medigraphic.com
ENGLISH

Cirujano General

ISSN 2594-1518 (Digital)
ISSN 1405-0099 (Impreso)
  • Mostrar índice
  • Números disponibles
  • Información
    • Información general        
    • Directorio
  • Publicar
    • Instrucciones para autores        
    • Envío de artículos
  • medigraphic.com
    • Inicio
    • Índice de revistas            
    • Registro / Acceso
  • Mi perfil

2025, Número 4

<< Anterior Siguiente >>

Cir Gen 2025; 47 (4)


Absceso retroperitoneal y glúteo secundarios a perforación maligna de colon

Luna-Lugo, Raúl F1,2; Luna-Lugo, Alejandro1,3; Arenas-Valles, Jorge1,4; Deras-Ramos, Dante1,5; Díaz-Rosales, Juan de Dios1,5
Texto completo Cómo citar este artículo 10.35366/122124

DOI

DOI: 10.35366/122124
URL: https://dx.doi.org/10.35366/122124
Artículos similares

Idioma: Español
Referencias bibliográficas: 17
Paginas: 254-259
Archivo PDF: 2378.39 Kb.


PALABRAS CLAVE

absceso, neoplasias colorrectales, drenaje, perforación intestinal.

RESUMEN

Los abscesos son complicaciones raras de la perforación por cáncer colorrectal. Se muestra el caso de un paciente masculino de 48 años con diagnóstico de absceso retroperitoneal y glúteo secundario a una perforación maligna de colon. Para este paciente, el abordaje consistió en drenaje de las colecciones y colostomía derivativa. El retroperitoneo es un espacio con relevancia clínica infravalorada y su relación con el cáncer colorrectal representa un reto con implicaciones quirúrgicas interesantes que incitan al personal de salud a una revisión cuidadosa de las estructuras contiguas de la región, considerando la posible presencia de otras complicaciones como la formación de abscesos asociada a la contaminación por la perforación de este cáncer en etapa avanzada.



INTRODUCCIóN

El cáncer colorrectal ha incrementado su mortalidad en el norte de México, afectando en proporción similar a mujeres (48.2%) y hombres (51.8%).1 La media de edad en el diagnóstico de estos pacientes es de 50 años, con una tendencia creciente en la detección de casos en gente más joven.2

La mayoría de los pacientes con cáncer colorrectal no muestran síntomas de alarma en sus estadios tempranos, sin embargo, el paciente con cáncer avanzado puede presentar complicaciones hasta en el 27% de los casos. Entre las complicaciones ocurren: abdomen agudo, obstrucción intestinal, perforación3 y sangrado.4 La perforación por cáncer colorrectal ocurre en menos del 10% y puede afectar la cavidad peritoneal,5 la pared abdominal6 y el retroperitoneo.

El retroperitoneo es una región (más que un espacio) detrás del peritoneo y frente a la fascia transversalis en la pared posterior del torso. Está limitado en la parte superior por el diafragma, detrás por la columna vertebral y región muscular (iliopsoas), en la parte inferior por los elevadores del ano. Esta región tiene potencial comunicación tanto con el peritoneo como con el espacio pélvico.7

Las infecciones y los abscesos retroperitoneales suelen originarse de un órgano que está dentro o colindando con él, siendo el colon uno de los principales sospechosos. Las causas más comunes de perforación colónica hacia el retroperitoneo son la enfermedad diverticular complicada y el cáncer de colon avanzado.8

El cuadro clínico de los abscesos retroperitoneales se caracteriza por fiebre y dolor lumbar o en flancos que puede irradiar a la extremidad inferior ipsilateral, se puede acompañar de anorexia, pérdida de peso, náusea y vómito. Los abscesos se pueden extender hacia la pelvis (causando dolor y dificultando la deambulación) y muslos (presentando signo de psoas positivo).9

La infección y el absceso pueden causar fascitis necrosante. Es necesario un abordaje quirúrgico temprano para evitar esta complicación, cuya tasa de letalidad fluctúa entre el 20 al 40%. Hoy en día, hay una presencia insuficiente de informes publicados de fascitis que sean secundarios al cáncer de colon.10



