medigraphic.com
ENGLISH

Alergia, Asma e Inmunología Pediátricas

Órgano Oficial del Colegio Mexicano de Alergia, Asma e Inmunología Pediátrica y de la Asociación Latinoamericana de Pediatría
  • Mostrar índice
  • Números disponibles
  • Información
    • Información general        
    • Directorio
  • Publicar
    • Instrucciones para autores        
  • medigraphic.com
    • Inicio
    • Índice de revistas            
    • Registro / Acceso
  • Mi perfil

2025, Número 2-3

<< Anterior Siguiente >>

Alerg Asma Inmunol Pediatr 2025; 34 (2-3)


Flegmasia cerulea dolens en paciente pediátrico con diagnóstico de síndrome antifosfolípidos. Reporte de caso

García-Torres, Karla Ivonne1; Waldo-Reyes, Rubén2; Hernández-González, César Andrés1; Azamar-Jacome, Amyra Alí2
Texto completo Cómo citar este artículo 10.35366/122277

DOI

DOI: 10.35366/122277
URL: https://dx.doi.org/10.35366/122277
Artículos similares

Idioma: Español
Referencias bibliográficas: 24
Paginas: 67-72
Archivo PDF: 1045.47 Kb.


PALABRAS CLAVE

flegmasia cerulea dolens, trombosis venosa profunda, síndrome antifosfolípidos, enfermedades autoinmunes, pediatría.

RESUMEN

La flegmasia cerulea dolens (FCD) es una enfermedad rara y grave asociada con estados de hipercoagulabilidad primaria o secundaria. En adultos, los principales factores de riesgo descritos son neoplasias, cirugías recientes, inmovilización prolongada y terapia hormonal. En niños se ha asociado a eventos traumáticos e infecciones. Se manifiesta con dolor agudo intenso de inicio súbito, edema importante y cianosis progresiva, causada por la congestión venosa severa y disminución del flujo arterial. Por la severidad del cuadro, el diagnóstico y tratamiento oportuno son fundamentales para evitar complicaciones que pueden causar la muerte. Presentamos el caso de un paciente femenino con cuadro grave de trombosis venosa profunda asociado con síndrome antifosfolípidos (SAF).



ABREVIATURAS:

  • FCD = flegmasia cerulea dolens
  • LES = lupus eritematoso sistémico
  • SAF = síndrome antifosfolípidos



INTRODUCCIóN

La flegmasia cerulea dolens (FCD) es una enfermedad rara que ocurre con mayor frecuencia en adultos entre la quinta y sexta década de la vida, aunque existen reportes de su aparición en pacientes desde los seis meses de vida.1

Descrita por primera vez en el siglo XVI por Fabricius Hildanius; fue Gregoire quien, en 1938, describió la tríada clásica caracterizada por dolor agudo, edema y cambios de coloración en extremidad, introduciendo el concepto de phlegmasia cerulea dolens o "inflamación azul dolorosa", diferenciándola de la phlegmasia alba dolens o "inflamación blanca dolorosa".2

La FCD es una enfermedad rara y grave asociada a estados de hipercoagulabilidad primaria o secundaria. En adultos, los principales factores de riesgo descritos son neoplasias, cirugías recientes, inmovilización prolongada y terapia hormonal. En niños se ha asociado con eventos traumáticos e infecciones. Se manifiesta con dolor agudo intenso de inicio súbito, edema importante y cianosis progresiva causada por la congestión venosa severa y disminución del flujo arterial. Por la severidad del cuadro, el diagnóstico y tratamiento oportuno son fundamentales para evitar complicaciones que puedan causar la muerte.

Presentamos el caso de un paciente femenino con cuadro grave asociado a síndrome antifosfolípidos (SAF).



PRESENTACIóN DEL CASO

Femenino de 14 años de edad, estudiante de secundaria, con antecedente de diagnóstico de trastorno del espectro autista en tratamiento con terapia conductual, además de víctima de abuso escolar (bullying) con evento de politrauma (extremidad inferior izquierda, abdomen, craneoencefálico y cara) siete días previos a su ingreso. Sin otro antecedente personal de importancia. Niega antecedentes heredofamiliares de autoinmunidad.

