medigraphic.com
ENGLISH

Acta Médica Grupo Angeles

Órgano Oficial del Hospital Angeles Health System
  • Mostrar índice
  • Números disponibles
  • Información
    • Información general        
    • Directorio
  • Publicar
    • Instrucciones para autores        
    • Envío de artículos
    • Políticas
    • Nombre y afiliación del Comité Editorial
  • Nosotros
    • Plan de gestión e intercambio de datos
    • Objetivos declarados y alcance
  • medigraphic.com
    • Inicio
    • Índice de revistas            
    • Registro / Acceso
  • Mi perfil

2026, Número 2

<< Anterior Siguiente >>

Acta Med 2026; 24 (2)


Compresión del nervio tibial por ganglión de articulación tibioperonea proximal. Diagnóstico excepcional

Magaña Reyes, Jorge Ignacio1; Domínguez Carrillo, Luis Gerardo2,3; Domínguez Gasca, Luis Gerardo2,4
Texto completo Cómo citar este artículo 10.35366/122626

DOI

DOI: 10.35366/122626
URL: https://dx.doi.org/10.35366/122626

Idioma: Español
Referencias bibliográficas: 5
Paginas: 163-164
Archivo PDF: 723.72 Kb.


PALABRAS CLAVE

Sin palabras Clave

RESUMEN

     



INTRODUCCIóN

Los quistes ganglionares son estructuras llenas de líquido que se desarrollan cerca de las articulaciones y los tendones. La compresión neural puede originar parálisis, parestesia y pérdida de función según el grado de compresión y el nervio afectado.1 La articulación tibioperonea proximal es un sitio poco frecuente de desarrollo de gangliones, la compresión del nervio peroneo debido a un quiste ganglionar en la articulación tibioperonea proximal es infrecuente;2 la compresión del nervio tibial por esta causa es excepcional. El reconocimiento y el tratamiento rápidos son esenciales para evitar sus complicaciones.



CASO CLíNICO

Masculino de 21 años, jugador de balompié a nivel semiprofesional, que es enviado a rehabilitación con cuadro de tres meses de evolución caracterizado por dificultad para sostenerse de puntas sobre pie derecho, además de parestesias en talón y porción plantar externa de pie derecho; acudió con resonancia magnética de columna lumbosacra normal.

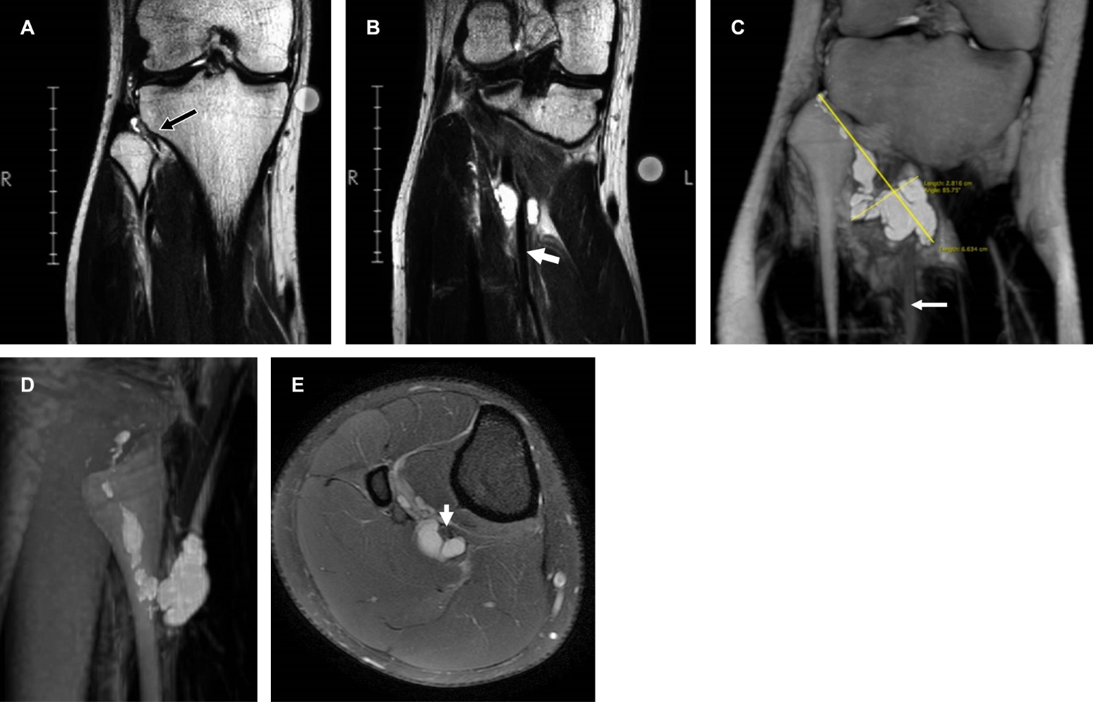
A la exploración dirigida: arcos de movilidad completos en miembro pélvico derecho; el examen clínico muscular en escala de Daniels mostró glúteos mayor, medio y menor, semimembranoso, semitendinoso, bíceps crural, tibial anterior, peroneos y extensor común de los dedos en 5/5; tríceps sural, plantar delgado, tibial posterior y flexores de los dedos en 3/5; hipoestesia en territorio plantar del talón y nervio plantar externo, abarcando mitad externa de cuarto dedo del pie. Reflejo rotuliano normal, Aquíleo disminuido. Con diagnóstico de compresión del nervio tibial a nivel de vértice inferior de hueco poplíteo, se efectuó resonancia magnética que mostró ganglión dependiente de articulación tibioperonea proximal. Se derivó a cirugía articular para su manejo quirúrgico.