PRESENTACIóN DEL CASO

Paciente masculino de 48 años, que inicia con estreñimiento desde hace nueve meses (sensación de evacuación incompleta, con frecuencia de hasta una vez por semana), dolor abdominal insidioso y mal definido, cuadros de rectorragia ocasional y dolor a la defecación. Acude a urgencias por presentar, desde hace dos semanas, malestar general, fiebre, dificultad en la marcha y dolor intenso en la extremidad pélvica izquierda con aumento del perímetro de la misma. En la exploración, el abdomen no mostró datos a considerar, el tacto rectal fue imposibilitado por el dolor de la región y un ano con estenosis.

En los laboratorios, se encontró leucocitosis de 21,870 cel/mm3, neutrofilia de 91.8% (20,080 cel/mm3), hemoglobina de 12.5 g/dl, plaquetas de 361,000 cel/mm3, bilirrubina total 2.0 g/dl, bilirrubina directa 1.1 g/dl, fosfatasa alcalina 145 u/L, gamma-glutamil transferasa 115 u/L y el resto de los laboratorios normales.

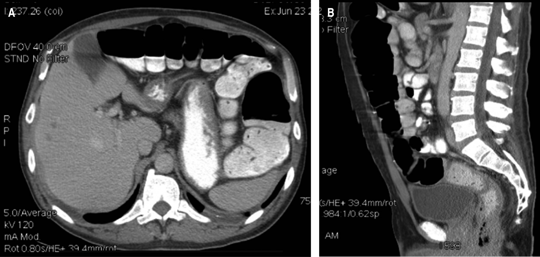
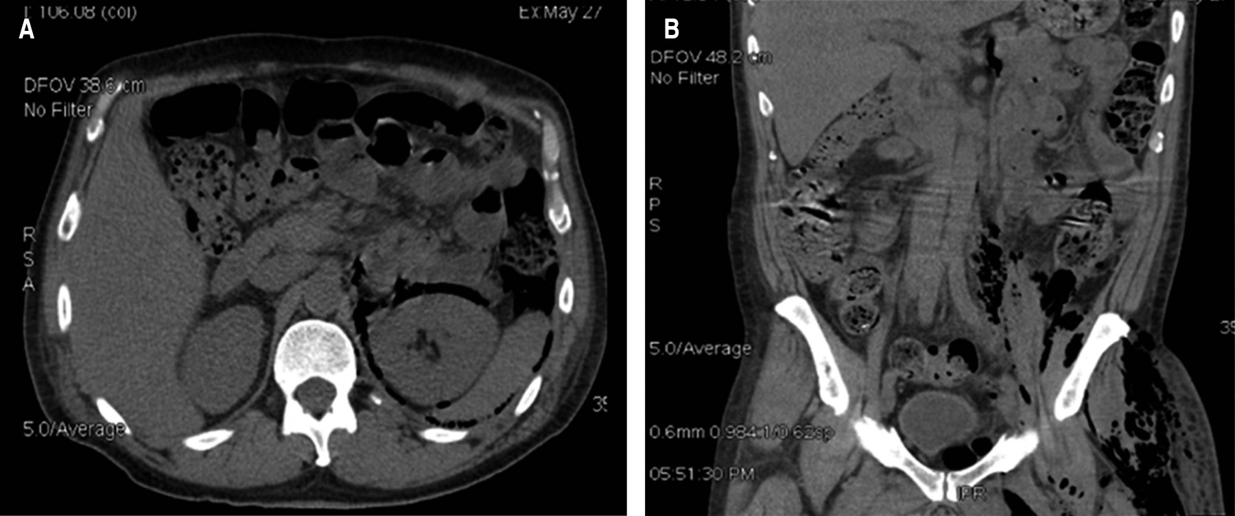
La tomografía mostró un absceso retroperitoneal en el lado izquierdo que diseca hasta la región glútea y muslo ipsilateral, así como un engrosamiento de la pared del recto, también se evidenció la presencia de lesiones hipodensas en el parénquima hepático compatibles con metástasis tumorales (Figuras 1 y 2).

