medigraphic.com
ENGLISH

Revista Mexicana de Cirugía Bucal y Maxilofacial

ISSN 2007-3178 (Impreso)
Asociación Mexicana de Cirugía Bucal y Maxilofacial, Colegio Mexicano de Cirugía Bucal y Maxilofacial, A.C.
  • Mostrar índice
  • Números disponibles
  • Información
    • Información general        
    • Directorio
  • Publicar
    • Instrucciones para autores        
    • Envío de artículos
  • medigraphic.com
    • Inicio
    • Índice de revistas            
    • Registro / Acceso
  • Mi perfil

2025, Número 3

<< Anterior Siguiente >>

Rev Mex Cir Bucal Maxilofac 2025; 21 (3)


Quiste odontogénico glandular. Reporte de caso clínico y revisión de la literatura

Narváez Ruiz, Raúl1; Chávez Priego, Tania2; Cruz Tapia, Roberto Onner3; Manrique Islas, Ernesto4; Jerónimo Hernández, Adriana Lizeth5
Texto completo Cómo citar este artículo 10.35366/121766

DOI

DOI: 10.35366/121766
URL: https://dx.doi.org/10.35366/121766
Artículos similares

Idioma: Español
Referencias bibliográficas: 30
Paginas: 127-133
Archivo PDF: 3343.59 Kb.


PALABRAS CLAVE

quiste odontogénico, células mucosas, quistes maxilares, diagnóstico diferencial, histopatología, tomografía por Cone Beam.

RESUMEN

Introducción: el quiste odontogénico glandular (QOG) es una lesión benigna del desarrollo, de comportamiento agresivo, que surge de la lámina dental y presenta características de diferenciación glandular en su revestimiento. Representa sólo el 0.2% de todos los quistes odontogénicos. Objetivo: reportar un caso clínico de QOG con localización inusual, destacando el valor de la inmunohistoquímica en su confirmación diagnóstica. Se complementa con una revisión de la literatura sobre sus implicaciones diagnósticas y terapéuticas. Presentación del caso: paciente masculino de 22 años, residente de Xalapa, Veracruz, con aumento de volumen asintomático en región geniana izquierda de seis meses de evolución. La exploración intraoral evidenció expansión en fondo de saco y cortical vestibular del maxilar. La tomografía mostró una lesión ovalada de 30 × 30 mm con perforación cortical y comunicación con seno maxilar, cercana al nervio infraorbitario. Se realizó biopsia excisional, confirmándose QOG histopatológicamente. El postoperatorio fue favorable, sin complicaciones. Conclusión: el QOG requiere criterios diagnósticos específicos y seguimiento clínico prolongado debido a su potencial de recidiva.



ABREVIATURAS:

  • QOG = quiste odontogénico glandular
  • MEC = carcinoma mucoepidermoide central



INTRODUCCIóN

El quiste odontogénico glandular (QOG) es una lesión benigna del desarrollo con comportamiento agresivo.1 Surge de la lámina dental, la cual contiene características de diferenciación glandular en su revestimiento.2 Se trata de una entidad poco frecuente (representa sólo el 0.2% de todos los quistes odontogénicos)3,4 y cuyo diagnóstico diferencial sigue siendo controversial, debido a las similitudes clínicas e histológicas con otras lesiones odontogénicas y neoplásicas.

El QOG fue descrito por Padayachee y Van Wyk en 1987, quienes lo denominaron "quiste sialo-odontogénico",5,6 basándose en dos casos en la zona anterior de la mandíbula, uno de ellos con recidiva tras curetaje. Posteriormente, en 1988, Gardner propuso el término "quiste odontogénico glandular" y publicó ocho casos adicionales, tanto en mandíbula como en maxilar, con recurrencia en dos de ellos.7-9 Desde entonces, el conocimiento sobre esta entidad ha ido en aumento: hasta 2010 se habían registrado únicamente 114 casos,10 mientras que en 2022 Nel y su equipo publicaron un estudio multicéntrico con 92 nuevos reportes.2

