2026, Número 1
Manejo multimodal de un plasmocitoma epidural torácico asociado a mieloma múltiple. Reporte de caso y revisión de la literatura
Idioma: Español
Referencias bibliográficas: 20
Paginas: 58-63
Archivo PDF: 861.46 Kb.
RESUMEN
Introducción: el plasmocitoma epidural extraóseo asociado a mieloma múltiple surge del tejido linfoide en el espacio epidural, siendo poco frecuente dicha localización. La tasa de supervivencia a cinco años sigue siendo poco menos del 50%. Presentación del caso: masculino de 52 años, presenta dolor en región dorsal de tipo opresivo acompañado de disminución de la fuerza de extremidades inferiores 1/5 e hipoestesia debajo de T4. Padecimiento con un mes de evolución. En la resonancia magnética se aprecia lesión heterogénea en espacio epidural en T2 que condiciona compresión medular. Se realizó hemilaminectomía de T4-T5 más exéresis tumoral, reportándose como plasmocitoma; se decide manejo coadyuvante con radioterapia. Resultados: posterior a la cirugía el paciente presentó mejoría de la fuerza de miembros pélvicos 4/5 y la sensibilidad. En control por resonancia a un año postratamiento no se evidencia recurrencia tumoral. Conclusiones: el plasmocitoma epidural asociado a mieloma múltiple representa una entidad clínica poco frecuente, pero de gran relevancia debido a su potencial para generar deterioro neurológico agudo. Este caso destaca la importancia de una evaluación oportuna mediante imagen avanzada, confirmación histológica y abordaje terapéutico multimodal. La intervención quirúrgica, seguida de radioterapia, permitió una recuperación funcional significativa y control local sostenido de la enfermedad. La identificación precoz y el tratamiento integral son determinantes para optimizar el pronóstico en pacientes con este padecimiento.INTRODUCCIóN
El plasmocitoma epidural extraóseo asociado con mieloma es una enfermedad poco prefuente, la cual surge del tejido linfoide en el espacio epidural, sin afectación vertebral focal. Este padecimiento fue descrito por primera vez por Matsui y su equipo en 1992.1
La lesión de la médula espinal ocurre en aproximadamente el 70% de los pacientes con mieloma múltiple (MM). Al mismo tiempo, el desarrollo de focos osteolíticos puede conducir a fracturas patológicas, presentes en más del 50% de los pacientes, lo que conduce a una mayor inestabilidad espinal y trastornos neurológicos. La compresión de la médula espinal ocurre en aproximadamente el 10% de los pacientes con MM.2
Fisiopatología: a los nuevos conocimientos sobre la fisiopatología de este padecimiento han mejorado la comprensión del crecimiento de células del mieloma y la destrucción ósea. La vía biológica del activador del receptor del factor nuclear kappa B (RANK), su ligando (RANKL) y la osteoprotegerina (OPG), que es el receptor señuelo de RANKL, es de gran importancia para el aumento de la actividad osteoclástica observada en el MM. Más recientemente, la activina A se ha implicado en la enfermedad ósea del MM, a través de la estimulación de la expresión de RANK y la inducción de osteoclastogénesis. El eje osteocito-osteoclasto-osteoblasto se altera, lo que conduce a una remodelación ósea desacoplada en la que la construcción disminuye y la resorción aumenta.3 Se cree que el plasmocitoma epidural extraóseo asociado con el mieloma surge del tejido linfoide en el espacio epidural. Al igual que la extensión hacia los ganglios linfáticos paraespinales a través de los agujeros vertebrales, es otra posibilidad de infiltración.1
Según los criterios del Grupo de Trabajo Internacional sobre Mieloma (IMWG, por sus siglas en inglés), el diagnóstico de MM requiere que se cumplan los tres siguientes: 10% de células plasmáticas monoclonales en la médula ósea y/o un plasmocitoma comprobado por biopsia; proteína monoclonal en el suero y/u orina; y al menos una característica de disfunción orgánica relacionada con el mieloma, según los criterios CRAB: elevación del calcio sérico, insuficiencia renal, anemia y lesiones óseas líticas (5 mm).4
Imagen en mieloma múltiple: la tomografía sólo es útil cuando existe infiltración ósea, es decir, cuando se observa rotura cortical, líneas de fractura discretas y destrucción ósea; sin embargo, no muestra alteraciones cuando sólo existe compromiso epidural o desplazamiento medular. La resonancia magnética es el estudio de elección, debido a que muestra lesión hipointensa en T1 y T2, que muestra una señal alta en imágenes T2 STIR. Cuando existe localización puramente epidural, se observa lesión hipointensa en T1 y T2, sin infiltración ósea.
