medigraphic.com
ENGLISH

Revista Mexicana de Cirugía Bucal y Maxilofacial

ISSN 2007-3178 (Impreso)
Asociación Mexicana de Cirugía Bucal y Maxilofacial, Colegio Mexicano de Cirugía Bucal y Maxilofacial, A.C.
  • Mostrar índice
  • Números disponibles
  • Información
    • Información general        
    • Directorio
  • Publicar
    • Instrucciones para autores        
    • Envío de artículos
  • medigraphic.com
    • Inicio
    • Índice de revistas            
    • Registro / Acceso
  • Mi perfil

2025, Número 2

<< Anterior Siguiente >>

Rev Mex Cir Bucal Maxilofac 2025; 21 (2)


Inflamación seudogranulomatosa en úlcera de la mucosa labial como signo inicial de sífilis secundaria. Informe clínico y revisión narrativa de la literatura

Yadira Prado Bernal, Nubia1; Maldonado Mendoza, Jessica2; Cano Valdez, Ana María3; Vargas Ramírez, Andy Gadiel4
Texto completo Cómo citar este artículo 10.35366/121757

DOI

DOI: 10.35366/121757
URL: https://dx.doi.org/10.35366/121757
Artículos similares

Idioma: Español
Referencias bibliográficas: 33
Paginas: 61-70
Archivo PDF: 2910.72 Kb.


PALABRAS CLAVE

sífilis secundaria, mucosa bucal, Treponema pallidum, úlcera indolora, úlcera labial.

RESUMEN

Introducción: la sífilis es una enfermedad infectocontagiosa provocada por el Treponema pallidum. En México, su prevalencia va de 1.7 a 13.1%, principalmente entre hombres que tienen sexo con otros hombres. La inflamación seudogranulomatosa es un hallazgo histopatológico infrecuente de las lesiones bucales asociadas con sífilis secundaria, siendo la úlcera solitaria en labio la lesión inicial más común de infección primaria (91.7%). Objetivo: presentar un caso de sífilis secundaria con una úlcera bucal como manifestación inicial de la enfermedad y con características clínicas e histopatológicas infrecuentes, así como realizar una revisión narrativa actualizada de la literatura. Caso clínico: paciente masculino de 21 años que consulta por úlcera en mucosa de labio inferior de origen traumático que no cicatrizaba. Se realizó análisis histopatológico con un reporte de intenso infiltrado inflamatorio constituido por linfocitos y células plasmáticas, así como agregados de histiocitos que formaban seudogranulomas y vasos sanguíneos con endarteritis. Este fue el primer signo de diagnóstico de sífilis secundaria, el cual se confirmó con prueba VDRL (Venereal Disease Research Laboratory, por sus siglas en inglés) y reacciones de inmunohistoquímica para T. pallidum, mostrando ambas un resultado positivo, prueba VIH negativa. Tratado con penicilina G benzatínica y sin persistencia de la lesión. Conclusiones: la correlación de los hallazgos clínicos, histopatológicos, inmunohistoquímicos y serológicos, junto con una anamnesis meticulosa, condujo al diagnóstico de sífilis. Los profesionales de la salud bucal deben considerar la presencia de infecciones de transmisión sexual dentro del espectro de lesiones bucales para realizar una identificación temprana y brindar un tratamiento pertinente que asegure la calidad de vida de los pacientes.



INTRODUCCIóN

La sífilis es una enfermedad bacteriana infectocontagiosa causada por el Treponema pallidum subespecie pallidum, de transmisión sexual y ampliamente distribuida en el mundo.1 En México, su prevalencia ha aumentado en los últimos años, haciendo más alta la reinfección que la primoinfección.2 A pesar de que las manifestaciones bucales son poco comunes −sólo representan entre el 12 y 14% de las presentaciones extragenitales−,3 en los últimos años la propagación de sífilis bucal adquirida ha ido en aumento en pacientes jóvenes.4 La inflamación seudogranulomatosa es un hallazgo histopatológico infrecuente de las lesiones bucales asociadas con sífilis secundaria.

En el presente caso, se reporta un paciente que acudió a consulta por presentar una úlcera traumática que no cicatrizaba y que, tras un segundo interrogatorio minucioso, se obtuvo la información necesaria que orientó a llevar a cabo pruebas diagnósticas definitivas.

Es de suma importancia informar a los especialistas en salud bucal sobre la presencia de infecciones de transmisión sexual dentro del espectro de lesiones en cavidad bucal, dado el incremento de su prevalencia debido a prácticas de alto riesgo. También es imperativo recordar que la sífilis, conocida como "la gran imitadora", muestra síntomas variables y que asemejan a otras enfermedades, haciendo de su diagnóstico un reto importante y con riesgo de retrasar su tratamiento adecuado.