Acude por cuadro progresivo de dolor en la extremidad inferior izquierda de tres meses de evolución, exacerbado siete días previos y asociado con evento traumático descrito. Veinticuatro horas previo a su ingreso, se agregan cambios de coloración, edema y frialdad. En el interrogatorio dirigido refiere que, desde hace dos semanas, presenta episodios intermitentes de pérdida del estado de alerta de menos de un minuto de duración, no asociados con movimientos anormales del cuerpo; niega fiebre y pérdida de peso, así como mucocutáneos, gastrointestinales y urinarios.

A su llegada se encuentra somnolienta (Glasgow 8), con bradicardia, hipotensión e hipoxemia. Se inicia manejo avanzado de la vía aérea. A la exploración física se encuentra extremidad inferior izquierda con empastamiento muscular a nivel de mulso y pantorrilla, edematosa, fría y con coloración reticulada, no se palpan pulsos poplíteos ni infrapoplíteos (Figura 1).

Sus estudios de laboratorio reportan gasometría arterial con acidosis mixta, hemoglobina 5.1 g/dL, hematocrito 16.9%, leucocitos 28.1 × 103/μL (neutrófilos 24.31 × 103/μL, linfocitos 1.11 × 103/μL) y plaquetas de 106 × 103/μL; tiempos de coagulación con tiempo de protrombina 16.1 segundos, tiempo de tromboplastina parcial 27 segundos, actividad 61.2%, INR 1.34; prueba de Coombs directo positiva (++++); proteína C reactiva 12 mg/L; química sanguínea con glucosa de 224 mg/dL, creatinina 1.78 mg/dL, nitrógeno ureico 29 mg/dL, urea 62.1 mg/dL, sodio 135 mmol/L, potasio 3.6 mmol/L, calcio 8.1 mg/dL, cloro 116 mmol/L, fósforo 7.5 mg/dL, magnesio 2.7 mg/dL, albúmina 2.9 g/dL, bilirrubina total 1.1 mg/dL, bilirrubina directa 0.6 mg/dL, bilirrubina indirecta 0.4 mg/dL, aspartato aminotransferasa 87 U/L, alanino aminotransferasa 9 U/L, deshidrogenasa láctica 1,107 U/L, creatina fosfocinasa 1,608 U/L; examen general de orina con proteínas (+++), 8-10 leucocito/campo y cilindros hialinos en sedimento.

