medigraphic.com
ENGLISH

Acta Médica Grupo Ángeles

Órgano Oficial del Hospital Ángeles Health System
  • Mostrar índice
  • Números disponibles
  • Información
    • Información general        
    • Directorio
  • Publicar
    • Instrucciones para autores        
    • Envío de artículos
    • Políticas
    • Nombre y afiliación del Comité Editorial
  • Nosotros
    • Plan de gestión e intercambio de datos
    • Objetivos declarados y alcance
  • medigraphic.com
    • Inicio
    • Índice de revistas            
    • Registro / Acceso
  • Mi perfil

2026, Número 1

<< Anterior

Acta Med 2026; 24 (1)


Luxación anterior de hombro en lactante de 18 meses. Diagnóstico infrecuente

Domínguez Gasca, Luis Gerardo1,2; Domínguez Carrillo, Luis Gerardo1,3
Texto completo Cómo citar este artículo 10.35366/122167

DOI

DOI: 10.35366/122167
URL: https://dx.doi.org/10.35366/122167

Idioma: Español
Referencias bibliográficas: 5
Paginas: 73-74
Archivo PDF: 632.82 Kb.


PALABRAS CLAVE

Sin palabras Clave

RESUMEN

     



CASO CLíNICO

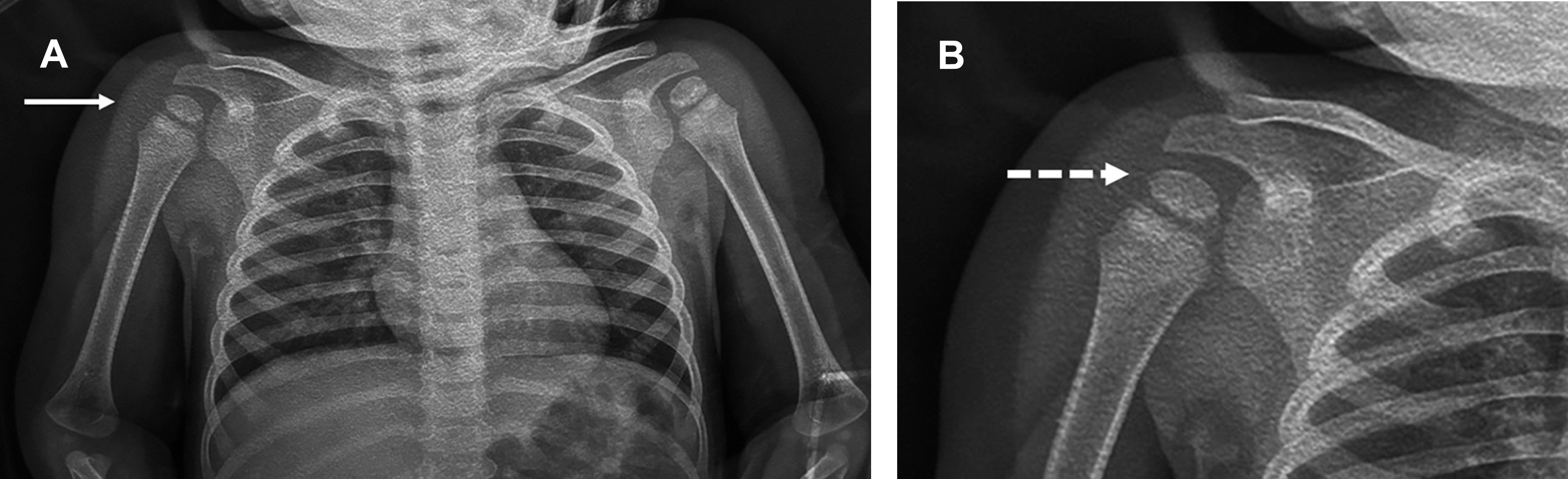
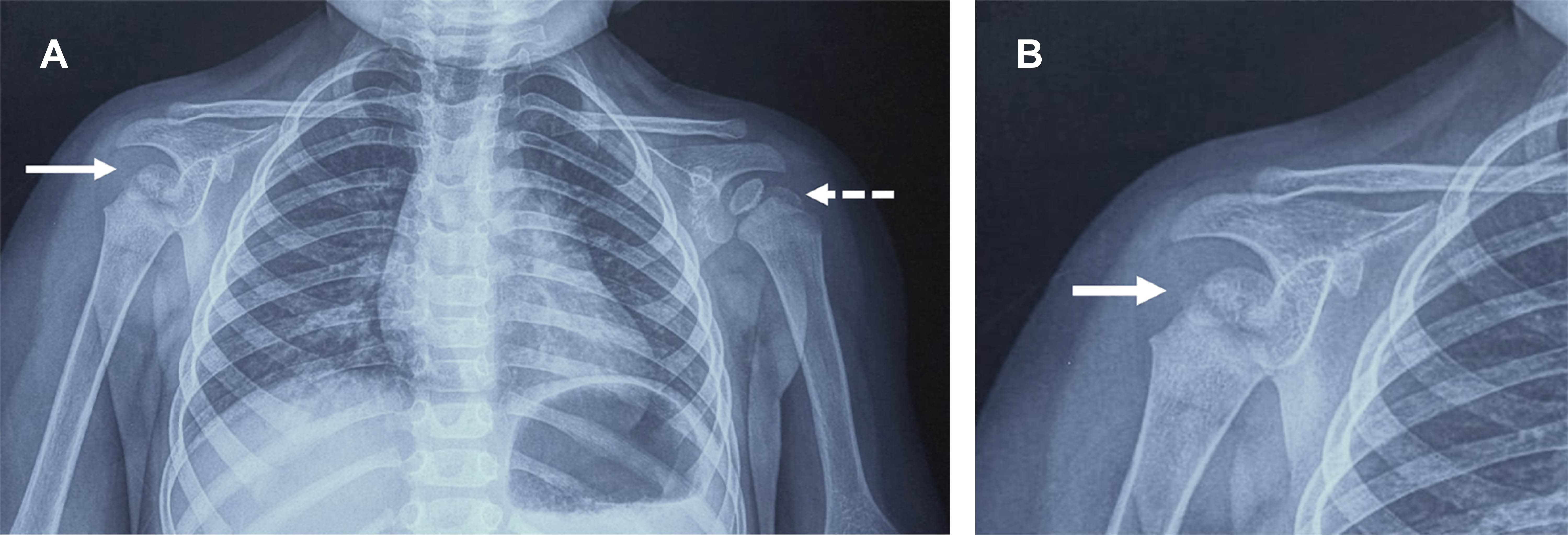
Femenino lactante mayor de 18 meses, con antecedentes perinatales sin problemas, quien dos horas antes presentó caída de su cuna, la madre la encontró en el suelo, con llanto y negativa a mover hombro derecho. A la exploración dirigida, se encontró: pérdida del contorno normal del deltoides, cabeza humeral derecha desplazada anteriormente y dolorosa al compararla con la contralateral, con imposibilidad pasiva y activa y para realizar flexión de hombro; clavícula, codo, antebrazo y mano normales, al igual que examen neurológico y llenado capilar. Con diagnóstico de luxación anterior de hombro derecho vs fractura humeral, se efectuó radiografía con la que se confirmó la luxación glenohumeral anterior (Figura 1); bajo sedación se efectuó reducción cerrada, la radiografía de control corroboró la reducción (Figura 2), se inmovilizó el miembro superior derecho con vendaje tipo Desault.



