medigraphic.com
ENGLISH

Revista Mexicana de Cirugía Bucal y Maxilofacial

ISSN 2007-3178 (Impreso)
Asociación Mexicana de Cirugía Bucal y Maxilofacial, Colegio Mexicano de Cirugía Bucal y Maxilofacial, A.C.
  • Mostrar índice
  • Números disponibles
  • Información
    • Información general        
    • Directorio
  • Publicar
    • Instrucciones para autores        
    • Envío de artículos
  • medigraphic.com
    • Inicio
    • Índice de revistas            
    • Registro / Acceso
  • Mi perfil

2025, Número 3

<< Anterior Siguiente >>

Rev Mex Cir Bucal Maxilofac 2025; 21 (3)


Histiocitosis de células de Langerhans en cuerpo mandibular bilateral. Revisión de la literatura y presentación de caso clínico

Naranjo Vega, Juan Fernando1,2; Sánchez Pozos, Verónica1,3; Vega Ayala, Rolando Jonathan1,4
Texto completo Cómo citar este artículo 10.35366/121765

DOI

DOI: 10.35366/121765
URL: https://dx.doi.org/10.35366/121765
Artículos similares

Idioma: Español
Referencias bibliográficas: 28
Paginas: 109-126
Archivo PDF: 3553.79 Kb.


PALABRAS CLAVE

histiocitosis de células de Langerhans, granuloma eosinofílico, lesiones osteolíticas mandibulares, diagnóstico inmunohistoquímico.

RESUMEN

Introducción: la histiocitosis de células de Langerhans comprende un grupo de trastornos raros del sistema reticuloendotelial, es una proliferación neoplásica mieloide inflamatoria de comportamiento clínico variable causada por la acumulación de histiocitos CD1a+/CD207+, asociados a un número variable de eosinófilos, linfocitos, células plasmáticas y células gigantes multinucleadas. Es una entidad poco común, con una tasa estimada de incidencia de cinco casos por millón al año, más frecuente en los primeros años de vida (15 años), mayor incidencia dentro de las primeras tres décadas de vida. Objetivo: correlacionar los hallazgos clínicos del caso descrito en el presente artículo y la evidencia disponible en la literatura. Caso clínico: paciente masculino de 47 años, se presentó al Servicio de Cirugía Maxilofacial del Hospital Regional "Lic. Adolfo López Mateos" con dolor espontáneo, constante, defecto periodontal con recesión gingival asociado a órganos dentales incisivo central, lateral y canino inferiores izquierdos, movilidad grado III. Se realiza tomografía axial computarizada (TAC) en fase simple con cortes finos de 0.6 mm con fecha 11/Marzo/2023 en donde se observan en el corte axial, sagital y coronal lesiones osteolíticas en cuerpo mandibular bilateral, con bordes mal definidos. El reporte histopatológico posterior a la biopsia identifica fragmentos de tejido fibroso laxo maduro bien vascularizado, el cual presenta áreas de hemorragia reciente y antigua, en las que se aprecian mantos de células ovoidales y poligonales con amplio citoplasma eosinófilo, núcleos ovoidales con identaciones y pliegues centrales, entre las que se identifican numerosos eosinófilos y algunos grupos de células inflamatorias de tipo mixto. Se confirma el estudio con el informe de inmunohistoquímica: QA-251-23 con fecha 08/Junio/2023 en donde se obtienen resultados con positividad para S-100, CD1a y langerina. Resultados: posterior al tratamiento quirúrgico, el paciente se refirió asintomático. Actualmente se encuentra en protocolo para atención oncológica y en seguimiento en nuestro servicio, con la posibilidad de realiza tratamiento con corticosteroides intralesionales en lesiones mandibulares. Conclusiones: la histiocitosis de células de Langerhans es una entidad rara y de etiología incierta, frecuentemente asociada a mutaciones en las vías de señalización y proliferación celular. En el presente caso, se hace énfasis en el manejo interdisciplinario, así como en el uso de estudio de medicina nuclear y la evaluación de mutaciones de la vía MAPK (p. ej., BRAF) para estratificación terapéutica.



ABREVIATURAS:

  • CMF = Servicio de Cirugía Maxilofacial
  • DC = células dendríticas
  • HCL = histiocitosis de células de Langerhans
  • HRLALM = Hospital Regional "Lic. Adolfo López Mateos"
  • ISSSTE = Instituto de Seguridad y Servicios Sociales para los Trabajadores del Estado
  • LC = células de Langerhans
  • OMS = Organización Mundial de la Salud
  • SNC = sistema nervioso central



INTRODUCCIóN

La histiocitosis de células de Langerhans (HCL), anteriormente conocida como histiocitosis X o granuloma eosinófilo, comprende un grupo de trastornos raros del sistema reticuloendotelial. La HCL es una proliferación neoplásica mieloide inflamatoria de comportamiento clínico variable causada por la acumulación de CD1a+/CD207+ histiocitos, asociados a un número variable de eosinófilos, linfocitos, células plasmáticas y células gigantes multinucleadas. Histológicamente se caracteriza por una proliferación idiopática e infiltración de las células de Langerhans y puede producir manifestaciones locales o sistémicas, junto con un número variable de leucocitos, eosinófilos, neutrófilos, linfocitos, células plasmáticas y células gigantes multinucleadas que provocan destrucción de tejidos, siendo el hueso y la piel los más afectados.1-7

Antecedentes históricos. Los primeros relatos acerca de la HCL empiezan con Thomas Smith (1865), quien publica lo que se conoce como una proliferación clonal de células de Langerhans, con un caso de infección cutánea y lesiones craneales en un paciente pediátrico. En 1868 Paul Langerhans señala que la epidermis está constituida por células dendríticas no pigmentadas. En 1924 Letterer y en 1933 Siwe describen la enfermedad Letterer-Siwe en pacientes con trastorno multiorgánico no leucémico, fulminante y agudo del sistema reticuloendotelial, caracterizado por defectos óseos asociados con esplenomegalia, hepatomegalia y linfadenopatía. Posteriormente, Mignon publica el primer caso de granuloma eosinofílico en un paciente de 12 años con una enfermedad parecida a la enfermedad de Hand-Schüller-Christian.1 Y es hasta 1940 cuando Lichtenstein y Jaffe acuñan el término de granuloma eosinofílico del hueso a un proceso intraóseo benigno, agresivo. Los mismos autores propusieron en 1953 el termino de histiocitosis X para designar a la enfermedad de Hand-Schüller-Christian, la enfermedad de Letterer-Siwe y el granuloma eosinofílico.1,8,9 Finalmente, en 1973, tras el reconocimiento de las células similares a los histiocitos como células de Langerhans (CL), la Sociedad de Histiocitos renombrado esta condición como HCL.3

Epidemiología. La HCL es una entidad poco común, con una tasa estimada de incidencia de cinco casos por millón al año, más frecuente en los primeros años de vida (15 años), mayor incidencia dentro de las primeras tres décadas de vida. En los adultos, la HCL es aún más rara, con un caso por millón anualmente, el sexo masculino es el más afectado, con una proporción hombre:mujer de 2:1.3,4,8,10 La cabeza y el cuello están afectados principalmente en 60% de los casos.5 La incidencia de lesiones orales en la HCL es 77%, con una afectación unifocal del hueso de 75%.5

Literatura actual reporta que la incidencia anual de HCL es 5-9 casos por 10'000.000 en niños menores de 15 años, y un caso por 1'000.000 en pacientes mayores de 15 años.11

La enfermedad unifocal monosistémica representa aproximadamente el 50% de la HCL oral, mientras que la enfermedad multifocal monosistémica y la enfermedad multifocal multisistémica se distribuyen equitativamente en el 50% restante de los casos. Los maxilares se ven afectados con el doble de frecuencia que los tejidos blandos orales. La mandíbula se ve afectada preferentemente sobre el maxilar, particularmente las regiones posteriores.6