Se le realizó una colonoscopia, donde se encontró una lesión a 5 cm del margen anal, circunferencial y estenosante que ocluye el 80% del lumen rectal, se tomaron biopsias (ocho en total) (Figura 3) que reportaron adenocarcinoma invasor moderadamente diferenciado (Figuras 4 y 5). Se solicitaron marcadores tumorales: antígeno carcinoembrionario (ACE) de 22.7 ng/ml (normal 0.00-5.00 ng/dl) y CA 19-9 de 327.49 (normal 0.00-37.0 U/ml).

Se le administró tratamiento antibiótico intravenoso con ceftriaxona 1 g cada 12 horas y metronidazol 500 mg cada ocho horas. El paciente fue sometido a un drenaje del retroperitoneo mediante una incisión de Gibson modificada, drenando 2,200 ml de material purulento, se dejó un drenaje de succión (19 Fr) que se utilizó para irrigar y drenar continuamente hasta que el gasto era de 50 ml de tipo seroso. Al mismo tiempo, se realizó el drenaje del miembro pélvico izquierdo mediante una fasciotomía en la cara lateral del muslo y el glúteo ipsilateral, drenando 400 ml, dejando cerrar por segunda intención. Se le realizó una colostomía derivativa (en asa) del colon transverso, para evitar el aumento de presión y paso de material fecal por el sitio de la perforación y el tumor.

El paciente evolucionó de manera satisfactoria, disminuyendo su respuesta inflamatoria sistémica, sin datos de falla orgánica y con escaso gasto por drenajes. En el seguimiento a los seis meses de su tratamiento inicial, el paciente continúa con mejoría y en tratamiento por oncología médica y para el manejo con quimioterapia y radioterapia correspondiente.



DISCUSIóN

El retroperitoneo es un espacio al que se le otorga poca importancia en la práctica diaria y pensamos en esta región hasta que nos enfrentamos a patologías que lo afectan. Las perforaciones colónicas causantes de abscesos en el retroperitoneo se deben principalmente a enfermedad diverticular complicada y cáncer colorrectal avanzado (T4), cuya incidencia se estima entre el 0.3 a 0.4%.8

La presentación clínica en la perforación del cáncer colorrectal es típicamente una peritonitis purulenta o fecal, cuyo diagnóstico diferencial será la enfermedad diverticular Hinchey III o IV.4 Sin embargo, debemos tener en mente que los abscesos retroperitoneales son una variante en la evolución del cáncer colorrectal, con el inconveniente de que no causan abdomen agudo, lo que retrasa el diagnóstico. Los tumores colónicos pueden perforarse directamente (debido a la necrosis del tejido neoplásico) o causar perforación proximal al tumor (al ocasionar un efecto de válvula o síndrome de asa cerrada).5 La perforación directa del tumor es la más frecuente (65% de los casos), mientras que la perforación proximal al tumor ocurre en el 35% de los casos.11 Las áreas que pueden ocasionar este cuadro son aquellas que están fijas al peritoneo como: el ciego,12 el colon ascendente y descendente y el recto. Las áreas móviles (colon transverso y sigmoides) pueden causar abscesos hacia la pared abdominal;6 sin embargo, existen otras entidades capaces de causar el mismo cuadro como la carcinomatosis peritoneal obstructiva.13

