medigraphic.com
ENGLISH

Cirujano General

ISSN 2594-1518 (Digital)
ISSN 1405-0099 (Impreso)
  • Mostrar índice
  • Números disponibles
  • Información
    • Información general        
    • Directorio
  • Publicar
    • Instrucciones para autores        
    • Envío de artículos
  • medigraphic.com
    • Inicio
    • Índice de revistas            
    • Registro / Acceso
  • Mi perfil

2025, Número 4

<< Anterior Siguiente >>

Cir Gen 2025; 47 (4)


Neoplasia mucinosa apendicular: revisión y actualización en el abordaje

Guzmán-Valdivia-Gómez, Gilberto1; Montalvo-Febres, Manuel Enrique2; Beltrán-Castro, Damaris Renata3; Montalvo-Melgarejo, Manuel Pedro4
Texto completo Cómo citar este artículo 10.35366/122125

DOI

DOI: 10.35366/122125
URL: https://dx.doi.org/10.35366/122125
Artículos similares

Idioma: Español
Referencias bibliográficas: 15
Paginas: 260-265
Archivo PDF: 1311.95 Kb.


PALABRAS CLAVE

mucocele apendicular, apéndice cecal, apendicectomía, neoplasia mucinosa, pseudomixoma.

RESUMEN

Introducción: el mucocele apendicular es una entidad patológica rara, caracterizada por la dilatación quística del apéndice vermiforme debido a la acumulación de moco acelular. Su incidencia es baja, reportándose sólo en 0.2 a 0.7% de las apendicectomías. Dada su infrecuencia y el riesgo de una complicación grave –como el pseudomixoma peritoneal–, su diagnóstico y manejo adecuados son cruciales. Caso clínico: se presenta el caso de un hombre de 35 años que fue diagnosticado con un mucocele apendicular de manera incidental. El paciente estaba siendo evaluado por una condición no relacionada: colelitiasis, y el mucocele fue hallado durante la evaluación diagnóstica para esta afección. A pesar del hallazgo, el mucocele era asintomático. Resultados: el manejo quirúrgico consistió en una colecistectomía laparoscópica para tratar la colelitiasis, realizada de forma sincrónica con una apendicectomía abierta para extirpar el mucocele apendicular. Conclusiones: el mucocele apendicular es un hallazgo poco común que requiere un alto índice de sospecha, especialmente cuando se diagnostica de forma incidental. El manejo debe ser quirúrgico, priorizando la extracción completa del apéndice sin rotura para minimizar el riesgo de pseudomixoma peritoneal. La concurrencia con otra patología abdominal, como la colelitiasis en este caso, resalta la importancia de la evaluación integral del paciente.



INTRODUCCIóN

La neoplasia mucinosa apendicular, anteriormente conocida como mucocele apendicular, se caracteriza por una dilatación quística de la luz apendicular debido a la acumulación de moco. Fue descrita inicialmente por Rokitansky en 1842.1 Esta entidad infrecuente se caracteriza por la acumulación de moco y presenta una incidencia que oscila entre el 0.2 y 0.7% de las apendicectomías y del 8 al 10% de los tumores apendiculares.2,3 El diagnóstico preoperatorio plantea un desafío significativo debido a su presentación clínica a menudo inespecífica, que puede variar desde dolor abdominal bajo, náuseas y sangrado digestivo, hasta simular un cuadro de apendicitis aguda.4

La tomografía computarizada (TC) se destaca como una herramienta diagnóstica crucial, capaz de revelar características sugestivas de mucocele apendicular, complementando la información proporcionada por la ecografía.2,5,6 El tratamiento primario es la resección quirúrgica, siendo la apendicectomía el procedimiento más común. La rotura del apéndice puede resultar en pseudomixoma peritoneal, una condición caracterizada por la acumulación progresiva de moco en la cavidad peritoneal, originada por la diseminación de células productoras de moco, tanto benignas como malignas, lo que puede comprometer la función de órganos abdominales.7 El análisis histopatológico postoperatorio es imprescindible para la clasificación de la neoplasia mucinosa apendicular, diferenciando entre lesiones benignas y malignas.2,3



PRESENTACIóN DEL CASO

Paciente masculino de 35 años, sin antecedentes patológicos relevantes, consulta por dolor abdominal compatible con cólico vesicular de 48 horas de evolución. Se realiza ultrasonido abdominal, que confirma colelitiasis sin signos de colecistitis aguda. Como hallazgo incidental, se identifica una lesión quística bien definida en región retrocecal de 15 × 4.8 × 4 cm, sin signos de inflamación, con morfología compatible con mucocele apendicular. Se complementa el estudio con una TC abdominal, que revela apéndice retrocecal tubular, sobredistendido, con contenido hipodenso homogéneo y sin realce con contraste; diámetro apendicular de 10 × 5.6 cm, volumen de 183 ml y presencia de calcificaciones laminares en extremo distal del apéndice. No se evidencian lesiones nodulares, realce anormal o discontinuidad en la pared apendicular. La grasa periapendicular muestra densidad conservada, sin invasión a estructuras adyacentes ni adenopatías (Figura 1).