Presentaciones clínicas. Las tres presentaciones clínicas clásicas se conocen como granuloma eosinófilo o HCL crónica focal, se caracteriza por la aparición de lesiones óseas (monostóticas o multifocales), sin afección a tejidos blandos o afección sistémica, se considera la más frecuente y benigna. La enfermedad de Hand-Schüller-Christian o HCL crónica difusa, aparece en niños y jóvenes adultos, caracterizada por la tríada de lesiones esqueletales, diabetes insípida (se da en el 20% de pacientes actualmente), presenta manifestaciones como petequias, púrpura, ulceraciones, lesiones que simulan dermatitis seborreica, pulmonares, disfunción, taquipnea, disnea y cianosis, y exoftalmos. Y la enfermedad de Letterer-Siwe o HCL diseminada aguda ocurre en la niñez (menores de tres años) y cursa de forma aguda y sistémica; se manifiesta en múltiples órganos y sistemas, como el hígado, los pulmones, los ganglios linfáticos, piel, sistema nervioso central (SNC), médula ósea y hueso, hallazgos variables incluyen eccema, hepatoesplenomegalia, otitis media, anemia, hemorragias, linfadenopatías y lesiones osteolíticas. Éstas pueden variar desde una lesión ósea solitaria que regresa espontáneamente hasta un trastorno multisistémico potencialmente mortal.2,4

Se ha mencionado la reticulohistiocitosis congénita (síndrome de Hashimoto-Pritzker) que es una forma puramente cutánea, caracterizada por la aparición de nódulos oscuros en la tronco, cara y cuero cabelludo. Las mucosas siempre están involucradas, sin implicación de otros órganos.4

Manifestaciones clínicas orales y maxilofaciales. Las manifestaciones orales suelen ser el primer signo de HCL. Las características clínicas pueden variar desde lesiones osteolíticas indoloras hasta múltiples lesiones que pueden provocar disfunción, fracturas y dolor. Algunas lesiones pueden invadir tejidos blandos adyacentes, lo que lleva a áreas ulcerosas y compresión de estructuras importantes como el nervio óptico y la médula espinal.3

La región posterior de la mandíbula es la localización más común, aunque el maxilar también puede estar afectado. Las lesiones óseas pueden ir acompañadas de hinchazón, áreas eritematosas o lesiones ulcerosas afectando los tejidos blandos.3

Los síntomas pueden variar; dependiendo del tipo, pueden ser asintomáticos o presentar dolor, fiebre, sensibilidad y aumento de volumen.8 Pueden ocurrir lesiones tisulares (erupciones eritematosas cutáneas o una discreta pápula de color marrón rosado que se presenta particularmente en el cuero cabelludo y en zonas axilares, inguinales o perineales, siendo la encía y el paladar duro los más frecuentemente afectados. Por lo general, la afectación ósea va seguida de hinchazón y dolor, aunque puede ser asintomático en algunos casos.3

Pueden estar afectados uno o varios huesos. El cráneo, la mandíbula y las costillas son los más afectados en los niños. En los adultos, los sitios más comúnmente afectados son las vértebras y los huesos largos.2 Los maxilares están afectados en 20 a 30% de todos los casos.3 Entre 70 y 75% corresponde a una lesión ósea solitaria y, aproximadamente, 50% se localiza en el cráneo y huesos faciales. Es fundamental la evaluación de la unidad esquelética afectada, ya que existen estructuras denominadas "sitios especiales", por su alto contenido medular y vecindad con el sistema nervioso central. Estos sitios corresponden al globo ocular, los oídos, la cavidad oral, las vértebras y el esqueleto craneofacial.3,8,12

Los órganos afectados en la HCL en la población pediátrica son huesos en 80%, piel en 33% y glándula pituitaria en 25%. El 15% de los casos muestra afectación del hígado, bazo, sistema hematopoyético o pulmones; en 5 a 10%, ganglios linfáticos; y en 2 y 4% está afectado sistema nervioso central, excluida la hipófisis.13

Otra manifestación de la histiocitosis de células de Langerhans puede afectar a cualquier órgano o sistema del cuerpo, pero con mayor frecuencia el hueso (80% de los pacientes), la piel (33%) y la glándula pituitaria (25%). Otros órganos implicados son el hígado, (15% de los casos), el bazo (15%), la médula ósea (15%), los pulmones (15%), los ganglios linfáticos (5-10%), así como como el SNC excluyendo la glándula pituitaria (2-4%).11

Diagnostico diferencial. La HCL unilocular en adultos puede simular condiciones inflamatorias periapicales, quistes y tumores odontogénicos, osteomielitis, así como enfermedades malignas como el linfoma. Las lesiones multiloculares pueden parecerse a las odontogénicas, quistes de presentación multilocular, tumor marrón de hiperparatiroidismo y múltiples mielomas. En niños, granuloma central de células gigantes y enfermedades malignas como la leucemia.3 Cuando están afectados el hueso alveolar y la encía, la HCL puede simular una enfermedad grave. La periodontitis y la afectación del paladar duro pueden parecerse a la sialometaplasia necrotizante.3

Biopsia. Está indicada en pacientes con lesiones periféricas y centrales de origen incierto que no responden a tratamientos convencionales odontológicos o periodontales, muchas veces en combinación con movilidad dental, así como defectos periodontales atípicos o ulceraciones persistentes. Su finalidad es obtener tejido representativo que permita descartar procesos inflamatorios inespecíficos, infecciones crónicas, tumores odontogénicos o neoplasias, constituyendo el primer paso para confirmar o sospechar histiocitosis de células de Langerhans.

Inmunohistoquímica. Está indicado cuando el análisis histopatológico revela proliferación de células ovoidales con características sugestivas de histiocitosis, pero no concluyentes. La positividad para CD1a, langerina (CD207) y proteína S-100 es diagnóstica y confirma la naturaleza clonal de las células de Langerhans. Sus implicaciones terapéuticas son relevantes: permite diferenciar lesiones localizadas candidatas a manejo conservador o intralesional con corticosteroides, de formas multisistémicas que requieren quimioterapia sistémica; además, orienta a la búsqueda de mutaciones como BRAF V600E para posibles terapias dirigidas.

Pronóstico y recurrencia. Aunque el curso clínico de la HCL puede variar desde una enfermedad autolimitada hasta un riesgo de muerte, el pronóstico es favorable en la mayoría de los casos, con una supervivencia a cinco años que oscila entre 75 y 100% en pacientes con enfermedad multisistémica y monosistémica, respectivamente. Los pacientes que están afectados en un solo órgano (monosistémica), por ejemplo, piel o huesos, tienen mejor pronostico con una tasa de mortalidad inferior a 10%.12 Cuando es multisistémica, es decir afecta a dos o más órganos o sistemas (hígado, pulmones, bazo o sistema hematopoyético) y está diseminada, la tasa de mortalidad es considerable, oscila entre 30 y 50%.6,12 Las tasas de recurrencia del granuloma eosinófilo varían entre 1.6 y 25%, dependiendo de la localización y extensión de las lesiones.8

El objetivo del presente trabajo es describir los hallazgos clínicos del caso y la evidencia disponible en la literatura.



PRESENTACIóN DEL CASO

Paciente masculino de 47 años, se presentó al Servicio de Cirugía Maxilofacial (CMF) del Hospital Regional "Lic. Adolfo López Mateos" (HRLALM) del Instituto de Seguridad y Servicios Sociales de los Trabajadores del Estado (ISSSTE), con sintomatología dolorosa en región mandibular izquierda, tratado previamente con endodoncia. Antecedente heredofamiliar de importancia: madre con cáncer cervicouterino. Antecedentes personales no patológicos: refiere tabaquismo positivo de cuatro cigarros al día desde los 27 años hasta la actualidad y alcoholismo positivo de ocho cervezas cada semana desde los 23 años hasta la actualidad.

Presenta dolor 5/10 en escala visual analógica (EVA) en cuerpo mandibular izquierda, espontáneo, constante, sin exacerbación a la percusión horizontal y vertical de órgano dental canino izquierdo inferior. Niega presentar lesión en cuerpo, diaforesis o pérdida de peso repentina. Exploración extraoral sin evidencia de aumento de volumen, asimetrías o lesiones cutáneas-mucosas; intraoral, presenta defecto periodontal con recesión gingival asociado a órganos dentales incisivo central, lateral y canino inferiores izquierdos, con ulceración en región mencionada, movilidad grado III en órganos dentales mencionados (Figura 1). Sin presencia de adenomegalias cervicales a la palpación.

