medigraphic.com
ENGLISH

Revista Mexicana de Anestesiología

ISSN 3061-8142 (Digital)
  • Mostrar índice
  • Números disponibles
  • Información
    • Información general        
    • Directorio
  • Publicar
    • Instrucciones para autores        
  • medigraphic.com
    • Inicio
    • Índice de revistas            
    • Registro / Acceso
  • Mi perfil

2026, Número 1

<< Anterior Siguiente >>

Rev Mex Anest 2026; 49 (1)


Actinomicetoma en región temporomandibular: dificultad en el manejo de la vía aérea. Reporte de caso

García-Salazar, Xiomara1,2,5; Fernanda Pelayo-Olvera, Sara1,2; Prol-Carreiro, Adolfo1,2; Ham-Armenta, Cristian Irvin1,3; Leonardo Jorge, Diego1,4; Olivares-Mendoza, Horacio1,3
Texto completo Cómo citar este artículo 10.35366/122387

DOI

DOI: 10.35366/122387
URL: https://dx.doi.org/10.35366/122387
Artículos similares

Idioma: Español
Referencias bibliográficas: 5
Paginas: 48-51
Archivo PDF: 1425.29 Kb.


PALABRAS CLAVE

micetoma, actinomicetoma, tumor de cabeza y cuello, intubación con el paciente despierto, broncoscopía.

RESUMEN

En el presente artículo se describe el manejo de una paciente con lesión temporomandibular desconocida que requirió intubación en estado de vigilia. Debido al compromiso significativo de la movilidad y apertura oral, así como a la etiología incierta de la lesión y al riesgo de diseminación, se optó por un abordaje seguro. El micetoma es una infección cutánea, crónica, grave, de aspecto granulomatoso y de difícil diagnóstico, sobre todo en esta región del cuerpo humano. Sus características rígidas provocan limitación de los movimientos articulares, alteraciones anatómicas, dolor y un riesgo elevado durante el manejo de la vía aérea.



ABREVIATURAS:

  • ECOTT = ecocardiograma transtorácico
  • FEVI = fracción de eyección del ventrículo izquierdo
  • INR = índice internacional normalizado
  • ORI = índice de reserva de oxígeno
  • PSAP = presión sistólica arterial pulmonar
  • TP = tiempo de protrombina
  • TPT = tiempo de tromboplastina parcial activado
  • TT = tiempo de trombina



INTRODUCCIóN

El micetoma es una infección cutánea, crónica y grave, se presenta como tumor subcutáneo, granulomatoso. Su tríada patognomónica es el aumento de volumen subcutáneo indoloro, la formación de fístulas y el exudado de tipo seroso, serosanguinolento o purulento. Es considerada una enfermedad endémica en zonas tropicales y subtropicales, causada por más de 56 microorganismos diferentes descritos; éstos pueden ser bacterias (actinomicetomas) y hongos (eumicetomas). En México los agentes infecciosos más frecuentes son: Nocardia brasiliensis, Actinomadura madurae y Actinomadura pelletieri. La duración promedio de la enfermedad es de 4.5 años antes de la presentación, el micetoma es indoloro y la mayoría de las personas infectadas se presentan tardíamente, con enfermedad avanzada(1).

Cualquier parte del cuerpo puede ser afectada, con extensión a estructuras profundas, provocando abscesos profundos con compromiso muscular, óseo y sistémico. El micetoma de cabeza y cuello es la forma más rara de micetoma (0.5-1.2%). Lo complicado del micetoma de cabeza y cuello es su curso prolongado, resultados deficientes de tratamiento, baja tasa de curación, mayor recurrencia, grado de invasión, intervenciones quirúrgicas y diseminación intracraneal, complicaciones graves y malos resultados debido a la diseminación intracraneal.

Las opciones de tratamiento actuales son limitadas y subóptimas; muchos pacientes se someten a repetidas escisiones quirúrgicas masivas que conducen a una mayor destrucción de tejido fibroso, discapacidad, baja tasa de curación y altas tasas de abandono terapéutico. El diagnóstico preciso de la especie causante del micetoma, así como la determinación del grado de daño osteolítico, son fundamentales para establecer el esquema terapéutico y el pronóstico más adecuados(1).



