. La importancia de la ecografía clínica, y dentro de ella la ecografía pulmonar, ha llevado a las distintas sociedades científicas a elaborar guías para definir las competencias a adquirir de los médicos anestesiólogos en este ámbito(1,2).

Aunque la ecografía a otros niveles fue descrita hace muchos años no es hasta los años 90 cuando empieza a desarrollarse la ecografía pulmonar. Hasta este momento la imposibilidad de atravesar el aire con el ultrasonido había descartado su utilización, sería Lichtenstein quien publicaría los primeros trabajos en este campo correlacionando los hallazgos visuales con entidades clínicas concretas(3). A partir de este momento muchos autores consideran que es el sustituto perfecto para el fonendoscopio. Aunque, esto entra en el ámbito de las opiniones personales, lo cierto es que hoy en día la ecografía pulmonar forma parte de la exploración básica de cualquier paciente.



VENTAJAS DE LA ECOGRAFÍA PULMONAR

El hecho de tratarse de una técnica no invasiva con una curva de aprendizaje corta y de fácil acceso ha provocado un aumento exponencial del interés por su aprendizaje, a lo que también ha contribuido la pandemia por SARS-CoV-2. Otras de sus ventajas son la mayor precisión que la radiología convencional, la posibilidad de realizarse a pie de cama, el carácter dinámico, la ausencia de radiaciones ionizantes, su inmediatez y tratarse de una técnica no dolorosa(4).

Limitaciones de la ecografÍa pulmonar(5)

El hueso limita el paso de ultrasonidos, debemos explorar en los espacios intercostales. Exploración limitada por factores dependientes de la patología del paciente (posición del paciente, apósitos en el tórax, enfisema subcutáneo o edema periférico masivo, obesidad).



MATERIAL NECESARIO

Fundamentalmente, vamos a emplear dos tipos de sonda(6). La sonda MicroConvex presenta unas características intermedias.

  • 1. La sonda lineal (alta frecuencia) presenta una buena adaptabilidad a los espacios intercostales resultando óptima para el estudio de la patología pleural, así como de los campos pulmonares superficiales. No permite exploración en profundidad.
  • 2. La sonda convexa (baja frecuencia) para la exploración de los campos pulmonares en profundidad y el diafragma. Sonda de elección en pacientes obesos.



EXPLORACIÓN DE UN PULMÓN NORMAL



SISTEMÁTICA DE EXPLORACIÓN

La sonda de ecografía nos da la imagen en una sección específica del pulmón. Debemos realizar cortes sucesivos con el fin de observar el pulmón en su totalidad y evitar dejar áreas sin explorar(3). Es de vital importancia a la hora de trasmitir los hallazgos hacer referencia a la posición en la que se ha realizado la exploración (sentado, decúbito supino, etcétera). Existen diferentes sistemáticas de exploración, en este caso vamos a proponer una aplicada al paciente postquirúrgico.

Lo primero que debemos hacer es dividir cada hemitórax en tres áreas (anterior, lateral y posterior), subdividiendo cada una de ellas en superior e inferior. Debido al tipo de pacientes que acostumbramos a tener como anestesiólogos, la zona posterior y lateral en pacientes en decúbito supino se van a fusionar en región lateroposterior (Figura 1)(6,7).