COMPORTAMIENTO EPIDEMIOLÓGICO Y FACTORES DE TRANSMISIÓN

La sífilis es una enfermedad bacteriana infectocontagiosa de transmisión sexual causada por el Treponema pallidum. La Organización Panamericana de la Salud reveló que los nuevos casos de sífilis en América Latina han aumentado a 8 millones en los últimos dos años, representando la mayor incidencia a nivel mundial con un aumento alarmante del 42%.1 Asimismo, su prevalencia es mayor en áreas metropolitanas de países de medio y bajo ingreso económico como Brasil y Argentina.2,3 En México, la prevalencia de sífilis activa va de 1.7 a 13.1% y las reinfecciones de 11.1 a 24.4%, teniendo mayor incidencia en hombres jóvenes entre 20 y 39 años.2

Otros grupos vulnerables son las trabajadoras sexuales, los usuarios de drogas intravenosas, las personas involucradas en prácticas sexuales de riesgo (sexo ocasional anónimo, múltiples encuentros sexuales sin protección, sexodopaje),3,5 así como aquellas que viven con el virus de inmunodeficiencia humana (VIH) o que practican sexo seroconcordante o serosorting (sexo en función del estado serológico de VIH como estrategia de selección de pareja).5 También representan grupos vulnerables los hombres que tienen sexo con otros hombres, en donde se reporta un incremento de proporciones epidémicas con 1,412% de nuevos casos.4



ETAPAS Y MANIFESTACIONES CLÍNICAS

La principal forma de transmisión de la sífilis es por vía de contacto o de forma adquirida.

Existen tres etapas o estadios según la aparición de los síntomas de la enfermedad y su progresión, siendo este el método más sencillo para su clasificación y diagnóstico.

La sífilis primaria se manifiesta tres semanas después de la inoculación con lesiones en el sitio de la infección, generalmente como una úlcera circular indolora llamada chancro, localizada en el área genital;4,5 sin embargo, por prácticas orogenitales, la cavidad bucal puede ser un sitio de primoinfección y, si la infección no es tratada, ésta puede diseminarse a diferentes órganos, evolucionando a sífilis secundaria.

En la etapa secundaria los síntomas incluyen fiebre baja, linfadenopatías, mialgias, artralgias, astenia y adinamia, además de erupciones cutáneas generalizadas, principalmente en palmas de pies y manos, llamadas "roséola sifilítica".6 Paralelamente pueden observarse lesiones maculopapulares eritematosas en la mucosa bucal, parches mucosos, úlceras elevadas y placas mucosas muy queratinizadas, las cuales pueden no cicatrizar o ser recurrentes, llegando a confundirse con otras entidades; de ahí que se conozca a la sífilis como "la gran imitadora".4,6 Durante este periodo, la sífilis primaria y secundaria pueden presentar características que se traslapan.7

Aunque las lesiones reviertan y el paciente se muestre asintomático, la infección puede entrar en un periodo de latencia y su diagnóstico sólo podría ser serológico. Este periodo se subdivide en latencia temprana, cuando la infección se adquirió en el último año, y latencia tardía, si la infección ha estado presente por más tiempo, es decir, por años o décadas, hasta evolucionar a una sífilis terciaria. Esta última se caracteriza por complicaciones neurológicas y cardiovasculares que pueden ser letales entre un 8 a 14% de los casos.6 Las lesiones terciarias en mucosa bucal son lesiones granulomatosas, necróticas y asintomáticas conocidas como "gomas",6,8 las cuales presentan alto riesgo de transformarse en carcinoma escamocelular.9

Por otro lado, la forma de transmisión congénita o vertical es aquella que se da de la madre al feto, durante el parto o en el embarazo, ya que el Treponema pallidum cruza la barrera placentaria; la mitad de las madres no tratadas pueden transmitirlo a su hijo. En América Latina se estima una tasa de 1.7 casos de sífilis por cada 1,000 nacimientos; en México, se reportó un aumento de 62 casos, en el 2010, a 372 casos, en 2019.2



DIAGNÓSTICOS DIFERENCIALES ("LA GRAN IMITADORA")

Como es "la gran imitadora", debe ponerse especial cuidado en los diagnósticos diferenciales. La sífilis primaria puede llegar a confundirse con úlceras infecciosas (bacterianas, virales o fúngicas), como tuberculosis, infección por virus del herpes simple tipo I o II, o linfogranuloma venéreo por Chlamydia trachomatis;4,9,10 úlceras no infecciosas, como traumatismos; neoplasias malignas (carcinoma escamocelular o linfoma); o enfermedades autoinmunes, como eritema multiforme, dermatosis ampollar o enfermedad linear por IgA.6,8,11 Mientras que, para la sífilis secundaria, podrían sugerirse numerosos diagnósticos diferenciales a partir de erupciones cutáneas y úlceras crónicas o recurrentes asociadas con enfermedades autoinmunes, como el liquen plano, la enfermedad de Crohn,11 enfermedades granulomatosas crónicas como sarcoidosis,12 infección por Borrelia burgdorferi, lepra, leishmaniasis, condilomas planos y enfermedades inducidas por medicamentos.13,14 Finalmente, en la sífilis terciaria, se pueden considerar lesiones asociadas a lupus, granulomatosis de Wegener y tumores malignos como el linfoma y el carcinoma escamocelular.9,11,12



