medigraphic.com
ENGLISH

Acta Médica Grupo Ángeles

Órgano Oficial del Hospital Ángeles Health System
  • Mostrar índice
  • Números disponibles
  • Información
    • Información general        
    • Directorio
  • Publicar
    • Instrucciones para autores        
    • Envío de artículos
    • Políticas
    • Nombre y afiliación del Comité Editorial
  • Nosotros
    • Plan de gestión e intercambio de datos
    • Objetivos declarados y alcance
  • medigraphic.com
    • Inicio
    • Índice de revistas            
    • Registro / Acceso
  • Mi perfil

2025, Número 6

<< Anterior Siguiente >>

Acta Med 2025; 23 (6)


Síndrome de Turner y riñón pélvico

Cerda Sánchez, Ana Paola1,2; Motta Ramírez, Gaspar Alberto1,3
Texto completo Cómo citar este artículo 10.35366/121702

DOI

DOI: 10.35366/121702
URL: https://dx.doi.org/10.35366/121702
Artículos similares

Idioma: Español
Referencias bibliográficas: 4
Paginas: 561-563
Archivo PDF: 593.79 Kb.


PALABRAS CLAVE

síndrome de Turner, anomalías renales, riñón pélvico, riñón en herradura, malformaciones congénitas.

RESUMEN

Las anomalías renales son hallazgos frecuentes en pacientes con síndrome de Turner, con una prevalencia reportada de hasta el 33%. Entre las malformaciones más comunes se incluyen el riñón en herradura y diversas alteraciones del sistema colector. Aunque el riñón pélvico no se menciona de manera habitual en los estudios revisados, su reconocimiento resulta fundamental. La evaluación nefrourológica sistemática en niñas con síndrome de Turner es esencial para detectar oportunamente estas anomalías congénitas y reducir la morbilidad asociada a esta condición.



INTRODUCCIóN

El síndrome de Turner (ST) es una alteración cromosómica caracterizada por la ausencia parcial o total de un cromosoma X, que se manifiesta clínicamente por talla baja, disgenesia gonadal y un conjunto de rasgos fenotípicos característicos asociados a monosomía parcial o total del cromosoma X.1 Además de las alteraciones endocrinas y cardiovasculares descritas con frecuencia, las malformaciones renales constituyen un hallazgo común en estas pacientes, con una prevalencia reportada de entre 30 y 50%.1,2

Entre las anomalías más frecuentes se incluyen el riñón en herradura, los sistemas colectores dobles, la hidronefrosis y, con menor frecuencia, la aplasia renal o el riñón ectópico, como el riñón pélvico.1-3 Aunque estas alteraciones suelen ser asintomáticas, pueden asociarse con complicaciones como reflujo vesicoureteral, infecciones urinarias recurrentes y alteraciones funcionales.4

El reconocimiento oportuno de estas malformaciones mediante estudios de imagen (principalmente ultrasonido o tomografía computarizada) es fundamental para reducir la morbilidad y orientar el seguimiento clínico adecuado. En este contexto, se presenta el caso de una paciente adulta con síndrome de Turner y hallazgo incidental de riñón pélvico, con el objetivo de destacar la relevancia del diagnóstico imagenológico en la identificación de variantes anatómicas congénitas asociadas a esta condición.