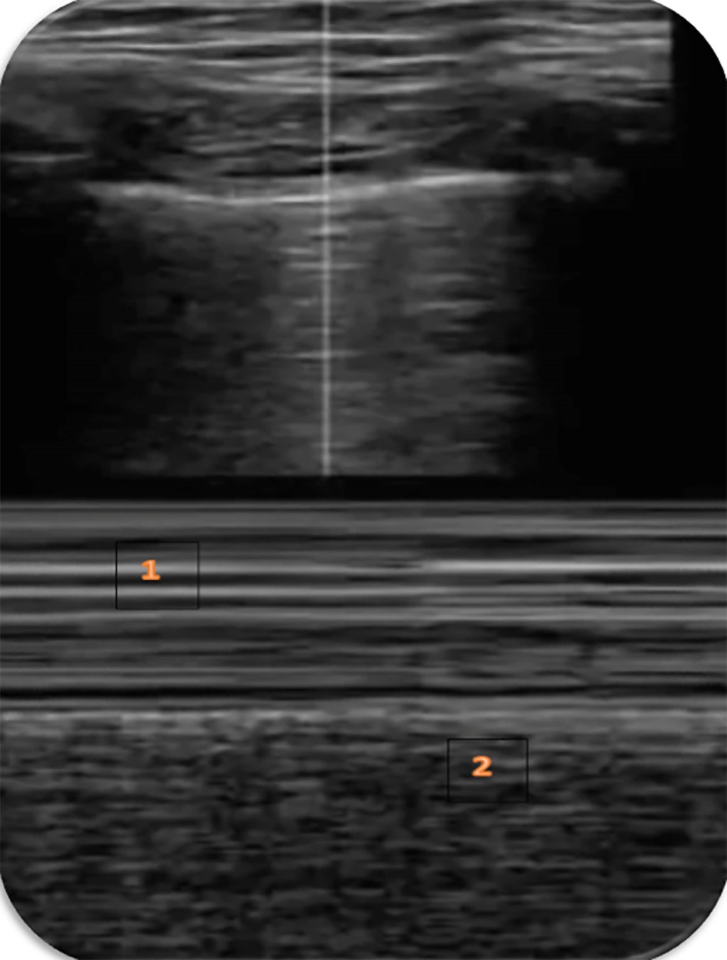
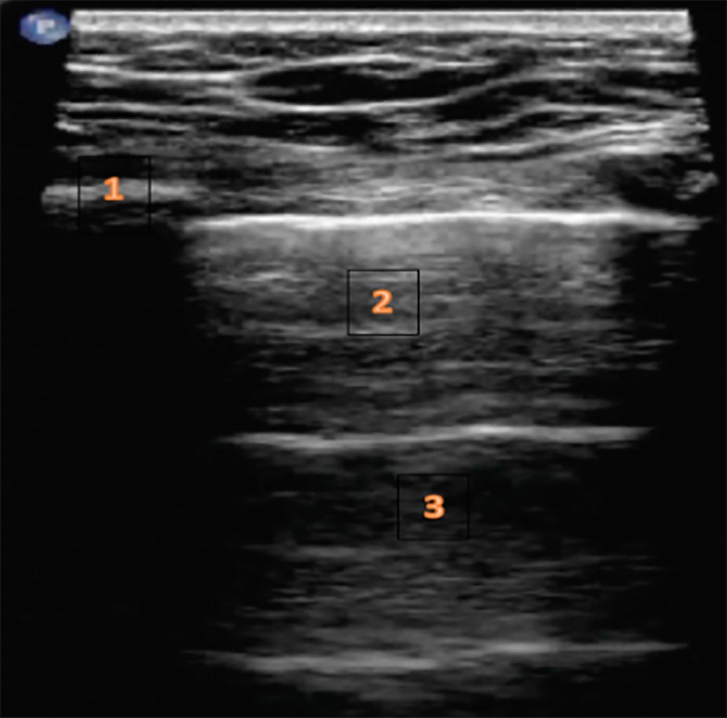
  • 1. Empezamos la exploración con la sonda (lineal o convexa según necesidades) en sentido perpendicular al tórax. Marca del transductor hacia craneal.
  • 2. En contacto directo con el transductor veremos piel y tejido adiposo.
  • 3. La musculatura intercostal se observa como un área hipogénica con líneas hiperecogénicas inmediatamente por debajo de la grasa a nivel de los espacios intercostales.
  • 4. Observaremos dos líneas hiperecogénicas con sombra acústica posterior que corresponden a las costillas. Entre estas dos líneas (por debajo de la musculatura intercostal) otra línea hiperecogénica (pleura). Es lo que en ecografía pulmonar se denomina como signo del murciélago.



