medigraphic.com
ENGLISH

Acta Médica Grupo Ángeles

Órgano Oficial del Hospital Ángeles Health System
  • Mostrar índice
  • Números disponibles
  • Información
    • Información general        
    • Directorio
  • Publicar
    • Instrucciones para autores        
    • Envío de artículos
    • Políticas
    • Nombre y afiliación del Comité Editorial
  • Nosotros
    • Plan de gestión e intercambio de datos
    • Objetivos declarados y alcance
  • medigraphic.com
    • Inicio
    • Índice de revistas            
    • Registro / Acceso
  • Mi perfil

2026, Número 1

<< Anterior Siguiente >>

Acta Med 2026; 24 (1)


Pulgar trifalángico

Martínez Ovis, Carolina1
Texto completo Cómo citar este artículo 10.35366/122164

DOI

DOI: 10.35366/122164
URL: https://dx.doi.org/10.35366/122164
Artículos similares

Idioma: Español
Referencias bibliográficas: 3
Paginas: 66-67
Archivo PDF: 431.38 Kb.


PALABRAS CLAVE

pulgar, trifalángico, musculoesquelético, anomalía.

RESUMEN

El pulgar trifalángico es una anomalía congénita rara de la mano, de carácter autosómica dominante. La clasificación de esta anomalía es necesaria para el tratamiento quirúrgico; sin embargo, algunos pacientes no refieren sintomatología que amerite su tratamiento. Se presenta el caso de un paciente femenino en quien fue observado como un hallazgo incidental. Se realiza una revisión de la literatura sobre esta variante poco descrita.



INTRODUCCIóN

El pulgar trifalángico tiene una frecuencia de presentación de 1 en 25,000 nacimientos.1 Se refiere que es una alteración autosómica dominante, puede ser unilateral o bilateral y, por lo general, se acompaña de otras malformaciones en las manos y pies. Existen reportes de estos hallazgos desde 1876 por diferentes médicos en el mundo (Francia, Inglaterra, Alemania y Holanda).

El dedo pulgar es responsable del 40% de la función de prensión y pinza de la mano, algunos autores refieren limitaciones en el rango de movimiento y en escasos pacientes inestabilidad de la articulación metacarpofalángica.1 En algunas ocasiones se asocia con otros hallazgos como polidactilia del pulgar y del dedo gordo del pie; asimismo, en menor frecuencia, con ano imperforado, malformaciones del oído, mano zamba radial, labio y paladar hendidos.2



PRESENTACIóN DEL CASO

Se presenta el caso de una paciente de 34 años de edad que acude al Servicio de Urgencias por caída de las escaleras con trauma directo en ambas muñecas, posteriormente inicia con dolor intenso y aumento de volumen de predominio en mano derecha en la porción dorsal.