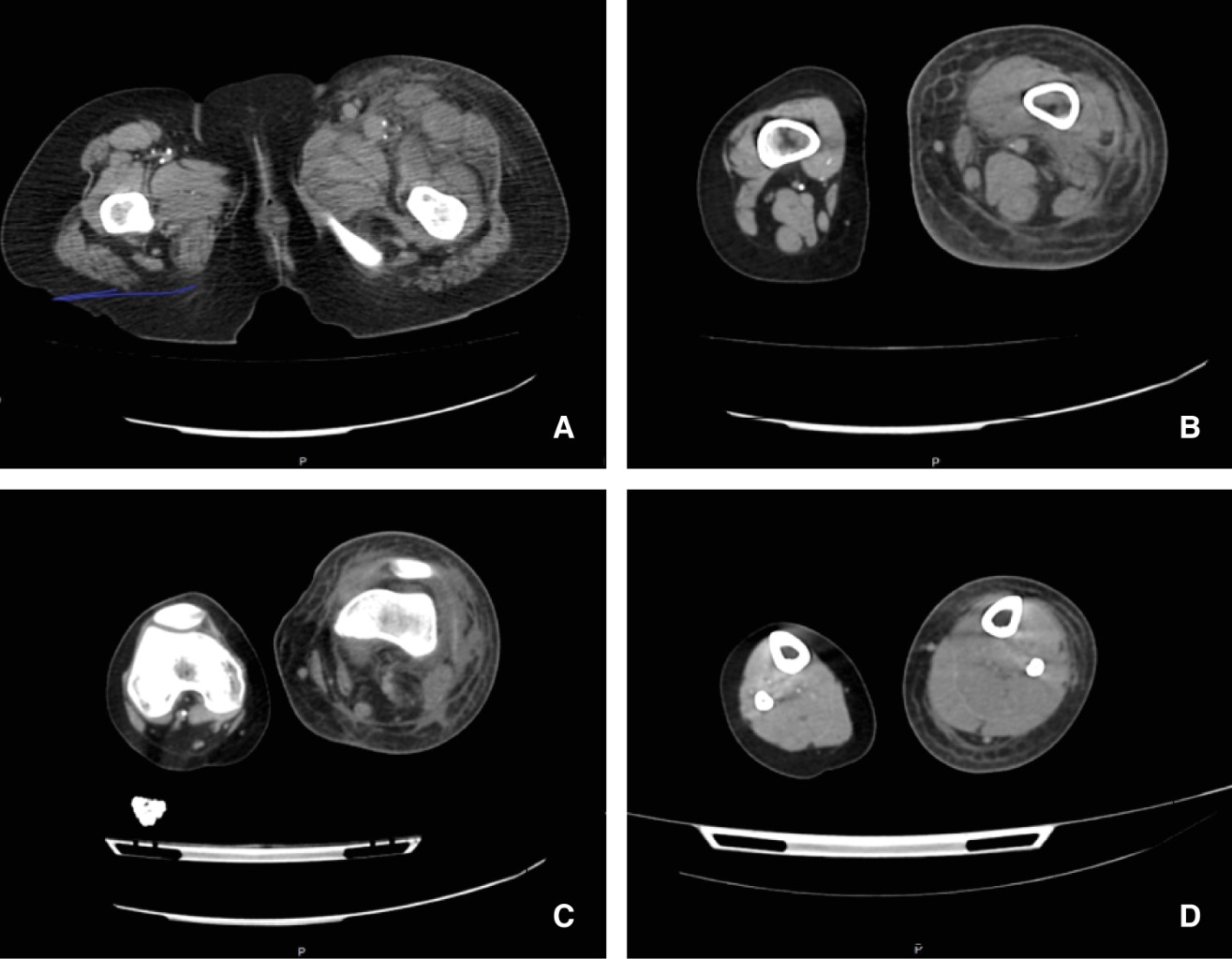
El análisis del electrocardiograma evidencia taquicardia sinusal sin otra alteración. Radiografía de tórax sin lesiones. Ante la sospecha de trombosis arterial se solicita ultrasonido Doppler de emergencia que reporta trombosis venosa profunda y superficial de miembro pélvico izquierdo, arteria iliaca externa permeable, arteria poplítea izquierda presentando flujo en su interior, no audible y sin espectro Doppler (Figura 2). Se realiza angiotomografía contrastada que evidencia edema de tejidos blandos, disminución del calibre de arteria femoral del lado izquierdo en tercio medio y distal, sin paso de contraste a partir de la arteria poplítea, trombosis venosa superficial y profunda en extremidad izquierda, extremidad derecha sin alteraciones (Figura 3). Tomografía de cráneo sin evidencia de patología (Figura 4). Inicia manejo con anticoagulación (enoxaparina), pentoxifilina, terapia hídrica con soporte con aminas vasoactivas (adrenalina y dobutamina) y antibiótico de amplio espectro (ceftriaxona), además de transfusión de hemoderivados e ingreso a Unidad de Terapia Intensiva Pediátrica.

La paciente evoluciona de forma tórpida cursando con síndrome compartimental que amerita la realización de fasciotomía con mejoría parcial de la perfusión (Figura 5). La paciente persiste con compromiso neurovascular distal y datos de choque distributivo, por lo que se decide trombectomía quirúrgica abierta, realizándose durante la misma desarticulación del miembro pélvico izquierdo. Por el hallazgo de trombosis venosa extensa, anemia hemolítica y coagulopatía, se sospecha de patología inmunológica, por lo que se toman perfil de anticuerpos, los cuales se reportan positivos para anticuerpos anticardiolipina y anti-β2-glucoproteína, lo que permite integrar el diagnóstico de SAF. El resto de anticuerpos y niveles de complemento no pudieron determinarse. Posterior a evento quirúrgico, evoluciona con datos de tromboembolia pulmonar, evento vascular cerebral y datos de falla orgánica múltiple, falleciendo a los dos días.