PRESENTACIóN DEL CASO

Se trata de paciente femenino de 76 años con diagnóstico de lesión en región temporomandibular izquierda, programada para retiro de tumor granulomatoso. Como antecedentes: hipotiroidismo en control tratado con levotiroxina, tabaquismo positivo, antecedente de biopsia de cavidad oral izquierda realizada bajo bloqueo de nervio trigémino ipsilateral ecoguiado.

Inicia padecimiento actual por presentar dolor en área mandibular izquierda de dos años de evolución tratada con ketoprofeno, paroxetina, tapentadol y lorazepam, presentando mejoría parcial. Un mes antes de la intervención actual, se realizó toma de biopsia, en la cual no se observaron células neoplásicas, por lo que se decidió realizar bloqueo analgésico del nervio trigémino ecoguiado presentando mejoría parcial. Sin embargo, regresa con incremento de tamaño en región temporomandibular izquierda, así como dolor 10/10.

A la exploración física, la paciente se encuentra consciente, orientada y cooperadora con adecuada coloración e hidratación, presenta masa palpable en región parotídea de lado izquierdo, cuello cilíndrico, tráquea central, sin adenopatías o adenomegalias visibles o palpables. En la valoración de la vía aérea: Mallampati IV, Patil-Aldreti II, distancia interincisiva III, distancia esternomentoniana I, protrusión mandibular clase I con un índice predictivo de intubación difícil de 11. Estudios de laboratorio y gabinete: hemoglobina 14 g/dL, hematocrito 43.2%, plaquetas 309 ×103/µL, leucocitos 6.05 ×103/µL, tiempo de protrombina (TP) 11.4 s, tiempo de trombina (TT) 13.4 s, tiempo de tromboplastina parcial activado (TPT) 32.0 s, índice internacional normalizado (INR) 0.94. Electrocardiograma sin datos patológicos, ecocardiograma transtorácico (ECOTT): presión sistólica arterial pulmonar (PSAP) 51 mmHg, fracción de eyección del ventrículo izquierdo (FEVI) conservada, sin vegetaciones presentes.

Ante lo presentado, cirugía oncológica decide realizar exploración de cavidad oral bajo anestesia con probable retiro de lesión tumoral o drenaje de absceso profundo de cuello. Por lo expuesto anteriormente, se opta por realizar la intubación con la paciente despierta.



MANEJO ANESTÉSICO

En el preoperatorio se realizó anestesia tópica de la vía aérea mediante micronebulizaciones de lidocaína 100 mg, así como la aplicación de lidocaína en aerosol al 2% en la cavidad oral. La efectividad de la anestesia tópica se verificó utilizando un abatelenguas para observar la disminución del reflejo nauseoso.

Posteriormente, la paciente fue trasladada al quirófano, donde se procedió a colocar monitoreo no invasivo, incluyendo el monitor de índice de reserva de oxígeno (ORI). Se inició el proceso de preoxigenación mediante ventilación con mascarilla a 12 L/min durante un período de 10 minutos, logrando un incremento de ORI de 0.8. Se administraron fentanilo 50 μg y dexmedetomidina en infusión a una dosis de 0.2 μg/kg/min. Se realizó un abordaje de la vía aérea con intubación orotraqueal con la paciente despierta; la inserción del tubo endotraqueal se llevó a cabo sin incidentes, utilizando un broncoscopio flexible Ambu® aScope™ 4 Broncho Slim 3.8/1.2, a través de cánula de Ovassapian, se introdujo lentamente el broncoscopio flexible con método "rocíe a medida que avanza" con lidocaína al 2% (Video 1). Logrando adecuada anestesia tópica, se administró lidocaína transtraqueal por cuerdas vocales, se colocó tubo endotraqueal alma de acero con globo No. 7.5 mm, marca Nnuvër sin incidentes (Figura 1). Tras verificar la correcta posición del tubo mediante la capnografía, se completó la inducción anestésica con propofol 150 mg, fentanilo 150 μg (dosis total) y rocuronio 50 mg (Figura 2). Durante el mantenimiento anestésico, se empleó ventilación mecánica a volumen controlado, con parámetros específicos ajustados según el protocolo, y se administró sevoflurano al 2 vol%.

