medigraphic.com
ENGLISH

Cirugía Plástica

ISSN 2992-8559 (Digital)
ISSN 1405-0625 (Impreso)
  • Mostrar índice
  • Números disponibles
  • Información
    • Información general        
    • Directorio
  • Publicar
    • Instrucciones para autores        
    • Envío de artículos
  • Políticas
    • Políticas éticas
    • Políticas de acceso abierto
    • Políticas de revisión de manuscritos
    • Políticas editoriales generales
  • medigraphic.com
    • Inicio
    • Índice de revistas            
    • Registro / Acceso
  • Mi perfil

2026, Número 1

<< Anterior Siguiente >>

Cir Plast 2026; 36 (1)


¿Qué ha pasado con el linfoma anaplásico de células gigantes a diez años de estudio de esta patología en México? Reporte de una serie de casos y revisión narrativa de la literatura

Ramos-Gallardo, Guillermo1; Carballo-Zarate, Adrián Alejandro2; Vélez-Benítez, Estela3; Cuenca-Pardo, Jesús4; Vega-Sánchez, Marcelo A5; Joya-Virgen, Karla6
Texto completo Cómo citar este artículo 10.35366/122647

DOI

DOI: 10.35366/122647
URL: https://dx.doi.org/10.35366/122647
Artículos similares

Idioma: Español
Referencias bibliográficas: 22
Paginas: 56-63
Archivo PDF: 2363.47 Kb.


PALABRAS CLAVE

linfoma anaplásico, implantes mamarios, seroma tardío, capsulectomía en bloque, seguridad en implantes.

RESUMEN

El linfoma anaplásico de células gigantes asociado a implantes mamarios (BIA-ALCL) es una neoplasia poco frecuente pero clínicamente relevante. Su manifestación más común es el seroma tardío unilateral en pacientes con implantes texturizados. En México, la vigilancia de esta complicación ha permitido un mejor entendimiento epidemiológico, diagnóstico y terapéutico a lo largo de la última década. Se realizó una revisión narrativa en PubMed, Embase, Cochrane, Medline, Fisterra, Medigraphic y Google Scholar, en la que se incluyeron estudios en inglés y español relacionados con BIA-ALCL, carcinoma epidermoide asociado a implantes, seroma crónico y capsulectomía en bloque. Asimismo, se integró información de los registros nacionales disponibles sobre casos sospechosos y confirmados. El síntoma inicial más frecuente es la asimetría mamaria secundaria a seroma después del primer año de implantación. El proceso diagnóstico incluye ultrasonido, aspiración del líquido periprotésico para análisis microbiológico, citológico e inmunohistoquímico, siendo CD30 el marcador primordial. El tratamiento debe ser multidisciplinario; la capsulectomía en bloque se considera el estándar en casos confirmados. En México, hasta 2024, se han analizado 373 casos sospechosos, con 18 diagnósticos positivos, lo que refleja un incremento en la identificación de esta patología. Se concluye que, aunque el BIA-ALCL continúa siendo una entidad rara, la experiencia acumulada ha fortalecido la detección oportuna y el manejo especializado. La capacitación del cirujano plástico, el envío adecuado de muestras y la vigilancia nacional son esenciales para mejorar los resultados clínicos. La difusión científica y el registro continuo permitirán optimizar estrategias de diagnóstico y tratamiento, en beneficio de las pacientes.



ABREVIATURAS:

  • BIA-ALCL = Breast Implant-Associated Anaplastic Large Cell Lymphoma (linfoma anaplásico de células gigantes asociado a implantes mamarios)
  • BIA-SCC = Breast Implant-Associated Squamous Cell Carcinoma (carcinoma epidermoide asociado a implantes mamarios)
  • BI-RADS = Breast Imaging-Reporting and Data System (sistema de informes y datos de imágenes mamarias)



INTRODUCCIóN

Uno de los temores más grandes que podemos llegar a tener en relación con los implantes mamarios es la aparición de una asimetría secundaria a seroma, especialmente en una paciente que cuente con un implante texturizado, sobre todo macrotexturizado.1,2 A lo largo de los años que llevamos estudiando esta patología, hemos recabado información muy importante sobre cómo se presenta, su evolución, manejo y pronóstico. Si bien, afortunadamente, los casos reportados no son tan frecuentes en nuestro país, el conocimiento de ellos resulta muy importante, sobre todo al momento de dar información en la consulta de una paciente que opta por esta opción de tratamiento, tanto en casos de cirugía reconstructiva como de cirugía de aumento de volumen.3 El presente estudio busca dar un repaso del tema que pueda ser de utilidad en su correcta identificación y tratamiento.