DISCUSIóN

La FCD es una forma rara, grave y potencialmente mortal de trombosis venosa profunda, caracterizada por una obstrucción completa en el retorno venoso de la extremidad, que lleva a secuestro de líquidos con el consecuente colapso circulatorio. Se manifiesta con dolor agudo intenso de inicio súbito, edema importante y cianosis progresiva, causada por la congestión venosa severa y disminución del flujo arterial. En fases avanzadas, la isquemia provoca datos de síndrome compartimental con ausencia de pulsos, rigidez muscular y parestesias, por lo que se considera como una emergencia vascular por el alto riesgo de gangrena venosa.3-6 La gangrena ocurre entre los cuatro a ocho días después del inicio de los signos y síntomas isquémicos. En esta fase, es primordial el reconocimiento precoz de los síntomas, a fin de iniciar un tratamiento destinado a evitar el desarrollo de ésta. El riesgo de amputación va del 12 al 50%, con una tasa de mortalidad de hasta el 50%, la mayoría de las veces asociada con tromboembolismo pulmonar.7,8

La FCD afecta con mayor frecuencia a personas entre la quinta y sexta décadas de vida, aunque existen escasos reportes en pacientes pediátricos. Afecta con mayor frecuencia las extremidades inferiores, especialmente el lado izquierdo, en una proporción de 3:1 a 4:1.1,4,9 Esta predisposición lateral se explica por el síndrome de May-Thurner, en el que la arteria iliaca común derecha comprime la vena iliaca común izquierda, promoviendo la formación de trombos.1,9 La mayoría de los reportes indican una mayor incidencia en mujeres, con una relación de 4:3, probablemente debido a factores hormonales; sin embargo, otros autores la han descrito de forma más frecuente en hombres.4,9-11

Su fisiopatología plantea que inicialmente existe un estado de hipercoagulabilidad, seguida de una serie de eventos en cascada que serían una trombosis extensa que ocluye el sistema venoso profundo y superficial, lo que a su vez provocaría hipertensión venosa con extravasación de líquidos al espacio intersticial y secuestro masivo de los mismos, lo cual en última instancia ocasionaría hipovolemia relativa e inestabilidad hemodinámica.1,12 Durante el bloque incompleto (reversible) aparece la FCD; sin embargo, si el bloqueo progresa y se hace completo, provoca un cierre crítico que causaría el desarrollo de gangrena (irreversible).13

Los principales factores desencadenantes descritos para el desarrollo de esta enfermedad son: enfermedades malignas, cirugías recientes, traumatismo, cateterismo de la vena femoral, inmovilización prolongada, obesidad, falla cardiaca, embarazo, terapia hormonal/uso de anticonceptivos orales, estados de hipercoagulabilidad (trombofilias, SAF) e incluso infecciones.1,10,14,15 En población infantil se ha asociado principalmente al antecedente de evento traumático o infeccioso, el caso más reciente se asoció a infección con SARS-CoV-2.16,17 Existen dos reportes de caso de FCD asociados con enfermedad autoinmune, ambos pacientes adultos: un femenino de 31 años con diagnóstico de lupus eritematoso sistémico (LES), quien desarrolló FCD tres meses posteriores a la resolución de su embarazo;18 y un masculino de 37 años diagnosticado con SAF posterior a la presentación de FCD con anticoagulante lúpico positivo, pero que no cumplió criterios para el diagnóstico de LES.19 Es importante señalar que hasta 10% de los casos no se logra documentar una causa aparente.1