En la ortopantomografía con fecha 03/Agosto/2021, se observan lesiones osteolíticas; lesión radiolúcida multilocular con borde mal definidos en región posterior mandibular derecha, lesión radiolúcida unilocular bien definida asociada a órganos dentales incisivo lateral y canino izquierdo (dientes flotantes); y una lesión radiolúcida unilocular bien definida en borde alveolar de cuerpo mandibular derecho (Figura 2). En la ortopantomografía con fecha 24/Julio/2022 se observan dos de las tres lesiones osteolíticas mencionadas, siendo de menor tamaño de la región posterior mandibular derecha, de mayor tamaño la lesión asociada a órganos dentales incisivo lateral y canino izquierdo (dientes flotantes); y sin presencia de lesión en borde alveolar de cuerpo mandibular derecho.

Cuenta con estudios paraclínicos de laboratorio de hemograma, química sanguínea, electrolitos séricos y perfil de coagulación con fecha 11/Agosto/2023; con resultados dentro de parámetros normales (Tabla 1).

Se realizó biopsia escisional de lesión asociada a órgano dentario incisivo lateral inferior izquierdo. El informe histopatológico con fecha de 17/Septiembre/2022 reporta un resultado de diagnóstico descriptivo de "Proceso inflamatorio inespecífico con zonas de necrosis y tejido fibroso de aspecto cicatrizal".

Se decide manejo conservador con control imagenológico mediante ortopantomografía con fechas 14/Octubre/2022 y 26/Enero/2023. Se observan alteraciones similares a las mencionadas anteriormente, a excepción de la asociada a órganos dentales, la cual continua como una lesión osteolíticas con imagen radiolúcida bien definida que abarca a órganos dentales incisivo central, canino y primer premolar izquierdo (dientes flotantes).

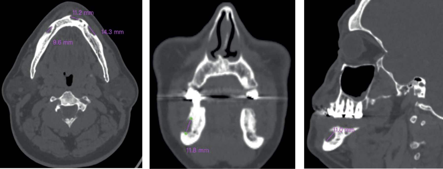
Sin presentar mejoría de sintomatología dolorosa y con exacerbación de ésta a 6/10 en EVA, se realiza estudio imagenológico de tomografía de macizo facial en fase simple con cortes finos de 0.6 mm con fecha 11/Marzo/2023. En el corte axial, sagital y coronal, se observan lesiones osteolíticas en cuerpo mandibular bilateral, con bordes mal definidos (Figura 3).

Se decide realizar nueva biopsia incisional de lesión en cuerpo mandibular derecho bajo anestesia general, la cual se programó para la fecha 27/Mayo/2023; cursó sin incidentes ni complicaciones. En las fotografías transquirúrgicas se muestra la exposición de la lesión de cuerpo mandibular derecho y su relación con el nervio mentoniano, la toma de la muestra y el lecho quirúrgico (Figura 4).

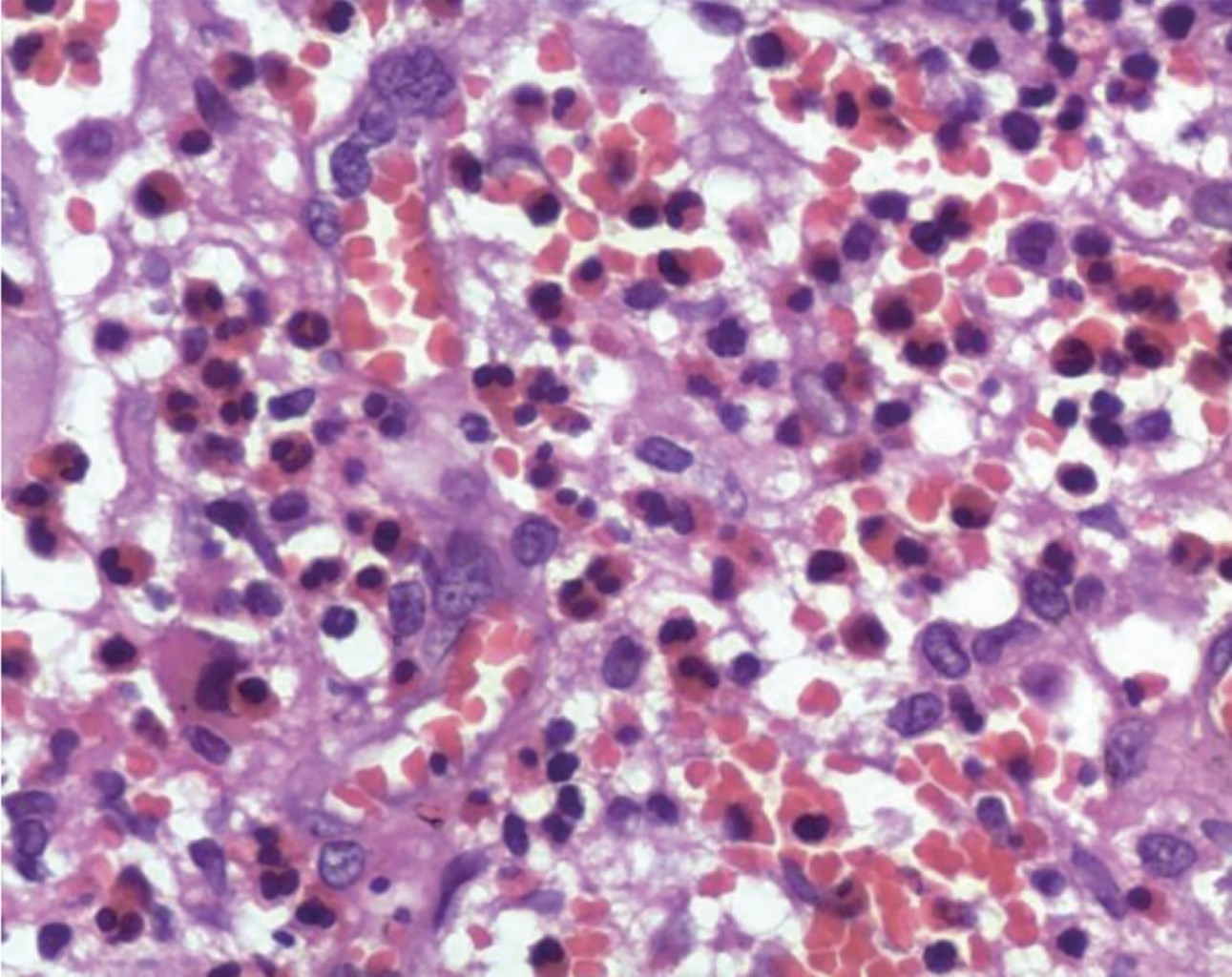
Informe histopatológico: 01/Junio/2023 el resultado indica que se identifican fragmentos de tejido fibroso laxo maduro bien vascularizado, el cual presenta áreas de hemorragia reciente y antigua, entre las que se aprecian mantos de células ovoidales y poligonales con amplio citoplasma eosinófilo, núcleos ovoidales con identaciones y pliegues centrales, entre las que se identifican numerosos eosinófilos y algunos grupos de células inflamatorias de tipo mixto.

Diagnóstico: los hallazgos son compatibles con histiocitosis de células de Langerhans.

