medigraphic.com
ENGLISH

Acta Médica Grupo Ángeles

Órgano Oficial del Hospital Ángeles Health System
  • Mostrar índice
  • Números disponibles
  • Información
    • Información general        
    • Directorio
  • Publicar
    • Instrucciones para autores        
    • Envío de artículos
    • Políticas
    • Nombre y afiliación del Comité Editorial
  • Nosotros
    • Plan de gestión e intercambio de datos
    • Objetivos declarados y alcance
  • medigraphic.com
    • Inicio
    • Índice de revistas            
    • Registro / Acceso
  • Mi perfil

2026, Número 1

<< Anterior Siguiente >>

Acta Med 2026; 24 (1)


Luxación anterior crónica de hombro izquierdo sin compromiso funcional significativo

Enríquez Muñoz, Eduardo Alfredo1,2,5; Rebolledo Casas, Joana Andrea1,2,6; Jaramillo Arriaga, Fernando1,2,7; Martínez Ovis, Carolina1,3,8; González Ramírez, Cynthia Nalleli1,3,9; Gómez Pérez, María de Guadalupe1,4,10
Texto completo Cómo citar este artículo 10.35366/122163

DOI

DOI: 10.35366/122163
URL: https://dx.doi.org/10.35366/122163
Artículos similares

Idioma: Español
Referencias bibliográficas: 5
Paginas: 62-65
Archivo PDF: 1073.42 Kb.


PALABRAS CLAVE

luxación glenohumeral anterior, luxación crónica, resonancia magnética, reducción cerrada, reducción quirúrgica.

RESUMEN

La luxación crónica de hombro es excepcionalmente rara. El abordaje terapéutico se apoya por estudios de imagen seccional. Informamos el caso de un hombre de 59 años con una luxación anterior de hombro izquierdo de más de dos años de evolución, quien desconocía su condición. Acudió a la realización de resonancia magnética (RM) como abordaje diagnóstico por limitación funcional, donde observamos la luxación anterior de hombro, con pérdida completa del cartílago articular, lesión de Bankart, lesión de Hill-Sachs, con un defecto de la cabeza humeral superior a 40%, fibrosis con engrosamiento de la cápsula articular e integridad de la porción larga del bíceps, así como del manguito rotador, a excepción del infraespinoso.



INTRODUCCIóN

La luxación anterior de hombro, aunque rara, es la más común, con una incidencia anual de 25.2 por cada 100,000 pacientes.1 Los factores de riesgo son la práctica de deportes, la hiperlaxitud y el índice glenoideo.2 El dolor y la limitación funcional llevan a la búsqueda de atención médica; el diagnóstico se establece de manera oportuna, y la reducción cerrada es suficiente para el manejo en un contexto agudo.3 El diagnóstico erróneo o la negligencia del paciente en la búsqueda de atención médica conducen a una luxación crónica. Los pacientes suelen tener hipofrenia o ser ancianos. El manejo es quirúrgico y la elección de éste se determina en función de la temporalidad, la afectación del cartílago articular, el porcentaje del defecto en la cabeza humeral y el grado de rigidez de los tejidos blandos.4,5



PRESENTACIóN DEL CASO

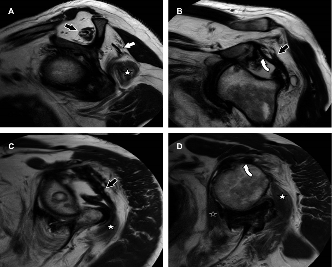
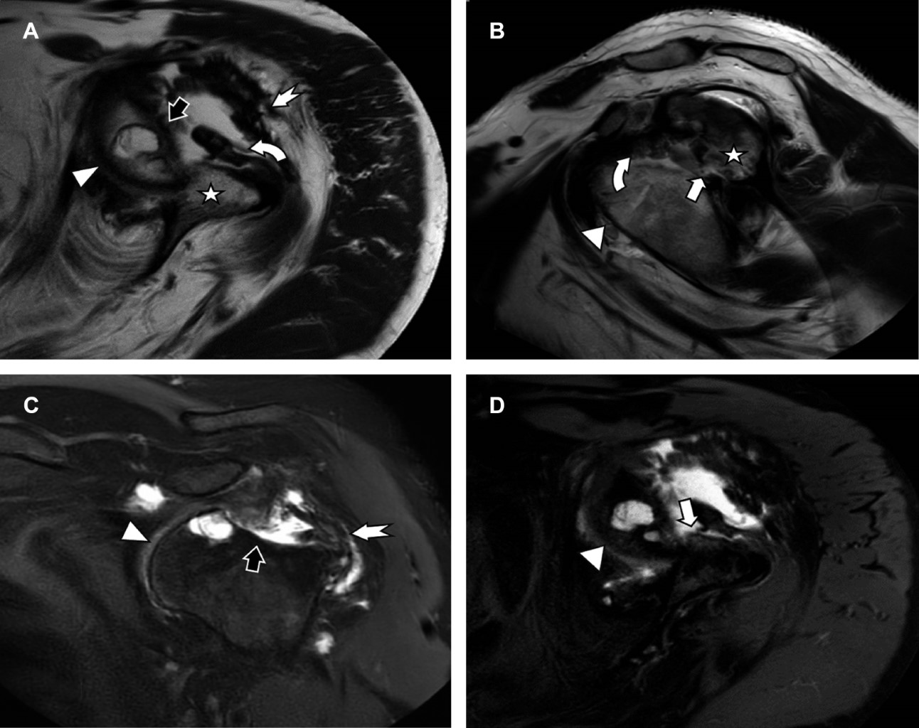
Hombre de 59 años que acude para la realización de una resonancia magnética (RM) de hombro izquierdo debido a una limitación funcional presente de más de dos años, asociada con una caída desde su propia altura, en la cual su hueco axilar quedó atrapado en el respaldo de una silla. El paciente pospuso la atención médica debido a la pandemia y a que las molestias eran tolerables. La RM revela: luxación anterior de hombro con pérdida completa del cartílago articular, lesión de Bankart, lesión de Hill-Sachs, con un defecto de la cabeza humeral que supera el 40%, fibrosis extensa con engrosamiento de la cápsula articular e integridad de la porción larga del bíceps, así como del manguito rotador, a excepción del infraespinoso (Figuras 1 y 2).