COMENTARIOS

La luxación traumática de la articulación glenohumeral es una lesión que se observa con frecuencia en la población adulta y adolescente. Si bien se ha observado comúnmente en pacientes adultos, rara vez se describe en bebés1,2 y niños, en los primeros se reporta originada durante el parto.3 Es necesario considerar las características específicas de los pacientes en crecimiento, ya que las luxaciones articulares son inusuales en estas poblaciones específicas. De hecho, en los niños pequeños, los ligamentos son más fuertes que el hueso, por lo que la fractura puede ser más común en presencia de una fisis humeral proximal abierta que la ruptura de ligamentos. Entre todas las luxaciones, 95% de las glenohumerales son anteriores. En niños, 98% se produce en pacientes mayores de 10 años con incidencia de sólo 1.6%,4 generalmente durante el deporte. Debido a la rareza de esta lesión en los niños pequeños, no existen pautas específicas y no se dispone de un tratamiento estándar.

En cuanto a la radiografía anteroposterior de hombro en niños,5 los datos a valorar son: 1) las superficies articulares del húmero y la cavidad glenoidea deben aparecer como dos líneas paralelas con un espacio articular uniforme; 2) si la cabeza humeral se encuentra debajo de la apófisis coracoides, se debe contemplar una dislocación anterior del hombro; 3) si existe derrame articular o lipohemartrosis, se debe pensar en una fractura intraarticular; 4) en cualquier otra proyección (axial, radiografía en "Y" u oblicua apical), es necesario asegurarse de que la cabeza humeral se asiente sobre la cavidad glenoidea; 5) visualizar la epífisis y la metáfisis con acuciosidad, descartando fracturas; 6) si se detecta irregularidad o ruptura cortical, se debe contemplar una fractura humeral proximal, ya que la lesión más común en la infancia es una fractura fisaria y la luxación glenohumeral es muy rara.


REFERENCIAS (EN ESTE ARTÍCULO)

  1. Julfiqar KAQ, Abbas M, Sabir AB. Isolated traumatic anterior glenohumeral dislocation in a young child - differential diagnosis and brief literature review. JBJD. 2019; 34: 31-33. doi: 10.13107/jbjd.0971-7986.2019.17.

  2. Maso G, Pala E, Berizzi A, Ruggieri P. A rare case of anterior shoulder dislocation in 1-year- and 10-month-old toddler: case report and literature review. Arch Orthop Trauma Surg. 2021; 141 (5): 831-835. doi: 10.1007/s00402-020-03536-x.

  3. Slattery C, Kovalenko B, Verma K. Congenital anterior shoulder dislocation in a newborn treated with closed reduction. Radiol Case Rep. 2018; 13 (5): 920-924. doi: 10.1016/j.radcr. 2018.06.005.

  4. Zember JS, Rosenberg ZS, Kwong S, Kothary SP, Bedoya MA. Normal skeletal maturation and imaging pitfalls in the pediatric shoulder. Radiographics. 2015; 35 (4): 1108-1122. doi: 10.1148/rg.2015140254.

  5. Hong P, Rai S, Liu R, Tang X, Li J. Glenohumeral joint dislocation is rare in children with proximal humeral fractures: a descriptive study and literature review. BMC Musculoskelet Disord. 2022; 23 (1): 36. doi: 10.1186/s12891-021-04992-1.



AFILIACIONES

1 Hospital Angeles León. León, Guanajuato, México.

2 Ortopedista. Cirugía Articular. División de Cirugía. ORCID: 0000-0001-4773-2140

3 Especialista en Medicina de Rehabilitación. División de Medicina. ORCID: 0000-0002-1985-4837



Si desea consultar los datos complementarios de este artículo, favor de dirigirse a editorial.actamedica@saludangeles.mx



CORRESPONDENCIA

Dr. Luis Gerardo Domínguez Carrillo. Correo electrónico: lgdominguez@hotmail.com




Recibido: 06-08-2024. Aceptado: 29-04-2025.

Figura 1
Figura 2

2020     |     www.medigraphic.com

Mi perfil

C?MO CITAR (Vancouver)

Acta Med. 2026;24

ARTíCULOS SIMILARES

CARGANDO ...