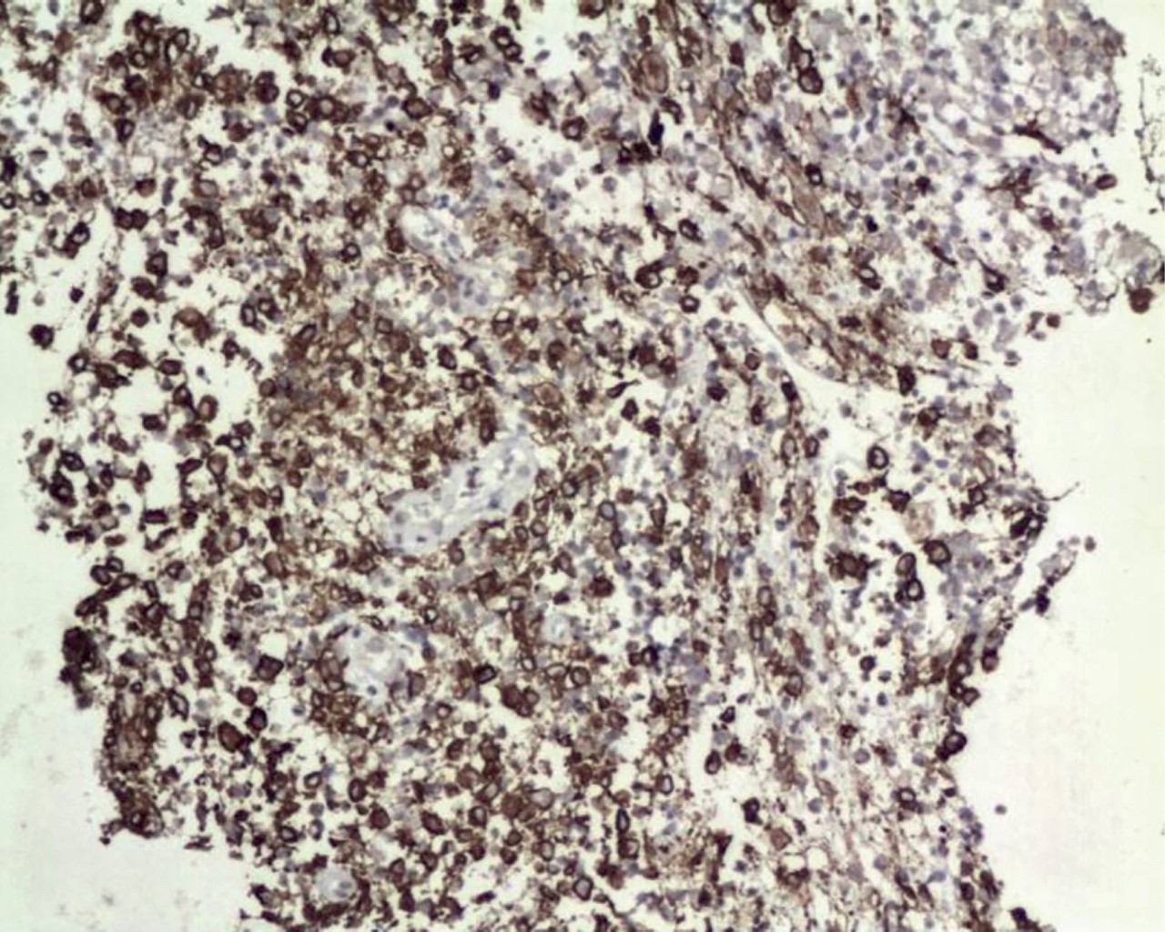
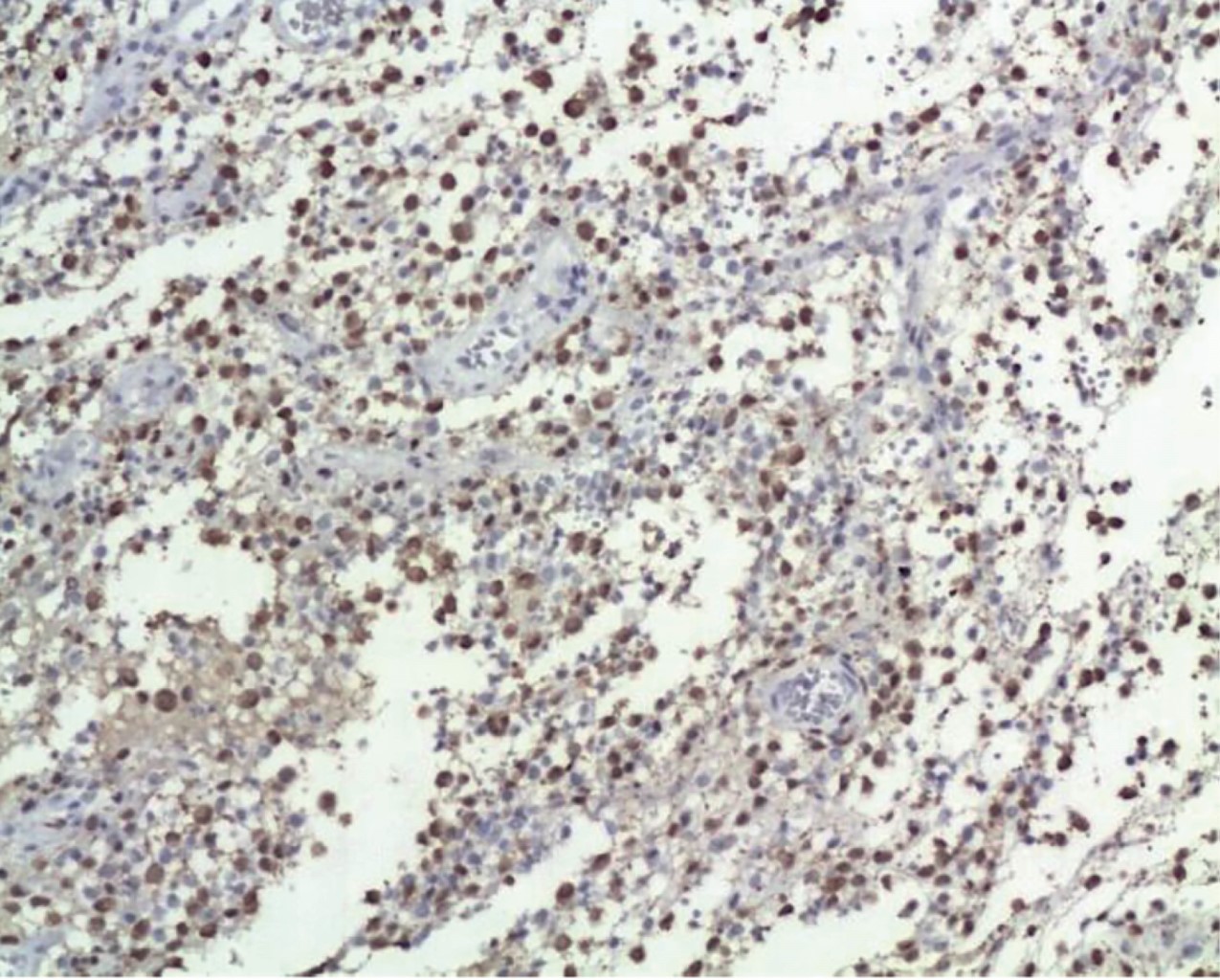
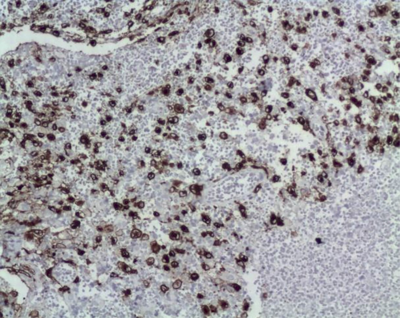
Se confirma el estudio con el informe de inmunohistoquímica: con fecha 08/Junio/2023 en donde se obtienen resultados: S-100 positivo, CD1a positivo y Langerina positivo.

Se presenta microfotografías de cortes histopatológicos (Figuras 5, 6, 7 y 8).

Posteriormente se realiza gammagrama MDP 99mTc con fecha 20/Junio/2023. Descripción: dos horas después de la administración por vía intravenosa en miembro torácico de una dosis de difosfonato de metileno (MDP) marcado con 20 mCi de 99mTc, se adquiere rastreo corporal en proyecciones anterior y posterior en donde se observa: Fase dinámica: paso del radiotrazador a través de grandes vasos, subclavia y carótida de forma simétrica y simultánea Fase inmediata: incremento de la concentración en tejidos blandos en región mandibular derecha. Fase tardía (ósea): existe incremento de la captación en rama mandibular derecha y como conclusión el incremento osteoblástico referido está en relación con evento postquirúrgico (biopsia) y negativo para actividad infiltrativa en el esqueleto axial y apendicular (Figuras 9 y 10).

Actualmente, el paciente se encuentra en protocolo para atención por parte del Servicio de Oncología y en seguimiento por parte de nuestro servicio, con la posibilidad de realiza tratamiento con corticosteroides intralesionales en lesiones mandibulares.

Se obtuvo consentimiento informado del paciente para la publicación del caso y las imágenes.