COMENTARIOS

Los gangliones son lesiones pseudotumorales de aspecto quístico, de paredes regulares y bien definidas, se presentan como masas de partes blandas en tejidos yuxtaarticulares, pueden aumentar o reducir espontáneamente su tamaño intermitentemente, pueden ser uni o multilobulados, de contenido espeso, gelatinoso o mucoide; provienen de la degeneración de un quiste sinovial o de degeneración mucoide de tejido conectivo yuxtaarticular secundario a lesión postraumática.1 Son más frecuentes en jóvenes entre los 20 y 40 años, con predominio en el sexo femenino con relación 3:1; su incidencia varía con su localización. En cuanto a su presencia en la articulación tibioperonea proximal,2 Ilahi y colaboradores3 lo reportan en 0.76%, cuando se encuentra en esta localización, los reportes indican puede existir compresión del nervio ciático poplíteo externo y/o nervio peroneo,2-4 siendo extraordinaria la compresión del nervio tibial.

La resonancia magnética es de elección5 para su estudio, determinando su localización anatómica y extensión hacia planos profundos (Figura 1). El tratamiento quirúrgico se utiliza cuando el ganglión es sintomático,1 ya que existe alta tasa de recidiva con manejo conservador como punción, aspiración o inyección de esteroides, lidocaína u otras sustancias.


REFERENCIAS (EN ESTE ARTÍCULO)

  1. Gonzalez M, Castillo-Flores S, Portmann-Baracco A, Pretell-Mazzini J. Ganglion cysts arising from the proximal tibiofibular joint: treatment approach and associated outcomes-A systematic review. HSS Journal. The Musculoskeletal Journal of Hospital for Special Surgery. 2023; 20 (4): 556-566. doi: 10.1177/15563316231172510.

  2. Nirguna T, Daniel W, JTaylor M. Spontaneous proximal tibiofibular joint ganglion cyst as a rare cause of acute foot drop: a case report. J Musculoskelet Disord Treat. 2021; 7: 95. doi: 10.23937/2572-3243.1510095.

  3. Ilahi OA, Younas SA, Labbe MR. Prevalence of ganglion cysts originating from the proximal tibiofibular joint: a magnetic resonance imaging study. Arthrosccopy. 2003; 19 (2): 150-153. doi: 10.1053/jars.2003.50007.

  4. Khan G, Kazmi Z, Khan B, Khan N, Datta S. Ganglion cyst at the proximal tibiofibular joint - A rare cause of compression neuropathy of the peroneal nerve. Radiol Case Rep. 2022; 17 (1): 99-102. doi: 10.1016/j.radcr.2021.10.004.

  5. Al Dofri S, Ganglion cyst of the proximal tibiofibular joint. Case study, Radiopaedia. doi: 10.53347/rID-191530.



AFILIACIONES

1 Hospital Angeles León. León, Guanajuato. México.

2 Radiólogo. Radiología e Imagenología. Gestalt Imagen. León, Guanajuato. México. ORCID: 0000-0001-5068-5958.

3 Especialista en Medicina de Rehabilitación. División de Medicina. ORCID: 0000-0002-1985-4837.

4 Ortopedista. Cirugía articular. División de Cirugía. ORCID: 0000-0002-4773-2140.



Si desea consultar los datos complementarios de este artículo, favor de dirigirse a editorial.actamedica@saludangeles.mx



CORRESPONDENCIA

Dr. Luis Gerardo Domínguez Carrillo. Correo electrónico: lgdominguez@hotmail.com




Recibido: 01-08-2024. Aceptado: 22-08-2024.

Figura 1

2020     |     www.medigraphic.com

Mi perfil

C?MO CITAR (Vancouver)

Acta Med. 2026;24

ARTíCULOS SIMILARES

CARGANDO ...