medigraphic.com
ENGLISH

Acta Médica Grupo Angeles

Órgano Oficial del Hospital Angeles Health System
  • Mostrar índice
  • Números disponibles
  • Información
    • Información general        
    • Directorio
  • Publicar
    • Instrucciones para autores        
    • Envío de artículos
    • Políticas
    • Nombre y afiliación del Comité Editorial
  • Nosotros
    • Plan de gestión e intercambio de datos
    • Objetivos declarados y alcance
  • medigraphic.com
    • Inicio
    • Índice de revistas            
    • Registro / Acceso
  • Mi perfil

2026, Número 2

<< Anterior Siguiente >>

Acta Med 2026; 24 (2)


Hernia discal lateral extraforaminal extrema

Alcocer Maldonado, José Luis1,2; Domínguez Gasca, Luis Gerardo1,3; Domínguez Carrillo, Luis Gerardo4
Texto completo Cómo citar este artículo 10.35366/122627

DOI

DOI: 10.35366/122627
URL: https://dx.doi.org/10.35366/122627

Idioma: Español
Referencias bibliográficas: 5
Paginas: 165-167
Archivo PDF: 808.57 Kb.


PALABRAS CLAVE

Sin palabras Clave

RESUMEN

     



INTRODUCCIóN

Las hernias discales extremas laterales representan entre el 0.7 y 11.7% de todas las hernias lumbares descritas por Abdullah en 1974. El nivel L4/L5 es el más frecuente, la irradiación del dolor no siempre ocurre en el dermatoma correspondiente a la hernia, reportándose en más del 60% en la raíz inmediata proximal a la hernia discal.



CASO CLíNICO

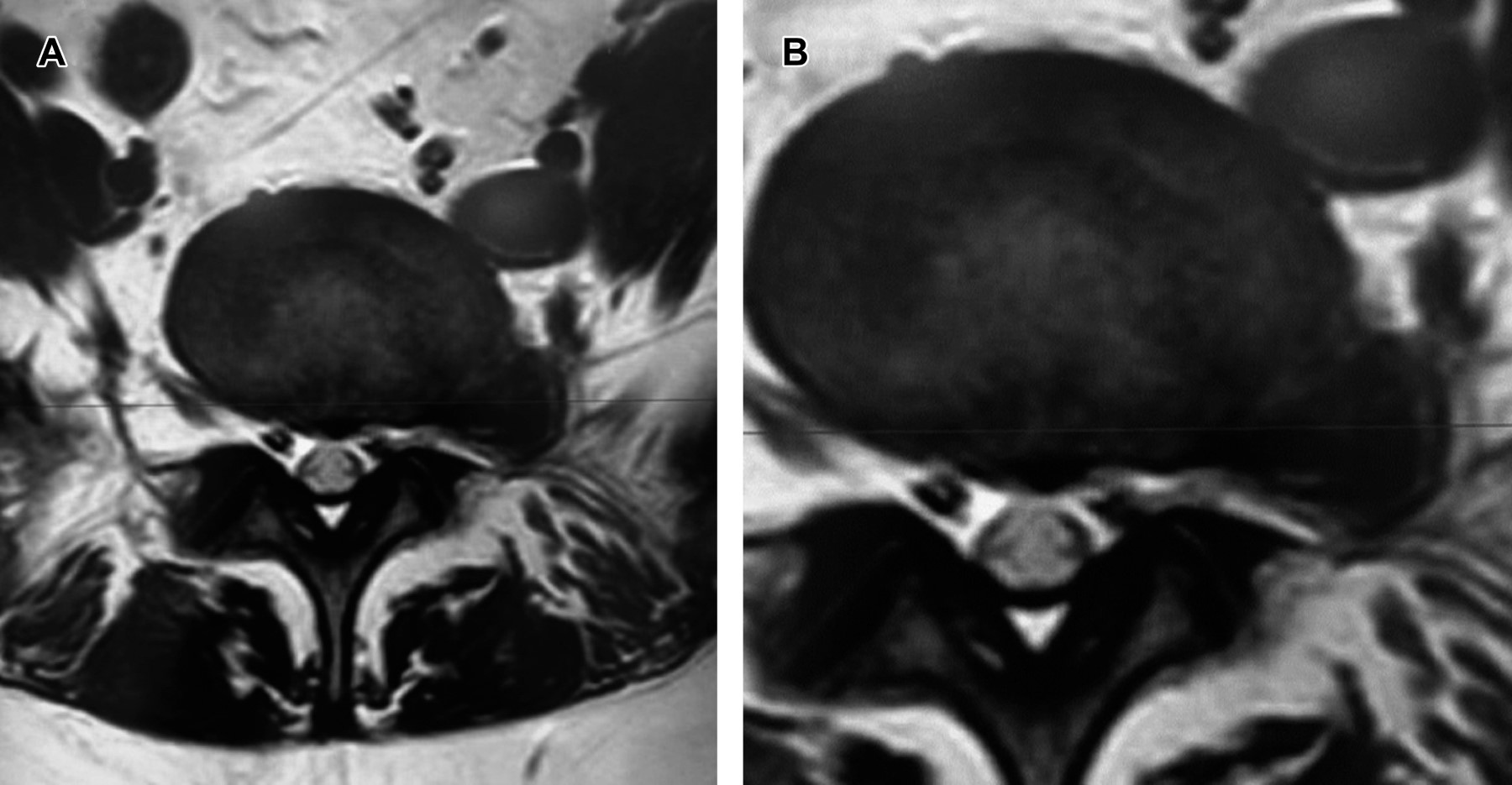
Femenino de 21 años, quien ocho días antes inició con dolor ciático izquierdo incapacitante para la ambulación. A la exploración: hipoestesia en territorio L4 izquierdo, Laségue positivo izquierdo a 10°; reflejo patelar izquierdo disminuido, Aquíleo normal; llenado capilar y pulsos normales. La resonancia magnética mostró disco extraforaminal L5/S1 con migración lateral "extrema" izquierda.