El tratamiento quirúrgico se inicia con una colecistectomía laparoscópica sin complicaciones. Durante la exploración de la cavidad abdominal, se evidencia un apéndice de aspecto patológico y gran tamaño, lo cual indica la necesidad de reconvertir a cirugía abierta para minimizar el riesgo de rotura. Se procede a realizar apendicectomía mediante incisión media infraumbilical (Figura 2). La evolución postoperatoria fue satisfactoria.

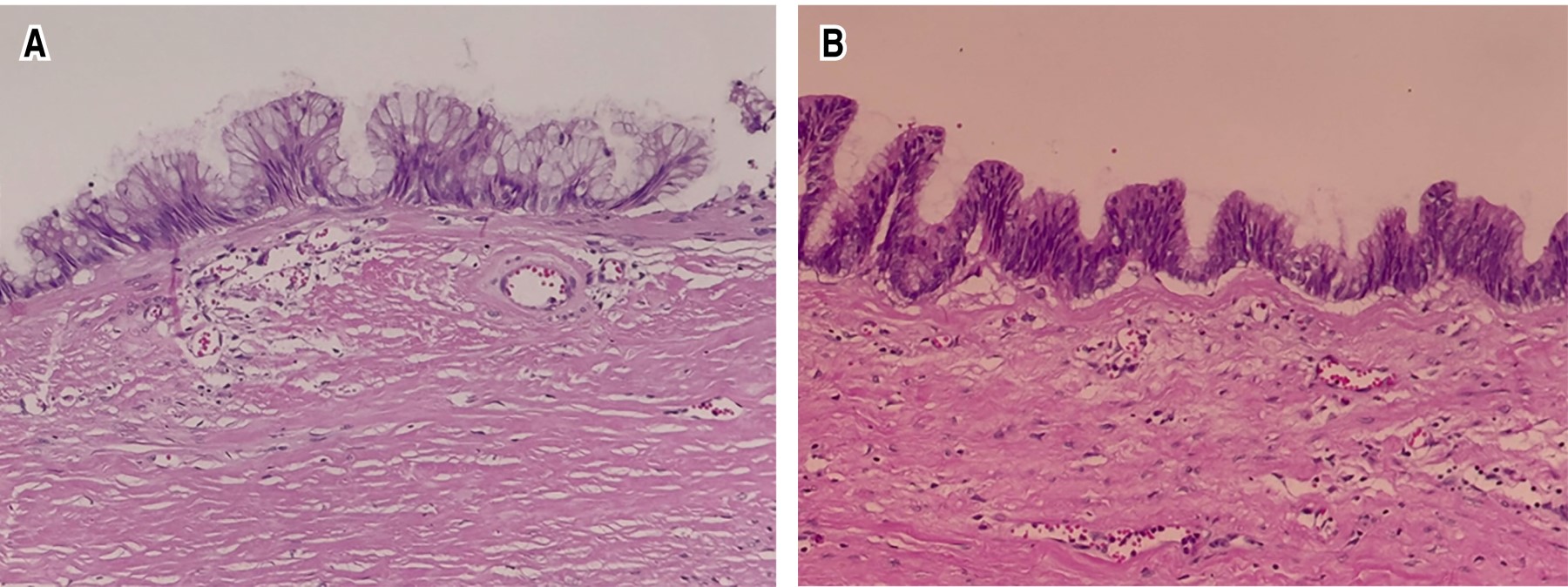
El estudio histopatológico definitivo reporta: neoplasia mucinosa apendicular de bajo grado, con márgenes quirúrgicos negativos para lesión neoplásica (Figura 3).

Consideraciones y responsabilidad ética: el paciente atendido autorizó la publicación de su caso y de las fotografías de sus imágenes de la TC e intervención quirúrgica.



DISCUSIóN

El mucocele apendicular es una patología caracterizada por la dilatación del lumen del apéndice secundaria a la obstrucción ocasionada por una gran cantidad de moco.