HISTOPATOLOGÍA

Las características histopatológicas ayudan a diagnosticar y determinar el estadio de la infección. En la lesión primaria, éstas son inespecíficas, indicando cambios epiteliales e infiltrado inflamatorio, con células plasmáticas principalmente, y otras células inflamatorias, como linfocitos e histiocitos.3,5 Por otro lado, las lesiones secundarias se caracterizan por acantosis, hiperqueratosis, microabscesos, exocitosis linfocítica y endarteritis.8

Se ha reportado que algunas características histopatológicas pueden estar relacionadas con las clínicas, como la acantosis, que está presente en lesiones con un aspecto clínico de parches mucosos y úlceras; por otro lado, la hiperplasia psoriasiforme ha sido un hallazgo relevante en máculas/placas eritematosas y papulares/nódulos linguales.8

En algunas ocasiones, las características histopatológicas pueden ser difíciles de interpretar. La inflamación granulomatosa es un hallazgo inusual en la sífilis secundaria o terciaria.14,15 Se han descrito diferentes patrones granulomatosos en la sífilis, incluyendo inflamación granulomatosa mal definida, configuración de "tipo sarcoidal" y en empalizadas, inflamación granulomatosa intersticial y granuloma tuberculoide.16,17 Aunque en ocasiones simulan la arquitectura granulomatosa, carecen de las características definitorias del granuloma clásico, por lo que son llamadas "seudogranulomas". Para corroborar que dichos seudogranulomas están relacionados con el T. pallidum, es útil realizar una tinción inmunohistoquímica, la cual será positiva en las espiroquetas localizadas en epitelio y/o en lámina propia superficial.3,14



PRUEBAS DE LABORATORIO PARA SU DIAGNÓSTICO

Las pruebas necesarias para el diagnóstico varían según el estadio de la infección, ya que los anticuerpos pueden ser indetectables en las primeras cuatro semanas posteriores a la inoculación. En este caso, la prueba de detección directa de campo oscuro permite la observación directa del microorganismo a través de microscopia por fluorescencia.18

Las pruebas serológicas para sífilis pueden ser no treponémicas y treponémicas. Las primeras son pruebas cuantitativas y determinan anticuerpos como la reagina, la cual reacciona a los antígenos lipoidales del T. pallidum. Entre las pruebas no treponémicas se incluyen la USR (unheated serum regain), el VDRL (Venereal Disease Research Laboratory) y el RPR (Rapid Plasma Reagin), e indican la presencia de una infección activa dentro de las primeras seis semanas después de la inoculación.18,19 Estas pruebas ayudan a detectar sífilis activa, a determinar la etapa de evolución de la enfermedad, a monitorizar respuesta al tratamiento y/o a descartar neurosífilis o sífilis congénita.19,20

Las pruebas treponémicas son cualitativas y permiten detectar anticuerpos IgG que el organismo generó contra la bacteria. Estas pruebas son más sensibles y específicas que las anteriores, sobre todo ante sífilis latente y terciaria. También son confirmatorias ante un resultado positivo de las pruebas no treponémicas, además de permitir el tamizaje de sífilis en bancos de sangre ya que son automatizadas, comparando simultáneamente múltiples muestras. Las pruebas treponémicas más comunes son el FTA-Abs (Fluorescent Treponemal Antibody Absorption), TPPA (T. pallidum particle agglutination) y el TPHA (T. pallidum haemagglutination assay).17,19-21

En los casos con resultados no concluyentes, es útil determinar la amplificación del gen polA mediante reacción en cadena de la polimerasa (PCR); se ha informado que esta prueba tiene una sensibilidad del 95.8% y una especificidad del 95.7%.22,23



TRATAMIENTO

Por mucho tiempo, las penicilinas naturales parenterales (benzatínica, procaínica y cristalina) han sido el tratamiento de elección para todas las etapas de sífilis. La más común es la penicilina benzatínica G de 1.2 a 2.4 millones de unidades, tanto en dosis única como en dosis semanal, durante una a cuatro semanas, en respuesta a la evolución y desaparición de lesiones y sintomatología.3,4 La penicilina procaínica es preferente en casos de sífilis terciaria, mientras que la amoxicilina vía oral es adecuada para tratar sífilis primaria en pacientes embarazadas.4,5,19

Otras opciones terapéuticas para individuos sensibles a la penicilina incluyen las tetraciclinas (doxiciclina) y los macrólidos (eritromicina y azitromicina), aunque no hay suficientes datos disponibles que evidencien su efectividad. Recientemente, se ha comprobado la efectividad terapéutica de la ceftriaxona como alternativa de tratamiento. Entre sus ventajas están evitar problemas de alergia, baja tolerancia o falta de apego al medicamento.4,22



PRESENTACIóN DEL CASO

Paciente masculino de 21 años que asistió a la clínica dental San Lorenzo de la Universidad Autónoma Metropolitana-Xochimilco (UAM-X) con presencia de úlcera indolora en la mucosa del labio inferior del lado derecho. La lesión presentaba cuatro semanas de evolución, además de referir múltiples traumatismos en el sitio. Se interrogó sobre los antecedentes personales patológicos y heredofamiliares, pero se consideraron irrelevantes para el motivo de consulta. Como antecedentes no patológicos, el paciente manifestó ingerir alcohol desde los 15 años (33 unidades de vodka una vez a la semana), negando el consumo de tabaco u otras toxicomanías.