DESLIZAMIENTO PLEURAL

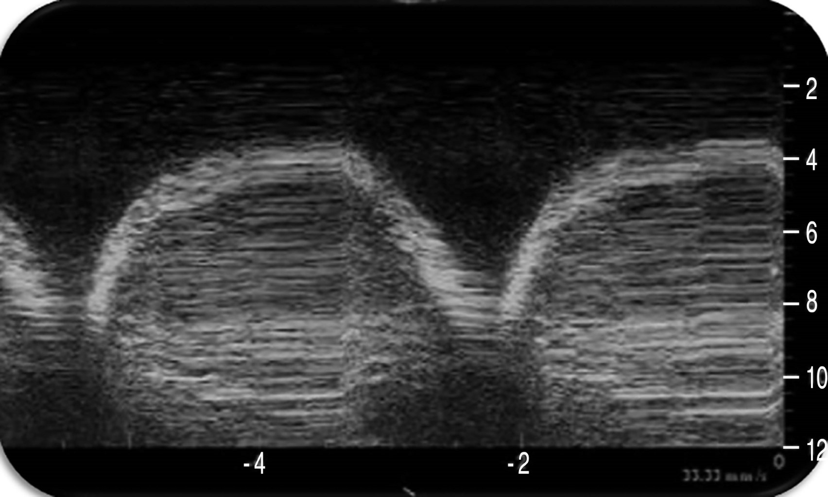
Después de visualizar la línea pleural debemos estudiar si existe deslizamiento pleural. La pleura es una estructura anatómica constituida por dos láminas fibrosas que se unen a la pared torácica por un lado (pleura parietal) y al pulmón por el otro lado (pleura visceral). Entre ambas encontraremos un espacio virtual con mínima cantidad de líquido. El deslizamiento pleural puede definirse como el movimiento de deslizamiento de la pleura visceral contra la pleura parietal inmóvil con cada ciclo respiratorio. A nivel ecográfico la pleura se observa como una línea de < 1 mm y sin imperfecciones. La profundidad a la que se encuentra dependerá del paciente, en un adulto normal aparece a 2-2.5 cm de la superficie cutánea(5).

En modo M podemos ver la imagen en "arena de playa" constituida por un patrón lineal que corresponde a la pared torácica inmóvil, una línea hiperecogénica (la línea pleural) y un patrón granulado que correspondería al tejido pulmonar en movimiento. Este patrón granulado es más claro durante la inspiración permitiendo distinguir la fase respiratoria (Figura 2)(5).



PARÉNQUIMA PULMONAR

En un parénquima pulmonar normal nos podemos encontrar:

Líneas A

  • 1. ¿Qué son?: artefactos de reverberación entre el transductor y la pleura parietal.
  • 2. ¿Cómo las vemos?: líneas hiperecogénicas, horizontales, paralelas a la pleura y equidistantes entre ellas.
  • 3. Están presentes cuando hay aire por debajo de la pleura parietal, ya sea un pulmón bien aireado o un neumotórax.
  • 4. ¿Son patológicas?: no. Excluye la posibilidad de edema cardiogénico, se asocian a una presión capilar pulmonar < 18 mmHg(8).