MATERIAL Y MéTODO

Realizamos una revisión sistemática de las siguientes bases de datos, tanto en español como en inglés: PubMed, Embase, Cochrane, Medline, Fisterra, Medigraphic y Google Scholar. Las palabras clave en español e inglés que utilizamos fueron: "linfoma anaplásico de células gigantes asociado a implantes mamarios", "carcinoma epidermoide asociado a implantes mamarios", "seroma crónico asociado a implantes mamarios", "capsulectomía en bloque", "anaplastic large cell lymphoma associated with breast implant", "squamous cell carcinoma associated with breast implant", "chronic seroma associated with breast implant", "in bloc capsulectomy".



ESCENARIO CLíNICO

Paciente de 43 años, aparentemente sana, quien cuenta con antecedente de mamoplastia de aumento (implantes texturizados) hace siete años. Se encuentra viviendo en otra ciudad. Llama al consultorio debido a que nota aumento de tamaño en uno de sus senos.

Preguntas clave ante la sospecha de linfoma anaplásico de células gigantes asociado a implantes mamarios (BIA-ALCL):

  • 1. ¿Cuál es el principal síntoma relacionado con el BIA-ALCL?
  • 2. ¿Cuál es el abordaje diagnóstico y terapéutico recomendado ante la sospecha de BIA-ALCL?
  • 3. ¿Qué consideraciones debemos tener en cuenta para el manejo de la cápsula al momento de hacer una cirugía de revisión mamaria?
  • 4. ¿Qué experiencia tenemos en nuestro país con el manejo de esta patología?



¿CUÁL ES EL PRINCIPAL SÍNTOMA RELACIONADO CON EL BIA-ALCL?

El BIA-ALCL generalmente se presenta de manera unilateral, tanto en cirugía estética como reconstructiva. Inicia como un crecimiento asimétrico de una de las dos mamas, el cual inicialmente pasa desapercibido.4,5 Sabemos que la presencia de seroma puede estar relacionada con el acto quirúrgico, sin embargo, para fines de esta patología, lo podemos definir como aquel seroma que se presenta posterior al año de la implantación.6 El promedio es de 10 años con los implantes, aunque se ha reportado tanto al año como a más de 20 años. También existen casos reportados en prótesis lisas, pero con un antecedente previo de prótesis texturizada, ya sea micro- o macrotextura.7



¿CUÁL ES EL ABORDAJE DIAGNÓSTICO Y TERAPÉUTICO RECOMENDADO ANTE LA SOSPECHA DE BIA-ALCL?

