2026, Número 1
Enfermedad de Pott multirresistente en pediátrico de dos años: reporte de caso
Idioma: Español
Referencias bibliográficas: 14
Paginas: 52-57
Archivo PDF: 1942.08 Kb.
RESUMEN
Este caso clínico describe a un pediátrico de dos años con diagnóstico de Enfermedad de Pott multirresistente que inició con un cuadro clínico inespecífico, el cual progresó a dificultad para la deambulación y una deformidad cifótica en la columna dorsal. Se solicitaron estudios de imagen de columna vertebral donde se observó una fractura patológica de vértebras T12 y L1 y la presencia de un absceso paravertebral de aspecto subdural con contacto de elementos neurales, por lo que se realizó punción del absceso y se solicitó reacción en cadena de polimerasa (PCR) y cultivo de bacilos alcohol-ácido resistentes (BAAR), resultando positivos para Mycobacterium tuberculosis con multirresistencia. Se manejó al inicio con medicamentos antituberculosos, sin embargo, ante la pobre respuesta clínica, se decidió realizar una intervención quirúrgica, obteniendo una evolución favorable a corto plazo, con mejoría del dolor y corrección de la deformidad cifótica, impactando positivamente en la calidad de vida del paciente.INTRODUCCIóN
En 2022, se diagnosticaron 7.5 millones de casos de tuberculosis a nivel mundial, la cifra más alta registrada desde que la Organización Mundial de la Salud (OMS) inició el monitoreo global en 1995. Este número superó el máximo histórico previo de 7.1 millones de 2019, así como los 5.8 millones en 2020 y los 6.4 millones en 2021. En ese año, el 55% de los casos correspondían a hombres, el 33% a mujeres y el 12% a niños de 0 a 14 años.1
La tuberculosis extrapulmonar es más frecuente en niños que en adultos, afectando incluso al 25% de los menores de 4 años. Entre sus presentaciones, la linfadenitis superficial es la más común, seguida de la afectación del sistema nervioso central y del sistema musculoesquelético. Esta última suele comprometer huesos y articulaciones de carga, especialmente los cuerpos vertebrales en las regiones torácica y toracolumbar.2
La espondilodiscitis tuberculosa, o enfermedad de Pott, es una manifestación extrapulmonar de la tuberculosis que se caracteriza por la diseminación hematógena de Mycobacterium tuberculosis hacia la columna vertebral. Fue descrita por primera vez en 1779 por Percivall Pott2 y es la forma más frecuente de tuberculosis esquelética, especialmente en niños.3 Esta condición puede provocar destrucción ósea, deformidad vertebral y complicaciones neurológicas y ortopédicas graves con potencial riesgo de secuelas. La afectación de esta condición bacteriana en niños es un gran reto en el diagnóstico temprano; el inicio rápido del tratamiento antituberculoso es esencial para mejorar el pronóstico funcional en menores de cinco años.4 La tuberculosis espinal puede causar deformidad espinal y presentar secuelas ortopédicas y neurológicas, por lo que el seguimiento especializado es crucial en estos pacientes.5,6
PRESENTACIóN DEL CASO
Se trata de paciente pediátrico masculino de dos años y un mes de edad, producto único de una cuarta gestación a término. Nacido a las 37 semanas de gestación mediante cesárea debido a macrosomía, sin complicaciones neonatales. Sin enfermedades, vacuna BCG aplicada y únicamente faltando la aplicación de la vacuna pentavalente acelular a los 18 meses. Originario de Coahuila, Mexico. Antecedente heredofamiliares: madre sin antecedentes personales patológicos relevantes, padre diagnosticado con diabetes mellitus tipo 2 e hipertensión arterial sistémica, quien presentó un episodio de tuberculosis pulmonar activa tratado con esquema antifímico durante seis meses y finalizado seis meses antes del inicio del cuadro clínico de nuestro paciente.
INICIO Y EVOLUCIÓN DEL PADECIMIENTO
El cuadro clínico inició con síntomas inespecíficos como malestar general, irritabilidad, dolor abdominal y diarrea. Recibió tratamiento sintomático en consulta privada con una mejoría transitoria de sintomatología por una semana con antiinflamatorio no esteroideo y plan de hidratación. Posteriormente inicia recurrencia con dolor abdominal, episodios de evacuaciones diarreicas, agregando dolor axial en columna dorsolumbar, dificultad a la deambulación y aparición de una tumoración palpable dolorosa en región dorsal de aproximadamente 2 × 2 cm a nivel de T12 (Figura 1). Ante esta nueva sintomatología, el paciente fue referido a traumatología.