En cuanto a su clasificación, la Organización Mundial de la Salud (OMS) la reconoció en 1992 como una entidad patológica independiente, definiéndola como un quiste que aparece en áreas dentadas de los maxilares y que histológicamente presenta un recubrimiento epitelial con células cúbicas o cilíndricas y la formación de criptas o espacios quísticos intraepiteliales.11,12 En 2017, la OMS describió diez criterios histopatológicos y sugirió que la presencia de al menos siete de ellos permitía establecer el diagnóstico de QOG. La edición más reciente del 2022 puntualiza que estos criterios no siempre están presentes en todos los casos, y propone características más confiables para favorecer el diagnóstico.13

La relevancia clínica del QOG radica en su recurrencia creciente14 y en la necesidad de establecer criterios diagnósticos precisos que guíen un tratamiento adecuado.

El presente trabajo tiene como objetivo reportar un caso clínico de QOG y realizar una revisión de la literatura que contribuya a una mejor comprensión de esta entidad poco frecuente, enfatizando sus implicaciones diagnósticas, terapéuticas y pronósticas. Resalta la particularidad de este caso por la localización inusual de la lesión, lo que representa un aporte adicional en la caracterización clínica de esta patología. Asimismo, se enfatiza la importancia del empleo de estudios inmunohistoquímicos como herramienta complementaria para confirmar el diagnóstico y diferenciarlo de otras lesiones odontogénicas y no odontogénicas con comportamiento similar. En conjunto, este reporte busca promover el establecimiento de criterios clínicos, radiográficos, histopatológicos e inmunohistoquímicos más precisos, que permitan un diagnóstico diferencial oportuno, un abordaje quirúrgico adecuado, la reducción de la recurrencia y, en consecuencia, la mejora del pronóstico de los pacientes afectados.



PRESENTACIóN DEL CASO

Paciente masculino de 22 años, sin antecedentes heredofamiliares ni médicos de importancia para la patología en cuestión. Se presenta en el Instituto Mexicano del Seguro Social, en la Clínica No. 11 de Xalapa, Veracruz, informando sobre padecimiento desde hace seis meses aproximadamente. Refiere la presencia de un abultamiento progresivo en la región facial izquierda, asociado con inflamación y evidente desproporción en la simetría facial.

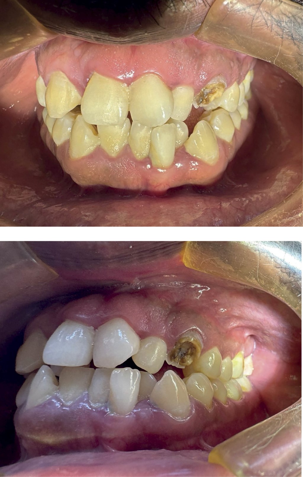
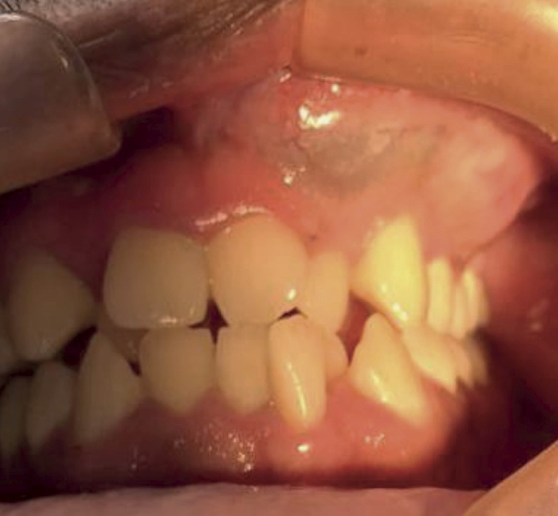
A la exploración física extraoral se aprecia paciente consciente, tranquilo, cooperador, normocéfalo, con un aumento de volumen en la región geniana izquierda, asintomático, no doloroso a la palpación superficial o profunda, el cual produce discreta asimetría facial. Preservación de la función de los músculos de la expresión facial y percepción sensorial respetada de la zona, con apertura oral adecuada (Figura 1). A la exploración física intraoral se aprecian mucosas de adecuada coloración e hidratación, oclusión estable, y un aumento de volumen en el fondo de saco y cortical vestibular localizado en el maxilar izquierdo, que se extiende desde la línea media hasta el nivel de la tuberosidad maxilar del mismo lado. La mucosa asociada al aumento de volumen presenta una tonalidad azulada en la parte más anterior, con sospecha de líquido en el interior, y, hacia el lado posterior, una coloración isquémica por la distención del tejido (Figura 2).