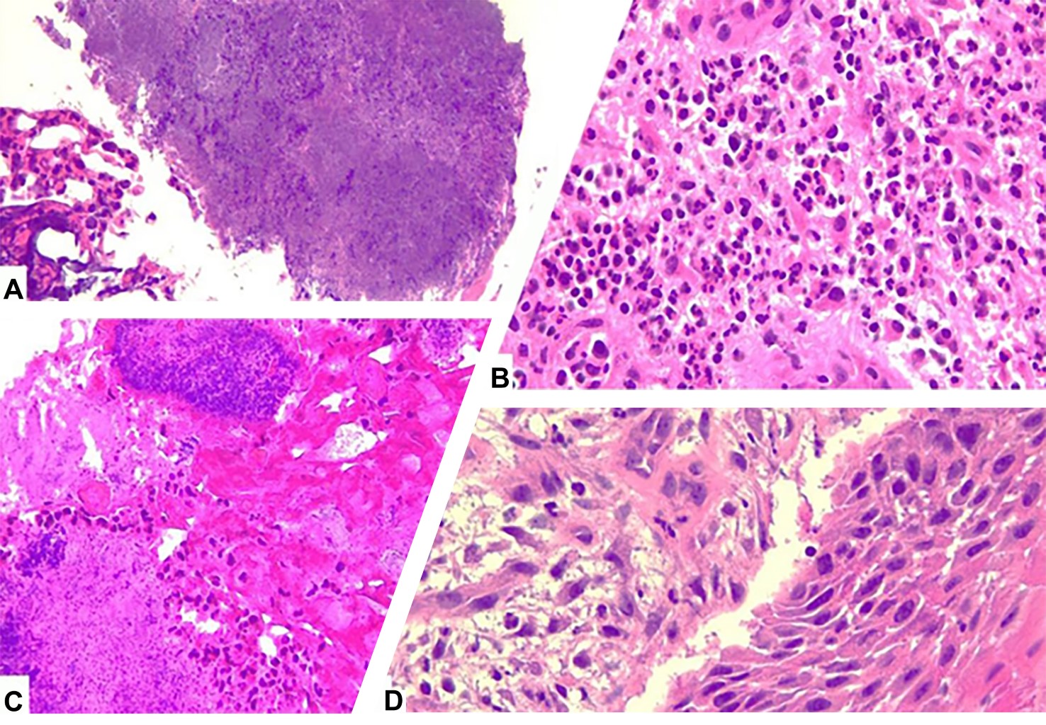
Se realizó una nueva toma de biopsia antes del retiro del tumor. Los resultados de la biopsia de mucosa oral y de hueso mandibular señalaron: mucosa oral con acentuada inflamación, zonas de proliferación vascular capilar y presencia de microorganismos morfológicamente consistente con actinomices (Figura 3). Como consecuencia de resultados compatibles con una infección por actinomices, se decidió interrumpir el procedimiento quirúrgico y comenzar un tratamiento antimicrobiano dirigido por el equipo de infectología. Para finalizar la anestesia, se realizó la reversión farmacológica mediante la administración de sugammadex de 200 mg, y se retiró el tubo endotraqueal después de aspirar las secreciones, con la presencia de reflejos de la vía aérea y una adecuada recuperación de la paciente en el postoperatorio inmediato. Se dio de alta a la paciente al día siguiente con tratamiento antimicrobiano específico y seguimiento por la consulta externa.



DISCUSIóN

La intubación traqueal con el paciente despierto es una técnica que implica colocar un tubo por vía orotraqueal o nasotraqueal, manteniendo automatismo respiratorio espontáneo. Las técnicas que se utilizan con mayor frecuencia requieren el uso de broncoscopio flexible o videolaringoscopio, esto permite asegurar la vía aérea antes de someter a un paciente a la inducción de la anestesia, conservando los reflejos protectores de la vía aérea.

La intubación traqueal con el paciente despierto tiene una alta tasa de éxito y un perfil de bajo riesgo, además, ha sido citada como el estándar de oro en el tratamiento de las vías respiratorias para una vía aérea difícil predicha(2). Está indicada en pacientes en los que se predice un manejo difícil de las vías aéreas respiratorias, principalmente por la presencia de patología de cabeza y cuello (incluidos tumores malignos, cirugía previa o radioterapia); lesiones obstructivas, presencia de predictores de vía aérea difícil, apertura de la boca reducida; extensión limitada del cuello; apnea obstructiva del sueño; obesidad mórbida y compromiso progresivo de las vías respiratorias, ya que la presencia de alguno de estos factores, representa un mayor riesgo de falla en la ventilación con mascarilla facial, laringoscopía directa, videolaringoscopía y vía aérea potencialmente quirúrgica(3).