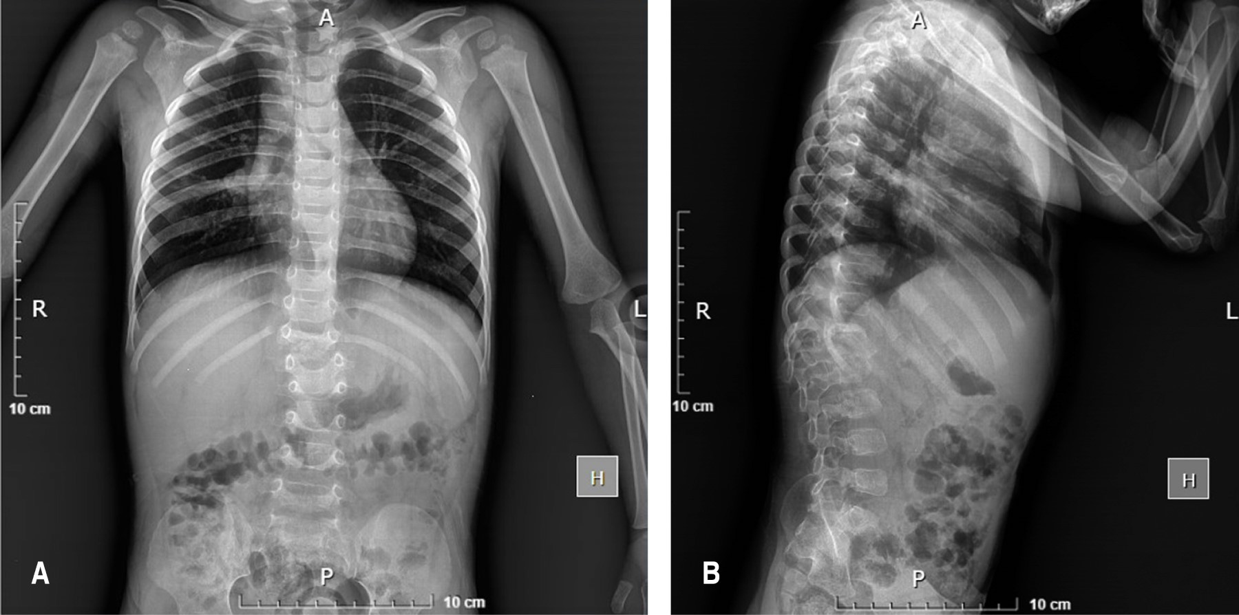
Se reportó una pérdida de peso de 2 kg en un corto periodo de tiempo, lo cual generó preocupación por un proceso infeccioso o inflamatorio subyacente. Se realiza estudio de resonancia magnética nuclear de columna dorsolumbar contrastada (Figura 2), en la cual se muestra síndrome de destrucción vertebral con fractura patológica de las vértebras T12 y L1, erosión en cuerpo vertebral de L1, así como presencia de masa de tejidos blandos hiperintensa con involucro de cuerpo anterior y posterior que formaba una colección (37 × 50 × 47 mm) de aspecto subdural, con contacto de elementos neurales y, al administrar contraste, con realce de la pared con un centro hipointenso. También se solicitó una tomografía axial computarizada de columna dorsolumbar, donde se encontró consolidación pulmonar en la región parahiliar derecha (2.6 × 2.1 cm), junto con adenomegalias cervicales y mediastinales.
En este momento, con la sospecha de síndrome de destrucción vertebral asociado a consolidación pulmonar parahiliar y considerando el antecedente paterno de tuberculosis pulmonar, se decide la punción de la colección paravertebral en T11-L1 en quirófano. Se solicita reacción en cadena de polimerasa (PCR) y cultivo de bacilos alcohol-ácido resistentes (BAAR), resultando positivos para Mycobacterium tuberculosis, con multirresistencia a isoniazida, etambutol y estreptomicina, sensible a rifampicina. Con base en estos hallazgos, se inició tratamiento antifímico (rifampicina 75 mg, isoniazida 50 mg, pirazinamida 150 mg, etambutol 400 mg) en fase intensiva por 12 meses.