PRESENTACIóN DEL CASO

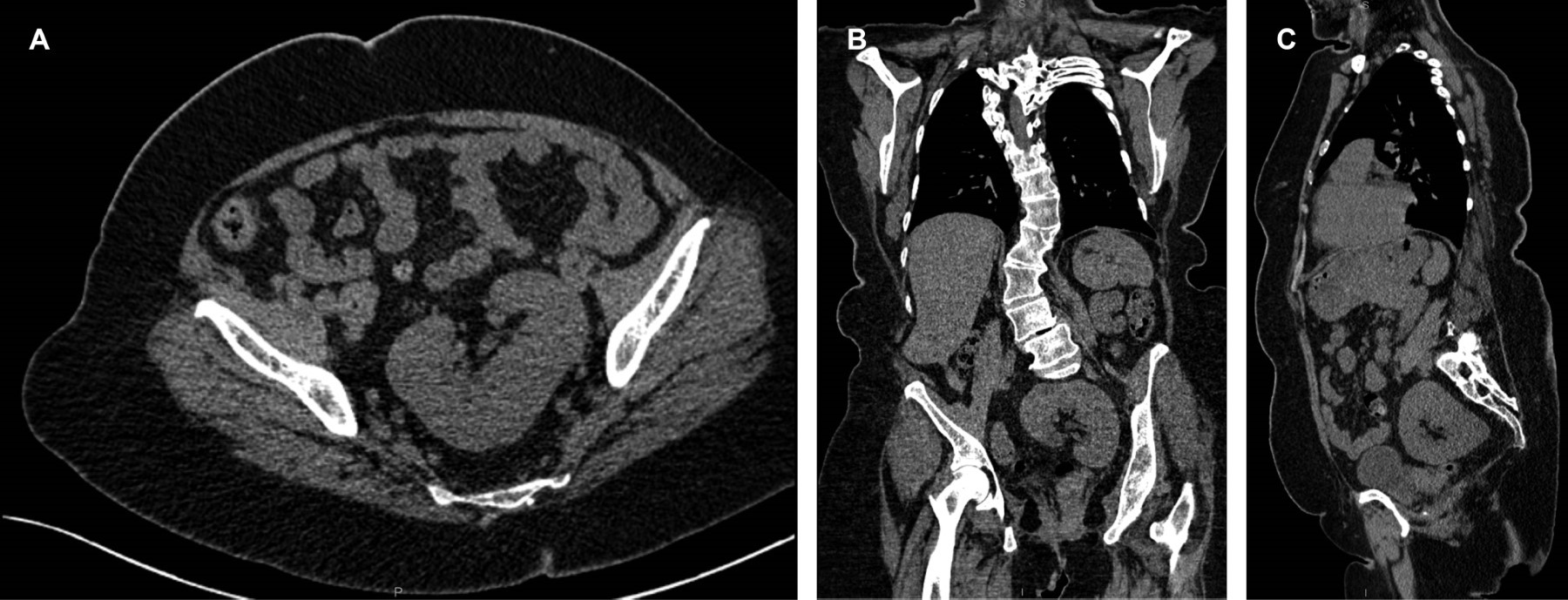
Paciente femenino de 54 años de edad, monorrena con síndrome de Turner y múltiples intervenciones quirúrgicas de columna dorsolumbar. Actualmente se encuentra en tratamiento con múltiples antiinflamatorios por artrosis de rodillas secundario a escoliosis. Se realizó estudio preoperatorio para evaluación de su columna con tomografía computarizada que en su evaluación abdominopélvica en fase simple y en reconstrucción multiplanar coronal y sagital (Figura 1) se delimitó hallazgo incidental de variante anatómica de tracto urinario del riñón izquierdo, caracterizada como en situación pélvica.

El síndrome de Turner (ST) es una entidad sindrómica caracterizada por talla baja, disgenesia gonadal y unos hallazgos fenotípicos característicos asociados a monosomía parcial o total del cromosoma X.1 Alrededor del 33% de las personas con síndrome de Turner tiene anomalías en los riñones. Sin embargo, éstas no suelen causar síntomas. El único efecto que se informó fue un aumento del riesgo de infecciones del tracto urinario.4

Las malformaciones nefrourológicas en el ST son frecuentes, por lo que su diagnóstico y seguimiento son importantes para disminuir la morbilidad de esta entidad2 y por ello la necesidad de un seguimiento nefrológico prolongado de las niñas con síndrome de Turner y patología nefrourológica.2

Un 30-50% padecen alguna malformación renal, la más frecuente es el riñón en herradura (10%, más en 45, X0), seguida de sistemas colectores dobles (15%), hidronefrosis (5-15%), y ya más raramente aplasia renal (3%), riñón ectópico o multiquístico (< 1%). Por ello, para el diagnóstico está indicado un ultrasonido renal para la identificación de estas alteraciones. No hay protocolos establecidos para el seguimiento de infección de orina/reflujo, sin embargo, hay que sospecharlas ante la clínica en estas pacientes.1