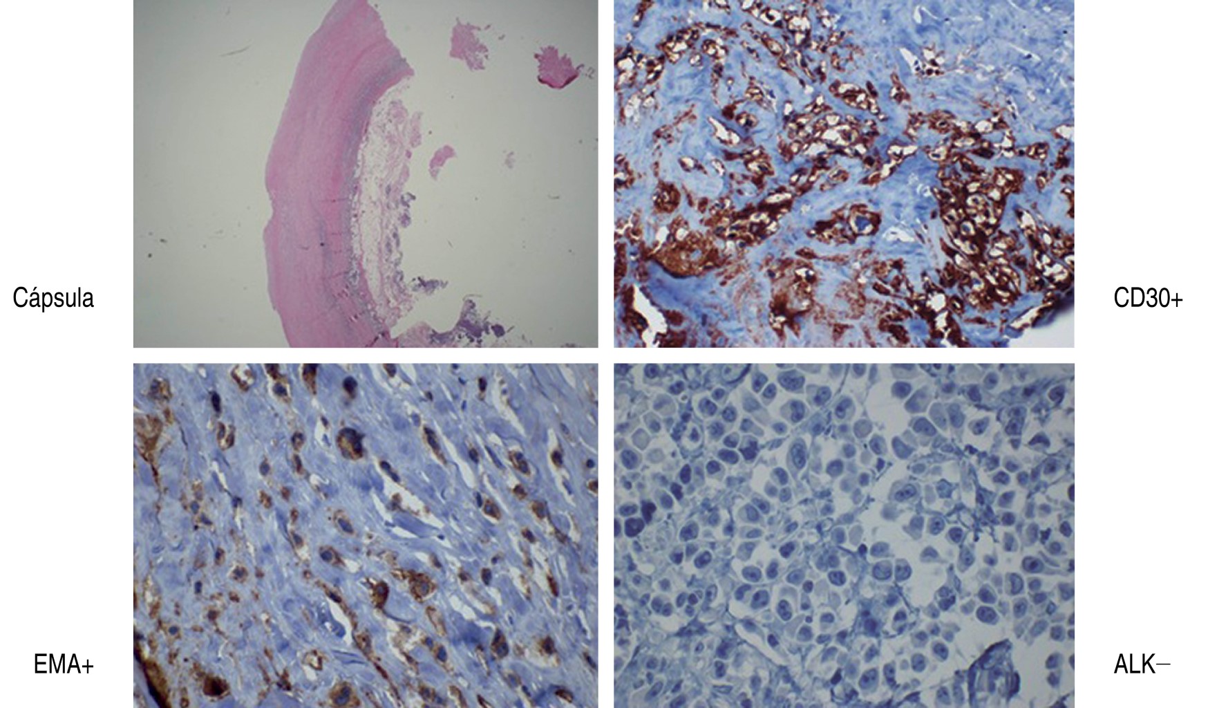
El uso de ultrasonido resulta muy importante para poder aspirar el seroma. El líquido obtenido debe enviarse a cultivo, citológico y citoquímico, y sobre todo debe enviarse a patología. De preferencia se debe avisar al patólogo que se enviará una muestra para que se pueda hacer en las primeras 24 horas; de no ser así, se debe preservar la mitad del mismo con alcohol al 96% para su estudio posterior.8 Este estudio resulta muy útil para poder continuar con el manejo terapéutico. De corroborarse por el patólogo, se realizarán las diferentes tinciones o marcadores, siendo el CD30 el inicial y más importante (Figura 1).

Un estudio positivo requiere un manejo multidisciplinario, complementándose con estudios de extensión de la enfermedad y cirugía con un enfoque oncológico: capsulectomía en bloque (Figura 2).9

Un estudio negativo a la malignidad nos obliga a revisar los estudios de microbiología. Un número importante de pacientes presenta infecciones como la micobacteria. El manejo se centra en el retiro de la prótesis, donde es importante valorar el retiro de la cápsula y el tratamiento médico (antibiótico) (Figura 3).10

Una vez descartada esta causa, si persiste el problema, debemos valorar el retiro de la cápsula mediante estudio patológico. Un número importante de casos en nuestro país no cuentan con un estudio inicial positivo del líquido del seroma.11 La extensión de la enfermedad local en la cápsula es el factor más importante para su pronóstico. El tratamiento debe ser bilateral, aunque alguno de los lados no haya dado problemas de seroma o masas (Figura 4).12



¿QUÉ CONSIDERACIONES DEBEMOS TENER EN CUENTA PARA EL MANEJO DE LA CÁPSULA AL MOMENTO DE HACER UNA CIRUGÍA DE REVISIÓN MAMARIA?

En una cirugía de revisión mamaria debemos tener en cuenta las características de los implantes, sobre todo el tipo de superficie, el tiempo que llevan colocados, si ha habido algún cambio de éstos previamente y, de ser posible, saber qué tipo de implantes se colocaron.13,14 Clínicamente debemos valorar la presencia de contractura capsular, rippling, asimetrías, masas periprotésicas o adenopatías.

Es importante contar con un estudio de imagen previo del tejido mamario, ya sea ultrasonido, mamografía o resonancia magnética que nos ayude a descartar alguna patología propia del tejido mamario.15 La clasificación del sistema de informes y datos de imágenes mamarias (BI-RADS, por sus siglas en inglés) nos ayuda a orientar la toma de decisiones inicial, descartando patologías que requieran atención inmediata en el tejido mamario.