Después de un mes de evolución se decide su ingreso hospitalario por deterioro neurológico (dolor intenso, incapacidad para bipedestación y marcha). A la exploración física de miembros superiores se observan miotomos y dermatomas íntegros, reflejos normales; extremidades inferiores sin edema, miotomos 4/5 en la escala de Daniels, escala de Seidel II, dermatomas inferiores 2/2 con control de esfínteres, sin datos de cauda equina, grado 1 (22 puntos) en la escala modificada de Kumar y Kalra. Se abordó en manejo conjunto con el equipo de cirugía de columna y ortopedia pediátrica de la unidad. A su ingreso, se reportó en los laboratorios un aumento en la velocidad de sedimentación globular de 47 mm/h y, en la proteína C reactiva, 0.42 mg/dl, lo cual corroboró un proceso inflamatorio sistémico crónico. Se logró aislar un hemocultivo, el cual resultó positivo para Kocuria kristinae, la cual fue atendida por infectología pediátrica con un veredicto final de contaminación de la toma de muestra, sin relevancia clínica subsecuente.
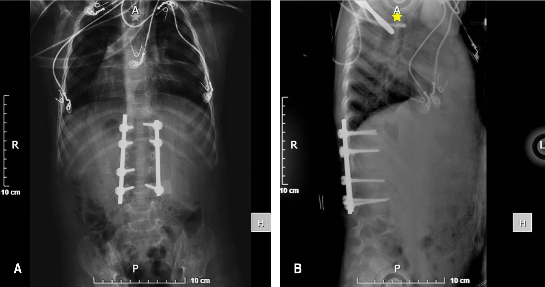
Ante la pobre mejoría clínica con el tratamiento conservador durante dos meses, se realizan rayos X (Figura 3) y resonancia magnética nuclear de control (Figura 4), donde se identificó permanencia del colapso vertebral, compresión de elementos neurales y extensión de la colección hacia la región prevertebral y los músculos iliopsoas bilaterales, con cambios en la intensidad de señal a nivel medular sugestivos de mielopatía en el área afectada. Se realiza intervención quirúrgica mediante instrumentación posterior toracolumbar de T12 a L3, hemilaminectomía izquierda en T12-L1 y drenaje de abscesos con obtención de 3 cc de líquido de aspecto purulento en el espacio T12-L1 y alrededor de 8 cc en la región del psoas derecho (Figura 5 y 6).
El paciente egresó del hospital a las 72 horas postquirúrgicas, cumpliendo con protocolo antimicrobiano y analgésico correspondiente, con adecuado control hemodinámico y seguimiento multidisciplinario por consulta externa con citas periódicas. Cada mes (durante los primeros seis meses) y cada dos meses (durante otros seis meses), con buena evolución: sitio quirúrgico con bordes bien afrontados, sin datos clínicos de infección o dehiscencia, con marcha independiente y no claudicante, miembros pélvicos con fuerza muscular 5/5 y sensibilidad 2/2. En la primer radiografía de control al mes de postquirúrgico se observó corrección de cifosis, material de osteosíntesis sin datos de solicitación ni aflojamiento (Figura 7). Se indicó uso de corset de toracolumbar bivalvado de manera permanente durante al menos 18 horas al día por 12 meses y mantuvo una terapia de tratamiento antifímico bajo supervisión por servicio de infectología pediátrica con buena mejoría clínica. Se plantea retirar la instrumentación en unos años para evitar secuelas en el crecimiento axial.