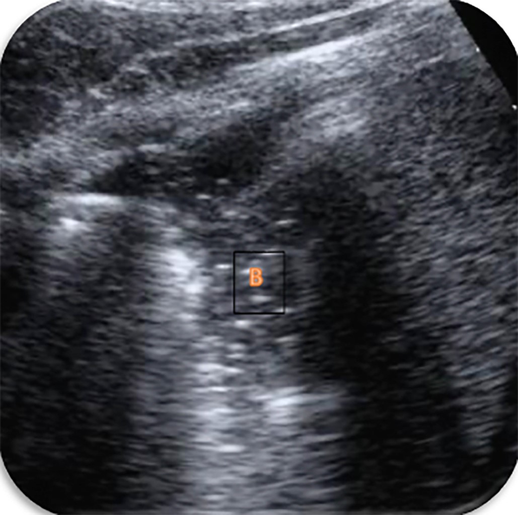
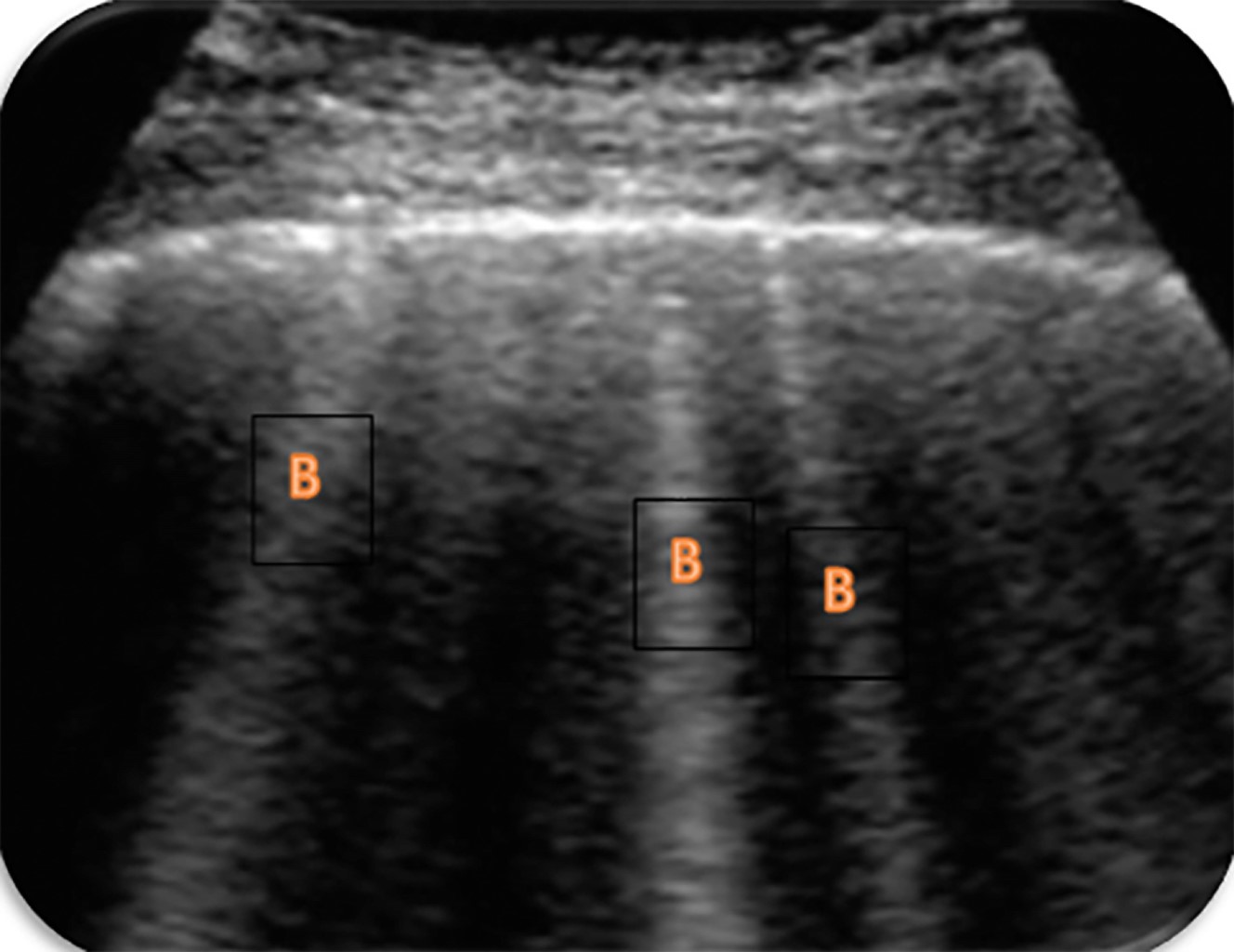
Líneas B(9)

