medigraphic.com
ENGLISH

Acta Médica Grupo Angeles

Órgano Oficial del Hospital Angeles Health System
  • Mostrar índice
  • Números disponibles
  • Información
    • Información general        
    • Directorio
  • Publicar
    • Instrucciones para autores        
    • Envío de artículos
    • Políticas
    • Nombre y afiliación del Comité Editorial
  • Nosotros
    • Plan de gestión e intercambio de datos
    • Objetivos declarados y alcance
  • medigraphic.com
    • Inicio
    • Índice de revistas            
    • Registro / Acceso
  • Mi perfil

2026, Número 2

<< Anterior Siguiente >>

Acta Med 2026; 24 (2)


Condromatosis sinovial secundaria, enfoque por resonancia magnética

Rebolledo Casas, Joana Andrea1,4; Jaramillo Arriaga, Fernando1,5; Enríquez Muñoz, Eduardo Alfredo1,6; Martínez Ovis, Carolina2,7; González Ramírez, Cynthia Nalleli2,8; Gómez Pérez, María de Guadalupe3,9
Texto completo Cómo citar este artículo 10.35366/122620

DOI

DOI: 10.35366/122620
URL: https://dx.doi.org/10.35366/122620
Artículos similares

Idioma: Español
Referencias bibliográficas: 5
Paginas: 147-149
Archivo PDF: 479.28 Kb.


PALABRAS CLAVE

resonancia magnética, condromatosis sinovial, condromatosis sinovial secundaria, gonartrosis, rodilla.

RESUMEN

La condromatosis sinovial es una patología benigna y poco frecuente. En cuanto a su epidemiología, la forma primaria es rara; mientras que la forma secundaria presenta un porcentaje más elevado, ya que se relaciona con traumatismos, osteoartrosis y osteoartropatías. Suele afectar articulaciones grandes, como la rodilla, lo que explica su mayor prevalencia en este tipo de población. En nuestro caso, analizamos a una paciente de sexo femenino con impresión diagnóstica inicial de gonartrosis y sensación de bloqueo en la rodilla; posteriormente, tras la revisión de los estudios de imagen, se confirmó el diagnóstico y se estableció como diagnóstico secundario la presencia de condromatosis sinovial secundaria.



INTRODUCCIóN

La condromatosis sinovial es un proceso benigno que da lugar a la producción de múltiples nódulos cartilaginosos metaplásicos en el espesor de los tejidos conectivos de vainas tendinosas, membrana sinovial y bursas articulares,1 típicamente autolimitado, que puede recurrir localmente. Sin embargo, su apariencia histológica puede sugerir una neoplasia condroide más agresiva (condrosarcoma) y la correlación radiológica para localizar el proceso como de base sinovial es vital para un diagnóstico correcto.2

La condromatosis sinovial se ha dividido en formas primarias y secundarias; la condromatosis sinovial primaria afecta típicamente a adultos, predominantemente hombres, en la tercera a quinta décadas de la vida, y la rodilla es el sitio más comúnmente afectado. Y la secundaria se asocia con anomalías articulares, como afecciones mecánicas o artríticas, que causan cuerpos condrales intraarticulares. La enfermedad se presenta en tres fases: metaplasia sinovial sin cuerpos libres, coexistencia de metaplasia sinovial con cuerpos libres y cuerpos libres sin existencia de metaplasia en la sinovial.3,4

Los hallazgos radiológicos suelen ser patognomónicos. Los hallazgos en la resonancia magnética son más variables y dependen del grado de mineralización; sin embargo, el patrón más común (77% de los casos) muestra una intensidad de señal baja a intermedia en T1 y una intensidad de señal muy alta en T2, con calcificaciones hipointensas.5



PRESENTACIóN DEL CASO

Femenino de 59 años, con antecedente de práctica deportiva constante en años previos; actualmente realiza natación, yoga y pilates. Refiere antecedente de gonartrosis grado II y derrame articular en dos ocasiones. Dos semanas antes de la realización del estudio presentó dolor con limitación funcional y sensación de bloqueo articular transitorio al apoyar la extremidad para salir de la alberca, motivo por el cual acudió a la institución.