La puntuación de inestabilidad neoplásica espinal (SINS) es un sistema de puntuación validado, que demuestra una alta confiabilidad y predictibilidad inter- e intraobservador para identificar la inestabilidad espinal y la necesidad de instrumentación en pacientes con tumores espinales. Incorpora localización del tumor, dolor del paciente, grado de osteólisis, alineación espinal, colapso del cuerpo vertebral y afectación posterolateral de los elementos espinales.5
PRESENTACIóN DEL CASO
Paciente masculino de 52 años de edad, sin antecedentes personales patológicos de importancia. Inicia padecimiento de un mes de evolución caracterizado por dolor en región dorsal de tipo opresivo, intensidad 6/10 en la escala visual análoga (EVA), que se exacerba con los movimientos y disminuye con el reposo y el decúbito, acompañado de debilidad progresiva de extremidades inferiores, motivo por el cual acude a nuestra unidad para su valoración.
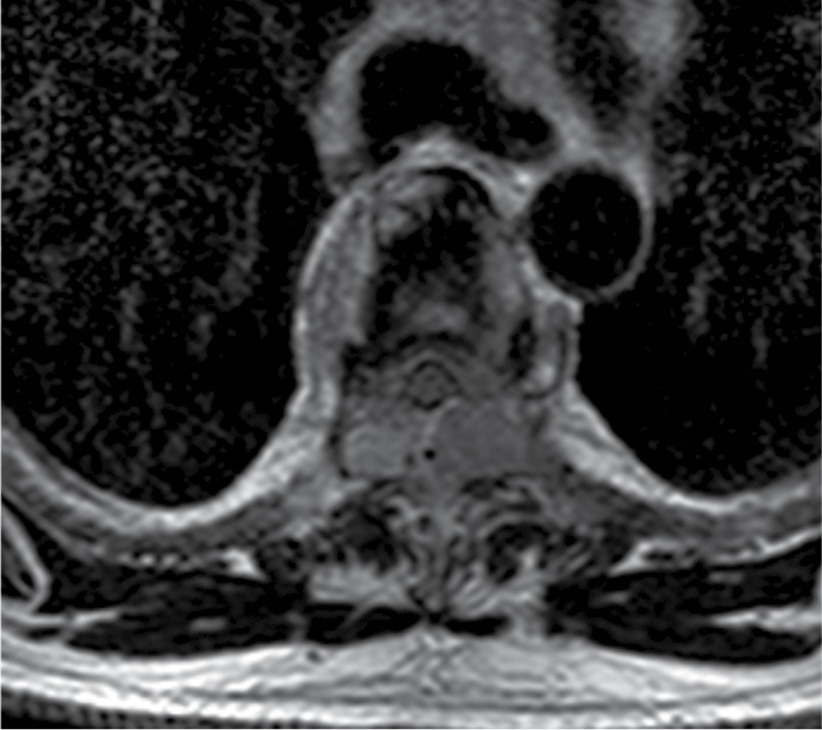
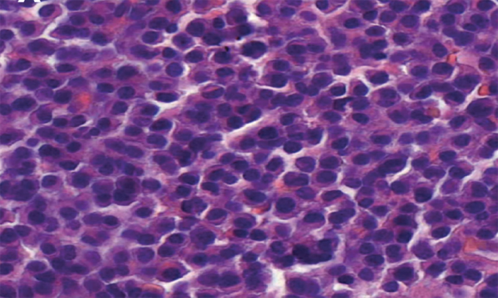
A la exploración neurológica con fuerza 1/5 en miembros inferiores se observa hipotonía, reflejos de estiramiento muscular de miembros inferiores 1/4, con hipoestesia por debajo de T4. Se realizó resonancia magnética en vista sagital secuencia T2, donde se aprecia lesión hipointensa epidural localizada en T4-T5 de bordes regulares con dimensiones de 35 × 6 mm que, de acuerdo con la clasificación de SINS, obtuvo puntaje de 4, catalogándose como columna inestable. Por lo anterior se decidió realizar cirugía, la cual consistió en hemilaminectomía de T4-T5 más exéresis tumoral, reportándose en el examen de patología transquirúrgico como plasmocitoma (Figuras 1, 2 y 3).