Se obtiene tomografía computarizada multicorte con reconstrucción en 3D donde se aprecia lesión en maxilar izquierdo, ovalada, de aproximadamente 30 × 30 mm, que perfora cortical vestibular y comunica con seno maxilar del mismo lado, en íntimo contacto con el nervio infraorbitario izquierdo. Se aprecia la formación de septos a nivel del ápice del órgano dentario 23 que se extienden desde el piso de la cavidad patológica hasta el techo de ésta, otorgándole una apariencia multiloculada. El piso de la cavidad nasal y la escotadura piriforme izquierda se aprecian desplazadas hacia el lado contralateral. El septum nasal se encuentra desviado a consecuencia de la gran dimensión de la lesión (Figura 3).

Con base en los hallazgos clínicos e imagenológicos se planteó un diagnóstico diferencial que incluyó diversas lesiones odontogénicas y no odontogénicas.

Previa autorización y firma de consentimiento informado por parte del paciente, se realiza punción y aspiración con jeringa, donde se obtienen aproximadamente 10 mL de fluido claro no fétido de baja viscosidad (Figura 4). Por las características del fluido obtenido se sospecha de un QOG.

Se lleva a cabo protocolo quirúrgico para realizar biopsia excisional, debido a la magnitud del probable QOG, bajo anestesia general balanceada (BAGB), intubación nasotraqueal y abordaje tipo semi-Neumann (Figura 5). Durante la disección quirúrgica se encuentra la cápsula de la lesión y se procede a realizar el curetaje y la enucleación de ésta en su totalidad (Figura 6). Se concluye el procedimiento sin contratiempos y se sutura la herida. El paciente egresó de sala quirúrgica sin complicación.