El examen extrabucal no arrojó datos relevantes. Al examen intrabucal se observó una úlcera de forma ovoidal, de bordes blanquecinos, discretamente elevada y con tamaño de 7 mm en mucosa labial inferior del lado derecho. Se realizó un diagnóstico presuntivo de úlcera traumática eosinofílica, por lo que se decidió llevar a cabo una biopsia escisional para estudio histopatológico.

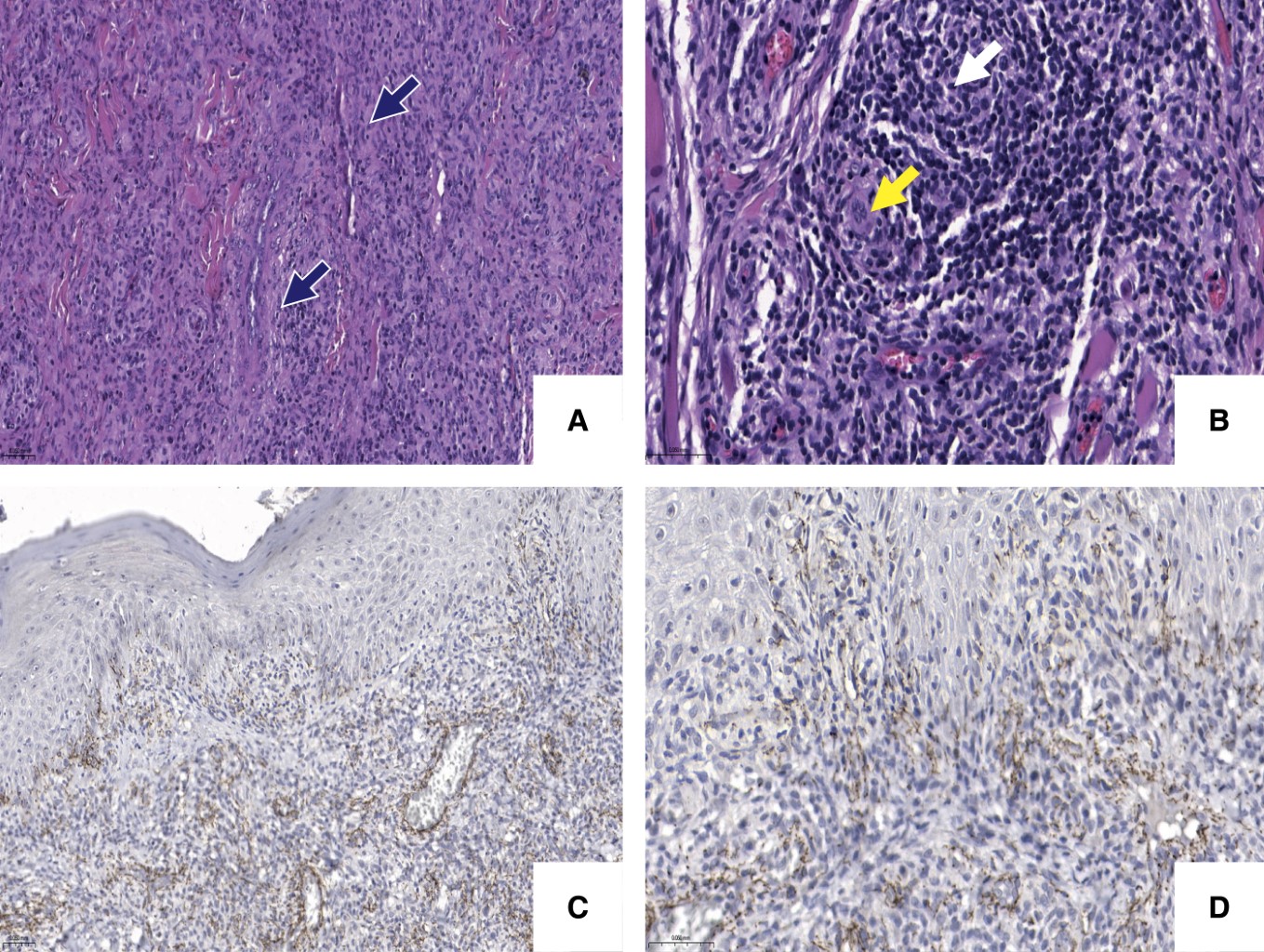
Macroscópicamente se observó una úlcera bien definida, discretamente elevada e indurada, de 15 × 10 × 8 mm, con un componente sólido blanco-amarillento en su interior (Figura 1A y B). En los cortes histológicos se observó epitelio escamoso hiperparaqueratinizado con áreas cubiertas con membrana de fibrina, apoyado en tejido conectivo con intenso infiltrado inflamatorio de tipo crónico, constituido predominantemente por linfocitos y células plasmáticas (Figura 1C y D). Focalmente se observaron agregados de histiocitos activados con una morfología similar a células epiteliales, formando seudogranulomas y vasos sanguíneos con endarteritis (Figura 2A y B).