La técnica de intubación que elegimos para la intubación en paciente despierto fue a través de broncoscopía flexible, las consideraciones a tomar en cuenta para nuestra paciente fueron: 1) presencia de tumoración en cabeza y cuello (región temporomandibular izquierda); 2) abordaje quirúrgico a realizar (exploración de cavidad oral con retiro de tumor y/o drenaje de absceso profundo de cuello); 3) presencia de predictores de vía aérea difícil; 4) daño en articulación temporomandibular (limitada apertura de la cavidad oral); 5) probable destrucción de estructuras adyacentes (daño secundario a extensión de la tumoración, evolución rápida en días de la presentación clínica, presencia de absceso profundo de cuello); y 6) recomendación en el tratamiento de los abscesos profundos del cuello(4).

Las pautas que describe la Difficult Airway Society para intubación con el paciente despierto en adultos con éxito abarca cuatro grandes rubros: oxigenación suplementaria, anestesia tópica efectiva, ejecución del procedimiento y sedación mínima. La anestesia sólo se debe inducir después de realizar una verificación exhaustiva de una adecuada colocación del tubo endotraqueal mediante: confirmación visual comparativa de la expansión simétrica del tórax, capnografía y la corroboración visual de la posición correcta a través del broncoscopio flexible(5).



CONCLUSIONES

Asegurar la vía aérea en pacientes con riesgo de colapso es esencial. En este caso, se logró con éxito mediante los siguientes pasos: 1) evaluación preoperatoria exhaustiva de las vías respiratorias; 2) selección de la técnica más segura para una intubación difícil prevista; 3) consideración de la intubación con broncoscopía flexible con el paciente despierto en casos de apertura bucal limitada; y 4) aseguramiento de la vía aérea mediante intubación con el paciente despierto.

La técnica de intubación con el paciente despierto es una modalidad segura y eficaz, considerada el estándar de oro en la gestión de vías aéreas difíciles predichas. Este enfoque subraya la importancia de que los anestesiólogos dominen diversas técnicas y vías de acceso, lo cual mejora significativamente el abordaje transanestésico y previene complicaciones graves, tales como fallas en la ventilación con mascarilla facial, dificultades en laringoscopía directa o videolaringoscopía, y la necesidad de una intervención quirúrgica de emergencia para asegurar la vía aérea de los pacientes.


REFERENCIAS (EN ESTE ARTÍCULO)

  1. Cardenas-de la Garza JA, Welsh O, Cuellar-Barboza A, Suarez-Sanchez KP, Cruz-Gomez LG, De la Cruz-Valadez E, et al. Climate, soil type, and geographic distribution of actinomycetoma cases in Northeast Mexico: A cross-sectional study. PLoS One. 2020;15:e0232556. doi: 10.1371/journal.pone.0232556.

  2. Cristian IAH, Tania SR, Adolfo PC, Verónica RV, Sandra RM, Horacio OM. Utility of advanced airway assessment in the awake patient: case series. Anaesth Critic Care Med J. 2023,8:000215.

  3. Aziz MF, Kristensen MS. From variance to guidance for awake tracheal intubation. Anaesthesia. 2020;75:442-446. doi: 10.1111/anae.14947.

  4. Teah MK, Liew EHR, Wong MTF, Yeap TB. Secrets to a successful awake fibreoptic intubation (AFOI) on a patient with odentogenous abscess. BMJ Case Rep. 2021;14:e238600. doi: 10.1136/bcr-2020-238600.

  5. Ahmad I, El-Boghdadly K, Bhagrath R, Hodzovic I, McNarry AF, Mir F, et al. Difficult Airway Society guidelines for awake tracheal intubation (ATI) in adults. Anaesthesia. 2020;75:509-528. doi: 10.1111/anae.14904.



AFILIACIONES

1 Hospital Ángeles Lomas. México.

2 Residente de Anestesiología.

3 Médico anestesiólogo.

4 Médico patólogo.

5 ORCID: 0009-0001-2970-674X



CORRESPONDENCIA

Dra. Xiomara García-Salazar. E-mail: gs.xiomara.1206@gmail.com




Recibido: 12-02-2025. Aceptado: 26-03-2025

Figura 1
Figura 2
Figura 3
Figura 4

2020     |     www.medigraphic.com

Mi perfil

C?MO CITAR (Vancouver)

Rev Mex Anest. 2026;49

ARTíCULOS SIMILARES

CARGANDO ...