Durante el postquirúrgico mediato el paciente presentó mejoría de la fuerza de miembros inferiores 4/5. Se realizó protocolo de estudio para MM por parte del servicio de medicina interna, en donde se encontró, en aspiración de médula ósea, células clonales plasmáticas mayores al 10%, hipercalcemia de 13 mg/dl, creatinina de 2 g/dl. En la resonancia magnética de control se observó adecuada resección tumoral.
Se envió al paciente a oncología para realizar sesiones con radioterapia, con adecuado control local de la enfermedad y restablecimiento de la marcha. Actualmente se encuentra sin datos clínicos de progresión de la enfermedad (Figuras 4 y 5).
DISCUSIóN
El plasmocitoma es el tumor óseo maligno primario de la columna más común, el cual afecta generalmente las vértebras torácicas.6 La edad promedio al momento del diagnóstico es 55 años y afecta con mayor frecuencia a los hombres. Suele estar presente durante muchos años como lesión única; sin embargo, eventualmente puede progresar a mieloma múltiple.7
El grado histológico a menudo dicta el tratamiento. En ocasiones se sugiere una dosis moderada de radioterapia combinada con cirugía para un tratamiento óptimo,8 como en el caso presentado.
TRATAMIENTO MÉDICO
Los bifosfonatos siguen siendo la piedra angular del tratamiento terapéutico de la enfermedad ósea por mieloma. El ácido zoledrónico es el bisfosfonato preferido en pacientes con mieloma. La identificación del papel de la vía RANKL/OPG en el MM ha llevado al desarrollo del inhibidor de RANKL como lo hace el denosumab. También se encuentra el sotatercept, un inhibidor de la activina que mejora la deposición de tejido óseo nuevo y previene la pérdida ósea, además de tener actividad antitumoral.3 Se recomienda radioterapia a dosis baja con fármacos antimieloma y bifosfonatos.2
Los objetivos principales en el tratamiento son: lograr el control local de la enfermedad y preservar o restaurar la estabilidad de la columna. Estos objetivos son esenciales para el manejo eficaz del dolor y para prevenir o mejorar el deterioro neurológico.