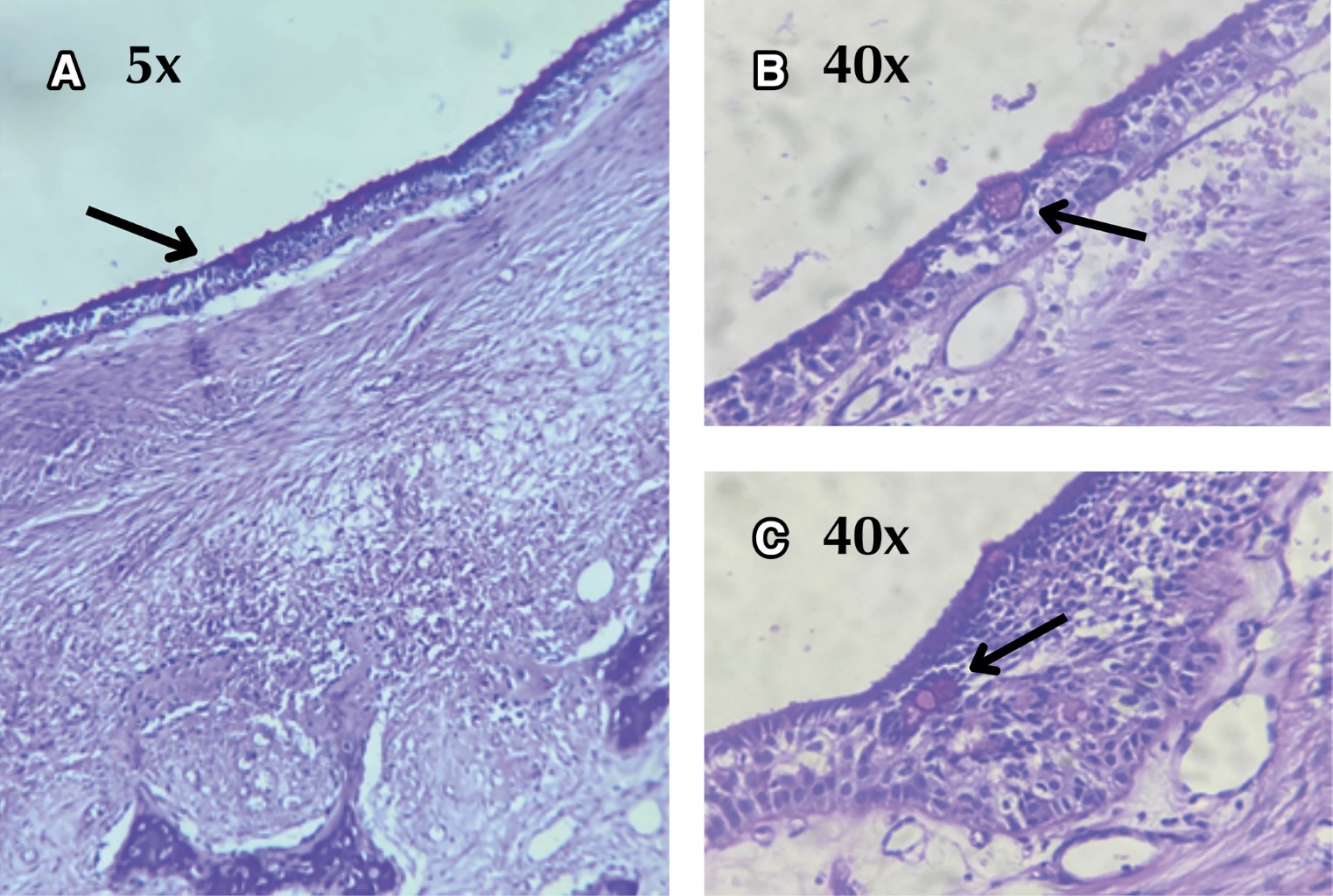
Microscópicamente se identificó una lesión quística odontogénica con epitelio estratificado no queratinizado delgado, conformado por células cuboidales, células claras mucosecretoras y pequeños espacios quísticos o ductales en el espesor del epitelio de revestimiento, con contenido eosinofílico. La cápsula conectiva era delgada y fibrosa, con restos de trabéculas óseas maduras, y el epitelio periférico correspondiente al seno maxilar se encontraba sin alteraciones. Se realizó tinción de PAS (ácido peryódico de Schiff), observando positividad en las células claras mocosecretoras y en el lumen de los pequeños conductos delineados por células cuboidales. No se observaron signos de malignidad, confirmándose el diagnóstico de QOG (Figura 7).



RESULTADOS

El postoperatorio inmediato fue favorable, con inflamación moderada, sin signos de infección, sangrado ni otras complicaciones. A la semana, el paciente acudió a revisión, mostrando adecuada cicatrización inicial, sin dehiscencia de la herida y dolor dentro de parámetros normales. Al mes, la evolución fue satisfactoria, con cicatrización favorable, ausencia de movilidad dental y tejidos blandos normales. A los seis meses de seguimiento no se evidenció recidiva ni movilidad dental. El paciente fue referido al servicio de endodoncia para el tratamiento de los conductos en los órganos dentarios involucrados.

Finalmente, a un año de seguimiento, el paciente acudió a control, sin evidencia de recidiva del QOG. Se observó buena cicatrización y coloración normal de los tejidos blandos, sin alteraciones clínicas (Figura 8). La tomografía computarizada multicorte con reconstrucción 3D evidenció correcta cicatrización ósea y ausencia de recidiva, confirmando un control óptimo de la lesión (Figura 9).