Se intervino quirúrgicamente mediante hemilaminectomía con foraminotomía izquierda L5, encontrando a la raíz normal en todo su trayecto, se retiró parcialmente la faceta L4/L5, encontrando el disco extruido en la parte inferior interna de la raíz L4, se retiró el disco extruido en su totalidad, dejando a la raíz libre. La evolución mostró desaparición total del dolor y se dio su alta 24 horas después (Figuras 1 y 2).



COMENTARIOS

La hernia discal extraforaminal lateral extrema1 (HDELE) se define como la que ocurre debajo o lateral a la faceta vertebral, su incidencia varía de 0.7 a 11.7%. Las series más grandes de HDELE corresponden a Porchet y colaboradores2 (178 casos), Epstein1 (170 casos) y Abdullah y colegas3 (138 casos). En dos series se describe que la mayor frecuencia se encuentra en L4/L5, siguiendo el nivel L5/S1, excepto en el grupo de Porchet que menciona mayor frecuencia en L3/L4.

En cuanto a sintomatología, el dolor –ya sea de tipo ciático o femoral– es el síntoma dominante de radiculopatía, la irradiación del dolor no siempre se produce en el dermatoma correspondiente a la imagen, reportándose en más del 60% en la raíz inmediata proximal a la posición de la HDELE; en niveles L2/L3 y L3/L4 por lo general sólo origina lumbalgia (76.2%), en los niveles inferiores se originan con mayor frecuencia síntomas de compresión radicular moderados o severos (59.6%). La prueba de tracción del nervio femoral es positiva en 84.4%; los déficits motores son más frecuentes (78.8%) que los sensoriales (46.6%), generalmente de tipo monorradicular.

El diagnóstico de certeza sólo es posible con la investigación imagenológica a instrumental,3 siendo la resonancia magnética de elección en el diagnóstico. La compresión de la raíz nerviosa por el disco herniado en el área extraforaminal se demuestra claramente en nueve de cada 10 casos cuando se compara con el lado contralateral asintomático mediante imagen de resonancia magnética lumbar oblicua.4

Respecto al tratamiento, Epstein1 comparó las indicaciones y beneficios de varios abordajes quirúrgicos en 170 pacientes (edad promedio de 55 años) con hernias discales lumbares (HDL), identificadas por resonancia magnética y tomografía computarizada; con abordaje intertransverso los resultados buenos o excelentes alcanzaron 79% en comparación con abordajes de facetectomía (70%) y laminectomía mínima más hemilaminectomía adicional (68%). En el tratamiento de los discos muy laterales, la facetectomía total proporciona la mejor exposición, pero aumenta el riesgo de inestabilidad. El nuevo abordaje transfacetario endoscópico5 es actualmente implementado.


REFERENCIAS (EN ESTE ARTÍCULO)

  1. Epstein NE. Evaluation of varied surgical approaches used in the management of 170 far-lateral lumbar disc herniations: indications and results. J Neurosurg. 1995; 83 (4): 648-656. Available in: doi.org/10.3171/jns.1995.83.4.0648

  2. Porchet F, Fankhauser H, de Tribolet N. Extreme lateral lumbar disc herniation: clinical presentation in 178 patients. Acta Neurochir. 1994; 127: 203-209. Available in: doi.org/10.1007/BF01808767

  3. Abdullah AF, Wolber GP, Warfield RJ, Gunadi IK. Surgical management of extreme lateral lumbar disc herniations: review of 138 cases. Neurosurgery. 1988; 22: 648-653.

  4. Kim DG, Eun JP, Park JS. New diagnostic tool for far lateral lumbar disc herniation: the clinical usefulness of 3-tesla magnetic resonance myelography comparing with the discography CT. J Korean Neurosurg Soc. 2012; 52 (2): 103-106. Available in: doi.org/10.3340/jkns.2012.52.2.103

  5. De Zavalía M, Gobbi E, Yeregui S. Hernia extraforaminal en el espacio L5-S1 tratada por abordaje transfacetario endoscópico. Presentación de un caso y nota técnica. Rev Asoc Argent Ortop Traumatol. 2024; 89: 70-75. Disponible en: doi.org/10.15417/issn.1852-7434.2024.89.1.1856



AFILIACIONES

1 Hospital Angeles León. León, Guanajuato. México.

2 Neurocirujano. División de Cirugía. ORCID: 0009-0001-7173-3418.

3 Ortopedista. Cirugía articular. División de Cirugía. ORCID: 0000-0002-4773-2140.

4 Especialista en Medicina de Rehabilitación. Catedrático de la Facultad de Medicina de León, Universidad de Guanajuato. México. ORCID: 0000-0002-1985-4837



Si desea consultar los datos complementarios de este artículo, favor de dirigirse a editorial.actamedica@saludangeles.mx



CORRESPONDENCIA

Dr. Luis Gerardo Domínguez Carrillo. Correo electrónico: lgdominguez@hotmail.com




Recibido: 12-08-2024. Aceptado: 07-10-2024.

Figura 1
Figura 2

2020     |     www.medigraphic.com

Mi perfil

C?MO CITAR (Vancouver)

Acta Med. 2026;24

ARTíCULOS SIMILARES

CARGANDO ...