DISCUSIóN

Las luxaciones con más de una semana deben considerarse crónicas y subdividirse en tres grupos: crónica temprana (de una a tres semanas), crónica tardía (de tres a 12 semanas) y crónica antigua (más de 12 semanas).3

La reducción artroscópica es adecuada antes de que las contracturas de los tejidos blandos se vuelvan irreversibles. Está recomendada cuando el cartílago articular está sano y el defecto de la cabeza humeral es menor a 20%.4

La artroplastia se recomienda en casos con daño severo a hueso y cartílago. Está indicada cuando hay un defecto mayor a 40% en la cabeza humeral y la dislocación supera los seis meses,5 como es el caso de nuestro paciente.



CONCLUSIONES

La luxación crónica antigua de hombro es una condición extremadamente rara, cuyo manejo generalmente se orienta hacia la artroplastia debido al tiempo transcurrido desde la lesión. La evaluación del daño en el cartílago articular, el porcentaje de defecto en la cabeza humeral y el grado de fibrosis en los tejidos blandos de la articulación dictan el abordaje terapéutico. En el caso de nuestro paciente, lamentablemente, las opciones de tratamiento, según la literatura, se limitan a la artroplastia o, en su defecto, a la artrodesis.


REFERENCIAS (EN ESTE ARTÍCULO)

  1. Becker B, Spadafore S, Oberle L, Spittler J, Khodaee M. Epidemiology of shoulder dislocation treated at emergency departments in the United States between 1997 and 2021. Orthop J Sports Med. 2024; 12 (3): 23259671241234930. doi: 10.1177/23259671241234930.

  2. Wright A, Ness B, Spontelli-Gisselman A, Gosselin D, Cleland J, Wassinger C. Risk factors associated with first time and recurrent shoulder instability: A systematic review. Int J Sports Phys Ther. 2024; 19 (5): 522-534. doi: 10.26603/001c.116278.

  3. Chung H, Yoon YS, Shin JS, Shin JJ, Kim D. Chronic irreducible anterior dislocation of the shoulder without significant functional deficit. Clin Orthop Surg. 2016; 8 (3): 333-338. doi: 10.4055/cios.2016.8.3.333.

  4. Verma NN, Sellards RA, Romeo AA. Arthroscopic reduction and repair of a locked posterior shoulder dislocation. Arthroscopy. 2006; 22 (11): 1252.e1-5. doi: 10.1016/j.arthro.2006.04.086.

  5. Flatow EL, Miller SR, Neer CS 2nd. Chronic anterior dislocation of the shoulder. J Shoulder Elbow Surg. 1993; 2 (1): 2-10. doi: 10.1016/S1058-2746(09)80131-6.



AFILIACIONES

1 Hospital Angeles Pedregal. Ciudad de México, México.

2 Médico residente de Alta Especialidad en Resonancia Magnética del Sistema Musculoesquelético.

3 Médico residente de Alta Especialidad en Resonancia Magnética de Cuerpo Completo.

4 Médico titular de los cursos de Alta Especialidad en Resonancia Magnética del Sistema Musculoesquelético y de Cuerpo Completo.
ORCID:

5 0009-0004-4033-0183

6 0000-0002-9697-2167

7 0009-0008-3014-0078

8 0000-0001-6793-0171

9 0000-0002-9767-900X

10 0009-0005-3498-5594



Si desea consultar los datos complementarios de este artículo, favor de dirigirse a editorial.actamedica@saludangeles.mx



CORRESPONDENCIA

Eduardo Alfredo Enríquez Muñoz. Correo electrónico: alenmuz_idt@hotmail.com




Recibido: 30-09-2024. Aceptado: 06-11-2024.

Figura 1
Figura 2

2020     |     www.medigraphic.com

Mi perfil

C?MO CITAR (Vancouver)

Acta Med. 2026;24

ARTíCULOS SIMILARES

CARGANDO ...