En la actualidad, el término mucocele está en desuso y se prefiere el término de neoplasias mucinosas apendiculares. La clasificación de la Organización Mundial de la Salud de 2019 estratifica estas lesiones en pólipos serrados, pólipos hiperplásicos, neoplasias mucinosas apendiculares de bajo grado y neoplasias mucinosas apendiculares de alto grado. Estas dos últimas corresponden a los antiguos cistoadenomas y adenocarcinomas mucinosos. La octava edición del Comité Americano Conjunto sobre el Cáncer (AJCC 8th Ed.) refina esta clasificación al introducir el concepto de neoplasia mucinosa apendicular de alto grado para lesiones con atipia citológica de alto grado pero sin invasión infiltrativa.8 Alternativamente, la clasificación de Pai y Longacre,9 los llama tumores mucinosos apendiculares y se dividen en cistoadenoma mucinoso, neoplasia mucinosa de potencial incierto maligno, neoplasia mucinosa de bajo potencial maligno y adenocarcinoma mucinoso.

Es crucial reconocer el potencial maligno de las neoplasias mucinosas apendiculares. Un estudio de Nutu y colaboradores,10 que analizó 72 tumores mucinosos apendiculares reveló que el 22.2% correspondían a adenocarcinomas y el 26% a neoplasias de bajo potencial maligno.

Estas neoplasias son conocidas por su variabilidad en la presentación de síntomas, hasta el 50% de los casos son asintomáticos, siendo su hallazgo incidental. El síntoma más frecuentemente reportado es el dolor abdominal, que puede manifestarse desde molestias leves hasta dolor agudo. Menos comunes son los cambios en los hábitos intestinales, el sangrado transrectal, síntomas urinarios y masa palpable.2-4,10

El diagnóstico preoperatorio de la neoplasia mucinosa apendicular presenta un reto significativo debido a su sintomatología a menudo inespecífica, lo que resulta en su descubrimiento incidental, ya sea mediante estudios de imagen o durante intervenciones quirúrgicas abdominales. Para una caracterización detallada de la lesión, incluyendo su tamaño, características y extensión, así como la planificación de una estrategia quirúrgica óptima, tanto la ecografía como la TC juegan roles fundamentales.

La ecografía abdominal puede revelar una masa quística bien definida, a veces con una apariencia de capas concéntricas, similar a una "cebolla", y la ecogenicidad de la lesión varía según la composición del contenido mucoso y las características de la pared del mucocele.

La TC se destaca por su alta sensibilidad y especificidad, ofreciendo imágenes que pueden mostrar una masa quística con precisión. Además, es capaz de detectar calcificaciones murales, septos internos y realce de la pared apendicular. Crucialmente, la TC proporciona información valiosa sobre posibles complicaciones, como la rotura de la neoplasia y la presencia de pseudomixoma peritoneal, manifestado por la acumulación de moco libre, ya sea localizado o diseminado en la cavidad abdominal.5,11

La identificación de signos de malignidad es crucial para una planificación quirúrgica óptima. En la evaluación preoperatoria mediante TC, en las neoplasias apendiculares malignas (cistoadenocarcinoma) se puede observar engrosamiento irregular o nodular de la pared de la neoplasia, lo que puede ser un signo de invasión tumoral, penetración a estructuras adyacentes o presencia de adenopatías. Aunque las calcificaciones son comunes en estas lesiones, las calcificaciones irregulares o en forma de "cáscara de huevo" pueden ser más sugestivas de malignidad y la diseminación de material mucinoso en la cavidad peritoneal, especialmente si es extensa o con implantes, aumenta la sospecha de un tumor mucinoso maligno.5,11

La relación entre el tamaño del mucocele apendicular y la malignidad es objeto de debate. Algunos estudios, como el de Cordero-Ruiz y colegas,12 sugieren que los mucoceles mayores de 6 cm presentan un mayor riesgo de malignidad; mientras que otros, como el de Stocchi y su equipo,13 no han encontrado una asociación significativa entre ambas variables.

Respecto a la utilidad de los marcadores tumorales CEA, CA 19-9 y CA 125, su papel en el diagnóstico y seguimiento de esta neoplasia es también controvertido, debido a su variada sensibilidad y especificidad. Carmignani y colaboradores14 demostraron que aproximadamente el 40% de los pacientes con adenocarcinoma mucinoso pueden presentar niveles normales de antígeno carcinoembrionario y el 26% niveles normales de CA 19-9, lo que limita su valor diagnóstico. No obstante, en pacientes con neoplasia mucinosa maligna (adenocarcinoma mucinoso) confirmada, estos marcadores son útiles para el seguimiento postquirúrgico, ya que su elevación puede indicar recurrencia o metástasis.14