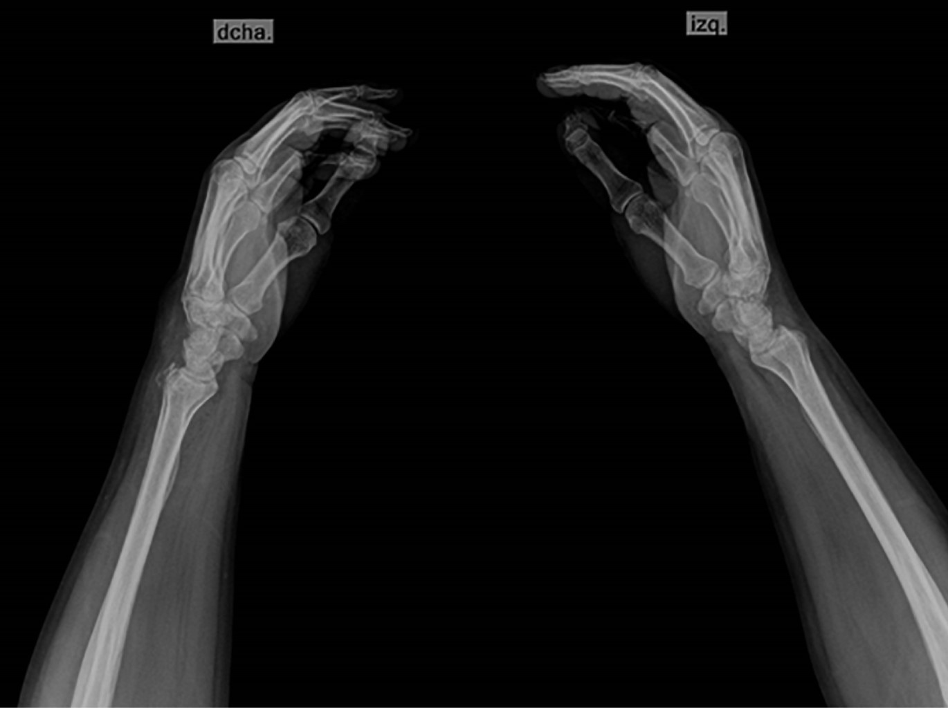
A su ingreso se evalúa por el Servicio de Ortopedia del hospital y se solicitan estudios complementarios por sospecha de fractura. En proyecciones dorsopalmar (Figura 1) y lateral (Figura 2) de ambas manos (con dificultad para su adquisición debido a la limitación de la movilidad por trauma reciente) se evidencia trazo de fractura de la apófisis estiloides de ambas muñecas y de la faceta articular del radio distal bilateral. De forma incidental, se observa pulgar trifalángico bilateral, sin referir sintomatología a este nivel previo al evento traumático.



DISCUSIóN

Esta variante del pulgar es considerada una polidactilia preaxial, en este caso, es de tipo II dentro de los defectos de diferenciación o anomalías de fusión/separación.3 Algunos autores refieren este hallazgo como una "mano de cinco dedos" haciendo referencia a la longitud del pulgar que es similar a la de los demás dedos. Una clasificación publicada en 1989 por Dieter Buck-Gramcko reporta seis tipos con la finalidad de proponer tratamiento para cada uno de ellos (Figura 3).2 Otra clasificación hecha por Wood es por la forma de la falange extra: en cuña, trapezoide o rectangular, basada en Buck-Gramcko. En un artículo publicado por Potuijt y colaboradores, se menciona que, aunque es una anomalía rara, el pulgar trifalángico podría tener alguna relación en la biología evolutiva y genética molecular.



CONCLUSIONES

Se recomienda la corrección de esta anomalía entre los seis meses y seis años de edad.2 Algunas publicaciones refieren que esta alteración podría afectar negativamente aspectos sociales de los pacientes debido al aspecto de la mano; en el caso que aquí se presenta, la paciente no mencionó tener conflicto por la apariencia de sus manos.


REFERENCIAS (EN ESTE ARTÍCULO)

  1. Pedrazzini A, Pogliacomi F, Colacicco A, Galavotti C, De Filippo M, Tocco S et al. Triphalangeal thumb: case report and literature review. Acta Biomed. 2015; 86 (3): 290-295.

  2. Fernández-Vázquez JM, Schenk-Palao J, Fernández-Palomo J, Camacho-Galindo J. Pulgar trifalángico. Cir Ciruj. 2003; 71 (6): 469-474.

  3. Manouvrier-Hanu S, Mezel A. Clasificación de las malformaciones congénitas de los miembros. EMC - Aparato Locomotor. 2011; 44 (1): 1-6.



AFILIACIONES

1 Residente del curso de Alta Especialidad en Resonancia Magnética, Hospital Angeles Pedregal. Ciudad de México. ORCID: 0000-0001-6793-0171



Si desea consultar los datos complementarios de este artículo, favor de dirigirse a editorial.actamedica@saludangeles.mx



CORRESPONDENCIA

Dra. Carolina Martínez Ovis. Correo electrónico: carolinamovis@hotmail.com




Recibido: 23-09-2024. Aceptado: 03-12-2024.

Figura 1
Figura 2
Figura 3

2020     |     www.medigraphic.com

Mi perfil

C?MO CITAR (Vancouver)

Acta Med. 2026;24

ARTíCULOS SIMILARES

CARGANDO ...