Al momento de la cirugía, en caso de encontrar líquido periprotésico abundante que nos oriente hacia un seroma crónico, debemos tomar muestras de éste y mandarlas a su estudio (cultivo, citológico y citoquímico, así como estudio histopatológico para analizar la posibilidad de hacer la prueba de CD30).16

Si la cápsula presenta datos francos de contractura capsular tales como engrosamiento, irregularidades o calcificaciones, debemos retirarla en su totalidad.17,18 Si se encuentra adherida a planos profundos, especialmente al tórax, implicando una posibilidad alta de provocar un neumotórax, se debe valorar el riesgo contra el posible beneficio y considerar la colocación de un tubo de pleurostomía. Si el riesgo es grande, se puede retirar la mayor parte sin comprometer la seguridad de la paciente.

Si se coloca un nuevo implante, se recomienda el ajuste del bolsillo con puntos internos de sujeción. Para el ajuste del exceso de piel, se debe valorar la cantidad de tejido con la que se cuenta a fin de evitar el sufrimiento del complejo areola-pezón; en caso necesario, se puede esperar a un segundo tiempo.



¿QUÉ EXPERIENCIA TENEMOS EN NUESTRO PAÍS CON EL MANEJO DE ESTA PATOLOGÍA?

En la Asociación Mexicana de Cirugía Plástica, Estética y Reconstructiva, a través del comité de seguridad, llevamos seguimiento de los primeros casos de linfoma anaplásico de células gigantes asociado a implantes mamarios.19 El primer reporte de caso se hizo en el 2016 por el Dr. Cesar Torres Rivero en el estado de Querétaro; en ese momento no teníamos el conocimiento que tenemos ahora ni estábamos familiarizados con el proceso para poder llevar a cabo el diagnóstico.20 A través de varias líneas de investigación, en conjunto con el servicio de patología del Hospital Español en la Ciudad de México, con el Dr. Adrián Alejandro Carballo Zarate, hemos llevado registro de los casos sospechosos, ya sea por tener una cápsula engrosada o con posible tumoración, líquido periprotésico o seroma crónico.21 Hasta el 2024, se han recibido muestras de patología de 373 casos sospechosos, de los cuales 18 han sido positivos para BIA-ALCL; también se han recibido siete muestras de casos sospechosos en glúteo, siendo uno positivo a linfoma anaplásico de células gigantes. También se ha recibido uno de pantorrilla, negativo a malignidad (Tabla 1).

La posibilidad de otra tumoración como el carcinoma epidermoide asociado a implantes mamarios (BIA-SCC, por sus siglas en inglés) es mucho más rara que el linfoma anaplásico de células gigantes. Sin embargo, esta patología se ha relacionado tanto a implantes con superficie lisa como texturizada.22 Por lo que siempre debemos considerar el estudio histopatológico de la totalidad o la mayor parte de la cápsula, según sea el caso, y que se realice de manera bilateral, si se considera esta posibilidad.



DISCUSIóN

La presente serie de 18 casos de linfoma anaplásico de células grandes asociado a implantes mamarios (BIA-ALCL, por sus siglas en inglés) representa, hasta donde es posible documentar, la cohorte más completa y sistematizada en México, con datos clínicos, quirúrgicos e inmunohistoquímicos acumulados durante casi una década de vigilancia nacional. Nuestros hallazgos permiten identificar patrones consistentes con lo reportado en series internacionales, pero también particularidades relevantes para el contexto mexicano.

En nuestra población, la edad promedio al diagnóstico fue de 47.5 años, comparable con lo descrito en series internacionales donde la media oscila entre 45 y 50 años.1 Este rango sugiere que, aunque el riesgo aumenta con el tiempo de exposición, la sospecha clínica debe mantenerse incluso en mujeres jóvenes, especialmente cuando presentan seroma tardío o asimetría progresiva.

En cuanto al momento del diagnóstico, la distribución anual (2015-2024) refleja un incremento en la detección durante los últimos cinco años. Este patrón coincide con lo observado en otros países, donde la creciente difusión académica y el fortalecimiento de los programas de vigilancia han permitido un reconocimiento más temprano del cuadro.18 La experiencia mexicana muestra una tendencia similar: conforme los cirujanos y patólogos se familiarizan con la enfermedad, el subdiagnóstico disminuye y los casos llegan con estadios más tempranos.