DISCUSIóN
El diagnóstico de esta patología es difícil y generalmente se asocia a un retraso significativo, ya sea por su naturaleza progresiva e indolente o por su capacidad de imitar otras enfermedades como neoplasias primarias o metastásicas, infecciones bacterianas o micóticas, entre otras.7
La tuberculosis espinal de forma típica se manifiesta con infección de la porción anterior del cuerpo vertebral en la región torácica baja y lumbar superior, con subsecuente destrucción del disco intervertebral. Con frecuencia se observan abscesos paraespinales. En los niños, se ha informado que la afectación del cuerpo vertebral tiene una base más central y el colapso comienza en dirección anterior.8
En una serie de 53 pacientes pediátricos menores de 13 años, Andronikou y su equipo9 mostraron cifosis en 79% de los pacientes. La afectación contigua de dos o más cuerpos vertebrales estuvo presente en 85%, mientras que una masa o absceso de tejido blando intraespinal o paraespinal estuvo presente en 98%. La propagación subligamentosa se identificó en 64% de los casos. No existen guías estandarizadas para el manejo de enfermedad de Pott; sin embargo, varios estudios han demostrado que el 82 a 95 % de los pacientes responden de manera favorable a la terapia con fármacos antituberculosos, por lo que este sigue siendo el tratamiento de elección en la población pediátrica.10 Casi todas las drogas antituberculosas penetran bien en las lesiones tuberculosas vertebrales. Esta respuesta al tratamiento incluye disminución del dolor, mejoría en el déficit neurológico y corrección de la deformidad espinal.11
El drenaje quirúrgico está indicado cuando hay abscesos grandes o complicaciones neurológicas inminentes. La resonancia magnética es útil en la planificación quirúrgica y en el seguimiento de los pacientes después del tratamiento.12 En pacientes con tuberculosis espinal, el objetivo del tratamiento es erradicar la enfermedad, evitar la deformidad y el deterioro neurológico secundario para conservar la función y desarrollo, medidas que permiten la integración al medio lo más pronto posible con las menores secuelas.13
El tratamiento médico quirúrgico es un reto para el equipo multidisciplinario y la quimioterapia múltiple es indispensable. El tratamiento conservador con corsét o inmovilizadores no limita la evolución de la enfermedad; estos no dan la estabilidad necesaria a la columna vertebral.14 Cuando se ven afectados más de dos cuerpos vertebrales, como en el caso presentado, no es posible lograr la adecuada estabilidad mediante el esquema anterior único, por lo que se sugiere agregar una intervención quirúrgica, con el fin de conseguir mayor estabilidad y corregir la deformidad cifótica.9
CONCLUSIONES
Este caso presenta la enfermedad de Pott multirresistente y complicada con absceso subdural en paciente pediátrico de dos años de edad. La complejidad de su diagnóstico, que requiere una alta sospecha clínica y un enfoque detallado con pruebas microbiológicas e imagenológicas para confirmarlo, resalta la necesidad de un equipo multidisciplinario para su manejo. En este caso, a pesar de la poca evidencia bibliográfica sobre la intervención quirúrgica en niños, se decidió la combinación de tratamiento antituberculoso y quirúrgico, permitiendo la estabilización de la columna vertebral, corrección de la deformidad cifótica y una recuperación neurológica satisfactoria, demostrando que la intervención quirúrgica puede ser indispensable en casos de destrucción vertebral significativa asociada a compresión medular en pacientes pediátricos con evolución tórpida ante el manejo conservador.
La enfermedad de Pott continúa siendo un desafío en regiones donde la tuberculosis es endémica. Su sospecha clínica y abordaje temprano son fundamentales para prevenir secuelas a largo plazo en pacientes pediátricos. Este reporte reafirma la importancia de considerar la tuberculosis vertebral como diagnóstico diferencial en casos de dolor axial progresivo y déficit neurológico en niños, así como la necesidad de un tratamiento combinado ante una evolución tórpida y un seguimiento estrecho para asegurar una adecuada recuperación funcional del paciente.
REFERENCIAS (EN ESTE ARTÍCULO)
AFILIACIONES
1 Unidad Médica de Alta Especialidad (UMAE) No. 21 del Instituto Mexicano del Seguro Social, Monterrey, Nuevo León, México.
2 Médico residente de segundo grado de Traumatología y Ortopedia. ORCID: 0009-0008-8742-9200
3 Médico residente de cuarto grado de Traumatología y Ortopedia. ORCID: 0009-0007-4141-1075
4 Médico adscrito al Servicio de Columna. ORCID: 0000-0002-6577-5232
5 Médico adscrito al Servicio de Columna. ORCID: 0009-0005-3828-1172
Conflicto de intereses: ninguno.
CORRESPONDENCIA
Aarón Avilés García. E-mail: aaron_aviles_12@hotmail.comRecibido: 19 de Febrero de 2025. Aceptado: 20 de Marzo de 2025
