medigraphic.com
ENGLISH

Neurología, Neurocirugía y Psiquiatría

ISSN 0028-3851 (Impreso)
  • Mostrar índice
  • Números disponibles
  • Información
    • Información general        
    • Directorio
  • Publicar
    • Instrucciones para autores        
  • medigraphic.com
    • Inicio
    • Índice de revistas            
    • Registro / Acceso
  • Mi perfil

2024, Número 2-3

<< Anterior Siguiente >>

Rev Neurol Neurocir Psiquiat 2024; 52 (2-3)


Normalización forzada tras cirugía de epilepsia del lóbulo temporal derecho: reporte de un caso

San-Juan, Daniel1; Wong-Valenzuela, Emilio Israel1
Texto completo Cómo citar este artículo 10.35366/122637

DOI

DOI: 10.35366/122637
URL: https://dx.doi.org/10.35366/122637
Artículos similares

Idioma: Español
Referencias bibliográficas: 6
Paginas: 74-77
Archivo PDF: 397.92 Kb.


PALABRAS CLAVE

epilepsia, psicosis, cirugía de epilepsia, normalización forzada, tratamiento quirúrgico.

RESUMEN

Introducción: la comorbilidad entre psicosis y epilepsia puede ocurrir de diferentes maneras. El fenómeno de normalización forzada (NF) se caracteriza por la desaparición de la actividad epileptiforme en el electroencefalograma o la libertad de crisis después del tratamiento en pacientes con epilepsia acompañado de la aparición de síntomas psicóticos. Presentación del caso: presentamos a una mujer de 44 años con epilepsia del lóbulo temporal, en la que la lobectomía temporal derecha fue eficaz para el control de sus crisis convulsivas, pero que desarrolló NF. Conclusión: la NF es más frecuente en epilepsia del lóbulo temporal. Los brotes psicóticos por NF son manejados principalmente modificando el tratamiento anticrisis que lo originó, sin embargo, en pacientes sometidos a cirugía de epilepsia esto no es siempre posible.



INTRODUCCIóN

La comorbilidad entre psicosis y epilepsia puede ocurrir de diferentes maneras, y puede ser clasificada en relación con las crisis epilépticas (psicosis ictal, postictal o interictal) o su tratamiento (normalización forzada [NF] o psicosis de novo después de la cirugía de epilepsia).1

El fenómeno de NF, también conocido como psicosis alternativa, fue descrito por primera vez en 1953 por Landolt, quien observó la desaparición de la actividad epileptiforme en el electroencefalograma de pacientes con epilepsia acompañado de la aparición de síntomas psicóticos.2 Desde entonces, la definición de NF ha ido evolucionando y hoy en día sigue siendo un fenómeno subdiagnosticado, debido a la falta de conocimiento de la entidad clínica por muchos profesionales de la salud y la falta de criterios diagnósticos estandarizados.3

A continuación, presentamos el caso de una mujer de 44 años con epilepsia temporal sometida a lobectomía temporal derecha, la cual fue eficaz para el control de sus crisis epilépticas, pero que desarrolló el fenómeno de NF con psicosis.



PRESENTACIóN DEL CASO

Mujer de 44 años, producto de la gestación 3/4, nacida por parto espontáneo, quien sufrió hipoxia neonatal y requirió hospitalización en la Unidad de Cuidados Intensivos Neonatales durante una semana. Cuenta con antecedentes familiares de epilepsia focal por parte de su tío paterno.

Fue diagnosticada con epilepsia a los 18 meses de edad, con crisis epilépticas focales con alteración de la consciencia caracterizada por automatismos orolinguales y motores con movimiento de aleteo de la mano derecha, con duración de 15 segundos, con postictal caracterizado por fatiga. Recibió tratamiento con carbamazepina y fenitoína sin lograr libertad de crisis epilépticas por lo que, a los 29 años, se le realizó una lobectomía temporal anterior derecha con amigdalohipocampectomía por la presencia de esclerosis hipocampal en su resonancia magnética cerebral y electroencefalograma (EEG) interictal con enlentecimiento focal y actividad epileptiforme temporal derecha, la cual se realizó sin complicaciones ni incidentes, de forma posterior, recibió ácido valproico (400 mg-200 mg-400 mg) permaneciendo libre de crisis hasta la fecha. No obstante, durante su postoperatorio presentó neumonía nosocomial severa que ameritó manejo con ventilación mecánica y desarrolló un infarto cerebral de la arteria cerebral media derecha, por lo que egresó con afasia motora y hemiparesia izquierda; con rehabilitación en su seguimiento a 15 años se ha recuperado en un 70%.