  • 1. ¿Qué son?: representan septos interlobulillares engrosados por aumento de la permeabilidad capilar.
  • 2. ¿Cómo las vemos?: líneas hiperecogénicas verticales que surgen de la pleura visceral y ocupan toda la pantalla.
  • 3. ¿Son patológicas?: fisiológicas de 0 a 3 (fundamentalmente en zonas posterolaterales), > 3 patología.

En resumen, en una imagen ecográfica normal veríamos piel, musculatura y costillas, bajo las cuales encontramos una línea hiperecogénica correspondiente a la pleura. Observaremos deslizamiento pleural y debajo parénquima pulmonar con un número variable de líneas A horizontales y escasas líneas B verticales.



DERRAME PLEURAL

El derrame pleural es probablemente la patología más fácil de visualizar con ecografía frente a la radiografía de tórax, permite observar de forma continua su evolución y su capacidad diagnóstica es más elevada, detectando derrames pleurales de 5 mL frente a los 150 mL que necesita la radiografía para detectarlos(10). En la mayoría de los casos este líquido tiende a acumularse en las regiones declives del tórax, que es donde centraremos el examen ecográfico.



¿CÓMO LO VEMOS?

Deslizamos la sonda desde la parte superior del abdomen hacia el tórax y, tras observar el diafragma, encontraremos una zona anecoica que nos indica la existencia de un derrame pleural. Básicamente los buscaremos a nivel de los PLAPS points (intersección de una línea horizontal que pasa por debajo de la mamila y baja en vertical por la línea axilar posterior)(5).

La ecografía permite diferenciar entre trasudados o exudados en función de las características de la imagen. Los derrames simples pueden ser tanto trasudados como exudados y veremos una imagen anecoica sin tabicaciones ni contenido en su interior. En los exudados (empiemas, hemotórax, cáncer…) vamos a ver una imagen más ecogénica(11).

Podemos observar varios signos que son sugestivos de derrame pleural(5,10):

  • 1. Signo del cuadrado o del quad (sharp sign): imagen cuadrada que se obtiene en modo B donde el derrame pleural es un área hipo/anecoica limitada por la pleura parietal arriba, la pleura visceral y el pulmón abajo y sendas costillas a los lados.
  • 2. Signo de la medusa: pulmón flotando en el líquido por aparición de atelectasias compresivas y colapso pulmonar basal.
  • 3. Signo de la pleura desflecada: en una pleura normal ambas hojas están unidas y se comportan como una línea hiperecogénica única. Cuando empieza a acumularse líquido entre ellas empieza a observarse la separación progresiva de ellas.
  • 4. Signo del sinusoide (modo M): vamos a ver la pared torácica como líneas paralelas continuas ("agua") y por debajo un área de ecogenicidad variable en función del tipo de derrame. Debajo de esta zona identificamos el pulmón como una zona oscilante en relación con los movimientos respiratorios. Se ha descrito que la aparición de este signo indica la existencia de un derrame con baja viscosidad, permitiendo su drenaje de forma sencilla. Para poder llevar a cabo este drenaje en condiciones de seguridad es importante que exista por lo menos 15 milímetros de distancia en inspiración (Figura 3).



¿CÓMO LO CUANTIFICO?

Aunque existen múltiples métodos descritos para cuantificar los derrames a nivel práctico, el más sencillo es la clasificación semicuantitativa en función del número de espacios intercostales que ocupa (pequeño, moderado, severo), ya que determinar exactamente el volumen de un derrame pleural no tiene valor clínico(12,13).