Ante estos hallazgos, se inició el abordaje diagnóstico del caso como un proceso inflamatorio granulomatoso atípico, por lo que se realizaron tinciones especiales para microorganismos. Las tinciones de ácido peryódico de Schiff, Grocott, Ziehl-Neelsen y Gram fueron negativas. Se realizó hibridación in situ (EBER-ISH) e inmunohistoquímica (CD-30, CD-20, CD-68) para investigar un posible trastorno linfoproliferativo y una úlcera mucocutánea asociada con el virus de Epstein-Barr, descartando ambos.

Ante estos hallazgos, se interrogó nuevamente al paciente, en donde informó mantener sexo con otros hombres y haber estado expuesto a prácticas de riesgo sin protección (felación), además de referir otros signos y síntomas como astenia, adinamia, artralgias y erupción cutánea en espalda, brazos y área genital algunas semanas antes del inicio de la lesión bucal. Se realizó la prueba VDRL y se solicitaron reacciones de inmunohistoquímica para T. pallidum, evidenciando ambas un resultado positivo (Figura 2C y 2D). La prueba de VIH realizada fue negativa, por lo que se estableció el diagnóstico de lesión asociada a sífilis secundaria.

Con base en los resultados serológicos y de inmunohistoquímica, el paciente recibió tratamiento con 2.4 millones de unidades de penicilina G benzatínica por vía intramuscular. Un mes después, las pruebas de VDRL y VIH fueron negativas. No se observó persistencia de la lesión en el sitio de inicio.



DISCUSIóN

Las lesiones bucales asociadas a sífilis secundaria, así como las úlceras indoloras en mucosa bucal de personas inmunocompetentes, son infrecuentes, por lo que representan un reto diagnóstico para el especialista en salud bucal. Nuestro caso representa un recordatorio de la presencia de infecciones de transmisión sexual como la sífilis, enfatizando la mucosa bucal como probable sitio de manifestación inicial de la infección.

El repunte de sífilis en América Latina ha sido exponencial, en particular asociado a la coinfección de VIH/SIDA.4,8 Andrade y colaboradores presentaron una serie con 339 casos de sífilis bucal adquirida, y concluyeron que la mayoría de los pacientes eran hombres adultos jóvenes con manifestaciones bucales de sífilis en etapa secundaria al momento del diagnóstico, similar al caso que presentamos.4 De igual forma, la literatura revisada coinciden en los factores de riesgo que hacen a esta población vulnerable, como son las relaciones sexuales de alto riesgo, el tener múltiples parejas, el abuso de drogas, el ser trabajador sexual y la coinfección de VIH.3,4 Específicamente, la sífilis bucal ha exhibido un aumento en la última década debido a prácticas orogenitales de riesgo, como se reportó en este caso. Es de interés destacar que, por la alta prevalencia de sífilis bucal en algunas poblaciones (67%), existe un mayor riesgo de infectarse por vía oral por T. pallidum que por VIH.5

Clínicamente, la úlcera solitaria es la presentación más frecuente de sífilis primaria (91.7%). Se localiza preferentemente en labio superior, lengua, paladar y mucosa bucal.5 La región anatómica más afectada en los pacientes con localización única es la lengua (37.5%), seguida de los labios (29.5%), el paladar (19.3%) y la mucosa bucal (6.8%).5 En ocasiones, las características primarias y secundarias pueden traslaparse tanto en pacientes VIH-positivos como en aquellos que no lo son.8

Como reportan Ramírez-Amador y colaboradores, en la sífilis secundaria las lesiones en boca presentan un patrón heterogéneo, el cual incluye parches mucosos o úlceras superficiales, tanto en pacientes VIH positivos como negativos.7 Esto coincide con el caso presentado, al tratarse de un individuo sin infección por VIH y con sífilis secundaria.

Es relevante mencionar que pruebas serológicas de referencia como el VDRL y el FTA-ABS, o auxiliares de diagnóstico como la tinción de plata e inmunohistoquímica, son necesarias para un diagnóstico adecuado, sobre todo ante hallazgos histopatológicos inespecíficos y que simulan otras afecciones, o bien ante la posibilidad de traslape de los estadios de la infección.4,7 Esto debido a que no se ha establecido ninguna prueba que tenga la sensibilidad y especificidad suficientes para reconocer todas las etapas de la enfermedad, principalmente en pacientes coinfectados con VIH.8 Sin embargo, cabe mencionar que, en el presente caso, los resultados del VDRL orientaron el diagnóstico a sífilis.