Actualmente, las opciones de tratamiento incluyen radioterapia, cirugía, una combinación de ambas, así como vertebroplastía o cifoplastía. Dada la alta radiosensibilidad de esta enfermedad, la radioterapia se considera el tratamiento primario de elección,9 ya que la tasa de control local llega al 80% y la duración media de la supervivencia puede alcanzar entre 7.5 y 12 años. Se recomienda la cirugía en casos de colapso vertebral, inestabilidad espinal, compresión de la médula espinal o de las raíces nerviosas. El propósito es eliminar la compresión nerviosa, reconstruir la estabilidad de la columna y restaurar la función nerviosa.6
INDICACIONES PARA CIRUGÍA
Las indicaciones para tratamiento quirúrgico incluyen compresión epidural a la médula espinal con déficit neurológico, colapso del cuerpo vertebral con retropulsión hacia el canal raquídeo, fracaso de la radioterapia y la quimioterapia con mielopatía de progresión lenta, fractura por compresión con inestabilidad y/o dolor intenso, preocupación por el colapso del cuerpo vertebral con sólo radioterapia.5
Los objetivos de la cirugía incluyen: 1) Control local de la enfermedad con una escisión en bloque, con al menos una resección marginal del tumor. 2) Estabilidad de la columna: la fusión espinal posterior instrumentada puede lograr los objetivos de restablecer la estabilidad y la alineación de la columna. 3) Descompresión de elementos neurales: en casos de disfunción neurológica establecida o progresiva.10
La decisión de emplear una intervención quirúrgica agresiva siempre debe tener en cuenta las comorbilidades del paciente, la carga general de la enfermedad sistémica y el potencial de una mejora significativa en los resultados clínicos.11 La compresión de la médula espinal en pacientes con MM puede deberse a una fractura patológica o, en raras ocasiones, a una localización epidural exclusiva.12 Dado que los efectos beneficiosos de la radioterapia en el control del dolor pueden requerir de mayor tiempo, la cirugía puede considerarse como una alternativa inmediata para el manejo del dolor.13
Contraindicaciones para el tratamiento quirúrgico: mala condición física; cardiopatía, neumopatía o nefropatía inestable; alteración grave de la coagulación que sea difícil de corregir, e infección grave.14 Es importante asegurar que los beneficios del tratamiento quirúrgico superen los riesgos, ya que los pacientes con MM son susceptibles a infecciones.2,14 Los pacientes que presentan una columna mecánicamente inestable, compresión aguda de la médula espinal y déficit neurológico pueden ser tratados de manera efectiva con un corsé apropiado cuando son atendidos por una unidad de columna de referencia.15
OPCIONES DE TRATAMIENTO INTERVENCIONISTA
La vertebroplastía percutánea (PVP) implica la inyección percutánea de cemento óseo en el cuerpo vertebral fracturado para estabilizarlo y destruir las terminaciones nerviosas con el objetivo de aliviar el dolor. Las indicaciones son: fracturas dolorosas por compresión vertebral, dolor local intenso que afecta la calidad de vida, lesiones líticas con sospecha de fractura vertebral patológica reciente y en ausencia de compresión de la médula espinal o rotura de la pared posterior vertebral.16,17
El ensayo Cancer Patient Fracture Evaluation informó que los pacientes que se sometieron a cifoplastía en el primer mes después de la compresión vertebral tuvieron una mejor función de la columna y menos requerimientos de analgésicos que aquellos que reciben cirugías diferidas. Se sugiere que la cifoplastía se realice dentro de las cuatro a ocho semanas para pacientes con MM con dolor intenso debido a fracturas. La biopsia de lesiones destructivas debe realizarse simultáneamente con la cifovertebroplastía, que resultó segura y eficaz.17 Después de la cirugía, la recuperación de la capacidad de deambulación fue el factor más importante para predecir el pronóstico de los pacientes.18
Radiocirugía en el mieloma múltiple: debe considerarse con dosis de 14-16 G y en una sola fracción para pacientes con mieloma múltiple y enfermedad espinal limitada con mielosupresión que requiere manejo conservador de la médula ósea o enfermedad recurrente que no haya funcionado con radioterapia.19
REHABILITACIÓN
Sin entrenamiento rehabilitador postoperatorio de extremidades, articulaciones y los músculos de la espalda baja, los pacientes pueden desarrollar atrofia muscular, adherencias y rigidez articular. Después de la cirugía, los pacientes deben realizar ejercicios funcionales y tratar de caminar lo más temprano posible.14
El mieloma múltiple en columna cervical provoca una morbilidad significativa, causando dolor y potencialmente progresando a un déficit neurológico irreversible; por lo tanto, una órtesis confiere un medio seguro de estabilización, al tiempo que optimiza el tratamiento médico. Se deben utilizar collarines flexibles como Miami J, Philadelphia o Aspen, cada uno con distintos grados de flexión/extensión o flexión lateral limitada.20
Diagnóstico diferencial
El plasmocitoma epidural debe diferenciarse de otras neoplasias epidurales como el linfoma, el amiloidoma solitario y las metástasis. La forma de diferenciarlo es la resonancia magnética. El plasmocitoma epidural es una lesión epidural de aparición isointensa en T1 y T2 y que realza poco en las imágenes contrastadas. El amiloidoma solitario de la columna también es raro y se manifiesta como un tumor epidural con afectación ósea que típicamente aparece hipointenso en T1 y T2, el cual realza intensamente en las imágenes contrastadas. Las metástasis epidurales son difíciles de distinguir sobre la base de intensidad de la señal de la resonancia magnética nuclear (RMN) y la morfología; requieren confirmación histopatológica para un manejo posterior.