DISCUSIóN

Etiología y fisiopatología. En el tejido sano, las células de Langerhans (LC) son un grupo de células no adherentes, no proliferativas, migratorias, inmunes y accesorias que actúan como presentadoras de antígeno, pertenecen a un grupo de células denominadas dendríticas (DC). Se originan en la médula ósea, y migran a través de los vasos linfáticos hasta la epidermis, los ganglios linfáticos regionales, el timo, bronquios y la mucosa oral-faríngea.1,3,8

Los factores etiológicos, la etiología de la enfermedad y su fisiopatología son desconocidos, pero cuando existe HCL, representan una proliferación clonal de células, especulando que podría representar un desorden neoplásico. Éstas adquieren la morfología de células dendríticas inmaduras que pierden su capacidad de actuar como células presentadoras de antígenos. Por lo tanto, ya no pueden migrar desde el sitio patológico para el reclutamiento de células inflamatorias.1,4,8 Las tres variantes clínicas presentan proliferación anormal de células histiocíticas con gránulos típicos de Birbeck, por lo que esta característica microscópica no se puede utilizar para diferenciar entre la enfermedad de Hand-Schüller-Christian, la enfermedad de Letterer-Siwe y el granuloma eosinofílico.1,3

Uno de los dilemas más intrigantes es si la HCL es una condición reactiva o una verdadera neoplasia. Los reportes actuales señalan descubrimientos que apoyan un mecanismo neoplásico.3 En el 2010 se descubrió la mutación del oncogén BRAF,14 la cual se presenta en más de 50% de los casos con HCL. Además, los estudios inmunohistoquímicos pudieron identificar la expresión de la mutación BRAFV600E común en CD207+.6,15 Se ha mencionado disfunciones del sistema inmunológico y algunos agentes infeccioso con el virus de Epstein-Barr o en pacientes con enfermedad pulmonar que son fumadores de cigarrillos.3

Es una enfermedad causada por mutaciones conductoras somáticas en etapas críticas de la diferenciación mieloide que resultan en una transformación celular. Se han identificado mutaciones en la vía MAPK en aproximadamente 75% de los pacientes con HCL. Una implicación importante de la nueva comprensión de la biología de la HCL, que sugiere una nueva definición como neoplasia mieloide inflamatoria.6

Cho y colaboradores propusieron una teoría sobre infiltración eosinofílica en la HCL y el papel de mastocitos desgranulados, CCL-1/eotaxina-1 como eosinófilo atrayente.16

Diagnóstico. Para un correcto diagnóstico, se evalúan datos clínicos, radiográficos e histológicos. Se debe tener enfoque multidisciplinario, que incluya un examen clínico en profundidad, pruebas complementarias como hemograma completo, recuento de plaquetas, pruebas de coagulación, función hepática, bioquímica de orina y pruebas BRAF V600E. Además, algunos estudios de imágenes, como radiografías, resonancia magnética, ecografía, gammagrafía ósea y TAC.3,17

Clasificación. El Grupo de Escritura de la Sociedad de Histiocitos y la Organización Mundial de la Salud (OMS) han postulado el sistema de clasificación y el que determina el diagnóstico diferencial según el tipo de célula predominante dentro del infiltrado. Así, las histiocitosis se reclasificaron en trastornos de células dendríticas (HCL, proceso secundario de células dendríticas, xantogranuloma juvenil e histiocitoma solitario con fenotipo dendrítico), trastornos relacionados con macrófagos (síndromes hemofagocíticos, enfermedad de Rosai-Dorfman e histiocitoma solitario con fenotipo macrófago) y trastornos histiocíticos malignos (leucemia relacionada con monocitos, tumor monocítico extramedular y sarcoma histiocítico relacionado con células dendríticas o macrófagos).1

Imagenología. Suele presentarse como una lesión radiolúcida de bordes generalmente definidos con imágenes uniloculares o multiloculares que afectan principalmente a la parte posterior de la mandíbula; se pueden notar dientes flotantes y desplazamiento dentario.3 Se debe hacer el diagnóstico diferencial con otras patologías de los huesos maxilares como tumores odontogénicos (ameloblastoma) y no odontogénicos (granuloma central de células gigantes), malformaciones vasculares y otros.8

Diagnóstico histopatológico. Microscopia óptica convencional: asociación de células inflamatorias con proliferación de células mononucleares grandes, redondas a ovaladas, con forma epitelioide, citoplasma eosinófilo y núcleo ranurado que recuerda a los granos de café en apariencia o riñón. Células dendríticas inmaduras sin extensiones dendríticas, que han sufrido la pérdida o una reducción significativa de algunas funciones de la célula de Langerhans normal. Producen una serie de citoquinas (interleucinas, factor de necrosis tumoral alfa [TNF-α] y factor estimulante de colonias de granulocitos y macrófagos [GM-CSF]). También se han descrito algunas mitosis y apoptosis atípicas, detectándose necrosis en casos con alta tasa de proliferación. La necrosis puede imitar otras condiciones infecciosas y neoplásicas como la tuberculosis y la enfermedad de linfoma de Hodgkin.3,18

Imnuhistoquímica. La Sociedad de Histiocitosis (Histiocyte Society) menciona que el diagnóstico histopatológico se hace según los criterios establecidos por la histología convencional y al menos dos tinciones positivas para ATP-asa, s-100, alfa-D-manosidasa o lectinas de maní.9 Cuando se utiliza microscopía de transmisión electrónica, se pueden observar los gránulos de Birbeck (estructuras en forma de varilla) ubicado en el citoplasma de las células lesionadas). El análisis inmunohistoquímico debe ser positivo para CD1a y CD207 (la langerina o CD207 es crucial para el diagnóstico ya que puede ser un indicador de la presencia de gránulos de Birbeck)16 o para anticuerpos inespecíficos como la proteína S-100.10,17,18

La clasificación de la Organización de la Salud (OMS) de los tumores de tejidos hematopoyéticos y linfoides derivan de células que se postulan como precursoras de las células de Langerhans, lo que demuestra positividad para S-100 y CD1a, pero negatividad para los gránulos de Birbeck y CD207.10,17,18

Tratamiento. Se han postulado varias alternativas de manejo para HCL: abordajes quirúrgicos como el curetaje o resección de las lesiones óseas, inyección intralesional con corticoides (metilprednisolona o triamcinolona) y bajas dosis de radioterapia para lesiones inaccesibles, quimioterapia o ambas.8,19 Existen reportes sobre tratamiento con inyección intralesional de corticosteroides, que han obtenido resultados positivos en todos los casos.19

El tratamiento depende del tipo y extensión de la enfermedad (multisistémica y monosistémica). En casos monosistémicos, el manejo variará según el órgano afectado. La primera opción es principalmente un tratamiento conservador.3

La investigación sobre el tratamiento de la HCL continúa con el ensayo LCH-III en curso de la Sociedad de Histiocitos. LCH-I y LCH-II se completaron y demostraron la eficacia de la quimioterapia con vinblastina y esteroides; ahora, LCH-III está estudiando prospectivamente el tratamiento de pacientes de alto riesgo con metotrexato o 6-mercaptopurina y ajustando la duración e intensidad del tratamiento según la respuesta.6,20,21

En la literatura, hay pocos casos reportados de HCL localizados en mandíbula tratados mediante la inyección de corticosteroides, pero no siempre es la primera opción de tratamiento. Se desconoce la forma en que los corticosteroides llevan a cabo su acción terapéutica, bien por medio de la inhibición de las células de Langerhans, de linfocitos T, eosinófilos, o bien por la estimulación de la osteogénesis. Otra teoría es la inhibición de interleucina-1 (IL-1) por el esteroide, con la consiguiente resorción ósea y la producción de prostaglandinas. Algunos sugieren que la biopsia revierte la destrucción ósea. Sin embargo, el que algunas lesiones resuelvan de forma espontánea hace difícil probar el mecanismo mediante el cual la inyección de corticosteroides funciona.22

Las lesiones óseas focales incluyen aspectos clínicos y radiográficos; observación, legrado óseo, indometacina oral, inyecciones intralesionales de corticosteroides y/o radioterapia (radioterapia en dosis bajas); sin embargo, se debe utilizar en los casos en los que se debe mantener la función y no es posible la inyección de corticoides.3,23

Si se realiza una biopsia para la definición diagnóstica, la lesión puede autocurarse. En algunos casos especiales, se puede utilizar quimioterapia para prevenir el riesgo de enfermedad del sistema nervioso central (casos con múltiples ganglios linfáticos resistentes a los corticosteroides).3

El tratamiento estándar de oro se definió como la combinación de prednisona y vinblastina, con regímenes terapéuticos que constan de uno o dos ciclos de seis semanas (esteroides orales continuos 40 mg/mL/día durante cuatro semanas, disminuidos durante dos semanas, más inyecciones semanales de vinblastina), seguidas de tres pulsos semanales de prednisolona oral 40 mg/mL/día durante cinco días más una inyección de vinblastina, lo que representa una fase inicial "intensiva" para seis a 12 semanas, seguida de una "fase de mantenimiento" menos intensiva durante toda la duración del tratamiento de al menos 12 meses.24

Respecto a las variables estudiadas sobre la histiocitosis de Langerhans, muchos autores coinciden y otros discrepan acerca de las variables estudiadas en este artículo; epidemiología, signos y síntomas, método de diagnóstico, asociación de enfermedad sistémica, características histológicas, características imagenológicas, tratamiento, pronóstico y recurrencia. En la Tabla 2 se resume la información encontrada en la literatura.