En nuestro estudio, la clasificación T (T1: 46.2%, T2: 15.4%, T3: 23.1%, T4: 15.4%) resulta congruente con la literatura, que indica que la mayoría de los pacientes se identifica en fases localizadas confinadas a la cápsula (L). Esto es particularmente relevante debido a que el estadio tumoral es el principal determinante pronóstico. La evidencia internacional confirma que los pacientes diagnosticados en etapa T1-T2 presentan tasas de sobrevida superiores al 90%, mientras que la enfermedad extracapsular se asocia con mayor recurrencia y mortalidad.8

Como se observa en nuestra cohorte, el 100% de las pacientes con panel completo fueron CD30+ y ALK−, el fenotipo característico de BIA-ALCL. Estos datos reafirman la importancia de enviar el líquido de seroma y la cápsula a evaluación histopatológica con inmunohistoquímica completa, una práctica que aún no es uniforme en todos los centros del país. Estudios recientes subrayan que hasta un 20% de los diagnósticos se retrasan por manejo subóptimo del líquido o por la falta de solicitud explícita de tinción CD30.9 Nuestra experiencia confirma esta problemática: varios de los casos tuvieron citología inicial no concluyente, requiriendo la revisión de cápsula o repetición del estudio.

En concordancia con reportes internacionales, la mayoría de nuestras pacientes portaban implantes texturizados, macro- o microtexturizados, reforzando la asociación ya ampliamente documentada entre este tipo de superficie y el riesgo elevado de desarrollar BIA-ALCL.6 No obstante, se observan también casos en pacientes con implantes lisos pero con antecedentes de implantes texturizados, patrón descrito igualmente en otras series.7

Otro hallazgo relevante es la heterogeneidad en el manejo quirúrgico, atribuible al carácter multicéntrico y a la evolución histórica del conocimiento en México. Sin embargo, se observa un progresivo alineamiento con las recomendaciones actuales de manejo oncológico, particularmente la capsulectomía en bloque, considerada el estándar terapéutico en estadios tempranos.18 En los casos más avanzados (T3-T4), el tratamiento combinado con oncología médica sigue siendo fundamental.

Nuestros resultados también revelan la importancia de consolidar una ruta nacional de diagnóstico temprano, dado que un número significativo de casos enviados inicialmente a citología no fueron concluyentes. Este fenómeno ha sido descrito en otras regiones, pero es especialmente significativo en sistemas donde el acceso a patología especializada es variable.11 El fortalecimiento de protocolos estandarizados en México podría reducir estos retrasos y mejorar los desenlaces.

Por último, el análisis conjunto de esta serie confirma que México ha avanzado de manera significativa en la identificación y manejo del BIA-ALCL. El aumento en el número de diagnósticos no necesariamente refleja un incremento en la incidencia, sino una mejor capacidad de reconocimiento clínico, un fenómeno observado también en países con registros consolidados.17 El hecho de que se hayan procesado más de 373 muestras sospechosas en el país, de las cuales 18 fueron positivas, demuestra un fortalecimiento progresivo de los circuitos de referencia, educación y vigilancia.



CONCLUSIóN

El análisis de los 18 casos confirmados de linfoma anaplásico de células grandes asociado a implantes mamarios en México demuestra que, aunque se trata de una patología infrecuente, su presencia es clínicamente significativa y requiere un alto índice de sospecha para lograr diagnósticos oportunos. Nuestros resultados confirman que la mayoría de las pacientes se presenta con enfermedad localizada y con un fenotipo inmunohistoquímico clásico (CD30 positivo y ALK negativo), lo que facilita su identificación cuando se siguen protocolos diagnósticos adecuados. La experiencia nacional acumulada a lo largo de casi una década refleja un avance sustancial en la detección, referencia y manejo multidisciplinario de estos casos, mostrando una tendencia hacia la estandarización del abordaje y un creciente reconocimiento del papel central del estudio completo del seroma y de la cápsula.

Estos hallazgos subrayan la necesidad de fortalecer la capacitación continua de cirujanos, radiólogos y patólogos, así como de promover la implementación uniforme de guías diagnósticas y terapéuticas basadas en evidencia. Del mismo modo, resulta esencial consolidar los esfuerzos de registro y vigilancia a nivel nacional para mejorar la detección temprana y generar datos epidemiológicos más robustos. En conjunto, esta serie contribuye de manera significativa al entendimiento regional del BIA-ALCL y enfatiza que un abordaje estructurado, informado y coordinado es clave para optimizar los resultados en las pacientes mexicanas portadoras de implantes mamarios.