NEUMOTÓRAX

Se define por presencia de aire entre la pleura visceral y la parietal, aire que suele ocupar la parte superior. Muchas de las técnicas que realizamos en nuestro día a día pueden potencialmente provocar un neumotórax (barotrauma asociado con la ventilación mecánica, acceso venoso central, bloqueos locorregionales, etcétera). La ecografía presenta una especificidad de cerca del 100% y una sensibilidad elevada para su diagnóstico(14). Además, en el caso de los pacientes en decúbito supino la radiografía puede ser negativa hasta en el 30% de los casos(5).

Su principal inconveniente lo encontramos en la dificultad para detectar neumotórax de pequeño tamaño a nivel mediastínico o en pacientes con enfisema subcutáneo importante. La curva de aprendizaje es superior a la necesaria para detectar derrame pleural(5).

Para el diagnóstico ecográfico de neumotórax debemos fijarnos en los siguientes puntos(11):

  • 1. Ausencia de deslizamiento pleural por la pérdida de contacto entre la pleura visceral y parietal.
  • 2. Ausencia de líneas B (puede haberlas en la zona no afectada). Su presencia es diagnóstica de ausencia de neumotórax, ya que implica contacto entre ambas pleuras.
  • 3. Mayor abundancia de líneas A (reverberaciones de la pleura parietal).
  • 4. Ausencia de pulso pulmón o signo del latido pulmonar en modo M. El pulso pulmón es la transmisión del latido cardíaco al pulmón resultado del movimiento sincrónico de la pleura con cada ciclo cardíaco. Al estar presente, descarta el neumotórax, ya que al ser transmitido el pulso cardíaco significa que las pleuras están juntas.
  • 5. Presencia de punto pulmón, es decir, imágenes con deslizamiento pleural e imágenes sin deslizamiento pleural que corresponden al punto de inicio del neumotórax no masivo. Si introducimos el modo M en este lugar vamos a ver el paso de la imagen en arena de playa a la imagen en código de barras o signo de la estratosfera. Esta imagen es patognomónica del neumotórax. Si la encontramos a nivel anterior estamos ante un neumotórax moderado, si está ausente o en zona posterior con mucha probabilidad se trata de un neumotórax masivo (Figura 4)(5,8).

Por lo tanto, es importante recalcar que la ausencia de deslizamiento pleural no equivale a neumotórax, aunque su presencia sí lo descarta, pudiéndolo observar en patologías que impiden la entrada de aire como una intubación orotraqueal (IOT) selectiva o fibrosis.



SÍNDROME INTERSTICIAL

El síndrome alveolointersticial incluye varias entidades en las que se produce el engrosamiento de los septos interlobulillares con aparición de áreas en v ideo deslustrado y/o aumento del contenido del agua extravascular. Para que sean líneas B tiene que cumplir todos los siguientes criterios(9,15): líneas verticales hiperecogénicas, parten de la superficie pleural, se desplazan junto con el deslizamiento pleural, borran las líneas A, llegan al fondo de la pantalla (Figura 5).

La existencia de líneas B implica el engrosamiento de los tabiques interlobulillares, ya sea por edema, tejido conectivo, etcétera. No hay que confundir las líneas B con líneas E (enfisema), que se inician en la pared torácica o líneas Z (se inician en la pleura, pero no llegan al final de la pantalla)(16).

Desde un punto de vista anatómico los septos interlobulares están separados 7 mm, por lo que la distancia entre las líneas B nos permite deducir la localización del edema. En el edema intersticial las líneas B tendrán una separación aproximada de 7 mm (líneas B7), mientras que en el edema alveolar estarán separadas menos de 3 mm (líneas B3)(9,15).