DISCUSIóN

El QOG es una lesión odontogénica poco frecuente, con tendencia a recidivar, que presenta similitudes clínicas e histológicas con el quiste botrioide odontogénico y el MEC de bajo grado,7,15 lo que dificulta su diagnóstico.11 El quiste dentígero se asocia siempre a la corona de un diente no erupcionado,16 mientras que el QOG no guarda relación directa con piezas dentarias. En el caso del queratoquiste odontogénico, aunque ambos pueden mostrar un patrón radiográfico multilocular y tendencia a la recurrencia, el queratoquiste presenta un epitelio escamoso estratificado paraqueratinizado característico, mientras que el QOG exhibe diferenciación glandular con células mucosecretoras y espacios ductales. El quiste óseo simple también puede confundirse por su aspecto radiolúcido bien delimitado, pero carece de revestimiento epitelial y corresponde a una cavidad ósea vacía o con líquido, a diferencia del QOG que sí posee revestimiento epitelial especializado. Finalmente, el carcinoma mucoepidermoide central (MEC) representa el diagnóstico diferencial más importante,17 ya que comparte similitudes clínicas e histológicas; sin embargo, el QOG mantiene corticales intactas y presenta positividad a mucina, lo que permite distinguirlo de este proceso maligno.

En la literatura se reporta que aproximadamente el 75% de los casos afectan la mandíbula, con predominio en la región anterior,18-20 mientras que el resto se localizan en el maxilar. En contraste, el presente caso mostró una lesión maxilar extensa y multilocular, una presentación menos frecuente, lo que resalta la variabilidad clínica de esta entidad.

Radiográficamente, el QOG se distingue del quiste botrioide por su patrón multilocular, mayor extensión de la lesión5,21-23 y presencia de bordes escleróticos.24 Frente al MEC de bajo grado, la diferenciación se logra considerando la integridad cortical, positividad a mucina y la exclusión de tumores odontogénicos. En relación con el MEC intraóseo, la nueva clasificación de la OMS señala que este tumor presenta microarreglos del gen MAML2;25,26 se ha reportado también un caso de QOG con expresión de dicho gen.25,27

En el presente caso, la confirmación mediante inmunohistoquímica (MUC4 negativo, P63 negativo, PAS positivo en células mucosecretoras) permitió un diagnóstico diferencial más preciso frente al MEC de bajo grado, alineándose con estudios previos que recomiendan el uso de citoqueratinas y marcadores como maspin para diferenciar estas entidades.17,28 Si bien no se realizó análisis molecular de MAML2, lo que hubiera permitido diferenciar completamente la lesión reportada del MEC intraóseo, las características clínicas e imagenológicas, así como el aspecto quístico de la lesión, orientan a considerarla un QOG.

Histológicamente, la lesión presentó epitelio estratificado no queratinizado con células cuboidales y cilios, microquistes intraepiteliales, estructuras ductales y células mucosecretoras, concordando con los criterios de la OMS (2022) que destacan el epitelio de espesor variable y la presencia de células "hobnail" como rasgo característico. Sin embargo, debido a que el QOG se caracteriza por un comportamiento agresivo y una alta tasa de recidiva, frecuentemente se confunden las características histológicas con el MEC central.24,29 La combinación de hallazgos clínicos, imagenológicos e histopatológicos, permitió un diagnóstico seguro y un abordaje quirúrgico informado.

La extensión maxilar y proximidad a estructuras críticas como el seno maxilar y el nervio infraorbitario refuerzan la controversia terapéutica: aunque la enucleación es frecuente, la resección quirúrgica se justifica para reducir la recidiva en lesiones grandes o multiloculares, como lo documenta la literatura.30

Las fortalezas de este caso incluyen la localización maxilar poco frecuente, la evaluación clínica, imagenológica e histopatológica integral, el apoyo de estudios inmunohistoquímicos y el seguimiento postoperatorio documentado hasta un año. Entre las limitaciones destacan que se trata de un solo caso, lo que restringe la generalización de los hallazgos, el hecho de que no se realizó análisis molecular de MAML2 y la rareza de la localización maxilar, lo que puede limitar la comparabilidad con los QOG mandibulares más frecuentes.

Este reporte evidencia la necesidad de documentar más casos en población latinoamericana para establecer patrones clínicos, radiográficos e histopatológicos, optimizar criterios diagnósticos y terapéuticos, mejorar el seguimiento de los pacientes y reducir la recurrencia, fortaleciendo la investigación odontológica regional.