REFERENCIAS (EN ESTE ARTÍCULO)

  1. K Groth A, Graf R. Breast implant-associated anaplastic large cell lymphoma (BIA-ALCL) and the textured breast implant crisis. Aesthetic Plast Surg 2020; 44 (1): 1-12.

  2. Naga HI, Mellia JA, Basta MN, Morris MP, Christopher AN, Campbell FM et al. Breast implant-associated anaplastic large-cell lymphoma: updated systematic review and analysis of treatment strategies. Plast Reconstr Surg 2022; 150 (4): 762-769.

  3. Marra A, Viale G, Pileri SA, Pravettoni G, Viale G, De Lorenzi F et al. Breast implant-associated anaplastic large cell lymphoma: a comprehensive review. Cancer Treat Rev 2020; 84: 101963.

  4. Co M, Chan TH, Ip KFS, Lam HMG, Ling GY, Ma KWK et al. Breast implant-associated anaplastic large cell lymphoma - a systematic review with pooled analysis. Clin Oncol (R Coll Radiol) 2020; 32 (10): 639-646.

  5. Turner SD, Inghirami G, Miranda RN, Kadin ME. Cell of origin and immunologic events in the pathogenesis of breast implant-associated anaplastic large-cell lymphoma. Am J Pathol 2020; 190 (1): 2-10.

  6. Deva AK, Turner SD, Kadin ME, Magnusson MR, Prince HM, Miranda RN et al. Etiology of breast implant-associated anaplastic large cell lymphoma (BIA-ALCL): current directions in research. Cancers (Basel) 2020; 12 (12): 3861.

  7. Sánchez-Rubio N, Lannegrand-Menéndez B, Duque-Muñoz M, Montes-Fernández M, Ciudad-Fernández MJ. Uncommon complications of breast prostheses. Radiol (Engl Ed) 2020; 62 (4): 266-279.

  8. Longo B, Di Napoli A, Curigliano G, Veronesi P, Pileri S, Martelli M et al. Clinical recommendations for diagnosis and treatment according to current updated knowledge on BIA-ALCL. Breast 2022; 66: 332-341.

  9. Kanavou T, Mastorakos DP, Mastorakos PD, Faliakou EC, Athanasiou A. Imaging of the reconstructed breast. Diagnostics (Basel) 2023; 13 (20): 3186.

  10. Foppiani JA, Raska O, Taritsa I, Hernández-Álvarez A, Lee D, Escobar-Domingo MJ et al. Incidental bystander or essential culprit: a systematic review of bacterial significance in the pathogenesis of breast implant-associated anaplastic large cell lymphoma. Int J Mol Sci 2023; 25 (1): 355.

  11. Vorstenbosch J, Chu JJ, Ariyan CE, McCarthy CM, Disa JJ, Nelson JA. Clinical implications and management of non-BIA-ALCL breast implant capsular pathology. Plast Reconstr Surg 2023; 151 (1): 20e-30e.

  12. Santanelli Di Pompeo F, Panagiotakos D, Firmani G, Sorotos M. BIA-ALCL epidemiological findings from a retrospective study of 248 cases extracted from relevant case reports and series: a systematic review. Aesthet Surg J 2023; 43 (5): 545-555.

  13. Ramos-Gallardo G, Ríos-Lara y López RL, Cuenca-Pardo J, Cárdenas-Camarena L, Contreras-Bulnes L, Vélez BE et al. Manejo del seroma crónico en pacientes con implantes de mama en relación con el diagnóstico de linfoma anaplásico de células gigantes. Cir Plast 2019; 29 (1): 147-162. doi: 10.35366/CP191H.

  14. Cuenca-Pardo J, Vélez BE, Ramos-Gallardo G, Iribarren MR. Seroma: una alerta de patologías relacionadas a implantes mamarios. Medicina basada en evidencia. Cir Plast 2019; 29 (1): 15-34. doi: 10.35366/CP191B.

  15. Vittorietti M, Mazzola S, Costantino C, De Bella DD, Fruscione S, Bonaccorso N et al. Implant replacement and anaplastic large cell lymphoma associated with breast implants: a quantitative analysis. Front Oncol 2023; 13: 1202733.