En su seguimiento a nueve años después de la cirugía de epilepsia, presentó un episodio psicótico caracterizado por delirios de referencia y persecución, soliloquios, alucinaciones visuales y auditivas y dromomanía de dos meses de duración, por lo que recibió tratamiento con haloperidol 10 mg/día que mejoró sus síntomas psicóticos; lo suspendió al primer mes de forma voluntaria. Su citometría hemática, glucosa, pruebas renales, hepáticas, función tiroidea y punción lumbar fueron normales. El EEG mostró actividad extraña epileptiforme en el lóbulo temporal derecho. Posteriormente, permaneció sin síntomas psicóticos cinco años, y después presentó una recaída con un brote psicótico, caracterizado por soliloquios, alucinaciones auditivas y visuales complejas y peyorativas, en las que dice estar dando clases, dando órdenes y visualizando que la gente se ríe de ella, lo cual se acompaña de conducta de aislamiento e insomnio de conciliación y mantenimiento, con sensación de tristeza y anhedonia, por lo que inició tratamiento con risperidona (2 mg diarios) y fluoxetina (40 mg diarios) por 1.5 años, sin embargo, por empeoramiento de los síntomas psicóticos, se suspendió risperidona e inició olanzapina 5 mg/día, con lo que mejoró. En su última evaluación neuropsicológica se encontró con desorientación temporal parcial, una lentificación en los procesos cognitivos, volumen atencional disminuido, dificultades para mantener la atención, en la flexibilidad mental, memoria de trabajo e inhibición cognitiva que corresponden al funcionamiento ejecutivo; de manera adicional presentaba una alteración en la recuperación espontánea de la información visual, no obstante, no ha vuelto a presentar episodios psicóticos ni crisis epilépticas.



DISCUSIóN

La superposición entre psicosis y epilepsia ha sido ampliamente estudiada en el último siglo, y la incidencia anual de psicosis esquizofreniforme en pacientes con epilepsia es dos veces mayor que la de la esquizofrenia en la población general (0.4 frente a 0.2%). Se ha reportado que la incidencia de psicosis en la epilepsia del lóbulo temporal es mayor en comparación con los casos de epilepsia generalizada y extratemporal.2 Nuestra paciente cumple con los criterios de diagnóstico para NF propuestos por Krishnamoorthy4 que se muestran en la Tabla 1.

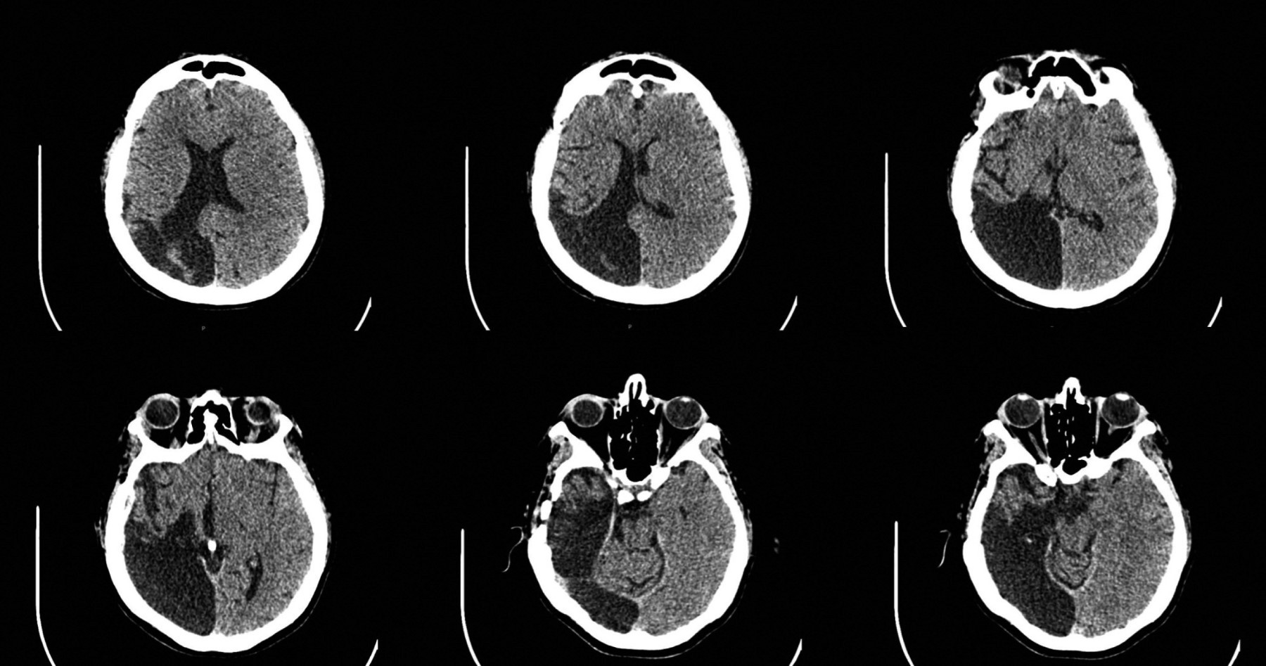
Una revisión sistemática realizada por Calle-López y colaboradores en la que se analizaron 77 episodios de 65 pacientes, mostró que la NF fue desencadenada en su mayoría por fármacos anticrisis (FAC) en 48.5% de los casos, principalmente levetiracetam, seguido de cirugía de la epilepsia en 31.8%, y 13.6% relacionada con la estimulación del nervio vago. En nuestra paciente, adicional a la cirugía de epilepsia, la presencia de un infarto de la arteria cerebral derecha (Figura 1) es un cofactor adicional que favoreció la aparición tardía de la NF, ya que se ha reportado la presencia de trastornos psicóticos de 4.67 a 5.05% en pacientes con evento cerebrovascular.5