CONCLUSIONES

El QOG es una lesión rara del desarrollo que puede presentarse en localizaciones atípicas, como el maxilar, y con patrón multilocular, lo que representa un desafío diagnóstico y terapéutico. El diagnóstico diferencial debe considerar quistes odontogénicos como el dentígero, queratoquiste y botrioide, así como el MEC de bajo grado, central e intraóseo, apoyándose en hallazgos clínicos, imagenológicos, histopatológicos e inmunohistoquímicos. En nuestro caso, la localización maxilar extensa y el patrón multilocular, junto con la confirmación mediante inmunohistoquímica (MUC4 negativo, P63 negativo, PAS positivo en células mucosecretoras), permitió un diagnóstico diferencial más preciso frente al MEC de bajo grado, destacando la utilidad de estas pruebas como valor agregado en la evaluación de lesiones atípicas.

El QOG presenta una alta tasa de recidiva, por lo que el tratamiento debe individualizarse según la extensión de la lesión. En casos grandes o multiloculares, la resección quirúrgica es recomendable sobre la enucleación simple. Se requiere un seguimiento clínico prolongado para la detección temprana de recurrencias.


REFERENCIAS (EN ESTE ARTÍCULO)

  1. Malanche GA, León AV. Quiste odontogénico glandular. Reporte de un caso. Rev Mex Cir Bucal Maxilofac. 2018; 14 (1): 44-48. Disponible en: https://www.medigraphic.com/pdfs/cirugiabucal/cb-2018/cb181h.pdf

  2. Nel C, Robinson L, Oliveira ALC, Ker-Fox J, Rodrigues NG, Paiva FF, Santos ARS et al. Clinical and radiologic spectrum of glandular odontogenic cyst: a multicenter study of 92 cases. Oral Maxillofac Radiol. 2022; 133 (5): 593-603. doi: 10.1016/j.oooo.2021.11.008.

  3. Jones AV, Craig GT, Franklin CD. Range and demographics of odontogenic cysts diagnosed in a UK population over a 30-year period. J Oral Pathol Med. 2006; 35 (8): 500-507. doi: 10.1111/j.1600-0714.2006.00455.x.

  4. De Sousa SO, Cabezas NT, de Oliveira PT, de Araujo VC. Glandular odontogenic cyst: report of a case with cytokeratin expression. Oral Surg Oral Med Oral Pathol Oral Radiol Endod. 1997; 83 (4): 478-483. doi: 10.1016/s1079-2104(97)90149-9.

  5. Kasaboglu O, Basal Z, Usubütün A. Glandular odontogenic cyst presenting as a dentigerous cyst: a case report. J Oral Maxillofac Surg. 2006; 64 (4): 731-733. doi: 10.1016/j.joms.2005.12.020.

  6. Padayachee A, Van Wyk CW. Two cystic lesions with features of both the botryoid odontogenic cyst and the central mucoepidermoid tumour: sialo-odontogenic cyst? J Oral Pathol. 1987; 16 (9): 499-504. doi: 10.1111/j.1600-0714.1987.tb00680.x.

  7. Ficarra G, Chou L, Panzoni E. Glandular odontogenic cyst (sialo-odontogenic cyst): a case report. Int J Oral Maxillofac Surg. 1990; 19 (6): 331-333. doi: 10.1016/s0901-5027(05)80074-8.

  8. Patron M, Colmenero C, Larrauri J. Glandular odontogenic cyst: clinicopathologic analysis of three cases. Oral Surg Oral Med Oral Pathol. 1991; 72 (1): 71-74. doi: 10.1016/0030-4220(91)90192-f.

  9. Gardner DG, Kessler HP, Morency R, Schaffner DL. The glandular odontogenic cyst: an apparent entity. J Oral Pathol. 1988; 17 (8): 359-366. doi: 10.1111/j.1600-0714.1988.tb01298.x.