  16. D'Orsi G, Giacalone M, Calicchia A, Gagliano E, Vannucchi L, Vanni G et al. BIA-ALCL and BIA-SCC: updates on clinical features and genetic mutations for latest recommendations. Medicina (Kaunas) 2024; 60 (5): 793.

  17. Ossa-Gomez CA, Robledo-Abad JF, Duque A, Huertas R, Fidalgo AM, Rivas Taffur G et al. Breast implant-associated anaplastic large cell lymphoma in Colombia: report of a multidisciplinary national registry. Plast Reconstr Surg Glob Open 2020; 8 (8): e3013.

  18. Clemens MW, Myckatyn TM, Di Napoli A, Feldman AL, Jaffe ES, Haymaker CL et al. American Association of Plastic Surgeons consensus on breast implant-associated anaplastic large-cell lymphoma. Plast Reconstr Surg 2024; 154 (3): 473-483.

  19. Ramos-Gallardo G, Cuenca-Pardo J, Cardenas-Camarena L, Duran-Vega H, Rodríguez-Olivares E, Bayter-Marin JE et al. Is Latin America ready to identify anaplastic large cell lymphoma in breast implants patients? Regional encounter during the National Plastic Surgery Meeting in Cancun, Mexico. Aesthetic Plast Surg 2018; 42 (5): 1421-1428.

  20. Torres-Rivero C, Ramos-Gallardo G, de Jesús Nambo-Lucio M, Mar Vaquero-Pérez M. Primer caso en México y América Latina de linfoma anaplásico de células gigantes en paciente con implantes mamarios. Cir plást ibero-latinoam 2016; 42: 175-180.

  21. Ramos-Gallardo GO, Carballo-Zarate AA, Cuenca-Pardo J, Vélez-Benítez E, Contreras-Bulnes L, Bucio-Duarte JJ et al. Linfoma anaplásico de células gigantes asociado a implantes mamarios+. Cir Plast 2023; 33 (1): 36-44.

  22. Telich-Tarriba JE, Martínez-Schulte A, Leyva-Vázquez LA, Telich-Vidal J. Estado actual del carcinoma escamoso relacionado con implantes mamarios: una revisión sistemática de la literatura. Cir Plast 2023; 33 (2): 67-72.



AFILIACIONES

1 Universidad de Guadalajara, Centro Universitario de la Costa. Jalisco, México. Comité Mexicano de Seguridad de la Asociación Mexicana de Cirugía Plástica, Estética y Reconstructiva (AMCPER), Ciudad de México, México. ORCID: 0000-0001-5678-7007

2 Práctica Privada, Hospital Español. CDMX, México. ORCID: 0000-0003-2802-7304

3 Comité Mexicano de Seguridad, AMCPER. CDMX, México. ORCID: 0009-0005-3097-5102

4 Comité Mexicano de Seguridad, AMCPER. CDMX, México. ORCID: 0009-0007-1492-0915

5 Universidad Autónoma de Guadalajara. Hospital Santa María Chapalita. Jalisco, México. ORCID: 0009-0006-6833-7402

6 Universidad de Guadalajara, Centro Universitario del Sur. Jalisco, México. ORCID: 0009-0009-7313-0280



Conflicto de intereses: los autores declaran que no tienen ningún conflicto de intereses.

Declaración de derechos humanos o aprobación ética: este estudio no contó con la participación directa de los pacientes. Por lo tanto, no había riesgo para ningún paciente. Este artículo no contiene estudios en animales realizados por ninguno de los autores. El número de aprobaciones del Comité de Seguridad de la Asociación Mexicana de Cirugía Plástica, Estética y Reconstructiva es 202405.

Financiación: no se recibió financiación para este estudio.



CORRESPONDENCIA

Dr. Guillermo Ramos-Gallardo. E-mail: guiyermoramos@hotmail.com




Recibido: 25 noviembre 2025. Aceptado: 17 enero 2026

Figura 1
Figura 2
Figura 3
Figura 4
Tabla 1

2020     |     www.medigraphic.com

Mi perfil

C?MO CITAR (Vancouver)

Cir Plast. 2026;36

ARTíCULOS SIMILARES

CARGANDO ...