Con relación al análisis histopatológico, la inflamación seudogranulomatosa observada es una característica infrecuente en lesiones secundarias, por lo que fue un desafío diagnóstico importante, ya que los casos de sífilis secundaria y terciaria muestran comúnmente inflamación crónica con abundantes células plasmáticas.24 Como se evidenció en nuestro paciente y se reporta en la literatura, la mayoría de los casos reportados de sífilis secundaria granulomatosa describen agregados nodulares de histiocitos epitelioides en la lámina propia acompañados de células plasmáticas,14,25 principalmente en lesiones de sífilis secundaria o terciaria de larga duración y no tratadas.24 En el caso reportado la inflamación presentaba cuatro semanas de evolución, coincidiendo con algunos casos reportados previamente, con presencia en la piel.26,27

Se han propuesto varias hipótesis para explicar el desarrollo de una respuesta granulomatosa o seudogranulomatosa en la sífilis secundaria, como la correlación con la duración de la enfermedad y/o la implicación de una reacción de hipersensibilidad a T. pallidum.28 Se han caracterizado diferentes patrones seudogranulomatosos como: poco definidos, tipo-sarcoidal, en empalizada, intersticiales o tuberculoides.16,17 La presentación clínica más común es en forma de lesiones cutáneas de tipo pápulas y nódulos;14,24 sin embargo, se han descrito casos en mucosa bucal con otros aspectos clínicos (Tabla 1).16,29

La detección directa de T. pallidum en secciones de tejido es útil para confirmar el diagnóstico, al menos en casos de presentación atípica y resultados serológicos no concluyentes, ya que las espiroquetas se pueden encontrar en lesiones durante la etapa primaria y secundaria temprana.30 El análisis inmunohistoquímico con anticuerpos primarios contra la espiroqueta es más sensible que la tinción de plata (Warthin-Starry) y la microscopia de campo oscuro,31 reportando una precisión del 79%.32 En consecuencia, se deberá llevar a cabo una búsqueda rigurosa de la histomorfología típica, ya que pueden obtenerse resultados falsos positivos con bacilos alcohol ácido-resistentes y otras espiroquetas como Mycobacterium marinum y Brachyspira.14

El diagnóstico de sífilis bucal puede ser extremadamente difícil por la alta variabilidad en la presentación clínica. Debido a esto, todas las lesiones inflamatorias inespecíficas (enantemas) deben ser cuidadosamente valoradas y relacionadas con la historia clínica para determinar su origen reactivo, infeccioso, neoplásico o sistémico.10 De esta manera se facilitaría el diagnóstico temprano acertado y el tratamiento adecuado, como en la serie de casos presentada por Maloney y colaboradores, cuyos signos y síntomas descritos pueden confundirse con diversas patologías, corroborando que la sífilis es "la gran imitadora".12

De acuerdo con las guías de manejo, se sabe que el tratamiento debe ser una dosis superior a 0.018 mg/L de penicilina G benzatínica, ya que es eficaz para eliminar al T. pallidum,3 tal como sucedió con el presente caso. Si bien el metaanálisis de Liu y colaboradores refiere que encontraron una mejor tasa de respuesta serológica con la ceftriaxona, la cual se recomienda para pacientes alérgicos y mujeres embarazadas,33 en nuestro paciente se obtuvo una buena respuesta con la indicación convencional.

Finalmente, el presente caso reporta una úlcera indolora en mucosa con presencia histopatológica de seudogranulomas (no con el patrón del granuloma clásico), representando un reto diagnóstico por ser rasgos infrecuentes. Lo anterior muestra la relevancia de llevar a cabo una anamnesis meticulosa junto con el análisis de resultados inmunohistoquímicos y serológicos para el diagnóstico de sífilis secundaria en un paciente no infectado con VIH. Las úlceras indoloras en mucosa bucal de pacientes inmunocompetentes son un recordatorio para que los profesionales de la salud bucal consideren la presencia de infecciones de transmisión sexual como la sífilis, dentro del espectro de lesiones presentes en la boca y como posible sitio inicial de aparición.



CONCLUSIONES

El presente caso muestra un paciente con diagnóstico de sífilis secundaria que se presentó clínicamente como una úlcera en la mucosa labial del lado derecho e histopatológicamente como una lesión con inflamación con un patrón seudogranulomatoso. El diagnóstico, tanto clínico como histopatológico, representó un desafío, debido a su presentación atípica. La sífilis es una enfermedad emergente que requiere que el especialista realice una historia clínica rigurosa y una adecuada interpretación de pruebas serológicas, histopatológicas, inmunohistoquímicas y moleculares. Las infecciones de transmisión sexual como la sífilis deben formar parte de los diagnósticos clínicos diferenciales a tener en cuenta en casos de úlceras únicas e indoloras presentes en la mucosa bucal.



AGRADECIMIENTOS

Los autores agradecen al Programa y Laboratorio de Patología y Medicina Bucal de la Universidad Autónoma Metropolitana-Xochimilco por las instalaciones que proporcionaron las imágenes histopatológicas, especialmente a la Dra. Itzia Torres Torres.


REFERENCIAS (EN ESTE ARTÍCULO)

  1. World Health Organization. Global health sector strategies on, respectively, HIV, viral hepatitis and sexually transmitted infections for the period 2022-2030 [internet]. Geneva: WHO; 2022. Available in: https://www.who.int/publications/i/item/9789240053779

  2. Tumalán-Gil OD, Ruiz-González V, García-Cisneros S, González-Rodríguez A, Herrera-Ortiz A, Olamendi-Portugal M et al. High incidence, reinfections, and active syphilis in populations attending a specialized HIV clinic in Mexico, a dynamic cohort study. Arch Sex Behav. 2023; 52 (2): 783-791. doi: 10.1007/s10508-022-02433-1.