De los casos quirúrgicos de epilepsia analizados en la revisión sistemática (21 pacientes), la lobectomía temporal derecha fue la más frecuente (10 casos, 47.6%), seguido de lobectomía temporal izquierda en seis pacientes (28.5%), cirugía del cuadrante posterior en dos pacientes (9.5%), cirugía frontal (un paciente), resección de ganglioglioma perisilviano izquierdo (un paciente) y resección de quiste epidermoide adyacente al lóbulo temporal derecho (un paciente), de los cuales no se reportaron complicaciones quirúrgicas ni postquirúrgicas.

Los mecanismos fisiopatológicos del fenómeno de NF no son claros, pero se ha propuesto, por medio de modelos animales, que un aumento en neurotransmisores como la dopamina y el GABA en áreas como el núcleo dentado, tienen un efecto anticonvulsivo y propsicótico4 y en los pacientes sometidos a cirugía de epilepsia, los cambios celulares en el área Cornu ammonis CA4 del núcleo dentado parecen ser la teoría más aceptada.6

Nuestra paciente, después de la cirugía de epilepsia y el ajuste de dosis del ácido valproico, ha permanecido libre de crisis epilépticas, sin embargo, ha tenido episodios psicóticos prolongados y recurrentes. El ácido valproico también se inició en el mismo periodo de tiempo que la cirugía de epilepsia, el cual se ha relacionado con los pacientes con NF en 6.2%.2



CONCLUSIONES

Los pacientes con NF, por lo general, son tratados con fármacos antipsicóticos para los brotes psicóticos de NF2 y en la mayoría de los casos cede al retirarse el tratamiento anticrisis que logró controlar la epilepsia. En el caso presentado, esta estrategia es más complicada al tratarse de un caso quirúrgico, sin embargo, se obtuvieron respuestas favorables de manera intermitente con haloperidol, risperidona y olanzapina y en su último seguimiento se ha mantenido sin crisis epilépticas ni manifestaciones psicóticas en el último año.


REFERENCIAS (EN ESTE ARTÍCULO)

  1. Nadkarni S, Arnedo V, Devinsky O. Psychosis in epilepsy patients. Epilepsia. 2007; 48 Suppl 9: 17-19. doi: 10.1111/j.1528-1167.2007.01394.x.

  2. Calle-López Y, Ladino LD, Benjumea-Cuartas V, Castrillón-Velilla DM, Téllez-Zenteno JF, Wolf P. Forced normalization: a systematic review. Epilepsia. 2019; 60 (8): 1610-1618. doi: 10.1111/epi.16276.

  3. Krishnamoorthy ES, Trimble MR, Sander JW, Kanner AM. Forced normalization at the interface between epilepsy and psychiatry. Epilepsy Behav. 2002; 3 (4): 303-308. doi: 10.1016/s1525-5050(02)00052-5.

  4. Krishnamoorthy ES, Trimble MR. Forced normalization: clinical and therapeutic relevance. Epilepsia. 1999; 40 Suppl 10: S57-S64. doi: 10.1111/j.1528-1157.1999.tb00886.x.

  5. Zhang S, Xu M, Liu ZJ, Feng J, Ma Y. Neuropsychiatric issues after stroke: Clinical significance and therapeutic implications. World J Psychiatry. 2020; 10 (6): 125-138. doi: 10.5498/wjp.v10.i6.125.

  6. Thom M, Kensche M, Maynard J, Liu J, Reeves C, Goc J et al. Interictal psychosis following temporal lobe surgery: dentate gyrus pathology. Psychol Med. 2014; 44 (14): 3037-3049. doi: 10.1017/S0033291714000452.



AFILIACIONES

1 Clínica de Epilepsia, Instituto Nacional de Neurología y Neurocirugía Manuel Velasco Suárez. Ciudad de México, México.



CORRESPONDENCIA

Dr. Daniel San-Juan, MSc. E-mail: dsanjuan@innn.edu.mx




Recibido: 12/09/2022. Aceptado: 27/09/2023.

Figura 1
Tabla 1

2020     |     www.medigraphic.com

Mi perfil

C?MO CITAR (Vancouver)

Rev Neurol Neurocir Psiquiat. 2024;52

ARTíCULOS SIMILARES

CARGANDO ...