El diagnóstico es fundamentalmente clínico, debiendo establecerse lo más temprano y oportuno posible; en este sentido, los estudios de imagen deben ser únicamente complementarios.1,3,4,10 El ultrasonido Doppler venoso suele ser el método inicial de elección, aunque puede tener limitaciones para visualizar trombos proximales en venas iliacas o vena cava inferior. En estos casos, la angiotomografía computarizada con contraste o la venografía por resonancia magnética son técnicas valiosas para definir extensión y planificar el tratamiento intervencionista.3,15

El tratamiento debe iniciarse de forma inmediata y ser multidisciplinario. Al ser una entidad rara, no se cuenta con protocolos de manejo consensuados. Sin embargo, éste debe estar enfocado en prevenir la estasis y la propagación de trombos, disminuir la presión venosa en la extremidad, al mismo tiempo que se asegure el manejo hídrico adecuado del estado de choque hipovolémico y se aminore el riesgo de gangrena. Por lo tanto, las medidas de soporte deben estar consideradas dentro de la primera línea de manejo, esto es: la elevación de la extremidad para favorecer el retorno venoso y disminuir el edema, con un ángulo ideal mayor a 60° sobre el nivel del corazón.1,9 El uso de alfa y betabloqueadores, fármacos antivasoespasmos, pentoxifilina y esteroides no han demostrado tener un beneficio real sobre el pronóstico del paciente.

El tratamiento definitivo debe incluir terapia anticoagulación, trombólisis, trombectomía o todas ellas combinadas. La anticoagulación debe iniciarse en todos los casos a menos que exista una contraindicación específica, se recomienda el uso de heparina no fraccionada a dosis de impregnación de 10-15 UI/kg, seguida de infusión intravenosa hasta alcanzar un tiempo de tromboplastina parcial activada de 1.5-2 veces el valor de control del laboratorio. La anticoagulación debe asociarse a trombólisis endovascular o trombectomía mecánica, dependiendo el caso, ya que su combinación logra revascularización de forma más rápida y disminuye la necesidad de agentes fibrinolíticos. La trombólisis dirigida por catéter permite la administración local de agentes fibrinolíticos como el activador tisular del plasminógeno, logrando una rápida disolución del trombo con menor riesgo de hemorragia sistémica.9,15 La trombectomía mecánica o por aspiración puede utilizarse cuando exista contraindicación para trombólisis o cuando sea necesaria una intervención urgente por compromiso isquémico grave.9,12,20 La trombólisis y trombectomía percutánea se han consolidado como las técnicas preferidas por su menor invasividad y mejores resultados;20-23 sin embargo, no están exentas de complicaciones y conllevan riesgo de hemorragia. En casos de trombosis extensa debe considerarse la colocación preventiva de un filtro de vena cava inferior.20,24 En situaciones de gangrena establecida o compromiso arterial severo, puede ser necesaria la realización de fasciotomía o trombectomía quirúrgica abierta, pues se asocia a mayor morbilidad y recurrencia9,12 e incluso amputación, siendo fundamental evitar esta última siempre que sea posible.1,12

El pronóstico de la FCD en general es malo. Las complicaciones incluyen embolia pulmonar (hasta 50% de los casos), gangrena venosa (40-60%) y amputación (10-25%).1,2 La mortalidad está directamente relacionada con la rapidez de inicio y efectividad del tratamiento.12 De ahí que el diagnóstico y tratamiento oportuno sean fundamentales para evitar complicaciones potencialmente fatales como isquemia crítica, síndrome compartimental, choque hipovolémico, falla orgánica múltiple y muerte.1,3,4,10,14



CONCLUSIONES

El caso que presentamos nos permite aumentar el conocimiento sobre esta rara enfermedad y su asociación con enfermedades autoinmunes, promoviendo la concientización del diagnóstico oportuno. Nuestra paciente es un caso muy especial por la rareza de presentación de la FCD en población pediátrica, además de que los pocos casos reportados en niños se han asociado principalmente a infecciones y eventos de trauma.