Las perforaciones colónicas hacia el retroperitoneo tienen una presentación variada e inusual, por lo que el diagnóstico podrá ser complejo. El enfisema subcutáneo con el neumomediastino y la formación de abscesos en la región lumbar y músculo psoas son signos que, aunque no son patognomónicos, son muy sugerentes de esta condición.13 Esta colección purulenta puede comunicar hacia la fascia perineal e incluso hasta las extremidades inferiores, glútea14 e incluso drenar hacia la región inguinal.15 La forma de comunicación en el retroperitoneo sucede cuando el líquido purulento se acumula, la gravedad lo conduce al músculo lacunar a través de la fascia del psoas, detrás del ligamento inguinal hacia el triángulo de Scarpa, conectando al conducto femoral a través del orificio obturador o los orificios ciáticos.16 Con lo anterior, se explica la relación entre los abscesos retroperitoneales y su extensión a los compartimentos profundos del muslo y la región glútea a través del anillo crural.17

Cuando identificamos gas en el retroperitoneo, éste tiene dos orígenes, el primero es la comunión directa (colon-retroperitoneo) que origina que el gas colónico cause disección en el retroperitoneo, y la segunda es la formación del gas por bacterias (aerobias y anaerobias) que ocasionan la fascitis en la región.10

La tomografía axial computarizada (TAC) es el estudio de elección en el diagnóstico y etapificación de esta complicación infecciosa-neoplásica, con una sensibilidad del 95%, aunque a veces no es posible identificarla hasta la intervención quirúrgica.13 La TAC puede mostrar neumatosis colónica hasta en el 16% de los pacientes, y puede ser un signo de inminente perforación.5 Se pueden observar colecciones con densidad de líquido, aire libre retroperitoneal, cambios en la grasa pericólica y engrosamiento de la pared colónica, sin embargo, estos cambios también pueden producir enfermedades benignas, por lo que el diagnóstico prequirúrgico es difícil.5

La presentación complicada del cáncer colorrectal hace complejo el abordaje y tratamiento. En pacientes con procesos infecciosos secundarios a neoplasia, se deberán evaluar cuidadosamente. La capacidad de curación depende de las acciones realizadas en el paciente al momento de la presentación. El proceso infeccioso es prioridad, por lo que el drenaje y la colostomía derivativa fueron la mejor opción del paciente. Posteriormente, la etapificación y tratamiento médico oncológico mejorarán su pronóstico.

Intentar un manejo en un solo tiempo –drenando y resecando simultáneamente el tejido neoplásico– implica un riesgo elevado y una menor probabilidad de éxito.11 No obstante, el control adecuado de la infección es fundamental y tendrá un impacto directo en el pronóstico del tratamiento subsecuente.



CONCLUSIONES

El retroperitoneo es un espacio con relevancia clínica infravalorada y su relación con el cáncer colorrectal representa un reto con implicaciones quirúrgicas interesantes que incitan al personal de salud a una revisión cuidadosa de las estructuras contiguas en la perforación colónica maligna. Asimismo, se debe considerar la posible presencia de otras complicaciones como la formación de abscesos asociada a la contaminación por invasión de un tumor en estadio avanzado.


REFERENCIAS (EN ESTE ARTÍCULO)

  1. Espinosa-Tamez P, Suazo-Zepeda E, Sánchez-Blas H, Meneses-Medina M, Huitzil-Meléndez FD, Van Loon K, et al. National and state-level colorectal cancer mortality trends in Mexico, 1998-2018. Salud Publica Mex. 2021; 64: 5-13.

  2. Torrecillas-Torres L, Cervantes-Sánchez G, Cárdenas E, Martínez B, Reyes-Pérez JA, Sánchez IC, et al. Recomendaciones para diagnóstico y tratamiento del cáncer de colon y recto en México. Gac Mex Oncol. 2019; 18: 265-327.

  3. Beristain-Hernández JL, Quintero-Sada BE. Sarcoma fibromixoide primario de colon transverso metastasico perforado. Rev Med Inst Mex Seguro Soc. 2021; 59: 579-584.

  4. Marcote E, Segarra M, Manzanet G, Pellicer V, Torner A, Canales M, et al. Perforaciones colónicas. Factores pronósticos. Cir Esp. 2000; 68: 39-43.

  5. Paramythiotis D, Karakatsanis A, Moysidis M, Pagkou D, Bangeas P, Michalopoulos A. Retroperitoneal cecal perforation resulting from obstructive ascending colon adenocarcinoma. Case Rep Surg. 2020; 2020: 9371071.