  3. Apoita Sanz M, González Navarro B, Jané-Salas E, Marí Roig A, Estrugo Devesa A, López-López J. Sífilis: manifestaciones orales, revisión sistemática. Av Odontoestomatol. 2020; 36 (3): 159-173. doi: 10.4321/s0213-12852020000300005.

  4. de Andrade BAB, de Arruda JAA, Gilligan G, Piemonte E, Panico R, Molina Ávila I et al. Acquired oral syphilis: A multicenter study of 339 patients from South America. Oral Dis. 2022; 28 (6): 1561-1572. doi: 10.1111/odi.13963.

  5. Zhou X, Wu MZ, Jiang TT, Chen XS. Oral manifestations of early syphilis in adults: a systematic review of case reports and series. Sex Transm Dis. 2021; 48 (12): e209-e214. doi: 10.1097/OLQ.0000000000001538.

  6. Mauceri R, Coppini M, Cascio A, Trizzino M, Crivello V, Florena AM et al. Oral secondary syphilis in an HIV-positive transgender patient: a case report and review of the literature. Dent J (Basel). 2023; 11 (10): 231. doi: 10.3390/dj11100231.

  7. Ramírez-Amador V, Anaya-Saavedra G, Calva-Mercado JJ. The challenging diagnosis of overlapping oral primary/secondary syphilis with nonreactive serology. J Cutan Pathol. 2020; 47 (11): 1058-1062. doi: 10.1111/cup.13811.

  8. Ramírez-Amador V, Castillejos-García I, Maldonado-Mendoza J, Saeb-Lima M, Aguilar-León D, Anaya-Saavedra G. Exposing the great imitator: proposal for a holistic diagnosis of oral secondary syphilis in people living with HIV. Head Neck Pathol. 2022; 16 (3): 773-784. doi: 10.1007/s12105-022-01446-5.

  9. Huang S, Lu R, Yang JY, Zhou G. A nonspecific ulcer on upper lip presented as the first and sole sign of syphilis. J Infect Chemother. 2020; 26 (12): 1309-1312. doi: 10.1016/j.jiac.2020.07.010.

  10. Deng F, Thompson LDR, Lai J. Unexpected reason for non-healing oral ulcers: syphilis. Head Neck Pathol. 2022; 16 (2): 544-549. doi: 10.1007/s12105-021-01348-y.

  11. Drago F, Ciccarese G, Merlo G, Trave I, Javor S, Rebora A et al. Oral and cutaneous manifestations of viral and bacterial infections: not only COVID-19 disease. Clin Dermatol. 2021; 39 (3): 384-404. doi: 10.1016/j.clindermatol.2021.01.021.

  12. Maloney B, Healy C. Oral syphilis - the great imitator: a series of six cases. Br Dent J. 2024; 237: 543-549. doi: 10.1038/s41415-024-7891-9.

  13. Keah NM, Smetak MR, Lewis JS Jr, Topf MC. Secondary syphilis presenting as recurrent oral mucocutaneous lesions. Ear Nose Throat J. 2024; 103 (10): 614-616. doi: 10.1177/01455613221078179.

  14. Ambrogio F, Cazzato G, Foti C, Grandolfo M, Mennuni GB, Vena GA et al. Granulomatous secondary syphilis: a case report with a brief overview of the diagnostic role of immunohistochemistry. Pathogens. 2023; 12 (8): 1054. doi: 10.3390/pathogens12081054.

  15. George B, Naik R, Ghodge R. The renaissance of secondary syphilis: a case series. Clin Dermatol Rev. 2024; 8 (3): 243-246. doi: 10.4103/cdr.cdr_111_23.

  16. Rysgaard C, Alexander E, Swick BL. Nodular secondary syphilis with associated granulomatous inflammation: case report and literature review. J Cutan Pathol. 2014; 41 (4): 370-379. doi: 10.1111/cup.12293.

  17. Sezer E, Luzar B, Calonje E. Secondary syphilis with an interstitial granuloma annulare-like histopathologic pattern. J Cutan Pathol. 2011; 38 (5): 439-442. doi: 10.1111/j.1600-0560.2010.01657.x.

  18. Papp JR, Park IU, Fakile Y, Pereira L, Pillay A, Bolan GA. CDC laboratory recommendations for syphilis testing, United States, 2024. MMWR Recomm Rep. 2024; 73 (1): 1-32. doi:10.15585/mmwr.rr7301a1.

  19. Satyaputra F, Hendry S, Braddick M, Sivabalan P, Norton R. The laboratory diagnosis of syphilis. J Clin Microbiol. 2021; 59 (10): e0010021. doi: 10.1128/JCM.00100-21.

  20. Gaspar PC, Bigolin A, Alonso Neto JB, dos Santos Pereira ED, Bazzo ML. Protocolo Brasileño para Infecciones de Transmisión Sexual 2020: pruebas de diagnóstico de sífilis. Epidemiol Serv Saúde [Internet]. 2021; 30 (spe1): e2020630. Disponible en: https://www.scielosp.org/article/ress/2021.v30nspe1/e2020630/pt/

  21. García-Cisneros S, Herrera-Ortiz A, Olamendi-Portugal M, Sánchez-Alemán MA. Re-emergence of syphilis in women of reproductive age and its association with the increase in congenital syphilis in Mexico during 2010-2019: an ecological study. BMC Infect Dis. 2021; 21 (1): 992. doi: 10.1186/s12879-021-06680-w.