Si bien nuestra paciente tenía un evento traumático de siete días de evolución, es indudable el papel que jugó el SAF en la fisiopatología y gravedad de la presentación de este caso. En la paciente, la detección de anticuerpos anticardiolipina y anti-β2-glucoproteína, en conjunto con el evento de trombosis grave, nos permitió establecer de manera retrospectiva el diagnóstico de SAF. Si ésta fue adquirida o estuvo asociada a otra patología autoinmune, es algo que no podremos saber; sin embargo, datos que presentaba la paciente como linfopenia, plaquetopenia, desarrollo de anemia hemolítica, positividad del Coombs directo, proteinuria y cilindruria, asociado con trombosis severa en una paciente sin factores de riesgo importantes, tampoco nos permite descartarlo.

Por tanto, la FCD, particularmente en pacientes sin factores de riesgo convencionales, debe alertarnos en la búsqueda de SAF y/o su asociación con alguna enfermedad autoinmune subyacente.


REFERENCIAS (EN ESTE ARTÍCULO)

  1. Gardella L, Faulk JB. Phlegmasia alba and cerulea dolens. In: StatPearls [Internet]. Treasure Island (FL): StatPearls Publishing; 2025. Available in: https://www.ncbi.nlm.nih.gov/books/NBK563137/

  2. Perkins JM, Magee TR, Galland RB. Phlegmasia caerulea dolens y gangrena venosa. Br J Surg. 1996; 83: 19-23. doi: 10.1002/bjs.1800830106.

  3. Chinsakchai K, Ten Duis K, Moll FL, de Borst GJ. Trends in management of phlegmasia cerulea dolens. Vasc Endovascular Surg. 2011; 45: 5-14. doi: 10.1177/1538574410388309.

  4. Maiti A, Das A, Smith DT. Flegmasia cerulea dolorosa. Postgrad Med J. 2016; 92: 690. doi: 10.1136/postgradmedj-2016-134185.

  5. Veltchev LM, Kalniev MA, Todorov TA. Phlegmasia cerulean dolens-risk factors and prevention. J IMAB. 2009; 15: 89-91.

  6. Ibrahim B, Kattimani R. Phlegmasia cerulea dolens, a deadly complication of deep vein thrombosis: case report and review of literature. Cureus. 2021; 13 (11): e19927. doi: 10.7759/cureus.19927.

  7. Sarwar S, Narra S, Munir A. Phlegmasia cerulea dolens. Tex Heart Inst J. 2009; 36 (1): 76-77.

  8. Oguzkurt L, Tercan F, Ozkan U. Manual aspiration thrombectomy with stent placement: rapid and effective treatment for phlegmasia cerulea dolens with impending venous gangrene. Cardiovasc Intervent Radiol. 2008; 31 (1): 205-208.

  9. Oguzkurt L, Ozkan U, Demirturk OS, Gur S. Endovascular treatment of phlegmasia cerulea dolens with impending venous gangrene: manual aspiration thrombectomy as the first-line thrombus removal method. Cardiovasc Intervent Radiol. 2011; 34 (6): 1214-1221.

  10. Orso D, Mattuzzi L, Scapol S, Delrio S, Vetrugno L, Bove T. Phlegmasia cerulea dolens superimposed on disseminated intravascular coagulation in COVID-19. Acta Biomed. 2021; 92 (4): e2021101. doi: 10.23750/abm.v92i4.11478.

  11. Bhatt S, Wehbe C, Dogra VS. Phlegmasia cerulea dolens. J Clin Ultrasound. 2007; 35 (7): 401-404.

  12. Lewis CB, Hensley MK, Barrett JE, Van Norman SB, Taylor AS, Horowitz JC. Phlegmasia cerulea dolens: a rare cause of shock. Respirol Case Rep. 2019; 7 (5): e00424. doi: 10.1002/rcr2.424.

  13. Núñez Valdovinos B, Morales Morales M, Goic Boroevic I, Carrasco Gonzáles G, Espinoza Capeda E, González Dettoni H. Revisión a partir de un caso clínico: Flegmasía cerulea dolens. Rev Chil Med Intensiv. 2009; 24 (2): 65-70.