Esen y colaboradores reportaron un caso clínico de histiocitosis de Langerhans con fractura patológica asociada en un adulto de 25 años, los síntomas más dolor compresivo, edema, sensibilidad, dientes flojos, aumento de volumen; los criterios diagnósticos recomendados, radiografía panorámica, biopsia incisional con estudio histológico e inmunohistoquímica con proliferación de eosinófilos, linfocitos e histiocitos (hematoxilina y eosina [H&E], 100) y células teñidas positivas para S-100 en la evaluación inmunohistoquímica, no encontraron asociación sistémica. Fue tratado exitosamente mediante tres infiltraciones de metilprednisolona con resolución del trazo de fractura a los 14 meses y resolución de la lesión a los 36 meses de seguimiento.19

Putters y asociados reportaron tres pacientes de 28 meses, nueve y 15 años con histiocitosis en mandíbula, tratados mediante infiltración intralesional de metilprednisolona como principal método terapéutico. Obtuvieron remisión total con revisiones periódicas en los meses, uno, tres, seis, nueve y 12, y de forma anual posteriormente. Concluyeron que la infiltración local con corticosteroides debería ser la principal opción terapéutica para pacientes con histiocitosis de Langerhans en mandíbula. Los signos y síntomas más comunes fueron dolor, edema, fractura; sus criterios diagnósticos fueron radiografía panorámica y biopsia incisional con resultado histológico de acumulación de células de Langerhans y en histoquímica de CD1a. No encontraron asociación sistémica.22

Moralis y Kunkel publican un caso clínico y mencionan que la forma monolesional de la HCL es la más común con una prevalencia de 70%, con cerca de un tercio de todas las manifestaciones presentes en el cráneo. Siendo el dolor ubicado en la mandíbula, el síntoma principal de la HCL, acompañado de osteólisis local no odontogénica, pudiendo ser confundida con alguna forma de periodontitis. Para sus criterios diagnósticos recomiendan radiografía panorámica, ecografía, tomografía computarizada, resonancia magnética, biopsia, informan resultados histológicos y de inmunohistoquímica de acumulación densa de células de Langerhans (H&E, x400), marcado inmunoquímico de células de Langerhans (CD1a, x100), y su tratamiento con metilprednisolona 200 mg dosis única intralesional.25

Hwang y su equipo reportaron dos casos clínicos de histiocitosis en mandíbula en dos niños un femenino y un masculino de cinco y nueve años, respectivamente, tratados exitosamente mediante prednisolona 5 mg/2.5 mL vía oral cada ocho horas por un mes cuando la lesión es unifocal. Los signos y síntomas fueron dolor, edema y sangrado gingival. Solicitaron radiografía panorámica, TAC, biopsia incisional y gammagrafía ósea, histología e inmunohistoquímica con CL y eosinófilos densamente infiltrados (CD1a/S-100 positivo) (tinción H&E, x200). No presentaron asociación sistémica ni recurrencia.26

En 2021, Medina Ruiz y colaboradores presentaron un caso clínico de un masculino de tres años con seguimiento a cinco años y revisión de la literatura. Recomiendan realizar radiografía panorámica, biopsia incisional y TAC. Síntomas y signos más comunes: inflamación gingival, enrojecimiento, ulceraciones y perdida ósea, reportan lesiones menores en hígado y área abdominal, piel, bazo, sistema hematopoyético y diabetes insípida. Las características imagenológicas encontradas fueron patrón radiolúcido con márgenes irregulares, dientes flotantes, y lesiones osteolíticas en mandíbula y área craneal. Sugieren curetaje local con inyecciones de corticoesteroides en lesiones solitarias y en casos diseminados quimioterapia más cirugía.27

Soares y asociados reportaron el caso de un masculino de cinco años de edad. Los signos y síntomas que presentó fueron poliuria, sed excesiva y rápida pérdida de peso. Solicitaron radiografía panorámica, TAC, biopsia incisional, gammagrafía ósea, resonancia magnética nuclear y pruebas hematológicas. Presentó diabetes insípida. Los resultados histológicos y de inmunohistoquímica mostraron infiltrado de células mononucleares entremezcladas con numerosos eosinófilos (H&E, x200). La tinción inmunohistoquímica (C, D) evidenció positividad para CD1a y proteína neural S-100 (aumento original: x200). Reportaron resultados imagenológicos con área de hipercaptación de radioisótopos en rama mandibular derecha, área radiolúcida en rama mandibular derecha y evidencia de fenestración cortical. El tratamiento administrado consistió en 28 sesiones de quimioterapia con vinblastina combinada con prednisona. No hubo presencia de recurrencia a 12 meses.1

Faustino y su grupo realizaron una actualización de la revisión de la literatura. La epidemiologia reportada es de 20-30% de los casos se dan en mandíbula con una tasa de incidencia anual de cinco casos por millón en menores de 15 años y un caso por millón en adultos. Reportan signos y síntomas más comunes de inflamación, áreas eritematosas, úlceras y presencia de ganglios linfáticos agrandados. Recomiendan criterios diagnóstico de radiografía panorámica, ecografía, TAC, biopsia incisional, gammagrafía ósea, resonancia magnética nuclear y pruebas hematológicas, pruebas BRAF V600E. Indican que los resultados histológicos y de inmunohistoquímica deben registrar componente inflamatorio reactivo asociado con la infiltración de LC altamente heterogéneo; la microscopía de transmisión electrónica evidencia gránulos de Birbeck; debe ser positivo para CD1a y CD207 o para anticuerpos inespecíficos como la proteína S-100, langerina o CD207. Las afecciones sistémicas más comunes son diabetes insípida (20%) y hepatomegalia, afección de hueso, la piel, o un ganglio linfático o un sistema con sitios multifocales (por ejemplo, sistema esquelético con sitios multifocales). Recomiendan tratamientos con corticosteroides, dosis bajas de radiación y quimioterapia. Reportan recurrencia en la enfermedad monosistémica (tasa de mortalidad inferior a 10%) y en la multisistémica (tasa de mortalidad 30 y 50%).3

Chugh y colegas realizaron una revisión sistémica con 49 artículos y 152 casos. Reportan mayor epidemiologia en pacientes masculinos de seis a 12 años con mayor afectación en cuerpo mandibular, con síntomas de eritema gingival, dolor y movilidad dental. Recomiendan estudios de radiografía panorámica, ecografía, TAC, biopsia incisional, gammagrafía ósea, resonancia magnética nuclear y pruebas hematológicas, pruebas BRAF V600E; reportes histológicos y de inmunohistoquímica con CD1a y S-100, langerina (CD207), gránulos de Birbeck. Mencionan que las afecciones sistémicas más comunes son hígado, bazo, sistema hematopoyético o pulmones; en 5 a 10%, ganglios linfáticos y, de 2 a 4%, sistema nervioso central. Tratamiento mediante escisión quirúrgica/legrado 81 (52.6%), esteroides 17 (7.14%), cirugía y esteroides 4 (2.6%) y cirugía e indometacina 4 (2.6%).5

Bedran y su equipo, en su estudio de revisión de la literatura y reporte de 19 casos, señalan que el sexo masculino y la mandíbula fueron los más afectados. Mencionan que el dolor y aumento de volumen de hasta 4 cm acompañado de edema facial, linfadenopatía cervical fueron los signos y síntomas más comunes. Las afecciones sistémicas reportadas son lesiones cutáneas seguidas de compromiso visceral (tracto gastrointestinal, hígado, bazo, timo o ganglios linfáticos). Mencionan características radiográficas de una imagen radiolúcida mal definida. El estudio de histología e inmunohistoquímica debería ser confirmatorio con infiltrado linfoplasmocitario con predominio de eosinófilos e histiocitos positivos para CD1a y CD207, S-100, CD68, CD1a y CD207 langerina (CD207-gránulos de Birbeck). El tratamiento propuesto es vinblastina y esteroides según LCH-III (tres casos) y LCH-II (dos casos) de la Sociedad de Histiocitos. Reportan dos pacientes con recurrencia y dos casos de mortalidad.