El tratamiento de las lesiones mucinosas apendiculares neoplásicas es quirúrgico por dos razones: su posible malignidad y la posibilidad de rotura en el 5 a 15% de los casos, con riesgo de diseminación y progresión a pseudomixoma peritoneal.3,4,9,15 Por mucho tiempo, se ha mencionado que la extensión de la cirugía depende del tamaño y la histología del mucocele, apendicectomía para lesiones benignas, apendicectomía con cecectomía o ileocequectomía cuando la lesión invade el ciego y hemicolectomía en caso de sospecha de malignidad en el transoperatorio o cuando el resultado histopatológico es de adenocarcinoma y existen ganglios linfáticos comprometidos.2,3,4,14 AlMasri y su grupo,15 en su estudio de 320 pacientes con carcinoma apendicular, utilizando la Base de Datos Nacional del Cáncer en EEUU, demuestra que la apendicectomía se asocia con una supervivencia equivalente a la hemicolectomía derecha en el caso del adenocarcinoma T1 bien diferenciado, mientras que en el caso de la enfermedad moderada o pobremente diferenciada, la hemicolectomía derecha es oncológicamente superior a la apendicectomía.

La elección del abordaje quirúrgico, ya sea laparoscópico o abierto, se determina considerando el tamaño de la neoplasia y la sospecha de malignidad. El objetivo es minimizar el riesgo de rotura y diseminación de moco, y asegurar una resección oncológica adecuada. Aunque no existen estudios comparativos directos, el abordaje laparoscópico puede ser una opción viable en pacientes seleccionados sin evidencia de rotura o diseminación, siempre y cuando se considere la experiencia del cirujano y las condiciones clínicas del paciente.15 Durante la intervención, se recomienda colocar compresas en la vecindad de la región apendicular. Esta medida preventiva puede ayudar a contener cualquier derrame de moco en caso de rotura, disminuyendo así el riesgo de diseminación peritoneal y la consiguiente formación de pseudomixoma peritoneal.

La utilidad del estudio histológico transoperatorio en el manejo del mucocele apendicular es controversial y escasamente referida en la literatura. Dado que la histología puede influir significativamente en la decisión quirúrgica, en particular en los casos de sospecha de malignidad, su implementación debe evaluarse de manera crítica. La posible falta de resultados concluyentes, inherente a las limitaciones del estudio transoperatorio, podría retrasar el diagnóstico definitivo y la instauración del tratamiento más adecuado.

Según la revisión de Matías-García,3 hasta el 30% de los casos de mucocele apendicular se asocian con otros tumores, incluyendo neoplasias de colon, ovario, endometrio, mama, riñón e hígado. Este hallazgo subraya la importancia de realizar estudios de detección, principalmente colonoscopia, los cuales pueden llevarse a cabo tanto en el preoperatorio como en el postoperatorio.

El pronóstico de las neoplasias mucinosas apendiculares varía significativamente dependiendo de su histología y la presencia de diseminación. En las formas benignas, la progresión a diseminación peritoneal es relativamente baja, ocurriendo en aproximadamente el 2% de los casos. Sin embargo, los adenocarcinomas mucinosos presentan un riesgo sustancialmente mayor, con hasta un 23% de progresión a diseminación peritoneal.1



CONCLUSIONES

El mucocele apendicular es un hallazgo poco frecuente que a menudo se diagnostica de manera incidental. Esta infrecuencia exige un alto índice de sospecha durante la evaluación de cualquier patología abdominal.

El manejo definitivo es quirúrgico. La prioridad absoluta es la extracción completa y segura del apéndice, evitando la rotura del mucocele. Esta técnica es fundamental para minimizar el riesgo de desarrollar pseudomixoma peritoneal, una complicación oncológica grave.

Finalmente, este caso subraya la importancia de la evaluación integral del paciente y la posibilidad de patología abdominal sincrónica, como se observó con la colelitiasis concomitante.


REFERENCIAS (EN ESTE ARTÍCULO)

  1. Rokitansky CF. A manual of pathological anatomy, vol. 2. Philadelphia, PA: Lea & Blanchard; 1855. Available in: https://archive.org/details/manualofpatholog34rokirich/manualofpatholog34rokirich/?utm_medium=email&utm_source=transaction

  2. García LA, Vázquez TA, Castro GC, Richart AJ, Gómez AS, Martínez AM. Mucocele apendicular: presentación de 31 casos. Cir Esp. 2010; 87: 108-112.

  3. Matias-García B, Mendoza-Moreno F, Blasco-Martínez A, Busteros-Moraza JI, Diez-Alonso M, Garcia-Moreno Nisa F. A retrospective analysis and literature review of neoplastic appendiceal mucinous lesions. BMC Surg. 2021; 21: 79. doi: 10.1186/s12893-021-01091-9.