  14. Abootalebi A, Salemi M, Heidari F, Azimi Meibody A. Phlegmasia cerulea dolens: a rare case report. Adv Biomed Res. 2020; 9: 31. doi: 10.4103/abr.abr_3_20.

  15. Meissner MH, Gloviczki P, Comerota AJ, Dalsing MC, Eklof BG, Gillespie DL et al. Early thrombus removal strategies for acute deep venous thrombosis: clinical practice guidelines of the Society for Vascular Surgery and the American Venous Forum. J Vasc Surg. 2012; 55 (5): 1449-1462. doi: 10.1016/j.jvs.2011.12.081.

  16. Visveswaran GK, Morparia K, Narang S, Sturt C, Divita M, Voigt B et al. Severe acute respiratory syndrome coronavirus 2 infection and thrombosis: phlegmasia cerulea dolens presenting with venous gangrene in a child. J Pediatr. 2020; 226: 281-284.e1.

  17. Kuo I, Smith J, Abou-Zamzam AM. A multimodal therapeutic approach to phlegmasia cerulea dolens in a pediatric patient. J Vasc Surg. 2011; 53 (1): 212-215.

  18. Marques Filho J. Phlegmasia cerulea dolens in patient with systemic lupus erythematosus in the remote postpartum period. Rev Bras Reumatol. 2011; 51 (5): 511-516.

  19. Padjas A, Brzezinska-Kolarz B, Undas A, Musial J. Phlegmasia cerulea dolens as a complication of deep vein thrombosis in a man with primary antiphospholipid syndrome. Blood Coagul Fibrinolysis. 2005; 16: 567-569.

  20. Lin PH, Zhou W, Dardik A, Mussa F, Kougias P, Hedayati N et al. Catheter-direct thrombolysis versus pharmacomechanical thrombectomy for treatment of symptomatic lower extremity deep venous thrombosis. Am J Surg. 2006; 192 (6): 782-788. doi: 10.1016/j.amjsurg.2006.08.045.

  21. Vedantham S. Thrombectomy and thrombolysis for prevention and treatment of post-thrombotic syndrome. Hematology Am Soc Hematol Educ Program. 2017; 2017 (1): 681-685. doi: 10.1182/asheducation-2017.1.681.

  22. Mewissen MW, Seabrook GR, Meissner MH, Cynamon J, Labropoulos N, Haughton SH. Catheter-directed thrombolysis for lower extremity deep venous thrombosis: report of a national multicenter registry. Radiology. 1999; 211 (1): 39-49. doi: 10.1148/radiology.211.1.r99ap4739.

  23. Baldwin ZK, Comerota AJ, Schwartz LB. Catheter-directed thrombolysis for deep venous thrombosis. Vasc Endovascular Surg. 2004; 38 (1): 1-9. doi: 10.1177/153857440403800101.

  24. Sharifi M, Bay C, Skrocki L, Lawson D, Mazdeh S. Role of IVC filters in endovenous therapy for deep venous thrombosis: the FILTER-PEVI (filter implantation to lower thromboembolic risk in percutaneous endovenous intervention) trial. Cardiovasc Intervent Radiol. 2012; 35 (6): 1408-1413. doi: 10.1007/s00270-012-0342-z.



AFILIACIONES

1 División de Pediatría. Hospital General La Perla Nezahualcóyotl. México.

2 Servicio de Inmunoalergia Pediátrica. Hospital Regional "Gral. Ignacio Zaragoza", ISSSTE. México.



CORRESPONDENCIA

Dra. Karla Ivonne García-Torres. E-mail: dra.karlagarciaped@gmail.com




Recibido: 29/08/2025. Aceptado: 01/09/2025.

Figura 1
Figura 2
Figura 3
Figura 4
Figura 5

2020     |     www.medigraphic.com

Mi perfil

C?MO CITAR (Vancouver)

Alerg Asma Inmunol Pediatr. 2025;34

ARTíCULOS SIMILARES

CARGANDO ...