  10. Araújo de Morais HH, José de Holanda Vasconcellos R, de Santana Santos T, Guedes Queiroz LM, Dantas da Silveira ÉJ. Glandular odontogenic cyst: case report and review of diagnostic criteria. J Craniomaxillofac Surg. 2012; 40 (2): e46-50. doi: 10.1016/j.jcms.2011.03.018.

  11. Toida M, Nakashima E, Okumura Y, Tatematsu N. Glandular odontogenic cyst: a case report and literature review. J Oral Maxillofac Surg. 1994; 52 (12): 1312-1316. doi: 10.1016/0278-2391(94)90054-x.

  12. Hussain K, Edmondson HD, Browne RM. Glandular odontogenic cysts: diagnosis and treatment. Oral Surg Oral Med Oral Pathol Oral Radiol Endod. 1995; 79 (5): 593-602. doi: 10.1016/s1079-2104(05)80101-5.

  13. Greer RO, Eskendri J, Freedman P, Ahmadian M, Murakami-Walter A, Varella-Garcia M. Assessment of biologically aggressive, recurrent glandular odontogenic cysts for mastermind-like 2 (MAML2) rearrangements: Histopathologic and fluorescent in situ hybridization (FISH) findings in 11 cases. J Oral Pathol Med. 2018; 47 (2): 192-197. doi: 10.1111/jop.12658.

  14. Fowler CB, Brannon RB, Kessler HP, Castle JT, Kahn MA. Glandular odontogenic cyst: analysis of 46 cases with special emphasis on microscopic criteria for diagnosis. Head Neck Pathol. 2011; 5 (4): 364-375. doi: 10.1007/s12105-011-0298-3.

  15. Waldron CA, Koh ML. Central mucoepidermoid carcinoma of the jaws: report of four cases with analysis of the literature and discussion of the relationship to mucoepidermoid, sialo-odontogenic, and glandular odontogenic cysts. J Oral Maxillofac Surg. 1990; 48 (8): 871-877. doi: 10.1016/0278-2391(90)90349-7.

  16. Ide F, Shimoyama T, Horie N. Glandular odontogenic cyst with hyaline bodies: an unusual dentigerous presentation. J Oral Pathol Med. 1996; 25 (7): 401-404. doi: 10.1111/j.1600-0714.1996.tb00286.x.

  17. Pires FR, Chen SY, da Cruz-Perez DE, de Almeida OP, Kowalski LP. Cytokeratin expression in central mucoepidermoid carcinoma and glandular odontogenic cyst. Oral Oncol. 2004; 40 (5): 545-551. doi: 10.1016/j.oraloncology.2003.11.007.

  18. Qin XN, Li JR, Chen XM, Long X. The glandular odontogenic cyst: clinicopathologic features and treatment of 14 cases. J Oral Maxillofac Surg. 2005; 63 (5): 694-699. doi: 10.1016/j.joms.2004.12.016.

  19. Economopoulou P, Patrikiou A. Glandular odontogenic cyst of the maxilla: report of case. J Oral Maxillofac Surg. 1995; 53 (7): 834-837. doi: 10.1016/0278-2391(95)90345-3.

  20. Koppang HS, Johannessen S, Haugen LK, Haanaes HR, Solheim T, Donath K. Glandular odontogenic cyst (sialo-odontogenic cyst): report of two cases and literature review of 45 previously reported cases. J Oral Pathol Med. 1998; 27 (9): 455-462. doi: 10.1111/j.1600-0714.1998.tb01984.x.

  21. Chrcanovic BR, Gomez RS. Glandular odontogenic cyst: An updated analysis of 169 cases reported in the literature. Oral Dis. 2018; 24 (5): 717-724. doi: 10.1111/odi.12719.

  22. Noffke C, Raubenheimer EJ. The glandular odontogenic cyst: clinical and radiological features; review of the literature and report of nine cases. Dentomaxillofac Radiol. 2002; 31 (6): 333-338. doi: 10.1038/sj.dmfr.4600730.

  23. Manor R, Anavi Y, Kaplan I, Calderon S. Radiological features of glandular odontogenic cyst. Dentomaxillofac Radiol. 2003; 32 (2): 73-79. doi: 10.1259/dmfr/22912856.