ANOMALÍAS DE LA MIGRACIÓN EMBRIONARIA RENAL, ECTOPIA RENAL

Ectopia. Del griego ek, fuera y topos, lugar. Anomalía de situación o de posición de un órgano, especialmente congénita.3 Durante la embriogénesis, los riñones ascienden desde la pelvis hasta la fosa renal en la cavidad retroperitoneal. Cuando esta migración no se produce correctamente, el riñón queda alojado en la zona pélvica dando lugar a una ectopia renal. Raramente puede aparecer alojado en el tórax. Se trata de riñones generalmente más pequeños, hipofuncionantes y que, con frecuencia, se asocian con otras complicaciones como reflujo vesicoureteral, obstrucciones ureterales o anomalías genitales. La ectopia puede ser simple o cruzada, en función de si el riñón ectópico esté alojado en el mismo lado que su origen o en el lado contralateral, respectivamente. El riñón ectópico suele ser más pequeño y en la mayor parte de los casos se fusiona al riñón del lado contrario denominándose "ectopia cruzada con fusión", lo que sucede en 85-90% de los casos. En 10 a 20% de los casos la ectopia se presenta sin fusión.



DISCUSIóN

El hallazgo incidental de un riñón ectópico pélvico en una paciente con síndrome de Turner de 54 años refuerza la importancia de realizar una evaluación sistemática del aparato urinario, incluso en pacientes adultas y asintomáticas. La ectopia renal simple se origina cuando el riñón no completa su migración embrionaria hacia la fosa lumbar, permaneciendo en posición pélvica. Aunque generalmente es asintomática, esta condición puede asociarse con alteraciones funcionales, reflujo vesicoureteral, infecciones urinarias recurrentes o complicaciones durante procedimientos quirúrgicos y anestésicos.

En este caso, el diagnóstico fue fortuito, identificado mediante tomografía computarizada en un estudio preoperatorio de columna en una paciente con múltiples antecedentes quirúrgicos. Este hallazgo resalta el valor de la imagenología en la detección de anomalías renales congénitas, así como su papel en la planeación quirúrgica de pacientes con enfermedades sistémicas como el síndrome de Turner.

El reconocimiento de un riñón pélvico en el contexto del síndrome de Turner amplía el espectro de manifestaciones anatómicas descritas y subraya la necesidad de incluir la evaluación nefrourológica dentro del protocolo diagnóstico integral. El seguimiento multidisciplinario —particularmente entre nefrología, radiología y genética clínica— resulta esencial para la detección oportuna de posibles complicaciones, la reducción de la morbilidad asociada y la optimización del manejo clínico de estas pacientes.


REFERENCIAS (EN ESTE ARTÍCULO)

  1. Barreda Bonis AC, González Casado I. Síndrome de Turner. Protoc Diagn Ter Pediatr. 2019; 1: 267-283.

  2. Di Pinto D, Balestracci A, Dujovne N, de Palma I, Adragna M, Delgado N. Patología nefrourológica en niñas con síndrome de Turner. Arch Argent Pediatr. 2010; 108 (4): 350-357.

  3. Motta-Ramírez GA, Ortiz-León JL, Aguilar-Hipolito R, Escobedo-García R, Castillo-Lima JA. Malformaciones congénitas del sistema urinario: Abordaje Radiológico y por Imagen con análisis de la terminología aplicada. An Radiol Mex. 2008; 4: 259-278.

  4. National Institute of Child Health and Human Development. ¿Qué es el síndrome de Turner? [Internet]. Bethesda (MD): NICHD. Disponible en: https://espanol.nichd.nih.gov/salud/temas/turner/informacion/preguntas



AFILIACIONES

1 Hospital Angeles Pedregal. Ciudad de México, México.

2 Médica residente de tercer año del Curso de Especialización y Residencia en Radiodiagnóstico. ORCID: 0000-0002-0375-9974

3 Médico radiólogo adscrito al Departamento de Radiología e Imagen. ORCID: 0000-0001-9449-4600



Cumplimiento de las directrices éticas: todos los procedimientos seguidos fueron de acuerdo con los estándares éticos del Comité de Experimentación Humana (institucional o nacional) y con la Declaración de Helsinki de 1975, revisada en 2000.

Conflicto de intereses: los autores declaran que no tienen ningún conflicto de intereses.

Si desea consultar los datos complementarios de este artículo, favor de dirigirse a editorial.actamedica@saludangeles.mx



CORRESPONDENCIA

Dra. Ana Paola Cerda Sánchez. Correo electrónico: dra.paolacerda@gmail.com




Recibido: 25-10-2024. Aceptado: 29-04-2025.

Figura 1

2020     |     www.medigraphic.com

Mi perfil

C?MO CITAR (Vancouver)

Acta Med. 2025;23

ARTíCULOS SIMILARES

CARGANDO ...