  6. Morales-Polanco S, Díaz-Rosales JD, Arenas-Valles J. Absceso de pared abdominal por tumor maligno de colon transverso. Arch Med. 2017; 17: 192-197.

  7. Tirkes T, Sandrasegaran K, Patel AA, Hollar MA, Tejada JG, Tann M, et al. Peritoneal and retroperitoneal anatomy and its relevance for cross sectional imaging. RadioGraphics. 2012; 32: 437-451.

  8. Ruscelli P, Renzi C, Polistena A, Sanguinetti A, Avenia N, Popivanov G, et al. Clinical signs of retroperitoneal abscess from colonic perforation: two case reports and literature review. Medicine (Baltimore). 2018; 97: e13176.

  9. Ávila-Camacho PK, Ríos-Cruz D, Bañon-Reynaud A, Jíménez-Ocampo J, Nava-Jiménez E, Rodíguez-Abarca D. Absceso del músculo psoas derecho. Reporte de un caso de difícil diagnóstico. Cir Gen. 2019; 41: 39-41.

  10. Takakura Y, Ikeda S, Yoshimitsu M, Hinoi T, Sumitani D, Takeda H, et al. Retroperitoneal abscess complicated with necrotizing fasciitis of the thigh in a patient with sigmoid colon cancer. World J Surg Oncol. 2009; 7: 74.

  11. Kreiser E, Biondo S, Martí-Ragué J. La cirugía en el cáncer de colon complicado. Cir Esp. 2006; 80: 9-15.

  12. Heidelberg LS, Pettke EN, Wagner T, Angotti L. An atypical case of necrotizing fasciitis secondary to perforated cecal cancer. J Sur Case Rep. 2020; 2020: rjaa371.

  13. Pérez-Romero JL, Salazar-García P, Pérez-Romero MT, Belmonte MA. Absceso de psoas. Rev Clin Med Fam. 2011; 4: 76-78.

  14. Moya-Ruiz A, Miras-Lucas L, Serrano-Carrillo de Albornoz JL, González-Olid MD. Absceso glúteo recidivante: una presentación atípica de la neoplasia de colon. RAPD Online. 2021; 44: 18-21.

  15. Medina-Velasco AA, Gremio-del Rey I, Plaza-Llamas R, Arteaga-Peralta V, Ramia JM. Absceso inguinal como presentación de la neoplasia de colon derecho. Revisión sistemática de la literatura. Rev Esp Enferm Dig. 2020; 112:139-143.

  16. Selcuk I, Ersak B, Tatar ?, Güngor T, Huri E. Basic clinical retroperitoneal anatomy for pelvic surgeons. Turk J Obstet Gynecol. 2018; 15: 259-269.

  17. Pandini RV, Seid VE, Gerbasi LS, Figuereiredo MN, Portilho AS, Marcelino M, et al. Giant retroperitoneal abscess with left lower limb extension from perforated colon cancer. Tech Coloproctol. 2021; 25: 603-605.



AFILIACIONES

1 Hospital General de Ciudad Juárez. Ciudad Juárez, Chihuahua, México.

2 Residente de cuarto año de la Especialidad de Cirugía General.

3 Residente de segundo año de la Especialidad de Cirugía General.

4 Anatomopatólogo.

5 Endoscopia Gastrointestinal. Programa de Postgrado de la Universidad Autónoma de Ciudad Juárez. Ciudad Juárez, Chihuahua.



CORRESPONDENCIA

Raúl F. Luna-Lugo. E-mail: raulluna09@hotmail.com




Recibido: 06/02/2023. Aceptado: 27/11/2025

Figura 1
Figura 2
Figura 3
Figura 4
Figura 5

2020     |     www.medigraphic.com

Mi perfil

C?MO CITAR (Vancouver)

Cir Gen. 2025;47

ARTíCULOS SIMILARES

CARGANDO ...