  4. Farrar A, Blanco P, Fabbrini A, Armstrong L, Metts J, Monforte H, et al. Appendiceal mucinous neoplasm in adolescence: diagnosis, management, and surveillance. JPGN Rep. 2023; 5: 66-69.

  5. Blanc TE. Ecografía y TC del mucocele apendicular: hallazgos que sugieren etiología maligna. Radiología. 2003; 45: 79-84.

  6. Jiménez MC, Ramírez PCP, Valle CM, Santoyo SJ. Mucocele apendicular gigante: Implicaciones diagnósticas y terapéuticas. Rev Esp Enferm Dig. 2009; 101: 447-449. Disponible en: http://scielo.isciii.es/scielo.php?script=sci_arttext&pid=S1130-01082009000600018&lng=es

  7. González BL, Martín RL, Lominchar PL. Appendiceal mucinous neoplasms: from clinic to pathology and prognosis. Cancers. 2023; 15: 3426.

  8. Rymer B, Forsythe RO, Husada G. Mucocoele and mucinous tumours of the appendix: a review of the literature. Int J Surg. 2015; 18: 132-135. Available in: https://doi.org/10.1016/j.ijsu.2015.04.052

  9. Pai RK, Longacre TA. Appendiceal mucinous tumors and pseudomyxoma peritonei: histologic features, diagnostic problems, and proposed classification. Adv Anat Pathol. 2005; 12: 291-311. Available in: https://doi.org/10.1097/01.pap.0000194625.05137.51

  10. Nutu OA, Marcacuzco QAA, Manrique MA, Justo AI, Calvo PJ, García-Conde M, et al. Tumores mucinosos del apéndice: incidencia, diagnóstico y tratamiento quirúrgico. Cir Esp. 2017; 95: 321-327. Available in: https://doi:10.1016/J.CIRESP.2017.05.008

  11. Wang H, Chen YQ, Wei R, Wang QB, Song B, Wang CY, et al. Appendiceal mucocele: A diagnostic dilemma in differentiating malignant from benign lesions with CT. AJR Am J Roentgenol. 2013; 201: W590-5. Available in: https://doi.org/10.2214/AJR.12.9260

  12. Cordero-Ruiz P, Romero-Vázquez J, Pellicer-Bautista F, Herrerías-Gutiérrez JM. Appendiceal mucocele in a young patient--does size matter? Endoscopy. 2011; 43: E243. Available in: https://doi.org/10.1055/s-0030-1256527

  13. Stocchi L, Wolff BG, Larson DR, Harrington JR. Surgical treatment of appendiceal mucocele. Arch Surg. 2003; 138: 585-590. Available in: https://doi.org/10.1001/archsurg.138.6.585

  14. Carmignani CP, Hampton R, Sugarbaker CE, Chang D, Sugarbaker PH. Utility of CEA and CA 19-9 tumor markers in diagnosis and prognostic assessment of mucinous epithelial cancers of the appendix. J Surg Oncol. 2004; 87: 162-166. Available in: https://doi.org/10.1002/jso.20107

  15. AlMasri SS, Hammad AY, Singhi AD, Paniccia A, Zureikat AH, Celebrezze JP Jr, et al. Appendectomy is oncologically equivalent to right hemicolectomy for well-differentiated T1 appendiceal adenocarcinoma. Dis Colon Rectum. 2023; 66: 67-74. https://doi.org/10.1097/DCR.0000000000002089



AFILIACIONES

1 Facultad Mexicana de Medicina. Vicerrectoría de Investigación de la Universidad La Salle, México. ORCID: 0000-0003-2317-3054

2 Facultad de Ciencias de la Salud. Universidad Anáhuac del Sur. Ciudad de México, México. ORCID: 0009-0007-9188-5324

3 Facultad de Ciencias de la Salud. Universidad Anáhuac del Sur. Ciudad de México, México. ORCID: 0009-0003-8980-9278

4 Cirujano general. Práctica privada. Ciudad de México, México. ORCID: 0009-0003-8885-7120



CORRESPONDENCIA

Dr. Gilberto Guzmán-Valdivia-Gómez. E-mail: gilberto.guzmanvaldivia@lasalle.mx




Recibido: 08/09/2025. Aceptado: 27/11/2025

Figura 1
Figura 2
Figura 3

2020     |     www.medigraphic.com

Mi perfil

C?MO CITAR (Vancouver)

Cir Gen. 2025;47

ARTíCULOS SIMILARES

CARGANDO ...