Por lo anterior, es un reto diagnóstico los plasmocitomas con localización epidural, por lo que, al enfrentarnos a esta lesión con las características morfológicas en imagen y deterioro neurológico progresivo, se debe actuar de forma temprana para determinar la etiología y dar el mejor tratamiento al paciente.
CONCLUSIONES
El plasmocitoma epidural asociado a mieloma múltiple representa una entidad infrecuente y clínicamente desafiante debido a su localización atípica y potencial neurológico devastador. Este caso no sólo documenta una presentación poco común, sino que aporta valor al integrar una revisión de la literatura nacional e internacional, donde se resalta que el abordaje diagnóstico y terapéutico temprano influye directamente en la evolución funcional y la sobrevida del paciente.
A diferencia de lo que proponen algunos algoritmos de manejo conservador inicial sólo con radioterapia, en este caso se optó por intervención quirúrgica temprana con biopsia escisional como estrategia diagnóstica y terapéutica simultánea. Esta decisión, fundamentada en la presencia de déficit neurológico progresivo y compresión medular evidente en la resonancia magnética, permitió una descompresión efectiva y un rápido control local de la enfermedad.
La cirugía, como parte de un abordaje multimodal junto a la radioterapia adyuvante y el tratamiento sistémico, demostró ser clave para la recuperación neurológica y funcional del paciente, y puede considerarse una alternativa válida frente a los protocolos conservadores en casos seleccionados. Por tanto, este reporte enfatiza la necesidad de adaptar el tratamiento a las características clínicas de cada caso y sugiere que el manejo quirúrgico precoz puede mejorar la calidad de vida y el pronóstico en pacientes con plasmocitoma epidural relacionado con mieloma múltiple.
REFERENCIAS (EN ESTE ARTÍCULO)
Encarnacion D, Chmutin GE, Bozkurt I, Wellington J, Geraldino EB, Chaurasia B. Lesions of the spinal cord caused by multiple myeloma: A systematic review and meta-analysis regarding the neurosurgical aspects of patient management. J Craniovertebr Junction Spine. 2023; 14: 313-318. doi: 10.4103/jcvjs.jcvjs_111_23.
Xiang QQ, Chu B, Lu MQ, Shi L, Gao S, Wang YT, et al. Risk-benefit ratio of percutaneous kyphoplasty and percutaneous vertebroplasty in patients with newly diagnosed multiple myeloma with vertebral fracture: a single-center retrospective study. Ann Hematol. 2023; 102: 1513-1522. doi: 10.1007/s00277-023-05202-9.
AFILIACIONES
1 Hospital Regional General "Ignacio Zaragoza", Instituto de Seguridad y Servicios Sociales de los Trabajadores del Estado (ISSSTE). Ciudad de México, México.
2 Médico residente de sexto año de Neurocirugía. ORCID: 0000-0001-5156-7638
3 Jefe de Servicio de Neurocirugía. ORCID: 0000-0002-3309-1178
4 Profesor titular del curso de Neurocirugía. ORCID: 0000-0002-5317-2004
Conflicto de intereses: sin conflicto de intereses.
CORRESPONDENCIA
Marco Antonio Flores Maya. E-mail: tolmark10@gmail.comRecibido: 03 de Mayo de 2025. Aceptado: 19 de Mayo de 2025