  22. Liu H, Rodes B, Chen CY, Steiner B. New tests for syphilis: rational design of a PCR method for detection of Treponema pallidum in clinical specimens using unique regions of the DNA polymerase I gene. J Clin Microbiol. 2001; 39 (5): 1941-1946. doi: 10.1128/JCM.39.5.1941-1946.2001.

  23. Shields M, Guy RJ, Jeoffreys NJ, Finlayson RJ, Donovan B. A longitudinal evaluation of Treponema pallidum PCR testing in early syphilis. BMC Infect Dis. 2012; 12: 353. doi: 10.1186/1471-2334-12-353.

  24. Jin A, McLarney BD, Hsu S, Lee JB. Granulomatous secondary syphilis: Another diagnostic pitfall for the dermatopathologist. J Cutan Pathol. 2023; 50 (3): 209-212. doi: 10.1111/cup.14370.

  25. Li W, Barnes E, McNeil C, Palavecino E. Secondary syphilis mimicking sarcoidosis. Clin Case Rep. 2020; 8 (11): 2237-2239. doi: 10.1002/ccr3.3077.

  26. Green KM, Heilman E. Secondary syphilis presenting as a palisading granuloma. J Am Acad Dermatol. 1985; 12 (5, 2): 957-960. doi: 10.1016/s0190-9622(85)70122-3.

  27. Tsai KY, Brenn T, Werchniak AE. Nodular presentation of secondary syphilis. J Am Acad Dermatol. 2007; 57 (2): S57-S58. doi: 10.1016/j.jaad.2007.02.005.

  28. Magdaleno-Tapial J, Valenzuela-Oñate C, Ortiz-Salvador JM, Hernández-Bel P, Alegre-De Miquel V. Treponema pallidum epidermotropism in nodular secondary syphilis. Indian J Dermatol. 2018; 63 (6): 509-511. doi: 10.4103/ijd.IJD_232_18.

  29. Barrett AW, Villarroel Dorrego M, Hodgson TA, Porter SR, Hopper C, Argiriadou AS et al. The histopathology of syphilis of the oral mucosa. J Oral Pathol Med. 2004; 33 (5): 286-291. doi: 10.1111/j.0904-2512.2004.00099.x.

  30. Martín-Ezquerra G, Fernandez-Casado A, Barco D, Jucgla A, Juanpere-Rodero N, Manresa JM et al. Treponema pallidum distribution patterns in mucocutaneous lesions of primary and secondary syphilis: an immunohistochemical and ultrastructural study. Hum Pathol. 2009; 40 (5): 624-630. doi: 10.1016/j.humpath.2008.10.017.

  31. Theel ES, Katz SS, Pillay A. Molecular and direct detection tests for Treponema pallidum subspecies pallidum: a review of the literature, 1964-2017. Clin Infect Dis. 2020; 71 (1): S4-S12. doi: 10.1093/cid/ciaa176.

  32. Rosa MFAP, Quintella LP, Ferreira LC, Cuzzi T. Immunohistochemical detection of Treponema pallidum in skin samples with clinical and histopathological correlations and Warthin-Starry staining critical analysis. An Bras Dermatol. 2023; 98 (4): 480-486. doi: 10.1016/j.abd.2022.02.008.

  33. Liu M, Fan Y, Chen J, Yang J, Gao L, Wu X et al. Efficacy and safety of treatments for different stages of syphilis: a systematic review and network meta-analysis of randomized controlled trials and observational studies. Microbiol Spectr. 2022; 10 (6): e0297722. doi: 10.1128/spectrum.02977-22.



AFILIACIONES

1 Cirujana Oral y Maxilofacial. Profesor investigador del Departamento de Atención a la Salud (DAS), Universidad Autónoma Metropolitana-Xochimilco (UAM-X). Ciudad de México, México.

2 Maestría en Patología y Medicina Bucal. DAS, UAM-X. Ciudad de México, México.

3 Jefa de Departamento, Instituto Nacional de Cancerología. Ciudad de México, México.

4 Pasante de Estomatología. DAS, UAM-X. Ciudad de México, México.



Conflicto de intereses: los autores no tienen conflicto de intereses relevante que declarar en relación con el contenido de este artículo.

Declaración ética: se obtuvo el consentimiento informado por escrito de la persona descrita en el estudio.



CORRESPONDENCIA

Nubia Yadira Prado Bernal. E-mail: nprado@correo.xoc.uam.mx




Recibido: Julio 2025. Aceptado: Septiembre 2025.

Tabla 1
Figura 1
Figura 2

2020     |     www.medigraphic.com

Mi perfil

C?MO CITAR (Vancouver)

Rev Mex Cir Bucal Maxilofac. 2025;21

ARTíCULOS SIMILARES

CARGANDO ...