El número de líneas B también es importante, ya que se ha demostrado que existe una correlación con la cantidad de edema. La ecografía sirve para monitorizar la evolución clínica de nuestro paciente, de tal forma que la disminución de líneas B se acompaña de una mejor situación clínica. También se ha visto cómo el número elevado de líneas B se correlaciona con una mayor presión de enclavamiento pulmonar, mayor nivel de péptido natriurético cerebral (BNP, por sus siglas en inglés) y menor fracción inspirada de oxígeno (PAFi)(16-18). En función de la distribución de las líneas B podemos hablar de(11):

  • 1. Síndrome intersticial focal: una o dos regiones positivas en un campo pulmonar (condensación neumónica o contusión pulmonar).
  • 2. Síndrome intersticial difuso: más de dos regiones positivas bilaterales (edema agudo de pulmón, síndrome de dificultad respiratoria aguda).



CONSOLIDACIÓN PULMONAR

La consolidación pulmonar hace referencia a la pérdida de una región de pulmón aireado (neumonía, contusión pulmonar, infarto pulmonar, atelectasia). La única condición para que esta consolidación sea observable por ecografía es que se localice a nivel subpleural (90% de las consolidaciones). Los espacios aéreos aparecerán rellenos de líquido o células inflamatorias, por lo que el pulmón se convierte en una masa con buena transmisión sónica. Ecográficamente hay multitud de formas de ver una consolidación. Las más características son(19):

  • 1. Signo del pseudotejido: se observa el pulmón con una ecogenicidad similar al hígado/bazo.
  • 2. Broncograma aéreo: zona subpleural hipoecogénica con imágenes hiperecogénicas en su interior (aire atrapado) (Figura 6).
  • 3. Broncograma líquido: zona subpleural hipoecogénica, con imágenes de contenido hipoecogénico y paredes hiperecogénicas en su interior (líquido atrapado).

Evidentemente hay una gran variedad de patologías (atelectasias, neumonías, neoplasias…) que pueden producir consolidaciones pulmonares, por lo que la correlación de los hallazgos clínicos y ecográficos es fundamental.


REFERENCIAS (EN ESTE ARTÍCULO)

  1. Vives M, Hernández A, González AD, Torres J, Cuesta P, Villen T, et al. Diploma on ultrasound training and competency for Intensive Care and Emergency Medicine: consensus document of the Spanish Society of Anesthesia (SEDAR), Spanish Society of Internal Medicine (SEMI) and Spanish Society of Emergency Medicine (SEMES). Rev Esp Anestesiol Reanim (Engl Ed). 2021;68:143-148.

  2. Ayuela Azcárate JM, Clau-Terré F, Vicho Pereira R, Guerrero de Mier M, Carrillo López A, Ochagavia A, et al. Documento de consenso para la formación en ecografía en Medicina Intensiva. Proceso asistencial, uso de la técnica y adquisición de competencias profesionales. Med Intensiva. 2014;38:33-40.

  3. Lichtenstein D, Axler O. Intensive use of general ultrasound in the intensive care unit. Prospective study of 150 consecutive patients. Intensive Care Med. 1993;19:353-355. doi: 10.1007/BF01694712.

  4. Ródenas Monteagudo MA, Albero Roselló I, Del Mazo Carrasco A, Carmona García P, Zarragoikoetxea Jauregui I. Update on the use of ultrasound in the diagnosis and monitoring of the critical patient. Rev Esp Anestesiol Reanim (Engl Ed). 2022;69:567-577. doi: 10.1016/j.redare.2022.01.003.

  5. de la Quintana Gordon FB, Nacarino Alcorta B. Basic lung ultrasound. Part 1. Normal lung ultrasound and diseases of the chest wall and the pleura. Rev Esp Anestesiol Reanim. 2015;62:322-336. doi: 10.1016/j.redar.2015.02.003.

  6. Lichtenstein DA, Malbrain MLNG. Lung ultrasound in the critically ill (LUCI): A translational discipline. Anaesthesiol Intensive Ther. 2017;49:430-436. doi: 10.5603/AIT.a2017.0063.