AbdullGaffar B y colegas estudiaron 54 casos todos de sexo masculino. La ubicación fue la mandíbula en todos los casos. El dolor y la inflamación mandibular, así como retraso en la cicatrización y ulceraciones fueron los síntomas y signos más comunes. Encontraron asociación sistémica con lesiones pulmonares apicales bilaterales, lesiones óseas del fémur y lesiones pleurales. Su trabajo estuvo muy enfocado al estudio histológico: la inmunohistoquímica resultó positiva para CD1a, langerina y proteína S-100; inmunohistoquímica y moleculares para los oncogenes BRAF V600E y el poliomavirus de células de Merkel (MCPyV), panel de inmunohistoquímica (IHC) de CD20, CD3, citoqueratina (AE1/AE3), Melan-1, CD68 y CD1a.10

Cisternino y asociados realizaron una revisión de la literatura y reportaron un caso clínico. Mencionan que sensibilidad dental, edema, inflación, recesión gingival, retraso en la cicatrización, movilidad dental, lesiones ulcerosas, y sangrado fueron los signos y síntomas más comunes. Su criterio diagnostico se basa en radiografía panorámica y periapical, radiografías de cráneo y senos paranasales, miembros pélvicos, biopsia de médula ósea, estudio histopatológico e inmunohistoquímico, estudios paraclínicos y estudio molecular con resultados de histiocitos CD1a y S-100 positivos con un fondo inflamatorio (linfocitos T reguladores, macrófagos y eosinófilos) es patognomónica; V600E en el protooncogén B-Raf (BRAF). Su tratamiento es quimioterapia, radioterapia y corticosteroides; en ocasiones recomiendan tratamiento quirúrgico.28

La HCL constituye una entidad poco frecuente en la práctica clínica odontológica y maxilofacial, cuya presentación en pacientes adultos representa una verdadera rareza, dado que la mayoría de los reportes se concentran en la población pediátrica y adolescente. La singularidad del caso se acentúa por su localización mandibular bilateral, un patrón aún menos habitual que los hallazgos unilaterales o centrados en el esqueleto craneofacial. Este fenotipo atípico no sólo incrementa la dificultad en el reconocimiento inicial, sino que también plantea consideraciones pronósticas distintas, al sugerir una posible mayor extensión de la enfermedad y un comportamiento clínico más agresivo.

Desde el punto de vista diagnóstico, los retos son múltiples. Las lesiones mandibulares de la HCL pueden simular entidades periodontales comunes, como periodontitis crónica avanzada, quistes inflamatorios o granulomas reparativos, lo que genera un riesgo importante de subdiagnóstico o de tratamientos inadecuados en fases tempranas. La similitud clínica y radiográfica con procesos odontogénicos benignos obliga a un abordaje sistemático que incluya siempre la sospecha de patologías poco frecuentes. En este escenario, la inmunohistoquímica adquiere un papel crucial: la identificación de marcadores específicos como CD1a y langerina (CD207), junto con la positividad para proteína S-100, permiten establecer el diagnóstico definitivo y descartar otras proliferaciones histiocitarias o neoplasias hematológicas con manifestaciones óseas.5,6 En el caso presentado, la confirmación inmunohistoquímica fue determinante para orientar el manejo terapéutico adecuado.

El tratamiento de la HCL en adultos con afectación ósea localizada sigue siendo motivo de debate. Se han propuesto diversas estrategias, entre ellas la aplicación de corticosteroides intralesionales, la resección quirúrgica y, en casos de mayor extensión o compromiso sistémico, la terapia farmacológica sistémica basada en quimioterapia o inmunomoduladores. La infiltración de esteroides directamente en la lesión ofrece la ventaja de reducir la proliferación celular con mínima morbilidad, aunque sus resultados son variables y dependen del tamaño y accesibilidad de la lesión. Por su parte, la cirugía mediante legrado o resección limitada constituye una opción efectiva para lesiones circunscritas, con la ventaja de permitir confirmación histológica adicional y control local inmediato. Finalmente, la terapia sistémica se reserva para casos multifocales o con afectación multisistémica, escenarios en los que el riesgo de recaída o progresión es elevado.

En el paciente aquí descrito, la combinación de rareza clínica y presentación bilateral obligó a una valoración cuidadosa de estas alternativas. Dada la localización mandibular y la extensión simétrica, se consideró un abordaje conservador con cirugía limitada, complementado por seguimiento estrecho, como estrategia de equilibrio entre control de la enfermedad y preservación funcional. Esta decisión refleja la necesidad de individualizar el tratamiento en función de la edad, extensión, localización anatómica y riesgo de complicaciones. En suma, este caso subraya la importancia de mantener un alto índice de sospecha clínica, apoyarse en la inmunohistoquímica para la confirmación diagnóstica y seleccionar terapias personalizadas que integren las características singulares de cada paciente.

La principal fortaleza del presente reporte radica en la confirmación diagnóstica mediante análisis histopatológico complementado con inmunohistoquímica, lo que confiere robustez metodológica y validez científica a la interpretación del caso. No obstante, entre sus limitaciones se encuentra la carencia de un seguimiento a largo plazo que permita establecer el comportamiento evolutivo de la enfermedad, así como la ausencia de caracterización molecular dirigida a mutaciones específicas como BRAF V600E, actualmente reconocidas por su impacto pronóstico y terapéutico.

Se sugiere la aplicación de un protocolo diagnóstico estricto en el abordaje de lesiones con múltiples posibles etiologías y diagnósticos diferenciales, complementado con un manejo integral sustentado en la colaboración multidisciplinaria e interdisciplinaria, a fin de descartar de manera precisa enfermedades sistémicas asociadas y, en su caso, establecer el tratamiento correspondiente. De igual forma, la elección entre estrategias terapéuticas conservadoras o quirúrgicas resulta fundamental para limitar la progresión y evitar la extensión de la enfermedad.



CONCLUSIONES

La histiocitosis de células de Langerhans constituye una patología de baja incidencia en la práctica clínica estomatológica, y su presentación como lesiones mandibulares bilaterales en un paciente adulto representa un hallazgo excepcional que aporta valor académico y clínico al presente reporte. La singularidad del caso radica tanto en la localización como en el patrón de afectación, lo cual obliga a mantener un alto índice de sospecha ante manifestaciones inusuales en la cavidad oral.

Desde el punto de vista diagnóstico, la confirmación histopatológica apoyada en inmunohistoquímica (expresión de CD1a, langerina y proteína S-100) fue decisiva para establecer la naturaleza de la lesión, evitando diagnósticos erróneos asociados a patologías periodontales o procesos inflamatorios odontogénicos. Este abordaje permitió orientar de manera precisa la estrategia terapéutica y subraya la necesidad de protocolos diagnósticos estrictos en lesiones osteolíticas de la mandíbula.

En relación con el tratamiento, el caso presentado evidencia la factibilidad de un manejo conservador mediante corticosteroides intralesionales como alternativa a la cirugía radical, siempre condicionado a una estricta selección de pacientes y a la vigilancia estrecha mediante seguimiento clínico e imagenológico. Esta aproximación busca preservar la función mandibular, reducir la morbilidad y limitar la progresión de la enfermedad. Sin embargo, la ausencia de un seguimiento a largo plazo constituye una limitación relevante.

Este caso destaca la necesidad de considerar un diagnóstico diferencial amplio en lesiones osteolíticas mandibulares y la de apoyarse en la colaboración multidisciplinaria para descartar patologías sistémicas y definir un plan terapéutico individualizado. También enfatiza la integración de hallazgos clínicos, histopatológicos e inmunohistoquímicos en la toma de decisiones, y la necesidad de contar con estudios adicionales y protocolos actualizados que guíen el manejo de esta entidad poco frecuente.


REFERENCIAS (EN ESTE ARTÍCULO)

  1. Soares EC, Quidute AR, Costa FW, Gurgel MH, Alves AP, Fonteles CS. Monostotic Langerhans' cell histiocytosis in a child with central diabetes insipidus. J Clin Pediatr Dent. 2012; 36 (4): 377-381. doi: 10.17796/jcpd.36.4.aq167251703n767u.