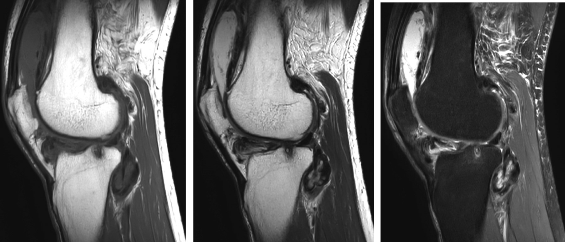
Se realizó estudio de resonancia magnética (Figura 1), en el que se identificó aumento de volumen de los tejidos blandos y aumento de la cantidad de líquido sinovial, el cual se observa heterogéneo, con presencia en su interior de imágenes ovoides, de bordes bien definidos y de baja intensidad de señal en T1 y T2. Se observa afectación del compartimento posterior, posterior a las fibras del ligamento cruzado posterior, posterior al borde posterolateral de la tibia, en la topografía de la grasa de Hoffa, posterior al cóndilo femoral lateral y en la región suprapatelar.



DISCUSIóN

La condromatosis sinovial secundaria es una entidad de diagnóstico cada vez más frecuente debido al avance de las técnicas no invasivas en este contexto la resonancia magnética (RM) se ha considerado como una herramienta fundamental, proporcionando información crítica sobre la localización intra o extraarticular, el tamaño de los cuerpos libres y la presencia de sinovitis reactiva o derrame articular. Asimismo, la RM permite identificar signos sugestivos de transformación maligna y caracterizar la patología subyacente. Estos hallazgos son esenciales para ayudar al clínico a optimizar el manejo del paciente y establecer una correlación precisa entre la radiología y la anatomía patológica.



CONCLUSIONES

Las imágenes por resonancia magnética constituyen una herramienta no invasiva para el diagnóstico de la condromatosis sinovial secundaria y de su desencadenante, con alta sensibilidad y especificidad.

La descripción de las características por resonancia magnética de la condromatosis sinovial secundaria proporciona pautas importantes que explican la sintomatología y orientan al clínico para optimizar el manejo.

Existe una fuerte correlación entre los hallazgos descritos por resonancia magnética y los reportados por patología en el diagnóstico de condromatosis sinovial secundaria.


REFERENCIAS (EN ESTE ARTÍCULO)

  1. Covall DJ, Fowble CD. Arthroscopic treatment of synovial chondromatosis of the shoulder and biceps tendon sheath. Arthroscopy. 1993; 9 (5): 602-604.

  2. Murphey MD, Vidal JA, Fanburg-Smith JC, Gajewski DA. Imaging of synovial chondromatosis with radiologic-pathologic correlation. Radiographics. 2007; 27 (5): 1465-1488. doi: 10.1148/rg.275075116.

  3. Miller MV, King A, Mertens F. Synovial chondromatosis. In: Fletcher CDM, Unni KK, Mertens F, eds. Pathology and genetics of tumours of soft tissue and bone. 3ª ed. Lyon (France): IARC Press; 2002. p. 246.

  4. Weiss SW, Goldblum JR. Cartilaginous soft tissue tumors. In: Enzinger and Weiss's soft tissue tumors. 4th ed. Philadelphia, PA: Mosby; 2001. pp. 1368-1388.

  5. Dunn EJ, McGavran MH, Nelson P, Greer RB 3rd. Synovial chondrosarcoma. Report of a case. J Bone Joint Surg Am. 1974; 56 (4): 811-813.



AFILIACIONES

1 Médico residente de Alta Especialidad en Resonancia Magnética del Sistema Musculoesquelético, Hospital Angeles Pedregal (HAP). Ciudad de México, México.

2 Médico residente de Alta Especialidad en Resonancia Magnética de Cuerpo Completo, HAP. Ciudad de México, México.

3 Médico radiólogo, especialista en Resonancia Magnética. Profesor titular de los Cursos de Alta Especialidad de Resonancia Magnética de Cuerpo Completo y Sistema Musculoesquelético. HAP.
orcid:

4 0000-0002-9697-2167

5 0009-0008-3014-0078

6 0009-0004-4033-0183

7 0000-0001-6793-0171

8 0000-0002-9767-900X

9 0009-0005-3498-5594



Si desea consultar los datos complementarios de este artículo, favor de dirigirse a editorial.actamedica@saludangeles.mx



CORRESPONDENCIA

Joana Andrea Rebolledo Casas. Correo electrónico: jhoanacasas@gmail.com




Recibido: 02-10-2024. Aceptado: 29-10-2024.

Figura 1

2020     |     www.medigraphic.com

Mi perfil

C?MO CITAR (Vancouver)

Acta Med. 2026;24

ARTíCULOS SIMILARES

CARGANDO ...