  24. Takeda Y. Glandular odontogenic cyst mimicking a lateral periodontal cyst: a case report. Int J Oral Maxillofac Surg. 1994; 23 (2): 96-97. doi: 10.1016/s0901-5027(05)80074-8.

  25. Reddy R, Islam MN, Bhattacharyya I, Cohen DM, Fitzpatrick SG, Ganatra S. The reliability of MAML2 gene rearrangement in discriminating between histologically similar glandular odontogenic cysts and intraosseous mucoepidermoid carcinomas. Oral Surg Oral Med Oral Pathol Oral Radiol. 2019; 127 (6): e136-e147. doi: 10.1016/j.oooo.2018.12.003.

  26. Speight P, Fowler CB, Kessler HP. Odontogenic and maxillofacial bone tumours. In: El-Naggar AK, Chan JKC, Grandis JR, Takata T, Slootweg PJ, editores. World Health Classification of Head and Neck Tumours. Lyon, Francia: IARC Press; 2017. p. 203-260.

  27. Bishop JA, Yonescu R, Batista D, Warnock GR, Westra WH. Glandular odontogenic cysts (GOCs) lack MAML2 rearrangements: a finding to discredit the putative nature of GOC as a precursor to central mucoepidermoid carcinoma. Head Neck Pathol. 2014; 8 (3): 287-290. doi: 10.1007/s12105-014-0534-8.

  28. Vered M, Allon I, Buchner A, Dayan D. Is maspin immunolocalization a tool to differentiate central low-grade mucoepidermoid carcinoma from glandular odontogenic cyst? Acta Histochem. 2010; 112 (2): 161-168. doi: 10.1016/j.acthis.2008.10.006.

  29. Semba I, Kitano M, Mimura T, Sonoda S, Miyawaki A. Glandular odontogenic cyst: analysis of cytokeratin expression and clinicopathological features. J Oral Pathol Med. 1994; 23 (8): 377-382. doi: 10.1111/j.1600-0714.1994.tb00079.x.

  30. Bhatt V, Monaghan A, Brown AM, Rippin JW. Does the glandular odontogenic cyst require aggressive management? Oral Surg Oral Med Oral Pathol Oral Radiol Endod. 2001; 92 (3): 249-251. doi: 10.1067/moe.2001.116510.



AFILIACIONES

1 Adscrito al Servicio de Cirugía Maxilofacial en Clínica No. 11 del Instituto Mexicano del Seguro Social (IMSS). Cirujano Maxilofacial de la Universidad Veracruzana (UV). Xalapa, Veracruz, México.

2 Jefa de Departamento de Anatomía Patológica en el Centro de Alta Especialidad "Dr. Rafael Lucio". Especialista en Patología y Medicina Bucal de la Universidad Autónoma Metropolitana (UAM) Xalapa, Veracruz, México.

3 Profesor de Cátedra e Investigador, Escuela de Medicina y Ciencias de la Salud, Instituto Tecnológico y de Estudios Superiores Monterrey. Doctor en ciencias de la UNAM. México.

4 Adscrito al Servicio de Cirugía Maxilofacial en Hospital Regional de Xalapa "Dr. Luis F Nachón". Cirujano Maxilofacial de la Universidad Veracruzana (UV). Xalapa, Veracruz, México Xalapa, Veracruz, México.

5 Cirujana Dentista de la Universidad Veracruzana (UV). Práctica general.



Conflicto de intereses: no existe ningún conflicto de intereses.



CORRESPONDENCIA

Raúl Narváez Ruiz. E-mail: drcmfnarvaez@gmail.com




Recibido: Mayo 2025. Aceptado: Septiembre 2025.

Figura 1
Figura 2
Figura 3
Figura 4
Figura 5
Figura 6
Figura 7
Figura 8
Figura 9

2020     |     www.medigraphic.com

Mi perfil

C?MO CITAR (Vancouver)

Rev Mex Cir Bucal Maxilofac. 2025;21

ARTíCULOS SIMILARES

CARGANDO ...