  7. Gargani L, Volpicelli G. How I do it: lung ultrasound. Cardiovasc Ultrasound. 2014;12:25.

  8. Lichtenstein DA. BLUE-protocol and FALLS-protocol: two applications of lung ultrasound in the critically ill. Chest. 2015;147:1659-1670. doi: 10.1378/chest.14-1313.

  9. Lichtenstein D, Méziere G, Biderman P, Gepner A, Barré O. The comet-tail artifact. An ultrasound sign of alveolar-interstitial syndrome. Am J Respir Crit Care Med. 1997;156:1640-1646. doi: 10.1164/ajrccm.156.5.96-07096.

  10. Colins JD, Burwell D, Furmanski S, Lorber P, Steckel RJ. Minimal detectable pleural effusions. A roentgen pathology model. Radiology. 1972;105:51-53. doi: 10.1148/105.1.51.

  11. Segura-Grau E. Evaluación de nuevas indicaciones de la ecografía en Anestesiología: estudio de la variabilidad del nervio ciático [Tesis doctoral]. Madrid: Universidad Autónoma de Madrid; 2022.

  12. Balik M, Plasil P, Waldauf P, Pazout J, Fric M, Otahal M, et al. Ultrasound estimation of volume of pleural fluid in mechanically ventilated patients. Intensive Care Med. 2006;32(2):318. doi: 10.1007/s00134-005-0024-2.

  13. Eibenberger KL, Dock WI, Ammann ME, Dorffner R, Hormann MF, Grabenwoger F. Quantification of pleural effusions: sonography versus radiography. Radiology. 1994;191:681-684. doi: 10.1148/radiology.191.3.8184046.

  14. Chung MJ, Goo JM, Im JG, Cho JM, Cho SB, Kim SJ. Value of high-resolution ultrasound in detecting a pneumothorax. Eur Radiol. 2005;15:930-935. doi: 10.1007/s00330-004-2518-7.

  15. Soldati G, Demi M. The use of lung ultrasound images for the differential diagnosis of pulmonary and cardiac interstitial pathology. J Ultrasound. 2017;20:91-96. doi: 10.1007/s40477-017-0244-7.

  16. de la Quintana Gordon FB, Nacarino Alcorta B, Farjardo M. Ecografía pulmonar básica. Parte 2. Patología parenquimatosa. Rev Esp Anestesiol Reanim. 2015;62:337-349.

  17. Picano E, Frassi F, Agricola E, Gligorova S, Gargani L, Mottola G. Ultrasound lung comets: a clinically useful sign of extravascular lung water. J Am Soc Echocardiogr. 2006;19:356-363. doi: 10.1016/j.echo.2005.05.019.

  18. Agricola E, Bove T, Oppizzi M, Marino G, Zangrillo A, Margonato A, et al. "Ultrasound comet-tail images": a marker of pulmonary edema: a comparative study with wedge pressure and extravascular lung water. Chest. 2005;127:1690-1695. doi: 10.1378/chest.127.5.1690.

  19. Lichtenstein DA, Lascols N, Meziere G, Gepner A. Ultrasound diagnosis of alveolar consolidation in the critically ill. Intensive Care Med. 2004;30:276-281. doi: 10.1007/s00134-003-2075-6.



AFILIACIONES

1 Complejo Hospitalario Universitario de A Coruña. España.

2 Servicio de Anestesiología y Reanimación.

3 Servicio de Medicina Interna.



CORRESPONDENCIA

Dr. Óscar Roca-Viéitez. E-mail: oscar_roca_vieitez@hotmail.com




Recibido: 22-05-2024. Aceptado: 10-12-2024.

Figura 1
Figura 2
Figura 3
Figura 4
Figura 5
Figura 6

2020     |     www.medigraphic.com

Mi perfil

C?MO CITAR (Vancouver)

Rev Mex Anest. 2025;48

ARTíCULOS SIMILARES

CARGANDO ...