  2. Coppes-Zantinga A, Egeler RM. The Langerhans cell histiocytosis X files revealed. Br J Haematol. 2002; 116 (1): 3-9.

  3. Faustino ISP, Fernandes PM, Pontes HAR et al. Langerhans cell histiocytosis in the oral and maxillofacial region: An update. J Oral Pathol Med. 2021; 50 (6): 565-571. doi: 10.1111/jop.13207.

  4. Madrigal-Martínez-Pereda C, Guerrero-Rodríguez V, Guisado-Moya B et al. Langerhans cell histiocytosis: literature review and descriptive analysis of oral manifestations. Med Oral Patol Oral Cir Bucal. 2009; 14 (5): E222-228.

  5. Chugh A, Kaur A, Kumar Patnana A, Kumar P, Chugh VK. Unisystem Langerhans cell histiocytosis in maxillofacial region in pediatrics: comprehensive and systematic review. Oral Maxillofac Surg. 2021; 25 (4): 429-444. doi: 10.1007/s10006-021-00949-9.

  6. Bedran NR, Carlos R, de Andrade BAB, et al. Clinicopathological and immunohistochemical study of head and neck Langerhans cell histiocytosis from Latin America. Head Neck Pathol. 2018; 12 (4): 431-439.

  7. Pileri SA, Feldman AL, Cheuk W, Slater L. Langerhans cell histiocytosis. In: El-Naggar AK, Chan JKC, Grandis JR, Takata T, Slootweg PJ, editors. WHO classification of head and neck tumours. 4th ed. Lyon: IARC; 2017. p. 130-131.

  8. Castellón Zirpel ML, Fuenzalida Kakarieka C, Barrios Tapia JI, Uribe Fenner F. Histiocitosis de células de Langerhans localizada en hueso malar: presentación de un caso. Rev Esp Cirug Oral Maxilofac. 2011; 33 (3): 114-119. Disponible en: http://scielo.isciii.es/scielo.php?script=sci_arttext&pid=S1130-05582011000300004. doi: 10.4321/S1130-05582011000300004.

  9. Lichtenstein L. Histiocytosis X; integration of eosinophilic granuloma of bone, Letterer-Siwe disease, and Schuller-Christian disease as related manifestations of a single nosologic entity. AMA Arch Pathol. 1953; 56 (1): 84-102.

  10. AbdullGaffar B, Awadhi F. Oral manifestations of Langerhans cell histiocytosis with unusual histomorphologic features. Ann Diagn Pathol. 2020; 47: 151536. doi: 10.1016/j.anndiagpath.2020.151536.

  11. Haroche J, Cohen-Aubart F, Rollins BJ et al. Histiocytoses: emerging neoplasia behind inflammation. Lancet Oncol. 2017; 18 (2): e113-e125. doi: 10.1016/S1470-2045(17)30031-1.

  12. Henter JI, Tondini C, Pritchard J. Histiocyte disorders. Crit Rev Oncol Hematol. 2004; 50 (2): 157-174.

  13. Snyder SR, Merkow LP, White NS. 1973; Eosinophilic granuloma of bone: report of case. J Oral Surg. 1973; 31: 712-715.

  14. Badalian-Very G, Vergilio JA, Degar BA, et al. Recurrent BRAF mutations in Langerhans cell histiocytosis. Blood. 2010; 116 (11): 1919-1923.

  15. Berres ML, Lim KP, Peters T et al. BRAF-V600E expression in precursor versus differentiated dendritic cells defines clinically distinct LCH risk groups. J Exp Med. 2014; 211 (4): 669-683.

  16. Cho YA, Yoon HJ, Hong SD, Lee J, Hong SP. Hypothetical pathogenesis of eosinophilic infiltration in Langerhans cell histiocytosis of the jaw. Oral Surg Oral Med Oral Pathol Oral Radiol. 2013; 116: 734-742.

  17. Weiss LM, Chan JKC, Fletcher CDM. Indeterminate dendritic cell tumor. In: Swerdlow SH, Campo E, Harris NL, et al., editors. WHO classification of tumours of haematopoietic and lymphoid tissues. Revised 4th ed. Lyon: IARC; 2017. p. 474.

  18. Swerdlow SH, Campo E, Harris NL, Jaffe ES, Pileri SA, Stein H, Thiele J, editors. WHO classification of tumours of haematopoietic and lymphoid tissues. Revised 4th ed. Lyon: IARC; 2017. p. 359.

  19. Esen A, Dolanmaz D, Kalayci A, Günhan Ö, Avunduk MC. Treatment of localized langerhans' cell histiocytosis of the mandible with intralesional steroid injection: report of a case. Oral Surg Oral Med Oral Pathol Oral Radiol Endod. 2010; 109 (2): e53-e58.

  20. Kilpatrick SE, Wenger DE, Gilchrist GS, Shives TC, Wollan PC, Unni KK. Langerhans' cell histiocytosis (histiocytosis X) of bone. A clinicopathologic analysis of 263 pediatric and adult cases. Cancer. 1995; 76 (12): 2471-2484. doi: 10.1002/1097-0142(19951215)76:12< 2471::aid-cncr2820761211> 3.0.co;2-z.

  21. Monsereenusorn C, Rodriguez-Galindo C. Clinical characteristics and treatment of Langerhans cell histiocytosis. Hematol Oncol Clin North Am. 2015; 29: 853-873. doi: 10.1016/j.hoc.2015.06.005.

  22. Putters TF, de Visscher JGAM, van Veen A, Spijkervet FKL. Intralesional infiltration of corticosteroids in the treatment of localised Langerhans' cell histiocytosis of the mandible. Report of known cases and three new cases. Int J Oral Maxillofac Surg. 2005; 34 (5): 571-575.

  23. Bedran NR, Carlos R, de Andrade BAB, et al. Clinicopathological and Immunohistochemical Study of Head and Neck Langerhans Cell Histiocytosis from Latin America. Head Neck Pathol. 2018; 12 (4): 431-439.

  24. Minkov M. Multisystem Langerhans cell histiocytosis in children: current treatment and future directions. Paediatr Drugs. 2011; 13 (2): 75-86.

  25. Moralis A, Kunkel M, Kleinsasser N, Müller-Richter U, Reichert TE, Driemel O. Intralesional corticosteroid therapy for mandibular Langerhans cell histiocytosis preserving the intralesional tooth germ. Oral Maxillofac Surg. 2008; 12 (2): 105-111.

  26. Hwang DS, Lee JS, Kim UK, Park HR, Ryu MH, Lee JH, et al. Langerhans cell histiocytosis of the mandible: Two case reports and literature review. J Korean Assoc Oral Maxillofac Surg. 2019; 45 (3): 167-172.

  27. Medina Ruiz B, Arocho L, López del Valle LM, Molina Negrón D. Histiocitosis de células de Langerhans: seguimiento de 5 años del caso y revisión sistemática de literatura. Revista de Odontopediatría Latinoamericana. 2021;11(2). doi: 10.47990/alop.v11i2.231.

  28. Cisternino A, Asa'ad F, Fusco N, Ferrero S, Rasperini G. Role of multidisciplinary approach in a case of Langerhans cell histiocytosis with initial periodontal manifestations. Int J Clin Exp Pathol. 2015; 8 (10): 13539-13545.



AFILIACIONES

1 Hospital Regional "Lic. Adolfo López Mateos", ISSSTE. Ciudad de México, México.

2 Residente de cuarto año de Cirugía Maxilofacial. ORCID: 0000-0001-9255-4024

3 Médica adscrita del Servicio de Cirugía Maxilofacial. ORCID: 0000-0002-6233-2399

4 Residente de primer año de Cirugía Maxilofacial. ORCID: 0009-0003-3472-3573



Conflicto de intereses: no se declara ningún conflicto de intereses.



CORRESPONDENCIA

Rolando Jonathan Vega Ayala. E-mail: jvegadds@gmail.com




Recibido: Julio 2025. Aceptado: Octubre 2025.

Tabla 1
Tabla 2
Figura 1
Figura 2
Figura 3
Figura 4
Figura 5
Figura 6
Figura 7
Figura 8
Figura 9
Figura 10

2020     |     www.medigraphic.com

Mi perfil

C?MO CITAR (Vancouver)

Rev Mex Cir Bucal Maxilofac. 2025;21

ARTíCULOS SIMILARES

CARGANDO ...